Oral Lipoma – A Case Report

Oral Lipoma – A Case Report

DR. ARUN KUMMAR.M *1, DR. VIJAY EBENEZER2, DR. BALAKRISHNAN3,

1. Post Graduate, Department of Oral Maxillofacial Surgery, Sree Balaji Dental College.

2. HOD and Professor, Department Of Oral Maxillofacial Surgery, Sree Balaji Dental College.

3. Professor, Department Of Oral Maxillofacial Surgery, Sree Balaji Dental College and Hospital.


*Correspondence to: DR. Arun Kummar.M, Post graduate, Department of oral maxillofacial surgery, Sree Balaji Dental College

Copyright

© 2023 DR. Arun Kummar.M. This is an open access article distributed under the Creative Commons Attribution License, which permits unrestricted use, distribution, and reproduction in any medium, provided the original work is properly cited.


Received: 30 August 2023

Published: 05 September 2023

DOI:10:1027/mards.2023.0421


Abstract

Lipomas are common benign tumours primarily composed of adipose tissue. Although they typically occur throughout the body, their occurrence in the oral cavity is rare, accounting for approximately 1 to 4% of benign neoplasms in the mouth. In this particular case, we present a patient with an intraoral lipoma located in the buccal mucosa. The lipoma was successfully removed through an excisional biopsy, and subsequent histopathological examination confirmed the presence of mature adipocytes arranged in lobules and separated by fibrous septa. Notably, the patient did not experience any signs of recurrence following the procedure. It is important to highlight that while lipomas are benign, surgical intervention may be necessary based on factors such as discomfort, oral function impairment, or concerns regarding malignancy. Complete excision, as performed in this case, is typically curative, and the likelihood of recurrence is low. However, it is always advisable to seek professional medical advice and treatment from a qualified healthcare provider.


Oral Lipoma – A Case Report

Introduction

Lipomas are the most widely recognized delicate tissue mesenchymal neoplasms, with 15-20% of cases including the head and neck region and just 1-4% influencing the oral cavity.1 The primary depiction of an oral lesion was given in 1848 by Roux in a survey of alveolar masses, where he mentioned it as a" yellow epulis".2 The pathogenesis of lipoma is questionable, yet they have appeared more in large obese individuals. In any case, the metabolism of lipoma is totally free of the ordinary muscle to fat ratio. Assuming that the caloric intake is diminished, lipomas don't diminish in size, although ordinary muscle to fat ratio might be lost. Lipomas are gradually growing, with a soft, smooth-surface mass of the submucosal tissues. At the point when it is superficial, there is a yellow surface discoloration. The lesion might be pedunculated or sessile and periodic cases show surface bosselation.3 Multiple lipomas of head and neck have been seen in neurofibromatosis, Gardner disorder, encephalocraniocutaneous lipomatosis, various familial lipomatosis and proteus condition. Despite the fact that its etiology is unknown, potential causes might be injury, infection and chronic irritation.5


Case Report

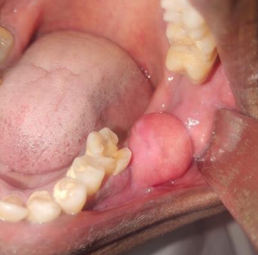
A 62 years old male patient came to our department with complains of a painless mass in left check region. The growth was small in beginning and continuously growing in size.


On Examination

The swelling was pedunculated measuring 3x3cmm in size seen in vestibule in relation to 37,38. It is soft, fluctuant and non-tender on palpation. The mucosa over the lesion appears normal and blood investigation appears to be in normal limits.

 

Figure 1

Investigation:

USG reveals benign appearing pedunculated, hypovascular lesion measuring 2.8*1.2*2.5cm. the is lesion is homogenously hypercholic and well-defined with capsule. No evidence of calcification or necrosis. Vascular or fluid levels are seen within limits.

Antibiotics covering oral flora for gland superinfection are recommended. Severe obstruction usually requires surgical intervention, especially when the obstruction is close to the gland. Our patientwas found to have a 7 mm right parotid stone that was surgically removed at the chair side using local anesthesia. She tolerated the procedure well and was discharged. The patient was asymptomatic after 1-year follow-up.


Treatment

Figure 2

Figure 3

The lesion was surgically removed under local anesthesia. Under standard patient preparation, LA was administered along with peri-tumor anaesthesia. The incision was placed along with the anterior border of lesion and soft tissue dissection was done to separate the lesion from adjacent structures. After the lesion was separated from the underlying structures the lesion is carefully excised preserving the buccal mucosa and the incision site is ; closed with 3-0 braided silk. Sample was sent to histopathological evaluation. Post op instructions given and adequate antibiotics and a nalgesics were prescribed. The patient was recalled after 3 days for review and suture removal done after one week. Healing was uneventful. 


Histopathology

The haematoxylin and eosin-stained histopathological section of the given specimen shows parakeratotic stratified squamous epithelium with underlying connective tissue stroma. The epithelium is atrophic in few areas. The fibrous connective tissue shows numerous fat cells admixed with collagenous streaks. The connective tissue shows moderate cellularity. Numerous endothelial lined blood vessels are seen, suggestive of fibro lipoma

 

Discussion

Lipomas are fat mesenchymal neoplasms that rarely happen inside oral cavity (1% to 4%). Lipids inaccessible for metabolism [6] combined with the independent development of a lipoma have delivered it to be a true benign neoplasm [7]. Lipoma prevalence doesn't vary with gender, although a preference for men has been reported,5 and they happen most frequently in patients more than 40 years of age.[8] The cheek is the commonest site where intra oral lipoma is frequently seen followed by tongue, floor of the mouth, buccal sulcus and vestibule, palate, lip and gingiva.[9]

Oral lipomas are slow-developing masses, and patients ordinarily present with a very much well circumscribed nodule that has been growing for a few years. Clinically, oral lipomas for the most part present as mobile, nontender submucosal nodules, with yellowish color. Due to these clinical features, different lesions, for example, oral dermoid and epidermoid growths and oral lymphoepithelial blisters should be viewed as in the differential conclusion of oral lipomas.10 Although, oral lymphoepithelial pimples present as portable, easy submucosal knobs with a yellow or yellow-white colouration, they contrast from oral lipomas in that the knobs are typically little at the hour of determination and normally happen in the first to third 10 years of life. Additionally, most oral lymphoepithelial pimples are found on the floor of the mouth, delicate sense of taste and mucosa of the pharyngeal tonsil,11 which are remarkable destinations for oral lipomas. Oral dermoid and epidermoid growths additionally present as submucosal knobs and, ordinarily, happen on the midline of the floor of the mouth.12 Be that as it may, oral dermoid and epidermoid sores can happen in different areas of oral mucosa. Since an oral lipoma can periodically present as a profound knob with ordinary surface tone, salivary organ growths and harmless mesenchymal neoplasms ought to likewise be remembered for the differential diagnosis.13 Lipomas have a not so much thick but rather more uniform appearance than the encompassing fibrovascular tissue when transilluminated. Attractive reverberation imaging checks are extremely valuable in the clinical analysis while CT output and ultrasonography are less dependable. Conclusive analysis relies upon connection between the histological and clinical features.14

The histopathology stays the highest quality level in the diagnosis of lipoma. Lipomas are not exceptionally different from the surrounding fat tissues. Like fat, they are made out of mature fat cells, however the cells shift somewhat in size and shape and are to some degree bigger, measuring 200 mm in width. Subcutaneous lipomas are typically thinly encapsulated and have the patterns of distinct lobular. All are well vascularised, yet under ordinary circumstances, the vascular organization is compacted by the expanded lipocytes and isn't plainly noticeable. Lipomas are periodically modified by the admixture of other mesenchymal components that involve an inherent part of the tumor. The most widely recognized component is fibrous connective tissue, which is frequently hyalinized and could conceivably be related with the capsule. Lipomas with these highlights are in many cases named fibrolipomas.15 Regularly, be that as it may, lesional fat cells are believed to penetrate into adjacent tissues, maybe delivering long slight extension of fibrous tissue transmitting from the central mass. At the point when situated inside striated muscle, this penetrating variation is called intramuscular lipoma (invading lipoma), yet broad inclusion of a wide area of fibrovascular or stromal tissues is best named as lipomatosis. Sometimes lipomas overabundance quantities of little vascular channels (angiolipoma), a myxoid foundation stroma (myxoid lipoma, myxolipoma), or regions with uniform shaft formed cells scattered among typical adipocytes (axle cell lipoma). At the point when shaft cells show up to some degree dysplastic or blended in with pleomorphic gaint cells no matter what hyperchromatic enlarged nuclei, the term "pleomorphic lipoma" is applied. 16

The treatment of oral lipomas, including every one of the histological variations is straightforward excision surgically. No recurrence has been observed.1 the growth of oral lipomas is generally restricted, they can arrive at extraordinary aspects, disrupting speech and mastication19 and building up the requirement for excision.17 In the ongoing series, all growths were extracted precisely, and no repeat has been seen till now.

 

Conclusion:

Single lipomas have enthused little interest before and have generally been overlooked in the writing. The explanation is that the most lipomas develop treacherously and may not create many issues other than those of a localized mass. Around 15-20% of lipoma happens in the head and neck area. Among the revealed intraoral lipomas, half happen in the buccal mucosal region. Careful surgical excision is the best treatment with excellent result, but complete resection ought to be best treatment to avoid recurrence.

 

References

1. Fregnani ER, Pires FR, Falzoni R, Lopes MA, Vargas PA. Lipomas of the oral cavity: clinical findings, histological classification and proliferative activity of 46 cases. Int J Oral Maxillofac Surg. 2003;32(1):49–53. [PubMed] [Google Scholar]

2. Rajendran R. 5th ed. Amsterdam: Elsevier; 2006. shafer's Oral Pathology; pp. 194–5. [Google Scholar]

3. Cawson RA, Binnie WH, Speight PM, Barrett AW. 4th ed. New York: Churchill Livingstone; 1984. Lucas's Pathology of Tumors of The Oral Tissues; pp. 176–9. [Google Scholar]

4. Lawoyin JO, Akande OO, Kolude B, Agbaje JO. Lipoma of the oral cavity: clinicopathological review of seven cases from Ibadan. Niger J Med. 2001;10(4):189–91. [PubMed] [Google Scholar]

5. Furlong MA, Fanburg-Smith JC, Childers EL. Lipoma of the oral and maxillofacial region: Site and subclassification of 125 cases. Oral Surg Oral Med Oral Pathol Oral Radiol Endod. 2004;98(4):441–50. [PubMed] [Google Scholar]

6. Vindenes H. Lipomas of the oral cavity. International Journal of Oral Surgery. 1978;7(3):162–6. [PubMed] [Google Scholar]

7. Miles DA, Langlais RP, Aufdemorte TB, Glass BJ. Lipoma of the soft palate. Oral Surg Oral Med Oral Pathol. 1984;57(1):77–80. [PubMed] [Google Scholar]

8. Epivatianos A, Markopoulos AK, Papanayotou P. Benign tumors of adipose tissue of the oral cavity: a clinicopathologic study of 13 cases. J Oral Maxillofac Surg. 2000;58(10):1113–7. [PubMed] [Google Scholar]

9. de Visscher JG. Lipomas and fibrolipomas of the oral cavity. J Maxillofac Surg. 1982;10(3):177–81. [PubMed] [Google Scholar]

10. Anavi Y, Gross M, Calderon S. Disturbed lower denture stability due to lipoma in the floor of the mouth. J Oral Rehabil. 1995;22(1):83–5. [PubMed] [Google Scholar]

11. Flaitz CM. Oral lymphoepithelial cyst in a young child. Pediatr Dent. 2000;22(5):422–3. [PubMed] [Google Scholar]

12. Longo F, Maremonti P, Mangone GM, De Maria G, Califano L. Midline (dermoid) cysts of the floor of the mouth: report of 16 cases and review of surgical techniques. Plast Reconstr Surg. 2003;112(6):1560–5. [PubMed] [Google Scholar]

13. Tan MS, Singh B. Difficulties in diagnosing lesions in the floor of the mouth--report of two rare cases. Ann Acad Med Singapore. 2004;33(4 Suppl):72–6. [PubMed] [Google Scholar]

14. Gnepp DR. 1st ed. Philadelphia: Saunders; 2010. Diagnostic Surgical Pathology of the Head and Neck; p. 192. [Google Scholar]

15. Weiss SW, Goldblum JR. 5th ed. Philadelphia: Mosby; 2007. Enzinger and Weiss's Soft Tissue Tumors; pp. 571–639. [Google Scholar]

16. Neville B, Damm DD, Allen CM, Bouquot J. Philadelphia: Saunders; 2008. Oral and Maxillofacial Pathology; pp. 523–4. [Google Scholar]

17. Chidzonga MM, Mahomva L, Marimo C. Gigantic tongue lipoma: a case report. Med Oral Patol Oral Cir Bucal. 2006;11(5):E437–9. [PubMed] [Google Scholar]

Figure 1

Figure 2

Figure 3

antarmuka fokus mahjong daya pengguna aktifaws grid serasi mahjong dasar tahapan terjagaaws jejak mekanisme mahjong arah fase lanjutanaws kajian wild berantai mahjong interaktif analitisaws kesesuaian persentase layanan mahjong seluler lanceraws pendalaman persentase mahjong gerak wild mutakhircorak langka mahjong tumbuh perlahan berubahgerak mahjong adaptasi mekanisme pemakai sekarangnalar scatter mahjong malam putaran ekstratempo mahjong kaitan mekanisme keadaan terkinialur permainan mahjong cepat scatter wilddalam hitungan detik scatter wild mahjongmenyatukan naluri pola scatter hitam mahjongmomen mahjong permainan berbalik arahmomen singkat mahjong dinamika permainanperpaduan insting pola scatter hitam momentperubahan drastis mahjong ways scatter wildscatter wild mahjong datang polasekejap berubah scatter wild mahjong wayssensasi baru mahjong lebih scatter wildenergi scatter emas irama reel mahjongevolusi reel mahjong balutan mistisintervensi cepat emas momentum lamakemunculan mendadak naga emas mahjongketika scatter naga emas aktif mahjongnaga emas muncul arah spin mahjongnaga emas ritme mahjong ways berubahrahasia rtp tinggi balik scatter hitamsaat scatter naga emas alih irama reelscatter hitam kunci lonjakan rtp mahjonge5 scatter wild memberikan sentuhan baru di setiap spin mahjong ways 2e5 scatter wild menghidupkan suasana permainan mahjong ways 2e5 scatter wild mengubah pola permainan mahjong ways 2 secara signifikane5 setiap putaran mahjong ways 2 terasa berbeda dengan scatter wilde5 strategi adaptif berbasis analisis rtp hariane5 strategi berbasis data dan algoritma untuk analisis momentume5 strategi berkembang berkat data rtp hariane5 strategi memahami algoritma untuk mengidentifikasi momentum ideale5 strategi membaca pola algoritma demi menangkap momentum optimale5 strategi modern mengandalkan evaluasi rtp hariane5 strategi responsif dengan dukungan evaluasi rtp hariane5 strategi terukur dengan analisis rtp hariane5 struktur scatter dan wild terlihat jelas berkat analisis sistem moderne5 tanpa disadari kombinasi ini sering mengarah ke scatter di mahjong wins 3e5 teknik evaluasi algoritma untuk mendapatkan momentum yang tepate5 teknik observasi sistem untuk analisis momentum yang lebih presisie5 terungkap formasi ini sering jadi awal munculnya scatter di mahjong wins 3e5 transformasi digital rtp live berkat artificial intelligence inovatife5 transformasi ritme mahjong ways 2 dipicu oleh kekuatan scatter wilde5 wajib tahu pola tersembunyi ini sering menghasilkan scattere5 applee5 bananae5 candye5 doge5 eaglee5 falcone5 geminie5 horsee5 indiae5 japananalisa pola mahjong ways rutinanalisis kinerja heuristik variansi gameanalisis pola mahjong ways hariananalisis pola mahjong ways kebiasaanera baru mahjong wins bonus optimalgebrakan bonus mahjong wins mekanisme efisieninsight pola mahjong ways rutinkajian pola mahjong ways rutinkomparasi heuristik variansi game digitalledakan bonus mahjong wins sistem efektifmahjong wins bonus sistem generasi baruobservasi pola mahjong ways harianpendekatan algoritma heuristik variansi gameperbandingan model heuristik variansi gamerahasia bonus mahjong wins sistem cerdasrangkuman pola mahjong ways harianringkasan pola mahjong ways harianstudi pola mahjong ways hariantinjauan heuristik variansi game digitaltinjauan pola mahjong ways harianalur sombol mahjong kemunculan scatterdari rtp mahjong bermain lebih efektifjejak scatter mahjong putaran tenangkejutan scatter wild simbol mahjong arahkemunculan simbol ganda membuat mahjongketika grid mahjong scatter semakin dekatketika rtp mahjong pola mulai lebih jelasketika scatter wild ritme simbol mahjongketika scatter wild titik sesi mahjong waysketika susunan simbol mahjong ritme scattermemahami rtp mahjong cara bermain lebihpergerakan simbol mahjong scatter wildpergeseran mahjong ketika scatter hadirsaat rtp mahjong terbaca baik strategisaat scatter hadir simbol mahjong bergeserscatter wild dinamika simbol mahjongstabilitas putaran mahjong pola scattersusunan baru reel mahjong scatter emassusunan mahjong wins mengandung scattersusunan simbol mahjong diam pola scatterrm menguak keunikan mahjong wins sudut pandang teknisrm cara memahami pergerakan mahjong ways tenaga ekstrarm mahjong wins standar baru industri hiburan digitalrm rahasia ketahanan mahjong ways eksis gempuran gamerm pentingnya memahami transisi level mahjong wins mendalamrm strategi mengatur tempo mahjong ways kendali permainanrm peran kecerdasan buatan mekanisme mahjong wins adilrm alasan keberhasilan mahjong ways mencuri perhatian analisrm mempelajari struktur dasar mahjong wins efisiensi putaranrm inovasi desain mahjong ways kesan bermain responsifrm teknik observasi mahjong wins jarang dibahas dampakrm cara mempertahankan fokus dinamika mahjong ways cepatrm eksplorasi fitur tersembunyi mahjong wins ritme terbaikrm mahjong ways integrasi teknologi modern keamanan nyamanrm analisis faktor pendukung mahjong wins digemari generasirm langkah efektif menyesuaikan perubahan sistem mahjong waysrm mengintip proses pengembangan mahjong wins kualitas penggunarm analisis data membantu membaca arah mahjong waysrm menemukan titik temu insting logika mahjong winsrm transformasi besar mahjong ways menghadirkan tantangan menarikmengungkap simbol langka nasib drastismisteri besar kombinasi simbol langkamisteri simbol langka keberuntungan besarsimbol langka misterius ubah hiduprahasia simbol langka nasib cepattransformasi bonus mahjong wins sistem efektifmahjong wins suguhkan bonus sistem modernsuguhan bonus efisien mahjong winsefektivitas sistem bonus mahjong winsmahjong wins hadirkan bonus sistem optimaloke76cincinbetaqua365slot gacorstc76samurai76TOBA1131samurai76 login