Intra-Atrial Re-Entrant Tachycardia (Iart) Ablation in a Male with History of Complex Congenital Disease and Fontan Surgery

Intra-Atrial Re-Entrant Tachycardia (Iart) Ablation in a Male with History of Complex Congenital Disease and Fontan Surgery

Rouhollah Hemmati1, Shabnam Madadi2,  Feisal Rahimpour3*


1. Cardiologist, Fellow in Interventional  Electrophysiology, Rajaie Cardiovascular Medical & Research Center, Iran.

2. Associate Professor, Cardiologist, Interventional  Electrophysiology, Rajaie Cardiovascular Medical & Research Center, Iran

3. Pediatric Cardiologist, Fellow in Interventional  Electrophysiology, Rajaie Cardiovascular Medical & Research Center, Iran.


*Correspondence to: Feisal Rahimpour, Pediatric Cardiologist, Fellow in Interventional  Electrophysiology, Rajaie Cardiovascular Medical & Research Center, Iran  University of Medical Sciences, Tehran, Iran.

Copyright

© 2023 Feisal Rahimpour. This is an open access article distributed under the Creative Commons Attribution License, which permits unrestricted use, distribution, and reproduction in any medium, provided the original work is properly cited.

Received: 29 August 2023

Published: 05 September 2023


Abstract

Intra-atrial re-entrant tachycardia (IART)  is  one of most common atrial tachycardia after congenital heart surgery, IART was defined as a macro reentrant atrial tachycardia with typical entrainment characteristics (entrainment with endocardial fusion and entrainment at 2 sites ≥2 cm apart demonstrated characteristics of being “in the circuit”).

A 30 years old Male with history of complex congenital disease brought to EP lab in Sinus rhythm for evaluation of WCT, Mapping was performed using multipolar mapping with HD Grid (10 pole ), entrainment mapping and detailed 3D activation mapping. Entrainment was performed; linear ablation was done in slow conduction zone. Thereafter, multiple RF application at this area resulted in termination of arrhythmia. Arrhythmia was not induced with and without Isoproterenol.

Keywords: Intra-atrial re-entrant tachycardia, macro reentrant atrial tachycardia, Focal atrial tachycardia, complex congenital disease, Fontan surgery


Intra-Atrial Re-Entrant Tachycardia (Iart) Ablation in a Male with History of Complex Congenital Disease and Fontan Surgery

Introduction

Intra-atrial re-entrant tachycardia (IART) is  one of most common atrial tachycardia after congenital heart surgery, IART was defined as a macro reentrant atrial tachycardia with typical entrainment characteristics (entrainment with endocardial fusion and entrainment at 2 sites ≥2 cm apart demonstrated characteristics of being “in the circuit”). Focal atrial tachycardia (FAT) was defined as a stable atrial arrhythmia originating from a focal area with centrifugal activation; Ablation was performed using a bidirectional irrigated catheter. The critical isthmus was targeted when activation and entrainment mapping was possible.


Case Report

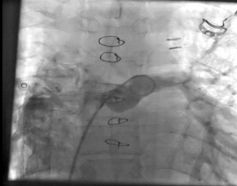
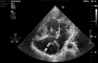
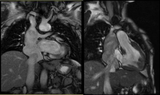
A 30 years old Male with history of complex congenital disease as  Abdominal and atrial situs solitus, , Levocardia , L-looped ventricles, Dominant left sided ventricle with RV morphology with moderate to severe systolic dysfunction(GEF:35%), also Both AV-valves empty to RV(DIRV),Moderate to severe left and right AV valve regurgitation, Both great arteries arise from dominant ventricle(DORV),Aorta was anterior and right sided to PA(D-malposition of great arteries),PA closed surgically with no ante grade flow,  confluent PA branches(RPA=1.4mm,LPA=1.4mm),Left sided aortic arch, Patent Glenn shunt with normal respiratory variation and low velocity laminar flow,Patent conduit between IVC and RPA with slow flow ,4mm fenestration with MPG:4 mmHg, Moderate size secondum type ASD( Fontan surgery, intracardiac tunnel with fenestration).(fig1,2,3)

 

Fig. 1: Echocardiography in standard apical 4 chamber showed  Both AV-valves empty to RV

 

Fig. 2: CMR showed Patent conduit between IVC and RPA with slow flow, Fontan surgery, intracardiac tunnel with fenestration.

 

Fig. 3: Angiography AP View showed conduit between IVC and RPA, Fontan surgery, intracardiac tunnel with fenestration.

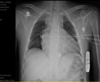
Due to low LVEF and episodes of WCT S-ICD  was implanted(fig 4).

 

Fig. 4: CXR showed Position of S-ICD after implantation.

He brought to EP lab in Sinus rhythm for evaluation of WCT(fig. 5).procedures were performed under general anesthesia, after that informed consent was obtained. Trans esophageal echocardiography (TEE) was doe to rule out intracardiac thrombus. 3D electro anatomic mapping was utilized (Nav X precision). Scar was traditionally defined as atrial areas with electrograms<0.05 mV and low voltage as <0.5 mV. Once femoral access was obtained, heparin was infused to obtain an ACT >250 s. The pulmonary venous atrium (PVA) was accessed; RV catheter was introduced via left femoral artery and RA catheter introduced via RFV in the lateral intra cardiac tunnel in Fontan circulation.

 

Fig 5:12 leads ECG with 50mm/s showed sinus rhythm

Extra stimulation with DCL=500 and PCL=350, entrainment mapping was done, sustained IART began with slow conduction zone in the systemic atrium. High density mapping with HD catheter was done slow conduction zone in the same systemic atrium was demonstrated (fig. 6).

 

Fig. 6: sustained IART after entrainment mapping

Mapping was performed using multipolar mapping with HD Grid (10 pole ), entrainment mapping and detailed 3D activation mapping. Entrainment was performed when the cycle length (CL) was stable (<20 millisecond beat to beat variation) and at an entrainment CL ≤20 millisecond shorter than the tachycardia cycle length. Entrainment was used in order to confirm macro–re-entry; or identify regions either “in” (PPI of ≤20 millisecond > TCL) or “near” (PPI of 20 to 40 millisecond > TCL) the re-entrant circuit in order to focus detailed 3D mapping to the region of relevance.

Linear ablation was done in slow conduction zone. Thereafter, multiple RF application at this area resulted in termination of arrhythmia. Arrhythmia was not induced with and without Isoproterenol.


Discussion                                                                                                                        

Intra-atrial re-entrant tachycardia (IART) ,Atrial flutter and  focal Atrial tachycardia are most common atrial tachycardia after congenital heart surgery, IART and Atrial flutter are  defined as a macro reentrant atrial tachycardia with typical entrainment characteristics. Sometimes arrhythmias are seen together in Fontan patients and surface ECG is a poor tool for identifying patients with coexistent arrhythmias(1).cavo-tricuspid isthmus dependent Atrial  flutter has characteristic inverted or positive “saw tooth” P-waves in leads II, III, and AVF, implying inferior to superior atrial activation typically the reentrant loop or reverse ,these rates are typically very fast, ranging from 300 to 500 bpm . There is usually variable atrioventricular (AV) conduction yielding a pulse rate of near 150 bpm; in clinical practice, a fixed heart rate of 120–150 bpm strongly suggests the presence of atrial flutter with 2:1 AV block(2).

IART usually has a slower atrial rate—often less than 300 bpm (cycle length ≥200 ms). Atrial rates of 185–270 bpm (cycle length: 325–220 ms) are seen in Mustard patients and rates of 220–325 bpm (cycle length: 230–470 ms) in Fontan patients. The P-wave morphology is variable, often smaller and fractionated, and at times can be difficult to detect, particularly when evaluating on a few leads, typical with many event monitors(3)

In post Fontan patients with IART, intra-atrial mapping studies have demonstrated several conduction corridors or isthmuses between the atriotomy incision and the crista terminalis, around the atrial septal defect patches or between the inferior vena cava and tricuspid valve(4).

The incidence of incisional IART is related to both the underlying congenital heart defect and the type of surgical repair. In general, the more complex the defect and the surgery (number of incisions and suture lines within the atria), the higher is the incidence. Effective electrophysiology study and successful ablation of IART depends on an understanding of the complexity of the congenital heart disease, previous surgical intervention, and available vascular access, Goals for electrophysiological evaluation include evaluation of possible arrhythmia-related symptoms (palpitations, tachycardia, syncope) in patients with postsurgical congenital heart disease.

Entrainment mapping is performed by pacing at 10 to 30 ms less than the spontaneous IART cycle length for at least 10 beats at twice the diastolic threshold and proving that the suture line is in the arrhythmia circuit helps in the diagnosis, and finally, by ablation of this isthmus, the arrhythmia can be controlled.


Conclusion

Intra-atrial re-entrant tachycardia (IART) is one of most common atrial tachycardia after congenital heart surgery, but with  good entrainment mapping and detailed 3D activation mapping and linear ablation coulde be successful treatment.

 

Declaration of competing interest

The authors declare no conflicts of interest.


Acknowledgments

The authors want to appreciate the electrophysiology staff of the Rajaie Cardiovascular Medical and Research Center.


Patient permission/consent statement

The patient provided informed consent for the publication of this report, and the procedure was performed in accordance with the center’s ethical policy.


Reference

1. 1-Joseph G Akar, Lai Chow Kok, David E Haines, John P DiMarco, and J.Paul Mounsey, Coexistence of type I atrial flutter and intra-atrial re-entrant tachycardia in patients with surgically corrected congenital heart disease, J Am Coll Cardiol. 2001 Aug, 38 (2) 377–384

2-NADIR SAOUDI M.D., FRANCISCO COSIO M.D., ALBERT WALDO M.D., SHIH-ANN CHEN M.D., YOSHITO IESAKA M.D., MICHAEL LESH M.D., SANJEEV SAKSENA M.D., JORGE SALERNO M.D., WOLFGANG SCHOELS M.D, Classification of Atrial Flutter and Regular Atrial Tachycardia According to Electrophysiologic Mechanism and Anatomic Bases: A Statement from a Joint Expert Group from the Working Group of Arrhythmias of the European Society of Cardiology and the North American Society of Pacing and Electrophysiology, Journal of Cardiovascular Electrophysiology,Volume 12, Issue 7Jul 2001,Pages737-866

3-John K. Triedman,J. Philip Saul,Steven N. Weindling and Edward P. Walsh Radiofrequency Ablation of Intra-Atrial Reentrant Tachycardia After Surgical Palliation of Congenital Heart Disease,Originally published1 Feb 1995https://doi.org/10.1161/01.CIR.91.3.707Circulation. 1995; 91:707–714

4-SING-CHIEN YAP M.D., Ph.D., LOUISE HARRIS M.B., Ch.B., EUGENE DOWNAR M.D., KUMARASWAMY NANTHAKUMAR M.D., CANDICE K. SILVERSIDES M.D., VIJAY S. CHAUHAN M.D. Evolving Electroanatomic Substrate and Intra-Atrial Reentrant Tachycardia Late After Fontan Surgery, Journal of Cardiovascular Electrophysiology, Volume 23, Issue 4 April 2012,Pages 339-345.

Figure 1

Figure 2

Figure 3

Figure 4

Figure 5

Figure 6

antarmuka fokus mahjong daya pengguna aktifaws grid serasi mahjong dasar tahapan terjagaaws jejak mekanisme mahjong arah fase lanjutanaws kajian wild berantai mahjong interaktif analitisaws kesesuaian persentase layanan mahjong seluler lanceraws pendalaman persentase mahjong gerak wild mutakhircorak langka mahjong tumbuh perlahan berubahgerak mahjong adaptasi mekanisme pemakai sekarangnalar scatter mahjong malam putaran ekstratempo mahjong kaitan mekanisme keadaan terkinialur permainan mahjong cepat scatter wilddalam hitungan detik scatter wild mahjongmenyatukan naluri pola scatter hitam mahjongmomen mahjong permainan berbalik arahmomen singkat mahjong dinamika permainanperpaduan insting pola scatter hitam momentperubahan drastis mahjong ways scatter wildscatter wild mahjong datang polasekejap berubah scatter wild mahjong wayssensasi baru mahjong lebih scatter wildenergi scatter emas irama reel mahjongevolusi reel mahjong balutan mistisintervensi cepat emas momentum lamakemunculan mendadak naga emas mahjongketika scatter naga emas aktif mahjongnaga emas muncul arah spin mahjongnaga emas ritme mahjong ways berubahrahasia rtp tinggi balik scatter hitamsaat scatter naga emas alih irama reelscatter hitam kunci lonjakan rtp mahjonge5 scatter wild memberikan sentuhan baru di setiap spin mahjong ways 2e5 scatter wild menghidupkan suasana permainan mahjong ways 2e5 scatter wild mengubah pola permainan mahjong ways 2 secara signifikane5 setiap putaran mahjong ways 2 terasa berbeda dengan scatter wilde5 strategi adaptif berbasis analisis rtp hariane5 strategi berbasis data dan algoritma untuk analisis momentume5 strategi berkembang berkat data rtp hariane5 strategi memahami algoritma untuk mengidentifikasi momentum ideale5 strategi membaca pola algoritma demi menangkap momentum optimale5 strategi modern mengandalkan evaluasi rtp hariane5 strategi responsif dengan dukungan evaluasi rtp hariane5 strategi terukur dengan analisis rtp hariane5 struktur scatter dan wild terlihat jelas berkat analisis sistem moderne5 tanpa disadari kombinasi ini sering mengarah ke scatter di mahjong wins 3e5 teknik evaluasi algoritma untuk mendapatkan momentum yang tepate5 teknik observasi sistem untuk analisis momentum yang lebih presisie5 terungkap formasi ini sering jadi awal munculnya scatter di mahjong wins 3e5 transformasi digital rtp live berkat artificial intelligence inovatife5 transformasi ritme mahjong ways 2 dipicu oleh kekuatan scatter wilde5 wajib tahu pola tersembunyi ini sering menghasilkan scattere5 applee5 bananae5 candye5 doge5 eaglee5 falcone5 geminie5 horsee5 indiae5 japananalisa pola mahjong ways rutinanalisis kinerja heuristik variansi gameanalisis pola mahjong ways hariananalisis pola mahjong ways kebiasaanera baru mahjong wins bonus optimalgebrakan bonus mahjong wins mekanisme efisieninsight pola mahjong ways rutinkajian pola mahjong ways rutinkomparasi heuristik variansi game digitalledakan bonus mahjong wins sistem efektifmahjong wins bonus sistem generasi baruobservasi pola mahjong ways harianpendekatan algoritma heuristik variansi gameperbandingan model heuristik variansi gamerahasia bonus mahjong wins sistem cerdasrangkuman pola mahjong ways harianringkasan pola mahjong ways harianstudi pola mahjong ways hariantinjauan heuristik variansi game digitaltinjauan pola mahjong ways harianalur sombol mahjong kemunculan scatterdari rtp mahjong bermain lebih efektifjejak scatter mahjong putaran tenangkejutan scatter wild simbol mahjong arahkemunculan simbol ganda membuat mahjongketika grid mahjong scatter semakin dekatketika rtp mahjong pola mulai lebih jelasketika scatter wild ritme simbol mahjongketika scatter wild titik sesi mahjong waysketika susunan simbol mahjong ritme scattermemahami rtp mahjong cara bermain lebihpergerakan simbol mahjong scatter wildpergeseran mahjong ketika scatter hadirsaat rtp mahjong terbaca baik strategisaat scatter hadir simbol mahjong bergeserscatter wild dinamika simbol mahjongstabilitas putaran mahjong pola scattersusunan baru reel mahjong scatter emassusunan mahjong wins mengandung scattersusunan simbol mahjong diam pola scatterrm menguak keunikan mahjong wins sudut pandang teknisrm cara memahami pergerakan mahjong ways tenaga ekstrarm mahjong wins standar baru industri hiburan digitalrm rahasia ketahanan mahjong ways eksis gempuran gamerm pentingnya memahami transisi level mahjong wins mendalamrm strategi mengatur tempo mahjong ways kendali permainanrm peran kecerdasan buatan mekanisme mahjong wins adilrm alasan keberhasilan mahjong ways mencuri perhatian analisrm mempelajari struktur dasar mahjong wins efisiensi putaranrm inovasi desain mahjong ways kesan bermain responsifrm teknik observasi mahjong wins jarang dibahas dampakrm cara mempertahankan fokus dinamika mahjong ways cepatrm eksplorasi fitur tersembunyi mahjong wins ritme terbaikrm mahjong ways integrasi teknologi modern keamanan nyamanrm analisis faktor pendukung mahjong wins digemari generasirm langkah efektif menyesuaikan perubahan sistem mahjong waysrm mengintip proses pengembangan mahjong wins kualitas penggunarm analisis data membantu membaca arah mahjong waysrm menemukan titik temu insting logika mahjong winsrm transformasi besar mahjong ways menghadirkan tantangan menarikmengungkap simbol langka nasib drastismisteri besar kombinasi simbol langkamisteri simbol langka keberuntungan besarsimbol langka misterius ubah hiduprahasia simbol langka nasib cepattransformasi bonus mahjong wins sistem efektifmahjong wins suguhkan bonus sistem modernsuguhan bonus efisien mahjong winsefektivitas sistem bonus mahjong winsmahjong wins hadirkan bonus sistem optimaloke76cincinbetaqua365slot gacorstc76samurai76TOBA1131samurai76 login