Neuroendocrine Carcinomas of the Gynaecologic and Genitourinary Tract – A Tertiary Cancer Centre Data

Neuroendocrine Carcinomas of the Gynaecologic and Genitourinary Tract – A  Tertiary Cancer Centre Data

Lakshmi Haridas K *1, Dr. Sherry S Abraham 1, Sindhu Nair 2, Aswin Kumar 3, Rema P 4

 

1. Department of Medical Oncology, Regional Cancer Centre, Thiruvananthapuram – 695011, Kerala, India.

2.Department of Pathology, Regional Cancer Centre, Thiruvananthapuram– 695011, Kerala, India.

3.Department of Radiation Oncology, Regional Cancer Centre, Thiruvananthapuram– 695011, Kerala, India.

4.Department of Gynecologic Oncology, Regional Cancer Centre, Thiruvananthapuram– 695011, Kerala, India.


*Correspondence to: Dr. Lakshmi Haridas K, MD, DM, Associate Professor, Department of Medical Oncology, Regional Cancer Centre, Medical College campus, Post bag No 2417, Thiruvananthapuram- 695011, Kerala, India.

 

Copyright

© 2023 Dr. Lakshmi Haridas K. This is an open access article distributed under the Creative Commons AttributionLicense, which permits unrestricted use, distribution, and reproduction in any medium, provided the originalwork is properly cited.

 

Received: 23 August 2023

Published: 08 September 2023

 

Abstract

Objective: Neuroendocrine carcinomas (NEC) are entities mainly pertaining to lungs and gastrointestinal tract. Similar histology occurring as primary in the gynecologic and genitourinary tract (GU) is very rare. Our study aim to discuss the clinical characteristics and outcome of patients with NEC of gynaecologic and GU tract.

Materials and methods: This was a retrospective analysis done among patients with histologically confirmed NEC of the gynecologic and male/female GU tract treated at our center. The medical records were analyzed for demographics, clinical presentation, staging work up, histopathology, treatment details, outcome, follow-up and survival.

Results: A total of 14 patients with NEC of the gynecologic and GU tract were identified. There were 11 males and three females. Out of 11 males, nine had prostatic NEC, one each had adrenal and urachal NEC. Among females (n-3), one each had ovarian, cervix and endometrial NEC. Among prostatic NEC, four had large cell variant and five patients had small cell variant. Patients with large cell NEC were de novo and had bone-only metastases at presentation. Visceral and bone metastases were seen in those with small cell NEC. Adrenal gland NEC is rare with ours being the sixth in the literature. Urachal large cell NEC is the third to be reported. The survival is dismal despite aggressive multimodality treatment.

Conclusion: Primary NEC of the gynaecologic and GU tract are rare tumors. No specific treatment guidelines are available. Multimodality treatment extrapolated from NECs of other sites is used.

Keywords - neuroendocrine carcinoma, prostatic neuroendocrine carcinoma, endometrial neuroendocrine carcinoma, urachal neuroendocrine carcinoma, adrenal neuroendocrine carcinoma.


Neuroendocrine Carcinomas of the Gynaecologic and Genitourinary Tract – A Tertiary Cancer Centre Data

Introduction

Primary neuroendocrinetumours (NETs) of gynaecologic and genitourinary (GU) tract are a rare phenomenon. They constitute a heterogenous spectrum ranging from well-differentiated NETs to aggressive neuroendocrine carcinomas (NECs) either large cell (LCNEC) or small cell (SCNEC).[1] NETs of female reproductive tract account for only about 2% of all gynecologic cancers. Cervix is the most common site followed by ovary, uterus and rarely vulva and vagina. They arise from cells having neuroendocrine granules seen in normal cervix or may arise from stem cells. Genomic alterations caused by HPV is the leading cause of these neoplasms with HPV 18 as the most subtype [2]. NETs of genitourinary tract is seen in <0.05% of individuals with bladder as the most common site. Other common sites include prostate, kidney, ureter and urethra. Genetic damage and free radical mediated injury are proposed to be important risk factors for development of urinary tract neuroendocrine neoplasms [3].

Histopathological diagnosis of NET is based primarily on morphology and immunohistochemistry is used to confirm the diagnosis, to determine the primary site of NET and for prognostication. These tumours share common morphological features regardless of site of origin. Well differentiated NETs have small cells with uniform shape and have round to oval nuclei with granular chromatin pattern (‘salt and pepper’ appearance). LCNEC and SCNEC are poorly differentiated high grade neoplasms showing nuclear pleomorphisms, necrosis and high mitotic activity exceeding 10 mitosis per 10 high power fields and high Ki 67 labelling index. Immunohistochemical diagnosis relies on the demonstration of neuroendocrine markers such as chromogranins (chromogranin-A, B and C), synaptophysin, CD56, CD57neuron specific enolase and synaptic vesicle protein 2 (SV2). These markers are not specific for NETs and chromogranin A, synaptophysin and CD56 are the most commonly used ones in clinical practice. Poorly differentiated NECs can be negative or weak positive for chromogranin A2.

Because of the rarity of these tumours there are no standardized management guidelines. Majority of the patients with these tumours present in the advanced stage at diagnosis. Multimodal therapeutic approach including surgery, chemotherapy and radiation is preferred and these are extrapolated from small cell carcinoma of lung [4]. In this analysis we discuss the demographics, clinical presentation, staging work up, histopathology, treatment details and outcome of patients with NETs of gynaecologic and GU tract.

 

Materials and Methods

This was a retrospective analysis done among patients treated at Regional Cancer Centre, Thiruvananthapuram, Kerala from 2017-2021. The medical records of histologically confirmed NEC of the gynecologic and male/female GU tract were analysed in detail for demographic characteristics, clinical presentation, staging work up, pathology details, treatment details, recurrence, and follow-up. The treatment outcome and survival data in both these groups were recorded from the case records. Survival was calculated from the date of registration to the last follow up or death. The study was approved by the Institutional Ethics Committee HEC No. 06/22.

 

Results

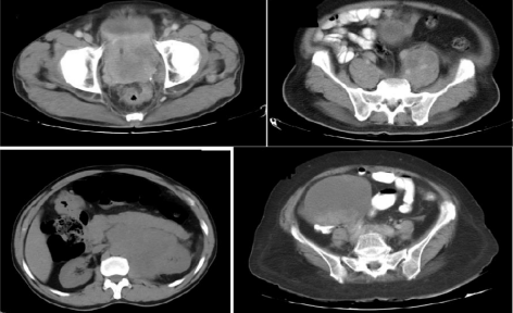
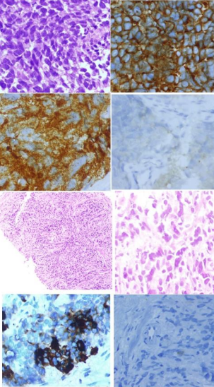
A total of 14 patients with histologically confirmed NEC were available. There were 11 males and 3 females. Out of 11 males, nine had prostatic NEC, one each had adrenal and urachal NEC. Among females (n-3), one each had ovarian, cervix and endometrial NEC. The median age was 70 years (range 59-80 years). The relevant imaging and histopathological images are presented in Fig 1 and Fig 2 respectively. The summary of patient characteristics, their treatment and outcome are summarised in Table 1.

Fig 1(A): Computed Tomography (CT) of the pelvis showing large prostatic mass with infiltration of bladder base and seminal vesicles

Fig 1(B): CT abdomen showing common iliac lymph nodes measuring 6.8 cm, in the patient with prostatic mass.

Fig 1(C): CT abdomen showing left supra renal mass, 57x62x60mm at the level of coeliac origin.

Fig 1(D): CT abdomen/pelvis showing complex right adnexal mass 10.4x10x11cm.

 

Fig 2(A): H&E 400x showing large cell neuroendocrine carcinoma.

Fig 2(B): IHC 400x showing cytokeratin positivity.

Fig 2(C): IHC 400x showing chromogranin positivity.

Fig 2(D): IHC 400x showing synaptophysin positivity.

Fig 2(E): H&E 100x showing small cell neuroendocrine carcinoma.

Fig 2(F): H&E 400x showing small cell neuroendocrine carcinoma.

Fig 2(G): IHC 200x showing chromogranin positivity in small cell neuroendocrine carcinoma.

Fig 2(H): IHC 400x showing synaptophysin positivity in small cell neuroendocrine carcinoma.

 

Genitourinary NEC:

Prostatic NEC:

In the present analysis, nine patients had prostatic NEC. The patients ranged in age from 59 to 80 years. All patients presented with lower urinary tract symptoms. None had a family history of cancer. De-novo presentation was seen in seven patients, whereas, two had NEC at progression. The median prostate specific antigen (PSA) was 1.65ng/ml (range 0.09-15ng/mL). Four and five patients had LCNEC and SCNEC respectively. Patients with LCNEC were de-novo and had bone-only metastases at presentation. Visceral metastases were seen only in patients with SCNEC, with lung in three, brain in two, liver in one and bone metastases in three. Eight patients received androgen deprivation therapy (ADT), three received palliative radiotherapy, one received whole brain radiotherapy and three received chemotherapy (cisplatin in one, cisplatin etoposide in one and carboplatin etoposide in one). The median survival was 6 months (range 2-12 months).

 

Adrenal NEC:

A male patient, 59-year-old, with no comorbidities or significant family history, was evaluated for short term loss of weight. He had a left suprarenal lesion on imaging and the metastatic work up was negative. As there was concern for local invasion and inoperability, a biopsy of the adrenal lesion was done which showed SCNEC. He received 6 cycles of carboplatin-etoposide, after which he developed progressive disease in the brain and expired at 10th month from the date of diagnosis.

 

Urachal NEC:

A 25 year old male, no comorbidities, was treated outside for hematuria. Cystoscopy showed a 4x4cm mass protruding from the bladder dome. Computed Tomography (CT) confirmed the bladder lesion with intravesical extension. He underwent urachal mass excision and the histopathology suggested urachal LCNEC. Metastatic work up showed bilateral lung metastasis and peritoneal nodule. He received palliative chemotherapy with carboplatin and etoposide. After three cycles, he had progressive disease in lungs/peritoneum and new onset ascites. He subsequently received cisplatin-irinotecan and was referred to our centre for further care. At presentation, he had an Eastern Co-operative Oncology Group performance status (ECOG PS) of 3, was unfit for any form of active treatment and was offered best supportive care. The patient expired at 6 months from the diagnosis.

 

Gynecologic NEC:

Ovarian NEC:

A 42 year old lady, diabetic on drugs, was evaluated for lower abdominal pain and distension. Clinically, there was a diffuse mass filling the left hypochondrium and pouch of Douglas deposits. Magnetic Resonance Imaging of abdomen/pelvis showed a complex abdominopelvic lesion of size 23x15x18 cm with lymph node and peritoneal metastases. Ovarian biopsy showed LCNEC. She was planned for chemotherapy, but was lost to follow up.

 

Cervix NEC:

A 67 year old lady presented with postmenopausal bleeding. Clinical examination showed a proliferative growth from the posterior lip of cervix involving upper third of vagina and bilateral parametrial involvement. Magnetic Resonance Imaging (MRI) abdomen pelvis showed an endocervical growth with bilateral parametrial involvement, right adnexal mass of 9.4x13.8x13.9 cm with multiple pelvic lymph nodes and mild ascites. Biopsy from cervix showed SCNEC. The patient was given 6 cycles of cisplatin etoposide. She progressed and expired at 10 months from diagnosis.

 

Endometrium NEC:

A 60 year old lady, was evaluated for postmenopausal bleeding. On examination, she was of ECOG PS 1 and MRI abdomen showed thickened endometrium with an enhancing polypoidal mass of 6.3x6.7x5.1 cm within the endometrial cavity. There were no adenexal lesions or pelvic lymphadenopathy. She underwent total abdominal hysterectomy with bilateral salpingo-oophorectomy and the histopathology showed a 6.3x6.7x5.1 cm mass arising from the posterior aspect of fundus and uterine body, endometrial LCNEC,<50% myometrial involvement and lymphovascular invasion (Stage 1A). She received adjuvant 2 cycles of cisplatin etoposide, followed by pelvic radiotherapy 45Gy in 25 fractions, followed by 2 more cycles of cisplatin etoposide. At 18 months of follow up, she is clinically well.


Discussion

The characteristic of neuroendocrine phenomenon in cancer is the presence of peptide hormones in blood. The neuroendocrine tumours arise from the native neuroendocrine cells present in the body organs, mostly, lungs, gastrointestinal tract, para-follicular cells of the thyroid, parathyroid and adrenocortical tissues. Their clinicopathologic features are determined by their site of origin and neuroendocrine differentiation. High grade tumours (herein referred as NEC) are different from low/intermediate grade tumours in terms of clinical behavior and treatment options.

NET/NEC can arise in any body tissue and so is the gynaecologic and genitourinary tract. NETs of lung, gastrointestinal tract, thymus etc. have grading and staging systems. Similar staging is unavailable for gynecologic and genitourinary tract primary NEC. In the present study, we analyzed our data in this rare entity.

Primary NETs of the prostate constitute less than 1% of all prostatic cancers.[5] As per 2016 World Health Organization, prostatic NETs are of 5 groups: usual adenocarcinoma with neuroendocrine differentiation, adenocarcinoma with Paneth cell–like neuroendocrine differentiation, carcinoid tumour, SCNEC and LCNEC.[6] Pathological distinction among these types is very important and is detailed in table 2. In a de- novo prostatic adenocarcinoma, neuroendocrine differentiation is considered to be aggressive. However, pure NEC prostate (SCNEC/LCNEC) have inferior outcome, due to high metastatic load and treatment resistance.

SCNEC of the prostate was initially described by Wenk et al. This accounts for <1% of prostatic cancers and 1-2% of small cell cancers.7,8 They  can arise de-novo or as a seepage phenomenon from androgen deprivation control.[7] The etio-biology of SCNEC prostate is less defined. It is postulated to arise from a common progenitor stem cell of the prostate. Another mechanism is clonal differentiation from conventional adenocarcinoma prostate, as they both share ERG rearrangement and REST upregulation. Voiding symptoms, pelvic/abdominal pain, hematuria or tenesemus are the presenting complaints. Ten percent of patients can manifest with paraneoplastic syndromes, like Cushing’s syndrome, hypercalcemia, Eaton Lambert syndrome or syndrome of inappropriate secretion of anti-diuretic hormone. Biopsy of the prostate, bone scan and CT chest/abdomen/pelvis are used for staging and metastatic work up. Serum neuroendocrine markers might be elevated, however they are debated.

Majority of the patients present with upfront metastatic disease. In a rapidly progressing lesion with huge prostatomegaly, extensive bone/visceral/brain metastases amidst disproportionately low serum PSA; NEC prostate is a differential diagnosis. LCNEC in its pure form is extremely rare. The largest series of LCNEC prostate has seven described cases of which one is de-novo.

Randomized data for any high-grade NEC of extrapulmonary origin are lacking. The treatment options are extrapolated from accepted therapies for small cell lung cancer.[7] In non-metastatic cases, prostatectomy can be curative.[9] Chemotherapy and radiation are often given as adjuvant therapy. But, in clinical practice, majority are metastatic. Evidence for systemic chemotherapy are available from few phase II trials using cisplatin/carboplatin with etoposide/docetaxel/doxorubicin/estramustine. The median overall survival (OS) ranged from 9-19 months as per these studies.[9] The platinum chemotherapy is the backbone of treatment in NEC prostate. They have poor response to androgen deprivation therapy(ADT) due to the lack of androgen receptor. However, ADT may be given along with chemotherapy because some adenocarcinoma cells might survive chemotherapy and may be androgen sensitive.[9] Recent evidence from the subgroup analysis of the trial which compared cabazitaxel with/without carboplatin in metastatic castrate resistant prostate cancer defines neuroendocrine component in prostate cancer as an aggressive histology and qualifies for platinum doublet chemotherapy.[10]

In our study, nine patients had prostatic NEC (4 – LCNEC and 5 – SCNEC) and were above sixth decade of life. Eight out of nine received ADT and three fit patients received platinum based chemotherapy. Many patients presented in very poor performance status, which made them unfit for chemotherapy. The survival of patients who received chemotherapy, even though few in number, seemed to be higher. It was interesting to note that, patients with LCNEC prostate had bone only metastases and on the other hand, visceral metastases (lung, brain, liver) were seen only in patients with SCNEC. However, in a series of seven patients with LCNEC prostate by Evans etal, two patients had visceral metastases and the mean survival was seven months. The role of prophylactic cranial irradiation is controversial in SCNEC prostate and only a large patient database can answer this question.

Majority of adrenal neuroendocrine tumours are pheochromocytomas. NEC of the adrenal gland is rare and to the best of our knowledge, ours is the sixth case (Table 3) to be reported in the English literature.[11,12,13,14,15] The adrenal lesions are mostly metastatic deposits. Hence, while evaluating such cases, a thorough search for other organ primaries is mandatory.

Out of the six cases including ours, five were males, all had SCNEC type and majority (n-5) were localized. Surgery was done in four patients and the chemotherapy regimen received was cisplatin – etoposide, as in our case. The longest survivor reported had received maintenance immunotherapy which prompts us to think the role of immunotherapy is these cases.

Urachal cancers comprise<1% of all bladder cancers in adults.[16] Urachal carcinoma commonly arises from the epithelial lining of the urachal remnant at the bladder dome, or anywhere along the bladder midline. Adeno carcinomas are the most common type of urachal carcinomas.[17] Then non glandular histologies are urothelial carcinoma, squamous cell carcinoma or mixed type.[17] Pure urachal NEC is extremely rare and its pathogenesis is not defined. They are postulated to either originate from the pleuripotent stem cells, or via differentiation of urachal neuroendocrine cells.[17]

Urachal NEC can be small/large cell with or without adenocarcinoma. Most of these patients present with metastatic disease. They present with hematuria and signs of metastatic disease. There is no recommendation regarding their optimal management. Complete surgical removal should be performed whenever possible. Chemotherapy regimens are similar to those recommended for small cell lung cancer. Ebara et al has described clinical response to gemcitabine, cisplatin and paclitaxel in metastatic urachal NEC.[18] The prognosis of these patients is dismal even with combination regimes. Upon literature review, only fewer than 25 cases of urachal NEC have been reported with only 2 cases of urachal LCNEC. [17,19] Our case adds to the present literature as the third case of urachal LCNEC. In all these cases, rapidly progressing widespread metastases were seen and the survival was dismal.

Neuroendocrine carcinoma of the cervix (NECC) are aggressive malignancies constituting only 1.4% of cervical cancer cases.[20] As per Tempfer et al, the majority were small cell variety (80.4%), followed by large cell (12%). The biology of NECC is distinct from squamous cell carcinoma or adenocarcinoma of the cervix. Human Papilloma Virus (HPV) infection is the underlying cause for most cases of NECC, mostly HPV 16 and 18. They are immunoreactive to synaptophysin, chromogranin, CD56, neuron-specific enolase and p16.[21] NECC tend to have lymphovascular and hematogenous invasion even at localised stages of the disease. Bone, brain, liver and bone marrow are frequently metastasised.[22] Patients present with vaginal bleeding/discharge or pelvic pain. For diagnosis, positive staining of at least two neuroendocrine markers is recommended. Both SCNECC and LCNECC carry p53 mutation, 3p deletion, 9p21 deletion and intact KRAS.[23] The median age at presentation was 46 years.

The prognostic factors described are tumour size, lymph node involvement, lymphovascular space invasion and depth of invasion.[22] Among LCNECC, inferior OS was seen in HER2/neu negative and EGFR+ve carcinomas.[22]

Due to scarcity of treatment recommendations in this rare malignancy, many oncologists used multimodality approaches alike therapy of cervical cancer and bronchogenic neuroendocrine tumours as well.[20]  Society of Gynaecologic Oncologists SGO recommends etoposide/platinum-based chemotherapy for NECC.[23] The Gynecologic Cancer Intergroup (GCIG) recommend radical surgery for early-stage disease, either primarily or after neoadjuvant chemotherapy and chemoradiation or systemic chemotherapy for advanced stage disease. [24,25] Cisplatin/carboplatin and etoposide is the most commonly used chemotherapy regimen. Data for novel therapeutics such as immune checkpoint inhibitors and targeted therapies are limited.[26,27,28] The disease free survival is usually short when compared to other histologies with most of the recurrences occurring within first year.[29] The 5-year OS is significantly poorer (30%) compared to >65% for squamous cell carcinoma and adenocarcinoma of the cervix.[22] For recurrent NECC, who had already received cisplatin/carboplatin and etoposide in the primary setting might benefit from a triplet regimen consisting of topotecan, paclitaxel, and bevacizumab. In a large series by Frumovitz et al, combination of topotecan, paclitaxel, and bevacizumab was found to be superior to platinum-based regimens with or without a taxane.[30]

Our patient with SCNECC was treated with etoposide and cisplatin. However, she had progressive central nervous system involvement and expired at 10 months.

Pure NEC of the ovary is very rare. LCNEC ovary is a rare diagnosis with only 18 cases reported so far.[31] The origin of ovarian LCNEC is proposed to be either from the APUD cells in the epithelial tumors/teratoma or via neuroendocrine differentiation.[31] From the available literature, the median age at presentation is 41 years. The patients’ clinical presentation will be similar to that of epithelial ovarian cancer. CA-125 levels do not correlate with the aggressiveness of the disease. Due to the rarity of the disease, there is no consensus on the management of this disease. The most commonly used chemotherapy regimens are etoposide- platinum, paclitaxel carboplatin, etoposide-cisplatin-bleomycin. This is a poor prognostic entity with very dismal outcome for patients even at early stages of the disease. Our patient had a histopathological diagnosis of ovarian LCNEC but was lost to follow up. Pure NEC of the endometrium is a rare disease; still among them, the most common is SCNEC. LCNEC of the endometrium is an infrequent tumour with only 20 cases reported in the literature.[32] No specific biomarkers or imaging findings suggest a clue towards NEC endometrium. The adjuvant treatment goes by the principle of how we treat NEC lung, with cisplatin – etoposide based chemo and radiation. From the available literature, we learn that the disease carries a very poor prognosis, even if treated aggressively, in the early stage. Our patient is disease free at 18 months follow up.

Table 2: Pathological features in different types of neuroendocrine carcinoma prostate

Table 3: Summary of adrenal neuroendocrine carcinoma published till date:

Abbreviations: M – male, F- female, LCNEC – large cell neuroendocrine carcinoma, SCNEC – small cell neuroendocrine carcinoma, SCC – small cell carcinoma, NR – not reported

(please refer attached pdf to view tables)

 

Conclusions

Primary NECof the gynaecological and GU tract are much rarer than in the lung or the gastrointestinal tract. Thorough search for a primary elsewhere is warranted. The use of neuroendocrine IHC markers is a sensitive diagnostic tool. Due to the rarity of these tumours, no specific treatment guidelines are available. They are usually managed using regimens extrapolated from NECs at other sites.

 

Reference

1.Shehabeldin AN, Ro JY. Neuroendocrine tumors of genitourinary tract: Recent advances. Ann DiagnPathol. 2019;42:48–58. doi:10.1016/j.anndiagpath.2019.06.009

2.Kefeli M, Usubütün A. An Update of Neuroendocrine Tumors of the Female Reproductive System. Turk Patoloji Derg. 2015;31 Suppl 1:128-144. doi:10.5146/tjpath.2015.01320

3.Virarkar, M.; Vulasala, S.S.; Gopireddy, D.; Morani, A.C.; Daoud, T.; Waters, R.; Bhosale, P. Neuroendocrine Neoplasms of the Female Genitourinary Tract: A Comprehensive Overview. Cancers 2022, 14, 3218. doi:10.3390/cancers14133218

4.Gibbs J, Mei S, Economos K, Lee YC, Kanis MJ. Clinicopathologic features, incidence, and survival trends of gynecologic neuroendocrine tumors: a SEER database analysis. Am J Obstet Gynecol. 2019;221(1):53.e1-53.e6. doi:10.1016/j.ajog.2019.02.052

5.Rao T, Rajeev TP. Primary Neuroendocrine Tumor of Prostate - A Rare Entity. Med Sur Urol. 2018;7:199. doi: 10.4172/2168-9857.1000199.

6.Hu J, Han B, Huang J. Morphologic Spectrum of Neuroendocrine Tumors of the Prostate: An Updated Review. Arch Pathol Lab Med. 2019;144(3):320–325. doi:10.5858/arpa.2019-0434-RA

7.Hoof P, Tsai-Nguyen G, Paulson S, Syed A, Mora A. Neuroendocrine carcinoma of the prostate gland. ProcBaylUniv Med Cent. 2016;29(1):68–69. doi:10.1080/08998280.2016.11929365

8.Kumar K, Ahmed R, Chukwunonso C, Tariq H, Niazi M, Makker J et al. Poorly Differentiated Small- Cell-Type Neuroendocrine Carcinoma of the Prostate: A Case Report and Literature Review. Case Rep Oncol. 2018;11(3):676–681. doi:10.1159/000493255

9.Nadal R, Schweizer M, Kryvenko ON, Epstein JI, Eisenberger MA. Small cell carcinoma of the prostate. Nat Rev Urol. 2014;11(4):213–219. doi:10.1038/nrurol.2014.21

10.Paul G Corn, Elisabeth I Health, Amado Zurita, Naveen Ramesh, Lianchun Xiao, Emi Si etal. Cabazitaxel plus carboplatin for the treatment of men with metastatic castration-resistant prostate cancers: a randomised open label phase 1-2 trial. Lancet Oncol. 2019;20:1432-43. doi:10.1016/S1470- 2045(19)30408-5

11.Kun Chang, Bo Dai, Yun Yi Kong, Yuan YuanQu, Hua Lei Gan, Wei JieGuetal. Genitourinary small cell carcinoma: 11 year treatment experience. Asian Journal of Andrology. 2014;16:705–709. doi: 10.4103/1008-682X.127811.

12.Aisheng Dong, ChangjingZuoand Yang Wang.FDG PET/CT Imaging of Extrapulmonary Small Cell Carcinoma of the Adrenal Gland.ClinNucl Med. 2013;38(11): e407-e410. doi:10.1097/RLU.0b013e318286bfcc

13.Kosuke Ogawa, Yousuke Shimizu, Shoko Uketa, Noriaki Utsunomiya, Kazutaka Kida, Misa Ishiharaetal. Primary small cell neuroendocrine carcinoma of adrenal gland. International Cancer Conference Journal.2019;8:122–125. doi.org/10.1007/s13691-019-00368-4.

14.Jennifer Y. Lee, David Strauss, Kelly Bailey, Marc Smaldone. Primary small cell carcinoma of the adrenal gland: Case presentation of a rare extrapulmonary small cell carcinoma. Urology Case Reports. 2020;33:101320. doi.org/10.1016/j.eucr.2020.101320.

15.Vladimir Limonnik, Deep Shah, Ariel Sandhu and Dulabh K. Monga.A Rare Case of Locally Advanced Primary Small Cell Neuroendocrine Carcinoma of the Adrenal Gland.Anticancer Research. 2020;40:5933- 5938. doi:10.21873/anticanres.14614.

16.Paner GP, Barkan GA, Mehta V, Sirintrapun SJ, Tsuzuki T, Sebo TJ, Jimenez RE. Urachal carcinomas of the nonglandular type: salient features and considerations in pathologic diagnosis. Am J SurgPathol.2012 ;36(3):432–442.doi:10.1097/PAS.0b013e31823fe49c

17.Wang G, Huang H, Kamat AM, Siefker-Radtke A, Dinney CP, Troncoso P, Czerniak B, Gou CC. High- grade neuroendocrine carcinoma of the urachus-report of 3 cases. Hum Pathol. 2017;67:126–133. doi:10.1016/j.humpath.2017.08.003

18.Ebara S, Kobayashi Y, Sasaki K, Araki M, Sugimoto M, Wada K, Fujio K, Takamoto A, Watanabe T, Yanai H, Nasu Y. A Case of Metastatic Urachal Cancer Including a Neuroendocrine Component Treated with Gemcitabine, Cisplatin and Paclitaxel Combination Chemotherapy. Acta Med Okayama. 2016;70(3):223–227. doi:10.18926/AMO/54423

19.Abenoza P, Manivel C, Sibley RK. Adenocarcinoma with neuroendocrine differentiation of the urinary bladder.Clinicopathologic, immunohistochemical, and ultrastructural study. Arch Pathol Lab Med. 1986;110:1062–1066.

20.Tempfer CB, Tischoff I, Dogan A, Hilal Z, Schultheis B, Kern P, Rezniczek GA. Neuroendocrine carcinoma of the cervix: a systematic review of the literature. BMC Cancer. 2018;18:530.doi:10.1186/s12885-018-4447-x

21.Wang KL, Chang TC, Jung SM, Chen CH, Cheng YM, Wu HHetal. Primary treatment and prognostic factors of small cell neuroendocrine carcinoma of the uterine cervix: a Taiwanese Gynecologic Oncology Group study. Eur J Cancer. 2012;48(10):1484-1494. doi: 10.1016/j.ejca.2011.12.014.

23.Gadducci A, Carinelli S, Aletti G. Neuroendrocrinetumors of the uterine cervix: A therapeutic challenge for gynecologic oncologists. GynecolOncol. 2017 Mar 1;144(3):637–646.doi:10.1016/j.ygyno.2016.12.003

24.Satoh T, Takei Y, Treilleux I, Devouassoux-Shisheboran M, Ledermann J, Viswanathan AN, Mahner S, Provencher DM, Mileshkin L, Avall - LundqvistE, Pautrier P, Simon Reed N, Fujiwara K. Gynecologic Cancer InterGroup (GCIG) consensus review for small cell carcinoma of the cervix. Int J Gynecol Cancer Off J IntGynecol Cancer Soc. 2014;24(9):S102-8. doi:10.1097/IGC.0000000000000262

25.Gardner GJ, Reidy-Lagunes D, Gehrig PA. Neuroendocrine tumors of the gynecologic tract: A Society of Gynecologic Oncology (SGO) clinical document. GynecolOncol. 2011;122(1):190–198. doi:10.1016/j.ygyno.2011.04.011

26.Wharton D, Kim E, Pagan J, Small W, Jaboin J, Ayala-Peacock D. Patterns of Care and Outcomes for Small Cell Carcinoma of the Cervix: A National Retrospective Analysis of 542 Cases. AdvRadiatOncol. 2020 ;5(3):412–418. doi:10.1016/j.adro.2019.08.008

27.Sharabi A, Kim SS, Kato S, Sanders PD, Patel SP, Sanghvi P, Weihe E, Kurzrock R. Exceptional response to Nivolumab and stereotactic body radiation therapy (SBRT) in neuroendocrine cervical carcinoma with high tumor mutational burden: management considerations from the center for personalized Cancer therapy at UC san Diego Moores Cancer center. Oncologist. 2017;22:631–637. doi.org/10.1634/theoncologist.2016-0517.

28.Lyons YA, Frumovitz M, Soliman PT. Response to MEK inhibitor in small cell neuroendocrine carcinoma of the cervix with a KRAS mutation. GynecolOncol Rep. 2014;10:28– 29.doi.org/10.1016/j.gore.2014.09.003.

29.Paraghamian SE, Longoria TC, Eskander RN. Metastatic small cell neuroendocrine carcinoma of the cervix treated with the PD-1 inhibitor, nivolumab: a case report. GynecolOncol Res Pract. 2017;4:3.doi.org/ 10.1186/s40661-017-0038-9.

30.V P, Shalini CNS, Priya S, Rani U, Rajendiran S, Joseph LD. Small Cell Neuroendocrine Carcinoma of the Cervix: A Rare Entity. J ClinDiagn Res. 2014;8(2):147–148.doi:10.7860/JCDR/2014/6811.4036

31.Frumovitz M, Munsell MF, Burzawa JK, Byers LA, Ramalingam P, Brown J, Coleman RL. Combination therapy with topotecan, paclitaxel, and bevacizumab improves progression-free survival in recurrent small cell neuroendocrine carcinoma of the cervix. GynecolOncol. 2017 Jan;144(1):46– 50.doi:10.1016/j.ygyno.2016.10.040

32.Peng X, Wang H. Primary pure large cell neuroendocrine carcinoma of the ovary: a rare case report and review of literature. Medicine.

2020;99:49(e22474).doi:10.1097/MD.0000000000022474

33.Courtney Jenny, Kristopher Kimball, Larry Kilgore, Jonathan Boone. Large cell neuroendocrine carcinoma of the endometrium: a report and review of the literature. Gynecologic Oncology Reports. 2019;28:96–100.doi:10.1016/j.gore.2019.03.006.

Figure 1

Figure 2

antarmuka fokus mahjong daya pengguna aktifaws grid serasi mahjong dasar tahapan terjagaaws jejak mekanisme mahjong arah fase lanjutanaws kajian wild berantai mahjong interaktif analitisaws kesesuaian persentase layanan mahjong seluler lanceraws pendalaman persentase mahjong gerak wild mutakhircorak langka mahjong tumbuh perlahan berubahgerak mahjong adaptasi mekanisme pemakai sekarangnalar scatter mahjong malam putaran ekstratempo mahjong kaitan mekanisme keadaan terkinialur permainan mahjong cepat scatter wilddalam hitungan detik scatter wild mahjongmenyatukan naluri pola scatter hitam mahjongmomen mahjong permainan berbalik arahmomen singkat mahjong dinamika permainanperpaduan insting pola scatter hitam momentperubahan drastis mahjong ways scatter wildscatter wild mahjong datang polasekejap berubah scatter wild mahjong wayssensasi baru mahjong lebih scatter wildenergi scatter emas irama reel mahjongevolusi reel mahjong balutan mistisintervensi cepat emas momentum lamakemunculan mendadak naga emas mahjongketika scatter naga emas aktif mahjongnaga emas muncul arah spin mahjongnaga emas ritme mahjong ways berubahrahasia rtp tinggi balik scatter hitamsaat scatter naga emas alih irama reelscatter hitam kunci lonjakan rtp mahjonge5 scatter wild memberikan sentuhan baru di setiap spin mahjong ways 2e5 scatter wild menghidupkan suasana permainan mahjong ways 2e5 scatter wild mengubah pola permainan mahjong ways 2 secara signifikane5 setiap putaran mahjong ways 2 terasa berbeda dengan scatter wilde5 strategi adaptif berbasis analisis rtp hariane5 strategi berbasis data dan algoritma untuk analisis momentume5 strategi berkembang berkat data rtp hariane5 strategi memahami algoritma untuk mengidentifikasi momentum ideale5 strategi membaca pola algoritma demi menangkap momentum optimale5 strategi modern mengandalkan evaluasi rtp hariane5 strategi responsif dengan dukungan evaluasi rtp hariane5 strategi terukur dengan analisis rtp hariane5 struktur scatter dan wild terlihat jelas berkat analisis sistem moderne5 tanpa disadari kombinasi ini sering mengarah ke scatter di mahjong wins 3e5 teknik evaluasi algoritma untuk mendapatkan momentum yang tepate5 teknik observasi sistem untuk analisis momentum yang lebih presisie5 terungkap formasi ini sering jadi awal munculnya scatter di mahjong wins 3e5 transformasi digital rtp live berkat artificial intelligence inovatife5 transformasi ritme mahjong ways 2 dipicu oleh kekuatan scatter wilde5 wajib tahu pola tersembunyi ini sering menghasilkan scattere5 applee5 bananae5 candye5 doge5 eaglee5 falcone5 geminie5 horsee5 indiae5 japananalisa pola mahjong ways rutinanalisis kinerja heuristik variansi gameanalisis pola mahjong ways hariananalisis pola mahjong ways kebiasaanera baru mahjong wins bonus optimalgebrakan bonus mahjong wins mekanisme efisieninsight pola mahjong ways rutinkajian pola mahjong ways rutinkomparasi heuristik variansi game digitalledakan bonus mahjong wins sistem efektifmahjong wins bonus sistem generasi baruobservasi pola mahjong ways harianpendekatan algoritma heuristik variansi gameperbandingan model heuristik variansi gamerahasia bonus mahjong wins sistem cerdasrangkuman pola mahjong ways harianringkasan pola mahjong ways harianstudi pola mahjong ways hariantinjauan heuristik variansi game digitaltinjauan pola mahjong ways harianalur sombol mahjong kemunculan scatterdari rtp mahjong bermain lebih efektifjejak scatter mahjong putaran tenangkejutan scatter wild simbol mahjong arahkemunculan simbol ganda membuat mahjongketika grid mahjong scatter semakin dekatketika rtp mahjong pola mulai lebih jelasketika scatter wild ritme simbol mahjongketika scatter wild titik sesi mahjong waysketika susunan simbol mahjong ritme scattermemahami rtp mahjong cara bermain lebihpergerakan simbol mahjong scatter wildpergeseran mahjong ketika scatter hadirsaat rtp mahjong terbaca baik strategisaat scatter hadir simbol mahjong bergeserscatter wild dinamika simbol mahjongstabilitas putaran mahjong pola scattersusunan baru reel mahjong scatter emassusunan mahjong wins mengandung scattersusunan simbol mahjong diam pola scatterrm menguak keunikan mahjong wins sudut pandang teknisrm cara memahami pergerakan mahjong ways tenaga ekstrarm mahjong wins standar baru industri hiburan digitalrm rahasia ketahanan mahjong ways eksis gempuran gamerm pentingnya memahami transisi level mahjong wins mendalamrm strategi mengatur tempo mahjong ways kendali permainanrm peran kecerdasan buatan mekanisme mahjong wins adilrm alasan keberhasilan mahjong ways mencuri perhatian analisrm mempelajari struktur dasar mahjong wins efisiensi putaranrm inovasi desain mahjong ways kesan bermain responsifrm teknik observasi mahjong wins jarang dibahas dampakrm cara mempertahankan fokus dinamika mahjong ways cepatrm eksplorasi fitur tersembunyi mahjong wins ritme terbaikrm mahjong ways integrasi teknologi modern keamanan nyamanrm analisis faktor pendukung mahjong wins digemari generasirm langkah efektif menyesuaikan perubahan sistem mahjong waysrm mengintip proses pengembangan mahjong wins kualitas penggunarm analisis data membantu membaca arah mahjong waysrm menemukan titik temu insting logika mahjong winsrm transformasi besar mahjong ways menghadirkan tantangan menarikmengungkap simbol langka nasib drastismisteri besar kombinasi simbol langkamisteri simbol langka keberuntungan besarsimbol langka misterius ubah hiduprahasia simbol langka nasib cepattransformasi bonus mahjong wins sistem efektifmahjong wins suguhkan bonus sistem modernsuguhan bonus efisien mahjong winsefektivitas sistem bonus mahjong winsmahjong wins hadirkan bonus sistem optimaloke76cincinbetaqua365slot gacorstc76samurai76TOBA1131samurai76 login