Partial Hydatidiform Mole in Ectopic Pregnancy: Report of a Rare Case

Partial Hydatidiform Mole in Ectopic Pregnancy: Report of a Rare Case

Dr. Srijita Chaudhuri 1, Dr. Debojyoti Ghosh 2*, Dr. Indranil Das

1,2,3. Department of Pathology, Oncquest Laboratories Ltd, Kolkata, West Bengal, India.

*Correspondence to: Dr. Debojyoti Ghosh, Consultant Histopathologist at Oncquest Laboratories Ltd.

Copyright

© 2023 Dr. Debojyoti Ghosh. This is an open access article distributed under the Creative Commons Attribution License, which permits unrestricted use, distribution, and reproduction in any medium, provided the original work is properly cited.

Received: 04 September 2023

Published: 30 September 2023

 

Abstract

Molar pregnancy in tubal ectopic is extremely rare. The main diagnostic tool is post-operative histopathological diagnosis. Pre-operative diagnosis is difficult as clinically molar pregnancy mimics normal ectopic pregnancy. We report a case of ectopic partial molar pregnancy in the right fallopian tube of a 29year old lady that was sent to us for routine histopathological examination with the clinical diagnosis of tubal ectopic.

Keywords: Molar pregnancy, Histopathological examination, Tubal ectopic.


Partial Hydatidiform Mole in Ectopic Pregnancy: Report of a Rare Case

Introduction

Most of the gestational trophoblastic disease (GTDs) occur in uterus, but ectopic molar pregnancy is very rare. Diagnosis of ectopic molar pregnancy is very difficult as there is no distinguishing features except histopathological diagnosis and DNA ploidy analysis. Combination of molar and ectopic pregnancy is extremely rare finding. We present a case of tubal partial mole that was diagnosed accidentally during routine histopathological examination of salpingectomy specimen.

 

Case Report:

A 29-year-old non-smoker, non-alcoholic lady went to a nearby gynecology clinic with chief complaints of acute severe lower abdominal pain with recent onset vaginal bleeding. She was 9weeks pregnant. She was non-smoker, non-alcoholic and had no known allergy to food or medicines.

On examination, her blood pressure was 100/60mm of Hg with pulse rate of 90/min. Per abdominal examination showed tenderness over right iliac fossa with no rigidity. On per speculum examination there was blood in vagina.

Pregnancy card test in the clinic was positive. Urgent ultrasound scan revealed an antenatal bulky uterus without any evidence of intrauterine pregnancy. There was a complex right adnexal mass measuring 5x2.5x2cm containing a gestational sac. Pouch of Douglas showed blood. All these findings were consistent with ectopic right tubal pregnancy. Her hemoglobin level was 9.5mg/dl and β HCG level was 20,000Units/ml.

Based on the clinical diagnosis, exploratory laparotomy was done which revealed normal left adnexa and right tubal pregnancy with active bleeding in the tube. Right salpingectomy was done and the formalin fixed specimen was sent to our laboratory for histopathological examination.

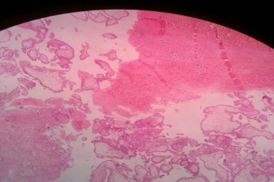
Gross examination: The content of tube consisted of grey, brown hemorrhagic material along with a part of patent fallopian tube measuring 4.5x 2.2x 1.3cm. Entire tissue was submitted for histopathological examination.

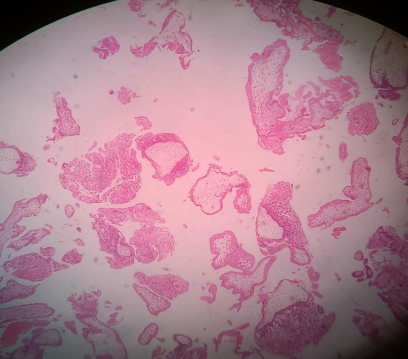
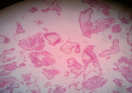
Microscopic examination: Sections showed multiple chorionic villi of variable sizes, predominantly hydropic and admixed with few normal appearing villi. Enlarged villi were irregularly shaped with scalloped borders and secondary trophoblastic pseudo-inclusions were seen. Fetal nucleated RBCs were abundant. Circumferential trophoblastic hyperplasia was noted. Based on the above histological features a diagnosis of partial molar ectopic pregnancy was made. However, patient was advised karyotyping for further confirmation. Follow up with serial B HCG estimation was done which showed a gradual decline.

Figure 1: Chorionic villi of variable sizes

Figure 2: Patent fallopian tube

Figure 3: Scalloping of villi

Figure 4: Circumferential trophoblastic hyperplasia
 

Discussion:

Ectopic molar pregnancy is an extremely rare condition with an incidence of 1-5/ 2,00000 (1). The diagnosis of this entity predominantly depends on histopathology examination (2).

Hydatidiform mole is characterized by hydropic degeneration of chorionic villi and circumferential proliferation of trophoblastic tissue. Hydatidiform moles arise due to abnormal fertilization. Partial mole is a pathological condition due to fertilization of the ovum by two sperms and paternal to maternal chromosomal ratio becomes 2:1 (3). Clinically ectopic molar pregnancy is indistinguishable from non-molar ectopic pregnancy (4). Histopathological examination of surgically removed salpingectomy specimens can confirm or exclude molar pregnancy. During microscopic examination pathologists should know that degree of extravillous trophoblastic proliferation may appear more florid in ectopic pregnancy (5,6).

Pasic et al. suggested that in unruptured tubal ectopic, salpingotomy is the treatment of choice. (7) However, in our case it was ruptured at the time of diagnosis, so salpingectomy was the only suitable treatment.

 

Conclusion:

Ectopic molar pregnancy is an extremely rare occurrence. For the correct diagnosis and further management of ectopic molar pregnancy, histopathological examination of the salpingectomy specimen plays an important role.

 

References

1.Siozos A, Sriemevan A: A case of true tubal hydatidiform mole and literature review. BMJ Case Rep. 2010 2010: bcr0720092123. 10.1136/bcr.07.2009.2123.

2. Zhao T, Hou X, Su C, Wu Q: Tubal hydatidiform mole treated with salpingotomy: a case report. Clin Case Rep. 2019, 7:653-655. 10.1002/ccr3.2037

3.Burton JL, Lidbury EA, Gillespie AM, et al.: Over-diagnosis of hydatidiform mole in early tubal ectopic pregnancy. Histopathology. 2001, 38:409-417. 10.1046/j.1365-2559.2001.01151x

4.Siozos A, Sriemevan A: A case of true tubal hydatidiform mole and literature review . BMJ Case Rep. 2010, 2010:bcr0720092123. 10.1136/bcr.07.2009.2123

5.Gari R, Abdulgader R, Abdulqader O: A live 13 weeks ruptured ectopic pregnancy: a case report . Cureus. 2020, 12:e10993. 10.7759/cureus.10993.

6.Sebire NJ, Makrydimas G, Agnantis NJ, Zagorianakou N, Rees H, Fisher RA: Updated diagnostic criteria for partial and complete hydatidiform mole in early pregnancy. Anti-cancer Res. 2003, 23:1723-1728.

7.Pasic RP, Hammons G, Gardner JS, Hainer M: Laparoscopic treatment of cornual heterotopic pregnancy, J Am Assoc Gynecol Laparosc. 2000, 9:372-375.

Figure 1

Figure 2

Figure 3

Figure 4

antarmuka fokus mahjong daya pengguna aktifaws grid serasi mahjong dasar tahapan terjagaaws jejak mekanisme mahjong arah fase lanjutanaws kajian wild berantai mahjong interaktif analitisaws kesesuaian persentase layanan mahjong seluler lanceraws pendalaman persentase mahjong gerak wild mutakhircorak langka mahjong tumbuh perlahan berubahgerak mahjong adaptasi mekanisme pemakai sekarangnalar scatter mahjong malam putaran ekstratempo mahjong kaitan mekanisme keadaan terkinialur permainan mahjong cepat scatter wilddalam hitungan detik scatter wild mahjongmenyatukan naluri pola scatter hitam mahjongmomen mahjong permainan berbalik arahmomen singkat mahjong dinamika permainanperpaduan insting pola scatter hitam momentperubahan drastis mahjong ways scatter wildscatter wild mahjong datang polasekejap berubah scatter wild mahjong wayssensasi baru mahjong lebih scatter wildenergi scatter emas irama reel mahjongevolusi reel mahjong balutan mistisintervensi cepat emas momentum lamakemunculan mendadak naga emas mahjongketika scatter naga emas aktif mahjongnaga emas muncul arah spin mahjongnaga emas ritme mahjong ways berubahrahasia rtp tinggi balik scatter hitamsaat scatter naga emas alih irama reelscatter hitam kunci lonjakan rtp mahjonge5 scatter wild memberikan sentuhan baru di setiap spin mahjong ways 2e5 scatter wild menghidupkan suasana permainan mahjong ways 2e5 scatter wild mengubah pola permainan mahjong ways 2 secara signifikane5 setiap putaran mahjong ways 2 terasa berbeda dengan scatter wilde5 strategi adaptif berbasis analisis rtp hariane5 strategi berbasis data dan algoritma untuk analisis momentume5 strategi berkembang berkat data rtp hariane5 strategi memahami algoritma untuk mengidentifikasi momentum ideale5 strategi membaca pola algoritma demi menangkap momentum optimale5 strategi modern mengandalkan evaluasi rtp hariane5 strategi responsif dengan dukungan evaluasi rtp hariane5 strategi terukur dengan analisis rtp hariane5 struktur scatter dan wild terlihat jelas berkat analisis sistem moderne5 tanpa disadari kombinasi ini sering mengarah ke scatter di mahjong wins 3e5 teknik evaluasi algoritma untuk mendapatkan momentum yang tepate5 teknik observasi sistem untuk analisis momentum yang lebih presisie5 terungkap formasi ini sering jadi awal munculnya scatter di mahjong wins 3e5 transformasi digital rtp live berkat artificial intelligence inovatife5 transformasi ritme mahjong ways 2 dipicu oleh kekuatan scatter wilde5 wajib tahu pola tersembunyi ini sering menghasilkan scattere5 applee5 bananae5 candye5 doge5 eaglee5 falcone5 geminie5 horsee5 indiae5 japananalisa pola mahjong ways rutinanalisis kinerja heuristik variansi gameanalisis pola mahjong ways hariananalisis pola mahjong ways kebiasaanera baru mahjong wins bonus optimalgebrakan bonus mahjong wins mekanisme efisieninsight pola mahjong ways rutinkajian pola mahjong ways rutinkomparasi heuristik variansi game digitalledakan bonus mahjong wins sistem efektifmahjong wins bonus sistem generasi baruobservasi pola mahjong ways harianpendekatan algoritma heuristik variansi gameperbandingan model heuristik variansi gamerahasia bonus mahjong wins sistem cerdasrangkuman pola mahjong ways harianringkasan pola mahjong ways harianstudi pola mahjong ways hariantinjauan heuristik variansi game digitaltinjauan pola mahjong ways harianalur sombol mahjong kemunculan scatterdari rtp mahjong bermain lebih efektifjejak scatter mahjong putaran tenangkejutan scatter wild simbol mahjong arahkemunculan simbol ganda membuat mahjongketika grid mahjong scatter semakin dekatketika rtp mahjong pola mulai lebih jelasketika scatter wild ritme simbol mahjongketika scatter wild titik sesi mahjong waysketika susunan simbol mahjong ritme scattermemahami rtp mahjong cara bermain lebihpergerakan simbol mahjong scatter wildpergeseran mahjong ketika scatter hadirsaat rtp mahjong terbaca baik strategisaat scatter hadir simbol mahjong bergeserscatter wild dinamika simbol mahjongstabilitas putaran mahjong pola scattersusunan baru reel mahjong scatter emassusunan mahjong wins mengandung scattersusunan simbol mahjong diam pola scatterrm menguak keunikan mahjong wins sudut pandang teknisrm cara memahami pergerakan mahjong ways tenaga ekstrarm mahjong wins standar baru industri hiburan digitalrm rahasia ketahanan mahjong ways eksis gempuran gamerm pentingnya memahami transisi level mahjong wins mendalamrm strategi mengatur tempo mahjong ways kendali permainanrm peran kecerdasan buatan mekanisme mahjong wins adilrm alasan keberhasilan mahjong ways mencuri perhatian analisrm mempelajari struktur dasar mahjong wins efisiensi putaranrm inovasi desain mahjong ways kesan bermain responsifrm teknik observasi mahjong wins jarang dibahas dampakrm cara mempertahankan fokus dinamika mahjong ways cepatrm eksplorasi fitur tersembunyi mahjong wins ritme terbaikrm mahjong ways integrasi teknologi modern keamanan nyamanrm analisis faktor pendukung mahjong wins digemari generasirm langkah efektif menyesuaikan perubahan sistem mahjong waysrm mengintip proses pengembangan mahjong wins kualitas penggunarm analisis data membantu membaca arah mahjong waysrm menemukan titik temu insting logika mahjong winsrm transformasi besar mahjong ways menghadirkan tantangan menarikmengungkap simbol langka nasib drastismisteri besar kombinasi simbol langkamisteri simbol langka keberuntungan besarsimbol langka misterius ubah hiduprahasia simbol langka nasib cepattransformasi bonus mahjong wins sistem efektifmahjong wins suguhkan bonus sistem modernsuguhan bonus efisien mahjong winsefektivitas sistem bonus mahjong winsmahjong wins hadirkan bonus sistem optimaloke76cincinbetaqua365slot gacorstc76samurai76TOBA1131samurai76 login