Pulmonary Nodule: A Rare Case of Diffuse Large B Cell Lymphoma

Pulmonary Nodule: A Rare Case of Diffuse Large B Cell Lymphoma

Walid Hadid MD*1, Shaheen Islam MD, MPH2, Rabih I Bechara MD3

 

1. Assistant Professor of Medicine, Division of Pulmonary, Critical Care and Sleep Medicine.  University of Kentucky.

2. Professor of Medicine, Division Chief, Division of Pulmonary, Critical Care and Sleep Medicine, Augusta University.

3. Professor of Medicine, Director; Interventional Pulmonology Atrium Wake Baptist. Wake Forest School of Medicine.

 

*Correspondence to: Walid Hadid MD, Assistant Professor, Interventional Pulmonary Section of Pulmonary, critical Care and Sleep, University of Kentucky. 

 

Copyright                                                         

© 2023 Walid Hadid MD. This is an open access article distributed under the Creative Commons Attribution License, which permits unrestricted use, distribution, and reproduction in any medium, provided the original work is properly cited.

 

Received: 12 September 2023

Published: 30 September 2023


Pulmonary Nodule: A Rare Case of Diffuse Large B Cell Lymphoma

Primary pulmonary lymphoma is defined as clonal lymphoproliferative disorder infiltrates of one or both lungs, without extrapulmonary involvement at the time or up to 3 months after the diagnosis (1). It is 0.5-1% (2) of primary pulmonary malignancy. 70-80 % of that is mucosa associated lymphoid tissue lymphoma (MALT) (2). Thus, all other types of lymphoma are about 20-30%.  Diffuse large B-Cell lymphoma (DLBCL) is one of uncommon primary lung lymphoma.  It is rare for DLBCL to present as pulmonary nodule without lymph node involvement.

 

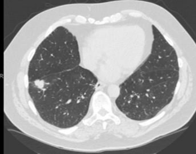
An 80-year-old man with past medical history of Hypertension and type-2 diabetes mellitus. He presented to his primary care physician for change of his urine color which he described as tea colored and he passed three very small stones. The primary care physician ordered a non-contrast CT abdomen with renal protocol to evaluate for renal calculus. The CT abdomen showed no renal calculus but it picked up a 23 mm right lower lobe pulmonary nodule (Figure1). The patient was referred to positron emission tomography scan (PET scan). The PET scan showed hypermetabolic activity in the right lower lobe nodule.  the nodule had standardized uptake values (SUV) 10.7. This was highly suspicious for malignant etiology of the lung nodule. There was no other significant finding on the PET scan to suggest malignancy anywhere else but the lung nodule. There were no significant hypermetabolic activities of the mediastinal and hilar lymph node.  The patient was referred to our interventional pulmonary clinic. The patient has chronic dry cough without hemoptysis. He denies any shortness of breath or dyspnea on exertion. He denies any history of smoking or significant history of occupational exposure. We discussed with the patient performing bronchoscopy and biopsy and he agreed on the procedure. A robotic bronchoscopy was performed and transbronchial lung needle aspiration TBNA with 21 gage needle and transbronchial lung biopsies with 2 mm forceps were obtained from the lung nodule. Endobronchial ultrasound with TBNA from mediastinal and hilar lymph nodes were obtained.  All TBNS and biopsies were sent for cytology and pathology.  Lung nodule pathology showed diffuse large B-Cell lymphoma (DLBCL). Lymph node TBNA showed normal lymphocytes. DLBCL was limited to the lung nodule only.

 

Primary lung lymphoma (PLL) it forma about 0.5% of all primary lung tumor (2). PLL is defined as clonal lymphoproliferative disorder infiltrates of one or both lungs, without extrapulmonary involvement at the time or up to 3 months after the diagnosis. The most common lymphoproliferative disorder of the lung is MALT lymphoma 70-80% (2). Less common is B-cell lymphoma such as DLBCL, lymphomatoid granulomatosis (LYG), plasmacytoma, and other types of small lymphocytic lymphoma in addition to T-cell origin lymphoma (2).

 

Primary pulmonary DLBCL is a rare disease which is more likely to present in immunocompromised and elderly patients (3).  Up to 50% of primary pulmonary DLBCLs it may be presented at the same time with pulmonary marginal zone B cell lymphoma of mucosa associated lymphoid tissue (MALT)(3). Therefore, there is possibilities that MALT may progress to DLBCL (3). Almost 50% of Pulmonary MALT can be asymptomatic at the time of the diagnosis. There is no particular microorganism has been linked to the development of primary MALT lymphoma of the lungs.  There is no guideline or randomized clinical trial on the treatment of Pulmonary DLBCL.  Surgical option in localized disease has been used before (4). Radiation it can be used but in specific cases but it has no significant role (3). Chemotherapy with CHOP with or without Rituximab has shown survival benefits in nodal lymphoma (5,6) . The presentation of DLBCL as solitary pulmonary nodule as solo location is very rare. Establishing the diagnosis in this case is critical as treatment options are different from other types of lung cancer.

Part of this case was presented as poster in American Thoracic Society Conference( ATS 2022). San Francisco, USA.


Figure 1: Right lower lobe lung nodule.

 

References

1.Borie R, Wislez M, Antoine M, Cadranel J. Lymphoproliferative Disorders of the Lung. Respiration. 2017;94(2):157-175

2. Piña-Oviedo S, Weissferdt A, Kalhor N, Moran CA. Primary pulmonary lymphomas. Adv Anat Pathol. 2015;22(6):355–75.

3.Zhu Z, Wei Liu,  Mamlouk O,  O’Donnell JE et al.  Primary Pulmonary Diffuse Large B Cell Non-Hodgkin’s Lymphoma: A Case Report and Literature Review. Am J Case Rep. 2017; 18: 286–290.

4.Vanden Eynden F, Fadel E, de Perrot M, et al. Role of surgery in the treatment of primary pulmonary B-cell lymphoma. Ann Thorac Surg. 2007;83(1):236–40

5.Aviles A, Nambo MJ, Huerta-Guzman J, et al. Rituximab in the treatment of diffuse large B-cell lymphoma primary of the lung. Hematology. 2013;18:81–84.

6.. Pfreundschuh M, Trümper L, Osterborg A, et al. CHOP-like chemotherapy plus rituximab versus CHOP like chemotherapy alone in young patients with good-prognosis diffuse large-B-cell lymphoma: A randomised controlled trial by the MabThera International Trial (MInT) Group. Lancet Oncol. 2006;7(5):379–91

Figure 1

antarmuka fokus mahjong daya pengguna aktifaws grid serasi mahjong dasar tahapan terjagaaws jejak mekanisme mahjong arah fase lanjutanaws kajian wild berantai mahjong interaktif analitisaws kesesuaian persentase layanan mahjong seluler lanceraws pendalaman persentase mahjong gerak wild mutakhircorak langka mahjong tumbuh perlahan berubahgerak mahjong adaptasi mekanisme pemakai sekarangnalar scatter mahjong malam putaran ekstratempo mahjong kaitan mekanisme keadaan terkinialur permainan mahjong cepat scatter wilddalam hitungan detik scatter wild mahjongmenyatukan naluri pola scatter hitam mahjongmomen mahjong permainan berbalik arahmomen singkat mahjong dinamika permainanperpaduan insting pola scatter hitam momentperubahan drastis mahjong ways scatter wildscatter wild mahjong datang polasekejap berubah scatter wild mahjong wayssensasi baru mahjong lebih scatter wildenergi scatter emas irama reel mahjongevolusi reel mahjong balutan mistisintervensi cepat emas momentum lamakemunculan mendadak naga emas mahjongketika scatter naga emas aktif mahjongnaga emas muncul arah spin mahjongnaga emas ritme mahjong ways berubahrahasia rtp tinggi balik scatter hitamsaat scatter naga emas alih irama reelscatter hitam kunci lonjakan rtp mahjonge5 scatter wild memberikan sentuhan baru di setiap spin mahjong ways 2e5 scatter wild menghidupkan suasana permainan mahjong ways 2e5 scatter wild mengubah pola permainan mahjong ways 2 secara signifikane5 setiap putaran mahjong ways 2 terasa berbeda dengan scatter wilde5 strategi adaptif berbasis analisis rtp hariane5 strategi berbasis data dan algoritma untuk analisis momentume5 strategi berkembang berkat data rtp hariane5 strategi memahami algoritma untuk mengidentifikasi momentum ideale5 strategi membaca pola algoritma demi menangkap momentum optimale5 strategi modern mengandalkan evaluasi rtp hariane5 strategi responsif dengan dukungan evaluasi rtp hariane5 strategi terukur dengan analisis rtp hariane5 struktur scatter dan wild terlihat jelas berkat analisis sistem moderne5 tanpa disadari kombinasi ini sering mengarah ke scatter di mahjong wins 3e5 teknik evaluasi algoritma untuk mendapatkan momentum yang tepate5 teknik observasi sistem untuk analisis momentum yang lebih presisie5 terungkap formasi ini sering jadi awal munculnya scatter di mahjong wins 3e5 transformasi digital rtp live berkat artificial intelligence inovatife5 transformasi ritme mahjong ways 2 dipicu oleh kekuatan scatter wilde5 wajib tahu pola tersembunyi ini sering menghasilkan scattere5 applee5 bananae5 candye5 doge5 eaglee5 falcone5 geminie5 horsee5 indiae5 japananalisa pola mahjong ways rutinanalisis kinerja heuristik variansi gameanalisis pola mahjong ways hariananalisis pola mahjong ways kebiasaanera baru mahjong wins bonus optimalgebrakan bonus mahjong wins mekanisme efisieninsight pola mahjong ways rutinkajian pola mahjong ways rutinkomparasi heuristik variansi game digitalledakan bonus mahjong wins sistem efektifmahjong wins bonus sistem generasi baruobservasi pola mahjong ways harianpendekatan algoritma heuristik variansi gameperbandingan model heuristik variansi gamerahasia bonus mahjong wins sistem cerdasrangkuman pola mahjong ways harianringkasan pola mahjong ways harianstudi pola mahjong ways hariantinjauan heuristik variansi game digitaltinjauan pola mahjong ways harianalur sombol mahjong kemunculan scatterdari rtp mahjong bermain lebih efektifjejak scatter mahjong putaran tenangkejutan scatter wild simbol mahjong arahkemunculan simbol ganda membuat mahjongketika grid mahjong scatter semakin dekatketika rtp mahjong pola mulai lebih jelasketika scatter wild ritme simbol mahjongketika scatter wild titik sesi mahjong waysketika susunan simbol mahjong ritme scattermemahami rtp mahjong cara bermain lebihpergerakan simbol mahjong scatter wildpergeseran mahjong ketika scatter hadirsaat rtp mahjong terbaca baik strategisaat scatter hadir simbol mahjong bergeserscatter wild dinamika simbol mahjongstabilitas putaran mahjong pola scattersusunan baru reel mahjong scatter emassusunan mahjong wins mengandung scattersusunan simbol mahjong diam pola scatterrm menguak keunikan mahjong wins sudut pandang teknisrm cara memahami pergerakan mahjong ways tenaga ekstrarm mahjong wins standar baru industri hiburan digitalrm rahasia ketahanan mahjong ways eksis gempuran gamerm pentingnya memahami transisi level mahjong wins mendalamrm strategi mengatur tempo mahjong ways kendali permainanrm peran kecerdasan buatan mekanisme mahjong wins adilrm alasan keberhasilan mahjong ways mencuri perhatian analisrm mempelajari struktur dasar mahjong wins efisiensi putaranrm inovasi desain mahjong ways kesan bermain responsifrm teknik observasi mahjong wins jarang dibahas dampakrm cara mempertahankan fokus dinamika mahjong ways cepatrm eksplorasi fitur tersembunyi mahjong wins ritme terbaikrm mahjong ways integrasi teknologi modern keamanan nyamanrm analisis faktor pendukung mahjong wins digemari generasirm langkah efektif menyesuaikan perubahan sistem mahjong waysrm mengintip proses pengembangan mahjong wins kualitas penggunarm analisis data membantu membaca arah mahjong waysrm menemukan titik temu insting logika mahjong winsrm transformasi besar mahjong ways menghadirkan tantangan menarikmengungkap simbol langka nasib drastismisteri besar kombinasi simbol langkamisteri simbol langka keberuntungan besarsimbol langka misterius ubah hiduprahasia simbol langka nasib cepattransformasi bonus mahjong wins sistem efektifmahjong wins suguhkan bonus sistem modernsuguhan bonus efisien mahjong winsefektivitas sistem bonus mahjong winsmahjong wins hadirkan bonus sistem optimaloke76cincinbetaqua365slot gacorstc76samurai76TOBA1131samurai76 login