A Rare Presentation of Wilms Tumor in 2yr Old Child

A Rare Presentation of Wilms Tumor in 2yr Old Child

Dr Vishnu Vardhan Juture*1, Dr Gorla Vishnu Priyanka 2, Dr Shashidhar. V. Karpurmath 3 

*Correspondence to: Dr Vishnu Vardhan Juture, Medical oncology department Vydehi institute medical sciences and research Centre, 82 EPIP Area, Whitefield, Bangalore, 560066, Karnataka.

Copyright

© 2023 Dr Vishnu Vardhan Juture. This is an open access article distributed under the Creative Commons Attribution License, which permits unrestricted use, distribution, and reproduction in any medium, provided the original work is properly cited.

Received: 12 September 2023

Published: 30 September 2023

 

Abstract

Wilms’ tumor originates predominantly in the renal tissue; in rare cases, it can also arise from extra- renal sites accounting for 0.5-1% of cases of Wilms’ tumor seen.1 The establishment of the diagnosis of extrarenal Wilms tumor (EWT) with radiological features and clinical features is difficult unless histological findings are present. As there are less than 100 cases reported in the literature, we would like to report this extra-renal retroperitoneal Wilms tumor and discuss staging management and prognosis.


A Rare Presentation of Wilms Tumor in 2yr Old Child

Introduction

Wilms’ tumor (Nephroblastoma), the most common abdominal malignancy of childhood, occurs primarily as a malignant renal tumor. Extrarenal Wilms’ tumor is rare with occasional reports from the Indian subcontinent. There have been reports of it arising from other extra renal sites, in about 0.5– 1% of all cases.[1] The various locations of extra renal Wilms’ tumor include the retroperitoneum, uterus, skin, and thorax.[2] EWT is thought to arise from mesonephric remnants the clinical course of EWT often lacks specificity but as histological characteristics of Wilms tumor and EWT are similar, they both are staged in similar ways and treated in the same lines of management.[3, 4, 5]

 

Case Report

A 1 Year 8-month-old boy presented with Complaints of a painful progressively increasing mass per abdomen, frequent crying, fever, and reduced appetite since 1 month On examination revealed a healthy-looking boy With No pallor, No icterus, no peripheral lymphadenopathy With Blood pressure of 100/70 of mm of hg On P/A: mass measuring 10x 12cm in infra umbilical area, firm-hard in consistency does not move with respiration no hepatosplenomegaly considering his age and presentation we have thought Neuroblastoma, Wilms tumor, Rhabdomyosarcoma as differentials.

Hematological Parameters and serum biochemistry were within normal limits.

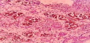
Figure 1, 2

 

On Imaging CECT abdomen suggestive of a Large soft tissue density heterogeneous mass lesion 127x8.3 x 11.1 in the central abdomen with lobulated margin and degeneration. No calcification is noted. As the origin of the mass and diagnosiscould not be made on imaging, a core needle biopsy was done from a mass lesion.


1) H&E 40X Reveals evidence of blastemal component <60%, immature tubular component, and cellular stroma.

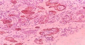
Figure 3


2) IHC Showed WT1- positive in the blastemal component and epithelial compnents from mesoblastic nephroma

Figure 4


3) PAN CK - positive in epithelial component

Figure 5


Vimentin - positive confirms mesenchymal origin.

Chromogranin, Synaptophysin, myogenic -negative, suggestive of ERWT.


As per SIOP protocol patient was treated with Neoadjuvant chemotherapy followed by extraperitoneal surgical excision [6] of extrarenal Wilms tumor with Mesentery Node sampling done.

Figure 6


Histopathology suggestive of Nephroblastoma (Wilms tumor)-Mixed type, with 40% necrosis,Post-therapy histologic calcification: Intermediate risk (viable>33%, blastemal component <66%).no metastatic nodal deposits. TNM staging: p T2NO Mx (stage II).AV-2 PROTOCOL OF SIOP 2009 was started postoperatively based on the biopsy findings. The patient presently received 12th week of chemo and doing fine.

 

Discussion

As with intrarenal Wilms’ tumors in which most children present between 12 and 48 months with a mean age of diagnosis at 36 months, extrarenal Wilms’ tumors can similarly present within the same age group.[7] Our patient was a boy who presented at 2 years of age, which is the approximate mean age of diagnosis of most Wilms’ tumors.

Extrarenal Wilms tumors may be diagnosed in adults and neonates occasionally. But Extremes of Age groups have unfavorable prognosis.Extrarenal Wilms tumor’s exact embryonic origin is uncertain three theories are popularized. First theory[8] describes origin as ectopic mesonephric blastemal cells. The second theory[9] is the persistenceof primitive mesodermal tissue and the third theory[10] is the Connheims cell rest theory.

Apart from the classical presentation of painful abdominal swelling in this patient, he was otherwise ahealthy-looking baby.it is easy to confuse retroperitoneal extra-renal Wilms’ tumor with classical Wilms’ tumor based on clinical presentation alone because clinical features can be similar to both of them. However, extra renal Wilms’ tumor located in the inguinal canal, scrotum, and mediastinum children with abdominal mass should have immediate work-up for Wilms’ tumor. Regarding genetic associations unlike with standard Wilms’ tumor, only a few cases of extrarenal Wilms’ have been found to express the Wilms’ tumor suppressor gene WT1. [11] However in our case we have not done genetic testing. Another differential diagnosis considered was neuroblastoma, as it can also be seen inthe same age group as our patient. This condition often presents with pain from bony metastasis. [12] The possibility that other embryonal tumors, such as embryonal rhabdomyosarcoma, Burkett’s lymphoma, hepatoblastoma, and mixed Mullerian tumors can also occur in the retroperitoneum apartfrom retroperitoneal extra-renal Wilms’ should not be overlooked in the differential diagnosis of retroperitoneal tumors. staging of this patient directly goes to stage 2 due to its retroperitoneal presentation. Treatment strategies are similar for both renal Wilms tumor and extrarenal Wilms tumor but due to different locations and neighboring organs special scenarios are considered for surgery and adjoined therapies. The key step in the treatment of ERWT is surgical excision [6]

Most of the ERWTs will be having favorable histology but in about 11% of reported cases, local recurrence is observed. The recurrence rate is 15% in classical renal Wilms tumors in ERWTs 70% of cases are stage 2, 23% are stage 3 & 6% of cases are stage 4. In ERWT cases two- Year event-free survival [13] is 83% and the mortality rate was 5% compared to renal Wilms tumor.


Conclusion

Though there is difficulty in diagnosing Extrarenal Wilms tumor preoperatively, Extrarenal Wilms tumor should be considered when evaluating a patient with symptomatic abdominal swelling as diagnostic delay will cause a delay in appropriate treatment. Children presenting with abdominal mass one of the important differential diagnosis is extrarenalwilms tumour ,but staging treatment and prognosis are similar to wilms tumour.


Reference

1. Andrews PE, Kelalis PP, Haase GM. Extrarenal Wilms’ tumor: results of the National Wilms’ Tumor Study. J Pediatr Surg 1992;27:1181-84. https://ecommons.aku.edu/pakistan_fhs_mc_radiol/193

2. Shamberger RC, Grosfeld JL, Azmy AF. Renal tumours. In: Carachi R, Grosfeld JL, Azmy AF. The Surgery of Childhood Tumours. 2nd ed. Verlag Berlin Heidelberg: Springer; 2008. pp. 171-99. https://doi.org/10.1007/978-3-662-48590-3

3. Yunus M, Hashmi R, Hasan SH, Brohi HM. Extrarenal Wilms' Tumor. J Pak Med Assoc 2003;53: 436-9. https://ecommons.aku.edu/pakistan_fhs_mc_radiol/193

4. McAlpine J, Azodi M, O'Malley D, Kelly M, Golenewsky G, Martel M, et al . Extrarenal Wilms' tumor of the uterine corpus. Gynecol Oncol 2005;96:892-6.DOI: 10.5455/2349-3291.ijcp20150519

5. Hussain S, Nizami S, Tareen F. Neonatal extra-renal Wilm's tumour. J Pak Med Assoc 2004;54:37-8. http://www.njcponline.com on Monday, March 06, 2017, IP: 165.255.65.231]

6. Apozna?ski W, Sawicz-Birkowska K, Palczewski M, Szyde?ko T. Extrarenal nephroblastoma. Cent European J Urol. 2015;68(2):153–6.doi :10.5173/ceju.2015.571

7. Tagge EP, Thomas PB, Othersen HB Jr. In: Wilms’ tumour. In: Grosfield JL, O’ Neill jr JA, Fonkalsrud EW, Coran AG. editors. Peadiatric Surgery. 6th ed. Philadelphia: Mosby Elsevier; 2006. p. 465-86. http://www.njcponline.com on Monday, March 06, 2017, IP: 165.255.65.231]

8. Broecker BH, Caldamone AA, McWilliams NB, Maurer H, Salzberg A. Primary Extrarenal Wilms' tumor in children. J Pediatr Surg 1989;24:1283 .10.5455/2349-3291.ijcp20150519

9. Fernandes ET, Kumar M, Doughlas EC, Wilimas J, Parham DM, Rao BN. Extrarenal Wilms' tumor. J Pediatr Surg 1989;24:483-5. 10.5455/2349-3291.ijcp20150519

10. Andrews PE, Kelalis PP, Haase GM. Extrarenal Wilm's tumor: Results of National Wilms' Tumor Study. J Pediatr Surg 1992;27:1181-4.https://ecommons.aku.edu/pakistan_fhs_mc_radiol/193

11. Roberts DJ, Haber D, Sklar J, Crum CP. Extrarenal Wilms’ tumors. A study of their relationship with classical renal Wilms’ tumor using expression of WT1 as a molecular marker. Lad invest 1993;68:528-36. 10.3390/cancers15092563

12. Stiller CA, Parkin DM. Human cancer: international variations in the incidence of neuroblastoma. Int J Cancer 2006;52: 538-43. Int. J. Cancer: 142, 1977-1985 (2018) © 2017 UICC

13. Rojas Y, Slater BJ, Braverman RM, Eldin KW, Thompson PA, Wesson DE, et al. Extrarenal Wilms tumor: a case report and review of the literature. J Pediatr Surg. 2013 Jun;48(6):E33–5. DOI : 10.5455/2349-3291.icp20150519

Figure 1

Figure 2

Figure 3

Figure 4

Figure 5

Figure 6

antarmuka fokus mahjong daya pengguna aktifaws grid serasi mahjong dasar tahapan terjagaaws jejak mekanisme mahjong arah fase lanjutanaws kajian wild berantai mahjong interaktif analitisaws kesesuaian persentase layanan mahjong seluler lanceraws pendalaman persentase mahjong gerak wild mutakhircorak langka mahjong tumbuh perlahan berubahgerak mahjong adaptasi mekanisme pemakai sekarangnalar scatter mahjong malam putaran ekstratempo mahjong kaitan mekanisme keadaan terkinialur permainan mahjong cepat scatter wilddalam hitungan detik scatter wild mahjongmenyatukan naluri pola scatter hitam mahjongmomen mahjong permainan berbalik arahmomen singkat mahjong dinamika permainanperpaduan insting pola scatter hitam momentperubahan drastis mahjong ways scatter wildscatter wild mahjong datang polasekejap berubah scatter wild mahjong wayssensasi baru mahjong lebih scatter wildenergi scatter emas irama reel mahjongevolusi reel mahjong balutan mistisintervensi cepat emas momentum lamakemunculan mendadak naga emas mahjongketika scatter naga emas aktif mahjongnaga emas muncul arah spin mahjongnaga emas ritme mahjong ways berubahrahasia rtp tinggi balik scatter hitamsaat scatter naga emas alih irama reelscatter hitam kunci lonjakan rtp mahjonge5 scatter wild memberikan sentuhan baru di setiap spin mahjong ways 2e5 scatter wild menghidupkan suasana permainan mahjong ways 2e5 scatter wild mengubah pola permainan mahjong ways 2 secara signifikane5 setiap putaran mahjong ways 2 terasa berbeda dengan scatter wilde5 strategi adaptif berbasis analisis rtp hariane5 strategi berbasis data dan algoritma untuk analisis momentume5 strategi berkembang berkat data rtp hariane5 strategi memahami algoritma untuk mengidentifikasi momentum ideale5 strategi membaca pola algoritma demi menangkap momentum optimale5 strategi modern mengandalkan evaluasi rtp hariane5 strategi responsif dengan dukungan evaluasi rtp hariane5 strategi terukur dengan analisis rtp hariane5 struktur scatter dan wild terlihat jelas berkat analisis sistem moderne5 tanpa disadari kombinasi ini sering mengarah ke scatter di mahjong wins 3e5 teknik evaluasi algoritma untuk mendapatkan momentum yang tepate5 teknik observasi sistem untuk analisis momentum yang lebih presisie5 terungkap formasi ini sering jadi awal munculnya scatter di mahjong wins 3e5 transformasi digital rtp live berkat artificial intelligence inovatife5 transformasi ritme mahjong ways 2 dipicu oleh kekuatan scatter wilde5 wajib tahu pola tersembunyi ini sering menghasilkan scattere5 applee5 bananae5 candye5 doge5 eaglee5 falcone5 geminie5 horsee5 indiae5 japananalisa pola mahjong ways rutinanalisis kinerja heuristik variansi gameanalisis pola mahjong ways hariananalisis pola mahjong ways kebiasaanera baru mahjong wins bonus optimalgebrakan bonus mahjong wins mekanisme efisieninsight pola mahjong ways rutinkajian pola mahjong ways rutinkomparasi heuristik variansi game digitalledakan bonus mahjong wins sistem efektifmahjong wins bonus sistem generasi baruobservasi pola mahjong ways harianpendekatan algoritma heuristik variansi gameperbandingan model heuristik variansi gamerahasia bonus mahjong wins sistem cerdasrangkuman pola mahjong ways harianringkasan pola mahjong ways harianstudi pola mahjong ways hariantinjauan heuristik variansi game digitaltinjauan pola mahjong ways harianalur sombol mahjong kemunculan scatterdari rtp mahjong bermain lebih efektifjejak scatter mahjong putaran tenangkejutan scatter wild simbol mahjong arahkemunculan simbol ganda membuat mahjongketika grid mahjong scatter semakin dekatketika rtp mahjong pola mulai lebih jelasketika scatter wild ritme simbol mahjongketika scatter wild titik sesi mahjong waysketika susunan simbol mahjong ritme scattermemahami rtp mahjong cara bermain lebihpergerakan simbol mahjong scatter wildpergeseran mahjong ketika scatter hadirsaat rtp mahjong terbaca baik strategisaat scatter hadir simbol mahjong bergeserscatter wild dinamika simbol mahjongstabilitas putaran mahjong pola scattersusunan baru reel mahjong scatter emassusunan mahjong wins mengandung scattersusunan simbol mahjong diam pola scatterrm menguak keunikan mahjong wins sudut pandang teknisrm cara memahami pergerakan mahjong ways tenaga ekstrarm mahjong wins standar baru industri hiburan digitalrm rahasia ketahanan mahjong ways eksis gempuran gamerm pentingnya memahami transisi level mahjong wins mendalamrm strategi mengatur tempo mahjong ways kendali permainanrm peran kecerdasan buatan mekanisme mahjong wins adilrm alasan keberhasilan mahjong ways mencuri perhatian analisrm mempelajari struktur dasar mahjong wins efisiensi putaranrm inovasi desain mahjong ways kesan bermain responsifrm teknik observasi mahjong wins jarang dibahas dampakrm cara mempertahankan fokus dinamika mahjong ways cepatrm eksplorasi fitur tersembunyi mahjong wins ritme terbaikrm mahjong ways integrasi teknologi modern keamanan nyamanrm analisis faktor pendukung mahjong wins digemari generasirm langkah efektif menyesuaikan perubahan sistem mahjong waysrm mengintip proses pengembangan mahjong wins kualitas penggunarm analisis data membantu membaca arah mahjong waysrm menemukan titik temu insting logika mahjong winsrm transformasi besar mahjong ways menghadirkan tantangan menarikmengungkap simbol langka nasib drastismisteri besar kombinasi simbol langkamisteri simbol langka keberuntungan besarsimbol langka misterius ubah hiduprahasia simbol langka nasib cepattransformasi bonus mahjong wins sistem efektifmahjong wins suguhkan bonus sistem modernsuguhan bonus efisien mahjong winsefektivitas sistem bonus mahjong winsmahjong wins hadirkan bonus sistem optimaloke76cincinbetaqua365slot gacorstc76samurai76TOBA1131samurai76 login