A Rare Case of Thrombotic Thrombocytopenic Purpura associated with Cold Agglutinin Hemolytic Anemia in the Setting of HIV Infection.

A Rare Case of Thrombotic Thrombocytopenic Purpura associated with Cold Agglutinin Hemolytic Anemia in the Setting of HIV Infection.

Rime Mehannek MD*1, Sneha Bijoy MD2, Nozima Akbarova MD 3, Modupeoluwa Owolabi MD4, Sahiti Chittamuri MD5, Hamid Shaaban MD6

 

1,2,3,4,5,6. Department of Internal Medicine and Department of Hematology/Oncology, New York Medical College at St. Michael’s Medical Center

 

*Correspondence to: Dr Rime Mehannek Department of Internal Medicine and Department of Hematology/Oncology, New York Medical College at St. Michael’s Medical Center.

Copyright

© 2023 Dr Rime Mehannek. This is an open access article distributed under the Creative Commons Attribution License, which permits unrestricted use, distribution, and reproduction in any medium, provided the original work is properly cited.

Received: 26 September 2023

Published: 30 September 2023


A Rare Case of Thrombotic Thrombocytopenic Purpura associated with Cold Agglutinin Hemolytic Anemia in the Setting of HIV Infection.

Introduction

Autoimmune diseases may present as one or a combination of multiple disorders.

They may be the primary manifestation of a disease or reflect an underlying infection or malignancy.

Thrombotic thrombocytopenic purpura (TTP)  is a distinct, rare but potentially life-threatening entity that classically presents with a pentad of fever, hemolytic anemia, thrombocytopenia, neurologic symptoms and kidney injury. Autoantibodies are targeted against ADAMTS13, the von Willebrand factor (VWF) cleaving protease. Rarer hereditary forms of TTP result from mutations in ADAMTS13, causing severe protease deficiency [1].

In rare instances TTP can be concomitant to cold agglutinin hemolytic anemia. Cold agglutinin disease usually develops as a result of the production of a specific immunoglobulin M auto-antibody directed against red blood cell , relatively uncommon, with an estimated incidence of 0.8–3 per 100,000/year, prevalence of 17:100,000, and mortality of 11% in adults [2].

In this case we present a 25 year old female with TTP secondary to HIV infection found to have cold agglutinin on peripheral smear.

 

Case Presentation

24-year-old female with PMH of perinatally acquired HIV, Asthma, and Thrombotic thrombocytopenic purpura (diagnosed in October 2020) presents to the emergency department with a 3-day history of fatigue, exertional shortness of breath, pressure-like chest pain, and palpitations. Patient also endorsed generalized abdominal pain associated with dark urine and 5 episodes of non-bloody, non-bilious vomiting for 2 days. One week prior to presentation, the patient visited the Dentist for routine dental cleaning and subsequently developed gingival bleeding which is still ongoing.

 

Upon presentation, the patient was hemodynamically stable and afebrile, saturating 100% on room air. Vital signs were significant for tachycardia with heart rate ranging from 120-130’s and tachypnea with respiratory rate in the 20’s. BP was stable at 121/75. On physical exam, she appeared fatigued, with scleral icterus, pale conjunctiva, and gingival bleeding. She was tachycardic with a normal heart sounds- S1/S2, no S3 or S4 heard. Lungs were clear to auscultation. Abdomen was soft, non-tender, and non-distended with normoactive bowel sounds. There were ecchymoses present on the left shoulder and right arm.

 

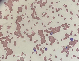
Labs were significant for anemia with hemoglobin of 5.5 g/dL and thrombocytopenia with platelet count of 5,000/uL. There was evidence of hemolysis with elevated retic count of 7.5% ( Normal Range 0.5-2.5 %), elevated LDH of 2,709 IU/L (Normal Range 105-333 IU/L), low haptoglobin of <7.75 mg/dL (Normal Range 41-165 mg/dL), and hyperbilirubinemia of 2.4 mg/dL (Normal Range 0.3-1.2 mg/dL) . Fibrinogen level was 401 mg/dL ( Normal Range 200-400 mg/dL). Urinalysis was positive for 2+ bilirubin, 3+ blood, and >20 RBC’s. Peripheral smear confirmed the presence of schistocytes, helmet and fragment cells. The peripheral smear also showed evidence of cold agglutinin disease with several clumps of RBC’s (Figure 1).

Labs were also significant for an initial high-sensitivity troponin of 620 ng/mL (normal Range <0.04 ng/mL) which increased to 830 ng/mL ten hours later.

 

Of note, the patient has a history of non-compliance with HAART and her last CD4 count was 103 cells/mm3 with a viral load of 327,000 copies/mL of blood. ADAMTS13 activity has been critically low in the past at 4.5% and ADAMTS13 antibody level was elevated at 14. The patient was started on treatment for HIV related TTP with plasmapheresis which was initiated within the first 8 hours of admission. She was also given packed Red Blood Cell transfusion in view of symptomatic subendocardial ischemia. After 2 units pRBC, hemoglobin increased slightly from 5.5 g/dL to 6.8 g/dL. Pt also received 1 unit of platelets and underwent two rounds of plasmapheresis with an increase in platelet count from 5,000/uL to 21,000/uL.

 

Figure 1  Cold agglutinin disease with several clumps of Red Blood Cells

 

Discussion

Autoimmune haemolytic anemia (AIHA) affects both children and adults with an incidence of 1 per million [4]. The pathophysiology of  TTP is the formation of platelet-rich thrombi in affected organs. These thrombi form secondary to large multimers of von Willebrand factor that are not properly broken down within the vasculature [5]. One of the objectives of this case is to emphasize the importance of the adherence to HIV treatment in preventing TTP episodes.

Our patient has elevated troponin, this is common in 50% of cases and is a poor prognostic marker [3]. Serial measurements can be helpful in evaluating disease trajectory. As patients are often young and do not have the classical risk factors of ischaemic heart disease, a high level of suspicion and routine exclusion of myocardial ischaemia in these patients are advised.

Immediate plasma exchange within 4–8 hours is key to management. This reduces the auto-antibody, von Willebrand multimers and replaces ADAMTS13. Immunosuppression with high-dose steroid should be started concomitantly alongside other supportive care measures including red cell transfusion, folic acid to support marrow function, proton pump inhibitors for gastric protection[3].

The association of cold agglutinin and TTP is a presentation that we need to keep in mind although the treatment remains the same, if there is resistance or no response to plasmapheresis, therapies directed at pathogenic process of cold agglutinin such as rituximab, bortezomib, daratumumab, and the anticomplement therapies sutimlimab and pegcetacoplan would be indicated but never as first line.

 

Conclusion

TTP and cold agglutinin are important differentials in any HIV seropositive patient non compliant with HIV medications. The dramatic clinical presentation of our patient led us to initiate emergency protocol red blood cell and platelet transfusion, however early recognition and immediate management  with standard treatment of plasmapheresis are key to ensuring patient survival, which reduce mortality from >90% to 10–20%.[3]

 

References

1.British Society for Haematology. Guidelines for the investigation and management of idiopathic thrombocytopenic purpura in adults, children and in pregnancy. Br J Haematol. 2003;120:574–96.

2.Zanella A, Barcellini W. Treatment of autoimmune hemolytic anemias. Haematologica. 2014;99:1547–54. doi: 10.3324/haematol.2014.114561.

3.Scully M. Hunt BJ. Benjamin S, et al. Guidelines on the diagnosis and management of thrombotic thrombocytopenic ­purpura and other thrombotic microangiopathies. Br J Haematol. 2012;158:323–35.

4.Klein NP. Ray P. Carpenter D, et al. Rates of autoimmune diseases in Kaiser Permanente for use in vaccine adverse event safety studies. Vaccine. 2010;28:1062–8.

5.Levy GG, Nichols WC, Lian EC, Foroud T, McClintick JN, McGee BM, Yang AY, Siemieniak DR, Stark KR, Gruppo R, Sarode R, Shurin SB, Chandrasekaran V, Stabler SP, Sabio H, Bouhassira EE, Upshaw JD Jr, Ginsburg D, Tsai HM. Mutations in a member of the ADAMTS gene family cause thrombotic thrombocytopenic purpura. Nature. 2001 Oct 4;413(6855):488-94.

Figure 1

antarmuka fokus mahjong daya pengguna aktifaws grid serasi mahjong dasar tahapan terjagaaws jejak mekanisme mahjong arah fase lanjutanaws kajian wild berantai mahjong interaktif analitisaws kesesuaian persentase layanan mahjong seluler lanceraws pendalaman persentase mahjong gerak wild mutakhircorak langka mahjong tumbuh perlahan berubahgerak mahjong adaptasi mekanisme pemakai sekarangnalar scatter mahjong malam putaran ekstratempo mahjong kaitan mekanisme keadaan terkinialur permainan mahjong cepat scatter wilddalam hitungan detik scatter wild mahjongmenyatukan naluri pola scatter hitam mahjongmomen mahjong permainan berbalik arahmomen singkat mahjong dinamika permainanperpaduan insting pola scatter hitam momentperubahan drastis mahjong ways scatter wildscatter wild mahjong datang polasekejap berubah scatter wild mahjong wayssensasi baru mahjong lebih scatter wildenergi scatter emas irama reel mahjongevolusi reel mahjong balutan mistisintervensi cepat emas momentum lamakemunculan mendadak naga emas mahjongketika scatter naga emas aktif mahjongnaga emas muncul arah spin mahjongnaga emas ritme mahjong ways berubahrahasia rtp tinggi balik scatter hitamsaat scatter naga emas alih irama reelscatter hitam kunci lonjakan rtp mahjonge5 scatter wild memberikan sentuhan baru di setiap spin mahjong ways 2e5 scatter wild menghidupkan suasana permainan mahjong ways 2e5 scatter wild mengubah pola permainan mahjong ways 2 secara signifikane5 setiap putaran mahjong ways 2 terasa berbeda dengan scatter wilde5 strategi adaptif berbasis analisis rtp hariane5 strategi berbasis data dan algoritma untuk analisis momentume5 strategi berkembang berkat data rtp hariane5 strategi memahami algoritma untuk mengidentifikasi momentum ideale5 strategi membaca pola algoritma demi menangkap momentum optimale5 strategi modern mengandalkan evaluasi rtp hariane5 strategi responsif dengan dukungan evaluasi rtp hariane5 strategi terukur dengan analisis rtp hariane5 struktur scatter dan wild terlihat jelas berkat analisis sistem moderne5 tanpa disadari kombinasi ini sering mengarah ke scatter di mahjong wins 3e5 teknik evaluasi algoritma untuk mendapatkan momentum yang tepate5 teknik observasi sistem untuk analisis momentum yang lebih presisie5 terungkap formasi ini sering jadi awal munculnya scatter di mahjong wins 3e5 transformasi digital rtp live berkat artificial intelligence inovatife5 transformasi ritme mahjong ways 2 dipicu oleh kekuatan scatter wilde5 wajib tahu pola tersembunyi ini sering menghasilkan scattere5 applee5 bananae5 candye5 doge5 eaglee5 falcone5 geminie5 horsee5 indiae5 japananalisa pola mahjong ways rutinanalisis kinerja heuristik variansi gameanalisis pola mahjong ways hariananalisis pola mahjong ways kebiasaanera baru mahjong wins bonus optimalgebrakan bonus mahjong wins mekanisme efisieninsight pola mahjong ways rutinkajian pola mahjong ways rutinkomparasi heuristik variansi game digitalledakan bonus mahjong wins sistem efektifmahjong wins bonus sistem generasi baruobservasi pola mahjong ways harianpendekatan algoritma heuristik variansi gameperbandingan model heuristik variansi gamerahasia bonus mahjong wins sistem cerdasrangkuman pola mahjong ways harianringkasan pola mahjong ways harianstudi pola mahjong ways hariantinjauan heuristik variansi game digitaltinjauan pola mahjong ways harianalur sombol mahjong kemunculan scatterdari rtp mahjong bermain lebih efektifjejak scatter mahjong putaran tenangkejutan scatter wild simbol mahjong arahkemunculan simbol ganda membuat mahjongketika grid mahjong scatter semakin dekatketika rtp mahjong pola mulai lebih jelasketika scatter wild ritme simbol mahjongketika scatter wild titik sesi mahjong waysketika susunan simbol mahjong ritme scattermemahami rtp mahjong cara bermain lebihpergerakan simbol mahjong scatter wildpergeseran mahjong ketika scatter hadirsaat rtp mahjong terbaca baik strategisaat scatter hadir simbol mahjong bergeserscatter wild dinamika simbol mahjongstabilitas putaran mahjong pola scattersusunan baru reel mahjong scatter emassusunan mahjong wins mengandung scattersusunan simbol mahjong diam pola scatterrm menguak keunikan mahjong wins sudut pandang teknisrm cara memahami pergerakan mahjong ways tenaga ekstrarm mahjong wins standar baru industri hiburan digitalrm rahasia ketahanan mahjong ways eksis gempuran gamerm pentingnya memahami transisi level mahjong wins mendalamrm strategi mengatur tempo mahjong ways kendali permainanrm peran kecerdasan buatan mekanisme mahjong wins adilrm alasan keberhasilan mahjong ways mencuri perhatian analisrm mempelajari struktur dasar mahjong wins efisiensi putaranrm inovasi desain mahjong ways kesan bermain responsifrm teknik observasi mahjong wins jarang dibahas dampakrm cara mempertahankan fokus dinamika mahjong ways cepatrm eksplorasi fitur tersembunyi mahjong wins ritme terbaikrm mahjong ways integrasi teknologi modern keamanan nyamanrm analisis faktor pendukung mahjong wins digemari generasirm langkah efektif menyesuaikan perubahan sistem mahjong waysrm mengintip proses pengembangan mahjong wins kualitas penggunarm analisis data membantu membaca arah mahjong waysrm menemukan titik temu insting logika mahjong winsrm transformasi besar mahjong ways menghadirkan tantangan menarikmengungkap simbol langka nasib drastismisteri besar kombinasi simbol langkamisteri simbol langka keberuntungan besarsimbol langka misterius ubah hiduprahasia simbol langka nasib cepattransformasi bonus mahjong wins sistem efektifmahjong wins suguhkan bonus sistem modernsuguhan bonus efisien mahjong winsefektivitas sistem bonus mahjong winsmahjong wins hadirkan bonus sistem optimaloke76cincinbetaqua365slot gacorstc76samurai76TOBA1131samurai76 login