Endoscopic Endonasal Repair of Transsellar-Transsphenoidal Encephalocele in an Adult Patient

Endoscopic Endonasal Repair of Transsellar-Transsphenoidal Encephalocele in an Adult Patient

Chafik HANDIS*1, Yacine FELISSI 1, Salim MEZIANI 1, Hamas ZIREG1, Radhia AIT CHALAL 2, Mohamed Amine HABOUCHI 2, Abdelhalim MORSLI 1.

 

1. Department of Neurosurgery, Mohamed Lamine Debaghine University Hospital, University of Algiers, Algiers, Algeria.

2. National Center of Medical Imaging, Mohamed Lamine Debaghine University Hospital, University of Algiers, Algiers, Algeria.

*Correspondence to: Chafik HANDIS, Department of Neurosurgery, Mohamed Lamine Debaghine University Hospital, University of Algiers, Algeria.

 

Copyright

© 2023 Chafik HANDIS. This is an open access article distributed under the Creative Commons Attribution License, which permits unrestricted use, distribution, and reproduction in any medium, provided the original work is properly cited.

Received: 29 September 2023

Published: 05 October 2023

DOI:10.5281/zenodo.10025380 

 

Abstract

Background:

Meningoencephalocele is an abnormal sac containing brain structures and cerebrospinal fluid; herniating through a bony defect in the skull. Their origin could be related to previous head trauma or other congenital malformations. The transsellar transsphenoidal subgroup is rarely encountered in the adult population. We report a case of transsphenoidal encephalocele that occurred in an adult patient with specific circumstances of diagnosis and preoperative findings.

Clinical presentation:

An adult male complained of hypogonadism with intermittent rhinorrhea. The radiological investigation revealed a transsellar transsphenoidal encephalocele. it was managed using the endoscopic endonasal approach with an appropriate reconstruction of the bony defect.

Conclusion:

Endocrine disorders could be a revealing scenario of transsellar encephalocele. surgical management prevents repeated episodes of meningitis and can relieve the traction on the nervous structure and improve preoperative disorders.

Keywords: endoscopy, encephalocele, sellar.


Endoscopic Endonasal Repair of Transsellar-Transsphenoidal Encephalocele in an Adult Patient

BACKGROUND AND IMPORTANCE:
An encephalocele is an abnormal sac filled with brain contents and cerebrospinal fluid protruding out through a bony defect in the calvaria or the skull base. Several subgroups were described in this entity considering anatomical parameters. they can be; frontal, parietal, or occipital, and when they affect the skull base, they are grouped within one of the following entities transethmoidal, transsphenoidal, sphenoethmoidal, and sphenoorbital encephalocele1 . the transsphenoidal subgroup is very rare and represents 5% of the basal encephalocele and its incidence is estimated to1 in 70000 births2.

 

The transsphenoidal encephalocele is commonly revealed in the pediatric population, by the presence of endocrinological and visual disorders. this clinical scenario could be related to the distension of the pituitary stalk or the optic chiasm, routinely included within the herniating sac3. the origin of this malformation was also reported to be a persistent cricopharyngeal canal by an incomplete ossification of the sphenoid bone4. In the neonatal period, the patients present clinical features of some developmental craniofacial defects as;  cleft lip and hypertelorism 5
 

In the adult population; these malformations are discovered within a story of endocrinological disorders such as amenorrhea or delayed puberty. copious rhinorrhea was also encountered 6,7. Headaches and meningitis were also reported in another work as some of the revealing symptoms8. the pituitary dysfunction is related probably to mechanical traction on the stalk and hypothalamus or even repeated meningitis9. At a later stage of evolution, serious complications, such as subdural empyema were associated with encephalocele 10.  we report a case of a transsellar transsphenoidal encephalocele in an adult patient with specific revelation mode and preoperative findings.

 

CLINICAL PRESENTATION:
A 43 years old male with a past medical history of cranial trauma at the age of 7 years, was admitted to the Department of Endocrinology for the investigation of secondary hypogonadotropic hypogonadism. He presented progressively during 2 years before gynecomastia with an ejaculation. At the clinical exam, we noticed that he presents a diabetes insipidus. He also reported several episodes of mild rhinorrhea. His ophthalmological evaluation didn’t reveal visual disorders.

 

Endocrinological evaluation revealed; Testosterone :0.42ng/ml, Luteinizing Hormones (LH): 2.56m IU/ml, Prolactin:8.43ng/ml(elevated), Corstisol:336.5nmol/l, FT4: 10.75pg/ml. those findings are concomitant with a profile of a hypogonadotropic hypogonadism. 
 

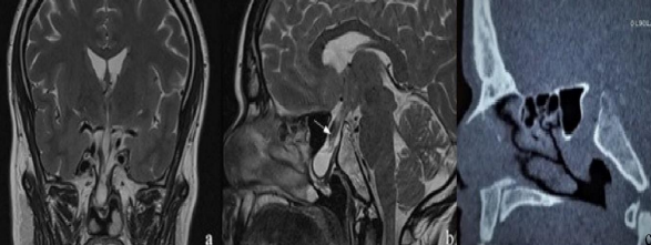
The MRI showed the aspect of transsellar transsphenoidal encephalocele, that protrudes at the level of the floor of the sphenoid sinus. the pituitary stalk had an abnormally thickened aspect herniating through the same sac. A part of the optic chiasm was also included in the malformation. The CT sinus showed the location and the size of the bony defect in the sellar floor. (figure1)
 
Figure 1: a- coronal section of MRI showing the importance of herniation if the sellar and part of the suprsellar contents .b- on the sagittal section , the abnormal and thickened pituitary stalk is showed by the white arrow .c- the sinus CT showed the bony limits of the defect from the clical recess to the anterior face of the sella.

The repair of the encephalocele was performed using an endoscopic endonasal approach. the sac was resected at the most distal part after being coagulated. We have performed a usual an endoscopic enodonasal binostril approach. After the sphenoidotomy , we can appreciate the bony borders extensions of the encephalocele the long of the sellar floor (image a - figure 2). The sac of was dissected 360 degrees from the bony defect that was individualized clearly. after clipping the lower extremity of the malformation we have tried first to puncture it sing a syringe to reduce tension inside the sac without getting CSF.  we have coagulated and sectioned it just superior to the vascular clip.  the reconstruction of the bony defect was secured with double layers of fascialata and a nasoseptal flap that was harvested in the right nostril. 
 
Figure 2: different important surgical steps .a- the endoscopic view of the encephalocele after the sphenoidotomy .b+c – the circumferential dissection of the sac and the definition of the bony borders of the defect .d- the most lower extremity of the sac was clipped using aneurysm clip to prevent eventual important CSF leaking after section during surgery  .e+f – section just distal to the clip and the final view of the treated malformation .

The postoperative course was uneventful. we have noticed a transitory DI that was managed using desmopressin. the patient was discharged 4 days after surgery. He didn’t present CSF leak.

 

DISCUSSION:
Encephaloceles are secondary to a bony defect through which a part of the brain contents and CSF protrudes. The transsellar form of basal encephalocele is rare however essentially encountered in the pediatric population. They are associated with some craniofacial abnormalities such as cleft lip and hypertelorism 11. Such forms of encephalocele, remain challenging due to their contents as optic chiasm, pituitary stalk, and the anterior communicating complex 11. Polyuria and nasal obstruction were also some of the revealing symptoms in other candidates12. our patient was an adult candidate and the revelation was made during the investigation of a hypogonadism. He presented also a polydipsia that was a part of a diabetes insipidus. these symptoms are probably related to the mechanical tension on the stalk and pituitary gland. The same circumstances of diagnosis were reported by other authors7, however, additionally, their patients had rhinorrhea which was also reported by our patient. In another work, ADH deficiency was also noticed in a patient with transsellar encephalocele 13. Several approaches were described to manage these malformations, including transcranial and transsphenoidal routes12,14. We have performed a binostril endoscopic endonasal approach. the nasoseptal flap was harvested at the beginning of surgery and packed in the nasopharynx. after the sphenoidotomy, the bony defect was individualized as a bony tunnel that extends the sella to the floor of the sphenoid sinus. the bony structure was drilled and the encephalocele was circumferentially delimited than excluded distally with a clip.  after coagulating; we have resected distally to avoid eloquent structures. We have used two layers of fascialata with a vascularized septal flap. after surgery, we didn’t notice visual disorders. A transitory worsening of diabetes insipidus was noticed that was managed using desmopressin. some authors described a modification of the endoscopic technic, where they aspirated partially the cystic part of the encephalocele to reduce tension and the bony defect was firstly closed using titanium mesh plate 12.

 

The transcranial route for this form of basal encephalocele remains challenging because of the retrochiasmatic position of the structures and the sac12, whereas the endoscopic approach is a straightforward trajectory and has better options for reconstruction
 

CONCLUSION:
The transsellar encephalocele remains a challenging entity because of the highly eloquent structure that usually is present in the sac. The endoscopic route is a targeted approach with an efficient reconstruction technic that offers good healing of the dural and bony defects. 


References
1.Jalessi M, Jahanbakhshi A, Sharifi G, Azar JM, Farhadi M, Mobasseri A. Endoscopic repair of transsellar transsphenoidal meningoencephalocele; case report and review of approaches. Interdisciplinary Neurosurgery. 2015/06/01/ 2015;2(2):86-89.

doi:https://doi.org/10.1016/j.inat.2015.02.002
2.Rathore YS, Gupta D, Mahapatra AK. Transsellar transsphenoidal encephalocele: a case report. Pediatr Neurosurg. 2010;46(6):472-4. doi:10.1159/000325157
3.Spacca B, Amasio ME, Giordano F, et al. Surgical management of congenital median perisellar transsphenoidal encephaloceles with an extracranial approach: a series of 6 cases. Neurosurgery. Dec 2009;65(6):1140-5; discussion 1145-6. doi:10.1227/01.Neu.0000351780.23357.F5.
4.Schick B, Brors D, Prescher A. Sternberg's canal--cause of congenital sphenoidal meningocele. Eur Arch Otorhinolaryngol. 2000;257(8):430-2. doi:10.1007/s004050000235
5.Koral K, Geffner ME, Curran JG. Trans-sphenoidal and sphenoethmoidal encephalocele: report of two cases and review of the literature. Australas Radiol. May 2000;44(2):220-4. doi:10.1046/j.1440-1673.2000.00788.x
6.Morishima S, Maeda M, Itonaga T, Sato-Kawano N, Yoshiura KI, Ihara K. Sphenoethmoidal meningoencephalocele with variable hypopituitarism: A case report and review of literature. Clin Pediatr Endocrinol. 2020;29(4):183-187. doi:10.1297/cpe.29.183
7.Abe T, Lüdecke DK, Wada A, Matsumoto K. Transsphenoidal cephaloceles in adults. A report of two cases and review of the literature. Acta Neurochir (Wien). 2000;142(4):397-400. doi:10.1007/s007010050448
8.Maric A, Katalinic D, Cerina V, Pecina HI, Vrkljan M. Sphenopharyngeal Encephalocele Presenting With Partial Hypopituitarism and Diabetes Insipidus: Case Report and Literature Review. The Endocrinologist. 2010;20(3):109-111. doi:10.1097/TEN.0b013e3181dffebb
9. Ogiwara H, Morota N. Surgical treatment of transsphenoidal encephaloceles: transpalatal versus combined transpalatal and transcranial approach. J Neurosurg Pediatr. May 2013;11(5):505-10. doi:10.3171/2013.2.Peds12231
10.Wang T, Uddin A, Mobarakai N, Gilad R, Raden M, Motivala S. Secondary encephalocele in an adult leading to subdural empyema. IDCases. 2020/01/01/ 2020;21:e00916. doi:https://doi.org/10.1016/j.idcr.2020.e00916
11.Formica F, Iannelli A, Paludetti G, Di Rocco C. Transsphenoidal meningoencephalocele. Childs Nerv Syst. Jul 2002;18(6-7):295-8. doi:10.1007/s00381-002-0578-z
12.Zeinalizadeh M, Sadrehosseini SM, Habibi Z, Nejat F, Silva HB, Singh H. Endonasal management of pediatric congenital transsphenoidal encephaloceles: nuances of a modified reconstruction technique. Technical note and report of 3 cases. J Neurosurg Pediatr. Mar 2017;19(3):312-318. doi:10.3171/2016.10.Peds16270
13.Morioka M, Marubayashi T, Masumitsu T, Miura M, Ushio Y. Basal encephaloceles with morning glory syndrome, and progressive hormonal and visual disturbances: case report and review of the literature. Brain Dev. May-Jun 1995;17(3):196-201. doi:10.1016/0387-7604(95)00021-3
14.Tsutsumi K, Asano T, Shigeno T, Matsui T, Ito S, Kaizu H. Transcranial approach for transsphenoidal encephalocele: report of two cases. Surg Neurol. Mar 1999;51(3):252-7. doi:10.1016/s0090-3019(97)00221-8

Figure 1

Figure 2

antarmuka fokus mahjong daya pengguna aktifaws grid serasi mahjong dasar tahapan terjagaaws jejak mekanisme mahjong arah fase lanjutanaws kajian wild berantai mahjong interaktif analitisaws kesesuaian persentase layanan mahjong seluler lanceraws pendalaman persentase mahjong gerak wild mutakhircorak langka mahjong tumbuh perlahan berubahgerak mahjong adaptasi mekanisme pemakai sekarangnalar scatter mahjong malam putaran ekstratempo mahjong kaitan mekanisme keadaan terkinialur permainan mahjong cepat scatter wilddalam hitungan detik scatter wild mahjongmenyatukan naluri pola scatter hitam mahjongmomen mahjong permainan berbalik arahmomen singkat mahjong dinamika permainanperpaduan insting pola scatter hitam momentperubahan drastis mahjong ways scatter wildscatter wild mahjong datang polasekejap berubah scatter wild mahjong wayssensasi baru mahjong lebih scatter wildenergi scatter emas irama reel mahjongevolusi reel mahjong balutan mistisintervensi cepat emas momentum lamakemunculan mendadak naga emas mahjongketika scatter naga emas aktif mahjongnaga emas muncul arah spin mahjongnaga emas ritme mahjong ways berubahrahasia rtp tinggi balik scatter hitamsaat scatter naga emas alih irama reelscatter hitam kunci lonjakan rtp mahjonge5 scatter wild memberikan sentuhan baru di setiap spin mahjong ways 2e5 scatter wild menghidupkan suasana permainan mahjong ways 2e5 scatter wild mengubah pola permainan mahjong ways 2 secara signifikane5 setiap putaran mahjong ways 2 terasa berbeda dengan scatter wilde5 strategi adaptif berbasis analisis rtp hariane5 strategi berbasis data dan algoritma untuk analisis momentume5 strategi berkembang berkat data rtp hariane5 strategi memahami algoritma untuk mengidentifikasi momentum ideale5 strategi membaca pola algoritma demi menangkap momentum optimale5 strategi modern mengandalkan evaluasi rtp hariane5 strategi responsif dengan dukungan evaluasi rtp hariane5 strategi terukur dengan analisis rtp hariane5 struktur scatter dan wild terlihat jelas berkat analisis sistem moderne5 tanpa disadari kombinasi ini sering mengarah ke scatter di mahjong wins 3e5 teknik evaluasi algoritma untuk mendapatkan momentum yang tepate5 teknik observasi sistem untuk analisis momentum yang lebih presisie5 terungkap formasi ini sering jadi awal munculnya scatter di mahjong wins 3e5 transformasi digital rtp live berkat artificial intelligence inovatife5 transformasi ritme mahjong ways 2 dipicu oleh kekuatan scatter wilde5 wajib tahu pola tersembunyi ini sering menghasilkan scattere5 applee5 bananae5 candye5 doge5 eaglee5 falcone5 geminie5 horsee5 indiae5 japananalisa pola mahjong ways rutinanalisis kinerja heuristik variansi gameanalisis pola mahjong ways hariananalisis pola mahjong ways kebiasaanera baru mahjong wins bonus optimalgebrakan bonus mahjong wins mekanisme efisieninsight pola mahjong ways rutinkajian pola mahjong ways rutinkomparasi heuristik variansi game digitalledakan bonus mahjong wins sistem efektifmahjong wins bonus sistem generasi baruobservasi pola mahjong ways harianpendekatan algoritma heuristik variansi gameperbandingan model heuristik variansi gamerahasia bonus mahjong wins sistem cerdasrangkuman pola mahjong ways harianringkasan pola mahjong ways harianstudi pola mahjong ways hariantinjauan heuristik variansi game digitaltinjauan pola mahjong ways harianalur sombol mahjong kemunculan scatterdari rtp mahjong bermain lebih efektifjejak scatter mahjong putaran tenangkejutan scatter wild simbol mahjong arahkemunculan simbol ganda membuat mahjongketika grid mahjong scatter semakin dekatketika rtp mahjong pola mulai lebih jelasketika scatter wild ritme simbol mahjongketika scatter wild titik sesi mahjong waysketika susunan simbol mahjong ritme scattermemahami rtp mahjong cara bermain lebihpergerakan simbol mahjong scatter wildpergeseran mahjong ketika scatter hadirsaat rtp mahjong terbaca baik strategisaat scatter hadir simbol mahjong bergeserscatter wild dinamika simbol mahjongstabilitas putaran mahjong pola scattersusunan baru reel mahjong scatter emassusunan mahjong wins mengandung scattersusunan simbol mahjong diam pola scatterrm menguak keunikan mahjong wins sudut pandang teknisrm cara memahami pergerakan mahjong ways tenaga ekstrarm mahjong wins standar baru industri hiburan digitalrm rahasia ketahanan mahjong ways eksis gempuran gamerm pentingnya memahami transisi level mahjong wins mendalamrm strategi mengatur tempo mahjong ways kendali permainanrm peran kecerdasan buatan mekanisme mahjong wins adilrm alasan keberhasilan mahjong ways mencuri perhatian analisrm mempelajari struktur dasar mahjong wins efisiensi putaranrm inovasi desain mahjong ways kesan bermain responsifrm teknik observasi mahjong wins jarang dibahas dampakrm cara mempertahankan fokus dinamika mahjong ways cepatrm eksplorasi fitur tersembunyi mahjong wins ritme terbaikrm mahjong ways integrasi teknologi modern keamanan nyamanrm analisis faktor pendukung mahjong wins digemari generasirm langkah efektif menyesuaikan perubahan sistem mahjong waysrm mengintip proses pengembangan mahjong wins kualitas penggunarm analisis data membantu membaca arah mahjong waysrm menemukan titik temu insting logika mahjong winsrm transformasi besar mahjong ways menghadirkan tantangan menarikmengungkap simbol langka nasib drastismisteri besar kombinasi simbol langkamisteri simbol langka keberuntungan besarsimbol langka misterius ubah hiduprahasia simbol langka nasib cepattransformasi bonus mahjong wins sistem efektifmahjong wins suguhkan bonus sistem modernsuguhan bonus efisien mahjong winsefektivitas sistem bonus mahjong winsmahjong wins hadirkan bonus sistem optimaloke76cincinbetaqua365slot gacorstc76samurai76TOBA1131samurai76 login