A Case of Panfolliculoma in a Patient with CYLD Cutaneous Syndrome

A Case of Panfolliculoma in a Patient with CYLD Cutaneous Syndrome

Maryam Abdo, MD1, Farhan Ismael Sami, MD 2*, Daniel J. Mettman, MD3

1. PGY-3, Pathology and Laboratory Medicine, The University of Kansas Medical Center.

2. PGY-2, Pathology and Laboratory Medicine, The University of Kansas Medical Center.

3. Assistant Professor, Pathology and Laboratory Medicine, The University of Kansas Medical Center.

 

*Correspondence to: Farhan Ismael Sami, MD, PGY-2, Pathology and Laboratory Medicine, The University of Kansas Medical Center.

 Copyright

© 2023 Farhan Ismael Sami, MD. This is an open access article distributed under the Creative Commons Attribution License, which permits unrestricted use, distribution, and reproduction in any medium, provided the original work is properly cited.

Received: 04 October 2023

Published: 18 October 2023

 

Abstract

Panfolliculoma (PF) is a very rare benign adnexal skin tumor displaying follicular differentiation with recapitulation for each component of the normal hair follicle. It usually presents clinically as a solitary, small (<3 cm), slow-growing, tumor on the face or scalp. To our knowledge, none of the reported cases have occurred in a patient with a known diagnosis of an inherited syndrome. Herein we report the first case of a panfolliculoma in a patient with CYLD cutaneous syndrome.

Key Words: (Panfolliculoma, Folliculosebaceous neoplasms, CYLD cutaneous syndrome, Brooke-Spiegler Syndrome, Familial Cylindromatosis, Multiple Familial Trichoepithelioma).


A Case of Panfolliculoma in a Patient with CYLD Cutaneous Syndrome

Introduction:

Panfolliculoma (PF) is a very rare – fewer than 50 cases reported benign adnexal skin tumor displaying follicular differentiation with recapitulation for each component of the normal hair follicle. It was first described by Ackerman in 1993 as “superficial trichoblastoma with advanced follicular differentiation” with the term “panfolliculoma” penned to communicate the recapitulation of all hair follicle components (1). In 2014, Shan and Guo classified PF into three subtypes: nodular, in which neoplastic cells predominate as solid dermal cell aggregates; cystic, in which neoplastic cells predominate as cystic dermal cell aggregates; and superficial, in which neoplastic cells predominate as intraepidermal cell aggregates (2). Clinically, PF usually presents clinically as a solitary, small (<3 cm), slow-growing, tumor on the face or scalp (3). They tend to occur in adulthood and there is a slight predilection for males (4). To our knowledge, none of the reported cases have occurred in a patient with a known diagnosis of an inherited syndrome.

CYLD?cutaneous syndrome (CCS) is an autosomal dominant disorder that is most commonly diagnosed in the second or third decade by the manifestation of multiple benign skin tumors. CCS encompasses the conditions formerly broken into Brooke-Spiegler syndrome, multiple familial trichoepithelioma, and familial cylindromatosis (5). As such, the syndrome is characterized by any of trichoepitheliomas, trichoblastomas, cylindromas, or spiradenomas and the presence of a germline CYLD mutation (5).

Herein we report the first case of a panfolliculoma in a patient with CYLD cutaneous syndrome.

 

Case Report: 

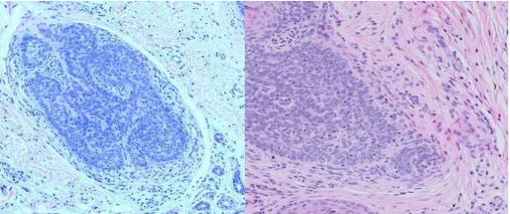
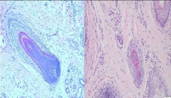
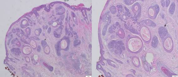
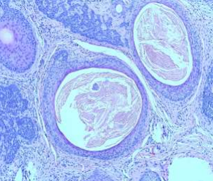
A 39-year-old male presented to the dermatology clinic of a Veterans Affairs medical center with a cystic nodule of the left medial eyebrow measuring 0.8 x 0.7 cm (figure 1). The patient was known to have CCS. His father, paternal aunt, and paternal grandfather had been diagnosed with Brooke-Spiegler syndrome (diagram 1). After presenting with multiple trichoepitheliomas, he had tested positive for a heterozygous pathogenic variant (c.2288-2289del p.Phe 763) of CYLD NM-015247.2CYLD. With this history, the clinical differential for this eyebrow lesion was cylindroma versus spiradenoma. Microscopic examination of the excision specimen revealed a well-circumscribed, dermal-based adnexal proliferation with areas recapitulating each part of the normal hair follicle: the?infundibulum, inner root sheath, outer root sheath, matrix, and bulb (figure 2.A&B). Areas resembling the infundibular portion of the hair follicle contained cystic cell aggregates lined by stratified squamous epithelium with a granular layer and filled with “basket-weave” orthokeratin (figure 2.C). Areas resembling the suprabulbar portion of the hair follicle showed clear cells as seen in the external root sheath and eosinophilic cells as seen in the internal root sheath (figure 2.D&E). Areas resembling the bulbar portion of the hair follicle showed immature basaloid cells and papillary mesenchymal bodies (figure 2.F&G). The lesion was uniformly circumscribed and without cytologic atypia, so a diagnosis of PF was rendered.

 

Discussion: 

Our case is classic for a panfolliculoma with the presentation of a small, slow-growing nodule on the face of an adult male and the histomorphology of a benign, nodular-type, dermal-based, adnexal proliferation with areas recapitulating each part of the normal hair follicle.

As stated before, to our knowledge, based on a PubMed search of “panfolliculoma”, fewer than 50 cases – 45 to be exact – have been described in the literature. None of the reported cases mentioned a known diagnosis of or clinical suspicion for an inherited syndrome with the exception of one case in which the patient and her daughter had similar lesions (6).

Therefore, this case of panfolliculoma in a patient with known CYLD cutaneous syndrome represents the first case of panfolliculoma in a patient with a known inherited syndrome. Our medical center has only around 1,000 dermatologic surgical pathology specimens per year. The detection of a lesion that has been reported fewer than 50 times at an institution with such a low volume raises the question as to whether this lesion is underrecognized and/or that this rare lesion was present in this patient because of this patient’s rare condition (i.e. CYLD cutaneous syndrome). Either way, this report adds to the limited literature on this entity and lays the groundwork for additional reports to investigate a possible relationship between panfolliculoma and CCS or any other inherited syndromes.  

Figure 1,2,3

 

Conclusion: 

Panfolliculoma is a rare, likely underreported, benign follicular neoplasm. This case arising in a patient with confirmed CCS raises the possibility of an association between the two conditions. Attention on this diagnosis and case may result in increased reporting of this entity and establishment of a relationship – or lackthereof – between panfolliculoma and CCS.

 

Financial support and sponsorship: None

Conflicts of interest: 

There are no conflicts of interest. 

 

References:

1.Ackerman, A.B.; de Viragh, P.A.; Chongchitnant, N.?Neoplasms with Follicular Differentiation; Lea & Febiger: London, UK, 1993.?

2.Shan, Shi-Jun, and Ying Guo. "Panfolliculoma and histopathologic variants: a study of 19 cases."?The American Journal of Dermatopathology?36, no. 12 (2014): 965-971.

3.Tumours of cutaneous appendages. In: Patterson JW. Weedon's skin pathology, 4th edn. Churchill Livingstone, 2016: 919.

4.Juang, Shiow-Jen, Khin-Than Win, and Feng-Jie Lai. "Panfolliculoma: Report of the Youngest Case and Literature Review of Its Histopathologic Variants."?Life?12, no. 6 (2022): 881.

5.Dubois A, Rajan N. CYLD Cutaneous Syndrome. 2020 Apr 16. In: Adam MP, Mirzaa GM, Pagon RA, et al., editors. GeneReviews® [Internet]. Seattle (WA): University of Washington, Seattle; 1993-2023. Available from: https://www.ncbi.nlm.nih.gov/books/NBK555820/

6.Abid A, Parker D, Blalock TW. Panfolliculoma in SUFU-mutated basal cell nevus syndrome. JAAD Case Rep. 2023 Feb 19;34:40-42. doi: 10.1016/j.jdcr.2023.01.033. PMID: 36936865; PMCID: PMC10018224.

Figure 1

Figure 2

Figure 3

Figure 4

Figure 5

Figure 6

antarmuka fokus mahjong daya pengguna aktifaws grid serasi mahjong dasar tahapan terjagaaws jejak mekanisme mahjong arah fase lanjutanaws kajian wild berantai mahjong interaktif analitisaws kesesuaian persentase layanan mahjong seluler lanceraws pendalaman persentase mahjong gerak wild mutakhircorak langka mahjong tumbuh perlahan berubahgerak mahjong adaptasi mekanisme pemakai sekarangnalar scatter mahjong malam putaran ekstratempo mahjong kaitan mekanisme keadaan terkinialur permainan mahjong cepat scatter wilddalam hitungan detik scatter wild mahjongmenyatukan naluri pola scatter hitam mahjongmomen mahjong permainan berbalik arahmomen singkat mahjong dinamika permainanperpaduan insting pola scatter hitam momentperubahan drastis mahjong ways scatter wildscatter wild mahjong datang polasekejap berubah scatter wild mahjong wayssensasi baru mahjong lebih scatter wildenergi scatter emas irama reel mahjongevolusi reel mahjong balutan mistisintervensi cepat emas momentum lamakemunculan mendadak naga emas mahjongketika scatter naga emas aktif mahjongnaga emas muncul arah spin mahjongnaga emas ritme mahjong ways berubahrahasia rtp tinggi balik scatter hitamsaat scatter naga emas alih irama reelscatter hitam kunci lonjakan rtp mahjonge5 scatter wild memberikan sentuhan baru di setiap spin mahjong ways 2e5 scatter wild menghidupkan suasana permainan mahjong ways 2e5 scatter wild mengubah pola permainan mahjong ways 2 secara signifikane5 setiap putaran mahjong ways 2 terasa berbeda dengan scatter wilde5 strategi adaptif berbasis analisis rtp hariane5 strategi berbasis data dan algoritma untuk analisis momentume5 strategi berkembang berkat data rtp hariane5 strategi memahami algoritma untuk mengidentifikasi momentum ideale5 strategi membaca pola algoritma demi menangkap momentum optimale5 strategi modern mengandalkan evaluasi rtp hariane5 strategi responsif dengan dukungan evaluasi rtp hariane5 strategi terukur dengan analisis rtp hariane5 struktur scatter dan wild terlihat jelas berkat analisis sistem moderne5 tanpa disadari kombinasi ini sering mengarah ke scatter di mahjong wins 3e5 teknik evaluasi algoritma untuk mendapatkan momentum yang tepate5 teknik observasi sistem untuk analisis momentum yang lebih presisie5 terungkap formasi ini sering jadi awal munculnya scatter di mahjong wins 3e5 transformasi digital rtp live berkat artificial intelligence inovatife5 transformasi ritme mahjong ways 2 dipicu oleh kekuatan scatter wilde5 wajib tahu pola tersembunyi ini sering menghasilkan scattere5 applee5 bananae5 candye5 doge5 eaglee5 falcone5 geminie5 horsee5 indiae5 japananalisa pola mahjong ways rutinanalisis kinerja heuristik variansi gameanalisis pola mahjong ways hariananalisis pola mahjong ways kebiasaanera baru mahjong wins bonus optimalgebrakan bonus mahjong wins mekanisme efisieninsight pola mahjong ways rutinkajian pola mahjong ways rutinkomparasi heuristik variansi game digitalledakan bonus mahjong wins sistem efektifmahjong wins bonus sistem generasi baruobservasi pola mahjong ways harianpendekatan algoritma heuristik variansi gameperbandingan model heuristik variansi gamerahasia bonus mahjong wins sistem cerdasrangkuman pola mahjong ways harianringkasan pola mahjong ways harianstudi pola mahjong ways hariantinjauan heuristik variansi game digitaltinjauan pola mahjong ways harianalur sombol mahjong kemunculan scatterdari rtp mahjong bermain lebih efektifjejak scatter mahjong putaran tenangkejutan scatter wild simbol mahjong arahkemunculan simbol ganda membuat mahjongketika grid mahjong scatter semakin dekatketika rtp mahjong pola mulai lebih jelasketika scatter wild ritme simbol mahjongketika scatter wild titik sesi mahjong waysketika susunan simbol mahjong ritme scattermemahami rtp mahjong cara bermain lebihpergerakan simbol mahjong scatter wildpergeseran mahjong ketika scatter hadirsaat rtp mahjong terbaca baik strategisaat scatter hadir simbol mahjong bergeserscatter wild dinamika simbol mahjongstabilitas putaran mahjong pola scattersusunan baru reel mahjong scatter emassusunan mahjong wins mengandung scattersusunan simbol mahjong diam pola scatterrm menguak keunikan mahjong wins sudut pandang teknisrm cara memahami pergerakan mahjong ways tenaga ekstrarm mahjong wins standar baru industri hiburan digitalrm rahasia ketahanan mahjong ways eksis gempuran gamerm pentingnya memahami transisi level mahjong wins mendalamrm strategi mengatur tempo mahjong ways kendali permainanrm peran kecerdasan buatan mekanisme mahjong wins adilrm alasan keberhasilan mahjong ways mencuri perhatian analisrm mempelajari struktur dasar mahjong wins efisiensi putaranrm inovasi desain mahjong ways kesan bermain responsifrm teknik observasi mahjong wins jarang dibahas dampakrm cara mempertahankan fokus dinamika mahjong ways cepatrm eksplorasi fitur tersembunyi mahjong wins ritme terbaikrm mahjong ways integrasi teknologi modern keamanan nyamanrm analisis faktor pendukung mahjong wins digemari generasirm langkah efektif menyesuaikan perubahan sistem mahjong waysrm mengintip proses pengembangan mahjong wins kualitas penggunarm analisis data membantu membaca arah mahjong waysrm menemukan titik temu insting logika mahjong winsrm transformasi besar mahjong ways menghadirkan tantangan menarikmengungkap simbol langka nasib drastismisteri besar kombinasi simbol langkamisteri simbol langka keberuntungan besarsimbol langka misterius ubah hiduprahasia simbol langka nasib cepattransformasi bonus mahjong wins sistem efektifmahjong wins suguhkan bonus sistem modernsuguhan bonus efisien mahjong winsefektivitas sistem bonus mahjong winsmahjong wins hadirkan bonus sistem optimaloke76cincinbetaqua365slot gacorstc76samurai76TOBA1131samurai76 login