Medically Induced Rhinorrhea in A Case of a Bimorphous Adenoma

Medically Induced Rhinorrhea in A Case of a Bimorphous Adenoma

Chafik Handis *1, Salim Meziani1 1, Yacine Felissi 1, Hamza Bouchekoura1, Alouane Sarah 1,
Radhia Ait Chalal 2, Leila Ahmed Ali 3, Amel Adimi 3, N Soumaya Fedala 3, Abdelhalim Morsli 1

1. Mohamed Lamine Debaghine University Hospital, Department of Neurosurgery, Algiers University – Faculty of Medicine, Algiers, Algeria.

2. Mohamed Lamine Debaghine University Hospital, National Center of Medical Imaging, Algiers University – Faculty of Medicine, Algiers, Algeria.

3. Mohamed Lamine Debaghine University Hospital, Department of Endocrinology, Algiers University – Faculty of Medicine, Algiers, Algeria.

*Correspondence to: Chafik Handis. Department of Neurosurgery, Mohamed Lamine Debaghine University Hospital, University of Algiers, Algeria.

Copyright

© 2023 Chafik Handis. This is an open access article distributed under the Creative Commons Attribution License, which permits unrestricted use, distribution, and reproduction in any medium, provided the original work is properly cited.

Received: 16 October 2023

Published: 21 November 2023

DOI:10.5281/zenodo.10029197

Abstract

Cerebrospinal fluid (CSF) rhinorrhea is a clinical condition reported in several situations as head trauma, obesity, or as a complication of endonasal surgery. Medical therapy by Bromocriptine and recently Cabergoline is highly efficient for prolactinoma in both size and prolactin level control. We describe a case of an invasive bimorphous adenoma in a young male treated medically who presented intermittent rhinorrhea for several weeks that became persistent. Imaging modalities (MRI and CT) showed a liquid filling of the sphenoid sinus and a bony erosion of the sellar floor. surgical management consisted of a vascularized flap that sealed efficiently the defect.

Keywords: Prolactinoma, cabergoline, rhinorrhea.


Medically Induced Rhinorrhea in A Case of a Bimorphous Adenoma

Introduction

Plurihomonal pituitary adenomas are a subgroup of pituitary neoplasms where the tumor secretes simultaneously two or more hormones with multiple related clinical consequences. The nomination that was also attributed to this adenoma is “monomorphous” when the cells produce only one hormone and “bi or pluri-morphous” when the secretion is multiple types of hormones[1,2]. they represent 10 to15? of all pituitary adenomas[1].

Prolactinomas are the most encountered pituitary-secreting tumors in 40? of  cases. The sex ratio male to female is 1:10 and the young population from 20 to 50 years old is mostly affected [3]. In addition to headaches and visual disturb-ances, the rest of the clinical expression is different between genders. males complain mainly of decreased libido and erectile dysfunction, whereas females present galactorrhea or dysmenorrhea, and these symptoms are related to elevat-ed prolactin levels. During acromegaly condition, the tumor secretes inappropri-ate growth hormones (GH) and the patient shows an acromegalic dysmorphic morphotype with all the other metabolic and functional consequences.

We report a rare case with two specific parameters; first, the pituitary adenoma was prolactin (PRL) and growth hormone (GH) secreting (Bimorphous), and second the occurrence of CSF rhinorrhea after cabergoline treatment, which was successfully managed using an endonasal endoscopic technic.

 

Case Presentation

The report is about a 29 years old man with a past medical history of diabetes since the age of 14 years managed with insulin injections, that presented progressively during several weeks’ headaches, visual disturbances, and ocular motility disorders of the left eye with a double vision.

The physical examination showed a bilateral gynecomastia and galactorrhea. He reported a low libido and erectile dysfunction. We have noticed a slight acromegalic dysmorphia, ptosis, and horizontal diplopia in the left eye.


The endocrinological evaluation revealed:

PRL: 200ng/ml and diluted PRL :2552ng /ml (hyperprolactinemia).

IGF1:217ng/ml, GH:2.25ng/ml (hypersomatotropism)

TSH:0.37 µU/ml, FT4:1.59pmol/ml (thyrotropin deficiency)

FSH:2.47µU/ml, LH:1.75 µU/ml, Testosterone :1.47ng/ml (gonadotropin deficiency).

The ophthalmological evaluation was normal except for the previously mentioned abnormalities in the left eye movement.

The pituitary MRI showed an invasive macroadenoma filling partially the sella with a major extension to the left cavernous sinus and compression of the optic chiasm. The tumor had a lower extension toward the sphenoid sinus without filling it after eroding the sellar floor. Initially, based on the endocrinological evaluations and the major extension toward the cavernous sinus of the tumor, medical treatment using Cabergoline once a week with regular evaluations of prolactin levels was initiated for him. Moreover, we have started also a hormonal substitution using thyroid hormones.

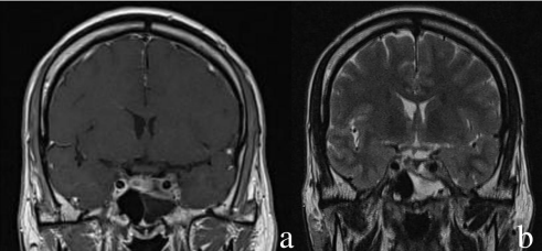
Figure 1: a- coronal T1 + contrast MRI showing a pituitary adenoma invading the left cavernous sinus with a heterogeneous enhancement- coronal T2 showing a CSF collection in the left sphenoid sinus. 

 

During his follow-up, he started to present some dripping from the nose of a clear liquid that didn’t seem to worry the patient, 8 weeks after the treatment initiation. The frequency was one time per three days. The leaking became more important and frequent motivating then the patient to consult.

The MRI showed a good response for treatment with a partial reduction of the tumoral size, however, the left sphenoid sinus was filled by CSF-like intensity collection (figure1). The skull base CT showed a bony defect (erosion) of the sella extending to the tuberculum. We have confirmed this osteodural defect using a brain isotopic transit study that confirmed the same findings.

Considering these findings, an endonasal endoscopic repair of the defect was planned and achieved for him. Using a binostril approach, we have raised a nasoseptal flap on the right side with preservation of the olfactory mucosa. after performing a sphenoidotomy, a significant amount of CSF was aspirated and the defect was identified. The repair was completed first by a small amount of fat graft, and then a generous covering using a vascularized flap was used. the nose was packed at the end of the procedure. The postoperative course was uneventful and the patient was discharged 3 days after with antibiotic treatment. he was seen 10 days after in the office for packing removal. Follow-up at two years after surgery revealed a significant reduction of the tumor size and normalization of the Prolactine levels with a good vascularized flap at the imaging analysis (figure2).


Figure 2: a- sagittal T1 with contrast showing the vascularized nasoseptal flap without CSF collection in the sinus. b- coronal T2 MRI showing a good response for medical treatment with tumor shrinkage.


Discussion

Pituitary tumors represent 15? of all central nervous system tumors and were recently renamed as pituitary neuroendocrine tumors in the last WHO classification [4]. The first line of treatment for prolactinomas is using Cabergoline or Bromocriptine with efficient results on tumor volume and Prolactine level reduction [5]. Surgical management using transsphenoidal resection for such lesions could be an option when a resistance or an intolerance was noticed during follow-up [6]. The main advantages of Cabergoline were its long half-life (63 to 69 hours) and the lower administration doses allowing for a better tolerance in patients This D2 agonist induced normoprolactinemia and tumor shrinkage in more than 80? of cases [7]. The unusual clinical scenario during the medical treatment of these tumors was the occurrence of cerebrospinal fluid leaking after the tumor shrinkage [8,9].

One of the parameters that made the specificity of our case is the bimorphous aspect of the neuroendocrine tumor reported in our case. The pathogenesis of these neoplasms remains unclear. One interesting fact is that the staining for different hormones during immunohistological analysis was not accompanied in all cases by elevated corresponding hormone levels previously detected [10]. some authors mentioned that these hormones became inactive when they were released in the blood circulation [11].


This unusual complication during the treatment of prolactinoma using bromocriptine treatment [7]. Some authors described the stopper effect, generated by the adenoma against the pulsation of the CSF. This effect is not significant after the tumor shrinkage by the oral treatment, a thing that will allow this pulsation to be against a thinned dura and bone, leading to leaking [12,13]. Exceptionally, rhinorrhea could occur also in untreated patients harboring macroadenoma. In the same work, CSF rhinorrhea was divided into direct and indirect types. in the direct type; the leaking was related to a tumor as; a pituitary tumor, chordoma, or nasopharyngeal adenocarcinoma, as it’s our case. In the indirect type, the patient presents intracranial hypertension therefore leaking is a sort of relief for the brain. The common vulnerable targets in the skull base were the cribriform plate, the sellar floor, and the clivus [14]. 

Several complications were related to persistent rhinorrhea due essentially to the contamination of the subarachnoid space by nasal sinuses. Meningitis, pneumocephalus, and even brain abscess were reported as possible evolution in similar cases [15]. This devastating situation should be avoided by a rapid diagnosis and management. the discontinuation of the treatment was reported as a primary option as a modality in 24? of the cases, but it’s not used in most institutions [16].

Surgical repair using an endonasal route was reported to be an efficient modality to manage similar patients in more than 90 ? of cases [16]. This surgical technique offers a direct route for the surgeon to access the sella where tumor debulking is possible without significant risk. Another advantage is the full control of the bony defect at the region of the sella and the tuberculum sellae as it was in our case. The reconstruction strategy is performed considering the importance of CSF flow. For simple weeping leaks, usual techniques using fat and other dural substitutes sealed by glue were efficient techniques [17]. When the flow is more important during large dural defects, authors recommended the use of fascia and autologous fat with additional sellar buttress [18]. The nasoseptal flap was reserved for extremely large defects with significant CSF flow [19]. We have used au autologous fat reinforced by a pedicled nasoseptal flap considering the importance of CSF flow after the Valsalva maneuver. some authors recommended the use of intrathecal fluorescein to individualize the origin of CSF if it’s not obvious during surgery [16].


Conclusion

Prolactinomas are frequent pituitary neuroendocrine tumors with invasive behavior to adjacent structures such as bone, cavernous sinus, and subarachnoid space. CSF rhinorrhea should be considered during the initiation of medical treatment for prolactinoma. the patient must be properly evaluated if some unusual symptoms were reported as nasal leaking, headaches, or fever. The diagnosis and appropriate evaluation of this situation should be urgent to prevent the onset of meningitis or even brain abscess. Endoscopic endonasal surgery is an efficient technic and offers a better option for tumor resection and reconstruction of the skull base defect.

 

References

1. Allehaibi E, AlMalki MH, Brema I. Plurihormonal pituitary macroadenoma:  a case report. J Med Case Rep. Jul 29 2021;15(1):407. doi:10.1186/s13256-021-02948-6

2. Kovacs K, Horvath E, Asa SL, Stefaneanu L, Sano T. Pituitary cells producing more than one hormone human pituitary adenomas. Trends in endocrinology and metabolism: TEM. Nov-Dec 1989;1(2):104-7. doi:10.1016/1043-2760(89)90012-x

3. Ciccarelli A, Daly AF, Beckers A. The epidemiology of prolactinomas. Pituitary. 2005;8(1):3-6. doi:10.1007/s11102-005-5079-0

4. Asa SL, Mete O, Perry A, Osamura RY. Overview of the 2022 WHO Classification of Pituitary Tumors. Endocrine pathology. Mar 2022;33(1):6-26. doi:10.1007/s12022-022-09703-7

5. Klibanski A, Zervas NT. Diagnosis and management of hormone-secreting pituitary adenomas. The New England journal of medicine. Mar 21 1991;324(12):822-31. doi:10.1056/nejm199103213241207

6. Zamanipoor Najafabadi AH, Zandbergen IM, de Vries F, et al. Surgery as a Viable Alternative First-Line Treatment for Prolactinoma Patients. A Systematic Review and Meta-Analysis. The Journal of clinical endocrinology and metabolism. Mar 1 2020;105(3):e32-41. doi:10.1210/clinem/dgz144

7. Cappabianca P, Lodrini S, Felisati G, et al. Cabergoline-induced CSF rhinorrhea in patients with macroprolactinoma. Report of three cases. Journal of endocrinological investigation. Mar 2001;24(3):183-7. doi:10.1007/bf03343840

8. Arimappamagan A, Sadashiva N, Kandregula S, Shukla D, Somanna S. CSF Rhinorrhea Following Medical Treatment for Prolactinoma: Management and Challenges. Journal of neurological surgery Part B, Skull base. Dec 2019;80(6):620-625. doi:10.1055/s-0039-1677686

9. ?esák T, Poczos P, Adamkov J, et al. Medically induced CSF rhinorrhea following treatment of macroprolactinoma: case series and literature review. Pituitary. Dec 2018;21(6):561-570. doi:10.1007/s11102-018-0907-1

10. Shi R, Wan X, Yan Z, Tan Z, Liu X, Lei T. Clinicopathological Characteristics of Plurihormonal Pituitary Adenoma. Front Surg. 2022;9:826720. doi:10.3389/fsurg.2022.826720

11. Wei L, Yue Z, Wang SJCJN. Immunopathological study of plurihormonal pituitary adenomas. 2008;13:208.

12. Fager CA. Nature and treatment of cerebrospinal fluid rhinorrhea in pituitary tumors. The Surgical clinics of North America. Apr 1973;53(2):283-90. doi:10.1016/s0039-6109(16)39979-0

13. Obana WG, Hodes JE, Weinstein PR, Wilson CB. Cerebrospinal fluid rhinorrhea in patients with untreated pituitary adenoma: report of two cases. Surgical neurology. May 1990;33(5):336-40. doi:10.1016/0090-3019(90)90202-z

14. Ohtakara K, Matsubara T, Kojima T, Taki W, Waga S. Cerebrospinal fluid rhinorrhea associated with untreated prolactinoma--case report. Neurologia medico-chirurgica. Aug 2000;40(8):413-8. doi:10.2176/nmc.40.413

15. Suliman SG, Gurlek A, Byrne JV, et al. Nonsurgical cerebrospinal fluid rhinorrhea in invasive macroprolactinoma: incidence, radiological, and clinicopathological features. The Journal of clinical endocrinology and metabolism. Oct 2007;92(10):3829-35. doi:10.1210/jc.2007-0373

16. Lam G, Mehta V, Zada G. Spontaneous and medically induced cerebrospinal fluid leakage in the setting of pituitary adenomas: review of the literature. Neurosurgical focus. Jun 2012;32(6):E2. doi:10.3171/2012.4.Focus1268

17. Colao A, Annunziato L, Lombardi G. Treatment of prolactinomas. Annals of medicine. Oct 1998;30(5):452-9. doi:10.3109/07853899809002486

18. Carroll WR, Cohen S, Sullivan MJ. Spontaneous CSF rhinorrhea: an unusual presentation of a pituitary adenoma. Otolaryngology--head and neck surgery: official journal of American Academy of Otolaryngology-Head and Neck Surgery. Mar 1991;104(3):380-3. doi:10.1177/019459989110400316

19. Schmalbach CE, Webb DE, Weitzel EK. Anterior skull base reconstruction: a review of current techniques. Current opinion in otolaryngology & head and neck surgery. Aug 2010;18(4):238-43. doi:10.1097/MOO.0b013e32833a4706.

Figure 1

Figure 2

antarmuka fokus mahjong daya pengguna aktifaws grid serasi mahjong dasar tahapan terjagaaws jejak mekanisme mahjong arah fase lanjutanaws kajian wild berantai mahjong interaktif analitisaws kesesuaian persentase layanan mahjong seluler lanceraws pendalaman persentase mahjong gerak wild mutakhircorak langka mahjong tumbuh perlahan berubahgerak mahjong adaptasi mekanisme pemakai sekarangnalar scatter mahjong malam putaran ekstratempo mahjong kaitan mekanisme keadaan terkinialur permainan mahjong cepat scatter wilddalam hitungan detik scatter wild mahjongmenyatukan naluri pola scatter hitam mahjongmomen mahjong permainan berbalik arahmomen singkat mahjong dinamika permainanperpaduan insting pola scatter hitam momentperubahan drastis mahjong ways scatter wildscatter wild mahjong datang polasekejap berubah scatter wild mahjong wayssensasi baru mahjong lebih scatter wildenergi scatter emas irama reel mahjongevolusi reel mahjong balutan mistisintervensi cepat emas momentum lamakemunculan mendadak naga emas mahjongketika scatter naga emas aktif mahjongnaga emas muncul arah spin mahjongnaga emas ritme mahjong ways berubahrahasia rtp tinggi balik scatter hitamsaat scatter naga emas alih irama reelscatter hitam kunci lonjakan rtp mahjonge5 scatter wild memberikan sentuhan baru di setiap spin mahjong ways 2e5 scatter wild menghidupkan suasana permainan mahjong ways 2e5 scatter wild mengubah pola permainan mahjong ways 2 secara signifikane5 setiap putaran mahjong ways 2 terasa berbeda dengan scatter wilde5 strategi adaptif berbasis analisis rtp hariane5 strategi berbasis data dan algoritma untuk analisis momentume5 strategi berkembang berkat data rtp hariane5 strategi memahami algoritma untuk mengidentifikasi momentum ideale5 strategi membaca pola algoritma demi menangkap momentum optimale5 strategi modern mengandalkan evaluasi rtp hariane5 strategi responsif dengan dukungan evaluasi rtp hariane5 strategi terukur dengan analisis rtp hariane5 struktur scatter dan wild terlihat jelas berkat analisis sistem moderne5 tanpa disadari kombinasi ini sering mengarah ke scatter di mahjong wins 3e5 teknik evaluasi algoritma untuk mendapatkan momentum yang tepate5 teknik observasi sistem untuk analisis momentum yang lebih presisie5 terungkap formasi ini sering jadi awal munculnya scatter di mahjong wins 3e5 transformasi digital rtp live berkat artificial intelligence inovatife5 transformasi ritme mahjong ways 2 dipicu oleh kekuatan scatter wilde5 wajib tahu pola tersembunyi ini sering menghasilkan scattere5 applee5 bananae5 candye5 doge5 eaglee5 falcone5 geminie5 horsee5 indiae5 japananalisa pola mahjong ways rutinanalisis kinerja heuristik variansi gameanalisis pola mahjong ways hariananalisis pola mahjong ways kebiasaanera baru mahjong wins bonus optimalgebrakan bonus mahjong wins mekanisme efisieninsight pola mahjong ways rutinkajian pola mahjong ways rutinkomparasi heuristik variansi game digitalledakan bonus mahjong wins sistem efektifmahjong wins bonus sistem generasi baruobservasi pola mahjong ways harianpendekatan algoritma heuristik variansi gameperbandingan model heuristik variansi gamerahasia bonus mahjong wins sistem cerdasrangkuman pola mahjong ways harianringkasan pola mahjong ways harianstudi pola mahjong ways hariantinjauan heuristik variansi game digitaltinjauan pola mahjong ways harianalur sombol mahjong kemunculan scatterdari rtp mahjong bermain lebih efektifjejak scatter mahjong putaran tenangkejutan scatter wild simbol mahjong arahkemunculan simbol ganda membuat mahjongketika grid mahjong scatter semakin dekatketika rtp mahjong pola mulai lebih jelasketika scatter wild ritme simbol mahjongketika scatter wild titik sesi mahjong waysketika susunan simbol mahjong ritme scattermemahami rtp mahjong cara bermain lebihpergerakan simbol mahjong scatter wildpergeseran mahjong ketika scatter hadirsaat rtp mahjong terbaca baik strategisaat scatter hadir simbol mahjong bergeserscatter wild dinamika simbol mahjongstabilitas putaran mahjong pola scattersusunan baru reel mahjong scatter emassusunan mahjong wins mengandung scattersusunan simbol mahjong diam pola scatterrm menguak keunikan mahjong wins sudut pandang teknisrm cara memahami pergerakan mahjong ways tenaga ekstrarm mahjong wins standar baru industri hiburan digitalrm rahasia ketahanan mahjong ways eksis gempuran gamerm pentingnya memahami transisi level mahjong wins mendalamrm strategi mengatur tempo mahjong ways kendali permainanrm peran kecerdasan buatan mekanisme mahjong wins adilrm alasan keberhasilan mahjong ways mencuri perhatian analisrm mempelajari struktur dasar mahjong wins efisiensi putaranrm inovasi desain mahjong ways kesan bermain responsifrm teknik observasi mahjong wins jarang dibahas dampakrm cara mempertahankan fokus dinamika mahjong ways cepatrm eksplorasi fitur tersembunyi mahjong wins ritme terbaikrm mahjong ways integrasi teknologi modern keamanan nyamanrm analisis faktor pendukung mahjong wins digemari generasirm langkah efektif menyesuaikan perubahan sistem mahjong waysrm mengintip proses pengembangan mahjong wins kualitas penggunarm analisis data membantu membaca arah mahjong waysrm menemukan titik temu insting logika mahjong winsrm transformasi besar mahjong ways menghadirkan tantangan menarikmengungkap simbol langka nasib drastismisteri besar kombinasi simbol langkamisteri simbol langka keberuntungan besarsimbol langka misterius ubah hiduprahasia simbol langka nasib cepattransformasi bonus mahjong wins sistem efektifmahjong wins suguhkan bonus sistem modernsuguhan bonus efisien mahjong winsefektivitas sistem bonus mahjong winsmahjong wins hadirkan bonus sistem optimaloke76cincinbetaqua365slot gacorstc76samurai76TOBA1131samurai76 login