Ovarian Sex Cord Tumour with Annular Tubules in a 52-Year-Old Female: A Case Report

Ovarian Sex Cord Tumour with Annular Tubules in a 52-Year-Old Female: A Case Report

Chetna Jain *1, R. C Purohit 2

*Correspondence to: Chetna Jain.

Copyright

© 2023 Chetna Jain. This is an open access article distributed under the Creative Commons Attribution License, which permits unrestricted use, distribution, and reproduction in any medium, provided the original work is properly cited.

Received: 12 October 2023

Published: 01 November 2023

 

Abstract

Sex cord tumor with annular tubules (SCTATs) is a relatively rare ovarian neoplasm often having a syndromic association with Peutz-Jeghers syndrome (PJS). Other associations described with this rare neoplasm include adenoma malignum of cervix, Turners syndrome, dysgerminoma, gonadoblastoma, endometrial carcinoma, and endometriosis of fallopian tube. We describe the incidental detection of SCTAT. Non-PJS SCTATs tend to be larger and could be more prone to distant metastasis, warranting subsequent follow-up.


Ovarian Sex Cord Tumour with Annular Tubules in a 52-Year-Old Female: A Case Report

Introduction

Sex cord tumor with annular tubules (SCTATs) is a rare ovarian tumor first described in 1970 by Scully [1]. It accounts for only six % of sex cord stromal tumors, which in turn account for only 8% of the overall ovarian neoplasms [1]. Since Scully described it, numerous case reports and a few series have contributed to the better understanding of this rare morphological entity. There is a strong association of ovarian SCTAT and Peutz-Jeghers syndrome (PJS). In a series by Young et al., of 74 cases one third of patients with SCTAT, 27, had PJS [2]. SCTAT has been documented to be an estrogen-progesterone-secreting tumor with low malignant potential. Other associations reported with SCTAT include adenoma malignum of cervix, Turners syndrome, dysgerminoma, gonadoblastoma, endometrial carcinoma, and endometriosis of fallopian tube [2–6].


Case History

A 52-year-old lady presented with abdominal pain and DUB for the past one year. On examination a left sided pelvic lump was palpable which was confirmed as fibroid on ultrasound.  On USG scan a well circumscribed mass was identified measuring 10 × 10 cm . No lymph nodes or pelvic extension was noted suggestive of benign etiology.

Panhysterectomy was performed for fibroid to relieve symptoms., with preoperative assessment. Grossly the specimen showed 8 cm intramural fibroid with ovaries of 1x1x0.5cm. Grossly the ovaries were unremarkable.

Ovarian tumor markers, including carcinoembryonic antigen, carbohydrate antigen 19-9, carbohydrate antigen 125, alpha fetoprotein, and human chorionic gonadotropin, were within the normal range. Serum estradiol levels were within normal limits done after the tumor detection.

The patient was reexamined and reinvestigated to discard Peutz-Jeghers syndrome. General physical examination and gastrointestinal endoscopy ruled out syndromic SCTAT. Thus a final diagnosis of unilateral sporadic sex cord stromal tumor with annular tubules was given. No evidence of extraovarian extension/metastasis was noted.

 

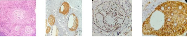
On microscopy, the tumour had ring-shaped tubules which were separated by stroma. The cells had small single nuclei and pale cytoplasm. Within the tubules, the cells were arranged in interconnecting configuration, and at the centre of each of these, there was a core of eosinophilic materials (Fig. 1). The nuclei of the cells were palisading both around the hyaline cores and at the periphery of the tubules. There was no necrosis and the capsule was free from the tumour. Other ovary was unremarkable. On immunohistochemistry calretinin (Fig. 2) WT1 (Fig. 3) and inhibin (Fig. 4) were strongly positive. The diagnosis of SCTAT was confirmed.

Figure 1

(a) The tumor had ring shaped tubules which were separated by stroma. The cells had small single nuclei and pale cytoplasm. Within the tubules, the cells were arranged  in interconnecting configurations ans central eosinophillic material. [HE, 40x]. (b) Immunohistochemistry showing tumor cells positive for calretinin [immunohistochemistry with DAB as chromogen, 40x]. (c) Immunohistochemistry showing tumor cells positive for WT1 [immunohistochemistry with DAB as chromogen, 40x].(d) Immunohistochemistry showing tumor cells positive for inhibin [immunohistochemistry with DAB as chromogen, 40x].

 

Discussion

The sex cord tumor with annular tubules (SCTATs) is a distinctive ovarian neoplasm, the predominant component of which has morphologic features intermediate between those of the granulosa cell tumor and those of the Sertoli cell tumor; focal differentiation into either granulosa cell or Sertoli cell tumor may occur. Ultrastructurally, Charcot-Bottcher filament has been noted in some tumors supporting Sertoli cell origin while being absent in some. It was then suggested that SCTAT associated with PJS is a hamartoma while that without is granulosa cell tumor [7].

The majority of patients reported in various series with SCTAT have been in the reproductive age group. Rare pediatric cases have been reported [8]. The clinical manifestations of SCTAT are mainly due to estrogen-progesterone secretion like: menorrhagia, postmenopausal bleeding, precocious puberty, and sterility thus detected usually earlier than ovarian epithelial neoplasms [2, 8–10]. In the present case the patient was in middle age group and though did not have any clinical or biochemical features of high estrogen production; she had symptoms related to the fibroid.

SCTATs have a strong association with PJS and thus can be broadly classified as those with and those without PJS [8]. In the present case no features of PJS were identified. Those associated with PJS tumors are usually benign, multifocal, bilateral, very small, or even microscopic in size and calcified [2]. The ones without PJS are usually unilateral and larger in size [2, 8].

In PJS-associated SCTAT, the serum tumor marker inhibin and immunohistochemical markers inhibin, estrogen receptor, progesterone receptor, and androgen receptor have been studied as diagnostic tools, though morphology is the gold standard [8]. Non-PJS-associated SCTATs also commonly secrete estrogen and progesterone, although the sensitivity is low. In the present case inhibin was strongly positive in the tumor nests along withWT1 and calretinin; serum estrogen levels were normal in our case.

In addition to its association with PJS, many other coexisting conditions have been reported, mostly with single case reports. These include adenoma malignum of cervix, Turners syndrome, dysgerminoma, gonadoblastoma, endometrial carcinoma, and endometriosis of fallopian tube [2–6]. The latter two conditions can be explained by estrogen production by many of these tumors.

Though malignancy and distant metastasis are known to occur in 20% of non-PJS SCTAT, these tumors are considered to be a tumor with low malignant potential. PJS-associated SCTATs are usually benign [2]. The exact behavior and long-term prognosis in these patients are almost unknown and thus the present management guidelines are based on a scanty literature available, which suggests that surgery alone with preservation of fertility (if possible) should be attempted in these patients. A school of thought suggests that management strategies in these patients can be generalized as per the management of granulosa cell tumors [8]. In the present case, panhysterectomy was already done and tumor was incidental microscopic finding, follow up will be done.

To summarize, a rare case of microscopic SCTAT is presented and its diagnosis and management have been highlighted.

 

References

1. Zumkeller W., Krause U., Holzhausen H. J., Hirsch W., Finke R., Burdach S. Brief report—ovarian sex cord tumor with annular tubules associated with precocious puberty. Medical and Pediatric Oncology. 2000;35:144–146. [PubMed] [Google Scholar]

2. Young R. H., Welch W. R., Dickersin G. R., Scully R. E. Ovarian sex cord tumor with annular tubules. Review of 74 cases including 27 with Peutz-Jeghers syndrome and four with adenoma malignum of the cervix. Cancer. 1982;50(7):1384–1402. doi: 10.1002/1097-0142(19821001)50:7LTHEXA1384::AID-CNCR2820500726>3.0.CO;2-5. [PubMed] [CrossRef] [Google Scholar]

3. Moon W. S., Lee D. G. Ovarian sex cord tumor with annular tubules in a patient with Turner syndrome. Journal of Korean Medical Science. 1998;13(1):89–94. doi: 10.3346/jkms.1998.13.1.89. [PMC free article] [PubMed] [CrossRef] [Google Scholar]

4. Young K. M. N., Scurry J., Jaaback K., Bowden N. A., Scott R. J. Bilateral dysgerminoma associated with gonadoblastoma and sex-cord stromal tumour with annular tubules in a 28-year-old fertile woman with normal karyotype. Pathology. 2012;44(3):257–260. doi: 10.1097/PAT.0b013e32835140a5. [PubMed] [CrossRef] [Google Scholar]

5. Kondi-Pafiti A., Bakalianou K., Iavazzo C., Dastamani C., Hasiakos D., Liapis A. Endometrial carcinoma and ovarian sex cord tumor with annular tubules in a patient with history of Peutz-Jeghers syndrome and multiple malignancies. European Journal of Gynaecological Oncology. 2011;32(4):452–454. [PubMed] [Google Scholar]

6. Griffith L. M., Carcangiu M.-L. Sex cord tumor with annular tubules associated with endometriosis of the fallopian tube. American Journal of Clinical Pathology. 1991;96(2):259–262. [PubMed] [Google Scholar]

7. Kalifat R., de Brux J. Ovarian sex cord tumor with annular tubules: an ultrastructural study. International Journal of Gynecological Pathology. 1987;6(4):380–388. doi: 10.1097/00004347-198712000-00010. [PubMed] [CrossRef] [Google Scholar]

8. Nosov V., Park S., Rao J., Memarzadeh S. Non-Peutz-Jeghers syndrome associated ovarian sex cord tumor with annular tubules: a case report. Fertility and Sterility. 2009;92(4):1497.e5–1497.e8. doi: 10.1016/j.fertnstert.2009.07.1002. [PubMed] [CrossRef] [Google Scholar]

9. Ishikawa H., Kiyokawa T., Takatani T., Wen W. G., Shozu M. Giant multilocular sex cord tumor with annular tubules associated with precocious puberty. American Journal of Obstetrics & Gynecology. 2012;206(1):e14–e16. doi: 10.1016/j.ajog.2011.09.025. [PubMed] [CrossRef] [Google Scholar]

10. Juhnke I., Deichert U., Ruschoff J. Sex cord-stromal tumour with annular tubules in a sterility patient. Geburtshilfe und Frauenheilkunde. 1991;51(2):150–153. doi: 10.1055/s-2007-1023694. [PubMed] [CrossRef] [Google Scholar]

Figure 1

antarmuka fokus mahjong daya pengguna aktifaws grid serasi mahjong dasar tahapan terjagaaws jejak mekanisme mahjong arah fase lanjutanaws kajian wild berantai mahjong interaktif analitisaws kesesuaian persentase layanan mahjong seluler lanceraws pendalaman persentase mahjong gerak wild mutakhircorak langka mahjong tumbuh perlahan berubahgerak mahjong adaptasi mekanisme pemakai sekarangnalar scatter mahjong malam putaran ekstratempo mahjong kaitan mekanisme keadaan terkinialur permainan mahjong cepat scatter wilddalam hitungan detik scatter wild mahjongmenyatukan naluri pola scatter hitam mahjongmomen mahjong permainan berbalik arahmomen singkat mahjong dinamika permainanperpaduan insting pola scatter hitam momentperubahan drastis mahjong ways scatter wildscatter wild mahjong datang polasekejap berubah scatter wild mahjong wayssensasi baru mahjong lebih scatter wildenergi scatter emas irama reel mahjongevolusi reel mahjong balutan mistisintervensi cepat emas momentum lamakemunculan mendadak naga emas mahjongketika scatter naga emas aktif mahjongnaga emas muncul arah spin mahjongnaga emas ritme mahjong ways berubahrahasia rtp tinggi balik scatter hitamsaat scatter naga emas alih irama reelscatter hitam kunci lonjakan rtp mahjonge5 scatter wild memberikan sentuhan baru di setiap spin mahjong ways 2e5 scatter wild menghidupkan suasana permainan mahjong ways 2e5 scatter wild mengubah pola permainan mahjong ways 2 secara signifikane5 setiap putaran mahjong ways 2 terasa berbeda dengan scatter wilde5 strategi adaptif berbasis analisis rtp hariane5 strategi berbasis data dan algoritma untuk analisis momentume5 strategi berkembang berkat data rtp hariane5 strategi memahami algoritma untuk mengidentifikasi momentum ideale5 strategi membaca pola algoritma demi menangkap momentum optimale5 strategi modern mengandalkan evaluasi rtp hariane5 strategi responsif dengan dukungan evaluasi rtp hariane5 strategi terukur dengan analisis rtp hariane5 struktur scatter dan wild terlihat jelas berkat analisis sistem moderne5 tanpa disadari kombinasi ini sering mengarah ke scatter di mahjong wins 3e5 teknik evaluasi algoritma untuk mendapatkan momentum yang tepate5 teknik observasi sistem untuk analisis momentum yang lebih presisie5 terungkap formasi ini sering jadi awal munculnya scatter di mahjong wins 3e5 transformasi digital rtp live berkat artificial intelligence inovatife5 transformasi ritme mahjong ways 2 dipicu oleh kekuatan scatter wilde5 wajib tahu pola tersembunyi ini sering menghasilkan scattere5 applee5 bananae5 candye5 doge5 eaglee5 falcone5 geminie5 horsee5 indiae5 japananalisa pola mahjong ways rutinanalisis kinerja heuristik variansi gameanalisis pola mahjong ways hariananalisis pola mahjong ways kebiasaanera baru mahjong wins bonus optimalgebrakan bonus mahjong wins mekanisme efisieninsight pola mahjong ways rutinkajian pola mahjong ways rutinkomparasi heuristik variansi game digitalledakan bonus mahjong wins sistem efektifmahjong wins bonus sistem generasi baruobservasi pola mahjong ways harianpendekatan algoritma heuristik variansi gameperbandingan model heuristik variansi gamerahasia bonus mahjong wins sistem cerdasrangkuman pola mahjong ways harianringkasan pola mahjong ways harianstudi pola mahjong ways hariantinjauan heuristik variansi game digitaltinjauan pola mahjong ways harianalur sombol mahjong kemunculan scatterdari rtp mahjong bermain lebih efektifjejak scatter mahjong putaran tenangkejutan scatter wild simbol mahjong arahkemunculan simbol ganda membuat mahjongketika grid mahjong scatter semakin dekatketika rtp mahjong pola mulai lebih jelasketika scatter wild ritme simbol mahjongketika scatter wild titik sesi mahjong waysketika susunan simbol mahjong ritme scattermemahami rtp mahjong cara bermain lebihpergerakan simbol mahjong scatter wildpergeseran mahjong ketika scatter hadirsaat rtp mahjong terbaca baik strategisaat scatter hadir simbol mahjong bergeserscatter wild dinamika simbol mahjongstabilitas putaran mahjong pola scattersusunan baru reel mahjong scatter emassusunan mahjong wins mengandung scattersusunan simbol mahjong diam pola scatterrm menguak keunikan mahjong wins sudut pandang teknisrm cara memahami pergerakan mahjong ways tenaga ekstrarm mahjong wins standar baru industri hiburan digitalrm rahasia ketahanan mahjong ways eksis gempuran gamerm pentingnya memahami transisi level mahjong wins mendalamrm strategi mengatur tempo mahjong ways kendali permainanrm peran kecerdasan buatan mekanisme mahjong wins adilrm alasan keberhasilan mahjong ways mencuri perhatian analisrm mempelajari struktur dasar mahjong wins efisiensi putaranrm inovasi desain mahjong ways kesan bermain responsifrm teknik observasi mahjong wins jarang dibahas dampakrm cara mempertahankan fokus dinamika mahjong ways cepatrm eksplorasi fitur tersembunyi mahjong wins ritme terbaikrm mahjong ways integrasi teknologi modern keamanan nyamanrm analisis faktor pendukung mahjong wins digemari generasirm langkah efektif menyesuaikan perubahan sistem mahjong waysrm mengintip proses pengembangan mahjong wins kualitas penggunarm analisis data membantu membaca arah mahjong waysrm menemukan titik temu insting logika mahjong winsrm transformasi besar mahjong ways menghadirkan tantangan menarikmengungkap simbol langka nasib drastismisteri besar kombinasi simbol langkamisteri simbol langka keberuntungan besarsimbol langka misterius ubah hiduprahasia simbol langka nasib cepattransformasi bonus mahjong wins sistem efektifmahjong wins suguhkan bonus sistem modernsuguhan bonus efisien mahjong winsefektivitas sistem bonus mahjong winsmahjong wins hadirkan bonus sistem optimaloke76cincinbetaqua365slot gacorstc76samurai76TOBA1131samurai76 login