Unilateral Ovarian Torsion and Hemoperitoneum in a Post Molar Evacuation: A Rare Case Report

Unilateral Ovarian Torsion and Hemoperitoneum in a Post Molar Evacuation: A Rare Case Report

Ferdous Taqwa *1, Iftikhar Zahra 2, Saxena Rakhi 3

 

*Correspondence to: Ferdous Taqwa.

Copyright                             

© 2023 Ferdous Taqwa. This is an open access article distributed under the Creative Commons Attribution   License, which permits unrestricted use, distribution, and reproduction in any medium, provided the original work is properly cited.

Received: 19 October 2023

Published: 01 November 2023

DOI: https://doi.org/10.5281/zenodo.10279019

 

Abstract

This case report describes the presentation, diagnostic evaluation, and surgical management of a 30-year-old female patient who presented to the emergency department with severe abdominal pain, nausea, vomiting, and mild vaginal bleeding. The patient had a recent history of molar pregnancy followed by surgical evacuation, that was 2 weeks back. Initial evaluation revealed mainly right iliac fossa tenderness, and subsequent imaging showed bilateral hyper stimulated enlarged ovaries with multiple cysts and hemoperitoneum. The patient underwent urgent laparoscopy, which confirmed right ovarian and tubal torsion with extensive haemorrhage and necrosis. A right salpingoophorectomy was performed, and the left multiloculated ovarian cyst was drained. The patient recovered well postoperatively.


Unilateral Ovarian Torsion and Hemoperitoneum in a Post Molar Evacuation: A Rare Case Report

Introduction

Theca lutein cysts commonly accompany hydatidiform mole and are associated with an increased risk of post-molar trophoblastic disease, a risk that is higher with cyst bilateralism or severe complications of hydatidiform mole. Theca lutein cysts uncommonly have serious complications; their clinical behaviour does not depend entirely on changes in beta-hcg levels, as cysts may persist for long periods after beta-hcg regression.[6]

Ovarian torsion is a rare gynaecological emergency characterized by the rotation of the ovary on its pedicle, leading to compromised blood flow. It can result in ischemia, infarction, and necrosis of the affected ovary. Hemoperitoneum associated with ovarian torsion is even rarer and can be a diagnostic challenge. We present a case of unilateral ovarian torsion and hemoperitoneum in a patient who had undergone evacuation of molar pregnancy 2 weeks back.


Case Presentation

A 30-year-old female with no significant past medical or surgical history presented to the emergency department with severe abdominal pain that originated from the right iliac fossa and radiated throughout the abdomen. The pain was associated with nausea, vomiting, and vaginal bleeding. Notably, she denied symptoms suggestive of urinary tract infection.

On examination, the patient exhibited marked tenderness in the right iliac fossa and suprapubic region. Renal angle tenderness was negative. Her vital signs were stable with a blood pressure of 110/80 mm Hg, heart rate of 105 beats per minute, respiratory rate of 19 breaths per minute, and oxygen saturation of 98%.

Laboratory investigations showed a haemoglobin level of 101 g/L, white blood cell count of 5.05 × 10^9/L, interestingly her human chorionic gonadotropin (HCG) level had dropped significantly from her previous level (990730IU/L To 178 IU/L.)

The patient had undergone surgical management of molar pregnancy two weeks prior, during which she had experienced significant bleeding (1.5 litres) and received a blood transfusion. At that time, an ultrasound scan had revealed normal-sized ovaries with no adnexal masses. Her recovery had been uneventful, and she was discharged home. Histopathology confirmed a complete mole.

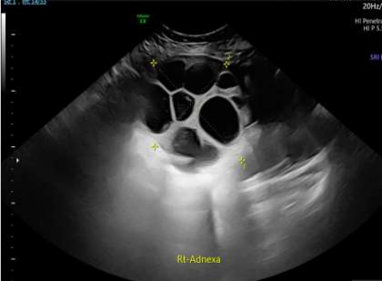
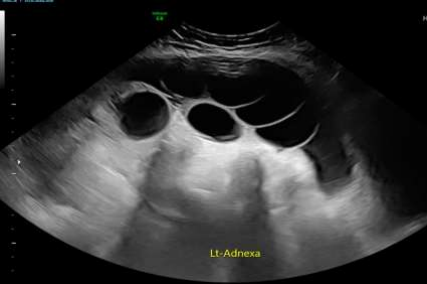
The patient was admitted under the care of the gynaecology team and provided with pain relief and hydration. A pelvic ultrasound was scheduled, but the extreme pain precluded a transvaginal examination. A transabdominal ultrasound revealed bilateral enlarged ovaries with multiple cysts of varying sizes, mild internal vascularity, and the following dimensions: right ovary 12 × 12 × 10 cm and left ovary 23 × 18 × 9 cm. Moderate free fluid was detected within the pouch of Douglas, with a depth of 10.7 cm. The appearance of ovaries corresponded with ovarian hyperstimulation syndrome.

 

Figure 1

Figure 2

 

Based on Clinical findings of excruciating pain and large theca lutein cysts differential diagnosis of torsion and haemorrhage of ovarian cysts was made and operation theatre was booked for urgent laparoscopy and proceed on the same day.

Intraoperatively, 900 ml of hemoperitoneum was evacuated. The right ovary and tube were found to be twisted twice, with displaying haemorrhagic and necrotic changes and multiple cysts measuring 15 × 20 cm. A right salpingoophorectomy was performed, and the left multiloculated ovarian cyst was drained.

Figure 3

 

 

The total blood loss during the procedure was 1000 ml.

Torted right theca lutein cysts with necrotic changes noticed intraoperatively.

 

Outcome

The patient's condition improved postoperatively, and her recovery was uneventful. She and her partner was debriefed about whole event and discharged with appropriate follow-up care.


Discussion

This is a rare case of Hydatidiform mole with theca lutein cysts or hyperreactio luteinalis. Hydatidiform mole is part of a spectrum of gestational trophoblastic disease, which involves the abnormal fertilization of maternal ovum by spermatozoa that can range from a benign to an invasive condition. The hydatidiform mole can be partial (69 XXX or XXY, containing fetal tissue), or complete (46 XX or XY, both derived from paternal chromosomes with a lack of fetal tissue).

In 25%-60% of the cases of hydatidiform mole, the ovaries are seen to contain multiple theca lutein cysts, resulting from ovarian hyperstimulation due to high circulating levels of βhcg [1].

These cysts are multiloculated and often bilateral. Ovarian enlargement correlates with marked elevation of serum βhcg levels greater than 100,000 miu/ml. Although theca lutein cysts are usually detected before molar evacuation, they often develop within first week after evacuation[2].

Approximately 30% of theca lutein cysts develop secondary enlargement response to rising βhcg levels associated with post molar sequelae.[2] In 60% of cases, no predisposing factors are present. In hyperreactio luteinalis, ovaries can massively enlarge to a volume of 1500 ml, with an average diameter of the ovary found to be 15 cm Often [7].

As in our case there was no evidence of theca lutein cysts on ultrasound at the time of diagnosis of molar pregnancy, Ovaries started getting bigger after evacuation and interestingly HCG levels were getting lower.

In most cases, such cysts are asymptomatic incidental findings discovered through routine sonography or cesarean section. Large ovarian cysts may cause abdominal discomfort, dyspnea, or abdominal pain due to torsion; peritonitis related to hemorrhage/rupture or mass effects; or overt virilization.[3] In our case patient presented with acute abdominal pain and clinical picture was in favour of torsion of theca lutein cysts.

Typical ultrasound findings have been described for ovarian torsion, including enlarged oedematous ovary with   peripheral   displacement   of   follicles.   Doppler blood flow findings are variable and not diagnostic. Because rotation of the ovarian vascular pedicle firstly causes obstruction to venous outflow and later arterial inflow, the absence of Doppler flow does not always correlate with ovarian torsion.4 in our case ultrasound showed predicted hyper stimulated enlarged ovaries but it couldn’t detect torsion. As it was acute emergency, so it was inappropriate to wait for another imaging modality to get more information. A reasonable plan was to do laparoscopy.

A study involving 386 patients with hydatidiform mole ,102 patients have theca lutein cyst Complications like rupture and torsion of cysts were rare.it stats larger cysts have chances of torsion, infarction and haemorrhage. Surgical interventions were reported in 3% of cysts [2].

There is a case report of a 23-year-old primigravida in her tenth week of gestation diagnosed with a rupture of theca lutein cyst and posted for laparotomy. Theca lutein cyst doesn’t affect the course of pregnancy and has a spontaneous regression after delivery. Our case is different due to the torsion of cysts after surgical evacuation of a molar pregnancy. Unless complicated by torsion, rupture, or haemorrhage, most theca lutein cysts are managed conservatively.[5]

The majority of theca lutein cysts have been successfully managed with a conservative approach; nevertheless, prior research found that 36.2% of patients underwent surgery, of whom 23.8% had an acute complication (e.g., ovarian torsion, pain, or hemoperitoneum) and the remaining 76.2% were suspected of having a malignancy. [8]

Although there will always be a role for surgical exploration in atypical cases or cases complicated by torsion or rupture-associated haemorrhage, management of theca lutein cysts must be based on a conservative approach, mitigating undue surgical and reproductive morbidity [9].

There are many articles reporting nearly 80% - 90% chance of preserving the ovaries in adnexal torsion by simple detorsion at laparoscopy. [10,11,12]

Authors have suggested that even with apparently necrotic tissue conservative management by detorsion should be the operative management and advised to wait at least for 10 minutes after detorsion to look for restoration of vitality. [13,14].

In our case no blood flow was observed even after detorsion, and ovary was completely necrotic.

 

Conclusion

This case report underscores the diagnostic and management challenges associated with ovarian torsion and hemoperitoneum, particularly in patients with a recent history of uneventful evacuation of Molar pregnancy. Early recognition, imaging, and surgical intervention are key to achieving favorable outcomes in such cases. 

 

Reference

1. Morrow CP, Kletzky OA, disaia PJ et al: Clinical and laboratory correlates of molar pregnancy and trophoblastic disease. Am J Obstet Gynecol 1977;128:424-9.

2. Montz FJ, Schlaerth JB, Morrow CP: The natural history of theca lutein cysts. Obstet Gynecol 1988;72:247-51. 

3. Cavoretto P, Giorgione V, Sigismondi C, Mangili G, Serafini A, Dallagiovanna C, et al. Hyperreactio luteinalis: timely diagnosis minimizes the risk of oophorectomy and alerts clinicians to the associated risk of placental insufficiency. Eur J Obstet Gynecol Reprod Biol. 2014;176:10–6. [pubmed] [Google Scholar]

4. Bottomley   C,   Bourne   T.   Diagnosis   and   management   ofovarian  cyst  accidents.Best Pract Res Clin Obstet Gynaecol2009;23: 711–724.

5. Kurakula S, Muralidharan V, Chengappa Appaneravanda L, N N, K B G. Rupture of Bilateral Theca Lutein Cysts During Pregnancy: A Case Report. Cureus. 2022 Sep 29;14(9):e29758. Doi: 10.7759/cureus.29758. PMID: 36196283; PMCID: PMC9525056

6. Montz FJ, Schlaerth JB, Morrow CP. The natural history of theca lutein cysts. Obstet Gynecol. 1988 Aug;72(2):247-51. PMID: 2455880.

7. Hyperreactio luteinalis (enlarged ovaries) during the second and third trimesters of pregnancy: common clinical associations. Lynn KN, Steinkeler JA, Wilkins-Haug LE, Benson CB. J Ultrasound Med. 2013;32:1285–1289. [pubmed]

8. Cavoretto P, Giorgione V, Sigismondi C, Mangili G, Serafini A, Dallagiovanna C, et al. Hyperreactio luteinalis: timely diagnosis minimizes the risk of oophorectomy and alerts clinicians to the associated risk of placental insufficiency. Eur J Obstet Gynecol Reprod Biol. 2014;176:10–6.

9. Malinowski AK, Sen J, Sermer M. Hyperreactio luteinalis: maternal and fetal effects. J Obstet Gynaecol Can. 2015;37:715–23

10. Tandulwadkar, Sunita, Amit Shah, and Bhavana Agarwal. “Detorsion and conservative therapy for twisted ad- nexa: Our experience.” Journal of Gynecological Endoscopy and Surgery Vol. 1, No. 1, 2009, p. 21.

11. Tsafrir, Ziv, et al. “Adnexal torsion: cystectomy and ovarian fixation are equally important in preventing recur- rence.” European Journal of Obstetrics & Gynecology and Reproductive Biology Vol. 162, No. 2, 2012, pp. 203-205.

12. Oelsner, Gabriel, and David Shashar. “Adnexal torsion.” Clinical Obstetrics and Gynecology Vol. 49, No. 3, 2006, pp. 459-63.

13. Sasaki, Kirsten J., and Charles E. Miller. “Adnexal torsion: review of the literature.” Journal ofminimally Inva- sive Gynecology Vol. 21, No. 2, 2014, pp. 196-202.

14. Moiety, Fady M. Shawky. “Adnexal torsion: Management controversy: A case series.” Middle East Fertility Society Journal Vol. 22, No. 2, 2017, pp. 156-59.

Figure 1

Figure 2

Figure 3

antarmuka fokus mahjong daya pengguna aktifaws grid serasi mahjong dasar tahapan terjagaaws jejak mekanisme mahjong arah fase lanjutanaws kajian wild berantai mahjong interaktif analitisaws kesesuaian persentase layanan mahjong seluler lanceraws pendalaman persentase mahjong gerak wild mutakhircorak langka mahjong tumbuh perlahan berubahgerak mahjong adaptasi mekanisme pemakai sekarangnalar scatter mahjong malam putaran ekstratempo mahjong kaitan mekanisme keadaan terkinialur permainan mahjong cepat scatter wilddalam hitungan detik scatter wild mahjongmenyatukan naluri pola scatter hitam mahjongmomen mahjong permainan berbalik arahmomen singkat mahjong dinamika permainanperpaduan insting pola scatter hitam momentperubahan drastis mahjong ways scatter wildscatter wild mahjong datang polasekejap berubah scatter wild mahjong wayssensasi baru mahjong lebih scatter wildenergi scatter emas irama reel mahjongevolusi reel mahjong balutan mistisintervensi cepat emas momentum lamakemunculan mendadak naga emas mahjongketika scatter naga emas aktif mahjongnaga emas muncul arah spin mahjongnaga emas ritme mahjong ways berubahrahasia rtp tinggi balik scatter hitamsaat scatter naga emas alih irama reelscatter hitam kunci lonjakan rtp mahjonge5 scatter wild memberikan sentuhan baru di setiap spin mahjong ways 2e5 scatter wild menghidupkan suasana permainan mahjong ways 2e5 scatter wild mengubah pola permainan mahjong ways 2 secara signifikane5 setiap putaran mahjong ways 2 terasa berbeda dengan scatter wilde5 strategi adaptif berbasis analisis rtp hariane5 strategi berbasis data dan algoritma untuk analisis momentume5 strategi berkembang berkat data rtp hariane5 strategi memahami algoritma untuk mengidentifikasi momentum ideale5 strategi membaca pola algoritma demi menangkap momentum optimale5 strategi modern mengandalkan evaluasi rtp hariane5 strategi responsif dengan dukungan evaluasi rtp hariane5 strategi terukur dengan analisis rtp hariane5 struktur scatter dan wild terlihat jelas berkat analisis sistem moderne5 tanpa disadari kombinasi ini sering mengarah ke scatter di mahjong wins 3e5 teknik evaluasi algoritma untuk mendapatkan momentum yang tepate5 teknik observasi sistem untuk analisis momentum yang lebih presisie5 terungkap formasi ini sering jadi awal munculnya scatter di mahjong wins 3e5 transformasi digital rtp live berkat artificial intelligence inovatife5 transformasi ritme mahjong ways 2 dipicu oleh kekuatan scatter wilde5 wajib tahu pola tersembunyi ini sering menghasilkan scattere5 applee5 bananae5 candye5 doge5 eaglee5 falcone5 geminie5 horsee5 indiae5 japananalisa pola mahjong ways rutinanalisis kinerja heuristik variansi gameanalisis pola mahjong ways hariananalisis pola mahjong ways kebiasaanera baru mahjong wins bonus optimalgebrakan bonus mahjong wins mekanisme efisieninsight pola mahjong ways rutinkajian pola mahjong ways rutinkomparasi heuristik variansi game digitalledakan bonus mahjong wins sistem efektifmahjong wins bonus sistem generasi baruobservasi pola mahjong ways harianpendekatan algoritma heuristik variansi gameperbandingan model heuristik variansi gamerahasia bonus mahjong wins sistem cerdasrangkuman pola mahjong ways harianringkasan pola mahjong ways harianstudi pola mahjong ways hariantinjauan heuristik variansi game digitaltinjauan pola mahjong ways harianalur sombol mahjong kemunculan scatterdari rtp mahjong bermain lebih efektifjejak scatter mahjong putaran tenangkejutan scatter wild simbol mahjong arahkemunculan simbol ganda membuat mahjongketika grid mahjong scatter semakin dekatketika rtp mahjong pola mulai lebih jelasketika scatter wild ritme simbol mahjongketika scatter wild titik sesi mahjong waysketika susunan simbol mahjong ritme scattermemahami rtp mahjong cara bermain lebihpergerakan simbol mahjong scatter wildpergeseran mahjong ketika scatter hadirsaat rtp mahjong terbaca baik strategisaat scatter hadir simbol mahjong bergeserscatter wild dinamika simbol mahjongstabilitas putaran mahjong pola scattersusunan baru reel mahjong scatter emassusunan mahjong wins mengandung scattersusunan simbol mahjong diam pola scatterrm menguak keunikan mahjong wins sudut pandang teknisrm cara memahami pergerakan mahjong ways tenaga ekstrarm mahjong wins standar baru industri hiburan digitalrm rahasia ketahanan mahjong ways eksis gempuran gamerm pentingnya memahami transisi level mahjong wins mendalamrm strategi mengatur tempo mahjong ways kendali permainanrm peran kecerdasan buatan mekanisme mahjong wins adilrm alasan keberhasilan mahjong ways mencuri perhatian analisrm mempelajari struktur dasar mahjong wins efisiensi putaranrm inovasi desain mahjong ways kesan bermain responsifrm teknik observasi mahjong wins jarang dibahas dampakrm cara mempertahankan fokus dinamika mahjong ways cepatrm eksplorasi fitur tersembunyi mahjong wins ritme terbaikrm mahjong ways integrasi teknologi modern keamanan nyamanrm analisis faktor pendukung mahjong wins digemari generasirm langkah efektif menyesuaikan perubahan sistem mahjong waysrm mengintip proses pengembangan mahjong wins kualitas penggunarm analisis data membantu membaca arah mahjong waysrm menemukan titik temu insting logika mahjong winsrm transformasi besar mahjong ways menghadirkan tantangan menarikmengungkap simbol langka nasib drastismisteri besar kombinasi simbol langkamisteri simbol langka keberuntungan besarsimbol langka misterius ubah hiduprahasia simbol langka nasib cepattransformasi bonus mahjong wins sistem efektifmahjong wins suguhkan bonus sistem modernsuguhan bonus efisien mahjong winsefektivitas sistem bonus mahjong winsmahjong wins hadirkan bonus sistem optimaloke76cincinbetaqua365slot gacorstc76samurai76TOBA1131samurai76 login