Locally Advanced Carcinoma of the Cervix Uteri in a Bicornuate Uterus with a Note on Intracavitary Brachytherapy from an Academic Cancer Centre in India: A Case Report

Locally Advanced Carcinoma of the Cervix Uteri in a Bicornuate Uterus with a Note on Intracavitary Brachytherapy from an Academic Cancer Centre in India: A Case Report

Dr Shiva Kumar Siripuram *1, Mr Habeeb Rahman 2, Dr Niharika Darasani 3, Dr Bhavya raja Gopal Yarlagadda 4


1,2,3. Viswabharathi Medical College & General Hospital, Kurnool, Andhra Pradesh, INDIA

4. MUSC Kershaw Medical Center Camden SC 29020, USA.

 

*Correspondence to: Dr Shiva Kumar Siripuram, Radiation oncologist from Vishwabharathi Medical College(Kurnool, Andhra Pradesh, INDIA 518467) working  as an assistant professor in the department of Radiation Oncology.

Copyright

© 2023 Dr Shiva Kumar Siripuram. This is an open access article distributed under the Creative Commons Attribution License, which permits unrestricted use, distribution, and reproduction in any medium, provided the original work is properly cited.

Received: 16 October 2023

Published: 01 November 2023

DOI:https://doi.org/10.5281/zenodo.10164480

Abstract

Introduction: Carcinoma cervix is among the leading cancers in women across the globe, especially in developing countries. A bicornuate uterus is a rare anomaly of the uterus. Limited and non-unified published literature is available on approaching or dealing with challenges faced in planning non-surgical treatment with curative intent by chemo-radiation in cervical cancer with a bifid uterus, especially brachytherapy. This report entails the detailed management of a locally advanced case of carcinoma cervix in a lady with a bicornuate uterus, with a glimpse into the literature.

Case Summary: A 63-year-old postmenopausal, multiparous lady was evaluated for vaginal bleeding admixed with white discharge and lower abdominal pain and diagnosed with carcinoma cervix stage IIIB (HUN on imaging). The presence of a complete bicornuate uterus (IVa) and a history of surgery with internal fixation for an inter-trochanteric fracture of the right neck of the femur were significant findings apart from her malignancy. She received concurrent chemo-radiation by 3D-CRT with a dose of 50Gy in 25# (23# f/b two # parametrial boost) at a peripheral centre and was referred to us for brachytherapy. She received brachytherapy with HDR, four fractions of 6Gy each over two days, one week apart, with two fractions daily with a gap of 6-8 hours between each fraction. The application was done with Fletcher’s Suit, with an extra tandem into the non-dominant cornua rather than treating each cornu in alternate fractions, as done in some reports. The planning was similar to FS but with the other tandem supplementing the non-dominant cornua. The planned treatment was completed uneventfully. She is on regular clinical follow-up and disease-free on her last clinical visit.

Conclusion: In the rare instances of cervical cancer in women with a bicornuate uterus, better dose optimisation can also be achieved by using an additional tandem in the contralateral cornua as an adjunct to the Fletchers suit unit in comparison to treating alternate cornua in different fractions, and this could predict the radiation doses to the target better in comparison to the latter.

Keywords: Bicornuate uterus, Carcinoma Cervix, intracavitary brachytherapy, case report


Locally Advanced Carcinoma of the Cervix Uteri in a Bicornuate Uterus with a Note on Intracavitary Brachytherapy from an Academic Cancer Centre in India: A Case Report

Introduction

One or two paragraphs summarising why this case is unique (may include references)

Bicornuate uterus is a type of uterine duplication anomaly and can be classified as a class IV Mullerian duct anomaly. The incidence of uterine malformations is estimated to be 3-5% in the general population (1). A bicornuate uterus is even rare, with about 0.1-0.6% incidence (2). Carcinoma of the cervix in this clinical scenario is rarer, with no data on the prevalence.

This case adds to the literature of the same. Brachytherapy is integral to managing carcinoma cervix when radiation is planned as the curative modality. It becomes challenging to optimise the dose due to the anatomical abnormality. Brachytherapy has been delivered with the tandem alternated between the cornua with each fraction (3).

 

Patient presentation

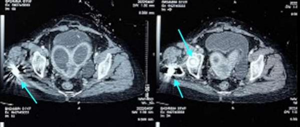
A 63-year-old, fit (ECOG 1) postmenopausal lady, G4P4A0, presented with postmenopausal bleeding with concurrent white discharge per vagina for four months and a history of lower abdominal pain for three months. She underwent surgery with internal fixation for a fracture of the right neck of her femur four years ago. She had no history suggestive of any co-morbidities. Clinically, there was an infiltrative lesion of size 3 x 3.5cm, destroying most of the cervix involving all the fornices and upper 1-1.5cm of the left lateral and posterior vaginal wall. The left parametrium was medially involved with the disease. A biopsy confirmed malignancy, and the histology was squamous cell carcinoma. Local imaging revealed left HUN, making the final diagnosis of IIIB, apart from the bicornuate uterus (Figure 1), with hydrometra in both cornua. The intramedullary nail (Figure 2) was a contraindication for MRI. Her family history was negative for miscarriages.

Figure 1: CT sections show a bicornuate uterus with hydro/pyo metra. The artefacts in the right proximal femur are due to the intramedullary implant.

Figure 2: The implant (in the head, neck & proximal femur) is highlighted with cyan arrows.

Treatment and follow-up details

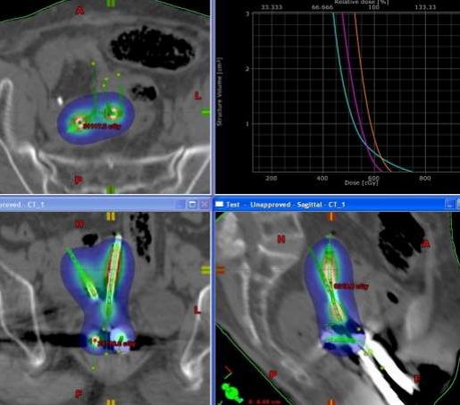
She received the planned EBRT of 50Gy/25# (23# of pelvic irradiation by four field box technique f/b two fractions parametrial boost) in April-May/2022 (last fraction of EBRT on 31/5/22) at a peripheral cancer centre with no brachytherapy facilities. She was referred to our Centre for brachytherapy to complete the treatment. Four fractions of intracavitary brachytherapy two days a week apart, two fractions each day, with a minimum of 6-8 hours between each fraction on each day of brachy delivery (on the 29th of June and the 6th of July 2022). The patient insisted on limited visits because of the long distance from her home. The dose per fraction was 6Gy, and a Fletcher suit with 2.0 cm ovoids was the applicator used for the ICBT. A free tandem(non-dominant) was used in the contralateral cornua, and the dose was optimised to maintain the target and organ at risk constraints. Source loading was done only in the free tandem's distal half to optimise the junctional region's dose.  The free tandem was swapped between the cornua on the two days. Planning was done using Brachyvision Version 8.6, and treatment delivery was done with the Varisource machine (Figures 3, 4 & 5). The EQD2 to the target and OARs (in Gray) were as follows: Tumour (HRCTV)- 80, 2cc of bladder, rectum and sigmoid were 82.8, 74.2 & 78.1 respectively (ABS X-cel sheet was used for EQD2 calculation). At 15 months’ follow-up, the patient is disease-free.

Figure 3: Topogram at the time of brachytherapy simulation

Figure 4: Volume of the Bicornuate uterus with the reconstructed applicators

Figure 5: 6Gy distribution after the optimisation


Discussion

Given the rarity of the clinical scenario, there couldn’t be a single ideal way to approach brachytherapy where carcinoma cervix develops in a bicornuate uterus. Our case would be adding to the literature available on the same. Wang et al., in their recent report, have treated a similar patient with six fractions of brachy with the tandem applicator in each cornua for three applications and used volume optimisation as per the ICRU 89. (4) Fabian et al. treated a locally advanced case of carcinoma cervix in a bicornuate uterus with MRI guidance and a combined intracavitary and interstitial approach for the brachytherapy component. The tandem and the interstitial needles were swapped between the cornua for each fraction. The summary of a list of similar cases was also done well. (3) Lee et al. have used simultaneous loading of both the uterine canals during brachytherapy. They have used a newly defined prescription point midway between the two catheters and 2 cm above the mean cervical os position. (5) Loo et al. treated in a similar application but defined two Manchester A points and delivered with LDR (Caesuim-137, via a Nucletron Selectron).(6) A similar case reported by Cordoba et al. was treated with custom-made mould brachy and treatment delivered with pulsed-dose-rate (PDR).(7) A couple of cases where surgery was done as the definitive treatment have been reported.(8,9) The patients’ consent restricted us from further genetic testing. The table below summarises the cases of carcinoma cervix in the bicornuate uterus (or malformed uterus).

 

Author

Patient specifics

Rx Modality with detail

  •  

Wang et al. (2023)

25yrs, G1P0A1

CCRT with 6 applications of brachy (HDR), tandem in each cornua for 3

  • 4)

Gong et al.

(2022)

40yrs, G4P1A3

Laparoscopic Querleu-Morrow type A hysterectomy with salpingectomy (L) and partial vagina wall resection

  • 8)

Fabian et al.

(2019)

30yrs, BRCA-1 positive

CCRT with MRI guided IC/IS BT (HDR)

  • 3)

Kaneyasu et al.

(2019)

61yrs, G0P0

CCRT with  HDR brachy

  • 10)

Ishibashi et al.

(2018)

  1.  

CCRT with HDR brachy

  • 11)

Guler Yavas et al. (2017)

33yrs, Multiparous

CCRT with HDR brachy

  • 12)

Cordoba et al.

(2017)

 

37yrs, Herlyn Werner-Wunderlich (HWW) syndrome;

Multiparous

CCRT with PDR brachy

  • 7)

Jena et al.  (2016)

43yrs

Surgery

(9)

Platta et al.  (2014)

 34yrs, G4P3

CCRT with HDR brachy

(13)

Loo et al.  (2010)

45yrs, G0P0

CCRT with LDR brachy

(6)

Siripuram et al. (2023)

63yrs, G4P4A0

CCRT with HDR brachy

*present case

 

Conclusion

Carcinoma of Cervix in a bicornuate uterus is extremely rare in consideration of uterine malformations per se. Appropriate and timely management is essential for the best clinical outcomes. Treatment principles of ICRU 89 would ensure the same. There couldn’t be a single best modality in this scenario owing to the rarity.

 

Reference

1. Borgohain D, Srivastava S. Pregnancy in bicornuate uterus. Int J Reprod Contracept Obstet Gynecol. 2018 Jan 1;7(1):346–9.

2. Attaran M, Gidwani GP. Chapter 9 - Congenital and Developmental Anomalies. In: Sokol AI, Sokol ER, editors. General Gynecology [Internet]. Philadelphia: Mosby; 2007 [cited 2023 Oct 2]. p. 205–23. Available from: https://www.sciencedirect.com/science/article/pii/B9780323032476100097

3. Fabian D, LaRocco A, Olsen M, Quick A. Treatment of locally advanced cervical cancer in a patient with a bicornuate uterus with MRI-guided intracavitary/interstitial brachytherapy. J Contemp Brachytherapy. 2019 Jun;11(3):285–91.

4. Wang L, Liu Z. Bilateral cervical cancer in a complete septate uterus with a double cervix and vagina: a case report. J Int Med Res. 2023 Mar;51(3):030006052311543.

5. Lee CD, Churn M, Haddad N, Davies-Humphries J, Kingston RK, Jones B. Bilateral radical radiotherapy in a patient with uterus didelphys. Br J Radiol. 2000 May;73(869):553–6.

6. Loo HW, Locks SM. Squamous cell carcinoma of the cervix: report of an unusual case of bicornuate bicollis uterus treated with bilateral intracavity brachytherapy. Br J Radiol. 2010 Jul;83(991):e143–6.

7. Cordoba A, Escande A, Comte P, Fumagalli I, Bresson L, Mubiayi N, et al. Locally advanced adenocarcinoma of the cervixon uterus didelphys: a case report. J Contemp Brachytherapy. 2017;1:71–6.

8. Gong Y, Xie Y, Chen L, Sui L. Cervical Cancer in a Septate Uterus with Double Cervix and Double Vagina: A Case Report and Review of the Literature. Int J Womens Health. 2022 Mar;Volume 14:345–51.

9. Jena A, Patnayak R. Rare case of cervical cancer arising in bicornuate uterus. J Dr NTR Univ Health Sci. 2016;5(3):241.

10. Kaneyasu Y, Koh I, Fujiwara H, Hirata E, Kudo Y, Arihiro K, et al. Concurrent chemoradiotherapy for locally advanced squamous cell carcinoma of the cervix in a uterus didelphys with vaginal septum. J Contemp Brachytherapy. 2019;11(2):180–8.

11. Ishibashi N, Maebayashi T, Aizawa T, Sakaguchi M, Nakao T, Okada M. Brachytherapy for cervical cancer in septate uterus: Dose-volume differences with tandem implant placement in right vs. left uterine canal: A case report. Oncol Lett [Internet]. 2018 Mar 6 [cited 2023 Oct 15]; Available from: http://www.spandidos-publications.com/10.3892/ol.2018.8179

12. Yavas G, Yavas C, Inan G. Locally advanced squamous cell cervical cancer in a patient with septate uterus. J Contemp Brachytherapy. 2017 Oct;9(5):487–9.

13. Platta CS, Wallace C, Gondi V, Das R, Straub M, Al-Niaimi A, et al. Cervical brachytherapy technique for locally advanced carcinoma of the cervix in a patient with septate uterus. J Contemp Brachytherapy. 2014 Mar;6(1):76–81.

Figure 1

Figure 2

Figure 3

Figure 4

Figure 5

analisis kuantitatif permainan pola hasilanalisis momentum strategi observasi algoritmikanalisis statistik permainan pola hasildinamika rtp pola keputusan pemaineksplorasi data game digital strategifluktuasi rtp strategi dinamika kasinogame jadi cerdas algoritma ai pgsoftketika rtp strategi adaptif kasino onlinememahami ritme spin mahjong waysmemahami rtp sebagai dasar bermain onlinemembaca pergerakan rtp faktor penentu kasinomenggali data game digital strategimodel strategis berbasis algoritma akuratoptimalisasi algoritma permainan ai pgsoftoptimalisasi interaksi digital data gameoptimalisasi observasi algoritma titikpendekatan algoritma optimasi analisispendekatan data pola hasil permainanperan data game digital strategiperubahan ritme spin mahjong waysritme spin mahjong ways dinamisstrategi berbasis ketepatan analisis momentumstudi analisis data permainan polateknik analisis statistik pola permainantransformasi strategi interaksi digitaldinamika baru mahjong ways scatter wilddinamika baru mahjong wins pola scatterharmoni visual simbol mahjong bersinarjejak halus scatter hitam rantai mahjong winsjejak rahasia mahjong wins scatter disadarijejak scatter hitam kombinasi tak terdugakeindahan perkalian besar mahjong wayskejutan kombinasi mahjong wins scatterketika scatter hadir alur tak terdugaketika scatter hitam peluang besar mahjong winsmengungkap hubungan scatter hitam panjangmenyelaraskan insting pola scatter hitammomen terduga scatter wild mahjongnuansa baru pola mahjong ways scatterpola kombinasi mahjong ways dinamispola muncul scatter hitam kombinasi mahjongscatter wild gerbang kombinasi mahjongscatter wild pemicu lonjakan kombinasiscatter wild pemicu paling setiap putaransekejap berubah scatter wild mahjongsentuhan baru scatter wild ritme mahjongtitik balik mahjong besar scatter wildtransformasi pola spin mahjong scatterdari hening pola mahjong wins tak terdugadari sunyi awal pola scatter hitam mahjonggerakan reel mahjong wins scatter hitamketika rtp mahjong wins strategi bermainketika scatter wild alur mahjong drastisketika susunan grid mahjong berubahmembaca alur permainan scatter hitammembaca reel mahjong mengarah scattermengamati tempo mahjong scatter hitammunculnya scatter wild mahjong wayspergeseran pola mahjong scatter wildperubahan pola mahjong ways scatterperubahan tempo mahjong scatter wildpola aktivitas reel mahjong kerap scatterputaran mahjong menyimpan kejutan besarreel mahjong wins mulai datang scatterrtp mahjong kompas pola permainanrtp mahjong membaca peluang putaranrtp mahjong wins menyusun pola bermainsaat tempo spin mahjong wins scatteraktivitas reel mahjong jalan scatter hitamalur pola mahjong wins scatter hitamdaya pikat mahjong rangkaian kombinasidinamika reel mahjong pola kombinasifenomena langka scatter wild mahjongfenomena pergantian pola mahjong scatterformasi simbol mahjong pola mudah ditebakaksi mendadak naga emas ritme mahjongfragmen simbol kunci pola mahjongintervensi naga emas ritme mahjongjejak balik pecahan simbol mahjong winsjejak energi pecahan scatter hitamjejak energi pecahan scatter hitam mahjongjejak rtp tinggi terbentuk kombinasi scatterjejak tersembunyi balik pecahan simbolketika rtp kompas setiap putaran mahjongketika scatter menari reel mahjong peluangkilauan emas reel mengubah segalanyakombinasi scatter hitam scatter wild mahjongmahjong ways prediksi pecah selayarmembaca arah rtp mahjong wins awalmenyelaraskan insting rtp reel akuratmisteri rtp tinggi kemunculan scatter hitammomen epik reel mahjong ways scattermomen langka naga emas mahjongmomen naga emas mendominasi mahjongpergeseran mendadak stabil scatter emasrahasia jejak pola scatter hitam mahjongrahasia rtp tinggi dalam scatter hitamrtp membentuk pola mahjong scatter hitamsaat reel mahjong kendali scatter emastransformasi reel mahjong energi emase5 dampak data rtp live terhadap adaptasi dan presisi ai kasino digitale5 data rtp harian jadi dasar pengembangan strategi moderne5 data rtp harian membentuk strategi bermain yang lebih adaptife5 data rtp harian mendorong evolusi strategi permainane5 era baru rtp live berkat teknologi artificial intelligence canggihe5 evolusi rtp live menuju era artificial intelligence moderne5 evolusi strategi permainan dimulai dari data rtp hariane5 formasi favorit pemain pro awal mula scatter di mahjong wins 3e5 formula strategis analisis momentum berbasis sistem data moderne5 fungsi scatter wild kian dominan di setiap sesi mahjong ways 2e5 hubungan rtp live dengan optimalisasi sistem ai di industri kasino moderne5 inovasi rtp live melalui sistem artificial intelligence generasi terbarue5 inovasi scatter wild hadirkan nuansa berbeda di mahjong ways 2e5 integrasi data dan algoritma dalam strategi membaca momentume5 jangan lewatkan pola ini disebut paling sering hasilkan scattere5 keberadaan scatter wild menentukan dinamika putaran mahjong ways 2e5 kehadiran scatter wild ubah ritme permainan mahjong ways 2 secara signifikane5 mahjong ways 2 makin menarik berkat sentuhan scatter wild di tiap putarane5 mahjong ways 2 mengandalkan scatter wild sebagai elemen strategise5 mahjong ways 2 tunjukkan pentingnya scatter wild di setiap putarane5 mengembangkan strategi momentum dengan dukungan data dan algoritmae5 mengkaji peran rtp live dalam pengembangan ai kasino generasi barue5 metode analisis momentum berbasis data dan perhitungan algoritmae5 optimalisasi momentum lewat strategi berbasis data akurate5 optimalisasi rtp live lewat teknologi artificial intelligence inovatifrm mengintip inovasi terbaru mahjong ways tantangan fairrm pengaruh ketelitian membaca peluang mahjong winsrm dampak positif analisis data akurasi mahjong waysrm analisis pergerakan dinamis gates of olympus pengalamanrm mengasah ketajaman insting latihan pengamatan mahjong waysrm menelaah cara kerja algoritma mahjong ways sistemrm mengenal mekanisme jatuhnya simbol gates of olympusrm strategi menghadapi tekanan level sulit mahjong winsrm langkah taktis mengambil keputusan cepat mahjong waysrm mahjong wins berhasil menciptakan ekosistem permainan dinamisrm mahjong ways tolok ukur keberhasilan game modernrm pentingnya memahami urutan karakter mahjong wins maksimalrm fakta kecepatan server mahjong ways jamin kelancaranrm mengukur efektivitas teknik fokus menghadapi mahjong winsrm tips mengatur emosi konsentrasi dinamika mahjong waysrm rahasia sistem keamanan mahjong wins kenyamanan penggunarm cara mengenali karakteristik unik putaran mahjong waysrm alasan mahjong ways posisi teratas klasemen digitalrm cara meningkatkan kualitas analisis putaran mahjong winsrm menemukan celah efisiensi pengamatan rutin mahjong waysrm analisis mendalam mahjong ways merespon input pemainrm perkembangan teknologi visual mahjong ways sensasi nyatarm mahjong wins bahan diskusi praktisi teknologi digitalrm strategi memanfaatkan momentum tepat mahjong waysrm memahami logika dasar transisi fitur mahjong waysoke76cincinbetaqua365slot gacorstc76samurai76TOBA1131samurai76 login