Ultrasound Guided FNAC / Biopsy of Small Liver Lesions: Its Importance and Difficulties Encountered in the Field of Oncology

Ultrasound Guided FNAC / Biopsy of Small Liver Lesions: Its Importance and Difficulties Encountered in the Field of Oncology

Sushil N Panbude MD 1, Anand B Pathak MD 2, Shashikant L Juvekar MD 1*

  1. Department of Radiology, National Cancer Institute, Nagpur, India
  2. Department of Medical Oncology, National Cancer Institute, Nagpur, India

 

*Correspondence to: Dr. S. L. Juvekar. Head of Department, Department of Radiology, National Cancer Institute, Nagpur, India.

Copyright

© 2023 Dr. S. L. Juvekar. This is an open access article distributed under the Creative Commons Attribution License, which permits unrestricted use, distribution, and reproduction in any medium, provided the original work is properly cited.

Received: 30 October 2023

Published: 20 November 2023


Abstract

Introduction: Liver is a common site of primary and secondary malignant tumors, secondary involvement / metastasis being more common. There are small liver lesions which may not demonstrate typical morphology and are sometimes difficult to characterize. Definitive diagnosis of these small liver lesions is important which aids in better patient management and avoids un-necessary follow up. Here ultrasound guided FNAC/biopsy plays an important role to obtain tissue for cytological/histopathological diagnosis.

Objective: Primary objective is to describe the importance of ultrasound guided FNAC/biopsy of small liver lesions and various difficulties encountered.

Also, based on the author’s experience, some technical difficulties in the procedure and how to deal with them, are also described in this paper.

Methods: The study is a single institution based retrospective analysis of data of cancer patients with small liver lesions whose ultrasound guided FNAC/biopsy were done. Data was obtained from the institutional database. Ultrasound guided FNAC was done using a 9.8cms 25G spinal needle/15cms 23G Chiba needle and biopsy was done using 18G BARD coaxial biopsy gun. Local anesthesia was given at the puncture site. Final cytology/biopsy reports were obtained.

Results: Total 28 nodules in 26 patients were targeted. Out of these 28 nodules, FNAC was performed from 26 nodules and biopsy was performed from 2 nodules. Liver lesion sizes range from 5 mm to 20 mm, with mean size of 12.88 mm and median size of 13 mm. Of these nodules, 24 (85.71%) out of 28 nodules turned out to be metastatic. 4 nodules were benign out of which one was bile duct adenoma, 2 were regenerative nodules and 1 nodule showed reactive atypia.

Conclusion: Ultrasound guided FNAC / biopsy of the small liver lesion has an important role in the field of oncology. It helps in obtaining the tissue for cytology / histopathology and thus helps in better management of cancer patients.

Keywords: Liver, metastasis, FNAC, biopsy, too small to characterize (TSTC).


Ultrasound Guided FNAC / Biopsy of Small Liver Lesions: Its Importance and Difficulties Encountered in the Field of Oncology

Introduction

Liver is a common site of primary and secondary malignant tumors, secondary involvement / metastasis being more common. The most common site of primary malignancy metastasizing to the liver being carcinoma breast, lung and colon. (1)(2) In oncology, in diagnostic / staging as well as surveillance CT scan of patients, small liver lesions are frequently found. These lesions may not show typical morphology to characterize them into either benign or malignant categories and FNAC/biopsy is sometimes difficult in inexperienced hands. In patients with known malignancy, definite characterization of these lesions into benign vs malignant is crucial in determining the prognosis and treatment. Jones et al (3) reported in their study that liver lesions less than or equal to 15 mm were found in 17% of the cases and were benign in 51% of the 82% of patients with known malignancy. Schwartz et al(4) in their study reported that hepatic lesions less than or equal to 1 cm, deemed too small to characterize, are most often benign, but approximately 11.6% of these lesions were malignant. Schwartz et al also reported in their study that when these too small to characterize liver lesions were followed, the average reported time for increase in size of these TSTC liver lesions was 13 months if malignant in etiology.

Colin et al(5) reported that almost all of the malignant liver lesions were diagnosed within four weeks, but required long term follow up and un-necessary increased imaging for benign lesion. In patients with liver cirrhosis or focal fatty lesions, it was difficult to differentiate between regenerative nodules or focal fatty lesions from hepatocellular carcinoma (HCC) and such lesions required longer follow up (range of follow up was 2 – 42 weeks). More likely diagnosis in cirrhotic liver is HCC, followed by the high and low grade dysplastic nodules. In cirrhotic liver, liver nodules less than 1 cms require follow up with ultrasound every 3 months while nodules between 1 to 2 cms size require histopathological correlation if imaging findings are atypical. (6)

Stacey et al(7) in their study found that upto 30% of liver lesions, deemed too small to characterize on CT scan, remained indeterminate on MRI. However, follow up imaging and histopathology diagnosis (in few) showed no significant interval change/resolved and benign nature of these lesions respectively. However, when followed up, mean follow up was 60.6 weeks. Unnecessary follow for small lesions increases patient’s anxiety and more repeated imaging studies were performed for benign than malignant lesions. White paper of the ACR on management of incidental liver lesion describes that most of the liver lesions less than 1 cms are benign; however suggests follow up MRI after 3 – 6 months in high risk patients for further characterization of these lesions. They also suggest hepatic MRI for liver lesions between 1 – 1.5 cms with suspicious features on imaging. (8)

However, when patient has known extra-hepatic malignancy, it becomes important to characterize these small liver lesions into benign and malignancy, especially when imaging findings are atypical. Sometimes it becomes difficult to differentiate new onset small liver lesion into benign or malignant, if malignant then labeled as disease progression. Timely intervention of liver metastasis in selected patients has favorable prognosis and delay in diagnosis has poorer prognosis and reduced survival.(9)(10)(11)(12)(13) When solitary or few, as seen often in colorectal cancer where metastatectomy/RFA/intraarterial chemotherapy can be performed(14)(15), to characterize these TSTC liver lesions into benign and malignant, tissue diagnosis is important. Also resection of isolated liver metastasis in carcinoma breast which can be the site of isolated recurrence (16) tissue diagnosis prior to surgery is important.So if these lesions are intervened early with USG guided FNAC / biopsy which is cost effective, reliable and easily available, early diagnosis is possible with early treatment and this long follow up without appropriate treatment can be avoided.

Therefore, when the suspicion of liver metastasis is high, even when the lesion is small, it is essential to sample it and to get a final cytological / histopathological diagnosis that will aid in precise patient management and in turn improve the outcome.


Materials and Methods

This is a single institution retrospective study performed at National Cancer Institute, Nagpur, Maharashtra, India. Retrospective data was collected of patients who have undergone FNAC / biopsy of small liver lesions during 01.01.2019 to 31.10.2021. Data was collected from the radiology dataset of patients available at the institute. During this period, total 1455 USG guided FNAC and biopsies were performed, out of which 899 were FNACs and 556 were biopsies. Of these, total 53 procedures were performed on liver nodules including 34 FNAC and 19 biopsies, out of which 28 nodules in 26 patients met out study criteria, i.e., liver lesion size less than or equal to 20 mm. Out of these 28 nodules, FNAC was performed on 26 nodules and biopsy on 2 nodules.Ultrasound guided percutaneous aspirations were done in 26 nodules. For FNAC, 25 G spinal needles were used and for deep lesions in segment VII/VIII which were beyond the reach of the spinal needle that is9.8 cm long, 23G 15 cm chiba needle was used to obtain tissue. Slides prepared from the aspirate and transferred to the coplin jar containing 95% ethyl alcohol solution. Few dry smears were also prepared.

Biopsy was done using an 18 G BARD coaxial biopsy needle and 17 G BARD biopsy gun. Multiple cores, at least 4 cores in 4 different positions of the cutting edge, were obtained. Also more cores were obtained by changing the needle position if required.Samples were sent to the pathology department for further cytological / histopathological reporting.

Technique:

Prior to FNAC/biopsy, liver lesion is evaluated with ultrasound, approach decided and point of entry is marked on skin. FNAC / biopsy can be done using either intercostal, subcostal or transabdominal / sub- xiphoid approach depending upon the location of the liver lesion. (Fig. 1) Then entry site and surrounding area is cleaned with alcohol / betadine. Transducer and wire is covered with sterile probe cover with jelly inside over the transducer, which is important to avoid soiling of the probe and to maintain proper aseptic technique. Local anesthesia with 2% lignocaine is given at the site of entry involving skin and underlying soft tissue along the proposed needle trajectory. Then under ultrasound guidance, a FNAC / biopsy needle is inserted into the lesion avoiding the vessels. Keep the tract of the needle tangential to the ultrasound beam, with this entire tract of the needle can be visualized and, vessels can be avoided using color doppler technique. It is always preferred to put the needle parallel to the vessels and not perpendicular to it, to avoid transection of vessels while taking cores with a gun. (Fig. 2, 3 and 4) We prefer to do the procedures during normal breathing and the needle can be advanced in whichever phase of respiration the lesion is more conspicuous. However, for smaller lesions, those located beneath the rib and deeply seated lesion in segment VII/VIII, breathhold (either during inspiration / expiration) is required. (Fig. 5) While doing FNAC, move the needle to & fro and let the sample collect in the needle with the capillary action and check for the same by looking at the needle hub. If the sample does not collect in the needle, then gentle suction with a syringe is given. Care should be taken not to give excessive negative pressure in the syringe to prevent hemorrhagic aspirate. Generally it requires 2-3 passes for FNAC. Slides are prepared from the aspirate and transferred to the coplin jar containing 95% ethyl alcohol solution. It is better to perform the procedure under the presence of cytologists who can check for the adequacy of the sample obtained and avoiding inconclusive FNAC and repeat procedures. For biopsy, after confirming the position of the needle in the lesion (preferably at the periphery in larger lesion), semiautomatic biopsy gun is inserted and cores are taken. At least 4 cores in 4 different directions of the curing edge are taken and transferred to the container containing formalin.

 

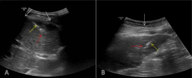
Figure 01: (A) Intercostal Approach – USG guided FNAC of segment IV liver lesion (red arrow). White arrow denoted ribs and yellow arrow FNAC needle. (B) Transabdominal / Sub-xiphoid Approach – USG guided biopsy of segment III liver lesion (red lesion). White arrow denoted anterior abdominal wall and yellow arrow biopsy needle.

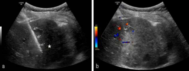
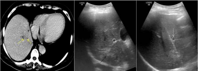
Figure 02: In this treated case of carcinoma rectum, surveillance CT scan reveals a 13 mm nodule in segment VII of liver (yellow arrow in a). USG guided FNAC was performed from this small liver lesion (as shown in b, yellow arrows). Entire course of the 15 cms 23G chiba needle (white arrows) is seen when the needle is parallel to the transducer. Tip of the needle is seen in mildly hyperechoic liver lesion in segment VIII (yellow arrows). Blue arrow shows hepatic vein. Cytology report suggestive of metastasis.

Figure 03: USG guided biopsy has been performed from the right lobe liver lesion in this suspected case of carcinoma gall bladder with liver metastasis. Almost entire needle (arrows) is seen in a with its tip in liver lesion (asterisk). Color doppler image shows vessels (in red and blue colors) on either sides of needle (arrow) which is carefully inserted avoiding the vessels.

Figure 04: 69 Y / Male, operated case of carcinoma colon, on observation. Surveillance CT scan shows an irregular hypodense lesion in right lobe of liver (black arrow in a) and associated focal IHBR dilatation (yellow arrow in a). Correlative ultrasound shows an irregular hyperechoic lesion in right lobe of liver (black arrow in b). USG guided FNAC was done (c) with needle close to the branch of portal vein (white arrow in c) and is avoided.

Figure 05: 42Y/Female, known case of carcinoma breast with new onset 5 mm lesion in segment VIII of liver. Note the location of the lesion beneath the rib. Needle was inserted in this small lesion in breathhold during inspiration. White arrow denotes rib, red arrows denote the liver lesion and yellow arrow denotes the spinal needle with its tip inside the liver lesion. Background liver shows fatty infiltration. Cytology report suggestive of reactive atypia in the liver lesion.

 

Primary & Secondary Outcome

Primary outcome is to describe the importance of ultrasound guided FNAC/biopsy of small liver lesions.

Secondary outcome is to address technical difficulties in the FNAC / biopsy of small liver lesions and methods to deal with them.

 

Inclusion & Exclusion Criteria Inclusion Criteria:

1.Patient with known malignancy with small liver lesions of size less than 20 mm

2.Biopsy / FNAC was performed at our institution and histopathology / cytology report available.

 

Exclusion Criteria:

1.Patient with known malignancy with liver lesions of size more than 20 mm

 

Statistical Analysis

In this research paper, the collected data has been methodically categorized into distinct groups, allowing for a comprehensive and systematic analysis of the research subject. The subsequent presentation includes a detailed breakdown of data distribution, expressed in terms of percentages. This quantitative approach not only elucidates the prevalence of each category but also uncovers significant trends and patterns within the dataset, thereby enhancing the overall depth and clarity of the findings.

Ethics

The study was approved by the Ethics Committee, National Cancer Institute, Nagpur, Maharashtra, India, on dated 13.08.2021 Approval number is NCI/EC/2018/017/08//2021. All procedures performed in studies involving human participants were in accordance with the ethical standards of the institutional and/or national research committee and with the 1964 Helsinki Declaration and its later amendments or comparable ethical standards.

 

Results

Patient demographic are given in table 1. There are a total 28 nodules in 26 patients, out of which biopsy was done on 2 nodules and FNAC was done on 26 nodules. Out of 26 patients, 11 were male patients and 15 female, with 8 cases of carcinoma breast (30.76%), 7 cases of colo-rectal cancer (26.92%) 3 cases of lung cancer (11.54%), 1 carcinoma buccal mucosa (3.84%), 1 carcinoma cricopharynx (3.84%), 1 case of carcinoma soft palate (3.84%), 1 carcinoma esophagus (3.84%), 1 carcinoma pancreas (3.84%), 1 case of carcinoma urinary bladder (3.84%) and 1 carcinoma cervix (3.84%). 1 patient (3.84%) was being evaluated for liver SOL. (Table 2) Liver lesion sizes range from 5 mm to 20 mm, with mean size of 12.68 mm and median size of 12.5 mm. 1 out of 28 lesions was located in segment II (3.57%), 11 in segment III (39.28%), 3 in segment IVA (10.71%), 2 in segment IVB (7.14%), 3 in segment V (10.71%), 1 in segment VI (3.57%),

3 in segment VII (10.71%) and 4 in segment VIII (14.28%). (Table 3) Of these nodules, radiologically 25 (89.28%) nodules appeared metastatic, 1 (3.57%) nodule regenerative while 2 nodules (7.14%) were suspicious for metastasis as were new onset on follow up imaging and were small (5 mm in size). Out of the 26 patients, 8 (30.77%) patients had single liver lesion, 6 (23.07%) patients had 2 liver lesions, 3 (11.53%) patients has 3 liver lesions, 1 (3.85%) patients had 4 liver lesions, 1 (3.85%) had 5 liver lesions and 7 (26.92%) patients had more than 5 liver lesions. (Table 4) Median number of passes for FNAC was Aspirate from 22 nodules was cellular (84.61 %) while aspirate from 4 lesions was sparsely cellular (15.38%). Two of the 4 sparsely cellular smear were metastatic, 1 nodule showed reactive atypia while 1 showed necrotic aspirate which on repeat FNAC turned out to be metastatic. Biopsy samples obtained for histopathology were adequate for histopathological examination and for immunohistochemistry. On cytology report, 1 (3.84%) nodule was bile duct adenoma, 22 (84.61%) nodules were metastatic, 1 (3.84%) nodule showed reactive atypia and 2 (7.69%) nodules were regenerative nodules. Two nodules, which were biopsied, turned out to be metastatic. In total, 24 (85.71%) out of 28 nodules turned out to be metastatic. In the nodules, which turned out to be regenerative nodules, background liver showed fatty changes in one case and cirrhotic changes in another case. Size of the nodule which showed reactive atypia was 5 mm and the liver showed grade III fatty changes. None of the patients had complications related to the procedure. We have reported accuracy of USG guided FNAC of small liver lesions to be 100%.

Click here to view complete article 

Figure 1

Figure 2

Figure 3

Figure 4

Figure 5

Figure 6

Figure 7

antarmuka fokus mahjong daya pengguna aktifaws grid serasi mahjong dasar tahapan terjagaaws jejak mekanisme mahjong arah fase lanjutanaws kajian wild berantai mahjong interaktif analitisaws kesesuaian persentase layanan mahjong seluler lanceraws pendalaman persentase mahjong gerak wild mutakhircorak langka mahjong tumbuh perlahan berubahgerak mahjong adaptasi mekanisme pemakai sekarangnalar scatter mahjong malam putaran ekstratempo mahjong kaitan mekanisme keadaan terkinialur permainan mahjong cepat scatter wilddalam hitungan detik scatter wild mahjongmenyatukan naluri pola scatter hitam mahjongmomen mahjong permainan berbalik arahmomen singkat mahjong dinamika permainanperpaduan insting pola scatter hitam momentperubahan drastis mahjong ways scatter wildscatter wild mahjong datang polasekejap berubah scatter wild mahjong wayssensasi baru mahjong lebih scatter wildenergi scatter emas irama reel mahjongevolusi reel mahjong balutan mistisintervensi cepat emas momentum lamakemunculan mendadak naga emas mahjongketika scatter naga emas aktif mahjongnaga emas muncul arah spin mahjongnaga emas ritme mahjong ways berubahrahasia rtp tinggi balik scatter hitamsaat scatter naga emas alih irama reelscatter hitam kunci lonjakan rtp mahjonge5 scatter wild memberikan sentuhan baru di setiap spin mahjong ways 2e5 scatter wild menghidupkan suasana permainan mahjong ways 2e5 scatter wild mengubah pola permainan mahjong ways 2 secara signifikane5 setiap putaran mahjong ways 2 terasa berbeda dengan scatter wilde5 strategi adaptif berbasis analisis rtp hariane5 strategi berbasis data dan algoritma untuk analisis momentume5 strategi berkembang berkat data rtp hariane5 strategi memahami algoritma untuk mengidentifikasi momentum ideale5 strategi membaca pola algoritma demi menangkap momentum optimale5 strategi modern mengandalkan evaluasi rtp hariane5 strategi responsif dengan dukungan evaluasi rtp hariane5 strategi terukur dengan analisis rtp hariane5 struktur scatter dan wild terlihat jelas berkat analisis sistem moderne5 tanpa disadari kombinasi ini sering mengarah ke scatter di mahjong wins 3e5 teknik evaluasi algoritma untuk mendapatkan momentum yang tepate5 teknik observasi sistem untuk analisis momentum yang lebih presisie5 terungkap formasi ini sering jadi awal munculnya scatter di mahjong wins 3e5 transformasi digital rtp live berkat artificial intelligence inovatife5 transformasi ritme mahjong ways 2 dipicu oleh kekuatan scatter wilde5 wajib tahu pola tersembunyi ini sering menghasilkan scattere5 applee5 bananae5 candye5 doge5 eaglee5 falcone5 geminie5 horsee5 indiae5 japananalisa pola mahjong ways rutinanalisis kinerja heuristik variansi gameanalisis pola mahjong ways hariananalisis pola mahjong ways kebiasaanera baru mahjong wins bonus optimalgebrakan bonus mahjong wins mekanisme efisieninsight pola mahjong ways rutinkajian pola mahjong ways rutinkomparasi heuristik variansi game digitalledakan bonus mahjong wins sistem efektifmahjong wins bonus sistem generasi baruobservasi pola mahjong ways harianpendekatan algoritma heuristik variansi gameperbandingan model heuristik variansi gamerahasia bonus mahjong wins sistem cerdasrangkuman pola mahjong ways harianringkasan pola mahjong ways harianstudi pola mahjong ways hariantinjauan heuristik variansi game digitaltinjauan pola mahjong ways harianalur sombol mahjong kemunculan scatterdari rtp mahjong bermain lebih efektifjejak scatter mahjong putaran tenangkejutan scatter wild simbol mahjong arahkemunculan simbol ganda membuat mahjongketika grid mahjong scatter semakin dekatketika rtp mahjong pola mulai lebih jelasketika scatter wild ritme simbol mahjongketika scatter wild titik sesi mahjong waysketika susunan simbol mahjong ritme scattermemahami rtp mahjong cara bermain lebihpergerakan simbol mahjong scatter wildpergeseran mahjong ketika scatter hadirsaat rtp mahjong terbaca baik strategisaat scatter hadir simbol mahjong bergeserscatter wild dinamika simbol mahjongstabilitas putaran mahjong pola scattersusunan baru reel mahjong scatter emassusunan mahjong wins mengandung scattersusunan simbol mahjong diam pola scatterrm menguak keunikan mahjong wins sudut pandang teknisrm cara memahami pergerakan mahjong ways tenaga ekstrarm mahjong wins standar baru industri hiburan digitalrm rahasia ketahanan mahjong ways eksis gempuran gamerm pentingnya memahami transisi level mahjong wins mendalamrm strategi mengatur tempo mahjong ways kendali permainanrm peran kecerdasan buatan mekanisme mahjong wins adilrm alasan keberhasilan mahjong ways mencuri perhatian analisrm mempelajari struktur dasar mahjong wins efisiensi putaranrm inovasi desain mahjong ways kesan bermain responsifrm teknik observasi mahjong wins jarang dibahas dampakrm cara mempertahankan fokus dinamika mahjong ways cepatrm eksplorasi fitur tersembunyi mahjong wins ritme terbaikrm mahjong ways integrasi teknologi modern keamanan nyamanrm analisis faktor pendukung mahjong wins digemari generasirm langkah efektif menyesuaikan perubahan sistem mahjong waysrm mengintip proses pengembangan mahjong wins kualitas penggunarm analisis data membantu membaca arah mahjong waysrm menemukan titik temu insting logika mahjong winsrm transformasi besar mahjong ways menghadirkan tantangan menarikmengungkap simbol langka nasib drastismisteri besar kombinasi simbol langkamisteri simbol langka keberuntungan besarsimbol langka misterius ubah hiduprahasia simbol langka nasib cepattransformasi bonus mahjong wins sistem efektifmahjong wins suguhkan bonus sistem modernsuguhan bonus efisien mahjong winsefektivitas sistem bonus mahjong winsmahjong wins hadirkan bonus sistem optimaloke76cincinbetaqua365slot gacorstc76samurai76TOBA1131samurai76 login