Mammary Galactocele Discovered in Accessory Breast Tissue

Mammary Galactocele Discovered in Accessory Breast Tissue

Dr. Rushreeta Anjali Deuri *, Dr. Jacqueline Saulam1

1. Consultant Radiologist, Doctor’s diagnostic Centre, Nilambur, Kerala- 679329

 jacquelinejoseph77@gmail.com

*Correspondence to: Dr. Rushreeta Anjali Deuri, Consultant Pathologist and Lab Head, Doctor’s Diagnostic Centre, Nilambur, Kerala- 679329  Email id- rddeuri@gmail.com.

Copyright

© 2023 Dr. Rushreeta Anjali Deuri . This is an open access article distributed under the Creative Commons Attribution License, which permits unrestricted use, distribution, and reproduction in any medium, provided the original work is properly cited.

Received: 25 November 2023

Published: 30 November 2023


Abstract

In a rare case of a 33-year-old mother breastfeeding twins, there was an unusual appearance of an axillary bulge which turned out to be a galactocele. This case report discusses this unusual occurrence. Accidentally, the patient found a non-tender, mobile swelling on her right axilla. The ultrasonography revealed an identifiable benign lesion surrounded by areas of inflammation, variable echogenicity, and mild posterior acoustic shadowing. Fine needle aspiration cytology confirmed the diagnosis of a galactocele. Despite being a benign lesion, there aren't many published cases that highlight the need of FNAC and ultrasound in the identification of these lesions, which can occasionally even seem malignant. The study and peer review acknowledges the possibility of overdiagnosis while highlighting the significance of careful examination and linking.

KEYWORDS: Galactocele, Accesory Breast, Axilla, Benign Cyst Axilla, Axillary Cyst.


Mammary Galactocele Discovered in Accessory Breast Tissue

Introduction

In humans, accessory breast tissue refers to extra breast tissue located outside of the typical breast region. It is a rather uncommon disorder.1 These axillary breasts can emerge anywhere along the mammary ridge where complete regress fails during embryonic development. Throughout the course of evolution, the numerous nipple areolar complex along the mammary ridge—which is still highly common in other mammals—became rudimentary for humans. We shall discuss a rare example of galactocele-related supplementary breast tissue here. During pregnancy and nursing, benign breast lesions or cysts called galactoceles are frequently filled with milk. These benign lesions are not malignant. Rarely does a galactocele develop from the auxiliary breast tissue.2


Case Presentation

During a typical shower, a 33-year-old woman who was breastfeeding her 6-month-old twins sporadically felt a perceptible lump in her right axillary region. She did not have any additional breast-related problems, and the lump was not painful.

Upon physical examination, two tiny lumps in the central left axilla measuring roughly 1 x 0.5 cm and 0.5 x 0.5 cm were found. The skin covering these non-tenders, movable, oval to spherical lumps looked normal and showed no indications of inflammation or discolouration.

An ultrasound revealed a well-defined, ovoid thick-walled mixed echoic lesion with internal echoes measuring approximately 1.2 x 0.9 cm with minimal posterior acoustic amplification and surrounding inflammatory alterations in left axilla. The lesion shows lack of internal vascularity on colour Doppler. A cystic abscess was recommended as the most likely diagnosis based on the sonographic results and suggested histo-pathological correlation for further evaluation. Several foamy macrophages were visible in the fine needle aspiration smears that followed. Granular, proteinaceous material mixed with frothy lipid micelles and occasionally crystalloid substance was also visible in the background. Not a single lymphocyte, atypical or epithelial cells were identified. This ultimately resulted in the diagnosis of galactocele-related supplementary breast tissue.

 

Discussion

Galactoceles are benign retention cysts that most usually form in breastfeeding women and during pregnancy as a result of ductiferous tubule dilatation. This condition is frequently brought on by improperly drained stagnant milk or by other conditions including inflammation or breast damage. About 4% of women who appear with benign lesions have galactocele, which accounts for 4-5% of instances in the Breast Imaging Reporting and Data System (BI-RADS) category.3,4 Although galactoceles have been extensively documented in the literature and are rather prevalent in normal breast tissue, there are very few documented occurrences of galactoceles originating from accessory breast tissue. 1,2

The imaging on ultrasonography is dependent on the lesion's milk and fat content. These lesions can have posterior acoustic shadowing and range from anechoic to hypoechoic. 5,6  That might not always be the case, though, in general. Sometimes they can seem very substantial due to the high milk content. Furthermore, calcification in an older lesion might occur and be mistaken for cancer. In the same way as mammography.  However, because these lesions exhibit a lack of blood flow, colour doppler imaging may provide a diagnosis indication.

Some studies have indicated a 6% incidence of supernumerary breast tissue, with associated diseases ranging from mastitis and invasive carcinomas to fibroadenomas, fibrocystic disease, and abscesses.7,8,9 Galactoceles from accessory breast tissue, however, are infrequently recorded, mostly due to the fact that they frequently do not exhibit symptoms unless they are exacerbated by inflammation or infection. FNAC and ultrasound are essential for the diagnosis of these benign diseases. Based on their fat and protein content as well as the consistency of the fluid inside, these lesions can resemble cystic, multicystic, solid, fibroadenoma-like, or even suspicious masses when seen on ultrasonography.

Very few occurrences of axillary galactocele were reported in the literature. The majority of these lesions were found to be benign and showed an anechoic mass with posterior acoustic shadowing in the left axillary area. Nevertheless, in two of the cases, the lesion seemed more worrisome, which changed the case's outcome. In one of the examples that Raj et al5. noted, the smears from the left axillary lesion in addition to the macrophages also showed signs of crystallisation. Table 1 contains the details.

 

S.No

STUDY

Age

Ultrasound findings

Site

Year

1

Farrokh et al6

32

Hypoechoic mass

Left axilla

2017

2

Whang et al4

36

Anechoic cystic mass

-

2007

3

Daga et al10

35

Mixed echogenicity

Left axilla

2018

4

Cotrell et al11

-

Anechoic mass with posterior acoustic enhancement

Left axilla

2016

5

Hangan Ansert S12

36

Anechoic cystic mass

Right axilla

2012

6

Raj et al5

25

 No ultrasound

Left axilla

2021

7

Phatak et al13

38

Hypoechoic mass

Left axilla

2016

8

Shahana et al14

22

No ultrasound

Left axilla

2023

9

Our case

33

Mixed echogenicity with mild posterior acoustic shadow

Right axilla

2023

Table 1:

 

Conclusions

Considering that galactocele might affect nursing moms, treating any swelling along the milk duct is simple. But frequently, they resemble cancer. When used in conjunction with fine needle aspiration cytology, imaging can facilitate a prompt diagnosis and act as a therapeutic tool. Though common during pregnancy and lactation, we should remember that they can also occur in other situations, including prolactinomas or hormone therapy. Because of this, it's important to remember not to overdiagnose these cases. 

 

PICTURES

ULTRASONOGAPHY:

FIG1: A well-defined, ovoid thick-walled mixed echoic lesion with internal echoes measuring approximately 1.2 x 0.9 cm with minimal posterior acoustic amplification and surrounding inflammatory alterations in left axilla. The lesion shows lack of internal vascularity on colour Doppler.

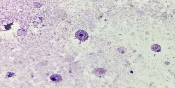
FNAC IMAGES:

FIG2: 40X Giemsa stain; Numerous foamy macrophages in a granular, proteinaceous material mixed with frothy lipid micelles.

Conflict Of Interests: No conflict of interest

 

References

1.Yu J. H., Kim M. J., Cho H., Liu H. J., Han S. J., Ahn T. G. Breast diseases during pregnancy and lactation. Obstetrics & Gynecology Science. 2013;56(3):143–159. doi: 10.5468/ogs.2013.56.3.143.

2.Hall F. M. Galactocele: three distinctive radiographic appearances. Radiology. 1986;160(3):852–853

3.Gada PB, Bakhshi G. Galactocele. 2023 Jan 16. In: StatPearls [Internet]. Treasure Island (FL): StatPearls Publishing; 2023 Jan–. PMID: 35201708.

4.Whang IY, Lee J, Kim KT. Galactocele as a changing axillary lump in a pregnant woman. Arch Gynecol Obstet. 2007 Oct;276(4):379-82

5.Raj S, Baunihiyal A, Shah S, Thapliyal N. Axillary crystallizing galactocele masquerading malignancy: A rare case report and review of literature. IP Arch Cytol Histopathology Res 2021;6(3):142-144.

6.Farrokh D, Alamdaran A, Yousefi F, Abbasi B. Galactocele in the Axillary Accessory Breast Mimicking Suspicious Solid Mass on Ultrasound. Case Rep Obstet Gynecol. 2017;2017:4807013. doi: 10.1155/2017/4807013. Epub 2017 Apr 9. PMID: 28487794; PMCID: PMC5401729.

7.Sibel Kahraman-Cetintas, Senem Tura-Ozdemir, Ugur Topal. Carcinoma originating from aberrant breast tissue: A case report and review of literature Tumori 2008;94:440-443

8.Husain M, Khan S, Bhat A, Hajini F. Accessory breast tissue mimicking pedunculated lipoma. BMJ Case Rep. 2014 Jul 8;2014:bcr2014204990. doi: 10.1136/bcr-2014-204990. PMID: 25006058; PMCID: PMC4091128.

9.Marshall MB, Moynihan JJ, Frost A, Evans SR. Ectopic breast cancer: case report and literature review. Surg Oncol 1994;3:295–304

10.Daga, Sakshi; Phatak, Suresh; Khan, Sheeba; Rawekar, Shishir. Axillary Galactocele of Ectopic Breast: Ultrasound and Mammography Correlation. Medical Journal of Dr. D.Y. Patil Vidyapeeth 11(3):p 242-244, May–Jun 2018. | DOI: 10.4103/MJDRDYPU.MJDRDYPU_154_17

11.Cottrell MR, Fisher KL. Variation in Galactocele Location and Sonographic Appearance. Journal of Diagnostic Medical Sonography. 2016;32(4):224-227. doi:10.1177/8756479316652480

12.Hagan-Ansert S: The breast, in Hagan-Ansert S (ed): Textbook of Diagnostic Sonography, 7th ed. St. Louis, MO, Elsevier, 2012, pp 549–587.

13.Phatak S, Shukla A, Patange N, Ghulam M M, Galactocele of Accessory Breast: USG and Elastographic Imaging: A case report. Panacea J Med Sci 2016;6(2):102-103

14.Shahana, Syed, and Tulasi Priya Chennupati. "" Galactocele Emulating as Lipoma in Axillary Accessory Breast Tissue: A CASE REPORT"." European Journal of Cardiovascular Medicine 13.1 (2023)

Figure 1

Figure 2

antarmuka fokus mahjong daya pengguna aktifaws grid serasi mahjong dasar tahapan terjagaaws jejak mekanisme mahjong arah fase lanjutanaws kajian wild berantai mahjong interaktif analitisaws kesesuaian persentase layanan mahjong seluler lanceraws pendalaman persentase mahjong gerak wild mutakhircorak langka mahjong tumbuh perlahan berubahgerak mahjong adaptasi mekanisme pemakai sekarangnalar scatter mahjong malam putaran ekstratempo mahjong kaitan mekanisme keadaan terkinialur permainan mahjong cepat scatter wilddalam hitungan detik scatter wild mahjongmenyatukan naluri pola scatter hitam mahjongmomen mahjong permainan berbalik arahmomen singkat mahjong dinamika permainanperpaduan insting pola scatter hitam momentperubahan drastis mahjong ways scatter wildscatter wild mahjong datang polasekejap berubah scatter wild mahjong wayssensasi baru mahjong lebih scatter wildenergi scatter emas irama reel mahjongevolusi reel mahjong balutan mistisintervensi cepat emas momentum lamakemunculan mendadak naga emas mahjongketika scatter naga emas aktif mahjongnaga emas muncul arah spin mahjongnaga emas ritme mahjong ways berubahrahasia rtp tinggi balik scatter hitamsaat scatter naga emas alih irama reelscatter hitam kunci lonjakan rtp mahjonge5 scatter wild memberikan sentuhan baru di setiap spin mahjong ways 2e5 scatter wild menghidupkan suasana permainan mahjong ways 2e5 scatter wild mengubah pola permainan mahjong ways 2 secara signifikane5 setiap putaran mahjong ways 2 terasa berbeda dengan scatter wilde5 strategi adaptif berbasis analisis rtp hariane5 strategi berbasis data dan algoritma untuk analisis momentume5 strategi berkembang berkat data rtp hariane5 strategi memahami algoritma untuk mengidentifikasi momentum ideale5 strategi membaca pola algoritma demi menangkap momentum optimale5 strategi modern mengandalkan evaluasi rtp hariane5 strategi responsif dengan dukungan evaluasi rtp hariane5 strategi terukur dengan analisis rtp hariane5 struktur scatter dan wild terlihat jelas berkat analisis sistem moderne5 tanpa disadari kombinasi ini sering mengarah ke scatter di mahjong wins 3e5 teknik evaluasi algoritma untuk mendapatkan momentum yang tepate5 teknik observasi sistem untuk analisis momentum yang lebih presisie5 terungkap formasi ini sering jadi awal munculnya scatter di mahjong wins 3e5 transformasi digital rtp live berkat artificial intelligence inovatife5 transformasi ritme mahjong ways 2 dipicu oleh kekuatan scatter wilde5 wajib tahu pola tersembunyi ini sering menghasilkan scattere5 applee5 bananae5 candye5 doge5 eaglee5 falcone5 geminie5 horsee5 indiae5 japananalisa pola mahjong ways rutinanalisis kinerja heuristik variansi gameanalisis pola mahjong ways hariananalisis pola mahjong ways kebiasaanera baru mahjong wins bonus optimalgebrakan bonus mahjong wins mekanisme efisieninsight pola mahjong ways rutinkajian pola mahjong ways rutinkomparasi heuristik variansi game digitalledakan bonus mahjong wins sistem efektifmahjong wins bonus sistem generasi baruobservasi pola mahjong ways harianpendekatan algoritma heuristik variansi gameperbandingan model heuristik variansi gamerahasia bonus mahjong wins sistem cerdasrangkuman pola mahjong ways harianringkasan pola mahjong ways harianstudi pola mahjong ways hariantinjauan heuristik variansi game digitaltinjauan pola mahjong ways harianalur sombol mahjong kemunculan scatterdari rtp mahjong bermain lebih efektifjejak scatter mahjong putaran tenangkejutan scatter wild simbol mahjong arahkemunculan simbol ganda membuat mahjongketika grid mahjong scatter semakin dekatketika rtp mahjong pola mulai lebih jelasketika scatter wild ritme simbol mahjongketika scatter wild titik sesi mahjong waysketika susunan simbol mahjong ritme scattermemahami rtp mahjong cara bermain lebihpergerakan simbol mahjong scatter wildpergeseran mahjong ketika scatter hadirsaat rtp mahjong terbaca baik strategisaat scatter hadir simbol mahjong bergeserscatter wild dinamika simbol mahjongstabilitas putaran mahjong pola scattersusunan baru reel mahjong scatter emassusunan mahjong wins mengandung scattersusunan simbol mahjong diam pola scatterrm menguak keunikan mahjong wins sudut pandang teknisrm cara memahami pergerakan mahjong ways tenaga ekstrarm mahjong wins standar baru industri hiburan digitalrm rahasia ketahanan mahjong ways eksis gempuran gamerm pentingnya memahami transisi level mahjong wins mendalamrm strategi mengatur tempo mahjong ways kendali permainanrm peran kecerdasan buatan mekanisme mahjong wins adilrm alasan keberhasilan mahjong ways mencuri perhatian analisrm mempelajari struktur dasar mahjong wins efisiensi putaranrm inovasi desain mahjong ways kesan bermain responsifrm teknik observasi mahjong wins jarang dibahas dampakrm cara mempertahankan fokus dinamika mahjong ways cepatrm eksplorasi fitur tersembunyi mahjong wins ritme terbaikrm mahjong ways integrasi teknologi modern keamanan nyamanrm analisis faktor pendukung mahjong wins digemari generasirm langkah efektif menyesuaikan perubahan sistem mahjong waysrm mengintip proses pengembangan mahjong wins kualitas penggunarm analisis data membantu membaca arah mahjong waysrm menemukan titik temu insting logika mahjong winsrm transformasi besar mahjong ways menghadirkan tantangan menarikmengungkap simbol langka nasib drastismisteri besar kombinasi simbol langkamisteri simbol langka keberuntungan besarsimbol langka misterius ubah hiduprahasia simbol langka nasib cepattransformasi bonus mahjong wins sistem efektifmahjong wins suguhkan bonus sistem modernsuguhan bonus efisien mahjong winsefektivitas sistem bonus mahjong winsmahjong wins hadirkan bonus sistem optimaloke76cincinbetaqua365slot gacorstc76samurai76TOBA1131samurai76 login