Primary Hepatic PEComa Mimicking Fibrolamellar Hepatocellular Carcinoma Lessons from A Rare Case

Primary Hepatic PEComa Mimicking Fibrolamellar Hepatocellular Carcinoma Lessons from A Rare Case

Osman aydin 1, Mutaz Almakhamreh*2,3, Volkan Oter4, Yigit Özgün5, Riza Sarper Okten6, Nesrin

Turhan7, Dilara Turan8, Meral Kayhan9, Erdal B. Bostanc10

1. Gastrointestinal Surgery, Ankara City Hospital, Ankara, TUR

2. Gastrointestinal surgery, University of Health Sciences /Ankara City Hospital, Ankara, TUR 3. Surgical Oncology, King Hussein Cancer Centre, Amman, JOR

4. Gastrointestinal surgery, Ankara city hospital, Sakarya, TUR

5. Gastrointestinal surgery, University of Health Sciences/Ankara City Hospital, Ankara, TUR

6. Radiology, University of Health Sciences, Ankara, TUR

7. Pathology, Ankara City Hospital, Ankara, TUR

8. Hepatology, Ankara City Hospital, Ankara, TUR

9. Gastroenterology, Ankara city hospital, Ankara, TUR

10. Gastrointestinal surgery, Ankara city hospital, Ankara, TUR

*Correspondence to: Dr. Mutaz Almakhamreh., mo3taz.makh@gmail.com

Copyright

© 2023 Mr. Mutaz Almakhamreh. This is an open access article distributed under the Creative Commons Attribution License, which permits unrestricted use, distribution, and reproduction in any medium, provided the original work is properly cited.

Received: 19 December 2023

Published: 28 December 2023

Abstract

Mesenchymal neoplasms of the liver are uncommon. As mesenchymal neoplasms, hepatic PEComas are part of the broader spectrum of rare liver tumours that arise from non-epithelial cell origins. Understanding the unique characteristics and clinical behaviour of these tumours is crucial for early and accurate diagnosis, leading to appropriate treatment and improved patient outcomes. Herein, we present the case of a patient who underwent right hemihepatectomy with segment (IVA) preservation for a tumour identified as fibro-lamellar hepatocellular carcinoma (FL-HCC) by imaging investigations. Final histopathological examination revealed a benign epithelioid tumour (PEComa), with resection representing the standard of care. Clinical suspicion, the use of multiple imaging modalities, and a multidisciplinary approach are essential to avoid misdiagnosing unusual tumours such as hepatic PEComa. Additionally, long-term follow-up is crucial owing to the unpredictable natural history of PEComas.

Keyword: PEComa, rare liver mass. right hemihepatectomy, liver tumor.


Primary Hepatic PEComa Mimicking Fibrolamellar Hepatocellular Carcinoma Lessons from A Rare Case

Abbreviations:

PEComa: Perivascular Epithelioid Cell Tumour

FL-HCC: Fibrolamellar Hepatocellular Carcinoma

MRI: Magnetic Resonance Imaging

CEUS: Contrast-Enhanced Ultrasound

CECT: Contrast-Enhanced Computed Tomography

PET: Positron Emission Tomography

MDT: Multidisciplinary Team

FRL: Future Remnant Liver

AFP: Alpha-Fetoprotein

SMA: Smooth Muscle α-Actin

HMB-45: Human Melanoma Black-45

TSC1 Gene: Tuberous Sclerosis Complex 1

TSC2: Gene Tuberous Sclerosis Complex 2

TFE3: Transcription Factor E3

mTOR: mammalian target of rapamycin pathway

 

Introduction

Over the past few decades, advances in diagnostic techniques, particularly immunohistochemistry and molecular pathology, have significantly improved our ability to identify and classify perivascular epithelioid cell tumours (PEComas) and rare mesenchymal neoplasms that differentiate along a perivascular epithelioid cell line (PEC) [‎‎‎‎1]. Originally considered a subset of smooth muscle tumours, the term "angiomyolipoma" was used to describe a subtype of PEComa that contains variable proportions of adipocytes, smooth muscle cells, and thick-walled tortuous blood vessels. Awareness of PEComas among clinicians and pathologists has increased, leading to an increase in the number of diagnosed cases worldwide. However, despite this progress, PEComas continue to pose significant diagnostic difficulties owing to their varied histological appearance and lack of specific genetic or molecular markers. While some PEComas exhibit indolent behaviour and benign characteristics, others may demonstrate aggressive behaviour with the potential for local recurrence or distant metastasis [‎‎2]. This heterogeneity necessitates a multidisciplinary approach to accurately stratify patients based on tumour characteristics and optimise treatment strategies.

Furthermore, the expanding spectrum of anatomical locations where PEComas can arise adds to the complexity of their management. In addition to classical sites, such as the kidney and uterus, PEComas have been reported in various organs, including the liver, lungs, gastrointestinal tract, and soft tissues [‎3]. Each location may present unique challenges that require tailored therapeutic approaches.

 

Case Report

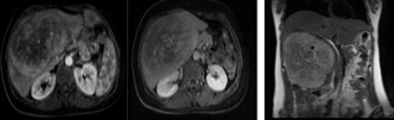
A 41-year-old woman was referred to our clinic with complaints of fever, good performance (Eastern Cooperative Oncology Group 1), no weight loss, no comorbidities, and no surgical history. Upon examination, there was a firm-to-hard, non-tender liver mass extending 13 cm below the right costal margin with rounded borders. All laboratory investigations, including liver function tests, viral markers, and tumour markers, were normal (alpha-fetoprotein< 1.3ng/mL). Abdominal multidetector computed tomography (Figure 1) revealed a normal liver size. The liver contours were smooth and the parenchymal density was normal. The hepatic vein, portal vein, and main branches were normal. The intrahepatic bile ducts were normal. A mass lesion, measuring approximately 15x11 cm, is observed near the level of liver segments V-VI-IVB, almost filling the space (HCC-fibrolamellar HCC?) No lymph nodes of abnormal size were observed in the abdomen. No significant free fluid is detected in the abdomen,The chest computed tomography findings were normal, the abdominal Magnetic resonance imaging  (MRI)(Figure 1) showed at the level of segments IVB-V-VI, there is a heterogeneously hyperintense lesion measuring 16.5x14.8x10.2 cm on T2-weighted images, The lesion shows peripheral enhancement predominantly in the early post-contrast phase, followed by  washout from the periphery in the delayed phase, with slightly increased enhancement in the centre, suggesting a possibility of fibrolamellar hepatocellular carcinoma (FH-HCC). The main portal vein and right portal vein branches were compressed by the identified lesion. A Positron Emission Tomography (PET) scan was performed, which revealed a hypermetabolic mass lesion in the liver, with no other lesions identified on the PET scan as the primary site (Figure 2). The primary diagnosis was fibrolamellar hepatocellular carcinoma (FL-HCC).

Figure 1a,  Figure 1b, Figure 1c

Figure1: abdomen (MRI), Figure 1a:(arterial phase) showing an enhancing lesion, Figure 1b:(delayed phase) showing slight washout, Figure 1c:(coronal T2 weighted) showed a heterogeneous mass in the right liver lobe.

(Figure 2). A positron emission tomography (PET) scan revealed a hypermetabolic mass lesion in the right side of the liver.

After a multidisciplinary discussion, the initial decision was to proceed with a liver transplant, given the characteristics of "fibrolamellar hepatocellular carcinoma (FL-HCC) and large liver tumors with small left hepatic segments with a high risk for post-hepatectomy liver failure” (PHLF). The patient subsequently underwent right hemihepatectomy with segment VI preservation (Figure 3).

Figure 3: intraoperative imaging of the large right-side tumor with small left liver lobe, with liver volumetry for identical side

During gross examination of the specimen (Figure 4), cut sections revealed a well-circumscribed solid mass with a soft texture and gray-yellow colour. The tumour and adjacent normal tissue boundaries were well demarcated (expansive growth) and mainly consisted of two components: epithelioid cells in the perivascular location and dilated thick-walled vessels. Epithelioid cells were characterised by clear to granular, lightly eosinophilic cytoplasm, and small, centrally located, normochromatic, round to oval nuclei. The nuclei showed slight variations and were mostly small. The cells had fairly distant cell borders and were arranged as nests and sheets. Mitotic figures and angiolymphatic invasion were not observed. Focal necrosis was observed, mostly with small nucleoli. In numerous sections, adipocytes were entirely absent. The adjacent liver tissue was microscopically normal immunohistochemically, and the tumour cells were positive for HMB-45, SMA, and Melan A and negative for arginase-1 and HepPar (Figure 5). Hepatic PEComa was diagnosed based on morphological characteristics and immunohistochemical results. The postoperative course was uneventful, and the patient was discharged 10 days later.

Figure 4: Cut sections revealed a well-circumscribed solid mass with a soft texture and gray-yellow colour. Tumor and adjacent normal tissue boundary were well-demarcated (expansive growth)

Figure 5: The neoplastic cells are epithelioid and characterised by clear to granular, lightly eosinophilic cytoplasm and small, centrally located, round to oval nuclei(5A). Most epithelioid tumour cells were markedly immunoreactive for HMB45 (5 B), whereas SMA was focally positive(5C). Neoplastic HepPar cells were completely negative for IHC × 100 (5D).

 

Discussion

In recent years, there has been a noticeable rise in the awareness and diagnosis of PEComa, an infrequent type of mesenchymal tumour. The number of reported cases of this rare condition has steadily increased. This upward trend highlights the growing recognition of PEComa as a distinct entity within the realm of rare tumours. A PEComa is a rare mesenchymal tumour composed of histologically and immunohistochemically distinct PECs. Bonetti et al. introduced PECs as an "unusual atypical cell type" with perivascular distribution and simultaneous melanocytic and myoid differentiation in 1992 [‎4].  The term PEComa was initially introduced by Zamboni  [‎5,‎6,‎7]. PEComa can manifest at various anatomical sites, including the uterus, skin, and gastrointestinal tract. However, its occurrence in the liver is relatively rare. [‎8,‎9] .

According to the latest edition (5th edition) of the WHO 2020 classification, epithelioid AML is a synonym for PEComa [‎10].

Owing to the rarity of primary hepatic PEComa and its inconspicuous clinical presentation, its diagnosis poses a formidable challenge. From a clinical perspective, the reliable preoperative identification of hepatic lesions depends heavily on sophisticated imaging modalities. Notably, a considerable proportion of cases presenting as hepatic PEComa are misdiagnosed as other hepatocellular malignancies, particularly hepatocellular carcinoma (HCC), reflecting the intricate diagnostic landscape of this condition within the context of hepatic pathologies.

The primary challenge arises from the limited identification of the specific imaging characteristics of this condition, which can be attributed to its rarity. In the context of liver ultrasound examinations, computed tomography (CT) scans, and magnetic resonance imaging (MRI), it is not uncommon for tumors to be initially misidentified as hepatocellular carcinoma (HCC).‎[11,‎12] Fibrolamellar hepatocellular carcinomaFL-HCC) is typically a s singllargeatumour that r often displays distinctive features on magnetic resonance imaging (MRI). hyperintensity on T2-weighted MRI sequences, primarily due to the presence of fibrous tissue withithe tumouror, resulting in increased water content and signal intensity. FL-HCC also typically exhibits robust arterial enhancement, appearing brighter during the arterial phase of contrast-enhanced MRI owing to its rich blood supply. Moreover, FL-HCC tends to demonstrate delayed washout during the later phases of contrast-enhanced MRI, which distinguishes it from other liver lesions. Notably, a central fibrous scar is often observed within the tumour, appearing as a low-signal-intensity area on MRI, which is a hallmark feature of FL-HCC. FL-HCC usually develops in non-cirrhotic liver tissue, setting it apart from other hepatocellular carcinomas associated with cirrhotic changes.

 Due to the substantial histological diversity observed in hepatic PEComa, these tumours frequently deviate from displaying typical imaging characteristics. Ultrasonography commonly reveals a distinct round lesion that presents as hyperechoic in up to 90% of cases, often demonstrating marked vascularisation. In addition, the tumour does not show MR-specific features; it is usually hyperintense in T2-weighted images and hypointense in T1-weighted images, and may show restriction of water diffusion. A recently introduced technique, Contrast-enhanced ultrasonography (CEUS) utilizing Sonazoid, has emerged as a promising method for identifying PEComa noninvasively, thereby holding potential for facilitating its diagnosis [‎11]. in a recently published study by Gao, Xuedong et al. [‎12], This review analysed 11 cases of hepatic PEComa, focusing on the characteristics of imaging results, such as conventional ultrasound, CDFI, contrast-enhanced ultrasound (CEUS), and CECT. The results revealed hypodense lesions, hyperechoic patterns, abundant blood supply, clear margins, hyperechoic patterns, lateral shadows, large blood vessels, and enhancement patterns. These features may indicate expansive tumour growth and aid in the diagnosis of PEComa. Ultrasound imaging may provide additional details for clinical use.

 In our specific case, the patient presented with fever. Other reported symptoms include nausea, abdominal pain, indigestion, and loss of appetite. However, it is noteworthy that many patients either remain asymptomatic or manifest vague gastrointestinal symptoms. Furthermore, in certain instances, fever may even serve as the primary complaint. [‎13]

Krawczyk Marek, et al. found that on reviewing 20 PEComas, the vast majority were women, in most patients in literatures, the tumor is accidentally detected during ultrasound testing for other reasons. None of the patients had a history of parenchymal liver disease. Laboratory test results were normal. Serum AFP, carcinoembryonic antigen, and Ca 19-9 concentrations were also within the normal limits. [‎14].

Most PEComas exhibit benign characteristics; however, aggressive PEComas that demonstrate potentially invasive growth with malignant potential and metastatic risk have been reported. Malignant transformation is more likely with a tumour size >5 cm, infiltrative growth pattern, high nuclear grade, mitotic activity >1 per 50 high-power fields, and evidence of necrosis. [‎14‎,15]

Microscopically, the identification of epithelioid or spindle-shaped cells containing adipocytes is a suggestive indicator of disease. Further confirmation of the diagnosis involves the analysis of specific biomarkers, including HMB-45, Melan-A, and SMA. A novel marker, TFE3, is of recent interest because of its strong expression in 15% of PEComas, indicative of TFE3 gene rearrangements. However, our current knowledge of the molecular genetics underlying PEComas is limited. Notably, two distinct molecular groups have been discerned: one characterised by mutations in the TCS1 and TSC2 genes, and the other linked to TFE3 fusions, designated as TFE3-translocation associated PEComas. It is worth highlighting that TSC1 and TSC2  genes are involved in the negative regulation of mTOR activation. As a result, mTOR inhibitors have emerged as a potential palliative therapeutic strategy for PEComas, particularly in patients harbouring TSC mutations. [‎15‎,16].

Further exploration of the oncogenic role of TP53 in PEComa is warranted, as the exact mechanistic interactions remain to be fully elucidated. Intriguingly, there have been reported cases of liver PEComa diagnosis occurring concurrently within families afflicted by Li-Fraumeni syndrome. This intriguing association raises the possibility that TP53 alterations contribute to the pathogenesis of PEComa, highlighting the necessity for in-depth molecular investigations to unravel the intricate underlying pathways driving the initiation and progression of this uncommon mesenchymal neoplasm. [‎17]

Following the initial multidisciplinary discussion (MDT), the primary treatment option for the patient was liver transplantation. This decision was made based on the initial imaging findings, which raised the suspicion of fibrolamellar hepatocellular carcinoma (FL-HCC). Additionally, the patient's liver size was relatively small, indicating that extended right hemihepatectomy could potentially lead to a small future remnant liver size and pose challenges in preserving adequate liver function post-surgery. The possibility of FL-HCC and the concern about the small and inadequate future remnant liver (FRL) size led the MDT to lean towards liver transplantation as a curative option.

However, it is noteworthy that when the patient was prepared for liver transplant, a biopsy was ordered to confirm the diagnosis. The patient was a nurse and expressed strong reluctance to undergo a liver biopsy. She cited concerns and potential risks associated with the procedure

The case was re-evaluated considering additional clinical data and further investigation. Upon re-evaluation, it was noted that the patient had no underlying liver disease and had a normal liver background. Liver function test results, viral serology, and other laboratory results were within the normal range, indicating a healthy liver. This new information raised doubts about the initial diagnosis of FL-HCC and prompted the MDT to rediscuss the case. In the subsequent MDT meeting, we considered the patient's young age, previously healthy liver, and absence of underlying liver disease. Moreover, a thorough review of the imaging findings of the tumour was conducted. The decision to proceed with right hepatectomy while preserving the segment (IVA) was based on the feasibility and achievement of clear surgical margins. The decision to perform surgery was based on the results of the imaging studies. We assumed that the patients had indications for resection and that a biopsy would not change our decision since the patient was diagnosed with (FL-HCC). Based on the few reported cases, surgical intervention continues to be the optimal and successful approach for treating primary liver PEComa. Both anatomical and non-anatomical resections have demonstrated the ability to achieve clear margins and favourable outcomes. [‎16]

The patient underwent right hemihepatectomy with segment (IVA) preservation. It is noteworthy that although minimally invasive laparoscopic resection is a viable option for liver resections, our surgical team has experience with open surgical techniques. Therefore, we chose the open surgical approach, and liver function tests remained within normal limits, indicating that the preserved liver segments functioned well and effectively compensated for the resected portion. Laboratory investigations did not reveal any signs of liver dysfunction or other abnormalities. On the tenth day after surgery, the patient's condition significantly improved, and she was discharged from the hospital with a favourable prognosis.

The consideration of a watch-and-wait strategy has emerged in discussions regarding the management of diagnosed benign hepatic PEComa guided by contrast-enhanced ultrasonography (CEUS) modalities. Given the frequent misdiagnosis of PEComa as an alternative lesion and the limited utilisation of preoperative biopsies, it is important to acknowledge that we have limited long-term data about treating hepatic PEComas, especially when considering the watch-and-wait strategy. [‎18]

Systemic therapy is the treatment of choice in cases of disseminated malignant PEComas, considering the potential effectiveness of mTOR inhibitors [‎19]. There are very few reports on the nonsurgical treatment of patients with malignant liver PEComas. In rare situations, transarterial chemoembolisation and ablation are used. [‎20] These nonsurgical methods should be considered in cases in which surgery is contraindicated.

Since the prognosis of PEComa can be unpredictable, we will closely follow our patient over the long term, following our institution's guidelines for primary liver tumours.

 

Conclusion

To avoid misdiagnosis of rare tumours such as hepatic PEComa, a combination of clinical suspicion, tumour on normal liver, female sex, normal liver laboratory tests, advanced imaging techniques such as contrast-enhanced ultrasound (CEUS) and contrast-enhanced CT (CECT), immunohistochemistry, liver biopsy, multidisciplinary collaboration, and long-term follow-up are needed. Using these comprehensive strategies can improve diagnostic accuracy and treatment planning.

Reference

1.Algashaamy, Khaled, et al. “Liver Mesenchymal Neoplasms: Something Old, Something New.” Pathology, vol. 54, no. 2, Elsevier BV, Mar. 2022, pp. 225–35. [Crossref], https://doi.org/10.1016/j.pathol.2021.09.022.

2.Folpe AL, Mentzel T, Lehr HA, Fisher C, Balzer BL, Weiss SW. Perivascular epithelioid cell neoplasms of soft tissue and gynaecologic origin: A clinicopathologic study of 26 cases and review of the literature. Am J Surg Pathol. 2005;29(12):1558–75. doi: 10.1097/01.pas.0000173232.22117.37. [PubMed] [Crossruff] [Google Scholar]

3.Tirumani SH, Shinagare AB, Hargreaves J, Jagannathan JP, Hornick JL, Wagner AJ, et al. Imaging features of primary and metastatic malignant perivascular epithelioid cell tumours. AJR Am J Roentgenol. 2014; 202:252–8. [Google Scholar]

4.Bonetti F, Pea M, Martignoni G, et al. PEC and sugar. Am J Surg Pathol, 1992, 16: 307–308. [Article][ PubMed][ CAS][ Google Scholar

5.Zamboni G., Pea M., Martignoni G. Clear cell “sugar” tumor of the pancreas. A novel member of the family of lesions characterized by the presence of perivascular epithelioid cells. Am. J. Surg. Pathol. 1996;20(6):722–730. [PubMed] [Google Scholar] [Ref list]

6.Ameurtesse H, Chbani L, Bennani A, Toughrai I, Beggui N, Kamaoui I, et al. Primary perivascular epithelioid cell tumor of the liver: new case report and literature review. Diagn Pathol. 2014; 9:149. [Google Scholar]

7.Khaja F, Carilli A, Baidas S, Sriharan A, Norford S. PEComa: A perivascular epithelioid cell tumor in the liver-a case report and review of the literature. Case Rep Med. 2013;2013:904126.[Google Scholar]

8.Tan Y, Zhang H, Wang XC. Clear cell myomelanocytic tumor of the falciform ligament/ligamentum teres. Indian J Pathol. Microbiol. 2014;57:453–5.Article[Google Scholar]

9.Zhao LJ, Yang YJ, Wu H, Huang SM, Liu K. Perivascular epithelioid cell tumor of the liver: a case report and literature review. Eur Rev Med Pharmacol Sci. 2013;17:1665–8.PubMedGoogle Scholar

10.Doyle L.A., Argani P., Hornick J.L. World Health Organization Classification of Tumors of Soft Tissue and Bone. 5th ed. IARC Press; Lyon, France: 2020. PEComa; pp. 312–314. [Google Scholar] [Ref list]

11.Li, Chen, et al. “Sonazoid-enhanced Ultrasonography and Pathologic Characters of CD68 Positive Cell in Primary Hepatic Perivascular Epithelioid Cell Tumors: A Case Report and Literature Review.” Open Medicine, vol. 16, no. 1, Walter de Gruyter GmbH, Jan. 2021, pp. 737–41.  https://doi.org/10.515/med-2021-0275.[crossref]

12.Gao X, Tang H, Wang J, Yao Q, Wang H, Wang Y, Ma M, Yang W, Yan K, Wu W. Specific imaging features indicate the clinical features of patients with hepatic perivascular epithelioid cell tumor by comparative analysis of CT and ultrasound imaging. Front Oncol. 2022 Oct 17; 12:908189. doi: 10.3389/fonc.2022.908189. PMID: 36324566; PMCID: PMC9618795. [ Crossref]

13.Song Z, Xu F, Dai C. Chills and fever as the first presentation of hepatic perivascular epithelioid cell tumor. Hepatobiliary Surg Nutr. 2019;8(4):436-438. doi:10.21037/hbsn.2019.07.03[PMC]

14.Krawczyk, M., Ziarkiewicz-Wróblewska, B., Wróblewski, T., Podgórska, J., Grzybowski, J., Gierej, B., Krawczyk, P., Nyckowski, P., Kornasiewicz, O., Patkowski, W., Remiszewski, P., Zaj?c, K., & Gr?t, M. (2021). PEComa-A Rare Liver Tumor. Journal of clinical medicine10(8), 1756. https://doi.org/10.3390/jcm10081756[ Crossref],.

15.Yang X, Wang Q, Zhou X, Zhou H, Jia W, Hu C, Chu J, Kong L. Retrospective analysis of hepatic perivascular epithelioid cell tumour (PEComa) in a single centre for clinical diagnosis and treatment clinical diagnosis and treatment of hepatic PEComa. Medicine (Baltimore). 2022 Jun 24;101(25):e29506. doi: 10.1097/MD.0000000000029506 [PMC]

16.Chen, Zehong, et al. “A Systematic Review.” Medicine, vol. 95, no. 28, Ovid Technologies (Wolters Kluwer Health), July 2016, p. e3890. https://doi.org/10.1097/md.0000000000003890. [Crossref]

17.Galera López MDM, Márquez Rodas I, Agra Pujol C, García Pérez Á, Velasco Sánchez E, Álvarez Álvarez R. Simultaneous diagnosis of liver PEComa in a family with known Li-Fraumeni syndrome: a case report. Clin Sarcoma Res. 2020 Nov 24;10(1):24. doi: 10.1186/s13569-020-00143-7. [pubmed],[CrossRef]

18.Matrood S, Görg C, Safai Zadeh E, Alhyari A. Hepatic perivascular epithelioid cell tumor (PEComa): contrast-enhanced ultrasound (CEUS) characteristics-a case report and literature review. Clin J Gastroenterol. 2023 Jun;16(3):444-449. doi: 10.1007/s12328-023-01779-w. Epub 2023 Mar 25. [PMC free article ]

19.Italiano A., Delcambre C., Hostein I., Cazeau A.L., Marty M., Avril A., Coindre J.M., Bui B. Treatment with the mTOR inhibitor temsirolimus in patients with malignant PEComa. Ann. Oncol. 2010; 21:1135–1137. doi: 10.1093/annonc/mdq044. [PubMed] [CrossRef] [Google Scholar]

20.Guan H., Zou Y., Lv Y., Wang C. Hepatic perivascular epithelioid cell tumor treated by transarterial embolization plus radiofrequency ablation: A case report and literature review. Medicine. 2017;96: e6969. doi: 10.1097/MD.0000000000006969. [PMC free article] [PubMed] [CrossRef] [Google Scholar] [Ref list]

Figure 1

Figure 2

Figure 3

Figure 4

Figure 5

antarmuka fokus mahjong daya pengguna aktifaws grid serasi mahjong dasar tahapan terjagaaws jejak mekanisme mahjong arah fase lanjutanaws kajian wild berantai mahjong interaktif analitisaws kesesuaian persentase layanan mahjong seluler lanceraws pendalaman persentase mahjong gerak wild mutakhircorak langka mahjong tumbuh perlahan berubahgerak mahjong adaptasi mekanisme pemakai sekarangnalar scatter mahjong malam putaran ekstratempo mahjong kaitan mekanisme keadaan terkinialur permainan mahjong cepat scatter wilddalam hitungan detik scatter wild mahjongmenyatukan naluri pola scatter hitam mahjongmomen mahjong permainan berbalik arahmomen singkat mahjong dinamika permainanperpaduan insting pola scatter hitam momentperubahan drastis mahjong ways scatter wildscatter wild mahjong datang polasekejap berubah scatter wild mahjong wayssensasi baru mahjong lebih scatter wildenergi scatter emas irama reel mahjongevolusi reel mahjong balutan mistisintervensi cepat emas momentum lamakemunculan mendadak naga emas mahjongketika scatter naga emas aktif mahjongnaga emas muncul arah spin mahjongnaga emas ritme mahjong ways berubahrahasia rtp tinggi balik scatter hitamsaat scatter naga emas alih irama reelscatter hitam kunci lonjakan rtp mahjonge5 scatter wild memberikan sentuhan baru di setiap spin mahjong ways 2e5 scatter wild menghidupkan suasana permainan mahjong ways 2e5 scatter wild mengubah pola permainan mahjong ways 2 secara signifikane5 setiap putaran mahjong ways 2 terasa berbeda dengan scatter wilde5 strategi adaptif berbasis analisis rtp hariane5 strategi berbasis data dan algoritma untuk analisis momentume5 strategi berkembang berkat data rtp hariane5 strategi memahami algoritma untuk mengidentifikasi momentum ideale5 strategi membaca pola algoritma demi menangkap momentum optimale5 strategi modern mengandalkan evaluasi rtp hariane5 strategi responsif dengan dukungan evaluasi rtp hariane5 strategi terukur dengan analisis rtp hariane5 struktur scatter dan wild terlihat jelas berkat analisis sistem moderne5 tanpa disadari kombinasi ini sering mengarah ke scatter di mahjong wins 3e5 teknik evaluasi algoritma untuk mendapatkan momentum yang tepate5 teknik observasi sistem untuk analisis momentum yang lebih presisie5 terungkap formasi ini sering jadi awal munculnya scatter di mahjong wins 3e5 transformasi digital rtp live berkat artificial intelligence inovatife5 transformasi ritme mahjong ways 2 dipicu oleh kekuatan scatter wilde5 wajib tahu pola tersembunyi ini sering menghasilkan scattere5 applee5 bananae5 candye5 doge5 eaglee5 falcone5 geminie5 horsee5 indiae5 japananalisa pola mahjong ways rutinanalisis kinerja heuristik variansi gameanalisis pola mahjong ways hariananalisis pola mahjong ways kebiasaanera baru mahjong wins bonus optimalgebrakan bonus mahjong wins mekanisme efisieninsight pola mahjong ways rutinkajian pola mahjong ways rutinkomparasi heuristik variansi game digitalledakan bonus mahjong wins sistem efektifmahjong wins bonus sistem generasi baruobservasi pola mahjong ways harianpendekatan algoritma heuristik variansi gameperbandingan model heuristik variansi gamerahasia bonus mahjong wins sistem cerdasrangkuman pola mahjong ways harianringkasan pola mahjong ways harianstudi pola mahjong ways hariantinjauan heuristik variansi game digitaltinjauan pola mahjong ways harianalur sombol mahjong kemunculan scatterdari rtp mahjong bermain lebih efektifjejak scatter mahjong putaran tenangkejutan scatter wild simbol mahjong arahkemunculan simbol ganda membuat mahjongketika grid mahjong scatter semakin dekatketika rtp mahjong pola mulai lebih jelasketika scatter wild ritme simbol mahjongketika scatter wild titik sesi mahjong waysketika susunan simbol mahjong ritme scattermemahami rtp mahjong cara bermain lebihpergerakan simbol mahjong scatter wildpergeseran mahjong ketika scatter hadirsaat rtp mahjong terbaca baik strategisaat scatter hadir simbol mahjong bergeserscatter wild dinamika simbol mahjongstabilitas putaran mahjong pola scattersusunan baru reel mahjong scatter emassusunan mahjong wins mengandung scattersusunan simbol mahjong diam pola scatterrm menguak keunikan mahjong wins sudut pandang teknisrm cara memahami pergerakan mahjong ways tenaga ekstrarm mahjong wins standar baru industri hiburan digitalrm rahasia ketahanan mahjong ways eksis gempuran gamerm pentingnya memahami transisi level mahjong wins mendalamrm strategi mengatur tempo mahjong ways kendali permainanrm peran kecerdasan buatan mekanisme mahjong wins adilrm alasan keberhasilan mahjong ways mencuri perhatian analisrm mempelajari struktur dasar mahjong wins efisiensi putaranrm inovasi desain mahjong ways kesan bermain responsifrm teknik observasi mahjong wins jarang dibahas dampakrm cara mempertahankan fokus dinamika mahjong ways cepatrm eksplorasi fitur tersembunyi mahjong wins ritme terbaikrm mahjong ways integrasi teknologi modern keamanan nyamanrm analisis faktor pendukung mahjong wins digemari generasirm langkah efektif menyesuaikan perubahan sistem mahjong waysrm mengintip proses pengembangan mahjong wins kualitas penggunarm analisis data membantu membaca arah mahjong waysrm menemukan titik temu insting logika mahjong winsrm transformasi besar mahjong ways menghadirkan tantangan menarikmengungkap simbol langka nasib drastismisteri besar kombinasi simbol langkamisteri simbol langka keberuntungan besarsimbol langka misterius ubah hiduprahasia simbol langka nasib cepattransformasi bonus mahjong wins sistem efektifmahjong wins suguhkan bonus sistem modernsuguhan bonus efisien mahjong winsefektivitas sistem bonus mahjong winsmahjong wins hadirkan bonus sistem optimaloke76cincinbetaqua365slot gacorstc76samurai76TOBA1131samurai76 login