ST Elevation Durind Stresstest-a Stressfull Time for the Clinician.

ST Elevation Durind Stresstest-a Stressfull Time for the Clinician.

Shaju Padman Panattil*1, Priya  Muralidharan2, Anandu Rajendran3, Durga Prasad4, Prashanth Panduranga5.

*Correspondence to: Dr. Shaju Padman Panattil, NMC Speciality Hospital.

P O Box 613, PC 133, Al Ghoubra, Muscat, Sultanate of Oman.

Copyright

© 2023 Shaju Padman Panattil. This is an open access article distributed under the Creative Commons Attribution License, which permits unrestricted use, distribution, and reproduction in any medium, provided the original work is properly cited.

Received: 07 December 2023

Published: 30 December 2023


Abstract

Transient ST elevation during stress test can be associated with severe coronary artery disease. Here we report a patient with severe coronary artery disease who presented with significant reversible ST elevation during treadmill testing.


ST Elevation Durind Stresstest-a Stressfull Time for the Clinician.

Introduction

Transient ST elevation can occur stress testing. Most of the patients have severe coronary artery disease. However exercise induced ST elevation has also been reported secondary to coronary spasm. Coronary slow flow -also called Cardiac syndrome Y have been reported in patient with exercise induced ST elevation. Here we present a patient without any cardiac risk factors,who developed reversible ST elevation on stress test.


Case Report

A 42 year old male with no cardiac risk factors presented with exertional angina class 2 since 3 weeks.

His ECG and cardiac enzymes were normal.

His echocardiogram was also normal.

However his Treadmill Test was strongly positive for inducible ischaemia.

He developed ST elevation in lead 3,avf,along with ST depression 1,AVL,V3-V5.

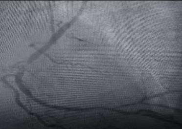
Coronary angiogram was performed.

Right coronary artery had mid 95% stenosis followed by RPL with osteoproximal 80% stenosis.RPL was a short vessel.

He underwent PTCA to RCA with DES (3 /16 mm) with good results.

He was asymptomatic on followup.

 

Figure 1

Figure 2: ST elevation TMT report

 

Discussion

The incidence of acute ST elevation during treadmill test is 0.78% in those without prior history of myocardial infarction. This is often associated with critical coronary obstruction. ST elevation during stress test has also been reported secondary to acute severe rise in pulmonary pressure and RV dilatation. ST elevation in AVR can be associated with left main stenosis. Without pathological q waves exercise induced ST elevation indicates significant proximal coronary stenosis or epicardial coronary spasm. When pathological q waves are present exercise induced ST elevation is usually indicative of LV aneurysm.

 

Conclusion

Exercise induced ST elevation is an important finding during stress test which can signify significant coronary artery disease.


Reference

1.Arteriographic correlation in 38 patients Am J Cardiol 1980.45(4);762-8.

2.Speechia et al Significance of exercise induced ST elevation in patients without myocardial infarction.Circulation 1981;63;46-53.

3.Celik T, Iyisoy A, Kursaklioglu H, Yuksel C, Turhan H, Isik E. ST elevation during treadmill exercise test in a young patient with slow coronary flow: a case report and review of literature. Int J Cardiol. 2006 Sep 20;112(2):e1-4.

4.Murphy JC, Scott PJ, Shannon HJ, Glover B, Dougan J, Walsh SJ, Adgey AA. ST elevation on the exercise ECG in patients presenting with chest pain and no prior history of myocardial infarction. Heart. 2009;95:1792 7.

5.Chahine RA, Raizner AE, Ishimori T. The clinical significance of exercise-induced ST-segment elevation. Circulation. 1976;54:209 13.

6.Nguyen TH, Clavijo LC, Naqvi TZ. Acute ST segment elevation during exercise stress echocardiography due to severe pulmonary hypertension. Cardiovasc Ultrasound. 2011 Jun 6;9:18. doi: 10.1186/1476-7120-9-18.

7 .Ghaffori S et al- Predictive value of exercise stress test induced ST segment changes in lead V1 and AVR in determining angiographic coronary involvement. Ann.Non invasive electrocardiol.2017;22;e12370.

8.Libby,Bonow et al Braunwalds Heart Disease-a text book of cardiovascular medicine 12th edition page-183. 

Figure 1

Figure 2

antarmuka fokus mahjong daya pengguna aktifaws grid serasi mahjong dasar tahapan terjagaaws jejak mekanisme mahjong arah fase lanjutanaws kajian wild berantai mahjong interaktif analitisaws kesesuaian persentase layanan mahjong seluler lanceraws pendalaman persentase mahjong gerak wild mutakhircorak langka mahjong tumbuh perlahan berubahgerak mahjong adaptasi mekanisme pemakai sekarangnalar scatter mahjong malam putaran ekstratempo mahjong kaitan mekanisme keadaan terkinialur permainan mahjong cepat scatter wilddalam hitungan detik scatter wild mahjongmenyatukan naluri pola scatter hitam mahjongmomen mahjong permainan berbalik arahmomen singkat mahjong dinamika permainanperpaduan insting pola scatter hitam momentperubahan drastis mahjong ways scatter wildscatter wild mahjong datang polasekejap berubah scatter wild mahjong wayssensasi baru mahjong lebih scatter wildenergi scatter emas irama reel mahjongevolusi reel mahjong balutan mistisintervensi cepat emas momentum lamakemunculan mendadak naga emas mahjongketika scatter naga emas aktif mahjongnaga emas muncul arah spin mahjongnaga emas ritme mahjong ways berubahrahasia rtp tinggi balik scatter hitamsaat scatter naga emas alih irama reelscatter hitam kunci lonjakan rtp mahjonge5 scatter wild memberikan sentuhan baru di setiap spin mahjong ways 2e5 scatter wild menghidupkan suasana permainan mahjong ways 2e5 scatter wild mengubah pola permainan mahjong ways 2 secara signifikane5 setiap putaran mahjong ways 2 terasa berbeda dengan scatter wilde5 strategi adaptif berbasis analisis rtp hariane5 strategi berbasis data dan algoritma untuk analisis momentume5 strategi berkembang berkat data rtp hariane5 strategi memahami algoritma untuk mengidentifikasi momentum ideale5 strategi membaca pola algoritma demi menangkap momentum optimale5 strategi modern mengandalkan evaluasi rtp hariane5 strategi responsif dengan dukungan evaluasi rtp hariane5 strategi terukur dengan analisis rtp hariane5 struktur scatter dan wild terlihat jelas berkat analisis sistem moderne5 tanpa disadari kombinasi ini sering mengarah ke scatter di mahjong wins 3e5 teknik evaluasi algoritma untuk mendapatkan momentum yang tepate5 teknik observasi sistem untuk analisis momentum yang lebih presisie5 terungkap formasi ini sering jadi awal munculnya scatter di mahjong wins 3e5 transformasi digital rtp live berkat artificial intelligence inovatife5 transformasi ritme mahjong ways 2 dipicu oleh kekuatan scatter wilde5 wajib tahu pola tersembunyi ini sering menghasilkan scattere5 applee5 bananae5 candye5 doge5 eaglee5 falcone5 geminie5 horsee5 indiae5 japananalisa pola mahjong ways rutinanalisis kinerja heuristik variansi gameanalisis pola mahjong ways hariananalisis pola mahjong ways kebiasaanera baru mahjong wins bonus optimalgebrakan bonus mahjong wins mekanisme efisieninsight pola mahjong ways rutinkajian pola mahjong ways rutinkomparasi heuristik variansi game digitalledakan bonus mahjong wins sistem efektifmahjong wins bonus sistem generasi baruobservasi pola mahjong ways harianpendekatan algoritma heuristik variansi gameperbandingan model heuristik variansi gamerahasia bonus mahjong wins sistem cerdasrangkuman pola mahjong ways harianringkasan pola mahjong ways harianstudi pola mahjong ways hariantinjauan heuristik variansi game digitaltinjauan pola mahjong ways harianalur sombol mahjong kemunculan scatterdari rtp mahjong bermain lebih efektifjejak scatter mahjong putaran tenangkejutan scatter wild simbol mahjong arahkemunculan simbol ganda membuat mahjongketika grid mahjong scatter semakin dekatketika rtp mahjong pola mulai lebih jelasketika scatter wild ritme simbol mahjongketika scatter wild titik sesi mahjong waysketika susunan simbol mahjong ritme scattermemahami rtp mahjong cara bermain lebihpergerakan simbol mahjong scatter wildpergeseran mahjong ketika scatter hadirsaat rtp mahjong terbaca baik strategisaat scatter hadir simbol mahjong bergeserscatter wild dinamika simbol mahjongstabilitas putaran mahjong pola scattersusunan baru reel mahjong scatter emassusunan mahjong wins mengandung scattersusunan simbol mahjong diam pola scatterrm menguak keunikan mahjong wins sudut pandang teknisrm cara memahami pergerakan mahjong ways tenaga ekstrarm mahjong wins standar baru industri hiburan digitalrm rahasia ketahanan mahjong ways eksis gempuran gamerm pentingnya memahami transisi level mahjong wins mendalamrm strategi mengatur tempo mahjong ways kendali permainanrm peran kecerdasan buatan mekanisme mahjong wins adilrm alasan keberhasilan mahjong ways mencuri perhatian analisrm mempelajari struktur dasar mahjong wins efisiensi putaranrm inovasi desain mahjong ways kesan bermain responsifrm teknik observasi mahjong wins jarang dibahas dampakrm cara mempertahankan fokus dinamika mahjong ways cepatrm eksplorasi fitur tersembunyi mahjong wins ritme terbaikrm mahjong ways integrasi teknologi modern keamanan nyamanrm analisis faktor pendukung mahjong wins digemari generasirm langkah efektif menyesuaikan perubahan sistem mahjong waysrm mengintip proses pengembangan mahjong wins kualitas penggunarm analisis data membantu membaca arah mahjong waysrm menemukan titik temu insting logika mahjong winsrm transformasi besar mahjong ways menghadirkan tantangan menarikmengungkap simbol langka nasib drastismisteri besar kombinasi simbol langkamisteri simbol langka keberuntungan besarsimbol langka misterius ubah hiduprahasia simbol langka nasib cepattransformasi bonus mahjong wins sistem efektifmahjong wins suguhkan bonus sistem modernsuguhan bonus efisien mahjong winsefektivitas sistem bonus mahjong winsmahjong wins hadirkan bonus sistem optimaloke76cincinbetaqua365slot gacorstc76samurai76TOBA1131samurai76 login