Paratesticular Leiomyosarcoma: A Rare Clinical Case Report

Paratesticular Leiomyosarcoma: A Rare Clinical Case Report

Dr Jyotsana Goyal*1, Dr Suraga Belakawadi1 , Dr Jivan Jyoti Mishra2, Dr Siddharth Jain3

1. M.Ch Resident, Department of Surgical Oncology, AHRCC, Cuttack, Odisha, India

2. Assistant Surgeon, M.Ch Urology, Department of Surgical Oncology, AHRCC, Cuttack, Odisha, India

3. Dr NB Resident, Department of Surgical Oncology, Basavatarakam Indo American Cancer Hospital, Hyderabad, Telangana, India

*Correspondence to: Dr Jyotsana Goyal, 9099980071, jyotsanagoyal@gmail.com

Copyright

© 2024 Dr Jyotsana Goyal. This is an open access article distributed under the Creative Commons Attribution License, which permits unrestricted use, distribution, and reproduction in any medium, provided the original work is properly cited.

Received: 28 December 2023

Published: 08 January 2024


ABSTRACT

Sarcomas of the genitourinary tract are uncommon and represent only 1–2% of all urological malignancies. Primary sarcomas of the paratesticular tissue are very uncommon; types can be liposarcoma, leiomyosarcoma, rhabdomyosarcoma. Paratesticular LMS can arise from smooth muscle structures such as the wall of the epididymis or vas deferens, the cremaster muscle or the contractile tissues of the tunica Here, we report a case of 56 year old man, who underwent left Inguinal hernia repair with left orchidectomy 5 months back at other hospital, and then presented to us with left scrotal swelling for the 3 months duration with left inguinal scar with Ultrasound  scrotum showing heterogenous soild necrotic mass in left scrotum of size 56*52 mm with internal vascularity.

Biopsy report from earlier surgery suggested tumour cell infiltrate in cord margin, likely undifferentiated pleomorphic sarcoma of paratesticular site. Hence, patient was diagnosed as likely paratesticular leiomyosarcoma and underwent radical excision of mass with left hemiscrotectomy. Diagnosis confirmed on histopathology and immunohistochemistry. Post operative period was uneventful. After multidisciplinary discussion, patient was kept on observation. Presently, patient is asymptomatic, disease free and in regular follow up since last 3 years.

Keywords: Sarcomas, leiomyosarcoma, paratesticular


Paratesticular Leiomyosarcoma: A Rare Clinical Case Report

Introduction

Sarcomas of the genitourinary tract are uncommon and represent only 1–2% of all urological malignancies [1]. Primary sarcomas of the paratesticular tissue are very uncommon; types can be liposarcoma, leiomyosarcoma, rhabdomyosarcoma. Paratesticular LMS can arise from smooth muscle structures such as the wall of the epididymis or vas deferens, the cremaster muscle or the contractile tissues of the tunica[2]. Cases present with a painful or painless scrotal mass or swelling, occasionally accompanied by a hydrocele, majority in 6th decade. For further characterization between benign and malignant and site of origin, imaging is required. Ultrasound scrotum is the first investigation. Poorly defined, disorganised soild masses with heterogeneity and hypervasularity are features seen on ultrasonography favouring malignancy; however the features between benign and malignant lesions often overlap. MRI can be used in equivocal cases. CT Thorax, abdomen and pelvis is used for metastatic work up. The treatment of paratesticular tumours is surgical resection, involves performing a radical inguinal orchidectomy with resection of surrounding tissue as well as high ligation of the spermatic cord at the external inguinal ring[3]. Hemiscrotectomy, in cases where scrotal skin is involved, or a previous operative scar is present, should be performed. Tumour sizes, proximity to the inguinal canal and positive surgical margins have been implicated in local recurrence whereas histological grade has minimum impact on it. Definitive diagnosis is determined by histological evaluation and immunohistochemistry. The role of retroperitoneal lymph node dissection has been debated. RPLND is rarely required in liposarcomas and leiomyosarcomas, as they spread and recur by direct invasion. Except for in patients with local recurrence and in high grade rhabdomyosarcoma, adjuvant therapy with chemotherapy and radiotherapy showed little efficacy and definite advantage is not proved. Because of the high recurrence rate, prolonged follow up is recommended. 5 year cancer free survival ranges from approximately 60-80%. The 10 and 15 year overall survival rates are 63% and 52% respectively with local recurrence being the main failure pattern.

 

Abbreviations

LMS: Leiomyosarcoma, CT: Computed Tomography, HCG: human choriogonadotropin, LDH: lactate dehydrogenase, USG: Ultrasonogram, LVSI: lymphovasular space invasion, RPLND: retroperitoneal lymph node dissection

 

Materials and Methods

We report a case of 56 year old man, who underwent left Inguinal hernia repair with left orchidectomy 5 months back at other hospital, and then presented to us with left scrotal swelling for the 3 months duration with left inguinal scar.

On examination, 9*8cm hard, irregular, non tender mass was palpable in left scrotum with focal skin fixity, with no palpable cord. Right testis and external genitalia was normal. Left inguinal scar was visible, with no inguinal or other lymphadenopathy.

Biopsy report from earlier surgery suggested tumour cell infiltrate in cord margin, likely undifferentiated pleomorphic sarcoma of paratesticular site. No previous preoperative imaging reports were available.

Patient underwent preoperative CT chest abdomen pelvis suggestive of no lymphadenopathy or distant metastasis, tumour markers including serum alpha fetoprotein, beta hcg and LDH levels were within normal limits and USG scrotum showed heterogenous soild necrotic mass in left scrotum of size 56*52 mm with internal vascularity.

Patient underwent radical excision of mass with left hemiscrotectomy

Fig.1: Mass in Left Hemiscrotum

Fig.2: Cut Section of left hemiscrotum mass

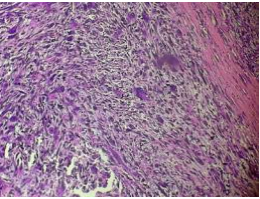
Fig 3. Myxoid Matrix

Fig.4 Pleomorphism

Fig.5 Interlacing fascicles

 

Results

Post operative period was uneventful. Final histopathology report was suggestive of: tumor type: pleomorphic sarcoma, paratesticular, high grade (FNCLCC score 6), LVSI negative with free margins and no skin involvement. On IHC, tumour cells were immunopositive for desmin, SMA(focally), CK (focally),and negative for CD34, MDM2 and CD68, making the final diagnosis of leiomyosarcoma. Multidisciplinary discussion was done and it was decided to keep patient on observation .

Patient is asymptomatic, disease free and on regular follow up since last 3 years.

 

Discussion

The paratesticular region is composed of Rete testis, efferent ductules, epididymis, vas deferens (ductus deferens), testicular tunics and spermatic cord. From the literature, liposarcomas are the most prevalent malignant neoplasms of the paratesticular area [4]. Spermatic cord LMS is a rare non-testicular neoplasia that appears in the sixth or seventh decade of life. The clinicopathologic characteristics of these neoplasms are poorly understood; tumour grade appears to be the most significant prognostic factor, and it has been linked to both distant metastases and local recurrence [5,6] Paratesticular leiomyosarcoma typically manifests physically as a firm, nontender, painless mass in the scrotum , independent from testis. The primary imaging modality for evaluating a scrotal mass is scrotal ultrasound, which can also be used to rule out a number of differential diagnoses like hydrocele, cysts, and epididymitis and distinguish between extratesticular and intratesticular lesions [7]. However, preoperative diagnosis is still challenging in the absence of specific imaging features, and a histological examination of the removed specimen is necessary for a conclusive diagnosis [8]. Owing to the uncommon nature of these cancers, there is conflicting information in the literature regarding the best course of treatment. Nonetheless, the majority of authors suggest that the standard procedure be a radical orchidectomy with high spermatic cord ligation [9]. In a group of 101 patients, Banowsky et al. looked into the significance of extensive retroperitoneal nodal dissection. There was no reported survival benefit [10] . Role of adjuvant treatment also remains controversial. The management of soft tissue sarcoma has not demonstrated a strong indication of benefit from systemic therapy, with the exception of paediatric rhabdomyosarcoma [11]. With paratesticular sarcomas, adjuvant chemotherapy has thus seldom been considered. The results regarding adjuvant radiotherapy have also been inconsistent.  Sarcomas of all grades have tendency to infiltrate local tissues, so recurrences are also common with scrotal recurrence rates reaching 25–37% [12]. Concerning paratesticular sarcomas, Coleman and co-researchers found no observed therapeutic advantages from adjuvant radiation therapy across the 21 patients they retrospectively studied [13]. However, in a more recent study, Cerda and fellow researchers observed a complete absence of recurring disease, reaching 100%, after applying locoregional irradiation specifically for spermatic cord sarcomas [14]. But limitation of these findings is the limited number of patients involved, which impacts the strength of the conclusions. Overall, 5 year cancer-free survival ranges from approximately 60–80% [15]. Reportedly, the 10-year and 15-year overall survival rates stand at 63% and 52%, respectively, with local recurrence emerging as the primary pattern of failure observed[16]. Recurrences have seen even after several years of treatment, so long term follow up is recommended.

In the present case, patient underwent radical excision of mass with left hemiscrotectomy. No adjuvant treatment was given and patient is kept on regular follow up.

 

Conclusion

Paratesticular leiomyosarcoma is a rare entity, and requires  histological and immunohistochemical results for diagnosis. Surgical management of these tumours is the main stay and involves radical resection with high spermatic cord ligation and possible hemiscrotectomy. Because of high recurrence rate, prolonged follow up is recommended and should include clinical observation and imaging as clinically indicated.

 

Competing interests

The authors declare that there are no competing interests regarding the publication of this paper.

Figure 1

Figure 2

Figure 3

Figure 4

Figure 5

antarmuka fokus mahjong daya pengguna aktifaws grid serasi mahjong dasar tahapan terjagaaws jejak mekanisme mahjong arah fase lanjutanaws kajian wild berantai mahjong interaktif analitisaws kesesuaian persentase layanan mahjong seluler lanceraws pendalaman persentase mahjong gerak wild mutakhircorak langka mahjong tumbuh perlahan berubahgerak mahjong adaptasi mekanisme pemakai sekarangnalar scatter mahjong malam putaran ekstratempo mahjong kaitan mekanisme keadaan terkinialur permainan mahjong cepat scatter wilddalam hitungan detik scatter wild mahjongmenyatukan naluri pola scatter hitam mahjongmomen mahjong permainan berbalik arahmomen singkat mahjong dinamika permainanperpaduan insting pola scatter hitam momentperubahan drastis mahjong ways scatter wildscatter wild mahjong datang polasekejap berubah scatter wild mahjong wayssensasi baru mahjong lebih scatter wildenergi scatter emas irama reel mahjongevolusi reel mahjong balutan mistisintervensi cepat emas momentum lamakemunculan mendadak naga emas mahjongketika scatter naga emas aktif mahjongnaga emas muncul arah spin mahjongnaga emas ritme mahjong ways berubahrahasia rtp tinggi balik scatter hitamsaat scatter naga emas alih irama reelscatter hitam kunci lonjakan rtp mahjonge5 scatter wild memberikan sentuhan baru di setiap spin mahjong ways 2e5 scatter wild menghidupkan suasana permainan mahjong ways 2e5 scatter wild mengubah pola permainan mahjong ways 2 secara signifikane5 setiap putaran mahjong ways 2 terasa berbeda dengan scatter wilde5 strategi adaptif berbasis analisis rtp hariane5 strategi berbasis data dan algoritma untuk analisis momentume5 strategi berkembang berkat data rtp hariane5 strategi memahami algoritma untuk mengidentifikasi momentum ideale5 strategi membaca pola algoritma demi menangkap momentum optimale5 strategi modern mengandalkan evaluasi rtp hariane5 strategi responsif dengan dukungan evaluasi rtp hariane5 strategi terukur dengan analisis rtp hariane5 struktur scatter dan wild terlihat jelas berkat analisis sistem moderne5 tanpa disadari kombinasi ini sering mengarah ke scatter di mahjong wins 3e5 teknik evaluasi algoritma untuk mendapatkan momentum yang tepate5 teknik observasi sistem untuk analisis momentum yang lebih presisie5 terungkap formasi ini sering jadi awal munculnya scatter di mahjong wins 3e5 transformasi digital rtp live berkat artificial intelligence inovatife5 transformasi ritme mahjong ways 2 dipicu oleh kekuatan scatter wilde5 wajib tahu pola tersembunyi ini sering menghasilkan scattere5 applee5 bananae5 candye5 doge5 eaglee5 falcone5 geminie5 horsee5 indiae5 japananalisa pola mahjong ways rutinanalisis kinerja heuristik variansi gameanalisis pola mahjong ways hariananalisis pola mahjong ways kebiasaanera baru mahjong wins bonus optimalgebrakan bonus mahjong wins mekanisme efisieninsight pola mahjong ways rutinkajian pola mahjong ways rutinkomparasi heuristik variansi game digitalledakan bonus mahjong wins sistem efektifmahjong wins bonus sistem generasi baruobservasi pola mahjong ways harianpendekatan algoritma heuristik variansi gameperbandingan model heuristik variansi gamerahasia bonus mahjong wins sistem cerdasrangkuman pola mahjong ways harianringkasan pola mahjong ways harianstudi pola mahjong ways hariantinjauan heuristik variansi game digitaltinjauan pola mahjong ways harianalur sombol mahjong kemunculan scatterdari rtp mahjong bermain lebih efektifjejak scatter mahjong putaran tenangkejutan scatter wild simbol mahjong arahkemunculan simbol ganda membuat mahjongketika grid mahjong scatter semakin dekatketika rtp mahjong pola mulai lebih jelasketika scatter wild ritme simbol mahjongketika scatter wild titik sesi mahjong waysketika susunan simbol mahjong ritme scattermemahami rtp mahjong cara bermain lebihpergerakan simbol mahjong scatter wildpergeseran mahjong ketika scatter hadirsaat rtp mahjong terbaca baik strategisaat scatter hadir simbol mahjong bergeserscatter wild dinamika simbol mahjongstabilitas putaran mahjong pola scattersusunan baru reel mahjong scatter emassusunan mahjong wins mengandung scattersusunan simbol mahjong diam pola scatterrm menguak keunikan mahjong wins sudut pandang teknisrm cara memahami pergerakan mahjong ways tenaga ekstrarm mahjong wins standar baru industri hiburan digitalrm rahasia ketahanan mahjong ways eksis gempuran gamerm pentingnya memahami transisi level mahjong wins mendalamrm strategi mengatur tempo mahjong ways kendali permainanrm peran kecerdasan buatan mekanisme mahjong wins adilrm alasan keberhasilan mahjong ways mencuri perhatian analisrm mempelajari struktur dasar mahjong wins efisiensi putaranrm inovasi desain mahjong ways kesan bermain responsifrm teknik observasi mahjong wins jarang dibahas dampakrm cara mempertahankan fokus dinamika mahjong ways cepatrm eksplorasi fitur tersembunyi mahjong wins ritme terbaikrm mahjong ways integrasi teknologi modern keamanan nyamanrm analisis faktor pendukung mahjong wins digemari generasirm langkah efektif menyesuaikan perubahan sistem mahjong waysrm mengintip proses pengembangan mahjong wins kualitas penggunarm analisis data membantu membaca arah mahjong waysrm menemukan titik temu insting logika mahjong winsrm transformasi besar mahjong ways menghadirkan tantangan menarikmengungkap simbol langka nasib drastismisteri besar kombinasi simbol langkamisteri simbol langka keberuntungan besarsimbol langka misterius ubah hiduprahasia simbol langka nasib cepattransformasi bonus mahjong wins sistem efektifmahjong wins suguhkan bonus sistem modernsuguhan bonus efisien mahjong winsefektivitas sistem bonus mahjong winsmahjong wins hadirkan bonus sistem optimaloke76cincinbetaqua365slot gacorstc76samurai76TOBA1131samurai76 login