Surgical Resection of a Large Prolapsed Sigmoid Colon Polyp with Colonoscopic Assistance

Surgical Resection of a Large Prolapsed Sigmoid Colon Polyp with Colonoscopic Assistance

Okoli, Fidelis, M.D.1; Golfeyz, Shmuel, M.D.2; Albert, Joel, M.D.2; Mayer, Ira, M.D., FACP, FACG, AGAF, NYSGEF.2

1. Division of Gastroenterology, Hepatology and Nutrition, Department of Internal Medicine, New York University Langone Hospital, Long Island, New York.

2. Division of Gastroenterology and Hepatology, Maimonides Medical Center, Brooklyn, New York.

*Correspondence to: Okoli, Fidelis, M.D, Email Address: okoli.fidel@gmail.com

Copyright

© 2024 Okoli, Fidelis, M.D. This is an open access article distributed under the Creative Commons Attribution License, which permits unrestricted use, distribution, and reproduction in any medium, provided the original work is properly cited.

Received: 21 December 2023

Published: 17 January 2024

Abstract

Although colorectal lipomas are the second most common benign tumors in the colon, they are uncommonly seen in clinical practice. Lipomas are typically asymptomatic and incidentally found during colonoscopy or on radiological imaging. Symptomatic lipomas are usually larger than two centimeters and can present with abdominal pain, change in bowel habits, obstruction, bleeding, intussusception, or perforation. Different imaging modalities can be used to diagnose lipomas however definitive diagnosis is made histologically. Symptomatic lipomas require either endoscopic or surgical resection. We report a case of a colonoscopy-assisted resection of a large sigmoid colonic lipoma that prolapsed through the anal canal.

Key Words: Colorectal lipomas, Colonoscopy assisted resection, Rectal prolapse, Gastrointestinal lipomas, Abdominal pain.


Surgical Resection of a Large Prolapsed Sigmoid Colon Polyp with Colonoscopic Assistance

Introduction 

Lipomas are benign intramucosal tumors which lack malignant potential. Gastrointestinal (GI) lipomas were first described by Bauer in 1757 and can occur anywhere from the hypopharynx to the rectum 1. Approximately 65-75% are found in the colon, and 20-25% are in the small intestine 2. Lipomas constitute about 5% of all GI tumors with incidence ranging from 0.035% to 4.4% 1,3. The most frequent to least frequent site of colorectal lipomas is the ascending colon and rectum respectively 1. Over 90% of colonic lipomas are asymptomatic and incidentally detected during colonoscopy, imaging studies, surgery, or autopsy 4,5. Large lipomas (i.e. >2cm) are usually symptomatic and can cause complications such as obstruction, bleeding, intussusception, infarction, or perforation 1,6,7. We report a case of a sigmoid lipoma prolapsing through the rectum, which was resected with the assistance of colonoscopy to help guide placement of endoloops.

 

Figure A showing the 7x5 cm lipoma with coloanal intussusception.

Figure B showing the lipomal stalk base

Figure C showing the large stalk of the lipoma and also internal hemorrhoids.

Figure D showing the resected lipoma.

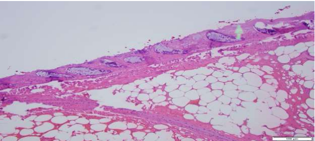
Figure E showing mature lipocytes, acute inflammation and partial fat necrosis as well as overlying colonic mucosa with ulceration as shown by the arrows. Magnification x 40.

 

Case Report

An 81-year-old man with history of coronary artery disease on Plavix presented with a large mass protruding from his anus. The patient was straining during defecation and felt severe abdominal and rectal pain. Vital signs and labs were normal. Physical examination revealed left lower quadrant tenderness, and a large mass protruding through his anus. Computed tomography (CT) scan of the abdomen and pelvis revealed a prolapsed 7x5cm sigmoid lipoma with coloanal intussusception, without evidence of obstruction, perforation, or peritonitis (figure A). Attempts to reduce the lipoma manually at bedside were unsuccessful, therefore the patient was taken for emergent resection. The gastrointestinal team was asked to assist so that direct visualization could be used to resect the lipoma stalk. A pediatric colonoscope was inserted alongside the lipoma into the rectum revealing a large stalk of prolapsed colon extending to 20cm from the anal verge (figure B). The retroflexion view showed the stalk traversing the anus surrounded by large hemorrhoids (figure C). The colonoscope could not be advanced past the stalk due to intussusception from the lipoma stalk pulling the colon forwards. Endoloops and a LigaSure device were used to transect the lipoma since the patient was on Plavix and had a high bleeding risk. Using the colonoscope for constant visualization, two Endoloops were placed manually to 10cm from the anal verge using caution to avoid anchoring onto the colonic wall. A third Endoloop was placed at the junction of the lipoma and its stalk at the anal verge. The colonoscope was removed and an Impact LigaSure device was used to slowly transect across the apex of the lesion right at the anal verge with manual pressure to retract the skin, perianal region, rectal mucosa, and hemorrhoids from the LigaSure device (figure D). The colonoscope was then reinserted and the colon was easily traversed up to 40 cm from the anal verge. The stalk was noted to have the two Endoloops in place without bleeding. Pathology revealed a submucosal lipoma with acute inflammation and partial fat necrosis as well as overlying colonic mucosa with ulceration (figure E).

 

Discussion

Colonic lipomas typically affect people between 50-65 years of age and have a female predominance of 2:1 4. Lipomas arise from the connective tissues of the intestinal wall and about 90% are submucosal. Lipomas can also be subserosal, intramuscular, or mixed 7. The exact etiology is unclear but it is generally accepted that chronic inflammation, abnormal motility, and excessive adipose tissue deposition all play a role in lipoma formation 7,8. Sizes range from a few millimeters to many centimeters 1,9. Lipomas are mostly found in the ascending colon (61%), followed by descending colon (20.1%), transverse colon (15.4%), and rectum (3.4%) 4,10. 

Symptomatic lipomas can present with rectal bleeding (54.5%), abdominal pain (42.4%) and change in bowel habits (24.2%) 4,10. Lipomas can also present with constipation, anemia, intussusception, obstruction or perforation 1,6,7,11-13. Spontaneous expulsion of lipomas has been documented in the literature 11,14. This is thought to be due to self-amputation of the lipoma at the stalk and typically seen with giant pedunculated lipomas15,16. 

Diagnosis can be made with colonoscopy, barium radiographs, endoscopic ultrasound (EUS), confocal laser microscopy (CLE), or CT scan. Colonic lipomas appear as yellowish smooth submucosal lesions on colonoscopy. Characteristic features include, “cushion or pillow sign” which is a flattening/indentation of the tissue when pushing the biopsy forceps against the lipoma and restoration of its regular shape once the forceps are removed; “naked fat sign” which is when fatty tissues extrudes through the biopsy site; and “tent-sign” which is when the mucosa is grasped with forceps and pulled upwards creating a tent shape 7. Limitations of colonoscopy include reduced sensitivity for diagnosing atypical lipomas with necrosis or ulceration 7. Additionally, biopsies obtained during colonoscopy may fail to obtain adequate adipose tissue needed to make the diagnosis 4. CT scan is currently the imaging study of choice. Lipomas appear as well defined, ovoid, intramural lesions with a greasy density. CT is specifically useful when lipomas are > 2cm and in those with associated complications such as intussusception, necrosis or infarction 4,6,7,10,17. Barium radiography is sensitive but not specific, and EUS is useful for diagnosing atypical appearing lipomas 7,10,17.

The gold standard for diagnosis is histopathology. Microscopically, lipomas appear as adipose tissue covered by a fibrous capsule, and the overlying mucosa may have ulceration, granulation, or fat necrosis 4,6,7. In our case, the diagnosis was made with CT scan and confirmed by histology.

Asymptomatic colonic lipomas can be observed whereas symptomatic ones require treatment. Lipomas can be managed with either endoscopic or surgical resection. Treatment options depend on size, location, and the presence or absence of complications. Endoscopic excision with snare electrocautery is considered the gold standard for lipomas < 2cm while segmental colectomy with lipectomy is considered the gold standard for uncomplicated lipomas > 2cm 4,5,7,17. 

In general, surgical intervention is the more effective treatment option for large colonic lipomas and once removed, they generally do not recur. Endoscopic assistance may be helpful, as in our case, to allow safe resection of the tumor, while minimizing the effects of full surgical resection in patients who may not tolerate such procedures.

 

Reference

1.Kouritas VK, Baloyiannis I, Koukoulis G, Mamaloudis I, Zacharoulis D, Efthimiou M. Spontaneous expulsion from rectum: a rare presentation of intestinal lipomas. World journal of emergency surgery : WJES. 2011;6:19.

2.Aminian A, Noaparast M, Mirsharifi R, et al. Ileal intussusception secondary to both lipoma and angiolipoma: a case report. Cases journal. 2009;2:7099.

3.Chehade HH, Zbibo RH, Nasreddine W, Abtar HK. Large ileocecal submucosal lipoma presenting as hematochezia, a case report and review of literature. International journal of surgery case reports. 2015;10:1-4.

4.Jiang L, Jiang LS, Li FY, et al. Giant submucosal lipoma located in the descending colon: a case report and review of the literature. World journal of gastroenterology. 2007;13(42):5664-5667.

5.Ghidirim G, Mishin I, Gutsu E, Gagauz I, Danch A, Russu S. Giant submucosal lipoma of the cecum: report of a case and review of literature. Romanian journal of gastroenterology. 2005;14(4):393-396.

6.Mouaqit O, Hasnai H, Chbani L, et al. Pedunculated lipoma causing colo-colonic intussusception: a rare case report. BMC surgery. 2013;13:51.

7.Andrei LS, Andrei AC, Usurelu DL, et al. Rare cause of intestinal obstruction - submucous lipoma of the sigmoid colon. Chirurgia (Bucharest, Romania : 1990). 2014;109(1):142-147.

8.Biswas S, Amin A, Castillo EA, Demestihas A. Large Cecal Lipoma With Overlying Ulceration Simulating Malignancy: A Case Report and Review of Relevant Literature. 2013.

9.Michowitz M, Lazebnik N, Noy S, Lazebnik R. Lipoma of the colon. A report of 22 cases. Am Surg. 1985;51(8):449-454.

10.Kose E, Cipe G, Demirgan S, Oguz S. Giant colonic lipoma with prolapse through the rectum treated by external local excision: A case report. Oncology letters. 2014;8(3):1377-1379.

11.Kang B, Zhang Q, Shang D, et al. Resolution of intussusception after spontaneous expulsion of an ileal lipoma per rectum: a case report and literature review. World J Surg Oncol. 2014;12:143.

12.Cirino E, Cali V, Basile G, Muscari C, Caragliano P, Petino A. [Intestinal invagination caused by colonic lipoma]. Minerva chirurgica. 1996;51(9):717-723.

13.Annibale B, Capurso G, Chistolini A, et al. Gastrointestinal causes of refractory iron deficiency anemia in patients without gastrointestinal symptoms. The American journal of medicine. 2001;111(6):439-445.

14.Zamboni WA, Fleisher H, Zander JD, Folse JR. Spontaneous expulsion of lipoma per rectum occurring with colonic intussusception. Surgery. 1987;101(1):104-107.

15.Gupta AK, Mujoo V. Spontaneous autoamputation and expulsion of intestinal lipoma. The Journal of the Association of Physicians of India. 2003;51:833.

16.Radhi JM. Lipoma of the colon: self amputation. The American journal of gastroenterology. 1993;88(11):1981-1982.

17.Nebbia J-F, Cucchi J-M, Novellas S, Bertrand S, Chevallier P, Bruneton JN. Lipomas of the right colon: report on six cases. Clinical imaging. 2007;31(6):390-393. 

Figure 1

Figure 2

Figure 3

Figure 4

Figure 5

antarmuka fokus mahjong daya pengguna aktifaws grid serasi mahjong dasar tahapan terjagaaws jejak mekanisme mahjong arah fase lanjutanaws kajian wild berantai mahjong interaktif analitisaws kesesuaian persentase layanan mahjong seluler lanceraws pendalaman persentase mahjong gerak wild mutakhircorak langka mahjong tumbuh perlahan berubahgerak mahjong adaptasi mekanisme pemakai sekarangnalar scatter mahjong malam putaran ekstratempo mahjong kaitan mekanisme keadaan terkinialur permainan mahjong cepat scatter wilddalam hitungan detik scatter wild mahjongmenyatukan naluri pola scatter hitam mahjongmomen mahjong permainan berbalik arahmomen singkat mahjong dinamika permainanperpaduan insting pola scatter hitam momentperubahan drastis mahjong ways scatter wildscatter wild mahjong datang polasekejap berubah scatter wild mahjong wayssensasi baru mahjong lebih scatter wildenergi scatter emas irama reel mahjongevolusi reel mahjong balutan mistisintervensi cepat emas momentum lamakemunculan mendadak naga emas mahjongketika scatter naga emas aktif mahjongnaga emas muncul arah spin mahjongnaga emas ritme mahjong ways berubahrahasia rtp tinggi balik scatter hitamsaat scatter naga emas alih irama reelscatter hitam kunci lonjakan rtp mahjonge5 scatter wild memberikan sentuhan baru di setiap spin mahjong ways 2e5 scatter wild menghidupkan suasana permainan mahjong ways 2e5 scatter wild mengubah pola permainan mahjong ways 2 secara signifikane5 setiap putaran mahjong ways 2 terasa berbeda dengan scatter wilde5 strategi adaptif berbasis analisis rtp hariane5 strategi berbasis data dan algoritma untuk analisis momentume5 strategi berkembang berkat data rtp hariane5 strategi memahami algoritma untuk mengidentifikasi momentum ideale5 strategi membaca pola algoritma demi menangkap momentum optimale5 strategi modern mengandalkan evaluasi rtp hariane5 strategi responsif dengan dukungan evaluasi rtp hariane5 strategi terukur dengan analisis rtp hariane5 struktur scatter dan wild terlihat jelas berkat analisis sistem moderne5 tanpa disadari kombinasi ini sering mengarah ke scatter di mahjong wins 3e5 teknik evaluasi algoritma untuk mendapatkan momentum yang tepate5 teknik observasi sistem untuk analisis momentum yang lebih presisie5 terungkap formasi ini sering jadi awal munculnya scatter di mahjong wins 3e5 transformasi digital rtp live berkat artificial intelligence inovatife5 transformasi ritme mahjong ways 2 dipicu oleh kekuatan scatter wilde5 wajib tahu pola tersembunyi ini sering menghasilkan scattere5 applee5 bananae5 candye5 doge5 eaglee5 falcone5 geminie5 horsee5 indiae5 japananalisa pola mahjong ways rutinanalisis kinerja heuristik variansi gameanalisis pola mahjong ways hariananalisis pola mahjong ways kebiasaanera baru mahjong wins bonus optimalgebrakan bonus mahjong wins mekanisme efisieninsight pola mahjong ways rutinkajian pola mahjong ways rutinkomparasi heuristik variansi game digitalledakan bonus mahjong wins sistem efektifmahjong wins bonus sistem generasi baruobservasi pola mahjong ways harianpendekatan algoritma heuristik variansi gameperbandingan model heuristik variansi gamerahasia bonus mahjong wins sistem cerdasrangkuman pola mahjong ways harianringkasan pola mahjong ways harianstudi pola mahjong ways hariantinjauan heuristik variansi game digitaltinjauan pola mahjong ways harianalur sombol mahjong kemunculan scatterdari rtp mahjong bermain lebih efektifjejak scatter mahjong putaran tenangkejutan scatter wild simbol mahjong arahkemunculan simbol ganda membuat mahjongketika grid mahjong scatter semakin dekatketika rtp mahjong pola mulai lebih jelasketika scatter wild ritme simbol mahjongketika scatter wild titik sesi mahjong waysketika susunan simbol mahjong ritme scattermemahami rtp mahjong cara bermain lebihpergerakan simbol mahjong scatter wildpergeseran mahjong ketika scatter hadirsaat rtp mahjong terbaca baik strategisaat scatter hadir simbol mahjong bergeserscatter wild dinamika simbol mahjongstabilitas putaran mahjong pola scattersusunan baru reel mahjong scatter emassusunan mahjong wins mengandung scattersusunan simbol mahjong diam pola scatterrm menguak keunikan mahjong wins sudut pandang teknisrm cara memahami pergerakan mahjong ways tenaga ekstrarm mahjong wins standar baru industri hiburan digitalrm rahasia ketahanan mahjong ways eksis gempuran gamerm pentingnya memahami transisi level mahjong wins mendalamrm strategi mengatur tempo mahjong ways kendali permainanrm peran kecerdasan buatan mekanisme mahjong wins adilrm alasan keberhasilan mahjong ways mencuri perhatian analisrm mempelajari struktur dasar mahjong wins efisiensi putaranrm inovasi desain mahjong ways kesan bermain responsifrm teknik observasi mahjong wins jarang dibahas dampakrm cara mempertahankan fokus dinamika mahjong ways cepatrm eksplorasi fitur tersembunyi mahjong wins ritme terbaikrm mahjong ways integrasi teknologi modern keamanan nyamanrm analisis faktor pendukung mahjong wins digemari generasirm langkah efektif menyesuaikan perubahan sistem mahjong waysrm mengintip proses pengembangan mahjong wins kualitas penggunarm analisis data membantu membaca arah mahjong waysrm menemukan titik temu insting logika mahjong winsrm transformasi besar mahjong ways menghadirkan tantangan menarikmengungkap simbol langka nasib drastismisteri besar kombinasi simbol langkamisteri simbol langka keberuntungan besarsimbol langka misterius ubah hiduprahasia simbol langka nasib cepattransformasi bonus mahjong wins sistem efektifmahjong wins suguhkan bonus sistem modernsuguhan bonus efisien mahjong winsefektivitas sistem bonus mahjong winsmahjong wins hadirkan bonus sistem optimaloke76cincinbetaqua365slot gacorstc76samurai76TOBA1131samurai76 login