Nonfunctional Cystic Parathyroid Lesion and Papillary Carcinoma Thyroid - A Rare Co-Occurrence

Nonfunctional Cystic Parathyroid Lesion and Papillary Carcinoma Thyroid - A Rare Co-Occurrence

Dr. Abhinav Thaduri *1, Dr. Avinash Tippani2, Dr. Vineet Damera3, Dr. Anil Jampani4, Dr.Kiran Chikkanahalli Subbarao5, Dr. Sreedhar 6

 

1. M.S (ENT), M.Ch (Head and Neck Oncology) Assistant Professor, Department of ENT, Prathima Relief Medical College.  Consultant Head and Neck Oncologist, Basvatarakam Indoamerican cancer Institute.

2. M.S, DNB (Surgical Oncology), Chief Surgical Oncologist, Prathima Cancer institute.

3,4. M.S DNB (Surgical Oncology), Consultant Surgical Oncologist, Prathima Cancer institute

5. MD Pathology, Head Department of Histopathology AMPATH.

6. MD Radiodiagnosis, Consultant Radiologist, Prathima Cancer institute.


*Correspondence to: Dr. Abhinav Thaduri, Assistant Professor, Department of ENT, Prathima Relief Medical College.  Consultant Head and Neck Oncologist, Basvatarakam Indoamerican cancer Institute. Email: abhinavthadurient@gmail.com.

Copyright.

© 2024 Dr. Abhinav Thaduri. This is an open access article distributed under the Creative Commons Attribution License, which permits unrestricted use, distribution, and reproduction in any medium, provided the original work is properly cited.

Received: 05 January 2024

Published: 27 January 2024

DOI: https://doi.org/10.5281/zenodo.14185262


ABSTRACT

Cystic swelling of the parathyroid glands is a rare pathology of the spectrum of parathyroid gland diseases. It accounts for around 0.4% of various parathyroid pathologies. Here we report a case of papillary carcinoma thyroid and cystic parathyroid lesion, of which the pre-operative cytology of the cystic lesion was misleading. A 52 years old female presented with complaints of progressive swelling in the left anterior neck for four years and difficulty swallowing solids over the past three months. No other associated symptoms were noted. A High-resolution ultrasound revealed multiple hypoechoic nodules with micro-calcifications in the right lobe thyroid largest measuring 1.5*1 cm, TIRADS V, and another anechoic lesion adjacent to the left lobe of the thyroid. In addition, USG-guided FNAC suggested a Bethesda V lesion in the right lobe, and FNAC from the left lobe and cystic lesion were suggestive of colloid goiter. The patient underwent a Total thyroidectomy with excision of the cyst. Final histopathology showed multifocal papillary carcinoma thyroid, a follicular variant with the largest foci of 1 cm; the cyst showed features of clear cells of parathyroid origin. Coexistence of papillary is rarely reported in the literature, and it could be merely a coincidence. There should be a high clinical suspicion of cystic parathyroid lesions in case of atypical findings on sonography or contrast-enhanced computed tomography, and further substantiated with cyst fluid cytology and PTH levels will further guide to the diagnosis of cystic parathyroid lesions in most of the cases.


Nonfunctional Cystic Parathyroid Lesion and Papillary Carcinoma Thyroid - A Rare Co-Occurrence

Introduction

Cystic swelling of the parathyroid glands is a rare pathology of the spectrum of parathyroid gland diseases. It accounts for around 0.4% of various parathyroid pathologies (1). So far, around 360 cases of cystic parathyroid glands have been reported in the literature. Two types of clinical entities exist in this kind of pathology, functional or nonfunctional, of which the latter is the more common clinical entity. Patients with cystic parathyroid lesions have varied clinical presentations or symptoms. There are no specific diagnostic features; hence the pre-operative diagnosis of parathyroid cysts is often challenging (2). Here we report a rare case of papillary carcinoma thyroid and cystic parathyroid lesion, of which the pre-operative cytology of the cystic lesion was misleading. 

 

Case capsule

A 52 years old female presented with complaints of progressive swelling in the left anterior neck for four years and difficulty swallowing solids over the past three months. No other associated symptoms were noted. Otherwise, her medical and surgical history was not contributory. The patient underwent a detailed ENT examination; a single ill-defined cystic swelling in the left anterior neck extended from the angle of the mandible above to the clavicle below, laterally extending beyond the posterior border of the left sternocleidomastoid muscle. In addition, multiple small nodules were palpable in the right lobe of the thyroid. The patient was clinically and biochemically euthyroid and normocalcemic  (8.6mg/dl).

A High-resolution ultrasound revealed multiple hypoechoic nodules with micro-calcifications in the right lobe thyroid largest measuring 1.5*1 cm, TIRADS V, and another anechoic lesion adjacent to the left lobe of the thyroid. In addition, USG-guided FNAC suggested a Bethesda V lesion in the right lobe, and FNAC from the left lobe and cystic lesion were suggestive of colloid goitre. Because of the upper mediastinal extension of the lesion, a contrast-enhanced computed tomography of the neck and thorax was done, which was suggestive of a cystic mass measuring 10 × 7 × 8.5 cm adjacent to the left lobe thyroid displacing the left internal jugular vein and left common carotid. Along with nodular opacity and microcalcification in the right lobe thyroid. The superior and inferior extent from C3 cervical vertebrae to the aortic arch (Figure 1). Flexible laryngoscopy revealed no laryngeal or upper tracheal pathology except for the gross deviation of the laryngeal framework towards the right.

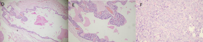
The patient underwent a Total thyroidectomy with excision of the cyst. Intra and immediate postoperative period was uneventful. The patient was discharged on postoperative day five with no signs of hypocalcemia. Final histopathology showed multifocal papillary carcinoma thyroid, a follicular variant with the largest foci of 1 cm; the cyst showed features of clear cells and a parathyroid gland along the wall. (Figure 2)

 

Figure 1: Depicts the Contrast enhanced computer tomography of the lesion

Figure 2: Depicts the surgical excision and histopathology of the lesion.


Discussion

Cystic parathyroid lesions represent around 0.5 - 1% of the spectrum of parathyroid diseases. A systematic review and meta-analysis by Papavramidis et al. report 359 documented cystic parathyroid lesions in the literature, and 61% are nonfunctional cysts (2). A single institutional 20-year review from France reported an incidence of 1.3% of parathyroid pathologies. Typically, small cystic parathyroid lesions are incidental findings during surgery, and large cystic lesions present as palpable neck masses, most likely diagnosed on final histopathology (3). Another study from France reported the incidence of parathyroid cysts as 1% of parathyroid pathologies (4).

There is still no consensus on the pathophysiology of the cystic lesions of the parathyroid. They are thought to arise due to central degeneration of the parathyroid adenoma or coalescence of the micro cysts (5). However, another theory is that they are likely of branchial origin (3).

Clinically present as lateral neck swellings anywhere from the hyoid to the upper mediastinum. Lesions can be functional and present as primary hyperparathyroidism, which accounts for a significantly lower percentage of cases. Others may present with compressive symptoms of the size of the lesion. Very few cases have been reported to present a change in voice associated with vocal cord palsy (6).

Imaging alone cannot distinguish cystic parathyroid lesions in otherwise normo-calcemic patients. Sonography may show an echogenic plane separating the lesion from the thyroid gland, and there may be an evident feeding vessel on the Doppler (7). Cystic parathyroid adenomas adjacent to the thyroid may be frequently misinterpreted as cystic thyroid lesions, which was the scenario in our case. In addition, there may be no or minimal uptake of MIBI in cystic parathyroid lesions, which may further add to the confusion (8). Fluid aspirated from the cyst and PTH levels may explain the parathyroid origin. However, although the fluid is high in PTH, the cystic lesion may not be functional (i.e., secreting high parathyroid hormone levels) (2).

Excision of the cyst is the gold standard treatment option and also for the correct histopathology diagnosis of the cyst. Other less popular treatment options are aspiration of the cyst or injection of the sclerosing agent. In addition, intraoperative PTH monitoring is suggested in the case of functional parathyroid cysts to explore the second adenoma, as most parathyroid cysts are nonfunctional.

In our case, the patient has a Bethesda V lesion of the right lobe of the thyroid along with a cystic lesion of the left parathyroid. The coexistence of these two conditions is rarely reported in the literature, and it could be merely a coincidence.

There should be a high clinical suspicion of cystic parathyroid lesions in case of atypical findings on sonography or contrast-enhanced computed tomography, and further substantiated with cyst fluid cytology and PTH levels will further guide to the diagnosis of cystic parathyroid lesions in most of the cases.  

 

Key Points

 • Cytological diagnosis of cystic lesions in the neck can be deceptive. Cytsic parathyroid lesions may be reported as thyroid lesions.

• Atypical USG and CT findings of cystic lesions in relation to the thyroid gland should raise suspicion of cystic parathyroid lesions.

• Cystic fluid analysis for PTH levels may give a better pre-operative diagnosis of cystic parathyroid adenomas.

• MIBI SPECT CT may not be helpful in nonfunctional cystic parathyroid adenomas.

 

Conflict of Interest

Authors declare no conflict of interest

Financial support

No financial support taken for this manuscript

Acknowledgement: N/A

 

References

1. Randel SB, Gooding GA, Clark OH, Stein RM, Winkler B. Parathyroid variants: US evaluation. Radiology. 1987 Oct;165(1):191-4. doi: 10.1148/radiology.165.1.3306784. PMID: 3306784.

2. Papavramidis TS, Chorti A, Pliakos I, Panidis S, Michalopoulos A. Parathyroid cysts: A review of 359 patients reported in the international literature. Medicine (Baltimore). 2018 Jul;97(28):e11399. doi: 10.1097/MD.0000000000011399. PMID: 29995785; PMCID: PMC6076162.

3. Armstrong J, Leteurtre E, Proye C. Intraparathyroid cyst: a tumour of branchial origin and a possible pitfall for targeted parathyroid surgery. ANZ J Surg. 2003 Dec;73(12):1048-51. doi: 10.1046/j.1445-2197.2003.t01-17-.x. PMID: 14632904.

4. Ippolito, G., Palazzo, F.F., Sebag, F. et al. A single-institution 25-year review of true parathyroid cysts. Langenbecks Arch Surg 391, 13–18 (2006). https://doi.org/10.1007/s00423-005-0579-y

5. Sillery JC, DeLone DR, Welker KM. Cystic parathyroid adenomas on dynamic CT. AJNR Am J Neuroradiol. 2011 Jun-Jul;32(6):E107-9. doi: 10.3174/ajnr.A2186. Epub 2010 Jul 1. PMID: 20595367; PMCID: PMC8013131.

6. Coelho DH, Boey HP. Benign parathyroid cyst causing vocal fold paralysis: a case report and review of the literature. Head Neck. 2006 Jun;28(6):564-6. doi: 10.1002/hed.20391. PMID: 16637056.

7. R. Phitayakorn, C.R. McHenry, Incidence and location of ectopic abnormal parathyroid glands, Am. J. Surg. 191 (2006) 418–423, https://doi.org/10.1016/jamjsurg.2005.10.049.

8. Wirowski D, Wicke C, Böhner H, Lammers BJ, Pohl P, Schwarz K, Goretzki PE. Presentation of 6 cases with parathyroid cysts and discussion of the literature. Exp Clin Endocrinol Diabetes. 2008 Aug;116(8):501-6. doi: 10.1055/s-2008-1058084. Epub 2008 Apr 1. PMID: 18523916.

Figure 1

Figure 2

Figure 3

antarmuka fokus mahjong daya pengguna aktifaws grid serasi mahjong dasar tahapan terjagaaws jejak mekanisme mahjong arah fase lanjutanaws kajian wild berantai mahjong interaktif analitisaws kesesuaian persentase layanan mahjong seluler lanceraws pendalaman persentase mahjong gerak wild mutakhircorak langka mahjong tumbuh perlahan berubahgerak mahjong adaptasi mekanisme pemakai sekarangnalar scatter mahjong malam putaran ekstratempo mahjong kaitan mekanisme keadaan terkinialur permainan mahjong cepat scatter wilddalam hitungan detik scatter wild mahjongmenyatukan naluri pola scatter hitam mahjongmomen mahjong permainan berbalik arahmomen singkat mahjong dinamika permainanperpaduan insting pola scatter hitam momentperubahan drastis mahjong ways scatter wildscatter wild mahjong datang polasekejap berubah scatter wild mahjong wayssensasi baru mahjong lebih scatter wildenergi scatter emas irama reel mahjongevolusi reel mahjong balutan mistisintervensi cepat emas momentum lamakemunculan mendadak naga emas mahjongketika scatter naga emas aktif mahjongnaga emas muncul arah spin mahjongnaga emas ritme mahjong ways berubahrahasia rtp tinggi balik scatter hitamsaat scatter naga emas alih irama reelscatter hitam kunci lonjakan rtp mahjonge5 scatter wild memberikan sentuhan baru di setiap spin mahjong ways 2e5 scatter wild menghidupkan suasana permainan mahjong ways 2e5 scatter wild mengubah pola permainan mahjong ways 2 secara signifikane5 setiap putaran mahjong ways 2 terasa berbeda dengan scatter wilde5 strategi adaptif berbasis analisis rtp hariane5 strategi berbasis data dan algoritma untuk analisis momentume5 strategi berkembang berkat data rtp hariane5 strategi memahami algoritma untuk mengidentifikasi momentum ideale5 strategi membaca pola algoritma demi menangkap momentum optimale5 strategi modern mengandalkan evaluasi rtp hariane5 strategi responsif dengan dukungan evaluasi rtp hariane5 strategi terukur dengan analisis rtp hariane5 struktur scatter dan wild terlihat jelas berkat analisis sistem moderne5 tanpa disadari kombinasi ini sering mengarah ke scatter di mahjong wins 3e5 teknik evaluasi algoritma untuk mendapatkan momentum yang tepate5 teknik observasi sistem untuk analisis momentum yang lebih presisie5 terungkap formasi ini sering jadi awal munculnya scatter di mahjong wins 3e5 transformasi digital rtp live berkat artificial intelligence inovatife5 transformasi ritme mahjong ways 2 dipicu oleh kekuatan scatter wilde5 wajib tahu pola tersembunyi ini sering menghasilkan scattere5 applee5 bananae5 candye5 doge5 eaglee5 falcone5 geminie5 horsee5 indiae5 japananalisa pola mahjong ways rutinanalisis kinerja heuristik variansi gameanalisis pola mahjong ways hariananalisis pola mahjong ways kebiasaanera baru mahjong wins bonus optimalgebrakan bonus mahjong wins mekanisme efisieninsight pola mahjong ways rutinkajian pola mahjong ways rutinkomparasi heuristik variansi game digitalledakan bonus mahjong wins sistem efektifmahjong wins bonus sistem generasi baruobservasi pola mahjong ways harianpendekatan algoritma heuristik variansi gameperbandingan model heuristik variansi gamerahasia bonus mahjong wins sistem cerdasrangkuman pola mahjong ways harianringkasan pola mahjong ways harianstudi pola mahjong ways hariantinjauan heuristik variansi game digitaltinjauan pola mahjong ways harianalur sombol mahjong kemunculan scatterdari rtp mahjong bermain lebih efektifjejak scatter mahjong putaran tenangkejutan scatter wild simbol mahjong arahkemunculan simbol ganda membuat mahjongketika grid mahjong scatter semakin dekatketika rtp mahjong pola mulai lebih jelasketika scatter wild ritme simbol mahjongketika scatter wild titik sesi mahjong waysketika susunan simbol mahjong ritme scattermemahami rtp mahjong cara bermain lebihpergerakan simbol mahjong scatter wildpergeseran mahjong ketika scatter hadirsaat rtp mahjong terbaca baik strategisaat scatter hadir simbol mahjong bergeserscatter wild dinamika simbol mahjongstabilitas putaran mahjong pola scattersusunan baru reel mahjong scatter emassusunan mahjong wins mengandung scattersusunan simbol mahjong diam pola scatterrm menguak keunikan mahjong wins sudut pandang teknisrm cara memahami pergerakan mahjong ways tenaga ekstrarm mahjong wins standar baru industri hiburan digitalrm rahasia ketahanan mahjong ways eksis gempuran gamerm pentingnya memahami transisi level mahjong wins mendalamrm strategi mengatur tempo mahjong ways kendali permainanrm peran kecerdasan buatan mekanisme mahjong wins adilrm alasan keberhasilan mahjong ways mencuri perhatian analisrm mempelajari struktur dasar mahjong wins efisiensi putaranrm inovasi desain mahjong ways kesan bermain responsifrm teknik observasi mahjong wins jarang dibahas dampakrm cara mempertahankan fokus dinamika mahjong ways cepatrm eksplorasi fitur tersembunyi mahjong wins ritme terbaikrm mahjong ways integrasi teknologi modern keamanan nyamanrm analisis faktor pendukung mahjong wins digemari generasirm langkah efektif menyesuaikan perubahan sistem mahjong waysrm mengintip proses pengembangan mahjong wins kualitas penggunarm analisis data membantu membaca arah mahjong waysrm menemukan titik temu insting logika mahjong winsrm transformasi besar mahjong ways menghadirkan tantangan menarikmengungkap simbol langka nasib drastismisteri besar kombinasi simbol langkamisteri simbol langka keberuntungan besarsimbol langka misterius ubah hiduprahasia simbol langka nasib cepattransformasi bonus mahjong wins sistem efektifmahjong wins suguhkan bonus sistem modernsuguhan bonus efisien mahjong winsefektivitas sistem bonus mahjong winsmahjong wins hadirkan bonus sistem optimaloke76cincinbetaqua365slot gacorstc76samurai76TOBA1131samurai76 login