Spinal Schistosomiasis! Medical or surgical treatment?

Spinal Schistosomiasis! Medical or surgical treatment?

Dr. Abubakr Darrag Salim Ahmed MD, IFAANS *1. Dr. Moaz Ibrahim Abdallah Mohamed, MBBS, MSc.MD, PhD 2. Dr. Mohammed Awad Elzain Ahmed MD 3

1,2,3. National center for neurological sciences Khartoum Sudan

*Correspondence to: Dr. Abubakr Darrag Salim Ahmed MD, IFAANS, National center for neurological sciences Khartoum Sudan.

Copyright

© 2024 Dr. Abubakr Darrag Salim Ahmed MD., This is an open access article distributed under the Creative Commons Attribution License, which permits unrestricted use, distribution, and reproduction in any medium, provided the original work is properly cited.

Received: 18 January 2024

Published: 01 February 2024

DOI: https://doi.org/10.5281/zenodo.10848248

Abstract

Spinal Schistosomiasis, although an unusual form of Schistosomiasis is an interesting type , this form of Schistosomiasis tend to affect young individuals , producing a characteristic clinical features that consist of low backache , lower extremities weakness , numbness , urinary incontinence and features of cauda equina lesion of recent onset.

Aims of the study

To study the characteristics of Spinal Schistosomiasis, clinical presentation, radiological characteristic, histopathological features and the methods  used in the treatment of the condition and their effectiveness.

Methods

This study was conducted in the department of neurosurgery at Alshaab and Ibn Khaldon hospitals in the period from January the first 1995 to  the end of December 2009.

All patients with diagnosis of spinal space occupying lesions whose has radiological features of spinal Schistosomiasis or histopathology came as spinal Schistosomiasis were included in this study. The records of those patients were reviewed and data collected.

Results

Ten patients were found to satisfy the study criteria. The age range was found to be from 6- 42 years, the mean age was found to be 19.7 years. Nine of the ten patients were males while only one is a female. M/F is 9/1. seven of the ten patients were students while rest 3 are from other jobs. The patients clinical picture was found to be the same. Backache, Lower extremities hypothesia, weakness and Urine Incontinence. the period of their symptoms was ranging from two weeks to two months. Three of the patients were diagnosed by MRI which showed D 12 to L1 or L2 spinal cord swelling with hyper-intense patches in T2 images , while the remaining two patient were diagnosed by CT myelogram which showed D12 to L1 or L2 spinal cord intramedullary swelling.

In nine patients the diagnosis of cauda equina intramedullary tumor was put at first and all were treated by D11 to L1 Laminectomy and spinal cord biopsy. only one patient was treated from the start by antibilharzial drugs.

In the nine patients treated by surgery the histopathology was schistosomal ovae surrounded by inflammatory cells mainly lymphocytes and eosinophils and edema of the cord at the site of pathology.

All patient then received Praziquantel and corticosteroids  and  all  of  them  showed  improvement.

Conclusions

1.Spinal Schistosomiasis is an interesting form of Schistosomiasis with characteristic clinical, radiological, and histopathological features.

2.The condition tend to produce severe neurological disability with urine retention in relatively young individuals.

3.There is no general agreement between the neurosurgeons and the neurologists about the management of  this  condition because of suspicion of presence of spinal neoplasm, but  we  advise trial of  antibilharzial drug  treatment and  the surgical intervention to  delayed for  the  refractory cases which  should  be in the form of surgical  decompression   and  tissue biopsy  to  confirm  the  condition followed  by administration  of  Praziquantel and  Corticosteroids.


Spinal Schistosomiasis! Medical or surgical treatment?

Introduction

Schistosomiasis is a well-known worldwide health problem, more than 300 million people in the world are known to be Schistosomiasis patients. many species of schistosomal warms are known, some of them affect animals and others affect the humans, the most common parasites affecting humans are Schistosoma Mansoni, Schistosoma Japonicum and Schistosoma Haematobium [1, 2]. While the first two are colonic parasite the third is a urogenital one. Schistosomiasis affecting the GIT namely the Colon or that one affecting the urogenital systems are well-known diseases, these conditions tend to be endemic disease prevalent in African, Middle East and Latin America countries, sometimes sporadic cases are met in western countries affecting people traveling to the endemic areas [1, 3].

Neuro-schistosomiasis is considered to be as the second common type of Schistosomal infection usually caused by Schistosoma Mansoni. The inflammatory process occurs as a result of migration of schistosomal eggs or worms to the spinal cord through the venous system (Baston’s venous plexuses) to the spinal cord. There are two clinical forms of spinal Schistosomiasis which are either acute or sub-acute myelopathy [4, 5].

Ferguson in Egypt in 1913 reported presence of Schistosomal ova in the central nervous system in postmortem autopsy. He also reported in 1917 the first case of schistosomal myelopathy in an Egyptian patient. In 1930 it was possible to ascribe the cause of Schistosoma myelopathy in a Brazilian patient to Schistosoma Mansoni [6, 7].

 

Pathogenesis

The pathogenesis of Neuroschistosomiasis is still mysterious but recent evidence suggests that the lesions in the CNS is due to presence of Schistosomal eggs and the subsequent host immune response[8].

Spinal schistosomiasis may be attributed to the presence of the Schistosomal eggs or worms in the Batson’s vertebral epidural venous plexus and oviposition [8].

The clinical presentation of schistosomal myeloradiculopathy is a rapidly progressive symptoms of myelitis involving the lower cord, usually in association with the involvement of the cauda equina [9]. Schistosomal myeloradiculopathy of thoracic or cervical cord was reported [10]. The clinical presentation of the spinal schistosomiasis may resemble that of spinal intramedullary space occupying lesion and this may lead to misdiagnosis as an intramedullary spinal tumor. The diagnosis of the spinal schistosomiasis relies on the presence of low thoracic or upper lumbar neurological symptoms which might be of an acute inflammatory condition in acute cases or space occupying lesion in chronic condition, and then demonstration of the Schistosoma Mansoni infection by microscopic or indirect serology to exclude the other causes of transverse myelitis[10].Histology may show schistosomal ovae surrounded by granulomatous inflamed tissue with giant cells and polymorphoneuclear leucocytes[3, 11].

Magnetic resonance imaging in spinal schistosomiasis usually shows swollen conus and epiconus beside areas of hyper-signal in T2 and heterogeneous contrast enhancement[12]. Multinodular intramedullary contrast enhancement of the distal cord allowed accurate preoperative MR imaging diagnosis of spinal schistosomiasis[12]. Cerebrospinal fluid (CSF) may show changes in spinal schistosomiasis. Characteristic features are mild to moderate pleocytosis, presence of eosinophils, slight to moderate protein increase, elevated gamma globulin concentration and a positive immune assay. These abnormalities are not always, accidentally schistosomal ovae may appear in the cerebrospinal fluid [13].

Antischistosomal drugs, corticosteroids, and surgery are management options for treatment of Neuroschistosomiasis. Antischistosomal drugs will compact the adult worm, leading to stop the oviposition and thus in turn reduces the inflammatory response. Corticosteroids are prescribed to diminish granulomatous inflammation and edema, hence reducing the compression and ischemic destruction of the nervous tissue[9]. Surgical approach should be individualized[14]. Radical surgical excision is not recommended, biopsies for histopathological diagnosis should be attempt before any surgical treatment[15].

Schistosomiasis is endemic in Sudan and the main types are Schistosoma Mansoni affecting the colon and Schistosoma Haematobium affecting the urinary tract. spinal cord schistosomiasis was not well known in Sudan and in this paper we report ten patients of spinal schistosomiasis encountered during our neurosurgical practice in the neurosurgical department at Alshaab teaching hospital and Ibn Khaldon hospitals based in Khartoum Sudan in the period from January the first 1995 to the end of October 2007.

 

Study structure

2678 records of patients with spinal compression who represent the total number of patients with spinal compression operated during the study period were reviewed.

One patient was excluded due to incomplete data

All patients with diagnosis of spinal space occupying lesions whom their histopathology came as spinal schistosomiasis were included in this study.

The records of those patients were reviewed and data collected.

The remaining patients were found to be ten patients and the summary of their data is shown in tables (1 &2).


Results

The age range of the patients was found to be from 9- 42years, the mean age was found to be 19.7 years.

Nine of the ten patients were males while only one is a female. M/F is 9/1.

Seven of the Ten patients were students while only three are from different occupations.

Five of the patients were found to be coming from Aljazeera area in which schistosomiasis is endemic (50%) and the rest are coming from different areas in the Sudan, Port-Sudan, ELfatih, Elobied, Khartoum.

The patients clinical picture was found to be the same. Comprising backache, lower extremities hypothesia, and weakness and urine incontinence. the duration of their symptoms was ranging from two weeks to two months (see table 3).

 Eight of the ten patients were diagnosed utilizing MRI which showed Dorsal 12 to Lumber 1 or 2 spinal cord swelling with hyper intense patches in T2 images , while the remaining two patient were diagnosed utilizing CT myelogram which showed Dorsal 12 to Lumber 1 or 2 spinal cord swelling.

 In all patients the diagnosis of cauda equina intramedullary tumor was postulated at first and all were treated by Dorsal 11 to Lumber 1 Laminectomy and spinal cord biopsy .

History of trauma was only positive in two patients (20% of the patients).

Urine analysis was done for all patients, it showed only hematuria and uncountable puss cells in in two patients (20% of the patients). Unfortunately stool analysis was not done for any of those patients. Hemograms showed eosinophilia in four patients (40% of the patients). Antischistosomal treatment was started preoperatively in only two patients (20% of the patients). One of them showed good response while the other didn't and only improved after surgical intervention.

Surgery done was decompression and biopsy and it was done in 9 patients (90%), only one patient was treated medically.

The final diagnosis was spinal schistosomiasis in the 10 patient(100% of the patients) and after histopathology in 9 patients (90% of patients) all these were infesting Schistosoma Mansoni .

In nine patients the histopathology slides showed schistosomal ovae surrounded by inflammatory cells namely lymphocytes, eosinophils and edema .

All patient then received antischistomal drug (Praziquantel) according to their weights as three single doses with one week interval and corticosteroids in the form of Prednisone five milligrams twice per day for six to twelve weeks and half of this dose for the younger individuals in this group. And all of them showed more improvement.

Three patients (30%) showed complete recovery while six patients (60%) showed good improvement while only one patient showed mild improvement.

The parameters used to asses degree of improvement or recovery were:

  1. Regain of ability to control urination
  2. Regression or disappearance of the backache
  3. Regression or disappearance of the sensory and motor disturbances.

 

Table (1) showing the clinical and MRI finding of the five cases

Table (2) showing the type of surgery , the histopathological findings , the postoperative treatment and the outcome of the ten cases

Table (3) showing percentages of the presenting symptoms and signs

Image (1 & 2) Sagittal MRI of the spine of case (1) showing cauda eguia expansion and hyperintense patches of in the cauda equine of both T1 and T2 weighted MRI

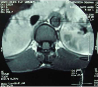
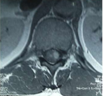
Image (3) Axial MRI of case (1) T1 weighted MRI showing spinal cord expansion and scattered hyperintense patches.

Images (4 & 5) MRI of Case No (6). Showing cauda equina expansion and hyperintense patches of in the cauda equine of both T1 and T2 weighted MRI.

Image (6) Axial MRI of case (6) T1 weighted MRI showing spinal cord expansion and scattered hyperintense patches.

Image (7) Sagittal MRI of the Case No (5) Showing cord expansion at the level of conus medullaris with absence of subdural space and some hyperintense patches

Image (8) Sagittal MRI of the Case No (7) Showing cord expansion at the level of conus medullaris with absence of subdural space and some hyperintense patches.

Image (9) Axial MRI of the Case No (7) Showing cord expansion with absence of subdural space and some hyperintense patches

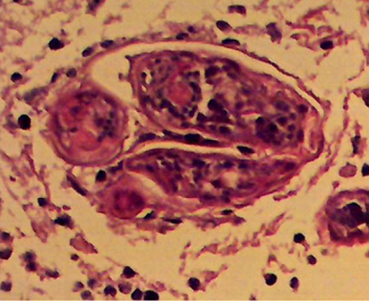
Image (10) Three Schistosomal ova, one cut in cross section inside a vein. The Mirasidia are viable as indicated by the well-preserved nuclei of the parasite

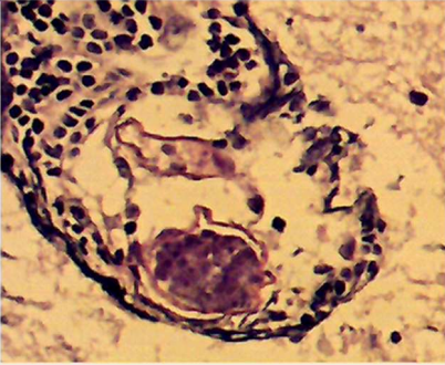
Image (11) there is a single Schistosomal Ova (arrow) at the bottom surrounded by a chronic inflammatory cellular infiltrate. The Mirasidium is dead as indicated by the smudgy nuclei. The deep blue color is probably due to calcification. The lesion is in a Virchow-Robin space

Image (12 & 13) showing the minimally improved Patient and his postoperative MRI showing cavitation in the conus medullaris representing the surgical biopsy site

 


Discussion

Schistosomiasis of the spinal cord is a very rare and interesting condition, even in the countries where schistosomiasis is endemic. For this reason and for the similarity of the condition of spinal schistosomiasis to many other clinical problems mainly the intramedullary spinal cord tumors, the diagnosis of the spinal schistosomiasis present a great challenge , in almost all the cases previously reported in the literature the diagnosis was made sure only after surgical biopsy and histopathological examination.

Since the pathological condition in spinal schistosomiasis is due mainly to migration of the adult schistosomal worms to the spinal epidural vessels and subsequent egg deposition into the spinal cord with resultant secondary inflammatory reactions , there might be penetration of some schistosomal ovae into the cerebrospinal fluid as it would occur in the urinary bladder or in the rectal cavity when the adult worm lie in the vesical wall or rectal wall vessels so the pathological features are the same but only the site is different .

In this report it is quite clear that spinal schistosomiasis tend to affect young individuals (mean age of the affected patients is 19.7 years) at school age which is the known fact in schistosomiasis.

The patients are coming from different areas in the country but five of them ( 50% ) are coming from areas in which schistosomal infection is endemic, three of the ten patients (30%) came from areas in which schistosomiasis is not known as an endemic disease, one patients ( 42 years old ) insisted that he has neither visited any endemic area nor got in contact with the river or even sea water recently so, we couldn't find any explanation for his infection. 

The laboratory examination for urine and stool and their positive findings for specific schistosomal eggs might raise the suspicion of the spinal schistosomiasis diagnosis in non-endemic areas in a patient coming from endemic area, but such assumption is not valid for a patient living in an endemic area with high percentage of affection, even the cerebrospinal fluid changes like eosinophilia and lymphocytosis are not so specific to diagnose spinal schistosomiasis , the only finding in the cerebrospinal fluid which is diagnostic for spinal schistosomiasis is presence of the specific schistosomal eggs in the cerebrospinal fluid sample which is a rare finding .

The urine analysis of the ten patients didn't show any schistosomal ovae but unfortunately none of them has done stool analysis .

The clinical presentation of the cases in this report which is that of cauda equina lesion mainly lower extremities weakness , hypothesia and urinary retention , and the radiological feature in myelogram and MRI of the spine which mimic that of spinal space occupying lesion , make the condition very difficult to be differentiated from the spinal intramedullary tumors. 

Surgical intervention in spinal schistosomiasis remain an issue of controversial opinions, while some authors advise surgical intervention to decompress the inflamed swollen spinal cord and to have a solid histopathological diagnosis , others think that surgical intervention is not indicated since the condition may respond to specific drug treatment , mainly the Antischistosomal drugs combined with corticosteroid to counteract the inflammatory reaction , the surgical intervention might cause some damage to the spinal cord, in our patient none of our patient showed any postoperative deterioration of his /her neurological status in comparison to his / her preoperative neurological condition  .

In the current report all the patients ( except one ) were subjected to surgical intervention in the form of spinal decompression and tissue biopsy so that the diagnosis was confirmed to be spinal schistosomiasis and not any other pathological entity so that the subsequent medical treatment is prescribed on solid grounds ,and since the surgical intervention to the spinal cord was minimal no serious postoperative complications were encountered in those patients , while on the other hand if medical treatment was prescribed before histopathological confirmation it would be empirical in nature and this might lead to delay of diagnosis or misdiagnosis of other serious spinal conditions like intraspinal neoplasm which might respond initially to corticosteroids and give the treating physician a false impression of correct diagnosis .

In the surgical intervention there is no any abnormal tissue to be biopsied, but only the inflamed swollen spinal cord so the biopsy should be as tiny as possible so as not to disturb the spinal cord integrity which is expected to recover after subsequent administration of the specific drugs, also the surgical decompression might help to give the compromised compressed spinal cord an space to expand into and this might help to prevent the subsequent ischemic insult to the spinal cord due to severe compression of the spinal cord and vessels by the inflammatory process.

Since most of those patients are young in age the long term complications of laminectomy should be considered and observed but in the studied group such complication were not observed, may be because of the short period of the follow up of some of the patients.

 

Conclusions

1.Spinal schistosomiasis is an interesting form of schistosomiasis with characteristic clinical , radiological , and histopathological features .

2.The condition tend to produce severe neurological disability with urine retention in relatively young individuals .

3.There is no general agreement between the neurosurgeons and the neurologists about the management of this condition, but we advise short course trial of Antischistosomal drugs (Praziquantel and Corticosteroids ) in case of failure of this treatment then to proceed to surgical decompression and tissue biopsy to confirm the condition followed by administration of Praziquantel and Corticosteroids in positive cases for six to twelve weeks.

Please click here to view all tables and figures

 

References

1. Kim, A.H., C.O. Maher, and E.R. Smith, Lumbar intramedullary spinal schistosomiasis presenting as progressive paraparesis: case report. Neurosurgery, 2006. 58(5): p. E996; discussion E996.

2. Bichler, K.H., et al., EAU guidelines for the management of urogenital schistosomiasis. Eur Urol, 2006. 49(6): p. 998-1003.

3. Carod Artal, F.J., et al., Schistosoma mansoni myelopathy: clinical and pathologic findings. Neurology, 2004. 63(2): p. 388-91.

4. Moreno-Carvalho, O.A., et al., Clinical and cerebrospinal fluid (CSF) profile and CSF criteria for the diagnosis of spinal cord schistosomiasis. Arq Neuropsiquiatr, 2003. 61(2b): p. 353-8.

5. Nascimento-Carvalho, C.M. and O.A. Moreno-Carvalho, Clinical and cerebrospinal fluid findings in patients less than 20 years old with a presumptive diagnosis of neuroschistosomiasis. J Trop Pediatr, 2004. 50(2): p. 98-100.

6. Adeloye, A., A.O. Folami, and P.U. Aghadiung, Schistosoma haematobium granuloma of the spinal cord in a Nigerian boy. Neurochirurgia (Stuttg), 1982. 25(3): p. 100-2.

7. Adeloye, A., P. Aghadiuno, and B.O. Osuntokun, Cryptococcal granuloma (toruloma) of the central nervous system in a patient with schistosomiasis. Am J Trop Med Hyg, 1976. 25(1): p. 129-31.

8. Ferrari, T.C., Spinal cord schistosomiasis. A report of 2 cases and review emphasizing clinical aspects. Medicine (Baltimore), 1999. 78(3): p. 176-90.

9. Ferrari, T.C., et al., Estimation of the local synthesis of immunoglobulin G (IgG) in the central nervous system of patients with spinal cord schistosomiasis by the IgG index. Trans R Soc Trop Med Hyg, 1999. 93(5): p. 558-9.

10. Silva, L.C., et al., Treatment of schistosomal myeloradiculopathy with praziquantel and corticosteroids and evaluation by magnetic resonance imaging: a longitudinal study. Clin Infect Dis, 2004. 39(11): p. 1618-24.

11. Wanyoike, P.K. and M.M. Qureshi, Schistosoma mansoni of the conus medularis: case report. East Afr Med J, 2004. 81(5): p. 271-3.

 

12. Saleem, S., A.I. Belal, and N.M. El-Ghandour, Spinal cord schistosomiasis: MR imaging appearance with surgical and pathologic correlation. AJNR Am J Neuroradiol, 2005. 26(7): p. 1646-54.

13. Tesser, E., et al., [Cerebrospinal fluid in the diagnosis of spinal schistosomiasis]. Arq Neuropsiquiatr, 2005. 63(3a): p. 661-5.

14. Ferrari, T.C., Involvement of central nervous system in the schistosomiasis. Mem Inst Oswaldo Cruz, 2004. 99(5 Suppl 1): p. 59-62.

15. Mazyad, M.A., M.M. Mostafa, and T.A. Morsy, Spinal cord schistosomiasis and neurologic complications. J Egypt Soc Parasitol, 1999. 29(1): p. 179-82.

Figure 1

Figure 2

Figure 3

Figure 4

Figure 5

Figure 6

Figure 7

Figure 8

Figure 9

Figure 10

Figure 11

Figure 12

antarmuka fokus mahjong daya pengguna aktifaws grid serasi mahjong dasar tahapan terjagaaws jejak mekanisme mahjong arah fase lanjutanaws kajian wild berantai mahjong interaktif analitisaws kesesuaian persentase layanan mahjong seluler lanceraws pendalaman persentase mahjong gerak wild mutakhircorak langka mahjong tumbuh perlahan berubahgerak mahjong adaptasi mekanisme pemakai sekarangnalar scatter mahjong malam putaran ekstratempo mahjong kaitan mekanisme keadaan terkinialur permainan mahjong cepat scatter wilddalam hitungan detik scatter wild mahjongmenyatukan naluri pola scatter hitam mahjongmomen mahjong permainan berbalik arahmomen singkat mahjong dinamika permainanperpaduan insting pola scatter hitam momentperubahan drastis mahjong ways scatter wildscatter wild mahjong datang polasekejap berubah scatter wild mahjong wayssensasi baru mahjong lebih scatter wildenergi scatter emas irama reel mahjongevolusi reel mahjong balutan mistisintervensi cepat emas momentum lamakemunculan mendadak naga emas mahjongketika scatter naga emas aktif mahjongnaga emas muncul arah spin mahjongnaga emas ritme mahjong ways berubahrahasia rtp tinggi balik scatter hitamsaat scatter naga emas alih irama reelscatter hitam kunci lonjakan rtp mahjonge5 scatter wild memberikan sentuhan baru di setiap spin mahjong ways 2e5 scatter wild menghidupkan suasana permainan mahjong ways 2e5 scatter wild mengubah pola permainan mahjong ways 2 secara signifikane5 setiap putaran mahjong ways 2 terasa berbeda dengan scatter wilde5 strategi adaptif berbasis analisis rtp hariane5 strategi berbasis data dan algoritma untuk analisis momentume5 strategi berkembang berkat data rtp hariane5 strategi memahami algoritma untuk mengidentifikasi momentum ideale5 strategi membaca pola algoritma demi menangkap momentum optimale5 strategi modern mengandalkan evaluasi rtp hariane5 strategi responsif dengan dukungan evaluasi rtp hariane5 strategi terukur dengan analisis rtp hariane5 struktur scatter dan wild terlihat jelas berkat analisis sistem moderne5 tanpa disadari kombinasi ini sering mengarah ke scatter di mahjong wins 3e5 teknik evaluasi algoritma untuk mendapatkan momentum yang tepate5 teknik observasi sistem untuk analisis momentum yang lebih presisie5 terungkap formasi ini sering jadi awal munculnya scatter di mahjong wins 3e5 transformasi digital rtp live berkat artificial intelligence inovatife5 transformasi ritme mahjong ways 2 dipicu oleh kekuatan scatter wilde5 wajib tahu pola tersembunyi ini sering menghasilkan scattere5 applee5 bananae5 candye5 doge5 eaglee5 falcone5 geminie5 horsee5 indiae5 japananalisa pola mahjong ways rutinanalisis kinerja heuristik variansi gameanalisis pola mahjong ways hariananalisis pola mahjong ways kebiasaanera baru mahjong wins bonus optimalgebrakan bonus mahjong wins mekanisme efisieninsight pola mahjong ways rutinkajian pola mahjong ways rutinkomparasi heuristik variansi game digitalledakan bonus mahjong wins sistem efektifmahjong wins bonus sistem generasi baruobservasi pola mahjong ways harianpendekatan algoritma heuristik variansi gameperbandingan model heuristik variansi gamerahasia bonus mahjong wins sistem cerdasrangkuman pola mahjong ways harianringkasan pola mahjong ways harianstudi pola mahjong ways hariantinjauan heuristik variansi game digitaltinjauan pola mahjong ways harianalur sombol mahjong kemunculan scatterdari rtp mahjong bermain lebih efektifjejak scatter mahjong putaran tenangkejutan scatter wild simbol mahjong arahkemunculan simbol ganda membuat mahjongketika grid mahjong scatter semakin dekatketika rtp mahjong pola mulai lebih jelasketika scatter wild ritme simbol mahjongketika scatter wild titik sesi mahjong waysketika susunan simbol mahjong ritme scattermemahami rtp mahjong cara bermain lebihpergerakan simbol mahjong scatter wildpergeseran mahjong ketika scatter hadirsaat rtp mahjong terbaca baik strategisaat scatter hadir simbol mahjong bergeserscatter wild dinamika simbol mahjongstabilitas putaran mahjong pola scattersusunan baru reel mahjong scatter emassusunan mahjong wins mengandung scattersusunan simbol mahjong diam pola scatterrm menguak keunikan mahjong wins sudut pandang teknisrm cara memahami pergerakan mahjong ways tenaga ekstrarm mahjong wins standar baru industri hiburan digitalrm rahasia ketahanan mahjong ways eksis gempuran gamerm pentingnya memahami transisi level mahjong wins mendalamrm strategi mengatur tempo mahjong ways kendali permainanrm peran kecerdasan buatan mekanisme mahjong wins adilrm alasan keberhasilan mahjong ways mencuri perhatian analisrm mempelajari struktur dasar mahjong wins efisiensi putaranrm inovasi desain mahjong ways kesan bermain responsifrm teknik observasi mahjong wins jarang dibahas dampakrm cara mempertahankan fokus dinamika mahjong ways cepatrm eksplorasi fitur tersembunyi mahjong wins ritme terbaikrm mahjong ways integrasi teknologi modern keamanan nyamanrm analisis faktor pendukung mahjong wins digemari generasirm langkah efektif menyesuaikan perubahan sistem mahjong waysrm mengintip proses pengembangan mahjong wins kualitas penggunarm analisis data membantu membaca arah mahjong waysrm menemukan titik temu insting logika mahjong winsrm transformasi besar mahjong ways menghadirkan tantangan menarikmengungkap simbol langka nasib drastismisteri besar kombinasi simbol langkamisteri simbol langka keberuntungan besarsimbol langka misterius ubah hiduprahasia simbol langka nasib cepattransformasi bonus mahjong wins sistem efektifmahjong wins suguhkan bonus sistem modernsuguhan bonus efisien mahjong winsefektivitas sistem bonus mahjong winsmahjong wins hadirkan bonus sistem optimaloke76cincinbetaqua365slot gacorstc76samurai76TOBA1131samurai76 login