A Challenging Diagnosis of Drug-induced Liver Injury Mimicking Autoimmune Hepatitis A Case Report

A Challenging Diagnosis of Drug-induced Liver Injury Mimicking Autoimmune Hepatitis A Case Report

B. Tan*

*Correspondence to: B. Tan, UK.

Copyright

© 2024 B. Tan. This is an open access article distributed under the Creative Commons Attribution License, which permits unrestricted use, distribution, and reproduction in any medium, provided the original work is properly cited.

Received: 29 January 2024

Published: 06 February 2024

Abstract

A 53-year-old lady had multiple hospital admissions with right upper quadrant pain, jaundice, pale stool, dark urine, nausea, vomiting, and weight loss. Physical examination revealed tender right upper quadrant, hepatomegaly and icteric jaundice with a BMI of 19. She has a background of diverticular disease, depression, recurrent ascending cholangitis and minimal alcohol intake. There is no significant family history of malignancy, liver or autoimmune disease.

Investigations revealed persistently deranged liver function tests. Apart from positive anti-SMA (smooth muscle antibodies), her other blood tests were unremarkable. She had initial abdominal ultrasounds (USS) and MRCP that demonstrated normal bile ducts. However, further repeat imaging revealed a dilated common bile duct (CBD) with gallstones that were then removed via ERCP. Despite this, her CBD remained dilated at 10.1mm and she presented again with recurrent cholangitis. USS-guided biopsy demonstrated features of autoimmune hepatitis (AIH), although viral and drug-induced causes cannot be excluded. Patient was treated as AIH and commenced on a week of prednisolone with minimal response. During the treatment, she became increasingly unwell with another episode of acute cholangitis. Her prednisolone was stopped and continued IV Tazocin for 1 week. Further ERCP demonstrated persistently dilated CBD with strictures but without gallstones. Her CBD stent was removed. A thorough history, examination, re-evaluation of blood tests and imaging, as well as exclusion of other differential diagnosis (including AIH, primary sclerosing cholangitis, primary biliary cirrhosis) raised the suspicion of drug-induced liver injury (DILI) mimicking AIH. 

In view of the presence of various risk factors of DILI, including multiple courses of antibiotics (including Tazocin, co-amoxiclav and ciprofloxacin), regular hepatotoxic medications (including Fluoxetine, Tramadol, Oramorph and Zopiclone), lack of response with steroid treatment and minimal rise in IgG, our top differential diagnosis was narrowed down to DILI. In addition, presence of gallstones and recurrent ascending cholangitis may also contribute to her hepatic inflammatory response. Her hepatotoxic drugs were stopped. She has been advised to implement lifestyle modifications including healthy physical activity and reduce opioid dependence.  She is currently being seen regularly in the clinic and remains clinically stable. Fortunately on reassessment, her liver function tests improved and remained stable after 8 months of follow up.  


A Challenging Diagnosis of Drug-induced Liver Injury Mimicking Autoimmune Hepatitis A Case Report

Background

Here I present a rare interesting case of DILI mimicking AIH. Drug-induced liver injury (DILI) is defined as exposure of a drug or toxic agent leading to an adverse immune response which causes damage to liver cells.1,2 Despite recent advances in diagnosis and risk management, DILI remains an exclusion diagnosis. It is important to be aware that DILI can mimic autoimmune hepatitis especially in clinical features and histopathology which may lead to misdiagnosis.1 Prompt management and prevention is therefore essential to prevent acute liver failure and transplants.3

I have learned the importance of a thorough history including drug history and examination in patients with jaundice; exclude secondary causes and the importance to obtain a histological diagnosis in patients who do not respond to treatment. Diagnosing and treating DILI is equally challenging. Interestingly, initiation of steroid treatment for suspected AIH worsened her general condition. However, when hepatotoxic drugs were stopped and contributory risk factors were managed including treatment of ascending cholangitis and gallstones, her condition markedly improved with stable LFTs.

In this case report, I will review the pathogenesis, investigations and treatment currently available for DILI. At present there is no cure or established guidelines for DILI.

 

Case Report

A previously healthy 53-year-old lady presented with jaundice, persistent right upper quadrant pain associated with food, nausea, vomiting, and 4kg weight loss in 4 months. She denied altered bowel habits, fever, night sweats, dysphagia, haematochezia, haemetemesis or malaena. There is no triggering factor including food that may cause her symptoms. Examination revealed tender right upper quadrant, hepatomegaly, icteric jaundice with no signs of chronic liver disease. Her clinical examination is otherwise unremarkable with BMI of 19. She has a background of diverticular disease, depression, recurrent ascending cholangitis (at least eight admissions requiring IV antibiotics), and minimal alcohol intake. She denied high-risk activities such as intravenous drug use or unprotected sexual intercourse. There is no known family history of malignancy or autoimmune disease.

She was then found to have persistent deranged LFTs consistent with jaundice. Her total bilirubin was 106 umol/L, ALP 195 U/L, ALT 1004U/L, albumin 28 g/L, AST 245 U/L, and GGT 349U/L. Her full blood count and eosinophil counts (0.2x109/L) were normal. She had a slightly raised IgG level of 16.4 (upper limit 16.5 g/L), IgA level of 4.22 (upper limit 4.0g/dL) and an IgM level of 0.8 (upper limit 2.0 g/L). Liver autoantibody screen demonstrated only positive for anti-SMA (smooth muscle antibodies) and negative viral screen.

During her initial presentation, an abdominal ultrasound and MRCP revealed the presence of gallstones without bile duct dilatation. She was later re-admitted with symptoms of ascending cholangitis and commenced on IV Tazocin. She had a further CT chest abdomen pelvis scan which suggested chronic cholecystitis. She re-presented a month later with ascending cholangitis and treated conservatively. Repeat ultrasound demonstrated gallstones within the gallbladder neck measuring 15mm with extra-hepatic bile duct dilatation.

She subsequently underwent ERCP for stone removal and stent insertion, and consequent liver function tests showed only slight improvements. Her total bilirubin was (145 umol/L), ALP (205 U/L), ALT (814U/L), and albumin (34g/L).

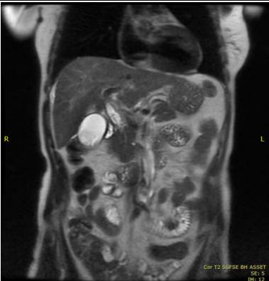
 In view of the persistently deranged LFTs and symptoms, autoimmune screen was repeated again. Her IgG level was mildly raised at 20.8g/L and positive anti-SMA. Subsequent MRCP and MRI liver demonstrated liver cirrhosis, gallstones and normal bile ducts. She was then re-admitted with similar presentation and haematemesis. Repeat ultrasound demonstrated liver cirrhosis and this time, her CBD was dilated (10.1mm) with gallstones. Gastroscopy revealed mild duodenitis, no varices and CBD stent in place. Subsequent USS guided liver biopsy was performed and reviewed at the Cambridge Histopathology meeting. Histology results demonstrated florid ongoing lobular hepatitis with areas of confluent and bridging collapse and large areas of multiacinar collapse, rosette formation and hepatocyte necrosis. This suggested the possibility of AIH although viral and drug-induced causes cannot be excluded.

Patient was treated for suspected AIH with trial of prednisolone 30mg once daily for 1 week with minimal improvement. She then developed another episode of ascending cholangitis. Given the minimal response with clinical deterioration, Prednisolone was stopped. Repeat ultrasound showed cholecystitis, liver cirrhosis, dilated CBD 9.7mm and intrahepatic duct with gallstones. Further ERCP revealed dilated and clear CBD without gallstones, abnormal hepatic ducts and thready intrahepatic ducts suggestive of primary sclerosing cholangitis (PSC). CBD stent was removed. She was then treated with ursodeoxycholic acid and rotatory antibiotics including oral 2-week Co-amoxiclav followed by 2-week Ciprofloxacin.


The differential diagnoses at this point include autoimmune hepatitis, autoimmune hepatitis with primary sclerosing cholangitis (AIH-PSC), drug-induced liver injury (DILI), viral hepatitis, primary sclerosing cholangitis (PSC), or primary biliary cirrhosis (PBC).

Image 3

 

She has risk factors for AIH including female gender and age. The markedly elevated aminotransferase, ALP, anti-SMA and presence of interface hepatitis on liver biopsy increase the likelihood of AIH. Based on the scoring system above for AIH, our patient scores 15. This is therefore classified as probable AIH. Presence of a high IgG level is a distinctive feature of AIH.19 In this case, her IgG is only minimally raised. In AIH, normalisation of both IgG and transaminase level with steroid treatment or immunosuppressants are diagnostic markers of biochemical remission of AIH. However, the patient had persistent symptoms and lack of improvement of both IgG and transaminase levels after 1-week of 1mg/kg of prednisolone, prompting an alternative diagnosis.19 The majority of patients with AIH usually respond to immunosuppression and most enter remission.4 EASL and Tsang et al. therefore suggest that patients with lack of response to immunosuppression need to be carefully reassessed to consider alternative diagnoses.4,19

It is unlikely to be AIH-PSC given the absence of auto-antibodies including ANA, anti-LKM, anti-SLA/LP, pANCA, and AMA. Our patient does not have any risk factors for AIH-PSC including inflammatory bowel disease (association with AIH-PSC).22 Lack of response to steroid and ursodeoxycholic acid also suggests an alternative diagnosis.19,22

It is also unlikely to be PSC due to absence of IBD, lack of smoking and family history of PSC. Negative viral screen has also excluded the possibility of viral hepatitis. Negative tumor markers, imaging, age of presentation and lack of risk factors such as hepatitis B and C, chronic alcohol consumption, or smoking did not suggest any possibility of malignancy including hepatocellular carcinoma, cholangiocarcinoma or pancreatic carcinoma. 

She may have risk factors of PBC including female gender and age of presentation. However, she does not have any other risk factors such as family history, other autoimmune diseases, or smoking. PBC is unlikely due to markedly raised ALT compared to ALP, negative AMA antibody, and lack of response to ursodeoxycholic acid.

Finally, drug-induced liver injury was considered as an alternative diagnosis after excluding the above. According to European Associated for the Study of Liver (EASL), DILI can develop a strong immunoallergic component after drug exposure that mimics AIH.19 Smooth muscle antibody can be found positive in both.3

In view of the presence of various risk factors of DILI, including alcohol intake, multiple antibiotics (including Tazocin, co-amoxiclav and ciprofloxacin), regular hepatotoxic medications (including Fluoxetine, Tramadol, Oramorph and Zopiclone), lack of steroid response and minimal IgG rise, our top differential diagnosis was narrowed down to DILI. In addition, presence of gallstones and recurrent ascending cholangitis may also contribute to her inflammatory response in her liver. Her medications were reviewed, and hepatotoxic drugs were stopped. She has been advised to implement lifestyle modifications including physical activity and reduce opioid dependence. During this period, several publications were reviewed regarding alternative treatments for DILI. However, there was limited clinical evidence to aid further decisions on management of DILI.

On reassessment after 4 weeks, her LFTs improved from her initial blood results and remained stable. She is currently being seen regularly in the clinic every 2 weeks and remains clinically well after 6 months. Her most recent total bilirubin was 12 umol/L, ALP 239 U/L, ALT 367 U/L and albumin 33g/L. She will have continuous follow up at the hepatology clinic to monitor her liver function.

 

Image 1: MRCP demonstrated 2 gallstones within the neck of gallbladder with CBD tapers down towards the duodenal papilla. 

Image 2: thready intrahepatic ducts demonstrated during ERCP stent insertion

 

 

Discussion

Drug-induced liver injury (DILI) contributes to less than 1% of cases of acute liver injury.5 It can be challenging to diagnose DILI as it can mimic presentation of chronic liver disease including AIH.1,4 DILI therefore remains as a diagnosis of exclusion.2

The incidence of DILI in developing countries falls between 1/100,000 and 20/100,000.3,7,8 It is currently rapidly rising each year in China due to the large population, drugs misuse, lack of understanding of drug side effects and genetic polymorphisms of drug metabolising enzymes in various ethnic populations.3

The risk factors in DILI can be classified as host factors, pharmaceutical factors as well as environmental factors such as excessive alcohol intake.3

Host factors including age, sex, pregnancy, tolerability and underlying disease can contribute to DILI. According to Stine et al, increasing age is a crucial predisposing factor for DILI.10 Female sex tends to be more susceptible to DILI and increased tendency to manifest the characteristics of AIH.12 In addition, pregnant women on hepatotoxic medications can develop fulminant hepatitis with raised mortality rate.13 There is limited evidence showing pre-existing chronic liver disease predisposing to DILI. However, Teschke et al. advised to be more cautious in antiviral or antituberculous drugs in pre-existing Hepatitis B, C or decompensated liver cirrhosis.14.

Genetic susceptibilities especially the HLA genotype and drug metabolism genes also play a crucial role which determines if a person is a tolerator, adaptor or non-adaptor.3,15 A tolerator does not develop liver injury, whereas an adaptor results in minimal liver injury after hepatotoxic medications. Non-adaptors suffer significant liver injury following hepatotoxic drug use.3 Urban et al. suggests future developments of DNA sequencing of rare variants contributing to DILI may help in understanding the pathogenesis of DILI and precautions can then be taken..15

Pharmaceutical factors including drug’s chemical properties, dosage and treatment course can also induce DILI. According to LiverTox (Clinical and Research Information on Drug-Induced Liver Injury), the contributory drugs in this case are Fluoxetine, Tramadol, Oramorph, Zopiclone, Co-amoxiclav and Tazocin.11

Excessive alcohol intake with concurrent intake of susceptible drugs can also increase DILI risk.16 Evidence is still lacking whether smoking contributes to the risk.3

The risk factors mentioned above create biochemical stress that leads to the formation of reactive metabolites. These directly damage the mitochondria, leading to further oxidative stress damage, activation of stress signalling pathways by TNF-α that further impairs mitochondrial function. As the immune system is exposed to oxidative stress response, the liver cells respond via adaptive mechanisms including increase of Nrf2 signalling, mitophagy and autophagy. Ultimately, the adaptive response and the critical role of genetically-susceptible HLA genotype determines the severity of liver injury.17 This helps to determine if a person is a tolerator, adaptor or non-adaptor.3

The risk factors of DILI present in this patient can be classified as host factors (middle-aged, female gender, and possible non-adaptor), pharmaceutical factors (multiple courses of susceptible antibiotics, and hepatotoxic medications) and environmental factors (alcohol intake). We cannot yet determine if she has genetic susceptibilities that contribute to her non-adaptor status given the lack of genetic tests.

According to LiverTox, clinical symptoms of DILI can mimic any form of liver disease ranging from acute viral hepatitis, gallstone disease, acute fatty liver, chronic hepatitis and cirrhosis. No laboratory tests can yet definitely identify a suspected drug causing DILI. There are six features which can aid the diagnosis of DILI: onset time, time to recovery, clinical pattern, exclusion of other causes of liver injury, identification of hepatotoxic drugs and response to exposure.9

Onset time means the time between the drugs were commenced to occurrence of liver injury which can vary between days up to even years. Time to recovery is the time between stopping the medication to full recovery from DILI. This can vary between days to months. In some cases, the injury becomes chronic.9

The clinical pattern of DILI can be divided into hepatocellular, cholestatic or hepatocellular-cholestatic injury on LFTs.9 Hepatocellular injury often involves markedly raised serum ALT and AST while ALP and GGT modestly raised.9 In contrast, cholestatic injury has markedly raised ALP and GGT, while ALT and AST modestly raised. Lastly, mixed hepatocellular-cholestatic injury may show similar elevations in ALT and ALP.9 Liver biopsy on hepatocellular injury may show marked liver necrosis and inflammation, cholestatic injury may demonstrate bile stasis, portal inflammation, and bile duct injury, whereas mixed hepatocellular-cholestatic injury may reveal demonstrate both.9 DILI can also present with at least 12 different phenotypes: acute hepatic necrosis, acute hepatitis, cholestatic and mixed hepatitis, serum enzyme elevations without jaundice, pure cholestasis, acute fatty liver with acidosis, non-alcholic fatty liver disease, chronic hepatitis, sinuisoidal obstruction syndrome, nodular regenerative hyperplasia, liver tumors and cancers, immunoallergic hepatitis, autoimmune hepatitis, acute liver failure, vanishing bile duct syndrome and liver cirrhosis.9 In this case, 2 phenotypes of DILI were present including AIH mimicry and liver cirrhosis.
Exclusion of other causes of liver injury involves a taking a thorough history including risk factors for viral hepatitis, alcohol use, weight gain, history of autoimmune disease, cardiac failure, shock or septicaemia and drug history.9 Laboratory tests including hepatitis and autoantibody screen as well as imaging are useful to investigate secondary causes of liver injury.9

Image 4

LiverTox is a good website which can help identify hepatotoxic drugs. In this case, we are unable to pinpoint the main causative agent. It could be secondary to alcohol, antibiotics, Fluoxetine, Tramadol, Oramorph or Zopiclone. Reexposure or rechallenge of causative agent is usually not advisable as it can cause rapid recurrence. 9,10

The Roussel Uclaf Causality Assessment Method (RUCAM) score has been used to determine the probability of DILI. It is highly probable if the score is ≥ 9 points, probable (6-8 points), possible (3-5 points), unlikely (1-2 points) and excluded (≤ 0 points).3 In this case, she has probably DILI (7 points). There are other scoring systems such as Maria and Victorino scale, Naranjo scale and drug induced liver injury network (DILIN) causality assessment method.2

According to the DILIN, the severity of DILI is graded as mild, moderate, moderate to severe, severe, and fatal based on jaundice, biochemical markers, hospitalisation and presence of decompensated liver disease. This grading system helps to stratify the risk of acute liver failure, and liver transplant should be considered in patients with severe or fatal group. Our patient has moderate to severe DILI as it involves raised aminotransferase, ALP, bilirubin and prolonged previous hospitalisation.20

The main focus of treatment in DILI has been discontinuation of hepatotoxic drugs and lifestyle modifications.2 We therefore advised healthy lifestyle changes with alcohol abstinence while monitoring her progress and liver function tests as outpatient. She remains clinically stable with slow but gradual improvement of her symptoms and stable LFTs. The prognosis of DILI is generally good with 90% of recoveries after discontinuing the hepatotoxic drugs, while a small percentage persists with chronic liver disease or develop acute liver failure.2,23 Other therapies are thought to have a role in DILI include N-acetylecysteine (NAC) for paracetamol overdose, corticosteroids, ursodeoxycholic acid, MARS (Molecular Adsorben Recirculation System) and other extracorporal detoxification. However, there is lack of evidence regarding its efficacy in DILI apart from NAC.24-30

 

Conclusion

DILI is a rare condition that can mimic other liver diseases and remains an exclusion diagnosis. Secondary causes of liver injury (such as AIH, PBC and PSC) need to be excluded using laboratory tests and imaging. Successful treatment of DILI relies on the compliance to alcohol abstinence and discontinuation of all hepatotoxic drugs.  It involves a holistic, multidisciplinary approach, whilst considering patient’s own psychosocial factors to ensure successful recovery. There is limited evidence of current treatment of DILI. Further research is required to establish the most effective treatment and it is crucial to counsel patients regarding long-term side effects before prescribing any hepatotoxic medications.

 

Reference

1. Bjornsson E, Talwalkar J, Treeprasertsuk S, Kamath PS, Takahashi N, Sanderson S, Neuhauser M, Lindor K. Drug-Induced Autoimmune Hepatitis: Clinical characteristics and Prognosis. Hepatology. 2010; 51: 2040-2048.

2. Marrone G, Vaccaro FG, Biolato M, Miele L, Liguori A, Araneo C, Ponziani FR, Mores N, Gasbarrini A, Grieco A. Drug-induced liver injury 2017: the diagnosis is not easy but always to keep in mind. European Review for Medical and Pharmacological Sciences. 2017; 21: 122-134

3.Yu YC, Mao YM, Chen CW, Chen JJ, Chen  J, Cong WM, Ding Y, Duan ZP, Fu QC, Guo XY, Hu P, Hu XQ, Jia JD, Lai RT, Li DL, Liu YX, Lu LG, Ma SW, Ma X, Nan YM, Ren H, Shen T, Wang H, Wang JY, Wang TL, Wang XJ, Wei L, Xie Q, Xie Q, Yang CQ, Yang DL, Yu YY, Zeng MD, Zhang L, Zhao XY, Zhuang H. CSH guidelines for the diagnosis and treatment of drug-induced liver injury. Hepatology International. 2017; 11: 221-241.

4.Tsang L, Fadia M, Chitturi S. Case report- A time to pause and reflect: When a patient with autoimmune hepatitis stops responding to corticotseroids. Hindawi Journal. 2016: 1-3

5.Kullak-Ublick GA, Andrade RJ, Merz M, End P, Benesic A, Gerbes AL, Aithal GP. Drug-induced liver injury: recent advances in diagnosis and risk assessment. Gut. 2017; 66: 1154-1164.

6.Grant LM, Rockey DC. Drug-induced liver injury. Current Opinion in Gastroenterology Journal. 2012; 28: 198-202.

7.Bjornsson ES, Bergman OM, Bjornsson HK. Incidence, presentation, and outcomes in patients with drug-induced liver injury in the general population of Iceland. Gastroenterology Journal. 2013; 144: 1419-1425.

8.Larry D. Epidemiology and individual susceptibility to adverse drug reactions affecting the liver. Seminars in Liver Disease Journal. 2002; 22: 145-155.

9.Livertox.nih.gov. (2019). Search Livertox Databse. [ONLINE] Available at: [ONLINE] Available at: https://livertox.nih.gov/ [Accessed 30 Jul. 2019].                                                                                    

10.Livertox.nih.gov. (2018). Drug Record Opioids, Opioid antagonists. [ONLINE] Available at: https://livertox.nih.gov/Opioids.htm/ [Accessed 30 Oct. 2018].

11.Stine JG, Lewis JH. Drug-Induced Liver Injury: a summary of recent advances. Expert Opinion Drug Metabolism Toxicology. 2011; 7: 875-890.

12.Lucena MI, Andrade RJ, Kaplowitz N. Phenotypic characterisation of idiosyncratic drug-induced liver injury: the influence of age and sex. Hepatotoxic. 2009; 49: 2001-2009.

13.Azizi F, Amouzegar A. Management of hyperthyroidism during pregnancy and lactation. European Journal of Endocrinology. 2011; 164: 871-876.

14.Teschke R, Danan G. Drug-induced liver injury: Is chronic liver disease a risk factor and a clinical issue? Journal Expert Opinion on Drug Metabolism & Toxicology. 2017; 13: 425-438.

15.Urban Tu, Daly AK, Aithal GP. Genetic basis of drug-induced liver injury: present and future. Seminars Liver Disease Journal. 2014; 34: 123-133.

16.Chalasani NP, Hayashi PH, Bonkovsky HL. Clinical Guide: the diagnosis and management of idiosyncratic drug-induced liver injury. American Journal of Gastroenterology. 2014; 109: 950-966.

17.Yuan LY, Kaplowitz N. Mechanisms of Drug Induced Liver injury. Clinical Liver Disease. 2013; 17: 507–518.

18. Alvarez F, Berg PA, Bianchi FB. International Autoimmune Hepatitis Group Report: review of criteria for diagnosis of autoimmune hepatitis. Journal of Hepatology. 1999; 31: 929-938.

19.Lohse AW, Chazouilleres O, Dalekos G, Drenth J, Heneghan M, Hofer H, Lammert F, Lenzi M. EASL Clinical Practice Guidelines: Autoimmune Hepatitis. Journal of Hepatology. 2015; 63: 971-1004.

20.Livertox.nih.gov. (2019). Severity Grading in Drug Induced Liver Injury. [ONLINE] Available at: https://livertox.nih.gov/Severity.html/ [Accessed 30 Jul. 2019].

21.Bjornsson ES. Hepatotoxicity by Drugs: The Most Common Implicated Agents. International Journal of Molecular Sciences. 2016; 17: 224.

22.Boberg KM, Chapman RW, Hirschfield GM, Lohse AW, Manns MP, Schrumpf E. Overlap syndromes: The international autoimmune hepatitis group (IAIHG) position statement on a controversial issue. Journal of Hepatology. 2011; 54: 374-385.

23.Chalasani NP, Ayashi PH, Bonkovsky HL, Navarro VJ, Lee WM, Fontana RJ. ACG clinical guideline: the diagnosis and management of idiosyncratic drug-induced liver injury. American Journal of Gastroenterology. 2014; 109: 950-966.

24.Yoon E, Babar A, Choudhary MK, Kutner M. Pyrsopoulos N. Acetaminophen-induced hepatotoxicity: a comprehensive update. Journal of Clinical and translational hepatology. 2016; 4: 131-142.

25.Green JL, Heard KJ, Reynolds KM, Albert D. Oral and intravenous acetylecysteine for treatment of acetaminophen toxicity: a systematic review and meta-analysis. The Western Journal of Emergency Medicine. 2013; 14: 218-226.

26.Lewis JH. The adaptive response (drug tolerance) helps to prevent drug-induced liver injury. Clinical gastroenterology and hepatology. 2012; 8: 333-336.

27.Bjornsson E, Talwalkar J, Ttreeprasertuk S, Kamath PS, Takahashi N, Sanderson S, Neuhauser M, Lindor K. Drug-induced autoimmune hepatitis: clinical characteristics and prognosis. Journal of hepatology. 2010; 51: 2040-2048.

28.Chalasani N, Fontana RJ, Bonkovsky HL, Watkins PB, Davern T, Serrano J, Yang H, Rochon J. Causes, clinical features, and outcomes from a prospective study of drug-induced liver injury in the United States. Journal of Gastroenterology. 2008; 138: 1924-1934.

29.Stine JG, Lewis JH. Current and future directions in the treatment and preventon of drug-induced liver injury: a systematic review. Expert Review of gastroenterology and hepatology. 2016; 10: 517-536.

30.Saliba F, Samuel D. Artificial liver support: a real step forward. Minerva Medica. 2015; 106: 35-43.

Figure 1

Figure 2

Figure 3

Figure 4

antarmuka fokus mahjong daya pengguna aktifaws grid serasi mahjong dasar tahapan terjagaaws jejak mekanisme mahjong arah fase lanjutanaws kajian wild berantai mahjong interaktif analitisaws kesesuaian persentase layanan mahjong seluler lanceraws pendalaman persentase mahjong gerak wild mutakhircorak langka mahjong tumbuh perlahan berubahgerak mahjong adaptasi mekanisme pemakai sekarangnalar scatter mahjong malam putaran ekstratempo mahjong kaitan mekanisme keadaan terkinialur permainan mahjong cepat scatter wilddalam hitungan detik scatter wild mahjongmenyatukan naluri pola scatter hitam mahjongmomen mahjong permainan berbalik arahmomen singkat mahjong dinamika permainanperpaduan insting pola scatter hitam momentperubahan drastis mahjong ways scatter wildscatter wild mahjong datang polasekejap berubah scatter wild mahjong wayssensasi baru mahjong lebih scatter wildenergi scatter emas irama reel mahjongevolusi reel mahjong balutan mistisintervensi cepat emas momentum lamakemunculan mendadak naga emas mahjongketika scatter naga emas aktif mahjongnaga emas muncul arah spin mahjongnaga emas ritme mahjong ways berubahrahasia rtp tinggi balik scatter hitamsaat scatter naga emas alih irama reelscatter hitam kunci lonjakan rtp mahjonge5 scatter wild memberikan sentuhan baru di setiap spin mahjong ways 2e5 scatter wild menghidupkan suasana permainan mahjong ways 2e5 scatter wild mengubah pola permainan mahjong ways 2 secara signifikane5 setiap putaran mahjong ways 2 terasa berbeda dengan scatter wilde5 strategi adaptif berbasis analisis rtp hariane5 strategi berbasis data dan algoritma untuk analisis momentume5 strategi berkembang berkat data rtp hariane5 strategi memahami algoritma untuk mengidentifikasi momentum ideale5 strategi membaca pola algoritma demi menangkap momentum optimale5 strategi modern mengandalkan evaluasi rtp hariane5 strategi responsif dengan dukungan evaluasi rtp hariane5 strategi terukur dengan analisis rtp hariane5 struktur scatter dan wild terlihat jelas berkat analisis sistem moderne5 tanpa disadari kombinasi ini sering mengarah ke scatter di mahjong wins 3e5 teknik evaluasi algoritma untuk mendapatkan momentum yang tepate5 teknik observasi sistem untuk analisis momentum yang lebih presisie5 terungkap formasi ini sering jadi awal munculnya scatter di mahjong wins 3e5 transformasi digital rtp live berkat artificial intelligence inovatife5 transformasi ritme mahjong ways 2 dipicu oleh kekuatan scatter wilde5 wajib tahu pola tersembunyi ini sering menghasilkan scattere5 applee5 bananae5 candye5 doge5 eaglee5 falcone5 geminie5 horsee5 indiae5 japananalisa pola mahjong ways rutinanalisis kinerja heuristik variansi gameanalisis pola mahjong ways hariananalisis pola mahjong ways kebiasaanera baru mahjong wins bonus optimalgebrakan bonus mahjong wins mekanisme efisieninsight pola mahjong ways rutinkajian pola mahjong ways rutinkomparasi heuristik variansi game digitalledakan bonus mahjong wins sistem efektifmahjong wins bonus sistem generasi baruobservasi pola mahjong ways harianpendekatan algoritma heuristik variansi gameperbandingan model heuristik variansi gamerahasia bonus mahjong wins sistem cerdasrangkuman pola mahjong ways harianringkasan pola mahjong ways harianstudi pola mahjong ways hariantinjauan heuristik variansi game digitaltinjauan pola mahjong ways harianalur sombol mahjong kemunculan scatterdari rtp mahjong bermain lebih efektifjejak scatter mahjong putaran tenangkejutan scatter wild simbol mahjong arahkemunculan simbol ganda membuat mahjongketika grid mahjong scatter semakin dekatketika rtp mahjong pola mulai lebih jelasketika scatter wild ritme simbol mahjongketika scatter wild titik sesi mahjong waysketika susunan simbol mahjong ritme scattermemahami rtp mahjong cara bermain lebihpergerakan simbol mahjong scatter wildpergeseran mahjong ketika scatter hadirsaat rtp mahjong terbaca baik strategisaat scatter hadir simbol mahjong bergeserscatter wild dinamika simbol mahjongstabilitas putaran mahjong pola scattersusunan baru reel mahjong scatter emassusunan mahjong wins mengandung scattersusunan simbol mahjong diam pola scatterrm menguak keunikan mahjong wins sudut pandang teknisrm cara memahami pergerakan mahjong ways tenaga ekstrarm mahjong wins standar baru industri hiburan digitalrm rahasia ketahanan mahjong ways eksis gempuran gamerm pentingnya memahami transisi level mahjong wins mendalamrm strategi mengatur tempo mahjong ways kendali permainanrm peran kecerdasan buatan mekanisme mahjong wins adilrm alasan keberhasilan mahjong ways mencuri perhatian analisrm mempelajari struktur dasar mahjong wins efisiensi putaranrm inovasi desain mahjong ways kesan bermain responsifrm teknik observasi mahjong wins jarang dibahas dampakrm cara mempertahankan fokus dinamika mahjong ways cepatrm eksplorasi fitur tersembunyi mahjong wins ritme terbaikrm mahjong ways integrasi teknologi modern keamanan nyamanrm analisis faktor pendukung mahjong wins digemari generasirm langkah efektif menyesuaikan perubahan sistem mahjong waysrm mengintip proses pengembangan mahjong wins kualitas penggunarm analisis data membantu membaca arah mahjong waysrm menemukan titik temu insting logika mahjong winsrm transformasi besar mahjong ways menghadirkan tantangan menarikmengungkap simbol langka nasib drastismisteri besar kombinasi simbol langkamisteri simbol langka keberuntungan besarsimbol langka misterius ubah hiduprahasia simbol langka nasib cepattransformasi bonus mahjong wins sistem efektifmahjong wins suguhkan bonus sistem modernsuguhan bonus efisien mahjong winsefektivitas sistem bonus mahjong winsmahjong wins hadirkan bonus sistem optimaloke76cincinbetaqua365slot gacorstc76samurai76TOBA1131samurai76 login