A Case Report of a Challenging Diagnosis of Benign Pneumatosis Intestinalis – What can we do to Prevent Avoidable Surgery?

A Case Report of a Challenging Diagnosis of Benign Pneumatosis Intestinalis – What can we do to Prevent Avoidable Surgery?

B. Tan*

*Correspondence to: B. Tan, UK.

Copyright

© 2024 B. Tan. This is an open access article distributed under the Creative Commons Attribution License, which permits unrestricted use, distribution, and reproduction in any medium, provided the original work is properly cited.

Received: 29 January 2024

Published: 06 February 2024

 

Abstract

A 70-year-old male referred to the surgical outpatient clinic for investigation of weight loss. The patient also reported frequent episodes of acute on chronic abdominal pain, early satiety, bloating, loose stools and abdominal distension. On examination, his abdomen was distended with non-specific abdominal tenderness without any rigidity or guarding. His bowel sounds were present. There were no signs or symptoms of bowel obstruction. He was previously diagnosed with gastro-oesophageal reflux disease and vitamin D deficiency. He also had laparoscopic hernia repair in 2017. There was no significant family history.

Investigations to look for malignancy, infections, autoimmune disease, bowel adhesions and ischemic bowel were all unremarkable. Gastroscopy and colonoscopy were normal. He has normal blood tests apart from borderline raised amylase level, negative tumor markers and normal lactate. Faecal calprotectin and elastase were also normal. Computed tomography (CT) scan showed dilated small bowel with air in the bowel wall, which raised the suspicion of distal small bowel obstruction with perforation. Following the suspicion of perforated bowel, our patient was taken immediately to surgical theatre for an emergency diagnostic laparoscopy and subsequent exploratory laparotomy. During the surgery, he was found to have benign pneumatosis intestinalis involving distal jejunum and ileum with no perforation or malignant lesions. This was confirmed on histology results. Fortunately, patient made a remarkable recovery post-operatively and was referred to gastroenterology team.

During the follow up, he was referred to community dietician who recommended fermetable oligosaccharides, disaccharides, monosaccharides and polyols (FODMAP) which worsens his symptoms and further weight loss. Subsequent colonic transit time revealed normal gastrointestinal motility. He was then tested for bacterial overgrowth using hydrogen breath test which came back as positive. The patient was then treated with 2 weeks course of oral Ciprofloxacin and Metronidazole. During his subsequent reviews, patient continues to report satisfactory improvement in his symptoms after completion of course of antibiotics and cessation of FODMAP diet. He remains symptom-free and continues to gain weight after 4 months of follow up. He was then discharged to the care of his general practitioner (GP).


A Case Report of a Challenging Diagnosis of Benign Pneumatosis Intestinalis – What can we do to Prevent Avoidable Surgery?

Background

This is a rare and interesting case of benign pneumatosis intestinalis (BPI). BPI is a rare condition, defined as presence of gas within the bowel wall, affecting only 0.03% of the population.1,2 The choice of management can sometimes be challenging as pneumatosis intestinalis can present in a spectrum of conditions, ranging from benign to life-threatening causes.3 Misdiagnosis may therefore put the patients at risk of unnecessary surgery. It has been reported up to 27% of patients with benign pneumatosis intestinalis underwent avoidable surgery.4,5

Pneumatosis intestinalis (PI), despite its rarity, can impose a diagnostic challenge for surgeons and physicians. The main lesson I have learnt is that to diagnose BPI, a physician must perform a careful and thorough history taking and physical examination, identify relevant blood tests including serum lactate level and radiological findings of pneumatosis intestinalis should be interpreted in the context of clinical findings.3

In this case report, I will review the pathogenesis, investigations and treatment currently available for BPI. The main focus is to aid the diagnosis of BPI and exclude life-threatening pneumatosis intestinalis as the majority of BPI requires conservative management, whereas life-threatening PI often requires surgical exploration. Correct diagnosis is important to avoid unnecessary surgery, prolonged hospital stay, increase the cost of NHS as well as the morbidity and mortality associated with surgical interventions. However, there is no cure or established treatment for BPI at present.

 

Case Report

A previously healthy 70-year-old Caucasian male presented himself to our surgical outpatient clinic with unintentional weight loss of 5kg over 3 months. He also reported symptoms of acute on chronic abdominal pain, weight loss, early satiety, nausea, bloating, loose stools and abdominal distension. There was no triggering factor such as food and absence of symptoms of bowel obstruction. He is passing flatus and bowels opened 1-2x per day. He denied experiencing any fever, vomiting, night sweats, haematochezia, haemetemesis, constipation or malaena. There is no blood or mucous in his stools. He was previously diagnosed with gastro-oesophageal reflux disease and vitamin D deficiency. He had previous laparoscopic hernia repair in 2017 with no complications. There is no significant family history of malignancy or gastrointestinal diseases. He did not use any regular medications and never smoked or drank alcohol. He denied any recent travel, or taking part in any high-risk activities (such as intravenous drug use, unprotected sexual intercourse).

On arrival on the surgical unit, the patient was haemodynamically stable and afebrile. Abdominal examination revealed minimal abdominal distension with non-specific, generalised mild abdominal tenderness without any rigidity or guarding. His bowel sounds were present, passing flatus and he has normal bowel movements. PR examination was normal and there were no signs of bowel obstruction. He was underweight with a Body Mass Index BMI of 18 (normal range 18.5-25).

The initial differential diagnoses at this point were gastrointestinal malignancy, diverticulitis or infection, bowel adhesions, or ischemia.

His laboratory tests were requested consisting of full blood count, bone profile, liver and thyroid function test, coagulation profile, urea and electrolytes, C-reactive protein (CRP), anti-TTG, ESR, Immunoglobulins, infection screen (including HIV, hepatitis and tuberculosis quantiferon). His blood tests were unremarkable apart from borderline raised amylase of 105 U/L. He has normal albumin and serum lactate of 1.3mmol/L. His autoimmune antibody screen and tumor markers (including lactate dehydrogenase, alpha-fetoprotein, carcinoembryonic antigen, CA 19-9) and were negative. There was no evidence of sepsis, or metabolic acidosis and his observations were stable. He has normal faecal calprotectin and elastase level. Stool culture was also negative.

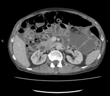
He underwent gastroscopy and colonoscopy which were normal. A CT chest, abdomen, and pelvis was then requested to exclude malignancy. However, it was reported as presence of a long segment of markedly dilated small bowel with air in the bowel wall, which appears to be the ileum. There were no peritoneal or pulmonary deposits and no definite obstructing lesion was visible. There was, however, a suspicious lesion in the ileo-cecal region. The reporting radiologist came to conclusion as distal small bowel obstruction with perforation. CXR and AXR were consistent with the findings of pneumatosis intestinalis.

 

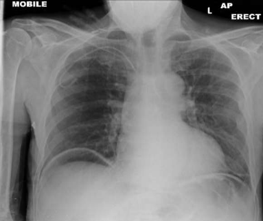
Figure 1: CXR demonstrated air below diaphragm

Figure 2: markedly dilated small bowel with air in the bowel wall, no peritoneal disease or malignant lesions

The patient was subsequently admitted to the acute surgical unit as an emergency. In view of the patient’s symptoms of abdominal pain and new findings on his CT scan, the decision was made to proceed with an emergency diagnostic laparoscopy and subsequent exploratory laparotomy. During the procedure he was found to have benign pneumatosis intestinalis involving the distal jejunum and ileum with intermittent patches of pneumatosis in the overlying peritoneum. There were no obstructive or malignant lesions. Small bowel resection was therefore not required and his abdominal incision was closed. Histology results were reported as presence of cystic spaces lined by foreign body giant cells in keeping with pneumatosis intestinalis. Fortunately, the patient made good post-operative recovery and he was discharged after 13 days with outpatient follow up from the surgical and gastroenterology team.

During the follow up, he was referred to the community dietician who recommended a low FODMAP diet as he felt that his diet contributed to his symptoms of abdominal bloating and loose stools. Unfortunately, his symptoms did not improve and he continued to lose weight. Faecal calprotectin and faecal elastase levels were repeated which were normal. He subsequently underwent a colonic transit time test which revealed normal gastrointestinal motility. A hydrogen breath test was then found to be positive for bacterial overgrowth. He was commenced on a 2-week course of oral Ciprofloxacin 500mg twice daily and Metronidazole 400mg three times daily. Wheat was then re-introduced into his diet to increase his carbohydrate intake as low FODMAP diet did not improve his symptoms. This has helped him to gain at least 3kgs in 2 months. On follow up, the patient stated that his symptoms significantly improved with the course of oral antibiotics and stopping the FODMAP diet. Our patient remained symptom-free after 4 months and clinically well. He was then discharged to the care of his GP.

 

Figure 3: presence of 4 radio-opaque markers on Day 3 indicates normal colonic transit time


Discussion

Pneumatosis intestinalis (PI) is a rare condition, defined as presence of gas within the bowel wall, affecting only 0.03% of the population.1,2 The intramural gas can appear cystic, bubbly, curvilinear or linear. It can also affect either or both the small or large bowel.6 In 1998, Pear et al proposed 4 hypotheses regarding the pathophysiology of PI: intestinal necrosis, mucosal breakdown, increased bowel wall permeability and lung pathology.6 In 2003, Peter et al. proposed its classification of pathophysiology of PI based on the origin of the gas: gastrointestinal intraluminal gas, production of bacterial gas, and gas from the respiratory tract.7 In 2019, Muratsu et al. suggested similar mechanisms including mechanical or increased intraluminal pressure, pulmonary alveolar rupture, bacterial invasion into bowel wall, and lastly chemical association with alpha-glucosidase inhibitor.18,19

The first hypothesis suggests that the increase in intraluminal pressure secondary to conditions such as bowel obstruction, blunt trauma or pyloric stenosis in infants, can lead to PI.7,18 It was also suggested by both Pear and Peter el al. that this process may be preceded by mucosal injury or breakdown, which then increases the gut permeability to intraluminal gas.6,7

Secondly, several authors have suggested that production and accumulation of bacterial gas can lead to PI. The factors including mucosal injury or raised intramural pressure or both can lead to bacterial invasion of the intestinal wall.7,18 Subsequent bacterial gas production can accumulate in the submucosa of the bowel wall leading to features of PI.7 The theory of counterperfusion supersaturation explain that as bacteria produce hydrogen gas, the hydrogen tension exceeds the nitrogen tension, causing hydrogen to diffuse across the submucosal vessels. This may explain the presence of gas near mesenteric blood vessels.8

An alternative source of PI is pulmonary gas.7,18 Peter et al. hypothesised that alveolar rupture in conditions such as obstructive airway disease, emphysema or interstitial lung disease can result in the tracking of air into mediastinal blood vessels, the retroperitoneum and the perivascular plane of the mesenteric bowel wall, causing features of PI.7

The last proposed mechanism is associated with chemical especially alpha-glucosidase inhibitors. Although the mechanism is poorly understood, several reports in Japan has reported association of alpha glucosidase inhibitor with PI.18,19

Moving on, the confirmatory diagnosis of PI are often made on computed tomography or plain abdominal X-ray films.9 However, CT scan is the most sensitive imaging modality for PI.10 Khalil et al. recommended a decision making algorithm for diagnosis of PI. In summary, when a CT abdomen demonstrates findings of PI, we should assess whether there is any other critical finding on the CT scan (such as mesenteric ischemia, bowel obstruction, bowel perforation, or portal venous gas), laboratory findings (including raised leucocyte/CRP, lactic acidosis, or metabolic acidosis), symptoms (such as bloody stools, nausea, vomiting, severe pain), and physical examination (including peritonism, bowel sounds, guarding or resistance to palpation). It is considered safe to observe in absence of these signs. If such adverse signs are present, then surgical exploration is still warranted. Kaomi et al also reported three risk factors as diagnostic criteria of bowel necrosis, including low systolic blood pressure, high serum lactate level and presence of PI.20 Conspicuous past medical history including pulmonary, gastrointestinal, autoimmune, immunodeficiency, infection, iatrogenic, vascular and drug-induced may also suggest benign PI rather than life-threatening PI.9

Figure 1 demonstrates the diagnostic criteria of PI proposed by Khalil et al.9
Figure 4

In our case, our patient was initially managed as an outpatient as he was clinically stable during the surgical assessment. An urgent CT abdomen and pelvis was requested to rule out malignancy, however, there was an incidental discovery of pneumatosis intestinalis extending from distal jejunum to the ileum and a suspicious lesion in the ileo-cecal region. Despite the lack of convincing evidence of obstruction, it was misreported as distal small bowel obstruction with perforation based on findings of dilated small bowels and intramural gas on the scan. The surgical team therefore decided to take the patient to theatre for emergency exploratory laparotomy and the diagnosis of benign PI was made intra-operatively and histologically.

Pneumatosis intestinalis presents in a spectrum of conditions, ranging from benign to life-threatening causes.3 It imposes a diagnostic challenge to differentiate between both conditions and a CT abdomen scan lacks the capability to distinguish between them. In addition, PI is a rare condition affecting only 0.03% of the population.1,2 If this patient had a perforated bowel secondary to gastrointestinal malignancy, delay in surgery would only have increased the risk of mortality and morbidity in the patient. Hence, the decision was to undertake emergency exploratory laparotomy at that crucial point.

However, there are also limitations during our workup procedure, which can be improved. Despite its rarity of benign PI, it is crucial to distinguish both benign and life-threatening PI as benign PI does not require surgical intervention. On the contrary, life-threatening PI does require emergency surgery. It has been proposed that up to 27% of patients with benign PI underwent avoidable surgery, thus increasing the risk of post-operative complications, mortality and morbidity.4,5 Greenstein et al. suggested that benign PI very often has mild or lack of abdominal symptoms, cardiopulmonary stability, normal levels of lactate, and absence of signs of sepsis or respiratory acidosis.11 On the contrary, patients with life-threatening PI usually present with signs of peritoneal irritation.9

According to the decision-making algorithm proposed by Khalil et al, our patient can be observed clinically and regularly re-assessed on background of lack of confirmatory CT scan findings, normal laboratory findings and stable physical condition on examination. Alternatively, an MRI scan of the small bowel can be performed to assess the “suspected lesion” in the ileo-cecal area when there is doubt. Masselli et al. commented that MRI small bowel has been used increasingly to evaluate the small bowel and it has excellent soft tissue contrast resolution, multiplanar imaging compatibility and lack of ionizing radiation.12-15 This may have prevented our patient from undergoing avoidable major surgery, and reduced the risk of associated complications and NHS costs.  

Apart from this, it is important to highlight the importance of understanding the pathophysiology of the mechanism of benign PI in order to manage the disease. When a patient presents benign PI, there are 3 main questions we should ask ourselves: Is the intramural gas originating from the intraluminal gastrointestinal tract secondary to conditions that can increase intraluminal gas pressure as mentioned in the discussion? Is the origin from bacterial gas production? Is the gas originating from the respiratory tract caused by lung pathology?7

In our case, the patient most likely developed excessive bacterial gas production, with contributory factors including mucosal injury and increased wall permeability, which may lead to bacterial invasion of intestinal wall and excessive hydrogen gas production. This results in features seen in benign PI. Further supporting evidence includes the positive hydrogen bacterial overgrowth test. Our patient responded to 2 weeks of oral Ciprofloxacin and Metronidazole and made a remarkable clinical improvement. According to a meta-analysis by Shah et al, antibiotics plays a more effective role than placebo in normalization of breath tests, which correlates with clinical improvement in patients with symptoms attributable to small intestinal bacterial overgrowth. Ciprofloxacin is also considered as the most effective antibiotic.16

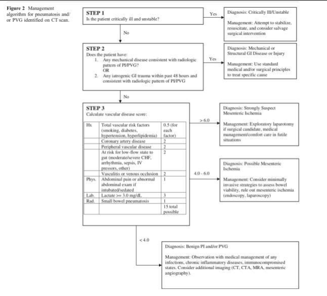
Figure 5

 

Figure 2 demonstrates alternative diagnostic algorithm for benign and life-threatening PI by Wayne et al with additional vascular risk factors.17 In his case study of 26 patients with benign PI, 92% of his patients with benign PI scored <4.0, whereas, only 8% had score >4.0 (which one had vascular risk factor, and another has lactate of 8.5). Serum lactate is normal in 96% of his cohort of benign PI.17 Our patient would score <4.0 in absence of vascular disease and normal serum lactate.

The main focus of treatment of benign PI is there to avoid surgery unless there is a surgical indication. Conservative management including daily observation and examination should be the first line of approach in benign PI. Although hydrogen breath test has not been suggested in current literatures, it is important to exclude bacterial overgrowth especially in patients with benign PI with non-specific symptoms such as nausea, abdominal pain, abdominal bloating, distension or altered bowel habits. There is no established medical treatment to treat unresolved benign PI. Further research is therefore required to explore any medical therapies to treat this condition.

 

Conclusion

Benign PI is a rare condition characterised by presence of gas in the bowel wall. It is extremely crucial to distinguish benign PI from life-threating PI as benign PI should be managed conservatively, whereas, life-threatening PI warrants immediate surgical intervention. Diagnosis and evaluation of benign PI should be undertaken using one of the diagnostic algorithm, imaging such as CT abdomen, serum lactate level, and correlate these findings with their clinical symptoms. Currently further research is necessary to establish if there is any medical therapy to treat benign PI such as antibiotics usage. Surgical resection can be considered in patients with low blood pressure, raised serum lactate level, confirm perforation on CT abdomen, signs of peritonism with or without presence of vascular disease. It is also important to perform hydrogen breath tests in patients with benign PI with suspected small intestinal bacterial overgrowth, as antibiotics can improve their clinical response and quality of life. In short, conservative management should be the first line of management in patients with benign PI as there is no evidence of benefit from surgical intervention. Unnecessary surgery can increase the mortality and morbidity secondary to post-operative complications and prolonged hospital stay as well as raise the financial burden of the NHS.

 

Reference

1. Braumann C, Menenakos C, Jacobi CA. Pneumaosis intestinalis – a pitfall for surgeons? Scandinavian Journal of Surgery. 2005; 94: 47-50.

2.Blair HA, Baker R, Albazaz R. Pneumatosis intestinalis an increasingly common radiological finding, benign or life-threatening? A case series. British Medical Journal Case Reports. 2015: 1- 4.

3.Jenkins M, Courtney H, Pope E, Williamson J. A case report and approach to management in pneumatosis intestinalis. Annals of Medicine and Surgery. 2017; 23: 25-27.

4.Akhtar S, Dawe N. Pneumatosis intestinalis presenting with a pneumoperitoneum in a patient with chronic bronchiectasis:  a delayed diagnosis of superior mesenteric artery Ischemic. British Medical Journal Case Reports. 2010: 1- 7.

5.Jamart J. Pneumatosis cystoides intestinalis, a statistical study of 919 cases. Acta Hepatogastroenterology. 1979; 26: 419 – 422.

6.Pear BL. Pneumatosis intestinalis: a review. Radiology. 1998; 207: 13-19.

7.Peter SSD, Abbas MA, Kelly KA. The spectrum of pneumatosis intestinalis. Archives of Surgery. 2003; 138: 68-75.

8.Florin T, Hills B. “Does counterperfusion supersaturation cause gas cysts in pneumatosis cystoides coli, and can breathing heliox reduce them?” The Lancet. 1995; 345: 1220– 1222.

9.Khalil PN, Wagner SH, Ladurner R, Kleespies A, Siegel M, Mutschler W, Hallfeldt K, Kanz KG. Natural history, clinical pattern, and surgical considerations of pneumatosis intestinalis. European Journal of Medical Research. 2009; 14: 231-239.

10.Ho LM, Paulson EK, Thompson WM. Pneumatosis intestinalis in the adults: benign or life threatening causes. American Journal of Roentgenology. 2007; 188: 1604-1613.

11.Greenstein AJ, Nguyen SQ, Berlin A, Corona J, Lee J, Wong E, Factor SH, Divino CM. Pneumatosis intestinalis in adults: management, surgical indications, and risk factors for mortality. Journal of Gastrointestinal Surgery. 2007; 11: 1268-1274.

12.Masselli G, Casciani E, Polettini E, Laghi F, Gual G. Magnetic resonance imaging of small bowel neoplasms. Cancer imaging. 2003; 13: 92-99.

13.Masselli G, Brizi GM, Parrella A. Crohn disease: magnetic resonance enteroclysis. Abdominal Imaging. 2004; 29: 326-328

14.Masselli G, Gualdi G. MR imaging of the small bowel. Radiology. 2012; 264: 333-348.

15.Weyenberg VSJ, Meijerink MR, Jacobs MA. MR enteroclysis in the diagnosis of small bowel neoplasms. Radiology. 2010; 254: 765-773.

16.Shah SC, Lukejohn WD, Somsouk M, Sewell JL. Meta-analysis: antibiotic therapy for small intestinal bacterial overgrowth. Alimentary Pharcology and Therapeutics. 2013; 38: 1-17.

17.Wayne E, Ough M, Wu A, Liao J, Andresen KJ, Kuehn D, Wilkinson N. Management algorithm for pneumatosis intestinalis and portal venous gas: treatment and outcome of 88 consecutive cases. Journal Gastrointestinal of Surgery. 2010; 14: 437-448.

18.Muratsu A, Muroya T, Yui R, Nakamura F, Kishimoto M, Sakuramoto K, Kuwagata Y. Factors associated with bowel necrosis in patients with hepatic portal venous gas and pneumatosis intestinalis. Acute Medicine and Surgery. 2019: 1- 6.

19.Tsujimoto T, Shioyama E, Moriya K. Pneumatosis cystoides intestinalis following alpha-glucosidase inhibitor treatment: a case report and review of the literature. World of Journal Of Gastroenterology. 2008; 14: 6087-6892.

20.Kaomi H, Isa T, Ishimine T. Risk factors for bowel necrosis in patients with hepatic portal venous gas. Surgery Today. 2015; 45: 156-161.

Figure 1

Figure 2

Figure 3

Figure 4

Figure 5

antarmuka fokus mahjong daya pengguna aktifaws grid serasi mahjong dasar tahapan terjagaaws jejak mekanisme mahjong arah fase lanjutanaws kajian wild berantai mahjong interaktif analitisaws kesesuaian persentase layanan mahjong seluler lanceraws pendalaman persentase mahjong gerak wild mutakhircorak langka mahjong tumbuh perlahan berubahgerak mahjong adaptasi mekanisme pemakai sekarangnalar scatter mahjong malam putaran ekstratempo mahjong kaitan mekanisme keadaan terkinialur permainan mahjong cepat scatter wilddalam hitungan detik scatter wild mahjongmenyatukan naluri pola scatter hitam mahjongmomen mahjong permainan berbalik arahmomen singkat mahjong dinamika permainanperpaduan insting pola scatter hitam momentperubahan drastis mahjong ways scatter wildscatter wild mahjong datang polasekejap berubah scatter wild mahjong wayssensasi baru mahjong lebih scatter wildenergi scatter emas irama reel mahjongevolusi reel mahjong balutan mistisintervensi cepat emas momentum lamakemunculan mendadak naga emas mahjongketika scatter naga emas aktif mahjongnaga emas muncul arah spin mahjongnaga emas ritme mahjong ways berubahrahasia rtp tinggi balik scatter hitamsaat scatter naga emas alih irama reelscatter hitam kunci lonjakan rtp mahjonge5 scatter wild memberikan sentuhan baru di setiap spin mahjong ways 2e5 scatter wild menghidupkan suasana permainan mahjong ways 2e5 scatter wild mengubah pola permainan mahjong ways 2 secara signifikane5 setiap putaran mahjong ways 2 terasa berbeda dengan scatter wilde5 strategi adaptif berbasis analisis rtp hariane5 strategi berbasis data dan algoritma untuk analisis momentume5 strategi berkembang berkat data rtp hariane5 strategi memahami algoritma untuk mengidentifikasi momentum ideale5 strategi membaca pola algoritma demi menangkap momentum optimale5 strategi modern mengandalkan evaluasi rtp hariane5 strategi responsif dengan dukungan evaluasi rtp hariane5 strategi terukur dengan analisis rtp hariane5 struktur scatter dan wild terlihat jelas berkat analisis sistem moderne5 tanpa disadari kombinasi ini sering mengarah ke scatter di mahjong wins 3e5 teknik evaluasi algoritma untuk mendapatkan momentum yang tepate5 teknik observasi sistem untuk analisis momentum yang lebih presisie5 terungkap formasi ini sering jadi awal munculnya scatter di mahjong wins 3e5 transformasi digital rtp live berkat artificial intelligence inovatife5 transformasi ritme mahjong ways 2 dipicu oleh kekuatan scatter wilde5 wajib tahu pola tersembunyi ini sering menghasilkan scattere5 applee5 bananae5 candye5 doge5 eaglee5 falcone5 geminie5 horsee5 indiae5 japananalisa pola mahjong ways rutinanalisis kinerja heuristik variansi gameanalisis pola mahjong ways hariananalisis pola mahjong ways kebiasaanera baru mahjong wins bonus optimalgebrakan bonus mahjong wins mekanisme efisieninsight pola mahjong ways rutinkajian pola mahjong ways rutinkomparasi heuristik variansi game digitalledakan bonus mahjong wins sistem efektifmahjong wins bonus sistem generasi baruobservasi pola mahjong ways harianpendekatan algoritma heuristik variansi gameperbandingan model heuristik variansi gamerahasia bonus mahjong wins sistem cerdasrangkuman pola mahjong ways harianringkasan pola mahjong ways harianstudi pola mahjong ways hariantinjauan heuristik variansi game digitaltinjauan pola mahjong ways harianalur sombol mahjong kemunculan scatterdari rtp mahjong bermain lebih efektifjejak scatter mahjong putaran tenangkejutan scatter wild simbol mahjong arahkemunculan simbol ganda membuat mahjongketika grid mahjong scatter semakin dekatketika rtp mahjong pola mulai lebih jelasketika scatter wild ritme simbol mahjongketika scatter wild titik sesi mahjong waysketika susunan simbol mahjong ritme scattermemahami rtp mahjong cara bermain lebihpergerakan simbol mahjong scatter wildpergeseran mahjong ketika scatter hadirsaat rtp mahjong terbaca baik strategisaat scatter hadir simbol mahjong bergeserscatter wild dinamika simbol mahjongstabilitas putaran mahjong pola scattersusunan baru reel mahjong scatter emassusunan mahjong wins mengandung scattersusunan simbol mahjong diam pola scatterrm menguak keunikan mahjong wins sudut pandang teknisrm cara memahami pergerakan mahjong ways tenaga ekstrarm mahjong wins standar baru industri hiburan digitalrm rahasia ketahanan mahjong ways eksis gempuran gamerm pentingnya memahami transisi level mahjong wins mendalamrm strategi mengatur tempo mahjong ways kendali permainanrm peran kecerdasan buatan mekanisme mahjong wins adilrm alasan keberhasilan mahjong ways mencuri perhatian analisrm mempelajari struktur dasar mahjong wins efisiensi putaranrm inovasi desain mahjong ways kesan bermain responsifrm teknik observasi mahjong wins jarang dibahas dampakrm cara mempertahankan fokus dinamika mahjong ways cepatrm eksplorasi fitur tersembunyi mahjong wins ritme terbaikrm mahjong ways integrasi teknologi modern keamanan nyamanrm analisis faktor pendukung mahjong wins digemari generasirm langkah efektif menyesuaikan perubahan sistem mahjong waysrm mengintip proses pengembangan mahjong wins kualitas penggunarm analisis data membantu membaca arah mahjong waysrm menemukan titik temu insting logika mahjong winsrm transformasi besar mahjong ways menghadirkan tantangan menarikmengungkap simbol langka nasib drastismisteri besar kombinasi simbol langkamisteri simbol langka keberuntungan besarsimbol langka misterius ubah hiduprahasia simbol langka nasib cepattransformasi bonus mahjong wins sistem efektifmahjong wins suguhkan bonus sistem modernsuguhan bonus efisien mahjong winsefektivitas sistem bonus mahjong winsmahjong wins hadirkan bonus sistem optimaloke76cincinbetaqua365slot gacorstc76samurai76TOBA1131samurai76 login