Diaphragmatic Eventration in a 15-Month-Old Girl Presented with Recurrent Hiccups Only

Diaphragmatic Eventration in a 15-Month-Old Girl Presented with Recurrent Hiccups Only

Dr. Ahmed Moosa Assery *1

*Correspondence to: Dr. Ahmed Moosa Assery. Paediatrics Ambulatory Care Consultant, King Abdulaziz Medical City, National Guard Medical Affairs, Family Medicine-Ambulatory care, NGCSC.

Copyright

© 2024: Dr. Ahmed Moosa Assery. This is an open access article distributed under the Creative Commons Attribution License, which permits unrestricted use, distribution, and reproduction in any medium, provided the original work is properly cited.

Received: 02 February 2024

Published: 14 February 2024


Abstract

The hiccups are involuntary, spasmodic contractions of the diaphragm and intercostal muscles that results in sudden inspiration and ends with abrupt closure of the glottis. As shown in the table below (table 1) it is either of central or peripheral reasons and even under the peripheral reasons most of the paediatrics medical references did not mentioned the diaphragmatic eventrations per say as a leading cause of hiccups. i report here a case of 15 months old girl with bouts of hiccups since birth and with further work up found to be having a diaphragmatic eventration after an incidental chest x-ray performance. After the eventration correction her hiccup disappeared completely so this raised an important hidden question for all cases of long-term hiccups in children’s, shall we consider the possibility of DE in the differential diagnosis in each paediatrics hiccup presentation like what is in the adult hiccup differential diagnosis.

Keywords:

DH: Diaphragmatic hernia.

DE: Diaphragmatic eventration.

CXR: Chest x-ray.

BA: Bronchial asthma.

FU: Follow up.

KAMC: King Abdulaziz medical City.

POP: Post-operative.

PHC: primary health Center.

US: Ultrasound


Diaphragmatic Eventration in a 15-Month-Old Girl Presented with Recurrent Hiccups Only

Introduction

There are numerous causes of hiccups in children showed in (table 1) and still the gastric elements are the commonest cause in the paediatrics group.

The diaphragmatic eventration as a surgical disorder that mostly congenital in origin result from a defect of inadequate development of the diaphragmatic muscles or absence of the phrenic nerve, few cases of the diaphragmatic eventration can be acquired in origin like that result from injury of the phrenic nerve occurring during the birth trauma or the thoracic surgeries.

Table 1: Causes of hiccups in children

Though of that as you see the in preceding table and as I researched in most of the paediatrics literatures and publishments, I did not find anybody frankly impacted the ‘’DE’’ as a direct cause of the hiccups in children’s per say in contrast to what occurring in adults despite the seldom reported frank cases in them pointed to the ‘’DH’’ as a causative agent for adults’ hiccups.


Case Presentation

A 15-month-old girl who presented to my clinic with an episode of diarrhoea, cough and mild shortness of breath since of the ‘’BA’’ episode she is known to have and among the inspection I noticed a few bouts of hiccup between the coughs, further history taken from the mother about that bout of hiccups that was seeming not of value to the mother. That history questions directed about presence of any eventful pre-natal or peri-natal history like birth trauma or maternal or neonatal perinatal infections, head traumas, neck lumps, recurrent vomiting with abdominal distension, regurgitations, long term fever, chest traumas, contact with tuberculosis patient, also about the vaccination status which were came all with negative history from the mother side. Mother completed all prenatal clinical visits without any medical problems and mentioned normal results of all pre-natal gestation US images.

From the detailed history about this hiccup the mother mentioned it started to observe it after first attack of child’s bronchial asthma at seven months old, it comes almost ten to thirteen times per day mainly at the bedtime extending almost 3-5 minutes in each, exaggerated mainly by the bronchial asthma cough, and laying supine position but no certain reliving factors.

That hiccups was not bothering the child’s daily activities like interplaying or eating but sometimes interferes with her sleeping.

The mother despite of that did not seek a medical advice about that hiccups and most of the child’s visit to the clinics were since of the ‘’BA’’ attacks. Mother mentioned only one time among the clinical visits to their family physician in ‘’PHC’’ she asked about that hiccups and he reassured her as it is something transient and will self-limit with time and advice to burp the child frequently.

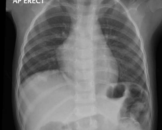
Clinically the patient was entirely normal and CXR done for her showed a marked elevation of the right diaphragm mostly diaphragmatic eventration (Figure 1) with a further request from the radiologist to rule out the presence of diaphragmatic hernia (Figure 2).

 

Figure 1: The initial chest x-ray of the patient showing a right sided diaphragmatic eventration

Figure 2: The radiology report of the initial x-ray

Further diaphragm M-mode ultrasound done and showed a paresis on the right hemi-diaphragm (Figure 3).

 

Figure 3: The radiology report of the diaphragm M-mode ultrasound


Review of the patient’s outpatient medical records showed a regular visit to the well-baby clinic for vaccinations (without any concern about this hiccup from the parents or the physician who check the child) and one visit to my clinic with complaint of diarrhoea and cough the visit I focused on the hiccups presentation (Figure 4).

Figure 4: The first presentation visits of the patient to my clinic

Apart from the ‘’CXR’’ and the diaphragm M-mode ultrasounds no further laboratory and radiological work up done for the patient to rule out the non-thoracic causes of this hiccup.

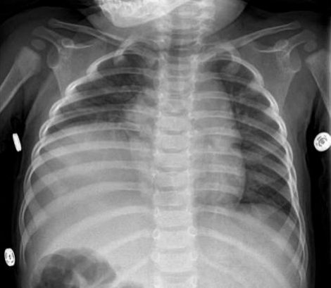
A paediatrics surgery consultation done, and the patient seen by paediatrics surgeon after five months and diaphragmatic repair done for the patient (Figure 5) with a subsequent clinical and radiological follow up which showed a significant ‘’CXR’’ findings improvement (Figure 6) with complete absence of the hiccup in the out-patient follow up with my clinic (Figure 7).

Figure 5: The first day post-operative report in the PICU for the patient

Figure 6: The post-operative chest-x-ray done for the patient in the PICU

 

Figure 7: The first follow-up visits of the patient post-operatively with my out-patients clinic

The patient given a subsequent follow up appointments that came without any further complications from the surgery or reoccurrence of the symptoms.

 

Discussion

The prevalence hiccup in the children’s is still not well estimated (though few studies have been done in the adults only with hiccups caused by advanced cancers) and despite of that most of the paediatrics references mentioned that the most common cause of hiccups is the gastric distension whatever is the cause of that distension.

No reference or literature mentioned the direct relation between the hiccups in children with any coexisting congenital thoracic anomalies like ‘’DE’’ except few literatures I have collected one of them published on the Journal of Family Medicine and Primary Care ( 2014 Apr – Jun; 3(2): 161-163) which did not pointed directly by the name of the ‘’DE’’ as direct cause of hiccups on children's, but in this current special case and after focussing on the hiccup history with subsequent radiological study findings of the diaphragmatic defect and with ultimate hiccup resolution with the correction of that eventration we concluded a distinct and incised cause of the hiccups in paediatrics that nobody mentioned previously in a clear cut that there is a definite relation between the hiccup and the ‘’DE’’.

So, is it rationale to do ‘’CXR’’ with every child with prolonged intermittent hiccup as a role or not? And the next related leading question why in this case specially such defect of the ‘’DE’’ not diagnosed prenatally?

 

Conclusion

From the cinereous of the mentioned case as a paediatrician ( or even general practitioner doctor) don't turn a blind eye any long term frequent hiccups episodes in children's and don't hesitate in doing a radiological assessment for that to roll out any missed serious cardio-thoracic anomalies.

 

Rationale for consent of the patient’s family to publish the case:

The patient’s father talked about all the rationales behind publishing the case in this medical journal and he agreed on that and signed on a paper that kept secretly in our institution’s medical records to respect the patient’s privacy and also for any unsuspected further medico-legal claims from the family side.

 

References

1.All attached figures taken from our main official operating computer system screens in KAMC (National Guard Hospital).

2.UpToDate (Wolters Kluwer) website, Prince G, Sergel M. Persistent hiccups as an atypical presenting complaint of COVID-19. Am J Emerg Med 2020; 38:1546.

3.The Journal of Family Medicine and Primary Care ( 2014 Apr – Jun; 3(2): 161-163).

Figure 1

Figure 2

Figure 3

Figure 4

Figure 5

Figure 6

Figure 7

aws antarmuka mahjong navigasi mudah pemulaaws emosi stabil mahjong alur jernihaws inovasi pgsoft mahjong interaktif modernaws mahjong kepercayaan visual stabil pengalamanaws manajemen risiko mahjong tumbling ramaiaws pergeseran algoritma volatilitas scatter hitamaws reputasi mahjong sistem rasional konsistenaws sinkronisasi formasi ritme lucky nekoaws tata letak simbol mahjong spasialaws validasi sinyal mahjong ritme objektifbaby masuk plisberkah dari tuhancahaya menerangidoa dari tuhanpasti masuk fixcinta lama kembalicurhatan dari temanmahjong wins so seru bestiepasti bisa dongsemangat boskuevaluasi gates of olympus pola outcomeanalisis mahjong ways dinamika rtp longitudinalevaluasi mahjong ways 2 frekuensi scattermahjong wins 3 analisis scatter rtpmahjong ways perilaku rtp polaanalisis variabilitas rtp mahjong waysdistibusi simbol adaptif rtp online modernstuktur pola simbol penentui rtp onlinemengungkap mekanisme rtp slot digitalmekanisme distribusi simbol rtp kasino onlinedinamika distribusi simbol rtp stabilmengamati perubahan hasil mahjong wayspendekatan membaca hasil mahjong waysfluktuasi mahjong ways kajian polaeksplorasi mahjong ways online pola ritmeanalisis mendalam mahjong ways pola sesie5 strategi adaptif permainan berbasis data rtp hariane5 strategi cerdas permainan mengacu pada data rtp hariane5 strategi dinamis permainan dengan analisis data rtp hariane5 strategi modern yang fleksibel berlandaskan data rtp hariane5 strategi responsif permainan dengan data rtp hariane5 suguhkan bonus baru dengan sistem kerja lebih efektif mahjong wins 3e5 tabir misteri scatter dan wild terkuak berkat analisis data mendalame5 tampilkan inovasi bonus dengan pendekatan efisien dengan ai di mahjong wins 3e5 tawarkan mekanisme bonus baru yang lebih efisien di mahjong wins 3e5 transformasi sistem rtp live berkat dukungan teknologi ai modernd astagad beranid cacingd emasd fired goatd hourd jilld kold lineera baru kasino digital daya tarik utamaera baru kasino online kecerdasan buataninovasi mahjong metode terbaru praktisinovasi platform kasino digital desainkecerdasan buatan evolusi kasino digitalmahjong dilengkapi pembayaran cepat efisienmahjong pgsoft inovasi digital terbarumahjong ways pgsoft terbaru praktisoptimalisasi kasino online sistem interktifoptimalisasi sistem digital perilaku pemainpanduan mahjong ways pgsoft terbaru amanperkembangan pesar kasino online teknologiplatftom kasino online modern strukturpola rtp paling viral analisis tentang kerjanyapola rtp viral terbaru hari ini ungkap kerjanyarahasia pola rtp live viral tentang sistemnyarevolusi kasino online lebih inspiratiftransformasi cepat kasino berkat perantren viral rtp live terbaru cara baliknyaupdate rtp terbaru ahli cara kerjanyamahjong ways dingin taktik aman pemainmahjong ways pola misterius stabilmahjong ways sedang stabil versi pemainpola menentu mahjong pendekatan santaipola tidak terbaca halus bermain mahjong wayssaat pola mahjong ways cara amansantai tapi cara main mahjong waysstrategi santai pola tertebak mahjongtanpa pola jelas mahjong bermain amantanpa sinyal mahjong strategi cerdase5 pendekatan strategis fleksibel berbasis rtp hariane5 pengembangan rtp live dengan teknologi artificial intelligence terdepane5 perkenalkan bonus inovatif dengan performa optimal di mahjong wins 3e5 pola bermain adaptif dengan dukungan data rtp hariane5 pola tersembunyi scatter dan wild mulai terlihat lewat algoritmae5 rahasia di balik scatter dan wild mulai terkuak melalui analisis sisteme5 rahasia sistem scatter dan wild terungkap dari analisis terstrukture5 revolusi digital rtp live melalui teknologi ai berbasis datae5 rilis fitur bonus canggih dengan kinerja maksimal di game mahjonge5 sistem rtp live generasi baru dengan dukungan ai cerdascincinbetaqua365oke76slot gacorstc76samurai76TOBA1131samurai76 login