Measles-Associated Appendicitis Diagnosed on Histopathology

Measles-Associated Appendicitis Diagnosed on Histopathology

Samia Ashiq1, Yasmeen Ajaz1*, Ayesha Aijaz2 Ghodratollah Nowrasteh3

1. SAMIA ASHIQ, Medical Intern, Medcare hospital Al Safa, Dubai Health Authority (DHA)

2. YASMEEN AJAZ, Consultant Internal medicine and Endocrinology, Medcare hospital Al Safa

3. AYESHA AIJAZ, Medical student, year 3, Gulf medical university, Ajman

4. GHODRATOLLAH NOWRASTEH, Consultant General surgery, Medcare hospital Al Safa

*Correspondence to: Dr. Yasmeen Ajaz, Internal medicine, Medcare Hospital Al Safa.

Copyright

© 2024 Dr. Yasmeen Ajaz This is an open access article distributed under the Creative Commons Attribution License, which permits unrestricted use, distribution, and reproduction in any medium, provided the original work is properly cited.

Received: 05 February 2024

Published: 28 February 2024

DOI: https://doi.org/10.5281/zenodo.10721581

 

Abstract

Measles, caused by the highly contagious measles virus, is recognized for its respiratory and systemic manifestations. Typically, the diagnosis of measles can be made with the appearance of the characteristic maculopapular rash. However, histopathology has made it possible to make a diagnosis of measles from appendectomy samples even before the appearance of the symptoms [1,2]. This case reports details a patient with an uncommon measles complication of acute appendicitis who underwent appendectomy. Post-surgery, diagnosis of measles in the prodromal stage was made after observing the characteristic warthin-finkeldey giant cells in the hyperplastic mucosa associated lymphoid tissue of the appendix specimen.  this histopathological diagnosis aided in early intervention and treatment of measles before the onset of rash, symptoms, and potiential complications. This case report not only highlights appendicitis as a rare and uncommon complication of measles but also discusses the timely diagnosis of measles in the prodromal stage and the successful management of this virus.

Keywords- Measles, Appendicitis, Warthin-finkeldey cells.


Measles-Associated Appendicitis Diagnosed on Histopathology

Introduction

Measles, a highly contagious viral illness, characterized by fever with upper respiratory symptoms, conjunctivitis & followed by a distinctive maculopapular skin rash[2]. The causative agent, an enveloped RNA virus of the paramyxoviridae family, possesses a genome of 16,000 nucleotides. The incubation period ranges from 7 to 23 days with the characteristic rash usually appearing between 2 and 4 days after the prodrome. Cases of measles are infectious 4 days before rash onset until 4 days after the rash has appeared [5]. While the typical clinical manifestations of measles have been extensively documented, more attention needs to be shifted to explore less common atypical presentations and complications of measles including otitis media, bronchopneumonia, laryngotracheobronchitis, and rarely measles associated appendicitis.[2]

 

Case presentation

Our case is of a 32-year-old Male, with no known co-morbidities, who presented to the emergency department with fever of 38°C, vomiting, mild diarrhea, epigastric and umbilical pain radiating to the right iliac fossa. He had no significant past medical, surgical, family, social and travel history. He was conscious, alert and vitally stable.

On examination, abdomen was soft and lax, with epigastric, umbilical, and right lower quadrant tenderness and rebound tenderness. Lab investigations were ordered and showed positive leukocytosis of 11.2 x 109 per L .

CT abdomen and pelvis (fig.1) with contrast was ordered and it showed a relatively long pelvic appendix with diameter up to 6.6mm. On the post contrast scan, the distal end of the appendix showed some wall thickening and mural enhancement with low density centrally, representing early changes of appendix inflammation.

 

Figure 1 -CT Abdomen and pelvis

Based on the clinical examination, labs and imaging a diagnosis of acute appendicitis was made and patient was referred for laparoscopic appendectomy. An inflamed retrocecal appendix was removed. post operatively the patient was recovering well. Routinely A specimen was sent for histopathology. The histopathology results showed Hyperplastic mucosal lymphoid tissue with warthin-finkeldey like cells. The Morphology was consistent with the prodromal stage of measles. 1 day Later the patient presented with the characteristic maculopapular rash. IgM measles antibody was positive, and the patient was managed conservatively. 

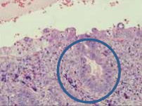
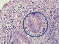
Figure 2a , Figure 2b

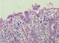
Figure 3a.  Figure 3b.

Figure 2a,2b- Perifollicular space shows multinucleated cells having the appearence of grape like clusters enclosing multiple, round, regular sized dark nuclei with inconspicuous nucleoli (warthin finkeldy like cells). Admixed eosinophils (8-10/hpf) seen. These warthin finkeldey like cells also seen with the germinal centre. Muscularis layer and serosa appears unremarkable. No evidence of parasite/granuloma/atypia.

Figure 3a, 3b-The section shows appendicular mucosa with surface epithelium and crypts showing frequent multinucleation with nuclear moulding and prominent nucleoli. Scattered intraepithelial neutrophils and also eosinophils seen. Lamina propria mildly expanded with hyperplastic lymphoid nodules showing prominent germinal centres.

 

Discussion

This case report delves into a fascinating aspect of measles pathology, specifically its involvement with the appendix, a phenomenon supported by sporadic case reports. In 1931, Warthin and Finkeldy were the ?rst to independently describe the appearance of giant cells tonsillar tissue during the prodromal stages of measles. One year later, these same giant cells were noted in appendectomy specimens by Herzberg and by Davidsohn and Mora.

Thereafter, there have been notably few case reports of measles-associated appendicitis in the  literature.[1,4]

In the beginning, the measle virus attaches to the respiratory lining cells and replicates. It then disseminates to the lymphoid tissues throughout the body. Replication of the virus in the lymphoid tissue induces lymphoid hyperplasia and formation of the characteristic reticuloendothelial giant cells and warthin-finkeldy cells. This can be clearly seen histopathologically in the appendix as the appendix contains MALT, therefore aiding in the diagnosis of measles like in our patient.[1]

The measles virus is notorious for its capacity to induce immune suppression leading to opportunistic infections. In prodromal patients, measle virus has been found to infect a range of cells, including memory CD4+ and CD8+ T cells, naive memory B cells, epithelial cells, macrophages, and dendritic cells.[5]

Measles is associated with significant morbidity and mortality. In 2017 it was reported that measles was responsible for more than 100 000 deaths worldwide every year, down from more than 2 million deaths annually before the widespread use of measles vaccine. Case fatality ratio estimates vary from <0.01% in developed countries to >5% in the developing countries.[3,5]

Vaccination with 2 doses of MMR in >95% of children is necessary to eliminate measles. Adults who have had measles in childhood are immune. Reduced measles, mumps and rubella (MMR) vaccination uptake has led to the decreased herd immunity and increase in measles cases throughout the world, so administering measles vaccine should be considered for unvaccinated travelers in high incidence countries.[3,5]

In conclusion, cases of measles have witnessed a resurgence due to decreased vaccination uptake, it has become imperative to explore the diverse clinical implications of this viral infection. This report aims to contribute to the growing body of knowledge surrounding measles-associated complications, focusing on the appendix and its potential involvement in the context of measles infection. Understanding such atypical presentations and the histopathological diagnosis of warthin-finkeldey giant cells is crucial for healthcare providers to enhance diagnostic acumen and provide timely intervention to decrease the disease course, minimize symptoms and prevent other severe complications.

 

Acknowledgements

None

Competing Interests

None declared

 

References

1.Paik, S., Oh, J. T., Choi, Y. J., Kwon, K. W., & Yang, W. (2002, January 1). Measles-Related Appendicitis. Archives of Pathology & Laboratory Medicine. https://doi.org/10.5858/2002-126-0082-mra

2.Hayley, G., Yvonne, A. (2023, March 14). Measles: Clinical manifestations, diagnosis, treatment, prevention. In M. S. Hirsch (Ed), S. L. Kaplan (Ed), UpToDate.

3.Healthcare Professionals: Clinical Resources. (2023, September 12). Centers for Disease Control and Prevention. https://www.cdc.gov/measles/hcp/index.html#features

4.Stadlmann, S., Lenggenhager, D., Alves, V. A. F., Nonogaki, S., Kocher, T., Schmid, H. R., & Singer, G. (2011, February 1). Histopathologic characteristics of the transitional stage of measles-associated appendicitis: case report and review of the literature. Human Pathology.

5.Laundy, N., Greig, J., Raza, M., & Mitchell, T. (2019, December 1). Delay in the diagnosis of measles complicated by pneumonitis and appendicitis in a returning traveller. Case Reports. https://doi.org/10.1136/bcr-2019-232652 .

Figure 1

Figure 2

Figure 3

Figure 4

Figure 5

antarmuka fokus mahjong daya pengguna aktifaws grid serasi mahjong dasar tahapan terjagaaws jejak mekanisme mahjong arah fase lanjutanaws kajian wild berantai mahjong interaktif analitisaws kesesuaian persentase layanan mahjong seluler lanceraws pendalaman persentase mahjong gerak wild mutakhircorak langka mahjong tumbuh perlahan berubahgerak mahjong adaptasi mekanisme pemakai sekarangnalar scatter mahjong malam putaran ekstratempo mahjong kaitan mekanisme keadaan terkinialur permainan mahjong cepat scatter wilddalam hitungan detik scatter wild mahjongmenyatukan naluri pola scatter hitam mahjongmomen mahjong permainan berbalik arahmomen singkat mahjong dinamika permainanperpaduan insting pola scatter hitam momentperubahan drastis mahjong ways scatter wildscatter wild mahjong datang polasekejap berubah scatter wild mahjong wayssensasi baru mahjong lebih scatter wildenergi scatter emas irama reel mahjongevolusi reel mahjong balutan mistisintervensi cepat emas momentum lamakemunculan mendadak naga emas mahjongketika scatter naga emas aktif mahjongnaga emas muncul arah spin mahjongnaga emas ritme mahjong ways berubahrahasia rtp tinggi balik scatter hitamsaat scatter naga emas alih irama reelscatter hitam kunci lonjakan rtp mahjonge5 scatter wild memberikan sentuhan baru di setiap spin mahjong ways 2e5 scatter wild menghidupkan suasana permainan mahjong ways 2e5 scatter wild mengubah pola permainan mahjong ways 2 secara signifikane5 setiap putaran mahjong ways 2 terasa berbeda dengan scatter wilde5 strategi adaptif berbasis analisis rtp hariane5 strategi berbasis data dan algoritma untuk analisis momentume5 strategi berkembang berkat data rtp hariane5 strategi memahami algoritma untuk mengidentifikasi momentum ideale5 strategi membaca pola algoritma demi menangkap momentum optimale5 strategi modern mengandalkan evaluasi rtp hariane5 strategi responsif dengan dukungan evaluasi rtp hariane5 strategi terukur dengan analisis rtp hariane5 struktur scatter dan wild terlihat jelas berkat analisis sistem moderne5 tanpa disadari kombinasi ini sering mengarah ke scatter di mahjong wins 3e5 teknik evaluasi algoritma untuk mendapatkan momentum yang tepate5 teknik observasi sistem untuk analisis momentum yang lebih presisie5 terungkap formasi ini sering jadi awal munculnya scatter di mahjong wins 3e5 transformasi digital rtp live berkat artificial intelligence inovatife5 transformasi ritme mahjong ways 2 dipicu oleh kekuatan scatter wilde5 wajib tahu pola tersembunyi ini sering menghasilkan scattere5 applee5 bananae5 candye5 doge5 eaglee5 falcone5 geminie5 horsee5 indiae5 japananalisa pola mahjong ways rutinanalisis kinerja heuristik variansi gameanalisis pola mahjong ways hariananalisis pola mahjong ways kebiasaanera baru mahjong wins bonus optimalgebrakan bonus mahjong wins mekanisme efisieninsight pola mahjong ways rutinkajian pola mahjong ways rutinkomparasi heuristik variansi game digitalledakan bonus mahjong wins sistem efektifmahjong wins bonus sistem generasi baruobservasi pola mahjong ways harianpendekatan algoritma heuristik variansi gameperbandingan model heuristik variansi gamerahasia bonus mahjong wins sistem cerdasrangkuman pola mahjong ways harianringkasan pola mahjong ways harianstudi pola mahjong ways hariantinjauan heuristik variansi game digitaltinjauan pola mahjong ways harianalur sombol mahjong kemunculan scatterdari rtp mahjong bermain lebih efektifjejak scatter mahjong putaran tenangkejutan scatter wild simbol mahjong arahkemunculan simbol ganda membuat mahjongketika grid mahjong scatter semakin dekatketika rtp mahjong pola mulai lebih jelasketika scatter wild ritme simbol mahjongketika scatter wild titik sesi mahjong waysketika susunan simbol mahjong ritme scattermemahami rtp mahjong cara bermain lebihpergerakan simbol mahjong scatter wildpergeseran mahjong ketika scatter hadirsaat rtp mahjong terbaca baik strategisaat scatter hadir simbol mahjong bergeserscatter wild dinamika simbol mahjongstabilitas putaran mahjong pola scattersusunan baru reel mahjong scatter emassusunan mahjong wins mengandung scattersusunan simbol mahjong diam pola scatterrm menguak keunikan mahjong wins sudut pandang teknisrm cara memahami pergerakan mahjong ways tenaga ekstrarm mahjong wins standar baru industri hiburan digitalrm rahasia ketahanan mahjong ways eksis gempuran gamerm pentingnya memahami transisi level mahjong wins mendalamrm strategi mengatur tempo mahjong ways kendali permainanrm peran kecerdasan buatan mekanisme mahjong wins adilrm alasan keberhasilan mahjong ways mencuri perhatian analisrm mempelajari struktur dasar mahjong wins efisiensi putaranrm inovasi desain mahjong ways kesan bermain responsifrm teknik observasi mahjong wins jarang dibahas dampakrm cara mempertahankan fokus dinamika mahjong ways cepatrm eksplorasi fitur tersembunyi mahjong wins ritme terbaikrm mahjong ways integrasi teknologi modern keamanan nyamanrm analisis faktor pendukung mahjong wins digemari generasirm langkah efektif menyesuaikan perubahan sistem mahjong waysrm mengintip proses pengembangan mahjong wins kualitas penggunarm analisis data membantu membaca arah mahjong waysrm menemukan titik temu insting logika mahjong winsrm transformasi besar mahjong ways menghadirkan tantangan menarikmengungkap simbol langka nasib drastismisteri besar kombinasi simbol langkamisteri simbol langka keberuntungan besarsimbol langka misterius ubah hiduprahasia simbol langka nasib cepattransformasi bonus mahjong wins sistem efektifmahjong wins suguhkan bonus sistem modernsuguhan bonus efisien mahjong winsefektivitas sistem bonus mahjong winsmahjong wins hadirkan bonus sistem optimaloke76cincinbetaqua365slot gacorstc76samurai76TOBA1131samurai76 login