Rare Localization of Osteoid Osteoma: Case Report and Review of the Literature.

Rare Localization of Osteoid Osteoma: Case Report and Review of the Literature.

Dr.Cherni Hamza *

*Correspondence to: Dr. Cherni Hamza, orthopedic consultant SALAMAT hospital (Hail, KSA).

Copyright

© 2024 Dr.  Cherni Hamza. This is an open access article distributed under the Creative Commons Attribution License, which permits unrestricted use, distribution, and reproduction in any medium, provided the original work is properly cited.

Received: 05 February 2024

Published: 01 March 2024

DOI: https://doi.org/10.5281/zenodo.10727190


Rare Localization of Osteoid Osteoma: Case Report and Review of the Literature.

Introduction

Osteoid osteoma is a benign osteoblastic tumor frequently found in the cortex of long bones (femur and tibia). Its located in the fingers and toes is very rare. It accounts around 10% of all primary bone tumors.

Classically, the most frequent clinical form is nocturnal pain, which disappears with the use of non-steroidal anti-inflammatory drugs (aspirin test).

A characteristic radiographic appearance of the tumor, when present, points to the diagnosis (nidus-like appearance surrounded by sclerosis), which is confirmed histologically.

The presence of osteoid osteoma in the phalanges of the toes is very likely to happen, and therefore a misdiagnosis is very likely.

The presence of local inflammatory signs (swelling and redness) raises the possibility of other diagnoses (infectious, metabolic, rheumatic...) as well as the cortical location of the nidus.

In this article, we present a case of osteoid osteoma in the distal phalanx of the big toe.

Keywords: osteoid osteoma, phalanx, foot.

 

Clinical Case

A 23-year-old woman presents with nocturnal pain of the right big toe, with persistent swelling, which has been present for a year and a half. Mistaken for an ingrown toenail, she underwent two operations with no improvement.

Clinical examination revealed pain at the base of the second phalanx of the big toe and localized edema. A positive aspirin test was performed.

 

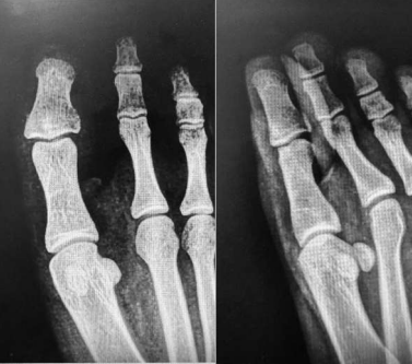
Figure 1: A radiographic work-up included an X-ray of the big toe, which was found to be normal despite the presence of a non-specific condensation at the base of distal phalanx.

Figure 2: An MRI was requested, showing a hyper-signal at the base of distal phalanx of the big toe.

Figure 3: A CT scan showed the nidus surrounded by sclerosis.

Figure 4: The patient underwent surgery. Excision of the bone tumor.

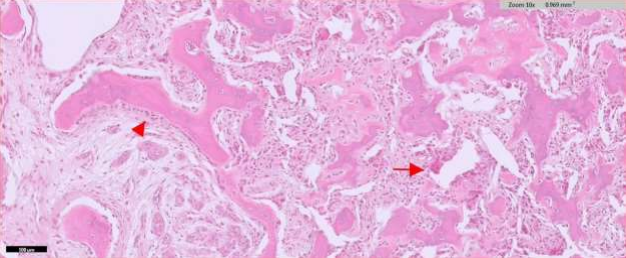
Figure 5: Histopathologic study confirm the diagnosis

 

Discussion

Osteoid osteoma is a benign primary bone tumor occurring in approximately 10% of cases. It is mainly seen in the cortices of long bones (femur and tibia) (1).

In our case, it’s located in the distal phalanx of the toe which is very rare to happen according to the literature (2).

Epidemiologically, a higher incidence among males was consistently observed, with a predominance in the 20-30 age range (3).

Clinically, it presents as nocturnal pain that is relieved by anti-inflammatory medication.

When it is seen in the toes, swelling (macrodactyly) is associated in 86% of cases (3), with inflammatory signs (redness and local heat) in 30% of cases (3), which can mislead the diagnosis. Differential diagnoses are often infectious (osteomyelitis) or paronychia.

Standard radiographic findings show the size of the tumor it could be normal sometimes. Bone lysis may be absent at first.

MRI aids diagnosis by showing bone marrow edema in the form of a hyper signal. Misdiagnosis occurs in 1/3 of cases (3).

CT is the technique of choice, with a sensitivity of 96-100% (3), and enables us to visualize the tumor in its pathognomonic form.

 Despite a typical anamnesis and simple clinical features that point to the diagnosis, an average delay of 12 months has been found in the literature between the appearance of signs and the establishment of the diagnosis (3). In our case, the delay was 18 months.

The treatment of choice is surgery, which allows both complete excision and rectification of the diagnosis in the event of infection or other factors.

The use of radiofrequency is sometimes difficult, given the risk of damage to the nail apparatus, skin necrosis and damage to adjacent vascular and nerve structures [4].

 

Reference

[1] ANGEL CASTILLO-FORTUÑO, Osteoid Osteoma of the Toe: A Rare Presentation with Diagnostic Challenges, Journal of the Belgian Society of Radiology. 2023; 107(1): 64, 1–4. https://doi.org/10.5334/jbsr.3250.

[2] Hakan BaGar, Osteoid Osteoma of Distal Phalanx of Toe: A Rare Cause of Foot Pain, Case Reports in Orthopedics Volume 2014, Article ID 560892, 4 pages http://dx.doi.org/10.1155/2014/560892

[3] Ruth thieman, difficult diagnosis of osteoid osteoma of the big toe orthopedist 2021. Orthopade 2021 50:689–699 https://doi.org/10.1007/s00132-021-04082-z

[4] Giampaolo Bianchi, Interventional Radiology’s Osteoid Osteoma Management: Percutaneous Thermal Ablation, J. Clin. Med. 2022, 11, 723. https://doi.org/10.3390/jcm11030723. 

Figure 1

Figure 2

Figure 3

Figure 4

Figure 5

antarmuka fokus mahjong daya pengguna aktifaws grid serasi mahjong dasar tahapan terjagaaws jejak mekanisme mahjong arah fase lanjutanaws kajian wild berantai mahjong interaktif analitisaws kesesuaian persentase layanan mahjong seluler lanceraws pendalaman persentase mahjong gerak wild mutakhircorak langka mahjong tumbuh perlahan berubahgerak mahjong adaptasi mekanisme pemakai sekarangnalar scatter mahjong malam putaran ekstratempo mahjong kaitan mekanisme keadaan terkinialur permainan mahjong cepat scatter wilddalam hitungan detik scatter wild mahjongmenyatukan naluri pola scatter hitam mahjongmomen mahjong permainan berbalik arahmomen singkat mahjong dinamika permainanperpaduan insting pola scatter hitam momentperubahan drastis mahjong ways scatter wildscatter wild mahjong datang polasekejap berubah scatter wild mahjong wayssensasi baru mahjong lebih scatter wildenergi scatter emas irama reel mahjongevolusi reel mahjong balutan mistisintervensi cepat emas momentum lamakemunculan mendadak naga emas mahjongketika scatter naga emas aktif mahjongnaga emas muncul arah spin mahjongnaga emas ritme mahjong ways berubahrahasia rtp tinggi balik scatter hitamsaat scatter naga emas alih irama reelscatter hitam kunci lonjakan rtp mahjonge5 scatter wild memberikan sentuhan baru di setiap spin mahjong ways 2e5 scatter wild menghidupkan suasana permainan mahjong ways 2e5 scatter wild mengubah pola permainan mahjong ways 2 secara signifikane5 setiap putaran mahjong ways 2 terasa berbeda dengan scatter wilde5 strategi adaptif berbasis analisis rtp hariane5 strategi berbasis data dan algoritma untuk analisis momentume5 strategi berkembang berkat data rtp hariane5 strategi memahami algoritma untuk mengidentifikasi momentum ideale5 strategi membaca pola algoritma demi menangkap momentum optimale5 strategi modern mengandalkan evaluasi rtp hariane5 strategi responsif dengan dukungan evaluasi rtp hariane5 strategi terukur dengan analisis rtp hariane5 struktur scatter dan wild terlihat jelas berkat analisis sistem moderne5 tanpa disadari kombinasi ini sering mengarah ke scatter di mahjong wins 3e5 teknik evaluasi algoritma untuk mendapatkan momentum yang tepate5 teknik observasi sistem untuk analisis momentum yang lebih presisie5 terungkap formasi ini sering jadi awal munculnya scatter di mahjong wins 3e5 transformasi digital rtp live berkat artificial intelligence inovatife5 transformasi ritme mahjong ways 2 dipicu oleh kekuatan scatter wilde5 wajib tahu pola tersembunyi ini sering menghasilkan scattere5 applee5 bananae5 candye5 doge5 eaglee5 falcone5 geminie5 horsee5 indiae5 japananalisa pola mahjong ways rutinanalisis kinerja heuristik variansi gameanalisis pola mahjong ways hariananalisis pola mahjong ways kebiasaanera baru mahjong wins bonus optimalgebrakan bonus mahjong wins mekanisme efisieninsight pola mahjong ways rutinkajian pola mahjong ways rutinkomparasi heuristik variansi game digitalledakan bonus mahjong wins sistem efektifmahjong wins bonus sistem generasi baruobservasi pola mahjong ways harianpendekatan algoritma heuristik variansi gameperbandingan model heuristik variansi gamerahasia bonus mahjong wins sistem cerdasrangkuman pola mahjong ways harianringkasan pola mahjong ways harianstudi pola mahjong ways hariantinjauan heuristik variansi game digitaltinjauan pola mahjong ways harianalur sombol mahjong kemunculan scatterdari rtp mahjong bermain lebih efektifjejak scatter mahjong putaran tenangkejutan scatter wild simbol mahjong arahkemunculan simbol ganda membuat mahjongketika grid mahjong scatter semakin dekatketika rtp mahjong pola mulai lebih jelasketika scatter wild ritme simbol mahjongketika scatter wild titik sesi mahjong waysketika susunan simbol mahjong ritme scattermemahami rtp mahjong cara bermain lebihpergerakan simbol mahjong scatter wildpergeseran mahjong ketika scatter hadirsaat rtp mahjong terbaca baik strategisaat scatter hadir simbol mahjong bergeserscatter wild dinamika simbol mahjongstabilitas putaran mahjong pola scattersusunan baru reel mahjong scatter emassusunan mahjong wins mengandung scattersusunan simbol mahjong diam pola scatterrm menguak keunikan mahjong wins sudut pandang teknisrm cara memahami pergerakan mahjong ways tenaga ekstrarm mahjong wins standar baru industri hiburan digitalrm rahasia ketahanan mahjong ways eksis gempuran gamerm pentingnya memahami transisi level mahjong wins mendalamrm strategi mengatur tempo mahjong ways kendali permainanrm peran kecerdasan buatan mekanisme mahjong wins adilrm alasan keberhasilan mahjong ways mencuri perhatian analisrm mempelajari struktur dasar mahjong wins efisiensi putaranrm inovasi desain mahjong ways kesan bermain responsifrm teknik observasi mahjong wins jarang dibahas dampakrm cara mempertahankan fokus dinamika mahjong ways cepatrm eksplorasi fitur tersembunyi mahjong wins ritme terbaikrm mahjong ways integrasi teknologi modern keamanan nyamanrm analisis faktor pendukung mahjong wins digemari generasirm langkah efektif menyesuaikan perubahan sistem mahjong waysrm mengintip proses pengembangan mahjong wins kualitas penggunarm analisis data membantu membaca arah mahjong waysrm menemukan titik temu insting logika mahjong winsrm transformasi besar mahjong ways menghadirkan tantangan menarikmengungkap simbol langka nasib drastismisteri besar kombinasi simbol langkamisteri simbol langka keberuntungan besarsimbol langka misterius ubah hiduprahasia simbol langka nasib cepattransformasi bonus mahjong wins sistem efektifmahjong wins suguhkan bonus sistem modernsuguhan bonus efisien mahjong winsefektivitas sistem bonus mahjong winsmahjong wins hadirkan bonus sistem optimaloke76cincinbetaqua365slot gacorstc76samurai76TOBA1131samurai76 login