Inappropriate ADH Secretion After Colloid Cyst Surgery; A Possible Situation

Inappropriate ADH Secretion After Colloid Cyst Surgery; A Possible Situation 

Sarah Alouane 1, Chafik HANDIS *1, Yacine Felissi 1, Salim MEZIANI 1, Radhia Ait Chalal 2, Abdelhalim MORSLI 1

1. Department of Neurosurgery, Mohamed Lamine Debaghine University Hospital, University of Algiers, Algiers, Algeria.

2. National Center of Medical Imaging, Mohamed Lamine Debaghine University Hospital, University of Algiers, Algiers, Algeria.

*Correspondence to: Chafik Handis, Department of Neurosurgery, Mohamed Lamine Debaghine University Hospital, University of Algiers, Algeria.

Copyright

© 2024 Chafik Handis., This is an open access article distributed under the Creative Commons Attribution License, which permits unrestricted use, distribution, and reproduction in any medium, provided the original work is properly cited.

Received: 04 March 2024

Published: 15 March 2024

DOI: https://doi.org/10.5281/zenodo.10848077

 

Abstract

We report a case of 71 years 71-year-old man for the surgical management of a third ventricular colloid cyst. the procedure consisted of a transfrontal transventricular resection, with a good postoperative status. After his discharge, the patient consulted for headaches and confusion. Biological investigations revealed hyponatremia that was managed finally with a fluid restriction protocol, and the diagnosis of an inappropriate ADH secretion was retained. the specific parameter of this case is the occurrence of this syndrome after an unusual colloid cyst surgery using a transventricular approach.

Keywords: ADH, Hyponatremia, colloid cyst.


Inappropriate ADH Secretion After Colloid Cyst Surgery; A Possible Situation

Introduction

The third ventricle is located deep within the diencephalic region, with a close relationship to several important structures as; the hypothalamus, the thalami, the fornices, and corpus callosum. Third ventricular tumors are rare and accounting only 0.6 to 0.9? of the other neoplasms that affect the brain  (1). The most common tumor is a colloid cyst, which is a benign cyst often located adjacent to the foramen of monro causing occasionally uni or biventricular hydrocephalus. They represent 2? of all ventricular tumors   (2). Although colloid cysts are benign brain tumors their treatment modalities and techniques are still controversial (3).

Several risks and complications were associated with the surgery of third ventricular tumors. Authors reported; seizures related to the transcortical approach, and short –term memory loss from fornix manipulation during the dissection around the interventricular foramen (4) . Hypothalamic disorders were also reported in 0.9? of cases after endoscopic third ventriculocisternostomy (5).

The syndrome of inappropriate antidiuresis (SIAD) is a condition where the antidiuretic hormone is released without regulation in the blood. it’s considered to be the most common cause of hypotonic hyponatremia (6). This condition of hyponatremia is reported to affect 15 to 30? of patients in hospitals(7). For the first time to our knowledge, we report on the case of a patient who underwent a microsurgical resection of a colloid cyst through a transfrontal approach and presented 5 days postoperatively a hyponatremia that was managed as an SIAD.


Case Presentation

A 71 year old man with a history of hyper blood pressure well controlled with angiotensine inhibitor and a thiazide diuretic . He was mainly complaining for several weeks of intermittent headaches. These symptoms were followed by several episodes of vomiting and gait disturbances.

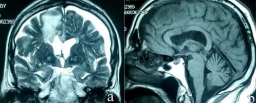
During his admission, he was awake, without major deficit However, we noticed slight recent memory disorders, otherwise he didn’t present a motor deficit in his four limbs. Considering his history of raised intracranial pressure, we have performed an eye fundus that was normal as well as the rest of the ophthalmological evaluation .A brain CT scan showed an isodense lesion, in the midline close to Monroe’s foramina There was a  passive ventriculomegaly. In the MRI, the cyst appeared to be isointense in T1 sequences and hyperintense in T2. The anterior insertion of the cyst was close to the foramen of Monro. There was a passive hydrocephalus. (Figure 1).

Figure 1: Preoperative MRI: a- coronal T1 + contrast showing an isointense cyst projecting through the foramen of Monro with the venous system dropped over the edges of the cyst. b- sagittal T1 + contrast showing the position of the cyst and the interventricular foramina and the internal cerebral vein. a ventriculomegaly could be noticed favoring our transventriuclar approach.

He underwent a trans frontal trans ventricular approach, the resection of the colloid cyst was performed through the foramen of Monro with usual microsurgical technics. The postoperative course was uneventful, and the patient was discharged 3 days after surgery in a good clinical status.

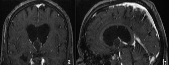
Unfortunately, two days after he consulted the emergency room. He was confused and drowsy. He had a fever without symptoms of meningitis. The MRI showed a good tumoral resection without any features of complications. (Figure 2)

However, the biological evaluation revealed a severe hyponatremia at 118mEq/L. The rest of the investigations revealed a urinary tract infection that was managed with a targeted antibioherapy. At the initial stage of management, we started the biological correction, but we didn’t achieve satisfying results. we have performed than a complete hypophysiogram that didn’t reveal specific disorders with normal functions of all the endocrine system axes. Further evaluations didn’t reveal kidney or liver dysfunctions and we didn’t notice clinical evidence of volume depletion.

 

Figure 2: Postoperative MRI: a; T2 coronal showing a total resection and liberation of the flow through the interventricular foramina. we can notice postoperative frontal edema without signal abnormalities of the hypothalamus.b- sagittal T1 showing the good status of the structures around the third ventricle without features of complication


The urine sodium level was ; 163.8 mEq/L (greater than 40 mEq/L), urine osmolality : 220 mOsmol/Kg.( greater than 100 mOsm/kg) .Considering these results, we have retained the diagnosis of a SIAD . we have conducted a specific scheme of fluid restriction with daily sodium levels evaluations. The fluid restriction was limited to 800 cc/24 hours.

We have maintained the restriction for 10 days and a significant improvement in the clinical status and the biological parameters was noticed. The sodium level was at 134 mEq/L before his discharge. The patient presented a better clinical status during his regular further follow-up.

 

Discussion

Third ventricular colloid cysts are benign tumors that are located close to critical structures such as the fornices, internal cerebral veins, and thalami. They are mainly revealed by headaches in 83? of the cases and Drop attacks in 8? (8). In the same report, the authors used a microscopic interhemispheric technique and noticed complications; supplementary motor area syndrome, memory disturbance, hemiplegia, and even seizures (8).

In another interesting work, they compared open and endoscopic approaches. The authors concluded that the endoscopic modality was associated with reduced operative time, length of stay in the hospital, and lower complication rates (9). Among these complications, we can notice; memory dysfunctions, seizures, and infections that were mainly related to microsurgical approaches. in reviewing more than 250 surgeries of colloid cysts resected through the transcranial route, the authors reported almost the same complications as motor deficit, and meningitis (10). One work evaluated precisely the complications related to the transcallosal transforaminal route to the colloid cyst and reported acute hydrocephalus, mutism, and subdural hematoma (11).

Hyponatremia is relatively frequent in hospitalized patients. Several percentages were reported from large studies, where ranges were between 5.5? to 28.8?. This condition was defined by serum Sodium levels lower than 135 mmol/L (12-14). Many researchers isolated this biological condition from trans locational hyponatremia induced by increased serum glucose or pseudo hyponatremia associated with serum lipids or proteins (15, 16).

in some reports, age was considered a strong factor for hyponatremia in hospitalized patients (17). Our patient was a 71 years old man, relatively younger than the age limit mentioned in the previous work.One of the most frequent etiology of hyponatremia is SIAD, representing close to 40 ? of cases (15). This pathological condition was defined as a water balance disorder in the body affecting its excretion. the secretion of the ADH is suppressed in similar conditions and elevated water intake generates the hyponatremia. One large international study investigated the causes of SIAD and reported that the origin was undetermined in 35.2 ? , induced by drugs in 17.8?, associated with pulmonary disease in 10.7? of cases, and related to some bacterial infection in 19?  (18).

SIAD was previously reported to be a following event after pituitary surgery, and some protocols were elaborated to prevent these conditions with satisfying results. The patient’s BMI was also considered in its occurrence in some situations (19, 20).

In our report, this serious condition was noticed after a third colloid cyst surgery. The microsurgical steps were usual. we have reached the right lateral ventricle using a corticotomy through the frontal cortex (F2). After identifying all the venous elements and choroid plexus, the foramen of Monro was identified and was filled with a cyst, that was first aspirated. The content was viscous and the cyst was dissected considering critical structure as the fornix and the internal cerebral veins. A small remnant of the cyst was coagulated at the end of the surgery.

The occurrence of hyponatremia after colloid cyst surgery is exceptional if not unique, without similar reports in the limits of our research. Hyponatremia was defined by serum levels of Sodium < 135mEq/L and it was considered one of a medical emergency. It’s revealed by several symptoms such as nausea, vomiting, confusion, and headaches and could be a life-threatening condition  (21) . One prospective study of patients with severe postoperative hyponatremia and seizures revealed that 27? of them died, 13? had paralysis and the rest of them stayed in a vegetative condition (22). Our patient presented confusion which is concomitant with the literature and his biological evaluation was also concluded to a hyponatremia. After eliminating all the other diagnoses of hyponatremia, and considering the results of biological studies, the SIAD was retained as an etiology for this postoperative hyponatremia. This was further proved by the improvement of the clinical status after fluid restriction. The volume of fluid intake of the patient during this situation ranged between 500 to 1000 ml as was mentioned in one study (23). fluid restriction was capitalized during the management of our case, however, this attitude could be ineffective. this was observed in a large international registry of more than 1500 patients with SIAD, with a mean Sodium level of 124 mmol/L. more than half (50?) of patients did not improve after fluid restriction (24). our patient had an 800ml intake of fluid per day during a period of 10 days.

To our knowledge, this is the first case of  SIAD reported after the microsurgical, transcortical surgery for the resection of a third ventricular colloid cyst. SIAD is one of the scenarios after pituitary surgery and even some guidelines were conceived to prevent the induced hyponatremia (25, 26).

This is the main specific parameter of our case. The etiologies that could be raised in the occurrence of this condition are first; some irritation of the hypothalamus during dissection probably that generated such biological disturbances. We didn’t notice hypothalamic symptoms after surgery and the postoperative MRI didn’t demonstrate ischemic lesions of this region. Several etiologies were considered in the process generating this condition; malignancies, drugs, pain, nausea, central nervous system disorders, and pulmonary infection (27). When our patient consulted, the investigation revealed a urinary tract infection that was successfully managed using adapted antibiotics.

 

Conclusion

Hyponatremia is a relatively frequent and serious biological disorder, encountered mainly in old and admitted-to-hospital patients. The diagnosis of exclusion of   SIAD is made after a deep investigation of all other possible etiologies of hyponatremia and a clear improvement after fluid restriction. This condition follows classically a pituitary surgery, but in our case was about a third ventricular colloid cyst resected using a transcortical technique which is unusual. A fluid restriction with electrolyte level control could be suitable after cranial surgeries to prevent similar situations and guarantee a safe discouragement of the patient.


Reference

1. Ahmed SI, Javed G, Laghari AA, Bareeqa SB, Aziz K, Khan M, et al. Third Ventricular Tumors: A Comprehensive Literature Review. Cureus. 2018;10(10):e3417.

2. Ravnik J, Bunc G, Grcar A, Zunic M, Velnar T. Colloid cysts of the third ventricle exhibit various clinical presentation: a review of three cases. Bosnian journal of basic medical sciences. 2014;14(3):132-5.

3. Connolly ID, Johnson E, Lamsam L, Veeravagu A, Ratliff J, Li G. Microsurgical vs. Endoscopic Excision of Colloid Cysts: An Analysis of Complications and Costs Using a Longitudinal Administrative Database. Frontiers in neurology. 2017;8:259.

4. Bruce DA. Complications of Third Ventricle Surgery. Pediatric Neurosurgery. 2008;17(6):325-30.

5. Bouras T, Sgouros S. Complications of endoscopic third ventriculostomy: a systematic review. Acta neurochirurgica Supplement. 2012;113:149-53.

6. Warren AM, Grossmann M, Christ-Crain M, Russell N. Syndrome of Inappropriate Antidiuresis: From Pathophysiology to Management. Endocrine Reviews. 2023;44(5):819-61.


7. Burst V. Etiology and Epidemiology of Hyponatremia. Frontiers of hormone research. 2019;52:24-35.

8. Ajlan A, Alwadee R, Basindwah S, Alsabbagh B, Alhumud MH, Alaskar AM. Outcomes and complications of microscopic transcallosal colloid cyst resection: A single institution experience. Surgical Neurology International. 2023;14:88.

9. Beaumont TL, Limbrick DD, Patel B, Chicoine MR, Rich KM, Dacey RG. Surgical management of colloid cysts of the third ventricle: a single-institution comparison of endoscopic and microsurgical resection %J Journal of Neurosurgery. 2022;137(4):905-13.

10. Nair S, Gopalakrishnan CV, Menon G, Easwer HV, Abraham M. Interhemispheric transcallosal transforaminal approach and its variants to colloid cyst of third ventricle: Technical issues based on a single institutional experience of 297 cases. Asian journal of neurosurgery. 2016;11(3):292-7.

11. Symss NP, Ramamurthi R, Kapu R, Rao SM, Vasudevan MC, Pande A, et al. Complication avoidance in transcallosal transforaminal approach to colloid cysts of the anterior third ventriclen: An analysis of 80 cases. Asian journal of neurosurgery. 2014;9(2):51-7.

12. Hoorn EJ, Lindemans J, Zietse R. Development of severe hyponatraemia in hospitalized patients: treatment-related risk factors and inadequate management. Nephrology Dialysis Transplantation. 2005;21(1):70-6.

13. Holland-Bill L, Christiansen CF, Heide-Jørgensen U, Ulrichsen SP, Ring T, Jørgensen JO, et al. Hyponatremia and mortality risk: a Danish cohort study of 279?508 acutely hospitalized patients. European journal of endocrinology. 2015;173(1):71-81.

14. Zilberberg MD, Exuzides A, Spalding J, Foreman A, Jones AG, Colby C, et al. Epidemiology, clinical and economic outcomes of admission hyponatremia among hospitalized patients. Current medical research and opinion. 2008;24(6):1601-8.

15. Warren AM, Grossmann M, Christ-Crain M, Russell N. Syndrome of Inappropriate Antidiuresis: From Pathophysiology to Management. Endocr Rev. 2023;44(5):819-61.

16. Liamis G, Rodenburg EM, Hofman A, Zietse R, Stricker BH, Hoorn EJ. Electrolyte disorders in community subjects: prevalence and risk factors. The American journal of medicine. 2013;126(3):256-63.

17. Hao J, Li Y, Zhang X, Pang C, Wang Y, Nigwekar SU, et al. The prevalence and mortality of hyponatremia is seriously underestimated in Chinese general medical patients: an observational retrospective study. BMC nephrology. 2017;18(1):328.

18. Fenske W, Maier SK, Blechschmidt A, Allolio B, Störk S. Utility and limitations of the traditional diagnostic approach to hyponatremia: a diagnostic study. The American journal of medicine. 2010;123(7):652-7.

19. Matsuyama J, Ikeda H, Sato S, Yamamoto K, Ohashi G, Watanabe K. Early water intake restriction to prevent inappropriate antidiuretic hormone secretion following transsphenoidal surgery: low BMI predicts postoperative SIADH. European journal of endocrinology. 2014;171(6):711-6.

20. Deaver KE, Catel CP, Lillehei KO, Wierman ME, Kerr JM. Strategies to reduce readmissions for hyponatremia after transsphenoidal surgery for pituitary adenomas. Endocrine. 2018;62(2):333-9.

21. Spasovski G, Vanholder R, Allolio B, Annane D, Ball S, Bichet D, et al. Clinical practice guideline on diagnosis and treatment of hyponatraemia. European journal of endocrinology. 2014;170(3):G1-47.

22. Arieff AI. Hyponatremia, convulsions, respiratory arrest, and permanent brain damage after elective surgery in healthy women. The New England journal of medicine. 1986;314(24):1529-35.

23. Krisanapan P, Vongsanim S, Pin-On P, Ruengorn C, Noppakun K. Efficacy of Furosemide, Oral Sodium Chloride, and Fluid Restriction for Treatment of Syndrome of Inappropriate Antidiuresis (SIAD): An Open-label Randomized Controlled Study (The EFFUSE-FLUID Trial). American journal of kidney diseases : the official journal of the National Kidney Foundation. 2020;76(2):203-12.

24. Verbalis JG, Greenberg A, Burst V, Haymann JP, Johannsson G, Peri A, et al. Diagnosing and Treating the Syndrome of Inappropriate Antidiuretic Hormone Secretion. The American journal of medicine. 2016;129(5):537.e9-.e23.

25. Snyder MH, Asuzu DT, Shaver DE, Vance ML, Jane JA. Routine postoperative fluid restriction to prevent syndrome of inappropriate antidiuretic hormone secretion after transsphenoidal resection of pituitary adenoma. Journal of neurosurgery. 2022;136(2):405-12.

26. Kristof RA, Rother M, Neuloh G, Klingmüller D. Incidence, clinical manifestations, and course of water and electrolyte metabolism disturbances following transsphenoidal pituitary adenoma surgery: a prospective observational study. Journal of neurosurgery. 2009;111(3):555-62.

27. Shepshelovich D, Leibovitch C, Klein A, Zoldan S, Milo G, Shochat T, et al. The syndrome of inappropriate antidiuretic hormone secretion: Distribution and characterization according to etiologies. European journal of internal medicine. 2015;26(10):819-24.

Figure 1

Figure 2

antarmuka fokus mahjong daya pengguna aktifaws grid serasi mahjong dasar tahapan terjagaaws jejak mekanisme mahjong arah fase lanjutanaws kajian wild berantai mahjong interaktif analitisaws kesesuaian persentase layanan mahjong seluler lanceraws pendalaman persentase mahjong gerak wild mutakhircorak langka mahjong tumbuh perlahan berubahgerak mahjong adaptasi mekanisme pemakai sekarangnalar scatter mahjong malam putaran ekstratempo mahjong kaitan mekanisme keadaan terkinialur permainan mahjong cepat scatter wilddalam hitungan detik scatter wild mahjongmenyatukan naluri pola scatter hitam mahjongmomen mahjong permainan berbalik arahmomen singkat mahjong dinamika permainanperpaduan insting pola scatter hitam momentperubahan drastis mahjong ways scatter wildscatter wild mahjong datang polasekejap berubah scatter wild mahjong wayssensasi baru mahjong lebih scatter wildenergi scatter emas irama reel mahjongevolusi reel mahjong balutan mistisintervensi cepat emas momentum lamakemunculan mendadak naga emas mahjongketika scatter naga emas aktif mahjongnaga emas muncul arah spin mahjongnaga emas ritme mahjong ways berubahrahasia rtp tinggi balik scatter hitamsaat scatter naga emas alih irama reelscatter hitam kunci lonjakan rtp mahjonge5 scatter wild memberikan sentuhan baru di setiap spin mahjong ways 2e5 scatter wild menghidupkan suasana permainan mahjong ways 2e5 scatter wild mengubah pola permainan mahjong ways 2 secara signifikane5 setiap putaran mahjong ways 2 terasa berbeda dengan scatter wilde5 strategi adaptif berbasis analisis rtp hariane5 strategi berbasis data dan algoritma untuk analisis momentume5 strategi berkembang berkat data rtp hariane5 strategi memahami algoritma untuk mengidentifikasi momentum ideale5 strategi membaca pola algoritma demi menangkap momentum optimale5 strategi modern mengandalkan evaluasi rtp hariane5 strategi responsif dengan dukungan evaluasi rtp hariane5 strategi terukur dengan analisis rtp hariane5 struktur scatter dan wild terlihat jelas berkat analisis sistem moderne5 tanpa disadari kombinasi ini sering mengarah ke scatter di mahjong wins 3e5 teknik evaluasi algoritma untuk mendapatkan momentum yang tepate5 teknik observasi sistem untuk analisis momentum yang lebih presisie5 terungkap formasi ini sering jadi awal munculnya scatter di mahjong wins 3e5 transformasi digital rtp live berkat artificial intelligence inovatife5 transformasi ritme mahjong ways 2 dipicu oleh kekuatan scatter wilde5 wajib tahu pola tersembunyi ini sering menghasilkan scattere5 applee5 bananae5 candye5 doge5 eaglee5 falcone5 geminie5 horsee5 indiae5 japananalisa pola mahjong ways rutinanalisis kinerja heuristik variansi gameanalisis pola mahjong ways hariananalisis pola mahjong ways kebiasaanera baru mahjong wins bonus optimalgebrakan bonus mahjong wins mekanisme efisieninsight pola mahjong ways rutinkajian pola mahjong ways rutinkomparasi heuristik variansi game digitalledakan bonus mahjong wins sistem efektifmahjong wins bonus sistem generasi baruobservasi pola mahjong ways harianpendekatan algoritma heuristik variansi gameperbandingan model heuristik variansi gamerahasia bonus mahjong wins sistem cerdasrangkuman pola mahjong ways harianringkasan pola mahjong ways harianstudi pola mahjong ways hariantinjauan heuristik variansi game digitaltinjauan pola mahjong ways harianalur sombol mahjong kemunculan scatterdari rtp mahjong bermain lebih efektifjejak scatter mahjong putaran tenangkejutan scatter wild simbol mahjong arahkemunculan simbol ganda membuat mahjongketika grid mahjong scatter semakin dekatketika rtp mahjong pola mulai lebih jelasketika scatter wild ritme simbol mahjongketika scatter wild titik sesi mahjong waysketika susunan simbol mahjong ritme scattermemahami rtp mahjong cara bermain lebihpergerakan simbol mahjong scatter wildpergeseran mahjong ketika scatter hadirsaat rtp mahjong terbaca baik strategisaat scatter hadir simbol mahjong bergeserscatter wild dinamika simbol mahjongstabilitas putaran mahjong pola scattersusunan baru reel mahjong scatter emassusunan mahjong wins mengandung scattersusunan simbol mahjong diam pola scatterrm menguak keunikan mahjong wins sudut pandang teknisrm cara memahami pergerakan mahjong ways tenaga ekstrarm mahjong wins standar baru industri hiburan digitalrm rahasia ketahanan mahjong ways eksis gempuran gamerm pentingnya memahami transisi level mahjong wins mendalamrm strategi mengatur tempo mahjong ways kendali permainanrm peran kecerdasan buatan mekanisme mahjong wins adilrm alasan keberhasilan mahjong ways mencuri perhatian analisrm mempelajari struktur dasar mahjong wins efisiensi putaranrm inovasi desain mahjong ways kesan bermain responsifrm teknik observasi mahjong wins jarang dibahas dampakrm cara mempertahankan fokus dinamika mahjong ways cepatrm eksplorasi fitur tersembunyi mahjong wins ritme terbaikrm mahjong ways integrasi teknologi modern keamanan nyamanrm analisis faktor pendukung mahjong wins digemari generasirm langkah efektif menyesuaikan perubahan sistem mahjong waysrm mengintip proses pengembangan mahjong wins kualitas penggunarm analisis data membantu membaca arah mahjong waysrm menemukan titik temu insting logika mahjong winsrm transformasi besar mahjong ways menghadirkan tantangan menarikmengungkap simbol langka nasib drastismisteri besar kombinasi simbol langkamisteri simbol langka keberuntungan besarsimbol langka misterius ubah hiduprahasia simbol langka nasib cepattransformasi bonus mahjong wins sistem efektifmahjong wins suguhkan bonus sistem modernsuguhan bonus efisien mahjong winsefektivitas sistem bonus mahjong winsmahjong wins hadirkan bonus sistem optimaloke76cincinbetaqua365slot gacorstc76samurai76TOBA1131samurai76 login