Apical Ballooning Syndrome or Takotsubo Syndrome: A Case Report

Apical Ballooning Syndrome or Takotsubo Syndrome: A Case Report

Aravind-Kumar Radhakrishnan 1 2 3, Otar Kvavadze 1, Gaioz Tsetskhladze 1, Vazha Chelidze 1,
Anzor Makharadze 1, Kati jamburidze 1, Erekle Turabelidze 1, Giorgi Gafrindashvili 1,
Natia Khubua 1, Zurab Leladze 1, Zviad Kipiani 1

1.Jerarsi Clinic, Tbilisi, Georgia.

2.Charité University Medicine, Charité Campus Virchow, Berlin, Germany.

3.SCIRENT Clinical Research and Science, Berlin Germany.

*Correspondence to: Dr. Aravind-Kumar Radhakrishnan M.D, Jerarsi Clinic, Tbilisi, Georgia, Charité University Medicine, Charité Campus Virchow, SCIRENT Clinical Research and Science, Berlin Germany.

Copyright

© 2024 Dr. Aravind-Kumar Radhakrishnan. This is an open access article distributed under the Creative Commons Attribution License, which permits unrestricted use, distribution, and reproduction in any medium, provided the original work is properly cited.

Received: 21 March 2024                    

Published: 29 March 2024


Abstract

Takotsubo syndrome or an apical ballooning syndrome is a rare, nonischemic, heart condition which usually mimics acute myocardial infarction, which is characterized by similar clinical, ECG changes and elevation of troponins. Echocardiography shows transient wall motion abnormality occurring usually at the apical segment of the heart, still now it is misdiagnosed in many primary hospitals. However, coronary angiography report shows the absence of obstructed coronary atherosclerosis or acute plaque rupture. We describe a case report of a patient who developed Takotsubo cardiomyopathy in the post-operative period following Rhinoseptoplasty.

Keywords: Takotsubo Cardiomyopathy, Apical ballooning syndrome, Stress cardiomyopathy, Acute coronary syndrome.


Apical Ballooning Syndrome or Takotsubo Syndrome: A Case Report

Background

Takotsubo Cardiomyopathy (TC), first discussed in Japan in 1990s, The term takotsubo is a Japanese name for an octopus trap. Due to the shape that is similar to the systolic apical ballooning appearance of the left ventricle. According to the statistical results, TTS is estimated to account for approximately 1–3% of all patients with suspected acute coronary syndrome and the incidence of TS has been increasing worldwide. Often triggered by severe physical or emotional stress and its predominantly affects post- menopausal women, however males end up having more cardiac complications


Case Presentation

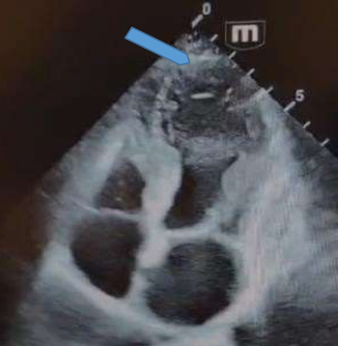
A 39-year-old female with chest pain arrived at the emergency department, H/o no HTN, no DM, not a Smoker, no Family H/o Cardiac disease, Rhinoseptoplasty was performed 3 weeks ago, An electro cardiogram (ECG) was performed Figure 1, which shows ST Segment elevation in pre-cordial leads from V4 to V6 and ST Segment elevation in II, III & aVF. Transthoracic echocardiography (TTE) revealed Global systolic function of the ventricle decreased EF - 40% shows transient wall motion abnormality in apex, septum apical, anterior-lateral, apical segments of the wall Hypo-akinesia Figure 2.

The subsequent Serum Troponin levels of the patient were done and its sharply increased to 22827 ng/mL, Immediately the patient was shifted to catheterization procedure room However, coronary angiography report shows the absence of obstructed coronary atherosclerosis or acute plaque rupture Figure 3, A B C.

Figure 1. Dynamic ECG changes at the beginning of the onset

Figure 2 Echocardiography Image Apical Hypokinesis

Figure 3 Coronary angiography showed no significant stenosis of the coronary arteries (left coronary artery [A,B] and right coronary artery [C]).

 

Discussion
Takotsubo Cardiomyopathy (TC), first discussed in Japan in 1990s, The term takotsubo is a Japanese name for an octopus trap. Due to the shape that is similar to the systolic apical ballooning appearance of the left ventricle. The incidence of TS has been increasing worldwide. The diagnosis of apical ballooning syndrome is based on the clinical presentation and differential diagnosis should always include acute coronary syndromes.

Transthoracic echocardiography provides a quick method of diagnosing wall motion abnormalities typically seen in apical ballooning syndrome, specifically hypokinesis or akinesis of the midsegment and apical segment of the left ventricle Figure 2.

ECG recording after 5 days’ hospitalization showing resolution of ST segment elevation to inverted T waves in precordial leads Figure 4.

It is important to maintain the airway, breathing, and circulation; establishing intravenous access, providing supplemental oxygen and initiating cardiac monitoring should take priority. Since the initial presentation of takotsubo cardiomyopathy is similar to an acute coronary syndrome, the initial protocol of treatment involves aspirin, beta-blockers, ACE inhibitors, lipid-lowering agents, once diagnosed we can start beta-blockers and ACE inhibitors for a short period of around 3 to 6 months with regular series of Echo imaging of the wall movement and to check ventricular Ejection fraction to determine progression or improvement
So Close follow-up care is very essential to ensure the prognosis with series of Echocardiography and annual checkup is advised since the history of the disease is not clear and moreover The recurrence rate varies but is estimated at 3%.

 

Figure 4: ECG recording after 5 days hospitalization showing resolution of ST segment elevation to inverted T waves in precordial leads.


Conclusion

Since Takotsubo syndrome heart condition resembling that of an acute coronary syndrome, All physicians and health care worker in Emergency department should be aware of Takotsubo syndrome with differentiate diagnose to approach the patient quickly with proper care and treatment.

Awareness of the existence of this syndrome which often triggered by severe physical or emotional stress and easier access to early echocardiography and coronary angiography will help us to diagnose the Takotsubo syndrome or an apical ballooning syndrome.


Reference

1. Sansen V, Holvoet G. Takotsubo cardiomyopathy presenting as multivessel coronary spasm syndrome: case report and review of the literature. Acta Cardiol. 2007 Oct;62(5):507-11. doi: 10.2143/AC.62.5.2023415. PMID: 17982973.

2. Dias A, Núñez Gil IJ, Santoro F, Madias JE, Pelliccia F, Brunetti ND, Salmoirago-Blotcher E, Sharkey SW, Eitel I, Akashi YJ, El-Battrawy I, Franco E, Akin I, Jaguszewski M, Dawson D, Figueredo VM, Napp LC, Christensen TE, Hebert K, Ben-Dor I, Ozaki Y, García-Garcia HM, Kajita AH, Akasaka T, Kurisu S, Lerman A, Waksman R. Takotsubo syndrome: State-of-the-art review by an expert panel - Part 1. Cardiovasc Revasc Med. 2019 Jan;20(1):70-79. doi: 10.1016/j.carrev.2018.11.015. Epub 2018 Nov 17. PMID: 30528096.

3. Ahmad SA, Brito D, Khalid N, et al. Takotsubo Cardiomyopathy. [Updated 2023 May 22]. In: StatPearls [Internet]. Treasure Island (FL): StatPearls Publishing; 2024 Jan-. Available from: https://www.ncbi.nlm.nih.gov/books/NBK430798/

4. Baltzer Nielsen S, Stanislaus S, Saunamäki K, Grøndahl C, Banner J, Jørgensen MB. Can acute stress be fatal? A systematic cross-disciplinary review. Stress. 2019 May;22(3):286-294.

5. Nandal S, Castles A, Asrar Ul Haq M, van Gaal W. Takotsubo cardiomyopathy triggered by status epilepticus: case report and literature review. BMJ Case Rep. 2019 Jan 29;12(1) [PMC free article]
6. Awad HH, McNeal AR, Goyal H. Reverse Takotsubo cardiomyopathy: a comprehensive review. Ann Transl Med. 2018 Dec;6(23):460. [PMC free article]

7. Zhang L, Piña IL. Stress-Induced Cardiomyopathy. Heart Fail Clin. 2019 Jan;15(1):41-53.

8. Khalid N, Iqbal I, Coram R, Raza T, Fahsah I, Ikram S. Thrombolysis In Myocardial Infarction Frame Count in Takotsubo Cardiomyopathy. Int J Cardiol. 2015 Jul 15;191:107-8.

9. Khalid N, Ahmad SA, Shlofmitz E, Umer A, Chhabra L. Sex disparities and microvascular dysfunction. Int J Cardiol. 2019 May 01;282:16.

10. Khalid N, Ahmad SA, Shlofmitz E, Chhabra L. Racial and gender disparities among patients with Takotsubo syndrome. Clin Cardiol. 2019 Jan;42(1):19. [PMC free article]

11. Kurowski V, Kaiser A, von Hof K, Killermann DP, Mayer B, Hartmann F, Schunkert H, Radke PW. Apical and midventricular transient left ventricular dysfunction syndrome (tako-tsubo cardiomyopathy): frequency, mechanisms, and prognosis. Chest. 2007 Sep;132(3):809-16.

12. Gianni M, Dentali F, Grandi AM, Sumner G, Hiralal R, Lonn E. Apical ballooning syndrome or takotsubo cardiomyopathy: a systematic review. Eur Heart J. 2006 Jul;27(13):1523-9.

13. Prasad A, Dangas G, Srinivasan M, Yu J, Gersh BJ, Mehran R, Stone GW. Incidence and angiographic characteristics of patients with apical ballooning syndrome (takotsubo/stress cardiomyopathy) in the HORIZONS-AMI trial: an analysis from a multicenter, international study of ST-elevation myocardial infarction. Catheter Cardiovasc Interv. 2014 Feb 15;83(3):343-8.

Figure 1

Figure 2

Figure 3

Figure 4

antarmuka fokus mahjong daya pengguna aktifaws grid serasi mahjong dasar tahapan terjagaaws jejak mekanisme mahjong arah fase lanjutanaws kajian wild berantai mahjong interaktif analitisaws kesesuaian persentase layanan mahjong seluler lanceraws pendalaman persentase mahjong gerak wild mutakhircorak langka mahjong tumbuh perlahan berubahgerak mahjong adaptasi mekanisme pemakai sekarangnalar scatter mahjong malam putaran ekstratempo mahjong kaitan mekanisme keadaan terkinialur permainan mahjong cepat scatter wilddalam hitungan detik scatter wild mahjongmenyatukan naluri pola scatter hitam mahjongmomen mahjong permainan berbalik arahmomen singkat mahjong dinamika permainanperpaduan insting pola scatter hitam momentperubahan drastis mahjong ways scatter wildscatter wild mahjong datang polasekejap berubah scatter wild mahjong wayssensasi baru mahjong lebih scatter wildenergi scatter emas irama reel mahjongevolusi reel mahjong balutan mistisintervensi cepat emas momentum lamakemunculan mendadak naga emas mahjongketika scatter naga emas aktif mahjongnaga emas muncul arah spin mahjongnaga emas ritme mahjong ways berubahrahasia rtp tinggi balik scatter hitamsaat scatter naga emas alih irama reelscatter hitam kunci lonjakan rtp mahjonge5 scatter wild memberikan sentuhan baru di setiap spin mahjong ways 2e5 scatter wild menghidupkan suasana permainan mahjong ways 2e5 scatter wild mengubah pola permainan mahjong ways 2 secara signifikane5 setiap putaran mahjong ways 2 terasa berbeda dengan scatter wilde5 strategi adaptif berbasis analisis rtp hariane5 strategi berbasis data dan algoritma untuk analisis momentume5 strategi berkembang berkat data rtp hariane5 strategi memahami algoritma untuk mengidentifikasi momentum ideale5 strategi membaca pola algoritma demi menangkap momentum optimale5 strategi modern mengandalkan evaluasi rtp hariane5 strategi responsif dengan dukungan evaluasi rtp hariane5 strategi terukur dengan analisis rtp hariane5 struktur scatter dan wild terlihat jelas berkat analisis sistem moderne5 tanpa disadari kombinasi ini sering mengarah ke scatter di mahjong wins 3e5 teknik evaluasi algoritma untuk mendapatkan momentum yang tepate5 teknik observasi sistem untuk analisis momentum yang lebih presisie5 terungkap formasi ini sering jadi awal munculnya scatter di mahjong wins 3e5 transformasi digital rtp live berkat artificial intelligence inovatife5 transformasi ritme mahjong ways 2 dipicu oleh kekuatan scatter wilde5 wajib tahu pola tersembunyi ini sering menghasilkan scattere5 applee5 bananae5 candye5 doge5 eaglee5 falcone5 geminie5 horsee5 indiae5 japananalisa pola mahjong ways rutinanalisis kinerja heuristik variansi gameanalisis pola mahjong ways hariananalisis pola mahjong ways kebiasaanera baru mahjong wins bonus optimalgebrakan bonus mahjong wins mekanisme efisieninsight pola mahjong ways rutinkajian pola mahjong ways rutinkomparasi heuristik variansi game digitalledakan bonus mahjong wins sistem efektifmahjong wins bonus sistem generasi baruobservasi pola mahjong ways harianpendekatan algoritma heuristik variansi gameperbandingan model heuristik variansi gamerahasia bonus mahjong wins sistem cerdasrangkuman pola mahjong ways harianringkasan pola mahjong ways harianstudi pola mahjong ways hariantinjauan heuristik variansi game digitaltinjauan pola mahjong ways harianalur sombol mahjong kemunculan scatterdari rtp mahjong bermain lebih efektifjejak scatter mahjong putaran tenangkejutan scatter wild simbol mahjong arahkemunculan simbol ganda membuat mahjongketika grid mahjong scatter semakin dekatketika rtp mahjong pola mulai lebih jelasketika scatter wild ritme simbol mahjongketika scatter wild titik sesi mahjong waysketika susunan simbol mahjong ritme scattermemahami rtp mahjong cara bermain lebihpergerakan simbol mahjong scatter wildpergeseran mahjong ketika scatter hadirsaat rtp mahjong terbaca baik strategisaat scatter hadir simbol mahjong bergeserscatter wild dinamika simbol mahjongstabilitas putaran mahjong pola scattersusunan baru reel mahjong scatter emassusunan mahjong wins mengandung scattersusunan simbol mahjong diam pola scatterrm menguak keunikan mahjong wins sudut pandang teknisrm cara memahami pergerakan mahjong ways tenaga ekstrarm mahjong wins standar baru industri hiburan digitalrm rahasia ketahanan mahjong ways eksis gempuran gamerm pentingnya memahami transisi level mahjong wins mendalamrm strategi mengatur tempo mahjong ways kendali permainanrm peran kecerdasan buatan mekanisme mahjong wins adilrm alasan keberhasilan mahjong ways mencuri perhatian analisrm mempelajari struktur dasar mahjong wins efisiensi putaranrm inovasi desain mahjong ways kesan bermain responsifrm teknik observasi mahjong wins jarang dibahas dampakrm cara mempertahankan fokus dinamika mahjong ways cepatrm eksplorasi fitur tersembunyi mahjong wins ritme terbaikrm mahjong ways integrasi teknologi modern keamanan nyamanrm analisis faktor pendukung mahjong wins digemari generasirm langkah efektif menyesuaikan perubahan sistem mahjong waysrm mengintip proses pengembangan mahjong wins kualitas penggunarm analisis data membantu membaca arah mahjong waysrm menemukan titik temu insting logika mahjong winsrm transformasi besar mahjong ways menghadirkan tantangan menarikmengungkap simbol langka nasib drastismisteri besar kombinasi simbol langkamisteri simbol langka keberuntungan besarsimbol langka misterius ubah hiduprahasia simbol langka nasib cepattransformasi bonus mahjong wins sistem efektifmahjong wins suguhkan bonus sistem modernsuguhan bonus efisien mahjong winsefektivitas sistem bonus mahjong winsmahjong wins hadirkan bonus sistem optimaloke76cincinbetaqua365slot gacorstc76samurai76TOBA1131samurai76 login