A Rare Case of Nodular Fasciitis Over the Wrist Dorsum

A Rare Case of Nodular Fasciitis Over the Wrist Dorsum

Dr Kassem El Houcheimi *

*Correspondence to: Dr Kassem El Houcheimi. FACS, MBA Orthopedic surgeon, Clemenceau Medical Center Dubai.

Copyright

© 2022 Dr Kassem El Houcheimi. This is an open access article distributed under the Creative Commons Attribution License, which permits unrestricted use, distribution, and reproduction in any medium, provided the original work is properly cited.

Received: 15 February 2022

Published: 01 March 2022


Abstract

Introduction: Nodular fascitis is a benign, reactive fibroblastic tumor that usually presents as a rapidly growing lesion with occasional involvement of the deep fascia and muscle We present a case of nodular fascitis over the dorsum of the wrist. In our knowledge, this is the first reported case of nodular fascitis at this location in literature.

Case Presentation: A 33 year old male with a desk job, presented with a rapidly growing lesion over the dorsum of left wrist over 5 months, associated with pain and restriction of dorsiflexion of wrist. The Xray, ultrasound and MRI images were inconclusve and excisional biopsy was done for definitive diagnosis.

Conclusion:  Nodular fascitis is a relatively uncommon but important differential diagnosis for any rapid soft tissue growth. It is a self limiting proliferative fibroblastic lesion, with excisional biopsy as the gold standard for diagnosis of this condition.

Keywords: Nodular fascitis, dorsum of wrist, excisional biopsy.


A Rare Case of Nodular Fasciitis Over the Wrist Dorsum

Introduction

Nodular fasciitis is a rare, proliferative fibroblastic lesion that can be misdiagnosed as a soft tissue sarcoma (1). It typically develops in the subcutaneous fascia of the extremities and trunk, and sometimes in the superficial portions of the deep fascia of the underlying muscle sheath. This case report describes the clinical presentation, diagnostic work up, surgical in-tervention, and postoperative course of a rare case of nodular fasciitis over the dorsum of the wrist, marking the first documented case report of this lesion (2).


Case Report

A 33-year-old engineer with a desk job reported persistent left wrist pain with stiffness and movement restriction for the last five months. The pain was accompanied by swelling in the wrist's dorsum, which had progressively increased over time. The mass was firm, 2.5 cm in diameter, firmly anchored to the wrist's dorsum and immobile. The wrist's dorsiflexion was restricted to 10 degrees due to the mass effect, but no apparent tendon adhesion was noted. The patient had no prior history of injury or trauma.

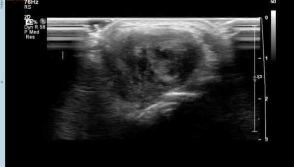
The patient had a solid hypoechoic lobulated mass lesion measuring 27x16mm on the dorsal aspect of his left wrist. The diagnosis was a giant cell tumor and soft tissue sarcoma, and fur-ther investigations were advised. X-rays showed a soft tissue shadow in the lateral view, but no bony abnormalities were noted. MRI scans revealed an irregular, intensely enhancing soft tissue mass at the wrist's dorsal aspect, interposed between the 4th and 5th extensor tendon compartments. The MRI findings were consistent with a benign soft tissue neoplasm.

To obtain a definitive diagnosis, an excisional biopsy was performed under general anesthe-sia, revealing a 3x3 cm non cystic hard soft tissue mass attached to the dorsal joint capsule. The lesion was well circumscribed, and the encapsulated lesion was completely excisiond. The adjacent tendons and vessels were taken care of to avoid damage.

Histopathology findings showed a well-circscribed neoplasm composed of interlacing and intersecting fascicles of bland smooth muscle cells. Few thick-walled blood vessels were visible, and mitoses were absent. No evidence of atypia or malignancy was found in the sec-tions studied.

The patient had an uneventful post-operative recovery, with complete recovery of range of motion and wrist function without complications. There was no recurrence until a year of follow-up.

Figures 1,2,3,4,5,6


Discussion

Nodular fasciitis is a rare, benign reactive lesion that rapidly grows in young adults between 20 and 40 years old. It is usually subcutaneous, with occasional cases involving muscle and fascia. The macroscopic appearance of nodular fasciitis is well-circscribed single masses, usually measuring less than 2 cm in diameter. The rapid growth of the lesion often makes biopsy essential to rule out sarcoma. The aetiology of nodular fasciitis remains unclear, with 38.5% of cases in hand and wrist having a history of trauma (3,4,5,6).

The features of nodular fasciitis on ultrasound and magnetic resonance imaging (MRI) are non-specific, with the lesions appearing as well-circscribed, round to oval masses. Signal intensity of the condition is variable, with intramuscular lesions appearing mildly inhomo-geneous and hyper intense to skeletal muscle on T1-weighted spin-echo images, and subcu-taneous lesions being markedly hypo intense to skeletal muscle on all spin-echo sequences and appearing homogeneous in texture. High cellularity and micro-vessel density may di-rectly influence the early enhancement after intravenous gadolinium injection and compact cellularity with a prominent capillary network. A myxoid pattern may be responsible for the enhancement on MRI (7,8).

 

Historopathology of nodular fasciitis suggests regular spindle-shaped fibroblasts or myofi-broblasts lacking nuclear hyper chromatic and pleomorphism with high cellularity. Spindle-shaped fibroblasts, clefts separating the fibroblasts, extravasated erythrocytes, interstitial mucoid material, and a loosely textured 'feathery' pattern of the mucopolysaccharide ground substance are diagnostic of nodular fasciitis (9, 10). Immunostains of Desmin, cytokeratin, and S-100 are typically negative. In view of the inconclusiveness of imaging for diagnosis, biopsy is often the gold standard (11,12).


Conclusion

Nodular fasciitis of the wrist is a rare and inconclusive condition, with a prognosis of excel-lent with low recurrence risk. It is important to differentiate it from non-cystic soft tissue mass, as clinical and radiological findings are inconclusive. This differential diagnosis helps avoid anxiety and overtreatment associated with malignancy, ensuring a more accurate di-agnosis.

 

Reference

1.Konwaler, 8. E., Keasbey, L. & Kaplan, L.: Subcutaneous pseudosarcomatous fibromatosis (fasciitis). Alii. l. Clill. Pathol. 1955: 25: 241-252

2.Yamane, Hideki, Tanaka, Yoichi, Shimono, Masaki, Yamamura, Takeo, Takano, Nobuo, Saito, Chikara, Takahashi, Shojiro Nodular fascitis of the mandible in a child International Journal of Oral & Maxillofacial Surgery1986 Vol. 15; Iss. 4 499-502

3.Bernstein KE, Lattes R. Nodular (pseudosarcomatous) fasciitis, a nonrecurrent lesion: clinicopathologic study of 134 cases. Cancer. 1982;49:1668–78.

4. Rankin G, Kuschner SH, Gellman H. Nodular fasciitis: a rapidly growing tumor of the hand. J Hand Surg Am. 1991;16A:791–5.

5.Shimizu S, Hashimoto H, Enjoji M. Nodular fasciitis: an analysis of 250 patients. Pathology. 1984;16:161–6.

6.Kijima H, Okada K, Ito H, Shimada Y, Nanjo H, Itoi E. Nodular fasciitis of the finger. Skeletal Radiol. 2005;34:121–3.

7.Nodular fasciitis of the hand in a young athlete. A case report Hitomi Hara, Ikuo Fujita, Takuya Fujimoto, Keisuke Hanioka, Toshihiro Akisue, and Masahiro Kurosaka Ups J Med Sci. 2010 Oct; 115(4): 291–296.

8.Katz MA, Beredjiklian PK, Wirganowicz PZ. Nodular fasciitis of the hand. Clin Orthop Relat Res. 2001;382:108–11.

9.Frei S, de Lange EE, Fechner RE. Case report 690. Nodular fasciitis of the elbow. Skeletal Radiol. 1991;20:468–71.

10.Hymas DC, Mamalis N, Pratt DV, Scott MH, Anderson RL, Langer PD. Nodular fasciitis of the lower eyelid in a pediatric patient. Ophthal Plast Reconstr Surg. 1999;15:139–42.

11.Leung LY, Shu SJ, Chan AC, Chan MK, Chan CH. Nodular fasciitis: MRI appearance and literature review. Skeletal Radiol. 2002;31:9–13.

12. Meyer CA, Kransdorf MJ, Jelinek JS, Moser RP., Jr MR and CT appearance of nodular fasciitis. J Comput Assist Tomogr. 1991;15:276–9.

Figure 1

Figure 2

Figure 3

Figure 4

Figure 5

antarmuka fokus mahjong daya pengguna aktifaws grid serasi mahjong dasar tahapan terjagaaws jejak mekanisme mahjong arah fase lanjutanaws kajian wild berantai mahjong interaktif analitisaws kesesuaian persentase layanan mahjong seluler lanceraws pendalaman persentase mahjong gerak wild mutakhircorak langka mahjong tumbuh perlahan berubahgerak mahjong adaptasi mekanisme pemakai sekarangnalar scatter mahjong malam putaran ekstratempo mahjong kaitan mekanisme keadaan terkinialur permainan mahjong cepat scatter wilddalam hitungan detik scatter wild mahjongmenyatukan naluri pola scatter hitam mahjongmomen mahjong permainan berbalik arahmomen singkat mahjong dinamika permainanperpaduan insting pola scatter hitam momentperubahan drastis mahjong ways scatter wildscatter wild mahjong datang polasekejap berubah scatter wild mahjong wayssensasi baru mahjong lebih scatter wildenergi scatter emas irama reel mahjongevolusi reel mahjong balutan mistisintervensi cepat emas momentum lamakemunculan mendadak naga emas mahjongketika scatter naga emas aktif mahjongnaga emas muncul arah spin mahjongnaga emas ritme mahjong ways berubahrahasia rtp tinggi balik scatter hitamsaat scatter naga emas alih irama reelscatter hitam kunci lonjakan rtp mahjonge5 scatter wild memberikan sentuhan baru di setiap spin mahjong ways 2e5 scatter wild menghidupkan suasana permainan mahjong ways 2e5 scatter wild mengubah pola permainan mahjong ways 2 secara signifikane5 setiap putaran mahjong ways 2 terasa berbeda dengan scatter wilde5 strategi adaptif berbasis analisis rtp hariane5 strategi berbasis data dan algoritma untuk analisis momentume5 strategi berkembang berkat data rtp hariane5 strategi memahami algoritma untuk mengidentifikasi momentum ideale5 strategi membaca pola algoritma demi menangkap momentum optimale5 strategi modern mengandalkan evaluasi rtp hariane5 strategi responsif dengan dukungan evaluasi rtp hariane5 strategi terukur dengan analisis rtp hariane5 struktur scatter dan wild terlihat jelas berkat analisis sistem moderne5 tanpa disadari kombinasi ini sering mengarah ke scatter di mahjong wins 3e5 teknik evaluasi algoritma untuk mendapatkan momentum yang tepate5 teknik observasi sistem untuk analisis momentum yang lebih presisie5 terungkap formasi ini sering jadi awal munculnya scatter di mahjong wins 3e5 transformasi digital rtp live berkat artificial intelligence inovatife5 transformasi ritme mahjong ways 2 dipicu oleh kekuatan scatter wilde5 wajib tahu pola tersembunyi ini sering menghasilkan scattere5 applee5 bananae5 candye5 doge5 eaglee5 falcone5 geminie5 horsee5 indiae5 japananalisa pola mahjong ways rutinanalisis kinerja heuristik variansi gameanalisis pola mahjong ways hariananalisis pola mahjong ways kebiasaanera baru mahjong wins bonus optimalgebrakan bonus mahjong wins mekanisme efisieninsight pola mahjong ways rutinkajian pola mahjong ways rutinkomparasi heuristik variansi game digitalledakan bonus mahjong wins sistem efektifmahjong wins bonus sistem generasi baruobservasi pola mahjong ways harianpendekatan algoritma heuristik variansi gameperbandingan model heuristik variansi gamerahasia bonus mahjong wins sistem cerdasrangkuman pola mahjong ways harianringkasan pola mahjong ways harianstudi pola mahjong ways hariantinjauan heuristik variansi game digitaltinjauan pola mahjong ways harianalur sombol mahjong kemunculan scatterdari rtp mahjong bermain lebih efektifjejak scatter mahjong putaran tenangkejutan scatter wild simbol mahjong arahkemunculan simbol ganda membuat mahjongketika grid mahjong scatter semakin dekatketika rtp mahjong pola mulai lebih jelasketika scatter wild ritme simbol mahjongketika scatter wild titik sesi mahjong waysketika susunan simbol mahjong ritme scattermemahami rtp mahjong cara bermain lebihpergerakan simbol mahjong scatter wildpergeseran mahjong ketika scatter hadirsaat rtp mahjong terbaca baik strategisaat scatter hadir simbol mahjong bergeserscatter wild dinamika simbol mahjongstabilitas putaran mahjong pola scattersusunan baru reel mahjong scatter emassusunan mahjong wins mengandung scattersusunan simbol mahjong diam pola scatterrm menguak keunikan mahjong wins sudut pandang teknisrm cara memahami pergerakan mahjong ways tenaga ekstrarm mahjong wins standar baru industri hiburan digitalrm rahasia ketahanan mahjong ways eksis gempuran gamerm pentingnya memahami transisi level mahjong wins mendalamrm strategi mengatur tempo mahjong ways kendali permainanrm peran kecerdasan buatan mekanisme mahjong wins adilrm alasan keberhasilan mahjong ways mencuri perhatian analisrm mempelajari struktur dasar mahjong wins efisiensi putaranrm inovasi desain mahjong ways kesan bermain responsifrm teknik observasi mahjong wins jarang dibahas dampakrm cara mempertahankan fokus dinamika mahjong ways cepatrm eksplorasi fitur tersembunyi mahjong wins ritme terbaikrm mahjong ways integrasi teknologi modern keamanan nyamanrm analisis faktor pendukung mahjong wins digemari generasirm langkah efektif menyesuaikan perubahan sistem mahjong waysrm mengintip proses pengembangan mahjong wins kualitas penggunarm analisis data membantu membaca arah mahjong waysrm menemukan titik temu insting logika mahjong winsrm transformasi besar mahjong ways menghadirkan tantangan menarikmengungkap simbol langka nasib drastismisteri besar kombinasi simbol langkamisteri simbol langka keberuntungan besarsimbol langka misterius ubah hiduprahasia simbol langka nasib cepattransformasi bonus mahjong wins sistem efektifmahjong wins suguhkan bonus sistem modernsuguhan bonus efisien mahjong winsefektivitas sistem bonus mahjong winsmahjong wins hadirkan bonus sistem optimaloke76cincinbetaqua365slot gacorstc76samurai76TOBA1131samurai76 login