Diabetic Striatopathy: Case Report and Literature Review

Diabetic Striatopathy: Case Report and Literature Review

 Quintanilla C*1,Sánchez M1, Otazú M 1, Saccone S 1

1. Clínica de Endocrinología y Metabolismo. Prof. Dra Beatriz Mendoza, Hospital de Clínicas, Dr. Manuel Quintela.

*Correspondence to: Quintanilla C., Clínica de Endocrinología y Metabolismo. Prof. Dra Beatriz Mendoza, Hospital de Clínicas, Dr. Manuel Quintela.

Copyright

© 2024 Quintanilla C. This is an open access article distributed under the Creative Commons Attribution License, which permits unrestricted use, distribution, and reproduction in any medium, provided the original work is properly cited.

Received: 15 March 2024

Published: 01 April 2024


Abstract

Diabetic Striatopathy (DS), also known as non-ketotic hyperglycemic hemichorea/hemiballism, is defined as a clinical-radiological syndrome characterized by chorea-ballism, hyperglycemia, and increased signal intensity in the striatum on Computed Tomography (CT) or Magnetic Resonance Imaging (MRI). It is a rare and underdiagnosed complication of diabetes, with an estimated prevalence of 1 case per 100,000 inhabitants, with a predominance in females.

Case Report: A 59-year-old woman with a history of hypertension and smoking presented with abnormal involuntary movements of the right hemibody for 14 days. CT scan showed alterations consistent with metabolic encephalopathy. She was diagnosed with mellitus diabetes. MRI revealed alterations in the left basal ganglia consistent with non-ketotic hyperglycemic hemichorea. Insulin therapy was initiated along with symptomatic treatment, resulting in complete resolution of symptoms.

Discussion: DS clinically presents as hemichorea, defined as involuntary, random, low-amplitude movements predominantly affecting the distal extremities of one hemibody. Characteristic neuroimaging findings include hyperdensity of the striatum on CT and hyperintensity on T1-weighted MRI, typically contralateral to the chorea.

Conclusions: The hallmark of DS is the presence of hyperglycemia concurrent with typical clinical and imaging manifestations. However, the main differential diagnosis is cerebral vascular pathology. DS is a very rare complication of diabetes mellitus, but with a high index of suspicion and prompt treatment, long-term repercussions can be avoided.

Keywords: diabetic striatopathy, chorea, hemiballism.


Diabetic Striatopathy: Case Report and Literature Review

Introduction

Diabetes mellitus (DM) is a multifactorial metabolic disorder characterized by chronic hyperglycemia resulting from a defect in insulin secretion and/or action, and it is associated with alterations in the metabolism of carbohydrates, fats, and proteins (1). Its prevalence is on the rise, with an estimated 422 million people worldwide and 62 million in the Americas suffering from this condition (2).

Diabetic striatopathy (DS) is defined as a state of hyperglycemia presenting with chorea-ballism and/or increased signal intensity in the striatum on imaging, either as hyperdensity on computed tomography (CT) or hyperintensity on T1-weighted magnetic resonance imaging (MRI) of the skull (3).

This clinical-radiological syndrome is a very rare complication of DM, with an estimated prevalence of 1/100,000 patients, which may contribute to its underdiagnosis. Clinically, it manifests as hemichorea or as acute onset generalized chorea, and it is more common in elderly women with type 2 diabetes mellitus (T2DM) and non-ketotic hyperosmolar hyperglycemic state (4).

The aim of this work is to describe a clinical case of this rare condition, which presented in the emergency department of “Hospital de Clínicas, Dr. Manuel Quintela”, in the year 2023.

 

Case Report

Female patient, 59 years old, with a family history of type 2 diabetes mellitus (DM2) in her mother, and personal history of mild smoking and controlled hypertension with treatment, without evidence of end-organ damage.

The patient presents to the emergency department with sudden, involuntary, purposeless movements affecting the right half of her body for the past 14 days. These movements are random, involving both proximal and distal areas. There are no signs of focal neurological deficit or increased intracranial pressure. There is no evidence of early diabetic syndrome, autoimmune diseases, or sexually transmitted diseases in her medical history.

Upon physical examination, the patient is alert, oriented to time and space, and demonstrates intact cranial nerves. There are choreo-ballistic movements observed in the right upper limb and right lower limb. Osteotendinous reflexes reveal hyporeflexia in the right upper limb and hypotonia in the right limbs. Sensation and coordination are normal. Given the presentation of right hemichorea and to further elucidate the etiology, the patient is admitted for further evaluation.

From the laboratory tests, it is notable that the fasting blood glucose level is 252 mg/dL, and in a subsequent sample, it rises to 353 mg/dL (reference range: 70-100 mg/dL). The glycated hemoglobin (HbA1c) level is 11%, indicating poor glycemic control. Ketone levels are negative. A diagnosis of diabetic debut is established.


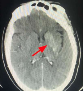
The cranial CT scan reveals a supratentorial intra-axial lesion adjacent to the left lateral ventricle body. It appears spontaneously hyperdense, rounded, well-defined, with heterogeneous enhancement after contrast administration. The lesion measures 11 x 9 mm and is associated with cortical veins draining into the deep collector vein. There is hyperdensity of the basal ganglia, more pronounced on the left, consistent with toxic/metabolic encephalopathy. Subsequently, a cranial MRI is performed, which indicates findings consistent with a left periventricular cavernoma. There are no signs of current complications, with an associated venous anomaly of development. Hyperintensity on T1-weighted images is observed at the head of the left caudate nucleus and lentiform nucleus, which do not enhance with gadolinium. These alterations in the left basal ganglia are compatible with non-ketotic hyperglycemic hemichorea.


Figure 1: Cranial CT scan showing hyperdensity of the left basal ganglia

Figure 2: Cranial MRI showing hyperintensity on T1-weighted images at the level of the head of the left caudate nucleus and lentiform nucleus, which do not enhance with gadolinium 

 

With the diagnosis of diabetic striatopathy, the patient is admitted to the neurology ward and started on symptomatic treatment with tiapride and haloperidol. For metabolic control, a basal-bolus-correction insulin regimen is initiated with NPH insulin and regular insulin. Subsequently, metformin 850 mg is gradually added to lunch and dinner, resulting in significant improvement in metabolic control. During treatment, there is complete resolution of choreic movements. Given the excellent clinical response to the instituted treatment, the patient is discharged and scheduled for outpatient follow-up with endocrinology and neurology.

 

Discussion

DS is a rare cause of involuntary movements, often presenting as the initial manifestation of DM. It primarily affects adults and manifests as a triad comprising hemichorea-hemiballism, hyperglycemia, and increased signal intensity in the striatum on imaging studies such as CT and/or MRI of the brain, with MRI being the preferred modality (5).

Ballism and chorea represent a spectrum of hyperkinetic involuntary movement disorders. Chorea manifests as continuous, abrupt, rapid, brief, and irregular involuntary movements. When these movements are more severe, they are termed ballism. The term hemichorea-hemiballism is used for hyperkinetic involuntary movement disorders that affect one side of the body with an acute or subacute onset (6).

The pathophysiology of DS is not yet fully understood. Proposed mechanisms include increased blood viscosity due to hyperglycemia, leading to disruption of the blood-brain barrier, which increases the sensitivity of dopaminergic receptors in the postmenopausal period, thus explaining the higher prevalence in women. Additionally, there is a decrease in gamma-aminobutyric acid (GABA) in the striatum, secondary to the non-ketotic state (7).

Souvik Dubey et al. propose a sinister octet that includes the accumulation of gametocytes related to ischemic events leading to petechial hemorrhage, methemoglobin deposits, mineral deposition, cytotoxic edema, osmotic demyelination syndrome, gliosis, and atrophy. It is yet to be elucidated whether these events act interrelatedly or separately (8).

On the other hand, it is proposed that chorea may appear during episodes of hypoglycemia or when metabolic control is achieved, indicating that prolonged periods of hyperglycemia cause lesions in the striatum. This leads to the proposal that metabolic dysregulation alters the blood-brain barrier and leads to insufficient blood supply, resulting in acidosis and edema in the basal ganglia, which in turn generates choreic movements (9).

DS occurs in patients with poorly controlled metabolic status. In up to one-sixth of cases, it manifests in individuals without a prior diagnosis of DM, suggesting that it may be the first manifestation of DM, as in our case (3).

It has also been reported that diabetic striatopathy can develop weeks after the hyperglycemic event (10).

DS predominantly occurs in patients with type 2 diabetes mellitus, although cases have been described in individuals with type 1 diabetes mellitus (DM1) as well. Poor metabolic control is the primary determinant, with observed HbA1c levels reaching up to 18.9%. The average blood glucose levels at presentation are around 400 mg/dL, with corresponding HbA1c levels of approximately 14% (3, 4, 11, 12).

The treatment of DS is primarily based on controlling hyperglycemia and ensuring proper hydration; however, most cases require symptomatic anti-choreic treatment. Typically, antipsychotic drugs, dopamine antagonists, benzodiazepines, anticonvulsants, and selective serotonin reuptake inhibitors are employed. Haloperidol is the most used in monotherapy, followed by tetrabenazine, risperidone, and clonazepam (13).

In a large-scale study, it was observed that less than half of the patients managed to control the chorea solely with hyperglycemia treatment; the rest required symptomatic treatment (14).

The prognosis of DS is strongly associated with the severity of symptoms at diagnosis and secondarily with the time between symptom onset and treatment initiation; however, an early diagnosis and treatment result in better outcomes (15).

The time for chorea correction once glycemic control is initiated can range from 1 hour to 10 days. Other literature suggests a longer interval, ranging from a few days to 10 months, with an average of 6 months for complete correction (13, 16).

Nevertheless, imaging findings on CT and MRI may take between 3 to 8 months, respectively, for complete resolution. Few individuals persist with lesions on neuroimaging. Resolution of both movements and neuroimaging findings has been reported within a period of 2-12 months without distinguishing between them (8, 17).

 

Conclusions

Diabetic striatopathy is a very rare complication of DM that should be suspected in individuals with poorly controlled blood sugar levels and acute onset of movement disorders. Due to being an underdiagnosed condition, it is crucial to maintain a high level of clinical suspicion to initiate early and timely treatment in order to prevent long-term repercussions. Both clinical and imaging findings are reversible with an excellent prognosis if the cause is correctly identified, and good and consistent glycemic control is achieved.


References

1. American Diabetes Association Professional Practice Committee; 1. Improving Care and Promoting Health in Populations: Standards of Care in Diabetes—2024. Diabetes Care 1 January 2024; 47 (Supplement_1): S11–S19. https://doi.org/10.2337/dc24-S001

2. Diabetes [Internet]. Paho.org. [citado el 20 de enero de 2024]. Disponible en: https://www.paho.org/es/temas/diabetes.

3. Chua C-B, Sun C-K, Hsu C-W, Tai Y-C, Liang C-Y, Tsai I-T. “Diabetic striatopathy”: clinical presentations, controversy, pathogenesis, treatments, and outcomes. Sci Rep [Internet]. 2020;10(1):1594. Disponible en: http://dx.doi.org/10.1038/s41598-020-58555-w

4. Castro Bonsignore L, Higgie Reggiardo JR. Estriatopatía diabética como complicación poco frecuente de la diabetes. Reporte de casos. Rev. Urug.Med. Interna [Internet]. 10 de noviembre de 2022 [citado 2 de febrero de 2024];7(3):58-64. Disponible en: https://revistamedicinainterna.uy/index.php/smiu/article/view/187

5. Bekiesi?ska-Figatowska M, Romaniuk-Doroszewska A, Banaszek M, Kuczy?ska-Zardzewia?y A. Lesions in basal ganglia in a patient with involuntary movements as a first sign of diabetes - case report and review of the literature. Pol J Radiol. 2010;75(3):61–4.

6. Hasan M, Atiqur-Rahman M, Chowdhury S. Hemichorea-hemiballism in A 50-year-old man with newly diagnosed diabetes. AACE Clin Case Rep [Internet]. 2021;7(2):134–7. Disponible en: http://dx.doi.org/10.1016/j.aace.2020.11.032

7. Suárez-Vega VM, Sánchez Almaraz C, Bernardo AI, Rodríguez-Díaz R, Díez Barrio A, Martín Gil L. CT and MR unilateral brain features secondary to nonketotic hyperglycemia presenting as hemichorea-hemiballism. Case Rep Radiol [Internet]. 2016;2016:1–4. Disponible en: http://dx.doi.org/10.1155/2016/5727138

8. Dubey S, Biswas P, Ghosh R, Chatterjee S, Kanti Ray B, Benito-León J. Neuroimaging of diabetic striatopathy: More questions than answers. Eur Neurol [Internet]. 2022;85(5):371–6. Disponible en: http://dx.doi.org/10.1159/000524936

9. Xu Y, Shi Q, Yue Y, Yan C. Clinical and imaging features of diabetic striatopathy: report of 6 cases and literature review. Neurol Sci [Internet]. 2022;43(10):6067–77. Disponible en: http://dx.doi.org/10.1007/s10072-022-06342-y

10. Chiu-Jung Lin MD a PH. Delayed onset diabetic striatopathy: Hemichorea-hemiballism one month after a hyperglycemic episode Author links open overlay panel. The American Journal of Emergency Medicine Volume 35, Issue 7, July 2017, Pages 1036.e3-1036.e4. el 23 de junio de 2017;

11. Yoshinori Abe , Teiji Yamamoto , Tomoko Soeda. Tetsuya Ishihara. Enfermedad diabética del cuerpo estriado: presentación clínica, neuroimagen y patología. Intern Med. 2009;48(13):1135-41. https://doi.org/10.2169/internalmedicine.48.1996

12. Oh S-H, Lee K-Y, Im J-H, Lee M-S. Chorea associated with non-ketotic hyperglycemia and hyperintensity basal ganglia lesion on T1-weighted brain MRI study: a meta-analysis of 53 cases including four present cases. J Neurol Sci [Internet]. 2002;200(1–2):57–62. Disponible en: http://dx.doi.org/10.1016/s0022-510x(02)00133-8

13. Arecco A, Ottaviani S, Boschetti M, Renzetti P, Marinelli L. Diabetic striatopathy: an updated overview of current knowledge and future perspectives. J Endocrinol Invest [Internet]. 2023;47(1):1–15. Disponible en: http://dx.doi.org/10.1007/s40618-023-02166-5

14. Elisabeth B. Lucassen, William T. Delfyett, Mark C. Stahl; Persistent Hemichorea and Caudate Atrophy in Untreated Diabetic Striatopathy: A Case Report. Case Rep Neurol 9 July 2018; 9 (3): 299–303. https://doi.org/10.1159/000484201

15. Alkhaja OY, Alsetrawi A, AlTaei T, Taleb M. Diabetic striatopathy unusual presentation with ischemic stroke-A case report and literature review. Radiol Case Rep [Internet]. 2023;18(6):2297–302. Disponible en: http://dx.doi.org/10.1016/j.radcr.2023.03.031

16. Homaida M , Kanodia AK , Young N , et al. Estriatopatía diabética: una condición rara y un dilema diagnóstico Informes de casos de BMJ CP 2021; 14: e240141.

17. Machado V, Alves L, Torres K, da Silva A. Hemicoreia-hemibalismo secundário a estado hiperglicêmico não cetótico: relato de caso. Brazilian Journal of Health Review. junio 2023. DOI:10.34119/bjhrv6n3-268.

Figure 1

Figure 2

antarmuka fokus mahjong daya pengguna aktifaws grid serasi mahjong dasar tahapan terjagaaws jejak mekanisme mahjong arah fase lanjutanaws kajian wild berantai mahjong interaktif analitisaws kesesuaian persentase layanan mahjong seluler lanceraws pendalaman persentase mahjong gerak wild mutakhircorak langka mahjong tumbuh perlahan berubahgerak mahjong adaptasi mekanisme pemakai sekarangnalar scatter mahjong malam putaran ekstratempo mahjong kaitan mekanisme keadaan terkinialur permainan mahjong cepat scatter wilddalam hitungan detik scatter wild mahjongmenyatukan naluri pola scatter hitam mahjongmomen mahjong permainan berbalik arahmomen singkat mahjong dinamika permainanperpaduan insting pola scatter hitam momentperubahan drastis mahjong ways scatter wildscatter wild mahjong datang polasekejap berubah scatter wild mahjong wayssensasi baru mahjong lebih scatter wildenergi scatter emas irama reel mahjongevolusi reel mahjong balutan mistisintervensi cepat emas momentum lamakemunculan mendadak naga emas mahjongketika scatter naga emas aktif mahjongnaga emas muncul arah spin mahjongnaga emas ritme mahjong ways berubahrahasia rtp tinggi balik scatter hitamsaat scatter naga emas alih irama reelscatter hitam kunci lonjakan rtp mahjonge5 scatter wild memberikan sentuhan baru di setiap spin mahjong ways 2e5 scatter wild menghidupkan suasana permainan mahjong ways 2e5 scatter wild mengubah pola permainan mahjong ways 2 secara signifikane5 setiap putaran mahjong ways 2 terasa berbeda dengan scatter wilde5 strategi adaptif berbasis analisis rtp hariane5 strategi berbasis data dan algoritma untuk analisis momentume5 strategi berkembang berkat data rtp hariane5 strategi memahami algoritma untuk mengidentifikasi momentum ideale5 strategi membaca pola algoritma demi menangkap momentum optimale5 strategi modern mengandalkan evaluasi rtp hariane5 strategi responsif dengan dukungan evaluasi rtp hariane5 strategi terukur dengan analisis rtp hariane5 struktur scatter dan wild terlihat jelas berkat analisis sistem moderne5 tanpa disadari kombinasi ini sering mengarah ke scatter di mahjong wins 3e5 teknik evaluasi algoritma untuk mendapatkan momentum yang tepate5 teknik observasi sistem untuk analisis momentum yang lebih presisie5 terungkap formasi ini sering jadi awal munculnya scatter di mahjong wins 3e5 transformasi digital rtp live berkat artificial intelligence inovatife5 transformasi ritme mahjong ways 2 dipicu oleh kekuatan scatter wilde5 wajib tahu pola tersembunyi ini sering menghasilkan scattere5 applee5 bananae5 candye5 doge5 eaglee5 falcone5 geminie5 horsee5 indiae5 japananalisa pola mahjong ways rutinanalisis kinerja heuristik variansi gameanalisis pola mahjong ways hariananalisis pola mahjong ways kebiasaanera baru mahjong wins bonus optimalgebrakan bonus mahjong wins mekanisme efisieninsight pola mahjong ways rutinkajian pola mahjong ways rutinkomparasi heuristik variansi game digitalledakan bonus mahjong wins sistem efektifmahjong wins bonus sistem generasi baruobservasi pola mahjong ways harianpendekatan algoritma heuristik variansi gameperbandingan model heuristik variansi gamerahasia bonus mahjong wins sistem cerdasrangkuman pola mahjong ways harianringkasan pola mahjong ways harianstudi pola mahjong ways hariantinjauan heuristik variansi game digitaltinjauan pola mahjong ways harianalur sombol mahjong kemunculan scatterdari rtp mahjong bermain lebih efektifjejak scatter mahjong putaran tenangkejutan scatter wild simbol mahjong arahkemunculan simbol ganda membuat mahjongketika grid mahjong scatter semakin dekatketika rtp mahjong pola mulai lebih jelasketika scatter wild ritme simbol mahjongketika scatter wild titik sesi mahjong waysketika susunan simbol mahjong ritme scattermemahami rtp mahjong cara bermain lebihpergerakan simbol mahjong scatter wildpergeseran mahjong ketika scatter hadirsaat rtp mahjong terbaca baik strategisaat scatter hadir simbol mahjong bergeserscatter wild dinamika simbol mahjongstabilitas putaran mahjong pola scattersusunan baru reel mahjong scatter emassusunan mahjong wins mengandung scattersusunan simbol mahjong diam pola scatterrm menguak keunikan mahjong wins sudut pandang teknisrm cara memahami pergerakan mahjong ways tenaga ekstrarm mahjong wins standar baru industri hiburan digitalrm rahasia ketahanan mahjong ways eksis gempuran gamerm pentingnya memahami transisi level mahjong wins mendalamrm strategi mengatur tempo mahjong ways kendali permainanrm peran kecerdasan buatan mekanisme mahjong wins adilrm alasan keberhasilan mahjong ways mencuri perhatian analisrm mempelajari struktur dasar mahjong wins efisiensi putaranrm inovasi desain mahjong ways kesan bermain responsifrm teknik observasi mahjong wins jarang dibahas dampakrm cara mempertahankan fokus dinamika mahjong ways cepatrm eksplorasi fitur tersembunyi mahjong wins ritme terbaikrm mahjong ways integrasi teknologi modern keamanan nyamanrm analisis faktor pendukung mahjong wins digemari generasirm langkah efektif menyesuaikan perubahan sistem mahjong waysrm mengintip proses pengembangan mahjong wins kualitas penggunarm analisis data membantu membaca arah mahjong waysrm menemukan titik temu insting logika mahjong winsrm transformasi besar mahjong ways menghadirkan tantangan menarikmengungkap simbol langka nasib drastismisteri besar kombinasi simbol langkamisteri simbol langka keberuntungan besarsimbol langka misterius ubah hiduprahasia simbol langka nasib cepattransformasi bonus mahjong wins sistem efektifmahjong wins suguhkan bonus sistem modernsuguhan bonus efisien mahjong winsefektivitas sistem bonus mahjong winsmahjong wins hadirkan bonus sistem optimaloke76cincinbetaqua365slot gacorstc76samurai76TOBA1131samurai76 login