Endoscopic Intramuscular Dissection for Rectal Laterally Spreading Tumor Suspected For Submucosal Invasion

Endoscopic Intramuscular Dissection for Rectal Laterally Spreading Tumor Suspected For Submucosal Invasion

Giuseppe Grande1, Lorenzo Carloni1,2,  Helga Bertani1, Silvia Cocca1, Stefania Caramaschi 3, Marinella Lupo1, Salvatore Russo 1,  Rita Luisa Conigliaro1

1. Gastroenterology and digestive endoscopy unit, Azienda Ospedaliero Universitaria di Modena, Modena, Italy.

2.Gastroenterology Unit, IRCCS Azienda Ospedaliero-Universitaria di Bologna, Italy; Department of Medical and Surgical Sciences, University of Bologna, Bologna, Italy.

3.Department of Medical and Surgical Sciences for Children and Adults, University of Modena and Reggio Emilia, University Hospital of Modena, Modena, Italy.

*Correspondence to: Giuseppe Grande, Gastroenterology and digestive endoscopy unit, Azienda Ospedaliero Universitaria di Modena, Modena, Italy.

Copyright

© 2024 Giuseppe Grande. This is an open access article distributed under the Creative Commons Attribution License, which permits unrestricted use, distribution, and reproduction in any medium, provided the original work is properly cited.

Received: 18 April 2024

Published: 01 May 2024

Abstract

Therapeutic endoscopic techniques for rectal superficial and invasive cancer are improved in the last two decades1. A proper resection technique should be selected in consideration of submucosal invasion risk based on the size, morphology, superficial and vascular pattern of the lesion2,3. Endoscopic submucosal dissection (ESD) is recommended for colorectal lesions suspected for superficial submucosal invasion (≤ Sm1),  primarily for those  with demarcated and depressed areas, irregular superficial patterns, bulky com-ponents, or a size larger than 20 mm4.

In the rectum, expanded indications for endoscopic treatment have been discussed , in particular endo-scopic intramuscular dissection (EID) or endoscopic full-thickness resection (EFTR) should be considered in case of deeply submucosal invasion (T1b), considering similar complete resection (R0) rates and better  outcomes than transanal mesorectal excision (TME) [5,6]. Here we report the video case of a patient who has undergone EID for a large rectal laterally spreading tumour (LST)  suspected to  extend close to the inner muscular layer. 


Endoscopic Intramuscular Dissection for Rectal Laterally Spreading Tumor Suspected For Submucosal Invasion

Introduction

Therapeutic endoscopic techniques for rectal superficial invasive cancer (T1a/T1b) are considerably im-proved in the last  years. Nowadays thanks to  a better lesion characterization based on white light imaging (WLI), chromoendoscopy (ex. Narrow Band Imaging by Olympus®, Flexile Imaging Color Enhancement by Fujinon® or I-SCAN by Pentax®), digital magnification and new endoscopic devices release (ex. injection solutions, hybrid dissection knives, endoscopic suture techniques and systems), it is possible to achieve a curative resection of rectal invasive cancers avoiding transabdominal surgery namely Rectal Anterior Resection (RAR) +Total Mesorectal Excision (TME) 5,7. Over the past decade, thanks to the evolution of endoscopic techniques, endoscopic submucosal dissection (ESD) has become the first-line therapy for lesions with superficial submucosal invasion (≤ Sm1) to obtain en-bloc resection. In the rectum, compared to surgery, endoscopic resection is associated with significantly lower rates of complications and a much quicker recovery, achieving similar R0 rates 4,7. Moreover, in case of suspicion of deep sub-mucosal in-vasion (T1b) either in case of fibrotic or recurrent lesions, endoscopic inter-muscular dissection (EID) could be considered. Nowadays,  the therapeutic process for lesions with deep submucosal invasion (T1b) represents a border area where endoscopic resection is less invasive than surgery, but it could be linked to a higher risk of noncurative resection (ex. presence of lymph nodal invasion, N+), whereas surgery (RAR+TME) for sure reduces the risk of disease persistence or recurrence  , but could represent an over-treatment associated with severe adverse events and finally showing no difference in overall survival.  [10]

EID is an “extended" ESD technique and  is a dissection in between the inner (circular) and outer (longitu-dinal) part of the muscularis propria . First, it is necessary to make a mucosal incision to enter in the sub-mucosal layer after submucosal lifting, followed by , submucosal dissection, as in the ESD technique to reach the area where muscle retracting (MR) sign is observed. MR sign has been associated with a high risk of incomplete endoscopic removal via ESD9. At this point, an incision through the internal circular muscle layer is performed to open the intermuscular space and start intermuscular dissection. After creat-ing an adequate plane in muscle propria, dissection is accomplished up to no more MR sign or deeper tu-mor infiltration is observed. EID is an advanced dissection technique that could be useful to treat lesions with severe fibrosis or suspected deeper invasion in the submucosal layer. Performing intermuscular dissection could be valuable to avoid superficial vascular arborization and reduce bleeding risk, plus, EID permits to preserve external longitudinal muscle layer without compromising a further  surgical interven-tion.

In literature5, this technique is reported only in case reports and small series; Recently, Leon et al. pub-lished a prospective cohort experiences of 67 patients treated with EID for rectal LST, reporting technical success and curative resection achieved in 96% and 45% of patients whereas adverse events (AEs) oc-curred in 12% and all were classified as mild to moderate (ex. perianal pain, inflammatory response, de-layed bleeding)7.

Intramuscular space expansion and selective superficial myotomy should be also considered in gastroin-testinal stromal tumors (GISTs) resection and in particular could be useful to achieve transition zone (TZ) exposition and resection in gastric submucosal tunneling endoscopic resection (STER)8.

In other recent methanalisis of Spadaccini et al, non curative resection based on the histological report, are anyway associated a lower risk of disease recurrence6

 

Case Report

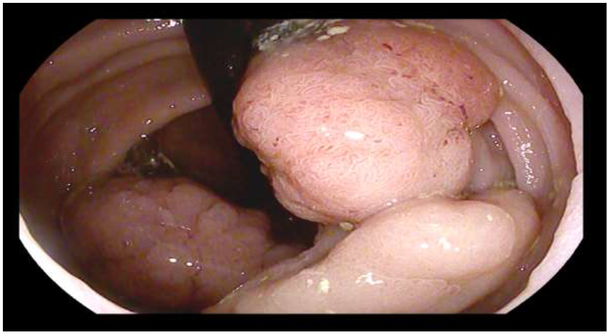
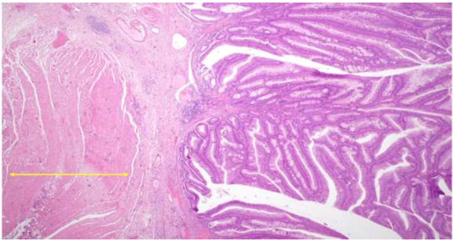
Here we report the case of a 77-year-old ASA 2 woman, who underwent to colonoscopy for sideropenic anemia and positive FIT. Examination showed a rectal granular nodular-mixed laterally spreading tumor (GM-LST) with a dominant nodule of 5 cm and a psudodepressed central area [figure 1,2]. The lesion was extended on the two third of rectal circumference involving the second and the third Huston fold and was judged suspected for invasive carcinoma. The histological examination reported low and high-grade dys-plasia. At total body computed tomography (CT)  no metastatic lesion was detected. Pelvic magnetic reso-nance (MRI) was consistent with T2N0, showing the extension of the lesion nearby the muscularis propria, without a clear distinction plane. In addition, a rectal endoscopic ultrasound (EUS) was requested, confirm-ing the MRI findings. Given the well-known risk of EUS and MRI overstating, as reported by recently re-leased ESGE guidelines [4] and after a gastrointestinal multidisciplinary team (MDT) discussion, the pa-tient was proposed for endoscopic submucosal dissection4. For the procedure, we used a standard   diag-nostic Pentax gastroscope  mounted with a conic distal end cap (ST Hoods, Fujifilm®). First, a mucosal incision was made approximately 5mm around either the proximal and distal side of the rectal lesion, fol-lowed by submucosal dissection using DualKnife J 1.5mm (Olympus®). During the dissection, a deeper submucosal invasion was suspected  beneath  the dominant sessile nodule, where the submucosal space was progressively disappearing for muscular retraction and also for fibrotic reaction [Figure 3]. In this area we moved to the inner circular muscular layer dissection, even using the same small tip knife. The dissec-tion was completed using the Hook Knife J (Olympus) for the lateral part, resulting in complete resection of the lesion, 10x6 cm in size [Figure 4]. The resection phase took 90 min. Hemostasis  was achieved with monopolar  forceps (Coagrasper - Olympus®). The base was sutured using through-the-scope clips and a hemostatic matrix (Purastat®, 3ml) was apposed  to prevent delayed bleeding. Precautionary, the patient was hospitalized for three days and then discharged after uneventful observation. Histological examination of the lesion reported well-differentiated adenocarcinoma (G1) focus over a high-grade dysplasia tubulovil-lous adenoma, no tumoral budding or vascular invasion, absence of tumor on the resection plane and sub-mucosal invasion limited to 500 μm. Histopatology also showed the circular muscular layer on the resection plane of the lesion  [Figure 5]. MDT indication was endoscopic follow-up after 6 months.

 

Discussion

In this case report, we outlined the EID as a promising endoscopic resection technique in suspicion of deep submucosal invasion or in case of severe submucosal fibrosis. Although differentiation between T1a/T1b and T2 cancers is still challenging and questions on long-term oncologic outcomes need more studies, EID should be considered, in selected cases, as an alternative to transabdominal surgery.

 

Please click here to view vedio

Figure 1

Figure 2

Figure 3

Figure 4

 

Conflicts of Interest

The authors have no potential conflicts of interest

Funding

None

Acknowledgments

Special thanks to Professor Luca Reggiani Bonetti for histopatologyc assessment in the difficult cases

The authors would like to thank all the workers who participated in the study

Author Contributions Conceptualization

Writing–review & editing: all authors

 

References

1. Monika Ferlitsch, Alan Moss, Cesare Hassan, et al., Colorectal polypectomy and endoscopic mu-cosal resection (EMR): European Society of Gastrointestinal Endoscopy (ESGE) Clinical Guideline 2017

2. Ferdinando D’Amico, Arnaldo Amato, Andrea Iannone, et al., Risk of Covert Submucosal Cancer in Patients With Granular Mixed Laterally Spreading Tumors 2021

3. Antonio Facciorusso, Matteo Antonino, Marianna Di Maso, Michele Barone, Nicola Muscatiello, Non-polypoid colorectal neoplasms: Classification, therapy, and follow-up 2015

4. Pedro Pimentel-Nunes1, Diogo Libânio, Barbara A. J. Bastiaansen et al., Endoscopic submucosal dissection for superficial gastrointestinal lesions: European Society of Gastrointestinal Endoscopy (ESGE) Guideline – Update 2022

5. Leon M. G. Moons1, Barbara A. J. Bastiaansen, Milan C. Richir et al., Endoscopic intermuscular dissection for deep submucosal invasive cancer in the rectum: a new endoscopic approach 2022

6. Spadaccini M, Bourke MJ, Maselli R, et al. Clinical outcome of non-curative endoscopic submuco-sal dissection for early colorectal cancer, Gut. 2022

7. Clementine Brule, Mathieu Pioche, Jeremie Albouys et al, The CClinical significance of the mus-cle-retracting sign during colorectal endoscopic submucosal dissectionOlorectal NEoplasia Endo-scopic Classification to Choose the Treatment classification for identification of large laterally spreading lesions lacking submucosal carcinomas: A prospective study of 663 lesions 2022

8. Tatsuma Nomura, Shinya Sugimoto, Jun Oyamada, Hiroto Suzuki, Keiichi Ito, Akiyoshi Nemoto, Gastric endoscopic muscularis dissection using a partial intramuscular injection technique 2023

9. Takashi Toyonaga, Shinwa Tanaka, Mariko Man-I, et al., Clinical significance of muscle-retracting sign during colorectal endoscopic submucosal dissection 2015

10.       Yeh JH, Tseng CH, Huang RY, et al. Long-term Outcomes of Primary Endoscopic Resection vs Surgery for T1 Colorectal Cancer: A Systematic Review and Meta-analysis. Clin Gastroenterol Hepatol. 2020;18(12):2813-2823.e5. doi:10.1016/j.cgh.2020.05.060

 

Figure 1

Figure 2

Figure 3

Figure 4

antarmuka fokus mahjong daya pengguna aktifaws grid serasi mahjong dasar tahapan terjagaaws jejak mekanisme mahjong arah fase lanjutanaws kajian wild berantai mahjong interaktif analitisaws kesesuaian persentase layanan mahjong seluler lanceraws pendalaman persentase mahjong gerak wild mutakhircorak langka mahjong tumbuh perlahan berubahgerak mahjong adaptasi mekanisme pemakai sekarangnalar scatter mahjong malam putaran ekstratempo mahjong kaitan mekanisme keadaan terkinialur permainan mahjong cepat scatter wilddalam hitungan detik scatter wild mahjongmenyatukan naluri pola scatter hitam mahjongmomen mahjong permainan berbalik arahmomen singkat mahjong dinamika permainanperpaduan insting pola scatter hitam momentperubahan drastis mahjong ways scatter wildscatter wild mahjong datang polasekejap berubah scatter wild mahjong wayssensasi baru mahjong lebih scatter wildenergi scatter emas irama reel mahjongevolusi reel mahjong balutan mistisintervensi cepat emas momentum lamakemunculan mendadak naga emas mahjongketika scatter naga emas aktif mahjongnaga emas muncul arah spin mahjongnaga emas ritme mahjong ways berubahrahasia rtp tinggi balik scatter hitamsaat scatter naga emas alih irama reelscatter hitam kunci lonjakan rtp mahjonge5 scatter wild memberikan sentuhan baru di setiap spin mahjong ways 2e5 scatter wild menghidupkan suasana permainan mahjong ways 2e5 scatter wild mengubah pola permainan mahjong ways 2 secara signifikane5 setiap putaran mahjong ways 2 terasa berbeda dengan scatter wilde5 strategi adaptif berbasis analisis rtp hariane5 strategi berbasis data dan algoritma untuk analisis momentume5 strategi berkembang berkat data rtp hariane5 strategi memahami algoritma untuk mengidentifikasi momentum ideale5 strategi membaca pola algoritma demi menangkap momentum optimale5 strategi modern mengandalkan evaluasi rtp hariane5 strategi responsif dengan dukungan evaluasi rtp hariane5 strategi terukur dengan analisis rtp hariane5 struktur scatter dan wild terlihat jelas berkat analisis sistem moderne5 tanpa disadari kombinasi ini sering mengarah ke scatter di mahjong wins 3e5 teknik evaluasi algoritma untuk mendapatkan momentum yang tepate5 teknik observasi sistem untuk analisis momentum yang lebih presisie5 terungkap formasi ini sering jadi awal munculnya scatter di mahjong wins 3e5 transformasi digital rtp live berkat artificial intelligence inovatife5 transformasi ritme mahjong ways 2 dipicu oleh kekuatan scatter wilde5 wajib tahu pola tersembunyi ini sering menghasilkan scattere5 applee5 bananae5 candye5 doge5 eaglee5 falcone5 geminie5 horsee5 indiae5 japananalisa pola mahjong ways rutinanalisis kinerja heuristik variansi gameanalisis pola mahjong ways hariananalisis pola mahjong ways kebiasaanera baru mahjong wins bonus optimalgebrakan bonus mahjong wins mekanisme efisieninsight pola mahjong ways rutinkajian pola mahjong ways rutinkomparasi heuristik variansi game digitalledakan bonus mahjong wins sistem efektifmahjong wins bonus sistem generasi baruobservasi pola mahjong ways harianpendekatan algoritma heuristik variansi gameperbandingan model heuristik variansi gamerahasia bonus mahjong wins sistem cerdasrangkuman pola mahjong ways harianringkasan pola mahjong ways harianstudi pola mahjong ways hariantinjauan heuristik variansi game digitaltinjauan pola mahjong ways harianalur sombol mahjong kemunculan scatterdari rtp mahjong bermain lebih efektifjejak scatter mahjong putaran tenangkejutan scatter wild simbol mahjong arahkemunculan simbol ganda membuat mahjongketika grid mahjong scatter semakin dekatketika rtp mahjong pola mulai lebih jelasketika scatter wild ritme simbol mahjongketika scatter wild titik sesi mahjong waysketika susunan simbol mahjong ritme scattermemahami rtp mahjong cara bermain lebihpergerakan simbol mahjong scatter wildpergeseran mahjong ketika scatter hadirsaat rtp mahjong terbaca baik strategisaat scatter hadir simbol mahjong bergeserscatter wild dinamika simbol mahjongstabilitas putaran mahjong pola scattersusunan baru reel mahjong scatter emassusunan mahjong wins mengandung scattersusunan simbol mahjong diam pola scatterrm menguak keunikan mahjong wins sudut pandang teknisrm cara memahami pergerakan mahjong ways tenaga ekstrarm mahjong wins standar baru industri hiburan digitalrm rahasia ketahanan mahjong ways eksis gempuran gamerm pentingnya memahami transisi level mahjong wins mendalamrm strategi mengatur tempo mahjong ways kendali permainanrm peran kecerdasan buatan mekanisme mahjong wins adilrm alasan keberhasilan mahjong ways mencuri perhatian analisrm mempelajari struktur dasar mahjong wins efisiensi putaranrm inovasi desain mahjong ways kesan bermain responsifrm teknik observasi mahjong wins jarang dibahas dampakrm cara mempertahankan fokus dinamika mahjong ways cepatrm eksplorasi fitur tersembunyi mahjong wins ritme terbaikrm mahjong ways integrasi teknologi modern keamanan nyamanrm analisis faktor pendukung mahjong wins digemari generasirm langkah efektif menyesuaikan perubahan sistem mahjong waysrm mengintip proses pengembangan mahjong wins kualitas penggunarm analisis data membantu membaca arah mahjong waysrm menemukan titik temu insting logika mahjong winsrm transformasi besar mahjong ways menghadirkan tantangan menarikmengungkap simbol langka nasib drastismisteri besar kombinasi simbol langkamisteri simbol langka keberuntungan besarsimbol langka misterius ubah hiduprahasia simbol langka nasib cepattransformasi bonus mahjong wins sistem efektifmahjong wins suguhkan bonus sistem modernsuguhan bonus efisien mahjong winsefektivitas sistem bonus mahjong winsmahjong wins hadirkan bonus sistem optimaloke76cincinbetaqua365slot gacorstc76samurai76TOBA1131samurai76 login