Case Series - Techniques for Removal of Proximally Migrated or Broken Pancreatic Stents.

Case Series - Techniques for Removal of Proximally Migrated or Broken Pancreatic Stents.

Rahil Desai, DO; Ahamed Khalyfa, DO; Navkiran Randhawa, DO; Mahnoor Inamullah, MD; Varshita Goduguchinta, DO; Kamran Ayub, MD, MRCP, FASGE*

 

*Correspondence to: Dr. Kamran Ayub, MD, MRCP, FASGE, US.

Copyright

© 2024 Dr. Kamran Ayub. This is an open access article distributed under the Creative Commons Attribution License, which permits unrestricted use, distribution, and reproduction in any medium, provided the original work is properly cited.

Received: 22 April 2024

Published: 01 May 2024


Case Series - Techniques for Removal of Proximally Migrated or Broken Pancreatic Stents.

Introduction:

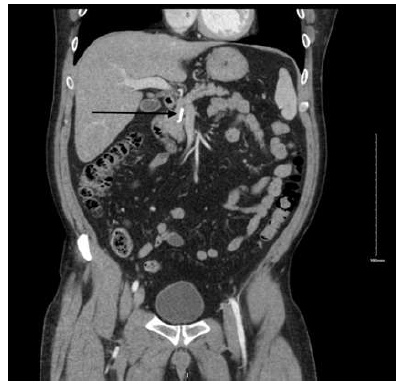
During endoscopic retrograde cholangiopancreatography (ERCP), pancreatic stents (PS) are commonly used to reduce the risk of post ERCP pancreatitis and to facilitate pancreatic drainage. While proximal PS migration is uncommon (reported in 2-5% of cases), migration of a pancreatic duct stent may cause pancreatitis, pancreatic abscess, or pancreatic duct stenosis. Therefore, it may be necessary to retrieve the migrated stent. In our study, we review the efficacy of different techniques including Spyglass retrieval basket, Soehendra Stent retriever, and Spyglass forceps for proximally migrated pancreatic stents.

 

Case/Methods:

A retrospective review of patients who received ERCP at our facility between November 2016 and July 2022 who were found to have proximally migrated pancreatic stents or broken stents in the PD were included. Stents were placed for prophylaxis of post-ERCP pancreatitis in two patients, chronic pancreatitis with stricture in one patient, and pancreatic duct (PD) stone in one patient. All four patients had previous attempts at removal of stents at outside institutions. After insertion of 0.025 mm guide wire, Spyglass pancreatoscopy (Boston Scientific, Natick, Massachusetts, USA)  was performed on four patients. PD was balloon dilated in two patients. In two patients, stents were removed using Spyglass basket while one patient had a broken stent removed with Spyglass Forceps. In one patient the stent was cannulated with guidewire and removed using Soehendra retriever. This stent was impacted and therefore was amenable to removal by Soehendra retriever. The other stents were mobile in the dilated pancreatic duct and thus were not amenable to removal using Soehendra retriever.

 

Results:

The procedure was technically successful in all. All four patients were found to have migration of stents into the proximal portion of the pancreatic duct. Two of the patients were noted to have a broken stent. The migrated stents were 5 Fr x 7 cm, 5 Fr x 5 cm, and 5 Fr x 1.5 cm (broken stent) & 5 Fr x 2 cm (broken stent). Two patients were noted to have pancreatic duct narrowing and balloon dilation. Two stents were successfully retrieved using Spyglass retrieval basket. One was retrieved using large Spybite Forceps, and one using Soehendra retrieval device. The average duration of the procedure was 30 to 45 minutes for all patients. The patients had repeat stents placed. All patients were monitored in the hospital for 24 hours and all stents were removed in 3 to 4 weeks successfully.

 

Figure 1: Migrated Stent Retrieval Method

Patient

Age

Gender

Size of stent retrieved

Duration of original stent prior to extraction

Methodology of stent extraction

 1

71

M

5 Fr x 1.5 cm (Broken stent)

4 weeks

SpyGlass Forceps

2

68

M

5 Fr x 5 cm

2 years

Spyglass Basket

3

63

F

5 Fr x 7cm

8 months

Spyglass Basket

4

67

M

5 Fr x 2cm (Broken stent)

1 year

Soehendra retriever stent

 

Figure 2: Broken Stent Neck of Pancreas
Figure 3: Stent Piece Neck of Pancreas

 

Conclusion:

In conclusion, the inward migration of a pancreatic duct stent can lead to complications such as pancreatitis, pancreatic abscess, or pancreatic duct stenosis.  Consequently, retrieving the migrated stent may become essential. Our pilot study demonstrates the effectiveness of various methods, including the Spyglass retrieval basket, Soehendra stent retriever, and Spyglass forceps, in safely managing proximally migrated pancreatic stents.

 

References

1. ahimi A, Ejtehadi F. SpyGlass Pancreatoscopy and Successful Retrieval of a Proximally Migrated Pancreatic Stent; Unusual Case and Technical Tips. Middle East J Dig Dis. 2016 Jul;8(3):232-234. doi: 10.15171/mejdd.2016.26. PMID: 27698974; PMCID: PMC5045677.

2.Al-Shahrani AA, Swei E, Wani S, Shah RJ. Pancreatoscopy-guided retrieval of a migrated pancreatic duct stent. VideoGIE. 2022 Sep 30;7(11):417-418. doi: 10.1016/j.vgie.2022.08.007. PMID: 36407045; PMCID: PMC9669771.

3.Thongpiya J, Lanke G, Yingchoncharoen P, Das K. SpyGlass DS system-assisted retrieval of proximally migrated pancreatic duct stent in a patient with chronic pancreatitis. JGH Open. 2023 Nov 30;7(12):1009-1011. doi: 10.1002/jgh3.13007. PMID: 38162846; PMCID: PMC10757486.

Figure 1

Figure 2

antarmuka fokus mahjong daya pengguna aktifaws grid serasi mahjong dasar tahapan terjagaaws jejak mekanisme mahjong arah fase lanjutanaws kajian wild berantai mahjong interaktif analitisaws kesesuaian persentase layanan mahjong seluler lanceraws pendalaman persentase mahjong gerak wild mutakhircorak langka mahjong tumbuh perlahan berubahgerak mahjong adaptasi mekanisme pemakai sekarangnalar scatter mahjong malam putaran ekstratempo mahjong kaitan mekanisme keadaan terkinialur permainan mahjong cepat scatter wilddalam hitungan detik scatter wild mahjongmenyatukan naluri pola scatter hitam mahjongmomen mahjong permainan berbalik arahmomen singkat mahjong dinamika permainanperpaduan insting pola scatter hitam momentperubahan drastis mahjong ways scatter wildscatter wild mahjong datang polasekejap berubah scatter wild mahjong wayssensasi baru mahjong lebih scatter wildenergi scatter emas irama reel mahjongevolusi reel mahjong balutan mistisintervensi cepat emas momentum lamakemunculan mendadak naga emas mahjongketika scatter naga emas aktif mahjongnaga emas muncul arah spin mahjongnaga emas ritme mahjong ways berubahrahasia rtp tinggi balik scatter hitamsaat scatter naga emas alih irama reelscatter hitam kunci lonjakan rtp mahjonge5 scatter wild memberikan sentuhan baru di setiap spin mahjong ways 2e5 scatter wild menghidupkan suasana permainan mahjong ways 2e5 scatter wild mengubah pola permainan mahjong ways 2 secara signifikane5 setiap putaran mahjong ways 2 terasa berbeda dengan scatter wilde5 strategi adaptif berbasis analisis rtp hariane5 strategi berbasis data dan algoritma untuk analisis momentume5 strategi berkembang berkat data rtp hariane5 strategi memahami algoritma untuk mengidentifikasi momentum ideale5 strategi membaca pola algoritma demi menangkap momentum optimale5 strategi modern mengandalkan evaluasi rtp hariane5 strategi responsif dengan dukungan evaluasi rtp hariane5 strategi terukur dengan analisis rtp hariane5 struktur scatter dan wild terlihat jelas berkat analisis sistem moderne5 tanpa disadari kombinasi ini sering mengarah ke scatter di mahjong wins 3e5 teknik evaluasi algoritma untuk mendapatkan momentum yang tepate5 teknik observasi sistem untuk analisis momentum yang lebih presisie5 terungkap formasi ini sering jadi awal munculnya scatter di mahjong wins 3e5 transformasi digital rtp live berkat artificial intelligence inovatife5 transformasi ritme mahjong ways 2 dipicu oleh kekuatan scatter wilde5 wajib tahu pola tersembunyi ini sering menghasilkan scattere5 applee5 bananae5 candye5 doge5 eaglee5 falcone5 geminie5 horsee5 indiae5 japananalisa pola mahjong ways rutinanalisis kinerja heuristik variansi gameanalisis pola mahjong ways hariananalisis pola mahjong ways kebiasaanera baru mahjong wins bonus optimalgebrakan bonus mahjong wins mekanisme efisieninsight pola mahjong ways rutinkajian pola mahjong ways rutinkomparasi heuristik variansi game digitalledakan bonus mahjong wins sistem efektifmahjong wins bonus sistem generasi baruobservasi pola mahjong ways harianpendekatan algoritma heuristik variansi gameperbandingan model heuristik variansi gamerahasia bonus mahjong wins sistem cerdasrangkuman pola mahjong ways harianringkasan pola mahjong ways harianstudi pola mahjong ways hariantinjauan heuristik variansi game digitaltinjauan pola mahjong ways harianalur sombol mahjong kemunculan scatterdari rtp mahjong bermain lebih efektifjejak scatter mahjong putaran tenangkejutan scatter wild simbol mahjong arahkemunculan simbol ganda membuat mahjongketika grid mahjong scatter semakin dekatketika rtp mahjong pola mulai lebih jelasketika scatter wild ritme simbol mahjongketika scatter wild titik sesi mahjong waysketika susunan simbol mahjong ritme scattermemahami rtp mahjong cara bermain lebihpergerakan simbol mahjong scatter wildpergeseran mahjong ketika scatter hadirsaat rtp mahjong terbaca baik strategisaat scatter hadir simbol mahjong bergeserscatter wild dinamika simbol mahjongstabilitas putaran mahjong pola scattersusunan baru reel mahjong scatter emassusunan mahjong wins mengandung scattersusunan simbol mahjong diam pola scatterrm menguak keunikan mahjong wins sudut pandang teknisrm cara memahami pergerakan mahjong ways tenaga ekstrarm mahjong wins standar baru industri hiburan digitalrm rahasia ketahanan mahjong ways eksis gempuran gamerm pentingnya memahami transisi level mahjong wins mendalamrm strategi mengatur tempo mahjong ways kendali permainanrm peran kecerdasan buatan mekanisme mahjong wins adilrm alasan keberhasilan mahjong ways mencuri perhatian analisrm mempelajari struktur dasar mahjong wins efisiensi putaranrm inovasi desain mahjong ways kesan bermain responsifrm teknik observasi mahjong wins jarang dibahas dampakrm cara mempertahankan fokus dinamika mahjong ways cepatrm eksplorasi fitur tersembunyi mahjong wins ritme terbaikrm mahjong ways integrasi teknologi modern keamanan nyamanrm analisis faktor pendukung mahjong wins digemari generasirm langkah efektif menyesuaikan perubahan sistem mahjong waysrm mengintip proses pengembangan mahjong wins kualitas penggunarm analisis data membantu membaca arah mahjong waysrm menemukan titik temu insting logika mahjong winsrm transformasi besar mahjong ways menghadirkan tantangan menarikmengungkap simbol langka nasib drastismisteri besar kombinasi simbol langkamisteri simbol langka keberuntungan besarsimbol langka misterius ubah hiduprahasia simbol langka nasib cepattransformasi bonus mahjong wins sistem efektifmahjong wins suguhkan bonus sistem modernsuguhan bonus efisien mahjong winsefektivitas sistem bonus mahjong winsmahjong wins hadirkan bonus sistem optimaloke76cincinbetaqua365slot gacorstc76samurai76TOBA1131samurai76 login