Natural Tooth Pontic: An Immediate Interim Restoration

Natural Tooth Pontic: An Immediate Interim Restoration

Arun Vashisht *1, Navjot Singh2, Kavneet Kaur Pelia3

 1.BDS, MDS, PG Prosthodontics, Director GimmeSmile PPLC, Texas, North America 

2. BDS, Genesis Institute of Dental Sciences and Research, Ferozepur, Punjab, India.

3. BDS, Dr. Harvansh Singh Judge Institute of Dental Sciences and Hospital, Chandigarh, India.

*Correspondence to: Arun Vashisht, BDS, MDS, PG Prosthodontics, Director GimmeSmile PPLC, Texas, North America.

Copyright

© 2022 Arun Vashisht. This is an open access article distributed under the Creative Commons Attribution License, which permits unrestricted use, distribution, and reproduction in any medium, provided the original work is properly cited.

Received: 01 Dec 2022

Published: 15 Dec 2022

Abstract

The loss of anterior teeth can be psychologically and socially damaging to the patient. Restorations can vary between removable prosthesis, tooth-supported prosthesis, or implant-supported prosthesis. Irrespective of the final treatment, the first line of treatment would be provisionally restoring the patient’s esthetic appearance while functionally stabilizing the compromised arch.

Keywords: Pontic, Restoration, Prosthesis, Esthetics.


Natural Tooth Pontic: An Immediate Interim Restoration

Introduction

Fortuitous tooth loss in esthetic zone of the anterior region can be due to trauma, periodontal disease or endodontic failure.1 Following the tooth loss exigent need for replacement arises, in order to avoid aesthetic, masticatory and phonetic difficulties and to maintain the edentulous space.2

Conventional solution to this clinical problem has been the provision of single tooth, removable temporary acrylic prosthesis or resin-bonded bridges; each having their specific merits and demerits in terms of usage, aesthetics, and compatibility. 3,4 Analyzing various pros and cons, a treatment module is decided upon by the dentist in consonant with the patient. Using natural teeth as a pontic benefits of being right size, shape and color. Moreover, the positive psychological impact on the patient in using his or her natural tooth is an added benefit.2 The present case reports the utilization of an avulsed tooth as a natural tooth pontic.


Case Report

A 34-year-old healthy female patient reported at department of Periodontology and Oral Implantology with a complaint of highly mobile tooth in the lower left region of mouth. Clinical and radiographic findings stipulated it as generalized chronic periodontitis (Fig- 01).

 Figure 1: PAN IMAGE

The concerned tooth was lower left first premolar and grade III mobile. 5 It was indicated for extraction. Scaling and root planing was done, and the patient was recalled after 3 days for extraction.   The patient’s tooth got avulsed very next day and she reported back with avulsed tooth. Considering the patient’s request for immediate prosthesis, the idea of natural tooth pontic was proposed. The patient agreed to it and a written signed consent was obtained from her.

 

Technique:

The apical opening of the pulp canal was cleaned, slightly enlarged, and sealed with resin composite. A modified ridge lap design was given to cervical area to facilitate cleaning and appearance of emerging profile. The apical portion of the root was removed to facilitate proper positioning of the tooth in an edentulous area. Intracoronal round 0.001” braided wire was inserted into the prepared tooth and bonded with composite. It was then bonded to the adjacent teeth using light cure composite. Finishing and polishing procedures were carried out using composite finishing discs and stones (Fig 02 - 05).

 

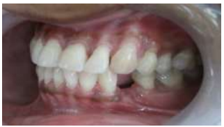
Figure 2 : Missing  tooth

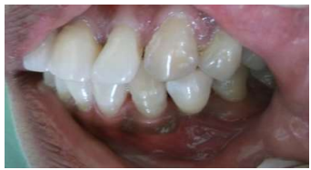
Figure 3 : Try in of Natural Pontic

Figure 4: Composite (Ribbond) Application and Curing

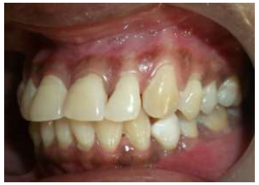
Figure 5: Natural tooth Pontic in Place

Oral hygiene instructions were given to the patient. The first recall appointment was made after 1 week. The patient’s sanguine countenance was result of the achieved desired esthetics improved ease of biting without any discomfort.


Discussion

The restoration of a smile is one of the most appreciating and gratifying services a dentist can render. Psychological and social trauma to the patient can be prevented by immediate replacement of lost tooth. Replacement can be provisional, semi provisional, or permanent in nature. Final restorations can vary between removable prosthesis, tooth supported prosthesis or implant-supported prosthesis. Irrespective of the final treatment, the first line of treatment would be to provisionally restore the patient’s esthetic appearance while functionally stabilizing the compromised arch.

Removable appliances or prostheses seem to be one suitable treatment opinion, but patient compliance is generally a major problem. Moreover, the clasps incorporated into removable partial denture can compromise esthetics. Removable partial denture is susceptible to fracture. In this regard, Natural tooth pontic may offer several advantages over removable appliances including enhanced esthetics, ease of use and avoidance of becoming accustomed to a removable prosthesis.6,7

The patient’s natural tooth can be used as a pontic which effaces the need of complicated laboratory procedures. The major advantage of retaining patient’s natural crown is that it instigates the patient to better tolerate the effect of tooth loss. 8 Natural tooth acts as an optimal pontic in terms of size, shape, and color.

In present case, natural tooth pontic was shaped as modified ridge lap pontic with a well-polished and smooth, convex surface that results in pressure free9 or mild contact with alveolar ridge for better preservation of soft tissue health10.

Albeit this technique demands increased chairside time; the key advantages are:

  • excellent esthetic results
  • preservation of natural crown structure
  • extracted tooth can be replaced at the same visit.
  • no laboratory work required.
  • reduces psychological impact on the patient.
  • technique is reversible and allows other restorative options to be available.
  • can be used as interim or definitive prosthesis.
  • Micro-resiliency of pontic allows stimulation of underlying tissue and avoids excessive ridge resorption. 2


Conclusion:

 Natural tooth pontic offers a simple and cost-effective treatment option for replacement of a fractured or avulsed tooth. It can prove to be very hygienic; noninvasive and long-term provisional treatment providing preeminent esthetics and function if consummated proficiently. However, this procedure demands appropriate case selection and precise technique.

 

References

1.         NathansonD, Moin K. Metal-reinforced anterior tooth replacement using acid-etch-composite resin technique. J Prosthet Dent. 1980,43(4):408-412.

2.         Pariola A, Shenoy KM, Thomas MS, Mohan M. Use of a natural tooth crown as a pontic following cervical root fracture: A case report.

3.         Ashley M, Holden V. An immediate adhesive bridge using the natural tooth. Br Dent J 1998; 184:18-20.

4.         Safirstein JJ, Owens BM, Swords RL. The resin retained natural tooth pontic: a transitional esthetic solution. J Tenn Dent Assc 2001;31-33.

5.         Miller SC. Textbook of Periodontia. Philadelphia: The Blakiston Company; 1950:125.

6.         Fahl N. Restoration of the maxillary arch utilizing a composite resin build up and a fiber framework. Pract Periodontics Asthetic Dent 1998; 10:363-367.

7.         Smidt A. Esthetic provisional replacement of a single anterior tooth during the implant healing phase: a clinical report. J Prosthet Dent 2002;6: 598-602.

8.         Stein RS. Pontic-residual ridge relationship. Research report. J Prosthet Dent 1996; 16:251-285.

9.         Edelhoff D, Spekermann H, Yildirim M. A review of esthetic pontic design options. Quinitessence Int 2002; 33: 736-746.

Figure 1

Figure 2

Figure 3

Figure 4

Figure 5

antarmuka fokus mahjong daya pengguna aktifaws grid serasi mahjong dasar tahapan terjagaaws jejak mekanisme mahjong arah fase lanjutanaws kajian wild berantai mahjong interaktif analitisaws kesesuaian persentase layanan mahjong seluler lanceraws pendalaman persentase mahjong gerak wild mutakhircorak langka mahjong tumbuh perlahan berubahgerak mahjong adaptasi mekanisme pemakai sekarangnalar scatter mahjong malam putaran ekstratempo mahjong kaitan mekanisme keadaan terkinialur permainan mahjong cepat scatter wilddalam hitungan detik scatter wild mahjongmenyatukan naluri pola scatter hitam mahjongmomen mahjong permainan berbalik arahmomen singkat mahjong dinamika permainanperpaduan insting pola scatter hitam momentperubahan drastis mahjong ways scatter wildscatter wild mahjong datang polasekejap berubah scatter wild mahjong wayssensasi baru mahjong lebih scatter wildenergi scatter emas irama reel mahjongevolusi reel mahjong balutan mistisintervensi cepat emas momentum lamakemunculan mendadak naga emas mahjongketika scatter naga emas aktif mahjongnaga emas muncul arah spin mahjongnaga emas ritme mahjong ways berubahrahasia rtp tinggi balik scatter hitamsaat scatter naga emas alih irama reelscatter hitam kunci lonjakan rtp mahjonge5 scatter wild memberikan sentuhan baru di setiap spin mahjong ways 2e5 scatter wild menghidupkan suasana permainan mahjong ways 2e5 scatter wild mengubah pola permainan mahjong ways 2 secara signifikane5 setiap putaran mahjong ways 2 terasa berbeda dengan scatter wilde5 strategi adaptif berbasis analisis rtp hariane5 strategi berbasis data dan algoritma untuk analisis momentume5 strategi berkembang berkat data rtp hariane5 strategi memahami algoritma untuk mengidentifikasi momentum ideale5 strategi membaca pola algoritma demi menangkap momentum optimale5 strategi modern mengandalkan evaluasi rtp hariane5 strategi responsif dengan dukungan evaluasi rtp hariane5 strategi terukur dengan analisis rtp hariane5 struktur scatter dan wild terlihat jelas berkat analisis sistem moderne5 tanpa disadari kombinasi ini sering mengarah ke scatter di mahjong wins 3e5 teknik evaluasi algoritma untuk mendapatkan momentum yang tepate5 teknik observasi sistem untuk analisis momentum yang lebih presisie5 terungkap formasi ini sering jadi awal munculnya scatter di mahjong wins 3e5 transformasi digital rtp live berkat artificial intelligence inovatife5 transformasi ritme mahjong ways 2 dipicu oleh kekuatan scatter wilde5 wajib tahu pola tersembunyi ini sering menghasilkan scattere5 applee5 bananae5 candye5 doge5 eaglee5 falcone5 geminie5 horsee5 indiae5 japananalisa pola mahjong ways rutinanalisis kinerja heuristik variansi gameanalisis pola mahjong ways hariananalisis pola mahjong ways kebiasaanera baru mahjong wins bonus optimalgebrakan bonus mahjong wins mekanisme efisieninsight pola mahjong ways rutinkajian pola mahjong ways rutinkomparasi heuristik variansi game digitalledakan bonus mahjong wins sistem efektifmahjong wins bonus sistem generasi baruobservasi pola mahjong ways harianpendekatan algoritma heuristik variansi gameperbandingan model heuristik variansi gamerahasia bonus mahjong wins sistem cerdasrangkuman pola mahjong ways harianringkasan pola mahjong ways harianstudi pola mahjong ways hariantinjauan heuristik variansi game digitaltinjauan pola mahjong ways harianalur sombol mahjong kemunculan scatterdari rtp mahjong bermain lebih efektifjejak scatter mahjong putaran tenangkejutan scatter wild simbol mahjong arahkemunculan simbol ganda membuat mahjongketika grid mahjong scatter semakin dekatketika rtp mahjong pola mulai lebih jelasketika scatter wild ritme simbol mahjongketika scatter wild titik sesi mahjong waysketika susunan simbol mahjong ritme scattermemahami rtp mahjong cara bermain lebihpergerakan simbol mahjong scatter wildpergeseran mahjong ketika scatter hadirsaat rtp mahjong terbaca baik strategisaat scatter hadir simbol mahjong bergeserscatter wild dinamika simbol mahjongstabilitas putaran mahjong pola scattersusunan baru reel mahjong scatter emassusunan mahjong wins mengandung scattersusunan simbol mahjong diam pola scatterrm menguak keunikan mahjong wins sudut pandang teknisrm cara memahami pergerakan mahjong ways tenaga ekstrarm mahjong wins standar baru industri hiburan digitalrm rahasia ketahanan mahjong ways eksis gempuran gamerm pentingnya memahami transisi level mahjong wins mendalamrm strategi mengatur tempo mahjong ways kendali permainanrm peran kecerdasan buatan mekanisme mahjong wins adilrm alasan keberhasilan mahjong ways mencuri perhatian analisrm mempelajari struktur dasar mahjong wins efisiensi putaranrm inovasi desain mahjong ways kesan bermain responsifrm teknik observasi mahjong wins jarang dibahas dampakrm cara mempertahankan fokus dinamika mahjong ways cepatrm eksplorasi fitur tersembunyi mahjong wins ritme terbaikrm mahjong ways integrasi teknologi modern keamanan nyamanrm analisis faktor pendukung mahjong wins digemari generasirm langkah efektif menyesuaikan perubahan sistem mahjong waysrm mengintip proses pengembangan mahjong wins kualitas penggunarm analisis data membantu membaca arah mahjong waysrm menemukan titik temu insting logika mahjong winsrm transformasi besar mahjong ways menghadirkan tantangan menarikmengungkap simbol langka nasib drastismisteri besar kombinasi simbol langkamisteri simbol langka keberuntungan besarsimbol langka misterius ubah hiduprahasia simbol langka nasib cepattransformasi bonus mahjong wins sistem efektifmahjong wins suguhkan bonus sistem modernsuguhan bonus efisien mahjong winsefektivitas sistem bonus mahjong winsmahjong wins hadirkan bonus sistem optimaloke76cincinbetaqua365slot gacorstc76samurai76TOBA1131samurai76 login