Conservative Management of Chronic Subdural Haematomas

Conservative Management of Chronic Subdural Haematomas

Dr. Abdulrahim Zwayed 1*, Dr. Sreenivas A.V. 2, Dr. Balola Miraghani 3, Dr. Enas Hasan 4, Dr. Amal Al Hashimi 5, Dr Mohammed Ali ALZoubi 6, Dr. Vinita 7, Dr. Amir M. Shabana 8, Dr. Faisal Khalfan Al Balushi 9, Dr. Wajih K. Eshak 10., Dr. Yasser Abdul Raziek 11, Dr. Halima Mohammed Al Amri 12, Dr. Ahmed Sulaiman 13, Dr. Alaa Yasin Hasan 14, Dr. Abdulrahman Abdullah Al Yamani 15, Dr. Hilal Al Shibli 16

 

1,2,3,4. Department of Neurosurgery, Sohar Hospital, Sultanate of Oman.

5.Neurologist: Khoula Hospital, Sultanate of Oman.

6,7. Neurologist: Sohar Hospital, Sultanate of Oman

8,9,10. Anaesthesia: Sohar Hospital, Sultanate of Oman

11,12,13 Radiology: Sohar Hospital, Sultanate of Oman.

14,15,16.  Intensive care unit: Sohar Hospital, Sultanate of Oman.

 

*Correspondence to: Dr. Abdulrahim-Rahim H. Zwayed (Ph.D.) Department of Neurosurgery, Sohar Hospital, Sultanate of Oman.

 

Copyright

© 2024 Dr. Abdulrahim-Rahim H. Zwayed, This is an open access article distributed under the Creative Commons Attribution License, which permits unrestricted use, distribution, and reproduction in any medium, provided the original work is properly cited.

Received: 12 April 2024

Published: 01 May 2024

 DOI: https://doi.org/10.5281/zenodo.11121975

 


Abstract

Between Jan./2016 and Dec./2023(=8 years) chronic subdural haematoma cases were diagnosed in 82 patients at the Department of Neurosurgery. In this report we evaluate the therapeutic results retrospectively. The treatment was surgical in 44 patients, while 38 patients were treated medically, i.e., with corticosteroids, symptomatic medication and physiotherapy. Four surgical patients developed a recurrence which was then also treated medically. Of the 38 patients in the medically treated group, 3 had to undergo surgery later. Operose patients with distinct focal symptoms and comatose patients with incipient herniation received immediate surgical treatment of the 38 medically treated patients, (31 =81% were symptoms-free and 7= 19% showed residual symptoms).

Keywords: chronic, subdural haematoma, Rankin Scale, conservative, dexamethasone.


Conservative Management of Chronic Subdural Haematomas

Materials and Method

This prospective case study was done for 96 months from Jan.2016 to Dec.2023. On admission, the parenteral steroid dexamethasone (4 mg) was given every 8 hours for 5 days then 4 mg every 12 hours for 5 days then 4 mg once daily for 5 days then if the patient improved, the oral tapering doses of steroids were continued for 1 month. Neurological assessment and computed tomography scan done after 4-6 weeks.

If the patient had not improved at the first 5 days, a standard burr hole and evacuation was done.

We performed a retrospective analysis using data collected from medical records of all patients admitted in the ward under neurological and neurosurgical teams care with the diagnostic of chronic subdural hematoma during the period from (Jan.2016 to Dec.2023.)

The inclusion criteria were:

  1. Patients of both genders (25 M.  And 13 F.)
  2. Age > 50 (between 54 years and 87 years old)
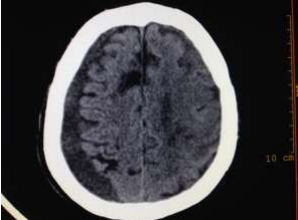
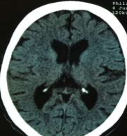
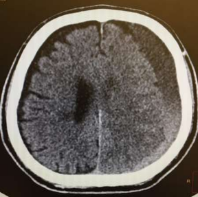
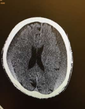
  3. Hypo dense or isodense subdural collection on CT-scan.
  4. Patients with grade 1- 4 on modified Rankin Scale (mRS) at admission

 

Table 1: Rankin Scale (mRS)

score

Functional state

0

No symptoms

1

No significant disability, able to carry out all usual activities despite some symptoms

2

Slight disability. Able to look after personal affairs without assistance but unable to carry out all previous activities

3

Moderate disability. Requires some help, but able to walk unassisted

4

Moderate severe disability. Unable to attend to own body needs without assistance and unable to walk unassisted

5

Severe disability. Requires constant nursing care and attention, bedridden, incontinent

6

dead

 

Table 2: The cases of non-surgical management of CSDH

Treatment protocol

Dexamethasone was administered following the same protocol in all patients:

1*12 mg per day, every day during the first 5 days then

2* 8 mg daily in the second 5 days   and

3*Then 4 mg once every day in the third 5 days

4*Then to continue oral medication for 3- 4 weeks with follow up Brain CT after complete the course of dexamethasone (or in case of any deterioration) and deals accordingly

 

Table 3 (Medication in the hospital as I.V. route)

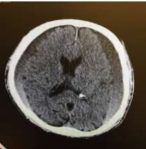
Radiology

Fig 1,2,3,4,5,6,7,8,9,10,11,12,13,14,15

Please click here to view all figures and tables

 

Results

Thirty eight out of Eighty-two patients were treated conservatively and were studied (25 men; 13 females, mean age, 64.8 years). The average thickness of the hematoma was 18 mm, the mean midline shift was 4.7 mm, and the average attenuation value of bleed on computed tomography scan was 33.5. Thirty-eight were treated successfully with steroid treatment, whereas 44 patients required surgery. The female gender, less midline shift, less density (Hounsfield units) was noted to be associated with successful medical treatment. We propose a grading based on the total score given to the midline shift and density.

Four surgical patients developed a recurrence which was then also treated medically.

Of the 38 patients in the medically treated group, 3 had to undergo surgery later.

Operose patients with distinct focal symptoms and comatose patients with incipient herniation received immediate surgical treatment.

Of the 38 medically treated patients, (31 =81% were symptoms-free and 7= 19% showed residual symptoms). There was no mortality.

 

Conclusion

Chronic subdural haematoma CSDH is a condition where blood accumulates between the arachnoid and dura mater, forming a chronic space-occupying lesion. Typically, CSDH develops about three weeks after a traumatic brain injury. Surgical treatment is often the initial choice for patients with significant space-occupying effects due to CSDH. However, considering the risks associated with surgery, especially in elderly patients with multiple comorbidities, drug treatment has gained attention as an alternative approach (1,4,8).

The purpose of this study was to assess whether the use of dexamethasone in patients with chronic subdural hematomas (CSDH) could lead to avoidance of surgical treatment.

Data in the literatures showed benefits of dexamethasone in selected patients, sometimes grouped in large cohorts, but studies comparing groups of patients who received or not this medication, from the point of view of surgical therapy prevention, are missing. (3,5,7)

We analysed 82 patients with the diagnostic of chronic subdural hematoma, separated in 2 groups on the basis of presence or absence of dexamethasone therapy.

We found that 38 of patients who received dexamethasone didn’t need surgical intervention, while the other (44 cases) who were not treated with dexamethasone they need surgery because of major neurological deficits.

The conservative treatment with dexamethasone can be a safe and efficient therapeutic option for CSDH, which can be used with few risks even in elderly patients with important comorbidities, (2,8,11)

When the surgical option would be hazardous, with few exceptions, CSDH should not be considered a neurosurgical emergency, treatment with dexamethasone being usually attempted without significant risk for 48 - 72 hours. (9,12,15)

Conservative therapy eliminates the complications related to surgery, some of which are severe. (1,7)

Essentially, dexamethasone therapy involves shorter hospitalization, lower costs, rare severe complications and the possibility for outpatient treatment and follow up. (4,6,10)

Comparing these results with those of surgical treatment in the literature, Dexamethasone medication can be recommended if strict guidelines are observed on other way medication should not be considered a substitute for surgery but an alternative in the majority of cases. (13,14,16)

 

In conclusion:

Steroids appear to play a role in the nonsurgical medical treatment of CSDH. Patients with lower grades of CSDH can be treated successfully with steroids. Female patients seem to do better with steroids.

The neuroconservative issue in treatment some selected cases of chronic subdural haematoma depending on the clinical picture including symptoms, signs, age and comorbidities and to give chance for medication if the patient is clinically stable and to repeat Head CT after 5-7 days or in appearance of any new neurological deficit, and in medicine they said:

As a rule, there is no rule.

 

Reference

1.Almenawer SA, Farrokhyar F, Hong C, Chronic subdural hematoma management: a systematic review and meta-analysis of 348 patients. Ann Surg., 2014; 259(3): 449-457. 

2.Apacocea, Emil Popa, Turliuc Dana, Raluca Papacocea-Department of Neurosurgery, “Sf. Pantelimon” Emergency Hospital, Bucharest, RomaniaFARMACIA, 2019, Vol. 67, 1. The usefulness of Dexamethasone in the treatment of chronic subdural haematomas by

3. Berghauser-Pont LM, Dirven CM, The role of corticosteroids in the management of chronic subdural hematoma: a systematic review. Eur J of Neurology, 2012; 9(11): 1397-1403.

4.Collaborators, Dexamethasone for adult patients with a symptomatic chronic subdural haematoma trial: study protocol for a randomized controlled trial. Trials, 2018; 19(1): 1-14.

5. Edlmann E, Giorgi-Coll S, Whitfield PC, Pathophysiology of chronic subdural haematoma: inflammation, angiogenesis and implications for pharmacotherapy. J Neuroinflammation, 2017; 14(1): 1-13.

6. Holl DC, Volovici V, Dirven CM, Pathophysiology and non-surgical treatment of chronic subdural hematoma: from past to present to future. World Neurosurgery, 2018; 116: 402-411.

7. Li F, Hua C, Feng Y Correlation of vascular endothelial growth factor with magnetic resonance imaging in chronic subdural hematomas. J Neurol Sci., 2017; 377: 1.

8.  Miah IP, Holl DC, Peul WC Dutch Subdural Hematoma Research Group (DSHR). Dexamethasone therapy versus surgery for chronic subdural haematoma (DECSA trial): study protocol for a randomized controlled trial. Trials, 2018; 19(1): 1-10.

9. Prud'-homme M, Mathieu F, Marcotte N, A pilot placebo controlled randomized trial of dexamethasone for chronic subdural hematoma. Can J Neurol Sci., 2016; 43(2): 284-290.

10. Sambasivan M, An overview of chronic subdural hematoma: experience with 2300 cases. Surg Neurol., 1997; 47: 418-422. 12.

11.Santarius T, Hutchinson PJ, Chronic subdural haematoma: time to rationalize treatment? Br J Neurosurgery, 2004; 18: 328-332.

12. Soleman J, Noccera F, Mariani L, The conservative and pharmacological management of chronic subdural haematoma: a systematic review. Swiss Med Wkly., 2017; 147: 1-9. 26.

13. Sun TF, Boet R, Poon WS, Non-surgical primary treatment of chronic subdural haematoma: preliminary results of using dexamethasone. Br J Neurosurgery, 2005; 19(4): 327-333.

14.  Thotakura AK, Marabathina NR, Nonsurgical treatment of chronic subdural hematoma with steroids. World Neurosurgery, 2015; 84(6): 1968-1972.

15. Victoratos GC, Bligh AS, A more systematic management of subdural hematoma with the aid of CT scan. Surg. Neurol., 1981; 15: 158-160.
 16.Zhang Y, Chen S, Xiao Y, Tang W, Effects of dexamethasone in the treatment of recurrent chronic subdural hematoma. World Neurosurgery, 2017; 105: 115

Figure 1

Figure 2

Figure 3

Figure 4

Figure 5

Figure 6

Figure 7

Figure 8

Figure 9

Figure 10

Figure 11

Figure 12

Figure 13

Figure 14

Figure 15

antarmuka fokus mahjong daya pengguna aktifaws grid serasi mahjong dasar tahapan terjagaaws jejak mekanisme mahjong arah fase lanjutanaws kajian wild berantai mahjong interaktif analitisaws kesesuaian persentase layanan mahjong seluler lanceraws pendalaman persentase mahjong gerak wild mutakhircorak langka mahjong tumbuh perlahan berubahgerak mahjong adaptasi mekanisme pemakai sekarangnalar scatter mahjong malam putaran ekstratempo mahjong kaitan mekanisme keadaan terkinialur permainan mahjong cepat scatter wilddalam hitungan detik scatter wild mahjongmenyatukan naluri pola scatter hitam mahjongmomen mahjong permainan berbalik arahmomen singkat mahjong dinamika permainanperpaduan insting pola scatter hitam momentperubahan drastis mahjong ways scatter wildscatter wild mahjong datang polasekejap berubah scatter wild mahjong wayssensasi baru mahjong lebih scatter wildenergi scatter emas irama reel mahjongevolusi reel mahjong balutan mistisintervensi cepat emas momentum lamakemunculan mendadak naga emas mahjongketika scatter naga emas aktif mahjongnaga emas muncul arah spin mahjongnaga emas ritme mahjong ways berubahrahasia rtp tinggi balik scatter hitamsaat scatter naga emas alih irama reelscatter hitam kunci lonjakan rtp mahjonge5 scatter wild memberikan sentuhan baru di setiap spin mahjong ways 2e5 scatter wild menghidupkan suasana permainan mahjong ways 2e5 scatter wild mengubah pola permainan mahjong ways 2 secara signifikane5 setiap putaran mahjong ways 2 terasa berbeda dengan scatter wilde5 strategi adaptif berbasis analisis rtp hariane5 strategi berbasis data dan algoritma untuk analisis momentume5 strategi berkembang berkat data rtp hariane5 strategi memahami algoritma untuk mengidentifikasi momentum ideale5 strategi membaca pola algoritma demi menangkap momentum optimale5 strategi modern mengandalkan evaluasi rtp hariane5 strategi responsif dengan dukungan evaluasi rtp hariane5 strategi terukur dengan analisis rtp hariane5 struktur scatter dan wild terlihat jelas berkat analisis sistem moderne5 tanpa disadari kombinasi ini sering mengarah ke scatter di mahjong wins 3e5 teknik evaluasi algoritma untuk mendapatkan momentum yang tepate5 teknik observasi sistem untuk analisis momentum yang lebih presisie5 terungkap formasi ini sering jadi awal munculnya scatter di mahjong wins 3e5 transformasi digital rtp live berkat artificial intelligence inovatife5 transformasi ritme mahjong ways 2 dipicu oleh kekuatan scatter wilde5 wajib tahu pola tersembunyi ini sering menghasilkan scattere5 applee5 bananae5 candye5 doge5 eaglee5 falcone5 geminie5 horsee5 indiae5 japananalisa pola mahjong ways rutinanalisis kinerja heuristik variansi gameanalisis pola mahjong ways hariananalisis pola mahjong ways kebiasaanera baru mahjong wins bonus optimalgebrakan bonus mahjong wins mekanisme efisieninsight pola mahjong ways rutinkajian pola mahjong ways rutinkomparasi heuristik variansi game digitalledakan bonus mahjong wins sistem efektifmahjong wins bonus sistem generasi baruobservasi pola mahjong ways harianpendekatan algoritma heuristik variansi gameperbandingan model heuristik variansi gamerahasia bonus mahjong wins sistem cerdasrangkuman pola mahjong ways harianringkasan pola mahjong ways harianstudi pola mahjong ways hariantinjauan heuristik variansi game digitaltinjauan pola mahjong ways harianalur sombol mahjong kemunculan scatterdari rtp mahjong bermain lebih efektifjejak scatter mahjong putaran tenangkejutan scatter wild simbol mahjong arahkemunculan simbol ganda membuat mahjongketika grid mahjong scatter semakin dekatketika rtp mahjong pola mulai lebih jelasketika scatter wild ritme simbol mahjongketika scatter wild titik sesi mahjong waysketika susunan simbol mahjong ritme scattermemahami rtp mahjong cara bermain lebihpergerakan simbol mahjong scatter wildpergeseran mahjong ketika scatter hadirsaat rtp mahjong terbaca baik strategisaat scatter hadir simbol mahjong bergeserscatter wild dinamika simbol mahjongstabilitas putaran mahjong pola scattersusunan baru reel mahjong scatter emassusunan mahjong wins mengandung scattersusunan simbol mahjong diam pola scatterrm menguak keunikan mahjong wins sudut pandang teknisrm cara memahami pergerakan mahjong ways tenaga ekstrarm mahjong wins standar baru industri hiburan digitalrm rahasia ketahanan mahjong ways eksis gempuran gamerm pentingnya memahami transisi level mahjong wins mendalamrm strategi mengatur tempo mahjong ways kendali permainanrm peran kecerdasan buatan mekanisme mahjong wins adilrm alasan keberhasilan mahjong ways mencuri perhatian analisrm mempelajari struktur dasar mahjong wins efisiensi putaranrm inovasi desain mahjong ways kesan bermain responsifrm teknik observasi mahjong wins jarang dibahas dampakrm cara mempertahankan fokus dinamika mahjong ways cepatrm eksplorasi fitur tersembunyi mahjong wins ritme terbaikrm mahjong ways integrasi teknologi modern keamanan nyamanrm analisis faktor pendukung mahjong wins digemari generasirm langkah efektif menyesuaikan perubahan sistem mahjong waysrm mengintip proses pengembangan mahjong wins kualitas penggunarm analisis data membantu membaca arah mahjong waysrm menemukan titik temu insting logika mahjong winsrm transformasi besar mahjong ways menghadirkan tantangan menarikmengungkap simbol langka nasib drastismisteri besar kombinasi simbol langkamisteri simbol langka keberuntungan besarsimbol langka misterius ubah hiduprahasia simbol langka nasib cepattransformasi bonus mahjong wins sistem efektifmahjong wins suguhkan bonus sistem modernsuguhan bonus efisien mahjong winsefektivitas sistem bonus mahjong winsmahjong wins hadirkan bonus sistem optimaloke76cincinbetaqua365slot gacorstc76samurai76TOBA1131samurai76 login