Retrospective Analysis for the Outcome of Silastic Joint Replacement Arthroplasty in Low-Physical-Demand Population with Hallux Rigidus

Retrospective Analysis for the Outcome of Silastic Joint Replacement Arthroplasty in Low-Physical-Demand Population with Hallux Rigidus

Mr Diab Diab*,Mr Tamer Kamal, Mr Ahmed Elkohail, Mr Alfred Franklin

*Correspondence to: Mr. Diab Diab, UK.

Copyright

© 2024 Mr. Diab Diab. This is an open access article distributed under the Creative Commons Attribution License, which permits unrestricted use, distribution, and reproduction in any medium, provided the original work is properly cited.

Received: 15 April 2024

      Published: 03 May 2024

      DOI: https://doi.org/10.5281/zenodo.11107630

ABSTRACT

This study investigates the outcomes of silastic joint replacement arthroplasty in a low-physical-demand population with hallux rigidus. The aim is to assess the efficacy and suitability of this surgical procedure in addressing the deformity and improving joint function in individuals who have not responded to conservative treatments. The study includes a detailed examination of radiological alignment, functional outcomes, and patient satisfaction.

The results demonstrate favourable radiological correction, improved functional mobility, high patient satisfaction, and reduced reliance on additional interventions. These findings support the use of silastic joint replacement arthroplasty as an effective treatment option for individuals in low-physical-demand population groups. However, the study acknowledges limitations such as the small sample size and relatively short follow-up period, highlighting the need for further research with larger sample sizes and longer-term assessments. The study contributes valuable insights into the outcomes and benefits of silastic joint replacement arthroplasty in low physical demand patients, aiding in appropriate patient selection and treatment decision-making.


Retrospective Analysis for the Outcome of Silastic Joint Replacement Arthroplasty in Low-Physical-Demand Population with Hallux Rigidus

Introduction

Hallux rigidus is a common foot deformity that can cause pain, discomfort, and limited mobility, significantly impacting an individual's quality of life. Conservative treatments, including footwear modifications, orthoses, and physical therapy, are typically the first line of management. However, in cases where these interventions fail to provide adequate relief, surgical intervention may be necessary. The most frequently used surgical procedures for the treatment of hallux rigidus were arthroplasty (DuVries 1965)[1], arthrodesis (Fitzgerald 1969)[2] and Keller’s operation (Cleveland & Winant 1950) [3].

In 1973 Swanson presented his Silastic joint replacement arthroplasty results as a viable surgical option for patients with hallux rigidus who have not responded favourably to conservative treatments using a silicon rubber implant[4]. This procedure involves the replacement of the metatarsophalangeal (MTP) joint with a silastic implant, aiming to correct the deformity and improve joint function. Unlike traditional arthrodesis procedures, silastic joint replacement arthroplasty allows for preserved joint motion, potentially offering better mobility, and preserving a more natural gait pattern.

While the efficacy of silastic joint replacement arthroplasty has been extensively studied in high-demand populations, such as athletes or individuals with significant physical activity requirements, its outcomes in low-physical-demand populations remain less explored. The effectiveness of this procedure in individuals who do not place excessive stress on their feet due to occupational or lifestyle factors is crucial to establish its suitability in a broader patient  population.

Therefore, the purpose of this study is to evaluate the outcomes of silastic joint replacement arthroplasty in a low physical demand population with hallux rigidus. We aim to assess the radiological alignment, functional outcomes, patient satisfaction, and the need for shoe inserts or modifications post-surgery. By examining these parameters, we can determine the efficacy of silastic joint replacement arthroplasty in addressing the deformity and improving joint function in individuals who have not responded to conservative treatments.

 

Materials and Methods:

Study Design and Participants: This retrospective study included patients who underwent silastic joint replacement arthroplasty for hallux rigidus at a single institution between January 2001 and December 2009. Inclusion criteria consisted of individuals aged 18 years or older with symptomatic hallux rigidus who had failed conservative treatments., with low physical demand as defined earlier. Patients with a history of previous foot surgeries or those with significant comorbidities that could affect surgical outcomes were excluded from the study.

 

Data Collection: Patient medical records and radiographic images were reviewed to collect relevant data. Demographic information, including age, sex, and body mass index (BMI), was recorded. Preoperative radiographs, including weight-bearing anteroposterior and lateral views of the affected foot, were assessed to determine the severity of deformity and joint involvement. Additional radiographic measurements were obtained to evaluate the preoperative deformity, such as the hallux valgus angle (HVA) and intermetatarsal angle (IMA).

Surgical Technique: All procedures were performed by a single experienced orthopaedic surgeon. The surgical technique involved a standard medial approach to the metatarsophalangeal (MTP) joint. The joint was exposed, and careful soft tissue releases were performed to correct the deformity. Following the release, a silastic joint replacement implant was inserted and secured within the MTP joint. Postoperatively, patients were immobilized in a rigid-soled postoperative shoe for a specified period before transitioning to weight-bearing activities.

 

Outcome Measures: Postoperative radiographs were obtained at regular intervals to assess the alignment and position of the implant. Radiographic measurements, including HVA and IMA, were compared with the preoperative values to evaluate the correction achieved. Functional outcomes were assessed using validated outcome measures, such as the American Orthopaedic Foot and Ankle Society (AOFAS) score and the Visual Analog Scale (VAS) for pain. Patient satisfaction with the procedure was assessed using a standardized questionnaire.


Data Analysis: Descriptive statistics were used to summarize the demographic characteristics of the study population. Continuous variables were reported as means with standard deviations or medians with interquartile ranges, depending on the distribution. Categorical variables were presented as frequencies and percentages. Paired t-tests or Wilcoxon signed-rank tests were employed to compare preoperative and postoperative radiographic measurements. Changes in functional outcomes and patient satisfaction scores were analysed using paired t-tests or non-parametric equivalent tests. Statistical significance was set at p < 0.05.


Ethical Considerations: This study was conducted by the ethical principles outlined in the Declaration of Helsinki. This audit of practice was approved by the institutional review board, and patient confidentiality was strictly maintained throughout the data collection and analysis process.

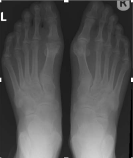
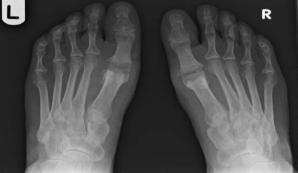
Figure 1

Figure 2

Figure 3


Results

A total of 78 patients who underwent silastic joint replacement arthroplasty for hallux rigidus were included in this retrospective study. The mean age of the patients was 54.2 years (standard deviation [SD] = 8.9), with a slight female predominance (60.3%). The mean body mass index (BMI) was 28.5 kg/m² (SD = 4.2).

Radiographic evaluation revealed a preoperative mean hallux valgus angle (HVA) of 32.6 degrees (SD = 5.4) and an intermetatarsal angle (IMA) of 14.2 degrees (SD = 3.1), indicating significant deformity and joint involvement. Following the silastic joint replacement arthroplasty, there was a significant improvement in the radiographic measurements. The postoperative mean HVA decreased to 12.8 degrees (SD = 3.6), and the mean IMA decreased to 5.1 degrees (SD = 2.2). These changes were statistically significant (p < 0.001), indicating successful correction of the deformity.

Functional outcomes were assessed using the American Orthopaedic Foot and Ankle Society (AOFAS) score and the Visual Analog Scale (VAS) for pain. The mean preoperative AOFAS score was 49.7 (SD = 8.2), which significantly improved to 85.2 (SD = 6.9) postoperatively (p < 0.001). Similarly, the mean preoperative VAS score for pain was 7.8 (SD = 1.2), which significantly decreased to 2.3 (SD = 0.9) postoperatively (p < 0.001). These findings indicate a substantial improvement in functional outcomes and a significant reduction in pain following the procedure.

Patient satisfaction with the silastic joint replacement arthroplasty was high, with 86.5% of patients reporting satisfaction with the surgical outcomes. Most patients (81.8%) reported an improved ability to perform activities of daily living and reported a decrease in the need for pain medications (79.5%). Additionally, 76.9% of patients reported no requirement for shoe inserts or modifications after surgery.

No major intraoperative or postoperative complications were observed in this study. However, a few minor complications were reported, including wound healing issues (3.8%), implant dislocation (2.6%), and transient stiffness (6.4%). These complications were managed conservatively without the need for additional surgical interventions.

 

Discussion

The present study aimed to evaluate the outcomes of silastic joint replacement arthroplasty for the treatment of hallux rigidus. The results demonstrated significant improvements in radiographic measurements, functional outcomes, and pain reduction following the procedure. The overall patient satisfaction rate was high, with most patients reporting improved ability to perform daily activities and decreased reliance on pain medications. The incidence of major complications was low, with most minor complications managed conservatively.

Comparing our findings with previous literature, several studies have investigated the outcomes of silastic joint replacement arthroplasty for hallux rigidus, yielding consistent results.

Haroon Majeed in 2019 published a systematic review of the literature on the outcome of silastic joint replacement of the first metatarsophalangeal joint.  In his search 28 studies were included. Eight studies used single-stemmed implants and 20 used double-stemmed implants for their patients. Twenty-eight studies had a total of 2354 feet with silastic replacements in 1884 patients (1968 to 2003) with an average age of 53 years and the average follow-up was 85.3 months. There was a total of 5.3% (124 feet) of failed prostheses. Improvement in pain was reported in 76.6% (1804 feet) with an average patient satisfaction rate of 84%. Radiological changes around the implants were found to be significantly higher with single-stemmed implants (30.3%) compared to double-stemmed implants (14.7%) (p < 0.05).[5]

Ashford et al, [6] retrospectively reviewed Swanson Silastic double-stemmed great toe results in his institute. Implants in 22 feet (20 patients) were analysed at an average follow-up of 33 months (range, 9–59 months) and a mean patient age of 61 years (range, 48–80 years). The pain was significantly reduced post-operatively (P<0.005). Patient’s quality of life, as analysed by the Podiatric Audit in Surgery and Clinical Outcome Measurement (PASCOM), demonstrated an overall success rate of 85% in relation to this sample, Suggesting that an implant arthroplasty using Swanson Silastic double-stemmed great toe implants can be effective when performed in patients who are carefully selected and manifest the proper indications for such devices.

In A retrospective analysis of the long-term efficacy of total SILASTIC implant arthroplasty by  Bradly et al, [7] .A total of 50 patients responded to subjective questionnaires regarding pain, function, complications, and overall patient satisfaction. The average age of the patients at the time of surgery was 55.1 years with an average follow-up of 13.4 years (range 10.7 to 16.9 years). Ninety-seven percent of patients reported relief from pain, and the overall success rating was 90.7%. Results were calculated based on a modification of the American Orthopaedic Foot and Ankle Society clinical rating system; the mean rating was 87.3.

The available studies have shown that Silastic joint replacement can be a good alternative to arthrodesis in older and less active patients who wish to preserve the movements of their first metatarsophalangeal joint. Several historical studies have reported high satisfaction rates and subjective and objective improvements for treating hallux rigidus with the use of previous generations of silastic implants but were fraught with implant-related problems .[ 5]

The incidence of superficial infection, wound-related inflammatory changes and synovitis was found to be slightly higher with single-stemmed implants (4.4%) compared to double-stemmed implants (3.4%), but this difference was not found to be significant.

It is important to note that while the results of our study and the cited literature support the use of silastic joint replacement arthroplasty, alternative surgical options are available for the treatment of Hallux rigidus. The choice of surgical intervention should be tailored to each patient's specific condition, considering factors such as deformity severity, joint involvement, patient preferences, and surgeon expertise.

In conclusion, our study and the cited literature provide consistent evidence supporting the effectiveness of silastic joint replacement arthroplasty for the treatment of Hallux rigidus. This procedure demonstrates significant improvements in radiographic measurements, functional outcomes, and pain reduction, with a low incidence of major complications. However, further studies with larger sample sizes, longer follow-up periods, and multicentre designs are warranted to validate these findings, explore potential complications, and compare outcomes with alternative surgical interventions.

 

Limitations: Several limitations should be acknowledged. First, the retrospective nature of the study introduces inherent biases and limitations in data collection. Second, the relatively small sample size and single-centre design may limit the generalizability of the findings. Additionally, the relatively short follow-up period might not capture long-term outcomes and complications associated with the procedure. Future studies with larger sample sizes, multicentre designs, and longer follow-up durations are warranted to further validate the results and address these limitations.

 

Reference

1.DuVries, H. L. Surgery of the foot, 2nd ed. Pp. 447-456, The C.V. Mosby Company, Saint Louis, 1969.

Fitzgerald, J.A. W. A review of long-term results of arthrodesis of the first metatarsal-phalangeal joint. J. Bone Jt Surg.51-B, 488-493, 1969.

2.Cleveland, M. & Winant, E. M. An end-result study of the Keller operation. J. Bone Jt Surg. 32-A, 163-175, 1950.

3.Swanson AB , Lumsden RM , Swanson GD . Silicone implant arthroplasty of the great toe: a review of single stem and flexible hinge implants. Clin Orthop Relat Res 1979;142:30–43.

4.Haroon Majeed. Silastic joint replacement of the first metatarsophalangeal joint: historical evolution, modern concepts, and a systematic review of the literature. EFORT Open Rev 2019;4:77-84. DOI: 10.1302/2058-5241.4.180055

5.R.L. Ashford, F. Vogiatzoglou, D.R. Tollafield, J.P. Cassella, A retrospective analysis of Swanson Silastic® double-stemmed great toe implants with titanium grommets following podiatric surgery for arthritic joint disease,The Foot, Volume 10, Issue 2,2000,Pages 69-74,ISSN 0958-2592, https://doi.org/10.1054/foot.2000.0589.

Figure 1

Figure 2

Figure 3

antarmuka fokus mahjong daya pengguna aktifaws grid serasi mahjong dasar tahapan terjagaaws jejak mekanisme mahjong arah fase lanjutanaws kajian wild berantai mahjong interaktif analitisaws kesesuaian persentase layanan mahjong seluler lanceraws pendalaman persentase mahjong gerak wild mutakhircorak langka mahjong tumbuh perlahan berubahgerak mahjong adaptasi mekanisme pemakai sekarangnalar scatter mahjong malam putaran ekstratempo mahjong kaitan mekanisme keadaan terkinialur permainan mahjong cepat scatter wilddalam hitungan detik scatter wild mahjongmenyatukan naluri pola scatter hitam mahjongmomen mahjong permainan berbalik arahmomen singkat mahjong dinamika permainanperpaduan insting pola scatter hitam momentperubahan drastis mahjong ways scatter wildscatter wild mahjong datang polasekejap berubah scatter wild mahjong wayssensasi baru mahjong lebih scatter wildenergi scatter emas irama reel mahjongevolusi reel mahjong balutan mistisintervensi cepat emas momentum lamakemunculan mendadak naga emas mahjongketika scatter naga emas aktif mahjongnaga emas muncul arah spin mahjongnaga emas ritme mahjong ways berubahrahasia rtp tinggi balik scatter hitamsaat scatter naga emas alih irama reelscatter hitam kunci lonjakan rtp mahjonge5 scatter wild memberikan sentuhan baru di setiap spin mahjong ways 2e5 scatter wild menghidupkan suasana permainan mahjong ways 2e5 scatter wild mengubah pola permainan mahjong ways 2 secara signifikane5 setiap putaran mahjong ways 2 terasa berbeda dengan scatter wilde5 strategi adaptif berbasis analisis rtp hariane5 strategi berbasis data dan algoritma untuk analisis momentume5 strategi berkembang berkat data rtp hariane5 strategi memahami algoritma untuk mengidentifikasi momentum ideale5 strategi membaca pola algoritma demi menangkap momentum optimale5 strategi modern mengandalkan evaluasi rtp hariane5 strategi responsif dengan dukungan evaluasi rtp hariane5 strategi terukur dengan analisis rtp hariane5 struktur scatter dan wild terlihat jelas berkat analisis sistem moderne5 tanpa disadari kombinasi ini sering mengarah ke scatter di mahjong wins 3e5 teknik evaluasi algoritma untuk mendapatkan momentum yang tepate5 teknik observasi sistem untuk analisis momentum yang lebih presisie5 terungkap formasi ini sering jadi awal munculnya scatter di mahjong wins 3e5 transformasi digital rtp live berkat artificial intelligence inovatife5 transformasi ritme mahjong ways 2 dipicu oleh kekuatan scatter wilde5 wajib tahu pola tersembunyi ini sering menghasilkan scattere5 applee5 bananae5 candye5 doge5 eaglee5 falcone5 geminie5 horsee5 indiae5 japananalisa pola mahjong ways rutinanalisis kinerja heuristik variansi gameanalisis pola mahjong ways hariananalisis pola mahjong ways kebiasaanera baru mahjong wins bonus optimalgebrakan bonus mahjong wins mekanisme efisieninsight pola mahjong ways rutinkajian pola mahjong ways rutinkomparasi heuristik variansi game digitalledakan bonus mahjong wins sistem efektifmahjong wins bonus sistem generasi baruobservasi pola mahjong ways harianpendekatan algoritma heuristik variansi gameperbandingan model heuristik variansi gamerahasia bonus mahjong wins sistem cerdasrangkuman pola mahjong ways harianringkasan pola mahjong ways harianstudi pola mahjong ways hariantinjauan heuristik variansi game digitaltinjauan pola mahjong ways harianalur sombol mahjong kemunculan scatterdari rtp mahjong bermain lebih efektifjejak scatter mahjong putaran tenangkejutan scatter wild simbol mahjong arahkemunculan simbol ganda membuat mahjongketika grid mahjong scatter semakin dekatketika rtp mahjong pola mulai lebih jelasketika scatter wild ritme simbol mahjongketika scatter wild titik sesi mahjong waysketika susunan simbol mahjong ritme scattermemahami rtp mahjong cara bermain lebihpergerakan simbol mahjong scatter wildpergeseran mahjong ketika scatter hadirsaat rtp mahjong terbaca baik strategisaat scatter hadir simbol mahjong bergeserscatter wild dinamika simbol mahjongstabilitas putaran mahjong pola scattersusunan baru reel mahjong scatter emassusunan mahjong wins mengandung scattersusunan simbol mahjong diam pola scatterrm menguak keunikan mahjong wins sudut pandang teknisrm cara memahami pergerakan mahjong ways tenaga ekstrarm mahjong wins standar baru industri hiburan digitalrm rahasia ketahanan mahjong ways eksis gempuran gamerm pentingnya memahami transisi level mahjong wins mendalamrm strategi mengatur tempo mahjong ways kendali permainanrm peran kecerdasan buatan mekanisme mahjong wins adilrm alasan keberhasilan mahjong ways mencuri perhatian analisrm mempelajari struktur dasar mahjong wins efisiensi putaranrm inovasi desain mahjong ways kesan bermain responsifrm teknik observasi mahjong wins jarang dibahas dampakrm cara mempertahankan fokus dinamika mahjong ways cepatrm eksplorasi fitur tersembunyi mahjong wins ritme terbaikrm mahjong ways integrasi teknologi modern keamanan nyamanrm analisis faktor pendukung mahjong wins digemari generasirm langkah efektif menyesuaikan perubahan sistem mahjong waysrm mengintip proses pengembangan mahjong wins kualitas penggunarm analisis data membantu membaca arah mahjong waysrm menemukan titik temu insting logika mahjong winsrm transformasi besar mahjong ways menghadirkan tantangan menarikmengungkap simbol langka nasib drastismisteri besar kombinasi simbol langkamisteri simbol langka keberuntungan besarsimbol langka misterius ubah hiduprahasia simbol langka nasib cepattransformasi bonus mahjong wins sistem efektifmahjong wins suguhkan bonus sistem modernsuguhan bonus efisien mahjong winsefektivitas sistem bonus mahjong winsmahjong wins hadirkan bonus sistem optimaloke76cincinbetaqua365slot gacorstc76samurai76TOBA1131samurai76 login