A Study to Lower the Left Anterior Descending Coronary Artery Dose in Left Breast Irradiation

A Study to Lower the Left Anterior Descending Coronary Artery Dose in Left Breast Irradiation

Alika Pradhan1, B. Krishnamoorthy Reddy1, M Vinay Ural1, Mrs Subhathra P1, Sushanta Kumar Biswal2

 

1. Dept of Radiation Oncology, Apollo Cancer Center, Bangalore, India.

*Correspondence to: Alika Pradhan, Dept of Radiation Oncology, Apollo Cancer Center, Bangalore, India.

Copyright.

© 2024 Alika Pradhan. This is an open access article distributed under the Creative Commons Attribution   License, which permits unrestricted use, distribution, and reproduction in any medium, provided the original work is properly cited.

Received: 25  May 2024

Published: 01 June 2024

DOI: https://doi.org/10.5281/zenodo.15128712


Abstract

Purpose: To evaluate if contouring of the LAD artery as an OAR and avoidance of the artery by treatment planning optimization minimizes   the   LAD   artery   dose   in   cases   of   left- sided breast cancer irradiation.

Methods and Materials: Fifty-two patients diagnosed with left-sided Breast cancer were treated at Apollo Cancer Center, Bangalore between January 2021 to May 2022. The LAD was contoured prospectively for twenty-six patients (Arm A), and techniques were utilized to minimize LAD dose. Dose-volume-histograms from these patients were compared to those of twenty-six patients (Arm B) for whom the LAD was contoured retrospectively after treatment completion. EQD2 was calculated to account for fractionation differences.

Results: Comparing the dosimetric values of LAD in both groups, we found that median LAD D max in Arm A vs Arm B: 12.878 Gy vs 39.084 Gy (p-value 0.000000001243), median LAD D mean in Arm A vs Arm B: 4.504 Gy vs 16.711 Gy (p-value 0.00000002858). Comparison between prospective and retrospective groups shows prospective LAD contouring and optimization were associated with lower median D mean and D max LAD dose and were also statistically significant. Comparing the dosimetric values of the Heart in both groups, we found that median Heart D max in Arm A vs Arm B: 35.865 Gy vs 47.98 Gy (p-value 0.0000004440635), median Heart D mean in Arm A vs Arm B: 2.1802 Gy vs 2.8514 Gy (p-value 0.0197), Comparison between prospective and retrospective groups shows lower median D mean and D max Heart dose and were also statistically significant.

Conclusion: Our results show prospective contouring and avoidance of the LAD during treatment planning significantly reduce max and mean LAD dose without compromising coverage.


A Study to Lower the Left Anterior Descending Coronary Artery Dose in Left Breast Irradiation

Introduction

The world is experiencing a period of dramatic social, economic, and cultural changes resulting in, cancer ranking as a leading cause of death and an important barrier to increasing life expectancy in every country. Over the last few years, Breast Cancer (BC) incidence has been rising steadily among females, and now it is the most commonly diagnosed cancer and the leading cause of worldwide cancer death.

GLOBOCAN 2020 worldwide data showed 2,261,419 newly diagnosed Breast Carcinoma cases which is 11.7 % of total carcinoma cases and 684,996 deaths which is 6.9% of all site cancer. Breast cancer causes more women to lose disability-adjusted life years (DALYs) globally than any other type of cancer [1]. The incidence of breast cancer varies significantly by race, ethnicity, and geography. In a general radiation oncology practice, breast cancer typically comprises 25% of the total patient load.

Radiation Therapy (RT) forms an integral part of the Combined Modality Treatment of carcinoma breast which includes Surgery, Chemotherapy, Radiotherapy, and Hormonal therapy. Adjuvant Radiation therapy for Early Breast Cancer (EBC) significantly reduces the risk of Locoregional Recurrence (LRR) and Breast Cancer-related mortality following Breast Conservative Surgery (BCS) [2].

For locally advanced breast cancer (LABC), followed by mastectomy and neo- adjuvant/adjuvant chemotherapy, chest wall irradiation with regional nodal irradiation (RNI) has demonstrated a significant clinical benefit for local, regional, and distant disease control, as well as the overall survival of the patient [3] [4].

Cardiac toxicity can be caused by some chemotherapy drugs, such as Adriamycin and Trastuzumab. So further risks due to Radiotherapy must be counted. [5]. Cardiac toxicity following radiotherapy can manifest itself as (1) Pericarditis which takes about 1.5 to 4 years to develop and occurs mainly due to inflammation. (2)Ischemic heart disease, Myocardial infarctions tend to have a higher chance of occurrence after 3 years of irradiation. The cause has been hypothesized to be due to accelerated atherosclerosis.

(3) Arrhythmia occurs due to fibrosis/damage to the AV node and conduction system which takes 10-14 years to develop.

(4) Congestive heart disease and valvular disease develop mainly due to endomyocardial fibrosis and take more than 13 years post-irradiation to develop [6].

 

In the case of Left-sided Breast cancer, an important cause of morbidity and mortality is ischemic heart disease without breast cancer recurrence. Most significantly, the Left Anterior Descending Artery (LAD), which supplies most parts of the heart, may be located near the radiation beam edge in case of left breast cancer irradiation. Left-sided Breast cancer patients have a 51% higher rate of cardiac stress test abnormalities compared with right-sided Breast cancer, with 70% of the abnormalities occurring in the LAD artery, with stenosis rates at the mid and distal LAD artery significantly increased [7].

Traditionally in Breast cancer radiation, opposed tangential beams have been used. With the use of 3D Conformal Radiation Therapy (3DCRT), we can achieve good local control with a lower mean heart dose in left-sided breast cancer [8]. Hong L et al evaluated Intensity Modulated Radiation Therapy (IMRT) in Breast planning can provide dose homogeneity throughout the target volume and also reduce the dose to the Heart, Coronary arteries, Lung, opposite Breast, and surrounding soft tissues [9].

Additionally, in Deep Inspiratory Breath Hold (DIBH) versus Free-breathing (FB) in radiotherapy for left-sided breast cancer cases, it was found that using DIBH allows a significant reduction in both heart dose and LAD dose while maintaining adequate target coverage [10] [11].

Our study was to estimate and compare the doses of LAD artery with previously treated left- sided Breast cancer patients where LAD artery was neither contoured nor optimized with left- sided Breast cancer patients for whom LAD artery was prospectively contoured & dose optimized.

 

Aim of the study:

To minimize the Left Anterior Descending (LAD) Artery dose by

a) “Contouring of LAD artery” as an Organ at Risk (OAR) in the Radiation Therapy planning CT scan, and

b) Avoidance of LAD artery by “treatment planning Optimization

 

Objective of the study:

Comparison of the doses of LAD artery of the Prospective group whose LAD was contoured & dose optimized with retrospectively treated left-sided Breast cancer patients where Left Anterior Descending (LAD) Artery was neither contoured nor optimized.

 

Material and Method

This is a Prospective- Retrospective comparative dosimetric study conducted in the Department of Radiation Oncology, Apollo Cancer Centre, Bangalore, India between January 2021 to May 2022 after acquiring approval from the Institutional Scientific Review Board and Ethical Committee. Informed consent was taken from each of the patients recruited for this study.

Sample size calculation: estimated based on the difference in the proportion of subjects receiving LAD RT on unmodified plan mean of 42% and modified plan mean (LAD avoiding) at 6% from the study by Vivekanandan S et al [12]. Using these values in the below-mentioned formula

N = ( 2 (Zα/2 + Zβ)2 P (1-P))/ (p1 –p2)2

Zα/2= Z0.05/2=Z0.025 = 1.96 at type 1 error of 5%

Zβ=Z0.20= 0.842= At 80% power

p1 –p2= Difference in proportion in the two different groups = 36%

P= Pooled prevalence = [Proportion in Unmodified plan (p1) + Proportion in modified plan (p2)]/2 = [42 + 6]/2 = 24

N = 2 x 24 x 76 (1.96 + 0.84)2 = 28600 / 1296 = 23 in each group

               36 x 36

Considering nonresponse rate of 10%, 23 + 2.3 = 25.3 ≈ 26 patients to be included in each group.

 

Sample size recruited: 52 Patients were recruited according to sample size calculation. We had two study groups. The patient number for each group was 26.

 

Inclusion criteria:

-          Patients having Left-sided Breast Cancer,

-          Patients after Breast Conservation Surgery (BCS) or after Mastectomy,

-          Patient before or after chemotherapy,

-          KPS (Karnofsky Performance Scale) > 70

 

Exclusion criteria:

-         Patients who have received Radiotherapy earlier to the chest/mediastinum/thorax,

-          Bilateral Breast Cancers,

-          Patients who have undergone Coronary Artery Bypass Grafting (CABG) or stenting to coronary artery

 

Study procedure:

Patient selection: Patients with left-sided Breast cancer were screened according to the above inclusion and exclusion criteria. The benefits, risks, and methods of the procedure were explained in detail and informed consent was obtained after explaining the procedure in detail. We have two study groups (Patient characteristics are listed in Table 1).

Arm A (Prospective group 26 patients): Left Breast carcinoma patients whose heart and LAD were contoured prospectively and included in treatment optimization.

Arm B (Retrospective group 26 patients): For patients who have already completed Left Breast irradiation in whom only the Heart was contoured and optimized before, LAD was not contoured.

Radiotherapy planning: Arm A:

a) Preparation and Immobilization

After obtaining written informed consent patients were positioned in the supine position on the inclined breast stabilization cushion with arms above the head and aligned straight with the help of lasers (Figure 1)

Figure 1: Patient position photo

b) Simulation CT scan

Prior to the simulation scan, the patients were trained to hold a maximum deep breath for 16-18 seconds, in the treatment position. CT simulation scans were taken in free- breathing and in deep inspiratory breath-hold depending on the patient’s breath-hold (19 prospective DIBH patients). For patients who are finding difficulty in breath-hold, only a free-breathing scan was taken (7 prospective FB patients). The images were imported into the Eclipse treatment planning system Version 11.0.31(Varian Medical Systems) for volume delineation and treatment planning.

 

c) Target volume and OAR delineation

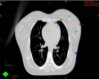
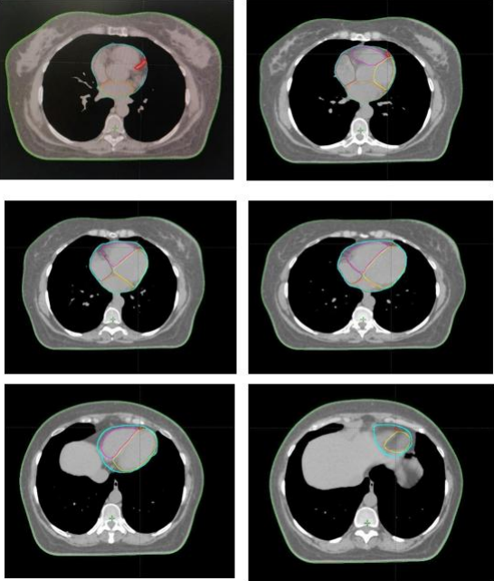
Breast tissue, chest wall, and nodal delineation were contoured according to RTOG guidelines[13]. The Heart & LAD were contoured using a heart atlas. The LAD artery was contoured on the RT planning CT scan (on DIBH scan for 19 patients and on FB scan for 7 patients) immediately distal to its branch-point from the Left Main coronary artery along the anterior interventricular groove to the apex of the Heart using a published contouring atlas [14] [15] [16].

 Figure 2: Image showing heart, LAD contour

 

d) Dose prescribed

The fractionation regimens were 40 Gy/15 Fr or 42.56 Gy/16 fractions or 50 to 50.4 Gy in 25 to 28 fractions. Boost to the lumpectomy cavity, when administered was 10 Gy in 4 to 5 fractions or 16 Gy in 8 fractions.

Dose constraints were set as LAD: Goal: Mean: 2.5 Gy for Hypofractionation (HF), 3 Gy for Conventional fractionations (CF), MHD (Mean Heart Dose) 1.2 Gy if HF & 1.7 Gy if CF with an aim to achieve 95% dose to 100% planning target volume.

 

e) Radiotherapy planning

The treatment plan was carried out using a CT-based, Intensity-modulated Radiotherapy or 3-dimensional conformal radiotherapy. According to the patient’s comfortable breathing pattern, planning was done either on FB or DIBH. Beam angle modification, collimator leaf adjustment, and planning optimization are utilized to minimize LAD and heart dose. Plan evaluation was done and if satisfactory Quality assurance was done and transferred for treatment execution.

 

f) Plan implementation

All patients were treated with photons on the Varian linear accelerator. Real-time position monitoring was used for DIBH patients.

 

Arm B: For our analysis, we have selected 19 DIBH patients and 7 FB patients retrospectively and contoured the LAD (according to the contouring recommendation mentioned above) on delivered treatment plans.

Parameters evaluated:

The following parameters were evaluated

a)         Dmean of LAD

b)         D max of LAD

c)         Dmean of Heart

d)         D max of Heart

 

Figure 3a, Figure 3b

Figure 3: a) LAD CONTOURED AND SPARED, b) LAD CONTOURED BUT NOT SPARED

 

Plan comparison:

Heart and LAD dose-volume-histogram (DVH) data from both groups (ARM A, ARM B) were compared. (figure 4)

 

Figure 4a (Graph 1: DVH of one Retrospective patient), Figure 4b (Graph 2: DVH of one Prospective patient)

Statistical analysis:

•           All the study data obtained through the study Proforma was entered into MS excel sheet and statistical software name R was used for the analysis of data.

•           To compare the distribution between groups, the nonparametric Mann-Whitney U test was used.

•           p-value <0.05 was considered statistically significant.

•           When needed to account for differences in the proportion of patients receiving hypo fractionated versus conventionally fractionated treatment fractionation, doses were expressed as an EQD2 (Equivalent Dose).

where D = composite dose, d = dose per fraction,

alpha/beta ratio = Linear and Quadratic component

2 taken as for late effects of heart and coronary vessels. [17]

 

Results:

Heart and LAD doses are listed in table 2,3,4. Comparing the dosimetric values of LAD in both groups, we found that median LAD D max in Arm A vs Arm B: 12.878 Gy vs 39.084 Gy (p- value 0.000000001243), median LAD D mean in Arm A vs Arm B: 4.504 Gy vs 16.711 Gy (p-value 0.00000002858). Comparison between prospective and retrospective groups shows prospective LAD contouring and optimization were associated with lower median D mean and D max LAD dose and were also statistically significant (figure 5,6). Comparing the dosimetric values of the Heart in both groups, we found that median Heart D max in Arm A vs Arm B: 35.865 Gy vs 47.98 Gy (p-value 0.0000004440635), median Heart D mean in Arm A vs Arm B: 2.1802 Gy vs 2.8514 Gy (p-value 0.0197). Comparison between prospective and retrospective groups shows lower median D mean and D max Heart dose and were also statistically significant (figure 7,8). Comparing the dosimetric values of LAD Dmean between two groups with DIBH, we found that Arm A vs Arm B: 4.751 Gy vs 11.708 Gy ( p-value 0.00002192). Comparison between the two groups shows that the median D mean LAD dose was lower in the case of the prospective DIBH group and also statistically significant (figure 9). Comparing the dosimetric values of LAD Dmean between two groups with FB, we found that Arm A vs Arm B: 4.363 Gy vs 33.35 Gy ( p-value 0.0005828). Comparison between the two groups shows that the median D mean LAD dose was lower in the case of the prospective FB group and also statistically significant (Figure 10).

Table 2,3,4

Figure 5,6,7,8,9,10

 

Discussion

In left-sided Breast cancer, adjuvant Radiotherapy is associated with an increase in the risk of cardiac injury as part of the Heart and LAD (Left Anterior Descending) artery comes within the treatment field.

Numerous studies have demonstrated an increased incidence of fatal coronary vascular disease among women treated with adjuvant radiation for left-sided breast cancer. Endothelial cell damage brought on by radiation exposure causes fibrosis, which in turn causes microvascular dysfunction. With dosages as low as 2 Gy, the endothelial cells react by secreting inflammatory markers and adhesion molecules that attract peripheral leukocytes. Increased size and quantity of these lesions in the major arteries are linked to a dosage of RT > 8 Gy. Additionally, the resulting plaques can be more brittle and macrophage-rich [18]. The most frequent reason for cardiac death from radiation is myocardial infarction [19][20][21]. In the case of breast cancer, there is no accepted dose restriction for the LAD. The DEGRO breast cancer expert panel suggests the following dose restrictions in light of the results of a meta-analysis performed by Piroth et al. MHD is 3 Gy, while the mean LAD is 10 Gy.

Table 14

 

The mean dosage to the left anterior descending (LAD) artery was found to be a less accurate predictor of major coronary events than the mean heart dose in a previous study by Darby et al [22]. According to a study, women who underwent left-sided radiation therapy for breast cancer saw an increase in high-grade coronary artery stenosis in the LAD artery, demonstrating a direct correlation between radiotherapy and coronary artery stenosis [23].

Patients treated with more conformal radiation techniques in the recent past appear to have a lower risk of late cardiac injury; however, such patients still have a 10-year median follow-up, which may not be long enough to determine late cardiac injury [24][25].

Active breathing control and inverse planned, segmented radiation therapy, which were previously used to reduce Mean Heart Dosage, have been shown to reduce dose to the LAD artery. When used in left breast cancer irradiation, the DIBH approach effectively reduces radiation doses to the LAD area, heart, and lungs [26]. Despite the fact that DIBH is an effective heart-sparing treatment in breast RT, approximately one-third of patients do not benefit from it due to breathing difficulties [27].

Our study was to compare the doses of LAD artery of retrospectively treated left-sided Breast cancer where LAD artery was neither contoured nor optimized with respect to prospective contouring and optimization.

According to the data, there were 52 patients in total, with 26 patients in each group. Patients with left breast cancer whose heart and LAD were contoured prospectively and optimization were assigned to ARM A (prospective group: 26 patients). ARM B (Retrospective group: 26 patients): Patients who had previously undergone Left Breast irradiation but only had the Heart contoured and optimized, but not the LAD. Heart and LAD dose-volume-histogram (DVH) data from both groups (ARM A, ARM B) were compared. Mean, Maximum doses of LAD and Heart were evaluated and compared between two groups.

On the RT planning CT image, we contoured the LAD immediately distal to its branch-point from the LMCA along the anterior interventricular groove to the apex. Modifications to tangent beam angles, adjustment to the multileaf collimator, and use of the LAD as an optimization parameter during treatment planning were all employed to reduce LAD dose. When optimizing for LAD dose, there was no substantial reduction in target volume coverage.

Comparing the dosimetric values of LAD in both groups, we found that median LAD D max in Arm A vs Arm B: 12.878 Gy vs 39.084 Gy (p-value 0.000000001243), median LAD D mean in Arm A vs Arm B: 4.504 Gy vs 16.711 Gy (p-value 0.00000002858). Comparison between prospective and retrospective groups shows prospective LAD contouring and optimization was associated with lower median D mean and D max LAD dose and were also statistically significant.

Comparing the dosimetric values of the Heart in both groups, we found that median Heart D max in Arm A vs Arm B: 35.865 Gy vs 47.98 Gy (p-value 0.0000004440635), median Heart D mean in Arm A vs Arm B: 2.1802 Gy vs 2.8514 Gy (p-value 0.0197), Comparison between prospective and retrospective groups shows lower median D mean and D max Heart dose in prospective group and were also statistically significant.

Comparing the dosimetric values of LAD Dmean in between two groups separately for DIBH: Arm A vs Arm B: 4.751 Gy vs 11.708 Gy (p-value 0.00002192), and FB: Arm A vs Arm B: 4.363 Gy vs 33.35 Gy (p-value 0.0005828) showed Lower LAD Dmean in case of ARM A.

This shows that, despite identical mean heart doses in all groups, the LAD may be exposed to relatively high doses, and is a persuasive signal to begin contouring the LAD in all situations. Because each patient's anatomy is different, LAD doses may differ from mean heart doses. As a result, both the heart and the LAD artery should be contoured and optimized to reduce the dose as much as possible. The LAD artery, like the heart, should be treated as a vulnerable organ at risk, with doses kept "as low as reasonably achievable."

Thus, improved long-term survival for all stages of breast cancer has prompted an increased focus on long-term toxicities associated with treatment. While population studies and pooled data from older radiotherapy series have demonstrated a potential increase in cardiac morbidity and mortality, there are significant limitations to these data. At the present time, women with left-sided breast cancers should be offered some form of LAD dose sparing technique when feasible. This should be applied both in patients treated with breast-conserving therapy or mastectomy with or without regional nodal irradiation. No particular technique has been found to be significantly superior to any other and multiple options can be applied concurrently; further, it is unlikely that one method will emerge as the dominant cardiac dose sparing technique. This study was to examine the role of prospective LAD artery contouring and avoidance in treatment plans prior to delivery. The result from this study shows that LAD dose sparing was possible with LAD contouring and dose optimization. While attempts should be made to lessen the dose to the heart and LAD artery to minimize cardiac morbidity and mortality.

 

Conclusion

Our study aimed at evaluating the doses of LAD artery with previously treated left-sided Breast cancer where LAD artery was neither contoured nor optimized with respect to prospective contouring and optimization.

Our results showed that prospective contouring and avoidance of the LAD during treatment planning optimization significantly reduce max and mean LAD dose without compromising planning target volume (PTV) coverage. LAD artery should be contoured and optimized before treatment delivery so as to minimize dose to this structure.

 

Please click here to view complete article with images and tables

Figure 1

Figure 2

Figure 3

Figure 4

Figure 5

Figure 6

Figure 7

Figure 8

Figure 9

Figure 10

Figure 11

Figure 12

antarmuka fokus mahjong daya pengguna aktifaws grid serasi mahjong dasar tahapan terjagaaws jejak mekanisme mahjong arah fase lanjutanaws kajian wild berantai mahjong interaktif analitisaws kesesuaian persentase layanan mahjong seluler lanceraws pendalaman persentase mahjong gerak wild mutakhircorak langka mahjong tumbuh perlahan berubahgerak mahjong adaptasi mekanisme pemakai sekarangnalar scatter mahjong malam putaran ekstratempo mahjong kaitan mekanisme keadaan terkinialur permainan mahjong cepat scatter wilddalam hitungan detik scatter wild mahjongmenyatukan naluri pola scatter hitam mahjongmomen mahjong permainan berbalik arahmomen singkat mahjong dinamika permainanperpaduan insting pola scatter hitam momentperubahan drastis mahjong ways scatter wildscatter wild mahjong datang polasekejap berubah scatter wild mahjong wayssensasi baru mahjong lebih scatter wildenergi scatter emas irama reel mahjongevolusi reel mahjong balutan mistisintervensi cepat emas momentum lamakemunculan mendadak naga emas mahjongketika scatter naga emas aktif mahjongnaga emas muncul arah spin mahjongnaga emas ritme mahjong ways berubahrahasia rtp tinggi balik scatter hitamsaat scatter naga emas alih irama reelscatter hitam kunci lonjakan rtp mahjonge5 scatter wild memberikan sentuhan baru di setiap spin mahjong ways 2e5 scatter wild menghidupkan suasana permainan mahjong ways 2e5 scatter wild mengubah pola permainan mahjong ways 2 secara signifikane5 setiap putaran mahjong ways 2 terasa berbeda dengan scatter wilde5 strategi adaptif berbasis analisis rtp hariane5 strategi berbasis data dan algoritma untuk analisis momentume5 strategi berkembang berkat data rtp hariane5 strategi memahami algoritma untuk mengidentifikasi momentum ideale5 strategi membaca pola algoritma demi menangkap momentum optimale5 strategi modern mengandalkan evaluasi rtp hariane5 strategi responsif dengan dukungan evaluasi rtp hariane5 strategi terukur dengan analisis rtp hariane5 struktur scatter dan wild terlihat jelas berkat analisis sistem moderne5 tanpa disadari kombinasi ini sering mengarah ke scatter di mahjong wins 3e5 teknik evaluasi algoritma untuk mendapatkan momentum yang tepate5 teknik observasi sistem untuk analisis momentum yang lebih presisie5 terungkap formasi ini sering jadi awal munculnya scatter di mahjong wins 3e5 transformasi digital rtp live berkat artificial intelligence inovatife5 transformasi ritme mahjong ways 2 dipicu oleh kekuatan scatter wilde5 wajib tahu pola tersembunyi ini sering menghasilkan scattere5 applee5 bananae5 candye5 doge5 eaglee5 falcone5 geminie5 horsee5 indiae5 japananalisa pola mahjong ways rutinanalisis kinerja heuristik variansi gameanalisis pola mahjong ways hariananalisis pola mahjong ways kebiasaanera baru mahjong wins bonus optimalgebrakan bonus mahjong wins mekanisme efisieninsight pola mahjong ways rutinkajian pola mahjong ways rutinkomparasi heuristik variansi game digitalledakan bonus mahjong wins sistem efektifmahjong wins bonus sistem generasi baruobservasi pola mahjong ways harianpendekatan algoritma heuristik variansi gameperbandingan model heuristik variansi gamerahasia bonus mahjong wins sistem cerdasrangkuman pola mahjong ways harianringkasan pola mahjong ways harianstudi pola mahjong ways hariantinjauan heuristik variansi game digitaltinjauan pola mahjong ways harianalur sombol mahjong kemunculan scatterdari rtp mahjong bermain lebih efektifjejak scatter mahjong putaran tenangkejutan scatter wild simbol mahjong arahkemunculan simbol ganda membuat mahjongketika grid mahjong scatter semakin dekatketika rtp mahjong pola mulai lebih jelasketika scatter wild ritme simbol mahjongketika scatter wild titik sesi mahjong waysketika susunan simbol mahjong ritme scattermemahami rtp mahjong cara bermain lebihpergerakan simbol mahjong scatter wildpergeseran mahjong ketika scatter hadirsaat rtp mahjong terbaca baik strategisaat scatter hadir simbol mahjong bergeserscatter wild dinamika simbol mahjongstabilitas putaran mahjong pola scattersusunan baru reel mahjong scatter emassusunan mahjong wins mengandung scattersusunan simbol mahjong diam pola scatterrm menguak keunikan mahjong wins sudut pandang teknisrm cara memahami pergerakan mahjong ways tenaga ekstrarm mahjong wins standar baru industri hiburan digitalrm rahasia ketahanan mahjong ways eksis gempuran gamerm pentingnya memahami transisi level mahjong wins mendalamrm strategi mengatur tempo mahjong ways kendali permainanrm peran kecerdasan buatan mekanisme mahjong wins adilrm alasan keberhasilan mahjong ways mencuri perhatian analisrm mempelajari struktur dasar mahjong wins efisiensi putaranrm inovasi desain mahjong ways kesan bermain responsifrm teknik observasi mahjong wins jarang dibahas dampakrm cara mempertahankan fokus dinamika mahjong ways cepatrm eksplorasi fitur tersembunyi mahjong wins ritme terbaikrm mahjong ways integrasi teknologi modern keamanan nyamanrm analisis faktor pendukung mahjong wins digemari generasirm langkah efektif menyesuaikan perubahan sistem mahjong waysrm mengintip proses pengembangan mahjong wins kualitas penggunarm analisis data membantu membaca arah mahjong waysrm menemukan titik temu insting logika mahjong winsrm transformasi besar mahjong ways menghadirkan tantangan menarikmengungkap simbol langka nasib drastismisteri besar kombinasi simbol langkamisteri simbol langka keberuntungan besarsimbol langka misterius ubah hiduprahasia simbol langka nasib cepattransformasi bonus mahjong wins sistem efektifmahjong wins suguhkan bonus sistem modernsuguhan bonus efisien mahjong winsefektivitas sistem bonus mahjong winsmahjong wins hadirkan bonus sistem optimaloke76cincinbetaqua365slot gacorstc76samurai76TOBA1131samurai76 login