Multidisciplinary Treatment of Aorto-Pleural Fistula after Lung Resection Surgery for Pulmonary Aspergilloma

Multidisciplinary Treatment of Aorto-Pleural Fistula after Lung Resection Surgery for Pulmonary Aspergilloma

Nabih Berjaoui1,2, Andrea Bille2, Federico Femia2*

1.University of Turin, Department of Surgical Sciences, Turin, Italy .

2 Guy’s and St Thomas’ NHS Foundation Trust, Department of Thoracic Surgery, London, UK

*Correspondence to: Federico Femia, Guy’s and St Thomas’ NHS Foundation Trust, Department of Thoracic Surgery, London, UK.

Copyright

© 2024 Federico Femia. This is an open access article distributed under the Creative Commons Attribution License, which permits unrestricted use, distribution, and reproduction in any medium, provided the original work is properly cited.

Received: 06 May 2024

      Published: 01 June 2024

      DOI: https://doi.org/10.5281/zenodo.11399294

ABSTRACT

Lung resections represent the treatment of choice for symptomatic pulmonary aspergilloma. Surgical resection carries a non-negligible risk of postoperative complications, which include postoperative bleeding. Massive postoperative bleeding is often a lethal complication. Here we report the case of a postoperative bleeding arising from an aorto-pleural fistula after pulmonary segmentectomy for aspergilloma, successfully treated with a multimodal approach.

Keywords: Aspergilloma, Haemorrhage, Segmentectomy, TEVAR.


Multidisciplinary Treatment of Aorto-Pleural Fistula after Lung Resection Surgery for Pulmonary Aspergilloma

Introduction

Pulmonary aspergillosis can manifest with a wide range of clinical scenarios, usually in patients with a predisposing lung disease, the most common being lung tuberculosis. The colonisation of a tuberculosis cavity by Aspergillus creates a lung lesion commonly defined as aspergilloma. One of the most common and worrisome symptoms of aspergilloma is haemoptysis, which can manifests with variable frequency and degree of severity and can lead to death in up to 26% of   this population1. As surgical resection can dramatically reduce long-term mortality in symptomatic patients2, surgical treatment is usually offered in this scenario, together with  appropriate antimicrobic treatment. Since the dimension and the complexity of these lesions is highly variable, lung resections adopted for aspergilloma range from sub lobar resections (wedge resections or anatomical segmentectomies) to lobectomy or pneumonectomy; postoperative  morbidity and mortality risk usually increases with the extent of the resection adopted3.  Postoperative bleeding is one of the complications most commonly described after surgery 4. We report the case of a patient who  aspergillosis, and can have an incidence as high as 48% suffered from postoperative bleeding after left upper lobe segmentectomy for aspergilloma, caused by fistulisation of the descending thoracic aorta with the pleural space. The bleeding was successfully treated with emergent surgical re-exploration and subsequent thoracic endovascular aortic repair (TEVAR).

 

Case Report

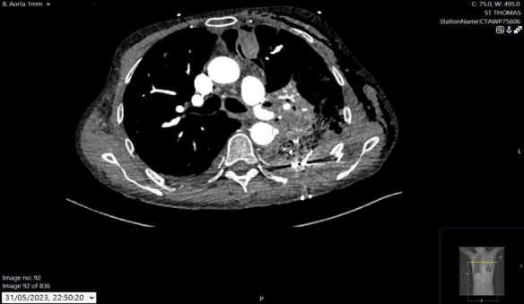
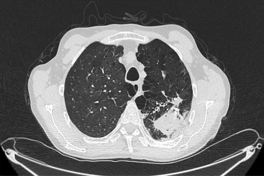
A 59-year-old patient presented to our institution with worsening moderate haemoptysis caused by a recurrent aspergilloma in his left upper lobe (fig. 1). He had a background relevant for previous pulmonary aspergilloma that had been treated with a left thoracotomy and wedge resection of the lower lobe 18 years before. He had a good performance status at his presentation. He was offered surgical treatment with a re-do left thoracotomy and upper lobe upper division segmentectomy, which was performed with no major intraoperative complications and with a blood loss of around 600 ml. He was put on Voriconazole anti fungal treatment from early and for three months post discharge. The postoperative period was initially complicated by prolonged air leaks and pneumonia. On postoperative day 15, the patient acutely developed hypotensive shock with sudden discharge of blood-stained drainage from the chest drain (around 350 ml in less than 1 hour). The chest drain was promptly clamped and, while fluid resuscitation and 3 units of blood were administered, an urgent chest radiography was obtained which confirmed a retained collection in keeping with haemothorax. At that point it was decided to perform an emergency thoracotomy and re-exploration of the pleural space. At surgery, the bleeding source was found to be coming from a 3 mm fistula connecting the lateral wall of the descending thoracic aorta to the pleural space. Since the arterial tissue around the fistula was deemed too frail to sustain direct closure with stitching, the bleeding source was initially controlled with haemostatic patches (Veriset™ Haemostatic Patch, Medtronic© Limited, Watford, UK) and packing of the pleural space with large gauze swabs. Immediately after the surgery, an angio-CT scan was performed and confirmed the presence of an irregular outpouching of the descending aorta corresponding to the known source of the bleeding (fig. 2a).

To achieve better long-term control of the aorto-pleural fistula, the patient subsequently underwent an urgent TEVAR (GORE® TAG® Conformable Thoracic Stent Graft, W. L. Gore & Associates (UK) Limited, Livingston, Scotland) (fig. 2b). After this procedure, the patient successfully underwent surgical unpacking of the chest 24 hours later, where no signs of active bleeding were found.

Fig. 1   Pulmonary Aspergilloma

 

Discussion

Surgical treatment for pulmonary aspergilloma has historically been associated with high perioperative morbidity and mortality2,4. More recent series have demonstrated improved outcome after surgery5. However, complication rate after surgery continues to appear relatively higher compared to lung resection surgery performed for different indications. As worse outcome is related to older age, preoperative performance status and more extensive lung resection, careful patient selection and thorough surgical planning are paramount when surgical treatment is offered to these patients. Postoperative bleeding is a well-known complication after lung resection for aspergilloma and can at times presents with variable delay after surgical treatment. This could be a consequence of inflammation or infection erosion involving branches of bronchial arteries or pulmonary  arteries. It is possible that pleural space contamination and consequent empyema might play a role as risk factor. Especially in patients presenting with severe haemoptysis, preoperative embolisation can be adopted and might reduce the risk of postoperative bleeding as well.

In our case, the patient developed a severe bleeding more than two weeks after surgery. Aortopleural fistula was not suspected at the onset of the complication but was easily identified at surgical re-exploration. It must be emphasized that prompt clinical response and low threshold for surgical re-exploration of the pleural space are key elements when facing postoperative bleeding after aspergilloma surgery. Considering the poor tissue quality typical of this disease, however, the surgeon must carefully evaluate the most appropriate technical strategy in order to achieve the intended treatment minimizing the surgical harm at the same time. In our case, effective treatment was achieved with a combinate treatment consisting of an emergent surgical re-exploration followed by definitive endovascular repair with an aortic graft. We believe that this multidisciplinary approach was essential to deliver effective treatment for this uncommon clinical scenario. This is, to our knowledge, the first reported case of aortopleural fistula after lung resection for aspergilloma. Although extremely rare, we believe that this report can raise awareness about the variety of complications that can follow surgical treatment for pulmonary aspergilloma and highlight the importance of a multidisciplinary approach in achieving successful treatment of complex lethal complications.

 

Fig 2a: Angio-CT scan  was performed and confirmed the presence of an irregular outpouching of the descending aorta- circled.

Fig. 2b X-ray showing TEVAR

 

Conclusion

Aorto-pleural fistula can be a rare but potentially lethal complication after lung resection for pulmonary aspergilloma. Prompt clinical response and urgent treatment are essential for effective management of this critical complication. A multidisciplinary approach is a valuable strategy in order to minimise surgical trauma and achieve a satisfactory clinical outcome.

Funding statement: The authors received no funding for this manuscript.

Conflict of interest statement: The authors have no conflicts of interest to declare.

 

Reference

1. Aslam PA, Eastridge CE, Hughes FA. Aspergillosis of the lung--an eighteen-year experience. Chest. 1971;59(1):28-32. doi:10.1378/chest.59.1.28

2. Jewkes J, Kay PH, Paneth M, Citron KM. Pulmonary aspergilloma: analysis of prognosis in

 relation to haemoptysis and survey of treatment. Thorax. 1983;38(8):572-578. doi:10.1136/thx.38.8.572

3. Keskin H, Dirol H, Bozkurt N. Pulmonary aspergilloma management: 5 years of experience from a tertiary hospital. Kardiochirurgia Torakochirurgia Pol Pol J Cardio-Thorac Surg. 2022;19(4):194-198. doi:10.5114/kitp.2022.122088

4. Massard G, Roeslin N, Wihlm JM, Dumont P, Witz JP, Morand G. Pleuropulmonary aspergilloma: clinical spectrum and results of surgical treatment. Ann Thorac Surg.: 1992;54(6):1159-1164. doi:10.1016/0003-4975(92)90086-j

5. Kim YT, Kang MC, Sung SW, Kim JH. Good long-term outcomes after surgical treatment of simple and complex pulmonary aspergilloma. Ann Thorac Surg. 2005;79(1):294-298. doi:10.1016/j.athoracsur.2004.05.050.

Figure 1

Figure 2

Figure 3

antarmuka fokus mahjong daya pengguna aktifaws grid serasi mahjong dasar tahapan terjagaaws jejak mekanisme mahjong arah fase lanjutanaws kajian wild berantai mahjong interaktif analitisaws kesesuaian persentase layanan mahjong seluler lanceraws pendalaman persentase mahjong gerak wild mutakhircorak langka mahjong tumbuh perlahan berubahgerak mahjong adaptasi mekanisme pemakai sekarangnalar scatter mahjong malam putaran ekstratempo mahjong kaitan mekanisme keadaan terkinialur permainan mahjong cepat scatter wilddalam hitungan detik scatter wild mahjongmenyatukan naluri pola scatter hitam mahjongmomen mahjong permainan berbalik arahmomen singkat mahjong dinamika permainanperpaduan insting pola scatter hitam momentperubahan drastis mahjong ways scatter wildscatter wild mahjong datang polasekejap berubah scatter wild mahjong wayssensasi baru mahjong lebih scatter wildenergi scatter emas irama reel mahjongevolusi reel mahjong balutan mistisintervensi cepat emas momentum lamakemunculan mendadak naga emas mahjongketika scatter naga emas aktif mahjongnaga emas muncul arah spin mahjongnaga emas ritme mahjong ways berubahrahasia rtp tinggi balik scatter hitamsaat scatter naga emas alih irama reelscatter hitam kunci lonjakan rtp mahjonge5 scatter wild memberikan sentuhan baru di setiap spin mahjong ways 2e5 scatter wild menghidupkan suasana permainan mahjong ways 2e5 scatter wild mengubah pola permainan mahjong ways 2 secara signifikane5 setiap putaran mahjong ways 2 terasa berbeda dengan scatter wilde5 strategi adaptif berbasis analisis rtp hariane5 strategi berbasis data dan algoritma untuk analisis momentume5 strategi berkembang berkat data rtp hariane5 strategi memahami algoritma untuk mengidentifikasi momentum ideale5 strategi membaca pola algoritma demi menangkap momentum optimale5 strategi modern mengandalkan evaluasi rtp hariane5 strategi responsif dengan dukungan evaluasi rtp hariane5 strategi terukur dengan analisis rtp hariane5 struktur scatter dan wild terlihat jelas berkat analisis sistem moderne5 tanpa disadari kombinasi ini sering mengarah ke scatter di mahjong wins 3e5 teknik evaluasi algoritma untuk mendapatkan momentum yang tepate5 teknik observasi sistem untuk analisis momentum yang lebih presisie5 terungkap formasi ini sering jadi awal munculnya scatter di mahjong wins 3e5 transformasi digital rtp live berkat artificial intelligence inovatife5 transformasi ritme mahjong ways 2 dipicu oleh kekuatan scatter wilde5 wajib tahu pola tersembunyi ini sering menghasilkan scattere5 applee5 bananae5 candye5 doge5 eaglee5 falcone5 geminie5 horsee5 indiae5 japananalisa pola mahjong ways rutinanalisis kinerja heuristik variansi gameanalisis pola mahjong ways hariananalisis pola mahjong ways kebiasaanera baru mahjong wins bonus optimalgebrakan bonus mahjong wins mekanisme efisieninsight pola mahjong ways rutinkajian pola mahjong ways rutinkomparasi heuristik variansi game digitalledakan bonus mahjong wins sistem efektifmahjong wins bonus sistem generasi baruobservasi pola mahjong ways harianpendekatan algoritma heuristik variansi gameperbandingan model heuristik variansi gamerahasia bonus mahjong wins sistem cerdasrangkuman pola mahjong ways harianringkasan pola mahjong ways harianstudi pola mahjong ways hariantinjauan heuristik variansi game digitaltinjauan pola mahjong ways harianalur sombol mahjong kemunculan scatterdari rtp mahjong bermain lebih efektifjejak scatter mahjong putaran tenangkejutan scatter wild simbol mahjong arahkemunculan simbol ganda membuat mahjongketika grid mahjong scatter semakin dekatketika rtp mahjong pola mulai lebih jelasketika scatter wild ritme simbol mahjongketika scatter wild titik sesi mahjong waysketika susunan simbol mahjong ritme scattermemahami rtp mahjong cara bermain lebihpergerakan simbol mahjong scatter wildpergeseran mahjong ketika scatter hadirsaat rtp mahjong terbaca baik strategisaat scatter hadir simbol mahjong bergeserscatter wild dinamika simbol mahjongstabilitas putaran mahjong pola scattersusunan baru reel mahjong scatter emassusunan mahjong wins mengandung scattersusunan simbol mahjong diam pola scatterrm menguak keunikan mahjong wins sudut pandang teknisrm cara memahami pergerakan mahjong ways tenaga ekstrarm mahjong wins standar baru industri hiburan digitalrm rahasia ketahanan mahjong ways eksis gempuran gamerm pentingnya memahami transisi level mahjong wins mendalamrm strategi mengatur tempo mahjong ways kendali permainanrm peran kecerdasan buatan mekanisme mahjong wins adilrm alasan keberhasilan mahjong ways mencuri perhatian analisrm mempelajari struktur dasar mahjong wins efisiensi putaranrm inovasi desain mahjong ways kesan bermain responsifrm teknik observasi mahjong wins jarang dibahas dampakrm cara mempertahankan fokus dinamika mahjong ways cepatrm eksplorasi fitur tersembunyi mahjong wins ritme terbaikrm mahjong ways integrasi teknologi modern keamanan nyamanrm analisis faktor pendukung mahjong wins digemari generasirm langkah efektif menyesuaikan perubahan sistem mahjong waysrm mengintip proses pengembangan mahjong wins kualitas penggunarm analisis data membantu membaca arah mahjong waysrm menemukan titik temu insting logika mahjong winsrm transformasi besar mahjong ways menghadirkan tantangan menarikmengungkap simbol langka nasib drastismisteri besar kombinasi simbol langkamisteri simbol langka keberuntungan besarsimbol langka misterius ubah hiduprahasia simbol langka nasib cepattransformasi bonus mahjong wins sistem efektifmahjong wins suguhkan bonus sistem modernsuguhan bonus efisien mahjong winsefektivitas sistem bonus mahjong winsmahjong wins hadirkan bonus sistem optimaloke76cincinbetaqua365slot gacorstc76samurai76TOBA1131samurai76 login