Splinting for Stabilizing Traumatized Teeth - A Case Report

Splinting for Stabilizing Traumatized Teeth - A Case Report

Dr Kumar Abhishek1*,Dr Richa singh2, Dr Shailesh Kumar chunnu3

1. Department of periodontology and oral implantology, Hazaribagh college of dental sciences and hospital.

2. Department of periodontology and oral implantology, Hazaribag college of dental  sciences and hospital . Hazaribag.

3. Department of pediatric and preventive dentistry. Kothiwal dental college.

*Correspondence to: Dr Kumar Abhishek, Department of periodontology and oral implantology, Hazaribagh college of dental sciences and hospital.

Copyright

© 2024 Dr Kumar Abhishek. This is an open access article distributed under the Creative Commons Attribution License, which permits unrestricted use, distribution, and reproduction in any medium, provided the original work is properly cited.

Received: 24 May 2024

Published: 01 June 2024


Abstract

Trauma to teeth is one of the most serious dental injuries, and it requires correct and timely management for the favorable prognosis. Splinting of teeth is considered best practice to maintain the repositioned tooth in the correct position, provide patient comfort and improve function. Amongst several methods, splinting with composite and wire is an economical, maintainable and flexible option for 20-year-old-female with two years follow up. Stabilizing traumatized mobile teeth. This case report shows splinting of teeth with composite and wire of traumatized teeth in a 20-year old female patient.

Keywords: Composite and wire; dental injuries; splinting.


Splinting for Stabilizing Traumatized Teeth - A Case Report

Introduction

Dental trauma is a common problem we encounter in our day-to-day dental practice. A splint has been defined as ‘an apparatus used to support, protect or immobilize teeth that have been loosened, replanted, fractured or subjected to certain endodontic surgical procedures.1 Splinting has been recommended for repositioning the tooth/teeth to stabilize the tooth/teeth and to enhance healing outcomes for the pulp and/or the periodontal ligament.2 Amongst many methods of splinting of teeth, composite and wire splint is probably most common, economic and easily available.3The flexible splint has a wire diameter of not greater than 0.3–0.4 mm (up to 0.016” or 0.4 mm) and allows functional movement.1 International Association of Dental Traumatology (IADT) guidelines recommend splinting types that are flexible rather than rigid and employed for a shorter duration.4 According to B Kahler et al. 2016, the splint should allow periodontal ligament reattachment, stabilized teeth, maintenance of hygiene, preferably fulfill aesthetic appearance and provide patients comfort 5

 

Case Report

A 20-year-old female reported to the Department of Periodontology and Oral Implantology, Hazaribag college of dental sciences and hospital with a chief complaint of mobility of lower front teeth following fall injury. Medical history was non-contributory. She was conscious and well oriented with time, place and person during examination. Clinically, there was grade ii mobility in 31,41 with tenderness present. Radiographic examination revealed periodontal ligament widening irt 31,41. Written informed consent was taken after explaining about her condition, different treatment options, the nature of the procedure, the prognosis of teeth and the required follow up. Treatment began with non-surgical phase. Proper

extraoral asepsis with 2% povidone-iodine was followed by intraoral preprocedural 0.2% chlorhexidine rinses. After scaling and debridement of area, teeth were repositioned manually after explaining the complications related to it. The composite wire-splint was constructed using a ligature stainless steel round wire. The wire was cut to the desired time length and three strands of ligature wire were tightly held with one needle holder at one end and other end held with another needle holder which was moved clockwise multiple until desired twisted intertwined multistrand structure obtained and then placed on the lingual surfaces without bending, so as to provide neutrality.

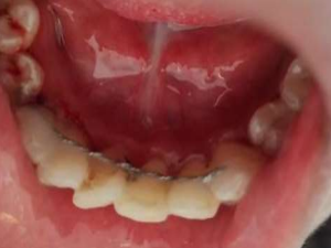
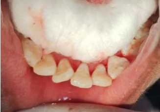
Figure 1 a, Figure 1b

Figure 2

Lingual aspects of the teeth were spot etched using 37% phosphoric acid gel for 30 seconds (VISTA VIS- 502115 Best-Etch Dentsply), rinsed off with air-water spray for 10 seconds and then air-dried. A thin layer of bonding agent (Prime & Bond NT Dentsply) was applied on the etched surfaces as per the manufacturer’s instructions. The splint was secured with light curing resin composite (Spectrum Dentsply) with 30 seconds of photopolymerization (Figure 1a). Once the splinting with composite and wire was performed, the patient was counselled and an intraoral periapical radiograph was taken to evaluate the tooth repositioning . The splint was evaluated for its stability, mobility, premature contact and comfort to the patient. The patient was given antibiotics (Amoxicillin 500 mg for every eight hours a day for seven days and Metronidazole 400 mg for every eight hours a day for seven days) to prevent infection as chance of spread of infection due to higher vascularization. The analgesics (Ibuprofen 400 mg every eight hours a day for three days) was given to reduce pain and decrease inflammation for improving healing with 0.2% chlorhexidine gluconate rinse every 12 hours for 14 days as an antiplaque mouth rinse. Postoperative written instructions for the consumption of a soft diet, maintenance of regular oral hygiene, avoidance of direct trauma by mastication, oral habits and immature contact were given. The patient was recalled after one week and examined for the stability of the splint. Splint was

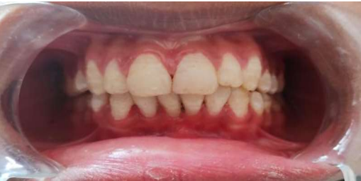
placed for four weeks with weekly evaluation. At end of four weeks, splint was removed (Figure 1 b) with diamond bur. After one year of continuous three months follow up, the patient referred in the Endodontics for further treatment. At two years of follow up, color, contour, position of gingiva was excellent, well maintained alveolar bone height (Figure 2) & the patient was completely satisfied with result obtained.

Table 1


Discussion

The IADT guidelines recommend a flexible splint for all injury classifications except for alveolar fracture where no recommendation is given either to use flexible or rigid (Table 1).6 In this case report, splinting time was four weeks similar to ideal requirement of splint for intrusive luxation according to

International Association of Dental Traumatology (IADT) guidelines. The teeth were repositioned manually for faster restoration of discrepancy in occlusion and chewing habits despite being chance of damaging vital periodontal tissue than slow self or orthodontic eruption. All five teeth required endodontic treatment may be either due to previous traumatic injury or manual manipulation. The wire used in our case were round stainless-steel ligature wire, used in orthodontics and were of diameter 0.33 mm which is considered flexible splint.. Slight modification in wire was done in our case by using three strands twisted intertwined multistrand ligature wire to provide slight rigidity because all four incisors are mobile.6 Splinting with this method shows favorable and excellent patient perspective results. In the context of our country like INDIA, the composite and multistrand ligature wire splints may also act as alternative treatment approach as it is an easy, economical, provides optimal result and seems one of the best options.

Conflict of Interest: None.

 

References

1. American Association of Endodontists. Glossary of Endodontic Terms. 10th ed. Chicago: 2020.44.

2. Oikarinen KS. Splinting of traumatized teeth. In: Andreasen JO, Andreasen FM, Andersson L.

Textbook and Color Atlas of Traumatic Injuries to the Teeth. 4th ed. Oxford, UK: Wiley-Blackwell; 2007:842-51.

3. Andersson L, Lindskog S, Blomlof L, Hedstrom K-G, Hammarstrom L. Effect of masticatory stimulation on dentoalveolar ankylosis after experimental tooth replantation. Endod Dent Traumatol. 1985; 1:13–6.

4. International Dental Association of Dental Traumatology. Available at: URL: https://www.iadt- dentaltrauma.org/1-9%20%20iadt%20 guidelines%20combined%20-%20lr%20-%2011-5- 2013.pdf

5. Khaler B, Hu J-Y, Marriot-Smith CS, Heithersay G. Splinting of teeth following trauma: a review and a new splinting recommendation. Aust Dent J. 2016; 61(1): 59–73.

6. DiAngelis A J, Andreasen J O, Ebeleseder K A, Kenny D J, Trope M, Sigurdsson A et. al.

International Association of Dental Traumatology guidelines for the management of traumatic dental injuries: 1. Fractures and luxations of permanent teeth, 2012; 28:2-12.

Figure 1

Figure 2

Figure 3

antarmuka fokus mahjong daya pengguna aktifaws grid serasi mahjong dasar tahapan terjagaaws jejak mekanisme mahjong arah fase lanjutanaws kajian wild berantai mahjong interaktif analitisaws kesesuaian persentase layanan mahjong seluler lanceraws pendalaman persentase mahjong gerak wild mutakhircorak langka mahjong tumbuh perlahan berubahgerak mahjong adaptasi mekanisme pemakai sekarangnalar scatter mahjong malam putaran ekstratempo mahjong kaitan mekanisme keadaan terkinialur permainan mahjong cepat scatter wilddalam hitungan detik scatter wild mahjongmenyatukan naluri pola scatter hitam mahjongmomen mahjong permainan berbalik arahmomen singkat mahjong dinamika permainanperpaduan insting pola scatter hitam momentperubahan drastis mahjong ways scatter wildscatter wild mahjong datang polasekejap berubah scatter wild mahjong wayssensasi baru mahjong lebih scatter wildenergi scatter emas irama reel mahjongevolusi reel mahjong balutan mistisintervensi cepat emas momentum lamakemunculan mendadak naga emas mahjongketika scatter naga emas aktif mahjongnaga emas muncul arah spin mahjongnaga emas ritme mahjong ways berubahrahasia rtp tinggi balik scatter hitamsaat scatter naga emas alih irama reelscatter hitam kunci lonjakan rtp mahjonge5 scatter wild memberikan sentuhan baru di setiap spin mahjong ways 2e5 scatter wild menghidupkan suasana permainan mahjong ways 2e5 scatter wild mengubah pola permainan mahjong ways 2 secara signifikane5 setiap putaran mahjong ways 2 terasa berbeda dengan scatter wilde5 strategi adaptif berbasis analisis rtp hariane5 strategi berbasis data dan algoritma untuk analisis momentume5 strategi berkembang berkat data rtp hariane5 strategi memahami algoritma untuk mengidentifikasi momentum ideale5 strategi membaca pola algoritma demi menangkap momentum optimale5 strategi modern mengandalkan evaluasi rtp hariane5 strategi responsif dengan dukungan evaluasi rtp hariane5 strategi terukur dengan analisis rtp hariane5 struktur scatter dan wild terlihat jelas berkat analisis sistem moderne5 tanpa disadari kombinasi ini sering mengarah ke scatter di mahjong wins 3e5 teknik evaluasi algoritma untuk mendapatkan momentum yang tepate5 teknik observasi sistem untuk analisis momentum yang lebih presisie5 terungkap formasi ini sering jadi awal munculnya scatter di mahjong wins 3e5 transformasi digital rtp live berkat artificial intelligence inovatife5 transformasi ritme mahjong ways 2 dipicu oleh kekuatan scatter wilde5 wajib tahu pola tersembunyi ini sering menghasilkan scattere5 applee5 bananae5 candye5 doge5 eaglee5 falcone5 geminie5 horsee5 indiae5 japananalisa pola mahjong ways rutinanalisis kinerja heuristik variansi gameanalisis pola mahjong ways hariananalisis pola mahjong ways kebiasaanera baru mahjong wins bonus optimalgebrakan bonus mahjong wins mekanisme efisieninsight pola mahjong ways rutinkajian pola mahjong ways rutinkomparasi heuristik variansi game digitalledakan bonus mahjong wins sistem efektifmahjong wins bonus sistem generasi baruobservasi pola mahjong ways harianpendekatan algoritma heuristik variansi gameperbandingan model heuristik variansi gamerahasia bonus mahjong wins sistem cerdasrangkuman pola mahjong ways harianringkasan pola mahjong ways harianstudi pola mahjong ways hariantinjauan heuristik variansi game digitaltinjauan pola mahjong ways harianalur sombol mahjong kemunculan scatterdari rtp mahjong bermain lebih efektifjejak scatter mahjong putaran tenangkejutan scatter wild simbol mahjong arahkemunculan simbol ganda membuat mahjongketika grid mahjong scatter semakin dekatketika rtp mahjong pola mulai lebih jelasketika scatter wild ritme simbol mahjongketika scatter wild titik sesi mahjong waysketika susunan simbol mahjong ritme scattermemahami rtp mahjong cara bermain lebihpergerakan simbol mahjong scatter wildpergeseran mahjong ketika scatter hadirsaat rtp mahjong terbaca baik strategisaat scatter hadir simbol mahjong bergeserscatter wild dinamika simbol mahjongstabilitas putaran mahjong pola scattersusunan baru reel mahjong scatter emassusunan mahjong wins mengandung scattersusunan simbol mahjong diam pola scatterrm menguak keunikan mahjong wins sudut pandang teknisrm cara memahami pergerakan mahjong ways tenaga ekstrarm mahjong wins standar baru industri hiburan digitalrm rahasia ketahanan mahjong ways eksis gempuran gamerm pentingnya memahami transisi level mahjong wins mendalamrm strategi mengatur tempo mahjong ways kendali permainanrm peran kecerdasan buatan mekanisme mahjong wins adilrm alasan keberhasilan mahjong ways mencuri perhatian analisrm mempelajari struktur dasar mahjong wins efisiensi putaranrm inovasi desain mahjong ways kesan bermain responsifrm teknik observasi mahjong wins jarang dibahas dampakrm cara mempertahankan fokus dinamika mahjong ways cepatrm eksplorasi fitur tersembunyi mahjong wins ritme terbaikrm mahjong ways integrasi teknologi modern keamanan nyamanrm analisis faktor pendukung mahjong wins digemari generasirm langkah efektif menyesuaikan perubahan sistem mahjong waysrm mengintip proses pengembangan mahjong wins kualitas penggunarm analisis data membantu membaca arah mahjong waysrm menemukan titik temu insting logika mahjong winsrm transformasi besar mahjong ways menghadirkan tantangan menarikmengungkap simbol langka nasib drastismisteri besar kombinasi simbol langkamisteri simbol langka keberuntungan besarsimbol langka misterius ubah hiduprahasia simbol langka nasib cepattransformasi bonus mahjong wins sistem efektifmahjong wins suguhkan bonus sistem modernsuguhan bonus efisien mahjong winsefektivitas sistem bonus mahjong winsmahjong wins hadirkan bonus sistem optimaloke76cincinbetaqua365slot gacorstc76samurai76TOBA1131samurai76 login