Congenital Brachymetatarsia and its Surgical Treatment

Congenital Brachymetatarsia and its Surgical Treatment

Kassem El Houcheimi*

*Correspondence to: Kassem El Houcheimi, UAE.

Copyright

© 2023 Kassem El Houcheimi. This is an open access article distributed under the Creative Commons Attribution License, which permits unrestricted use, distribution, and reproduction in any medium, provided the original work is properly cited.

Received: 29 June 2023

Published: 15 July 2023


ABSTRACT

This retrospective study evaluated the surgical results of 69 metatarsals from 44 patients with congenital brachymetatarsia. The study used an intercalary autogenous iliac bone transplant for one-stage lengthening and a one-stage combination technique for multiple foot ray damage. If toe-tip parabola couldn't be achieved with intraoperative metatarsal distraction, concurrent proximal phalangeal lengthening was performed. The follow-up period averaged 3.5 years. All patients were satisfied with the aesthetic and functional outcomes. In 56 metatarsals, one-stage lengthening resulted in an average length gain of 14 mm. Six patients with a combination shortening operation restored a practically normal foot parabola. No case was made more difficult by later neurovascular dysfunction. The study concludes that satisfactory results can be achieved for congenital brachymetatarsia treatment if surgical alternatives are tailored to the patient's expectations and overall foot look.

Keywords: Brachymetatarsia, Foot, Treatment, Neurovascular, Dysfunction.


Congenital Brachymetatarsia and its Surgical Treatment

Introduction

Congenital brachymetatarsia is a rare condition involving the shortening of metatarsal bone due to premature epiphyseal closure. The condition is primarily affected by the fourth metatarsal and has a strong female predominance. 1 The deformity can cause pain due to an altered metatarsal parabola, but cosmesis is a major concern among young women. Various surgical techniques have been described for repairing brachymetatarsia, including one-stage lengthening with an intercalary bone graft and gradual lengthening by callotasis. Each method has its advantages and disadvantages.

One-stage lengthening offers advantages such as a shorter period to bony union, reduced scarring, and less morbidity. However, it also has disadvantages such as donor-site morbidity, a smaller gain in length, and more neurovascular complications. Gradual lengthening by callostasis does not require a bone graft, allows early weight bearing, and has fewer neurovascular complications.2

Sometimes, a shortening osteotomy of the adjacent metatarsal can restore a normal metatarsal parabola and cosmetically acceptable foot appearance. When assessing a patient with brachymetatarsia, several variables should be considered, including the number and sites of affected rays, the amount of lengthening, and the method of lengthening and fixation. This study aimed to evaluate the surgical outcome of congenital brachymetatarsia treated according to the protocol.3

 

Patients and Methods

The study reviewed 69 cases of congenital brachymetatarsia in 44 patients aged 16 to 36 years. All patients complained of unsightly short toes and experienced occasional pain in adjacent metatarsal heads when walking. The main indication for surgery was cosmetic, but patient selection was made when the patient fully understood the expected results and possible complications. Surgery was not considered if the patient had not reached skeletal maturity due to possible physeal injury related with lengthening or if the patient had an unrealistic expectation of the results.4

 

The patients were categorized into single- or multiple-ray involvements and grouped by the amount of lengthening required. A one-stage lengthening with an intercalary autogenous iliac bone graft was performed for single ray involvement in a foot, and additional proximal phalangeal lengthening was planned if the measured target length was large. A one-stage combined shortening and lengthening procedure without an iliac bone graft was performed for multiple ray involvement in the same foot. If the patient refused to accept shortening of normal rays, they could choose either one-stage lengthening or gradual lengthening by callostasis in all affected rays.5

 

Treatment of single-ray brachymetatarsia

A study conducted on 38 patients with single-ray brachymetatarsia performed a total of 68 one-stage skeletal lengthening procedures using intercalary autogenous bone grafting.6 The procedure involved lengthening 12 proximal phalanges concomitantly with the metatarsal of the same ray. The majority of the affected metatarsal was the fourth toe, with only one patient with unilateral involvement and two with bilateral involvement having isolated shortening of the first metatarsal. 7 The osteotomy site was gradually distracted using an Inge bone spreader for 20-30 minutes to reduce soft-tissue tension. If necessary, adjacent deep transverse metatarsal ligaments were cut. The cast and K-wire were removed 8-10 weeks after surgery, and full weight bearing was permitted 12 weeks postoperatively. The procedure for proximal phalanx lengthening was similar.8

 

Treatment of multiple-ray brachymetatarsia

Six patients with congenital brachymetatarsia underwent a one-stage combined shortening and lengthening procedure using an intercalary autogenous bone graft from an adjacent metatarsal. 9 The procedure involved multiple metatarsals bilaterally, with five patients having short first and fourth metatarsals and one having short first, fourth, and fifth metatarsals. Patients were informed about the procedure on normal rays and agreed to toe shortening. All operations were performed bilaterally, and postoperative management remained the same. 10

 

Results

The study focuses on one-stage lengthening for single ray involvement, aiming to achieve a good cosmetic result with restoration of a functional metatarsal parabola. The average length gain and percentage increase of 68 bones, including 56 metatarsals and 12 proximal phalanges, were 13 (5-21) mm and 33 (11-65)% respectively. In 56 metatarsal lengthening procedures, length-gain averaging 14 (6-21) mm was obtained, equivalent to an increase of 32 (11-51%). For the 12 proximal phalangeal lengthening procedures, the corresponding figures were 8 (5-11) mm and 54 (47-65%). 11

The primary goal of treatment for 13 metatarsals and three proximal phalanges was to obtain a cosmetic result with restoration of a functional metatarsal parabola. When evaluating patients with this deformity, the number of affected rays was considered first, followed by the amount of required lengthening. 12 In cases of single ray involvement, the authors always tried to restore the normal length of the metatarsal. Shortening of an adjacent bone reduced target length and enabled them to carry out a one-stage lengthening instead of gradual distraction.

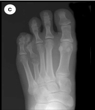
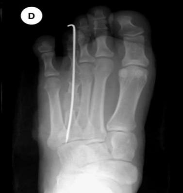
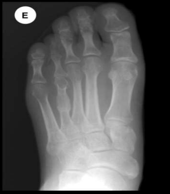
Fig: 1 The radiographs show an anteroposterior view of before and after operation of bone graft.

 

Average Length Percentage

Equivalent Length percentage

13 (5-21) % mm

33 (11-65) % mm

14 (6-21) % mm

32 (11-51) % mm

8 (5-11) % m

54 (47-65) % mm

 

In almost all cases of single ray involvement, the authors were able to lengthen the metatarsal by one-stage lengthening with intercalary bone graft without neurovascular impairment. If longer lengthening was required, they were able to restore normal ray length with concomitant proximal phalangeal lengthening without functional impairment, and gradual lengthening with callus distraction was not necessary. 13

Proximal phalangeal lengthening was effective to get a cosmetic (toe-tip) parbola when intraoperative gradual distraction of the metatarsal could not achieve a satisfactory ray length.14  Although it is ideal to accomplish both metatarsal and toe-tip parabolas, the authors believe that toe-tip parabola is more important than metatarsal head parabola to the patients, as most have no pain or functional problem with their disturbed metatarsal head parabola preoperatively and their concern is mainly cosmesis.

Intraoperative gradual distraction using the phenomenon of creep and stress relaxation has been found sufficient to gain up to 21 mm of lengthening. Cutting the adjacent deep transverse metatarsal ligaments were effective to gain more soft tissue release without noticeable adverse effects. 15 Gradual lengthening by callotasis can use more creep and stress relaxation than intraoperative gradient distraction, but the overall radiologic and clinical results of the two methods were comparable in terms of length gain, complications, cosmesis, and patient satisfaction.

 

Conclusion

Congenital brachymetatarsia can occasionally be difficult to treat, and there is a risk of several problems during or following surgery. Nonetheless, positive outcomes are possible if the surgical approach is properly customized to match the patient's expectations and overall foot appearance. Anticipated for the treatment of brachymetastasis congenita.

 

Reference

1.Urano Y, Kobayashi A. Bone-lengthening for shortness of the fourth toe. J. Bone Joint Surg. 60, 91–93 (1978).

2.McGlamry ED, Cooper CT. Brachymetatarsia: a surgical treatment. J. Am. Psycho. Anal. 59, 259–264 (1969).

3.Marcinko D, Rappaport M, Gordon S. Post-traumatic brachymetatarsia. J. Foot Surg. 23, 451–453 (1984).

4.Ferrandez L, Yubero J, Usabiaga J, Ramos L. Congenital brachymetatarsia: Three cases. Foot Ankle14, 529–533 (1993).

5.Kawashima T, Yamada A, Ueda K, Harii K: Treatment of brachymetatarsia by callus distraction (Callotasis). Ann. Plast. Surg. 32, 191–199 (1994).

6.Masuda T, Matoh N, Nakajima T, Tomi M, Ohba K. Treatment of brachymetatarsia using a semicircular lengthener. 1–3 years results in 6 patients. Acta Orthop. Scand.66, 43–46 (1995).

7.McGlamry ED, Banks AS, Downey MS. In: Comprehensive Textbook of Foot Surgery. Vol. 2, Second ed. Baltimore: Williams and Wilkins 1211–1231 (1992).

8.Takakura Y, Tanaka T, Fujii T, Tamai S. Lengthening of short great toes by callus distraction. J. Bone Joint Surg. 79, 955–958 (1997).

9.Masada K, Fujita S, Fuji T, Ohno H. Complications following metatarsal lengthening by callus distraction for brachymetatarsia. J. Pediatr. Orthop. 19, 394–397 (1999).

10.Wada A, Bensahel H, Takamura K, Fujii T, Yanagida H, Nakamura T. Metatarsal lengthening by callus distraction for brachymetatarsia. J. Pediatr. Orthop. 13, 206–210 (2004).

11.Fox IM. Treatment of brachymetatarsia by the callus distraction method. J. Foot Surg. 37, 391–395 (1998).

12.Goforth WP, Overbebeek TD. Brachymetatarsia of the third and fourth metatarsals. J. Am. Podiatr. Assoc. 91, 373–378 (2001).

13.Handelman RB, Perlman MD, Coleman WB. Brachymetatarsia: a review and case report. J. Am. Podiatr. Assoc. 76, 413–416 (1986).

14.Kim JS, Baek GH, Chung MS, Yoon PW. Multiple congenital brachymetatarsia. A one stage combined shortening and lengthening procedure without iliac bone graft. J. Bone Joint Surg. 86, 1013–1015 (2004).

15.Kim HT, Lee SH, Yoo CI, Kang JH, Suh JT. The management of brachymetatarsia. J. Bone Joint Surg. 85, 683–690 (2003).

Figure 1

Figure 2

Figure 3

Figure 4

antarmuka fokus mahjong daya pengguna aktifaws grid serasi mahjong dasar tahapan terjagaaws jejak mekanisme mahjong arah fase lanjutanaws kajian wild berantai mahjong interaktif analitisaws kesesuaian persentase layanan mahjong seluler lanceraws pendalaman persentase mahjong gerak wild mutakhircorak langka mahjong tumbuh perlahan berubahgerak mahjong adaptasi mekanisme pemakai sekarangnalar scatter mahjong malam putaran ekstratempo mahjong kaitan mekanisme keadaan terkinialur permainan mahjong cepat scatter wilddalam hitungan detik scatter wild mahjongmenyatukan naluri pola scatter hitam mahjongmomen mahjong permainan berbalik arahmomen singkat mahjong dinamika permainanperpaduan insting pola scatter hitam momentperubahan drastis mahjong ways scatter wildscatter wild mahjong datang polasekejap berubah scatter wild mahjong wayssensasi baru mahjong lebih scatter wildenergi scatter emas irama reel mahjongevolusi reel mahjong balutan mistisintervensi cepat emas momentum lamakemunculan mendadak naga emas mahjongketika scatter naga emas aktif mahjongnaga emas muncul arah spin mahjongnaga emas ritme mahjong ways berubahrahasia rtp tinggi balik scatter hitamsaat scatter naga emas alih irama reelscatter hitam kunci lonjakan rtp mahjonge5 scatter wild memberikan sentuhan baru di setiap spin mahjong ways 2e5 scatter wild menghidupkan suasana permainan mahjong ways 2e5 scatter wild mengubah pola permainan mahjong ways 2 secara signifikane5 setiap putaran mahjong ways 2 terasa berbeda dengan scatter wilde5 strategi adaptif berbasis analisis rtp hariane5 strategi berbasis data dan algoritma untuk analisis momentume5 strategi berkembang berkat data rtp hariane5 strategi memahami algoritma untuk mengidentifikasi momentum ideale5 strategi membaca pola algoritma demi menangkap momentum optimale5 strategi modern mengandalkan evaluasi rtp hariane5 strategi responsif dengan dukungan evaluasi rtp hariane5 strategi terukur dengan analisis rtp hariane5 struktur scatter dan wild terlihat jelas berkat analisis sistem moderne5 tanpa disadari kombinasi ini sering mengarah ke scatter di mahjong wins 3e5 teknik evaluasi algoritma untuk mendapatkan momentum yang tepate5 teknik observasi sistem untuk analisis momentum yang lebih presisie5 terungkap formasi ini sering jadi awal munculnya scatter di mahjong wins 3e5 transformasi digital rtp live berkat artificial intelligence inovatife5 transformasi ritme mahjong ways 2 dipicu oleh kekuatan scatter wilde5 wajib tahu pola tersembunyi ini sering menghasilkan scattere5 applee5 bananae5 candye5 doge5 eaglee5 falcone5 geminie5 horsee5 indiae5 japananalisa pola mahjong ways rutinanalisis kinerja heuristik variansi gameanalisis pola mahjong ways hariananalisis pola mahjong ways kebiasaanera baru mahjong wins bonus optimalgebrakan bonus mahjong wins mekanisme efisieninsight pola mahjong ways rutinkajian pola mahjong ways rutinkomparasi heuristik variansi game digitalledakan bonus mahjong wins sistem efektifmahjong wins bonus sistem generasi baruobservasi pola mahjong ways harianpendekatan algoritma heuristik variansi gameperbandingan model heuristik variansi gamerahasia bonus mahjong wins sistem cerdasrangkuman pola mahjong ways harianringkasan pola mahjong ways harianstudi pola mahjong ways hariantinjauan heuristik variansi game digitaltinjauan pola mahjong ways harianalur sombol mahjong kemunculan scatterdari rtp mahjong bermain lebih efektifjejak scatter mahjong putaran tenangkejutan scatter wild simbol mahjong arahkemunculan simbol ganda membuat mahjongketika grid mahjong scatter semakin dekatketika rtp mahjong pola mulai lebih jelasketika scatter wild ritme simbol mahjongketika scatter wild titik sesi mahjong waysketika susunan simbol mahjong ritme scattermemahami rtp mahjong cara bermain lebihpergerakan simbol mahjong scatter wildpergeseran mahjong ketika scatter hadirsaat rtp mahjong terbaca baik strategisaat scatter hadir simbol mahjong bergeserscatter wild dinamika simbol mahjongstabilitas putaran mahjong pola scattersusunan baru reel mahjong scatter emassusunan mahjong wins mengandung scattersusunan simbol mahjong diam pola scatterrm menguak keunikan mahjong wins sudut pandang teknisrm cara memahami pergerakan mahjong ways tenaga ekstrarm mahjong wins standar baru industri hiburan digitalrm rahasia ketahanan mahjong ways eksis gempuran gamerm pentingnya memahami transisi level mahjong wins mendalamrm strategi mengatur tempo mahjong ways kendali permainanrm peran kecerdasan buatan mekanisme mahjong wins adilrm alasan keberhasilan mahjong ways mencuri perhatian analisrm mempelajari struktur dasar mahjong wins efisiensi putaranrm inovasi desain mahjong ways kesan bermain responsifrm teknik observasi mahjong wins jarang dibahas dampakrm cara mempertahankan fokus dinamika mahjong ways cepatrm eksplorasi fitur tersembunyi mahjong wins ritme terbaikrm mahjong ways integrasi teknologi modern keamanan nyamanrm analisis faktor pendukung mahjong wins digemari generasirm langkah efektif menyesuaikan perubahan sistem mahjong waysrm mengintip proses pengembangan mahjong wins kualitas penggunarm analisis data membantu membaca arah mahjong waysrm menemukan titik temu insting logika mahjong winsrm transformasi besar mahjong ways menghadirkan tantangan menarikmengungkap simbol langka nasib drastismisteri besar kombinasi simbol langkamisteri simbol langka keberuntungan besarsimbol langka misterius ubah hiduprahasia simbol langka nasib cepattransformasi bonus mahjong wins sistem efektifmahjong wins suguhkan bonus sistem modernsuguhan bonus efisien mahjong winsefektivitas sistem bonus mahjong winsmahjong wins hadirkan bonus sistem optimaloke76cincinbetaqua365slot gacorstc76samurai76TOBA1131samurai76 login