An Unusual Presentation of Non-Small Cell Carcinoma of Lung

An Unusual Presentation of Non-Small Cell Carcinoma of Lung

Dr. Reuben Jacob *1, Dr. Midhun2, Dr. Kesavan V Nair3

1. Dr Reuben Jacob, Second Year M.D Respiratory Medicine Resident, Department of Respiratory Medicine, Sree Uthradom Thirunal Academy of Medical Sciences, Thiruvananthapuram, Kerala, India.

2. Dr Midhun J, DNB Respiratory Medicine, Senior Resident in the Department of Respiratory Medicine, Sree Uthradom Thirunal Academy of Medical Sciences, Thiruvananthapuram, Kerala, India.

3. Dr. Kesavan V Nair, Professor, Department of Respiratory Medicine, Sree Uthradom Thirunal Academy of Medical Sciences, Thiruvananthapuram, Kerala, India.

Correspondence to: Dr Reuben Jacob, Second Year M.D Respiratory Medicine Resident, Department of Respiratory Medicine, Sree Uthradom Thirunal Academy of Medical Sciences, Thiruvananthapuram, Kerala, India.

Copyright

© 2024 Dr. Reuben Jacob. This is an open access article distributed under the Creative Commons Attribution License, which permits unrestricted use, distribution, and reproduction in any medium, provided the original work is properly cited.

Received: 17 May 2024

Published: 03 June 2024

 

ABSTRACT

Introduction: Pulmonary adenocarcinoma is a type of lung cancer which is often misdiagnosed due to its unusual presentation mimicking both infectious and inflammatory diseases of the lung. In this case report we describe about the patient with lung adenocarcinoma who had a rapid deterioration in his respiratory status.

Case Description: 53-year-old male was referred to our centre as there was no radiological resolution after being treated for pneumonia. Chest X-ray later taken showed a classic ‘Golden S’ sign which raised a suspicion of malignancy later HRCT thorax showed a ‘bronchial cut off’ sign. Bronchoscopy biopsy confirmed Non-Small Cell Carcinoma- Adenocarcinomatous type.

Conclusion: This case stresses the importance of radiology in early diagnosis of bronchogenic carcinoma even from peripheral centres. Chest Xray still remains the key in arriving at a diagnosis in respiratory medicine.


An Unusual Presentation of Non-Small Cell Carcinoma of Lung

Introduction

Lung cancer, among the most common malignancies, is categorized into small-cell lung cancer (SCLC) and non-small-cell lung cancer (NSCLC), with the latter being more prevalent1. Pulmonary adenocarcinoma falls under the NSCLC category and is strongly linked to prior smoking. Typically located in the lung periphery, lung adenocarcinoma is often found in areas of scarring or chronic inflammation. It primarily originates in mucosal glands and constitutes approximately 40% of all lung malignancies2. The average age of diagnosis for lung adenocarcinoma is 71 years, and its occurrence before the age of 20 is uncommon.

 

Case Description

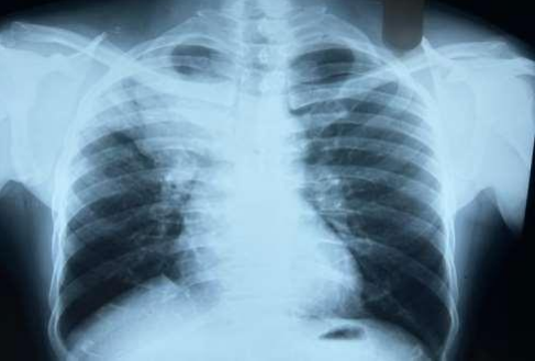
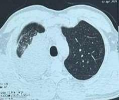
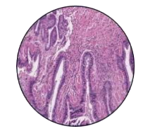
53-year-old male presented to a tertiary care centre elsewhere with complaints of high-grade fever not associated to chills/rigor, productive cough with copious amount of white coloured sputum, breathing difficulty on exertion MMRC Grade III, noisy breathing, chest pain and multiple episodes of haemoptysis. Patient had no other co-morbidities/symptoms of any chronic illness or any other contributary past history. After getting admitted and primary investigations, he was treated with IV antibiotics suspecting pneumonia. After 7 days of treatment patient was referred to our centre as there was no resolution. On clinical examination, patient had shift of trachea to the right side, dullness on percussion, bronchial breath sound and crepitations in the right infraclavicular area. Blood investigations showed leucocytosis (14,000/mm3), elevated levels of ESR (85mm/hr) and CRP (102mg/dl) with no other significant biochemical changes. Chest X-ray taken showed a collapse of the right upper lobe, with the classical ‘Golden S’ sign (figure 1) which raised a suspicion of right upper lobe mass. Further HRCT thorax was taken which showed a ‘bronchial cut off’ sign (figure 2) and an enhancing soft tissue lesion in the right upper lobe with encasement right pulmonary artery and bronchus (figure 3). Patient was taken up for bronchoscopy which showed a right upper lobe mass (figure 4). Bronchial brushings and biopsy (figure 5) were taken and samples were sent for Histopathological study which confirmed Non-Small Cell Carcinoma- Adenocarcinomatous type (figure 6).

 

Figure 1: Chest-Xray

Figure 2: CT image showing Bronchial cut-off sign

Figure 3: CT image showing right upper lobe mass

Figure 4: Bronchoscopy image showing right upper lobe mass

Figure 5: Bronchoscopy Biopsy

Figure 6: Histopathology

 

Discussion

Established risk factors for lung adenocarcinoma includes a family history of the disease, cigarette smoking, and exposure to occupational hazards. These factors contribute to genetic alterations in the p53 gene, observed in up to 52% of cases, leading to the development of non-small-cell lung cancer (NSCLC)3. Additional gene alterations, such as EGFR, KRAS, and ALK, are commonly associated with NSCLC4. Over the past four decades, there has been a notable increase in the incidence of lung adenocarcinoma among women, primarily attributed to smoking5. Approximately 2% to 5% of all lung cancer cases occur in individuals under 40 years old6. Among all lung cancer types, 85% are classified as non-small cell, comprising adenocarcinomas, squamous cell carcinomas, and giant cell undifferentiated carcinomas7. Lung adenocarcinoma may manifest as ground glass nodules, consolidative opacity, or solid mass lesions on computed tomography (CT)8. As the most prevalent type of lung cancer, adenocarcinoma is associated with tobacco use9,10. It is also frequently diagnosed in nonsmokers, especially women.


Conclusion

This case highlights the importance of radiology in early diagnosis of bronchogenic carcinoma. This simple investigation is available even in peripheral centres all over India. Though Roentgen introduced CXR way back in late 1890s, it still remains the key in arriving at a diagnosis in respiratory medicine.

 

Ethics Approval and Consent of Participation

Case report has been written after taking an informed consent from patient. The case report was an observational study and hence ethics committee approval has been waived off.

 

Consent for Participation

The authors are giving complete authorisation for the journal to publish the article under first and second author’s name in the journal.

 

Data and Material Availability

The data and material for the case report has been obtained from the patient with his consent.

 

Funding No grant or financial support taken from any outside sources.

Competing Interest No conflicts of interest.

 

Acknowledgements

1) Department Of Pathology, Sree Uthradom Thirunal Academy of Medical Sciences, Thiruvananthapuram, Kerala, India.

 2) Department Of Radiology, Sree Uthradom Thirunal Academy of Medical Sciences, Thiruvananthapuram, Kerala, India.

 

References

1. Myers DJ, Wallen JM. Lung Adenocarcinoma. [Updated 2023 Jun 12]. In: StatPearls [Internet]. Treasure Island (FL): StatPearls Publishing; 2023 Jan-. Available from: https://www.ncbi.nlm.nih.gov/books/NBK519578/

 2. Marin AC, Prasad A, Patel V, Lwoodsky C, Hechter S, Imtiaz A, Patel P, Shah V, Appiah J, Cheriyath P. Pulmonary Adenocarcinoma Mimicking Pneumonia in a Young Adult. Cureus. 2023 Feb 21;15(2):e35267. doi: 10.7759/cureus.35267. PMID: 36968868; PMCID: PMC10035766.

3. Noninvasive pulmonary nodule characterization using transcutaneous bioconductance: preliminary results of an observational study. Gariani J, Martin SP, Hachulla AL, et al. Medicine (Baltimore) 2018;97:0. [PMC free article] [PubMed] [Google Scholar]

4. Yang S, Yu X, Fan Y, Shi X, Jin Y. Clinicopathologic characteristics and survival outcome in patients with advanced lung adenocarcinoma and KRAS mutation. J Cancer. 2018;9(16):2930-2937. [PMC free article] [PubMed]

5. High incidence of EGFR mutations in pneumonic-type non-small cell lung cancer. Liu J, Shen J, Yang C, He P, Guan Y, Liang W, He J. Medicine (Baltimore) 2015;94:0. [PMC free article] [PubMed] [Google Scholar]

6. Lung cancer in patients under the age of 40 years. Kozielski J, Kaczmarczyk G, Por?bska I, Szmygin-Milanowska K, Go?ecki M. Contemp Oncol (Pozn) 2012;16:413–415. [PMC free article] [PubMed] [Google Scholar]

7. Classification and pathology of lung cancer. Zheng M. Surg Oncol Clin N Am. 2016;25:447–468. [PubMed] [Google Scholar]

8. Stark P. High Resolution Computed Tomography of the Lungs. UptoDate. 2022. https://www.uptodate.com/contents/high-resolution-computed-tomography-of-the-lungs#!

9. Paliwal P, Rajappa S, Santa A, Mohan M, Murthy S, Lavanya N. Clinical profile and outcomes of patients with Stage IV adenocarcinoma of lung: A tertiary cancer center experience. Indian J Cancer. 2017 Jan-Mar;54(1):197-202. [PubMed]

10. Rami-Porta R, Call S, Dooms C, Obiols C, Sánchez M, Travis WD, Vollmer I. Lung cancer staging: a concise update. Eur Respir J. 2018 May;51(5) [PubMed].

Figure 1

Figure 2

Figure 3

Figure 4

Figure 5

Figure 6

antarmuka fokus mahjong daya pengguna aktifaws grid serasi mahjong dasar tahapan terjagaaws jejak mekanisme mahjong arah fase lanjutanaws kajian wild berantai mahjong interaktif analitisaws kesesuaian persentase layanan mahjong seluler lanceraws pendalaman persentase mahjong gerak wild mutakhircorak langka mahjong tumbuh perlahan berubahgerak mahjong adaptasi mekanisme pemakai sekarangnalar scatter mahjong malam putaran ekstratempo mahjong kaitan mekanisme keadaan terkinialur permainan mahjong cepat scatter wilddalam hitungan detik scatter wild mahjongmenyatukan naluri pola scatter hitam mahjongmomen mahjong permainan berbalik arahmomen singkat mahjong dinamika permainanperpaduan insting pola scatter hitam momentperubahan drastis mahjong ways scatter wildscatter wild mahjong datang polasekejap berubah scatter wild mahjong wayssensasi baru mahjong lebih scatter wildenergi scatter emas irama reel mahjongevolusi reel mahjong balutan mistisintervensi cepat emas momentum lamakemunculan mendadak naga emas mahjongketika scatter naga emas aktif mahjongnaga emas muncul arah spin mahjongnaga emas ritme mahjong ways berubahrahasia rtp tinggi balik scatter hitamsaat scatter naga emas alih irama reelscatter hitam kunci lonjakan rtp mahjonge5 scatter wild memberikan sentuhan baru di setiap spin mahjong ways 2e5 scatter wild menghidupkan suasana permainan mahjong ways 2e5 scatter wild mengubah pola permainan mahjong ways 2 secara signifikane5 setiap putaran mahjong ways 2 terasa berbeda dengan scatter wilde5 strategi adaptif berbasis analisis rtp hariane5 strategi berbasis data dan algoritma untuk analisis momentume5 strategi berkembang berkat data rtp hariane5 strategi memahami algoritma untuk mengidentifikasi momentum ideale5 strategi membaca pola algoritma demi menangkap momentum optimale5 strategi modern mengandalkan evaluasi rtp hariane5 strategi responsif dengan dukungan evaluasi rtp hariane5 strategi terukur dengan analisis rtp hariane5 struktur scatter dan wild terlihat jelas berkat analisis sistem moderne5 tanpa disadari kombinasi ini sering mengarah ke scatter di mahjong wins 3e5 teknik evaluasi algoritma untuk mendapatkan momentum yang tepate5 teknik observasi sistem untuk analisis momentum yang lebih presisie5 terungkap formasi ini sering jadi awal munculnya scatter di mahjong wins 3e5 transformasi digital rtp live berkat artificial intelligence inovatife5 transformasi ritme mahjong ways 2 dipicu oleh kekuatan scatter wilde5 wajib tahu pola tersembunyi ini sering menghasilkan scattere5 applee5 bananae5 candye5 doge5 eaglee5 falcone5 geminie5 horsee5 indiae5 japananalisa pola mahjong ways rutinanalisis kinerja heuristik variansi gameanalisis pola mahjong ways hariananalisis pola mahjong ways kebiasaanera baru mahjong wins bonus optimalgebrakan bonus mahjong wins mekanisme efisieninsight pola mahjong ways rutinkajian pola mahjong ways rutinkomparasi heuristik variansi game digitalledakan bonus mahjong wins sistem efektifmahjong wins bonus sistem generasi baruobservasi pola mahjong ways harianpendekatan algoritma heuristik variansi gameperbandingan model heuristik variansi gamerahasia bonus mahjong wins sistem cerdasrangkuman pola mahjong ways harianringkasan pola mahjong ways harianstudi pola mahjong ways hariantinjauan heuristik variansi game digitaltinjauan pola mahjong ways harianalur sombol mahjong kemunculan scatterdari rtp mahjong bermain lebih efektifjejak scatter mahjong putaran tenangkejutan scatter wild simbol mahjong arahkemunculan simbol ganda membuat mahjongketika grid mahjong scatter semakin dekatketika rtp mahjong pola mulai lebih jelasketika scatter wild ritme simbol mahjongketika scatter wild titik sesi mahjong waysketika susunan simbol mahjong ritme scattermemahami rtp mahjong cara bermain lebihpergerakan simbol mahjong scatter wildpergeseran mahjong ketika scatter hadirsaat rtp mahjong terbaca baik strategisaat scatter hadir simbol mahjong bergeserscatter wild dinamika simbol mahjongstabilitas putaran mahjong pola scattersusunan baru reel mahjong scatter emassusunan mahjong wins mengandung scattersusunan simbol mahjong diam pola scatterrm menguak keunikan mahjong wins sudut pandang teknisrm cara memahami pergerakan mahjong ways tenaga ekstrarm mahjong wins standar baru industri hiburan digitalrm rahasia ketahanan mahjong ways eksis gempuran gamerm pentingnya memahami transisi level mahjong wins mendalamrm strategi mengatur tempo mahjong ways kendali permainanrm peran kecerdasan buatan mekanisme mahjong wins adilrm alasan keberhasilan mahjong ways mencuri perhatian analisrm mempelajari struktur dasar mahjong wins efisiensi putaranrm inovasi desain mahjong ways kesan bermain responsifrm teknik observasi mahjong wins jarang dibahas dampakrm cara mempertahankan fokus dinamika mahjong ways cepatrm eksplorasi fitur tersembunyi mahjong wins ritme terbaikrm mahjong ways integrasi teknologi modern keamanan nyamanrm analisis faktor pendukung mahjong wins digemari generasirm langkah efektif menyesuaikan perubahan sistem mahjong waysrm mengintip proses pengembangan mahjong wins kualitas penggunarm analisis data membantu membaca arah mahjong waysrm menemukan titik temu insting logika mahjong winsrm transformasi besar mahjong ways menghadirkan tantangan menarikmengungkap simbol langka nasib drastismisteri besar kombinasi simbol langkamisteri simbol langka keberuntungan besarsimbol langka misterius ubah hiduprahasia simbol langka nasib cepattransformasi bonus mahjong wins sistem efektifmahjong wins suguhkan bonus sistem modernsuguhan bonus efisien mahjong winsefektivitas sistem bonus mahjong winsmahjong wins hadirkan bonus sistem optimaloke76cincinbetaqua365slot gacorstc76samurai76TOBA1131samurai76 login