Synchronous Endometrial and Ovarian Carcinoma-A Case Report

Synchronous Endometrial and Ovarian Carcinoma-A Case Report

Dr Poojashree K S *

 

*Correspondence to: Dr Poojashree K S, DMRT DNB Radiation Oncology, Cytecare Hospitals, Bengaluru.

Copyright.

© 2024 Dr Poojashree K S. This is an open access article distributed under the Creative Commons Attribution   License, which permits unrestricted use, distribution, and reproduction in any medium, provided the original work is properly cited.

Received: 14 June 2024

Published: 01 July 2024


Abstract

Synchronous Endometrial and Ovarian cancer (SEOC) is defined as the simultaneous presence of these two cancers at the time of diagnosis as opposed to metachronous cancer where these two cancers are diagnosed at different chronologic time points. Synchronous malignancies in the female genital tract are very rare entities (0.5-1.7%). Among them, synchronous endometrial and ovarian tumors are the most common types of malignancy, with a frequency of 5% among endometrial and 10% among ovarian primary tumors. A 27 years old female unmarried and nulliparous, presented to our hospital with mass per abdomen since 2 months. History of occasional dull aching pain and occasional low back ache since 2-3 months. Evaluated for the above complaints, diagnosed to have Synchronous Endometrial and Ovarian Carcinoma. All the biochemical parameters are within acceptable limits. Underwent Fertility sparing surgery, followed by adjuvant chemotheray and radiotherapy given.

Key Words: Synchronous endometrial and ovarian cancer, Radiotherapy, brachytherapy.


Synchronous Endometrial and Ovarian Carcinoma-A Case Report

Introduction

Synchronous endometrial and ovarian cancer (SEOC) is defined as the simultaneous presence of these two cancers at the time of diagnosis as opposed to metachronous cancer where these two cancers are diagnosed at different chronologic time points.1 Synchronous malignancies in the female genital tract are very rare entities (0.5-1.7%). Among them, synchronous endometrial and ovarian tumors are the most common types of malignancy, with a frequency of 5% among endometrial and 10% among ovarian primary tumors.2

Synchronous endometrial and ovarian tumors are rare variants of gynecological cancers, and they must be differentiated from either primary endometrium or ovarian tumors with metastasis. The landmark criteria have been laid down by Ulbright and Roth, and later refined substantially by Scully et al.3

Obesity has resulted in changing trends of endometrial disease, resulting in a gradual increase in the incidence of the disease in the past few decades. Menopausal hormonal therapy as well as the use of oral contraceptives have caused a steady fall in the incidence of ovarian cancer. Many theories have been proposed about these relative proportions of synchronous tumors, which include changing demographic trends and the introduction of diagnostic criteria in 1980, which was adopted by many centers in later years.4

 Factors such as obesity, nulliparity, and comparatively younger age may attribute a “hormonal field effect” to the development of synchronous endometrioid cancers. The morphological unit consisting of the uterus, fallopian tubes, and ovary as part of the Mullerian system may explain the synchronous appearance of these malignancies. Niskakoski et al have suggested a shared origin of synchronous endometrial and ovarian carcinoma in Lynch syndrome (LS), indicating converging pathways of tumorigenesis. L1 cell adhesion molecule (L1CAM) over expression was significantly common (43%) among synchronous patients. The mentioned case reported here was diagnosed after the patient underwent surgical staging for endometrial cancer.5

 

Case Report

A 27 years old female unmarried and nulliparous, presented with mass per abdomen since 2- months. History of occasional dull aching pain and occasional low back ache since 2-3 months. Evaluated in our hospital for the same diagnosed to have Synchronous Endometrial and Ovarian Carcinoma. All the biochemical parameters are within acceptable limits.

CT abdomen abdomen and pelvis showed well defined solid cystic lesion in right adnexa 12.5x7.8x9.7cm, solid component measuring 6.6x 7.6x 3cm, abutting right External iliac vessels, mid/distal ureters, and psoas, adjacent bowel loops - likely neoplastic etiology. Minimal free fluid.Serum CA125 concentration was- 297 U/mL (normal range <35 U/mL). CEA, AFP, Beta hCG, LDH - within normal limits.

She underwent Laparotomy and adhesiolysis and right salphingo-ovariotomy and frozen section and proceeded with fertility sparing surgical staging – omentectomy and right pelvic lymph node debulking and peritoneal cytology sampling done.Frozen section suggestive of malignant ovarian tumour.

Pathological findings shows- Endometroid Adenocarcinoma. Peritoneral omental fluid shows few malignant cells. Overall suggestive of Carcinoma Ovary stage IC with Endometrium Mucinous differentiation. Omentum

 

- Free.Lymph Nodes- 8 lymph nodes identified, all free. Few Lymph nodes show endometriosis. Peritoneal Fluid showed positive for malignant cells.

She is planned for Chemotherapy with Paclitaxel and Carboplatin (3 weekly) for 6 cycles. Received 3 cycles of adjuvant chemotherapy. She underwent Completion surgery for carcinoma ovary - laparoscopic adhesiolysis and total laparoscopic hysterectomy and left adnexectomy. Received three more cycles of adjuvant chemotherapy.

Pathology findings suggestive of Features are those of well differentiated endometrioid carcinoma, NOS -Uterus. Tumor is infiltrating less than half of total myometrial thickness. Numerous lymphovascular invasion seen. Histologic Grade: International Federation of Gynecology and Obstetrics (FIGO) Grading System - FIGO grade 1. Myometrial Invasion: Present.

 

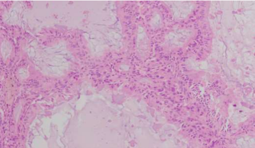
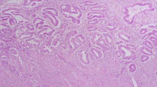
H and E images showing endometrial glands crowded and superficial invasion of myometrium

H and E images showing endometroid carcinoma with central mucin present.

 

After explaining diagnosis treatment outcomes acute and late side effects and consent is taken for Radiotherapy. She was planned and was treated to the planned target volume (External Beam Radiotherapy) to a dose of 4500cGy in 25 fractions along with adequate PTV margins by maintaining Organs at Risk according to the QUANTEC guidelines

She tolerated the treatment well without significant Radiation toxicities. Received adjuvant brachtherapy (HDR Intravaginal brachytherapy) prescribed to the vaginal surface to the dose of 1800cGy in 3 fractions.

 

Figure 1, Figure 2

 

Discussion

Synchronous endometrial and ovarian tumors are rare variants of gynecological cancers, and they must be differentiated from either primary endometrium or ovarian tumors with metastasis. The landmark criteria have been laid down by Ulbright and Roth, and later refined substantially by Scully et al.6

SEOCs are characterized by histological dissimilarity of the tumors, no or only superficial myometrial invasion of endometrial cancer, no vascular space invasion of endometrial and ovarian tumor, absence of other evidence of spread, ovarian unilateral tumor, ovarian tumor in the parenchyma and without involvement of the surface of the ovary, dissimilarity of molecular genetic or karyotypic abnormalities in the tumors, and different ploidy of DNA of the tumors.9 Young age, obesity, pre-menopausal status, and nulliparity were the distinct features among this rare entity. Three cases in perimenopausal and post menopausal age group has been reported by gynecological oncology unit at “Attikon” University Hospital, National University of Athens, Greece to be synchronous endometrioid endometrial and ovarian cancer.10

 

Conclusion

Synchronous endometrial and ovarian tumors are rare variants of gynecological cancers, and they must be differentiated from either primary endometrium or ovarian tumors with metastasis. The landmark criteria for diagnosing such cases have been laid down by Ulbright and Roth. Molecular biomarkers required for further identification and characterstics behind the pathogenesis of Synchronous endometrial and ovarian tumors.

 

References

1. Ree YS, Cho SH, Kim SR, Cho SH, Kim KT, Park MH. Synchronous primary endometrial and ovarian cancer with three different histologic patterns: a case report. Int J Gynecol Cancer. 2003; 13(5): 678-682.

2. Wang T, Zhang X, Lu Z, Wang J, Hua K. Comparison and analysis of the clinicopathological features of SCEO and ECOM. J Ovarian Res. 2019; 12(1): 10.

3. Grammatoglou X, Skafida E, Glava C, Katsamagkou E, Delliou E, Vasilakaki T. Synchronous endometrioid carcinoma of the uterine corpus and ovary. A case report and review of the literature. Eur J Gynaecol Oncol. 2009; 30(4): 437-439.

4. Makris GM, Manousopoulou G, Battista MJ, Salloum I, Chrelias G, Chrelias C. Synchronous endometrial and ovarian carcinoma: a case series. Case Rep Oncol. 2017; 10(2): 732-736.

5. Liu Y, Li J, Jin H, Lu Y, Lu X. Clinicopathological characteristics of patients with synchronous primary endometrial and ovarian cancers: a review of 43 cases. Oncol Lett. 2013; 5(1): 267-270.

6. Moro F, Leombroni M, Pasciuto T, et al. Synchronous primary cancers of endometrium and ovary vs endometrial cancer with ovarian metastasis: an observational study. Ultrasound Obstet Gynecol. 2019; 53(6): 827-835.

7. D?bska-Szmich S, Czernek U, Krakowska M, et al. Synchronous primary ovarian and endometrial cancers: a series of cases and a review of literature. Prz Menopauzalny. 2014; 13(1): 64-69.

8. Soliman PT, Slomovitz BM, Broaddus RR, et al. Synchronous primary cancers of the endometrium and ovary: a single institution review of 84 cases. Gynecol Oncol. 2004; 94(2): 456-462.

9. Song T, Seong SJ, Bae DS, et al. Prognostic factors in women with synchronous endometrial and ovarian cancers. Int J Gynecol Cancer. 2014; 24(3): 520-527.

Figure 1

Figure 2

antarmuka fokus mahjong daya pengguna aktifaws grid serasi mahjong dasar tahapan terjagaaws jejak mekanisme mahjong arah fase lanjutanaws kajian wild berantai mahjong interaktif analitisaws kesesuaian persentase layanan mahjong seluler lanceraws pendalaman persentase mahjong gerak wild mutakhircorak langka mahjong tumbuh perlahan berubahgerak mahjong adaptasi mekanisme pemakai sekarangnalar scatter mahjong malam putaran ekstratempo mahjong kaitan mekanisme keadaan terkinialur permainan mahjong cepat scatter wilddalam hitungan detik scatter wild mahjongmenyatukan naluri pola scatter hitam mahjongmomen mahjong permainan berbalik arahmomen singkat mahjong dinamika permainanperpaduan insting pola scatter hitam momentperubahan drastis mahjong ways scatter wildscatter wild mahjong datang polasekejap berubah scatter wild mahjong wayssensasi baru mahjong lebih scatter wildenergi scatter emas irama reel mahjongevolusi reel mahjong balutan mistisintervensi cepat emas momentum lamakemunculan mendadak naga emas mahjongketika scatter naga emas aktif mahjongnaga emas muncul arah spin mahjongnaga emas ritme mahjong ways berubahrahasia rtp tinggi balik scatter hitamsaat scatter naga emas alih irama reelscatter hitam kunci lonjakan rtp mahjonge5 scatter wild memberikan sentuhan baru di setiap spin mahjong ways 2e5 scatter wild menghidupkan suasana permainan mahjong ways 2e5 scatter wild mengubah pola permainan mahjong ways 2 secara signifikane5 setiap putaran mahjong ways 2 terasa berbeda dengan scatter wilde5 strategi adaptif berbasis analisis rtp hariane5 strategi berbasis data dan algoritma untuk analisis momentume5 strategi berkembang berkat data rtp hariane5 strategi memahami algoritma untuk mengidentifikasi momentum ideale5 strategi membaca pola algoritma demi menangkap momentum optimale5 strategi modern mengandalkan evaluasi rtp hariane5 strategi responsif dengan dukungan evaluasi rtp hariane5 strategi terukur dengan analisis rtp hariane5 struktur scatter dan wild terlihat jelas berkat analisis sistem moderne5 tanpa disadari kombinasi ini sering mengarah ke scatter di mahjong wins 3e5 teknik evaluasi algoritma untuk mendapatkan momentum yang tepate5 teknik observasi sistem untuk analisis momentum yang lebih presisie5 terungkap formasi ini sering jadi awal munculnya scatter di mahjong wins 3e5 transformasi digital rtp live berkat artificial intelligence inovatife5 transformasi ritme mahjong ways 2 dipicu oleh kekuatan scatter wilde5 wajib tahu pola tersembunyi ini sering menghasilkan scattere5 applee5 bananae5 candye5 doge5 eaglee5 falcone5 geminie5 horsee5 indiae5 japananalisa pola mahjong ways rutinanalisis kinerja heuristik variansi gameanalisis pola mahjong ways hariananalisis pola mahjong ways kebiasaanera baru mahjong wins bonus optimalgebrakan bonus mahjong wins mekanisme efisieninsight pola mahjong ways rutinkajian pola mahjong ways rutinkomparasi heuristik variansi game digitalledakan bonus mahjong wins sistem efektifmahjong wins bonus sistem generasi baruobservasi pola mahjong ways harianpendekatan algoritma heuristik variansi gameperbandingan model heuristik variansi gamerahasia bonus mahjong wins sistem cerdasrangkuman pola mahjong ways harianringkasan pola mahjong ways harianstudi pola mahjong ways hariantinjauan heuristik variansi game digitaltinjauan pola mahjong ways harianalur sombol mahjong kemunculan scatterdari rtp mahjong bermain lebih efektifjejak scatter mahjong putaran tenangkejutan scatter wild simbol mahjong arahkemunculan simbol ganda membuat mahjongketika grid mahjong scatter semakin dekatketika rtp mahjong pola mulai lebih jelasketika scatter wild ritme simbol mahjongketika scatter wild titik sesi mahjong waysketika susunan simbol mahjong ritme scattermemahami rtp mahjong cara bermain lebihpergerakan simbol mahjong scatter wildpergeseran mahjong ketika scatter hadirsaat rtp mahjong terbaca baik strategisaat scatter hadir simbol mahjong bergeserscatter wild dinamika simbol mahjongstabilitas putaran mahjong pola scattersusunan baru reel mahjong scatter emassusunan mahjong wins mengandung scattersusunan simbol mahjong diam pola scatterrm menguak keunikan mahjong wins sudut pandang teknisrm cara memahami pergerakan mahjong ways tenaga ekstrarm mahjong wins standar baru industri hiburan digitalrm rahasia ketahanan mahjong ways eksis gempuran gamerm pentingnya memahami transisi level mahjong wins mendalamrm strategi mengatur tempo mahjong ways kendali permainanrm peran kecerdasan buatan mekanisme mahjong wins adilrm alasan keberhasilan mahjong ways mencuri perhatian analisrm mempelajari struktur dasar mahjong wins efisiensi putaranrm inovasi desain mahjong ways kesan bermain responsifrm teknik observasi mahjong wins jarang dibahas dampakrm cara mempertahankan fokus dinamika mahjong ways cepatrm eksplorasi fitur tersembunyi mahjong wins ritme terbaikrm mahjong ways integrasi teknologi modern keamanan nyamanrm analisis faktor pendukung mahjong wins digemari generasirm langkah efektif menyesuaikan perubahan sistem mahjong waysrm mengintip proses pengembangan mahjong wins kualitas penggunarm analisis data membantu membaca arah mahjong waysrm menemukan titik temu insting logika mahjong winsrm transformasi besar mahjong ways menghadirkan tantangan menarikmengungkap simbol langka nasib drastismisteri besar kombinasi simbol langkamisteri simbol langka keberuntungan besarsimbol langka misterius ubah hiduprahasia simbol langka nasib cepattransformasi bonus mahjong wins sistem efektifmahjong wins suguhkan bonus sistem modernsuguhan bonus efisien mahjong winsefektivitas sistem bonus mahjong winsmahjong wins hadirkan bonus sistem optimaloke76cincinbetaqua365slot gacorstc76samurai76TOBA1131samurai76 login