Fielder Fc to Navigate Acute Angle Bifurcations.

Fielder Fc to Navigate Acute Angle Bifurcations.

Dr Anand R Shenoy *1, Dr Kishan Raj K 2, Dr Suraj Sudhish Palavilayil 3

1. Dr Anand R Shenoy, MBBS, MD, DM, FICC, FSCAI, MEAPCI, FESC, FACC, and FRCP (ED), Dept Of Cardiology, Consultant Intervventional Cardiology, Manipal Hospitals, Old Airport Road, Bengaluru, Karnataka, India- 560017.

2. Dr Kishan Raj K, MBBS, MD, DrNB Cardiology Resident, Manipal Hospitals, Old Airport Road, Bengaluru, Karnataka, India- 560017.

3. Dr Suraj Sudhish Palavilayil, MBBS, Manipal Hospitals, Old Airport Road, Bengaluru, Karnataka, India- 560017.

 

*Correspondence to: Dr Anand R Shenoy, MBBS, MD, DM, FICC, FSCAI, MEAPCI, FESC, FACC, and FRCP (ED), Dept Of Cardiology, Consultant Intervventional Cardiology, Manipal Hospitals, Old Airport Road, Bengaluru, Karnataka, India- 560017.

Copyright

© 2024 Dr Anand R Shenoy. This is an open access article distributed under the Creative Commons Attribution License, which permits unrestricted use, distribution, and reproduction in any medium, provided the original work is properly cited.

Received: 18 June 2024                       

Published: 01 July 2024


Abstract

Guidewire manipulation to negotiate branches originating at an acute angle from the parent artery is a frequently encountered challenge by the interventional cardiologist in clinical practice. To date, several methods have been developed, but none of them have a definitive success rate.

We hereby present 2 cases; one with acute angled early bifurcating RCA with lesion near bifurcation and another case with acute angled and tortuous LAD, which were stented successfully with the help of Fielder FC wire to help in manoeuvring the arteries without which crossing the lesion would have been a rather difficult task.

With this we would like to emphasise on the need for proper wiring technique in acute angled as well as tortuous arteries to prevent complications as well as to help ease the procedure itself.

KEY WORDS: Fielder FC wire, vascular bifurcations, Tortuous vessels


Fielder Fc to Navigate Acute Angle Bifurcations.

Introduction

Percutaneous coronary intervention (PCI) provides a significant challenge in negotiating acute-angle bifurcations even for the considerably skilled interventionist, and significant angulations are a predictor of procedural failures and complications. To date, several methods have been developed, but none of them have a definitive success rate. Fielder FC guidewire is associated with a relatively shorter procedure time and lower contrast amount, as Fielder FC guidewire could cross these lesions with ease compared to other guidewires. The quantum of contrast media is closely related to the incidence of CIN, and several studies have shown that the volume of contrast media is an independent risk factor for the development of contrast-induced acute kidney injury


Case Report

Case 1

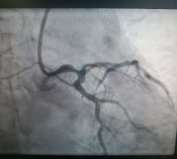
60 year old male known diabetic, hypertensive and dyslipidaemic presented with unstable angina, Coronary angiogram revealed Mid RCA pre crux lesion of 80-90% stenosis and PDA and PLV arising from Mid RCA (Fig 1). It was an angulated bend post bifurcation and hence Fielder FC wire support was taken to easily manipulate the vascular bifurcation (Fig 2) and successful PTCA+ stent to Mid RCA was done with 3x24mm Yukon choice flex stent (Fig 3& 4). TIMI III flow was achieved and post procedure period was uneventful.

FIG 1: Early bifurcating dominant RCA, Pre crux 90% stenotic lesion, with acute angled bifurcation

FIG 2: Successful manoeuvring of Fielder FC through the bifurcation to PLV

FIG 3: Stent deployment

FIG 4: Final Shot

 

Case 2

77 year old male presented with Effort angina, TMT positive for inducible ischemia, Old AWMI (2014) with EF 44%- Details of the same not known, Coronary angiogram revealed Double Vessel Disease with proximal LAD 90% stenosis and RCA 50-60% stenosis. LAD had a tortuous course with an acute angled bifurcation from Left Main artery (Fig 5 & 6). He underwent successful PTCA+ Stent to LAD with 3x18mm Yukon choice flex stent done with the help of  0.014x180cm Fielder FC wire and guide plus II (Fig 8). LCx was also stented with 2.75x16mm Yukon choice flex stent without any difficulty.

 

FIG 5 & 6: Tortuous and acute angled LAD

FIG 7: Navigating Fielder FC

FIG 8: Stent Placement Using Guideliner Support

 

Discussion

Coronary bifurcation lesions are found in approximately 15% to 20% of PCIs, and they have been shown to be associated with lower procedural success rates compared with non-bifurcation lesions.1

Successful wiring to approach branches is essential for a successful percutaneous coronary intervention (PCI) of bifurcation lesions.2,3 However, wiring of side branches with an extremely angulated take-off can be challenging, as the wire is prone to prolapse into non-targeted branches if a conventional wiring technique is used. For such lesions, the double-lumen Crusade catheter (Kaneka, Osaka, Japan) is commonly used.

Similarity between both of our cases were that both were tortuous and acute bifurcation vessels which required special hardware to manoeuvre. Case 1 had lesion pre bifurcation where as Case 2 had lesion post bifurcation. Post bifurcation lesion could be stented only with the help of microcatheter to manoeuvre through the acute angle.

Fielder guidewires come with a tip load of 0.8 gf with Hydrophilic coating over polymer jacket of about 16cm. It has excellent torquability and is easy to manoeuvre across difficult lesions and tortuous arteries.

The use of plastic-jacket hydrophilic wires is reasonable for this procedure, because they offer both good controllability for engaging the ostium of extremely angulated branches and better trackability for advancement deep into the vessel because of lower resistance, even under conditions of poor pushability. Kawasaki et al succeeded in treating an ostial LAD, which bifurcated at an acute angle from the LMT, using a bare wire.4

Conventional wiring is almost impossible for some extremely angulated lesions, even with the support of a Crusade catheter. According to in vitro bench tests, when the bifurcation angle is larger than 150°, the wire cannot approach the branch using a conventional antegrade wiring technique even under the support of a Crusade catheter.5

We have presented here two cases with almost 150 degree angulation which we had wired in conventional antegrade wiring technique, this is very difficult and needs certain expertise to manoeuvre the same.

In conclusion, the right hardware in the hands of a skilful operator is the recipe for success in interventional cardiology.


Reference                                                                                                    
1. Louvard Y, Lefevre T, Morice MC. Percutaneous coronary intervention for bifurcation coronary disease. Heart. 2004;90:713–722

2.  Su MI, Chen CY, Yeh HI, Wang KT. Concise review of optical coherence tomography in clinical practice. Acta Cardiol Sin. 2016;32:381–386

3. Zhang L, Zhong W, Luo Y, Chen L. A pilot study on culottes versus crossover single stenting for true coronary bifurcation lesions. Acta Cardiol Sin. 2016;32:450–459

4. Kawasaki T, Koga H, Serikawa T. New bifurcation guidewire technique: a reversed guidewire technique for extremely angulated bifurcation — a case report. Catheter Cardiovasc Interv. 2008;71(1):73-76.

5. Watanabe S, Saito N, Bao B, et al. Microcatheter-facilitated reverse wire technique for side branch wiring in bifurcated vessels: an in vitro evaluation. EuroIntervention. 2013;9:870–877.

Figure 1

Figure 2

Figure 3

Figure 4

Figure 5

Figure 6

Figure 7

Figure 8

antarmuka fokus mahjong daya pengguna aktifaws grid serasi mahjong dasar tahapan terjagaaws jejak mekanisme mahjong arah fase lanjutanaws kajian wild berantai mahjong interaktif analitisaws kesesuaian persentase layanan mahjong seluler lanceraws pendalaman persentase mahjong gerak wild mutakhircorak langka mahjong tumbuh perlahan berubahgerak mahjong adaptasi mekanisme pemakai sekarangnalar scatter mahjong malam putaran ekstratempo mahjong kaitan mekanisme keadaan terkinialur permainan mahjong cepat scatter wilddalam hitungan detik scatter wild mahjongmenyatukan naluri pola scatter hitam mahjongmomen mahjong permainan berbalik arahmomen singkat mahjong dinamika permainanperpaduan insting pola scatter hitam momentperubahan drastis mahjong ways scatter wildscatter wild mahjong datang polasekejap berubah scatter wild mahjong wayssensasi baru mahjong lebih scatter wildenergi scatter emas irama reel mahjongevolusi reel mahjong balutan mistisintervensi cepat emas momentum lamakemunculan mendadak naga emas mahjongketika scatter naga emas aktif mahjongnaga emas muncul arah spin mahjongnaga emas ritme mahjong ways berubahrahasia rtp tinggi balik scatter hitamsaat scatter naga emas alih irama reelscatter hitam kunci lonjakan rtp mahjonge5 scatter wild memberikan sentuhan baru di setiap spin mahjong ways 2e5 scatter wild menghidupkan suasana permainan mahjong ways 2e5 scatter wild mengubah pola permainan mahjong ways 2 secara signifikane5 setiap putaran mahjong ways 2 terasa berbeda dengan scatter wilde5 strategi adaptif berbasis analisis rtp hariane5 strategi berbasis data dan algoritma untuk analisis momentume5 strategi berkembang berkat data rtp hariane5 strategi memahami algoritma untuk mengidentifikasi momentum ideale5 strategi membaca pola algoritma demi menangkap momentum optimale5 strategi modern mengandalkan evaluasi rtp hariane5 strategi responsif dengan dukungan evaluasi rtp hariane5 strategi terukur dengan analisis rtp hariane5 struktur scatter dan wild terlihat jelas berkat analisis sistem moderne5 tanpa disadari kombinasi ini sering mengarah ke scatter di mahjong wins 3e5 teknik evaluasi algoritma untuk mendapatkan momentum yang tepate5 teknik observasi sistem untuk analisis momentum yang lebih presisie5 terungkap formasi ini sering jadi awal munculnya scatter di mahjong wins 3e5 transformasi digital rtp live berkat artificial intelligence inovatife5 transformasi ritme mahjong ways 2 dipicu oleh kekuatan scatter wilde5 wajib tahu pola tersembunyi ini sering menghasilkan scattere5 applee5 bananae5 candye5 doge5 eaglee5 falcone5 geminie5 horsee5 indiae5 japananalisa pola mahjong ways rutinanalisis kinerja heuristik variansi gameanalisis pola mahjong ways hariananalisis pola mahjong ways kebiasaanera baru mahjong wins bonus optimalgebrakan bonus mahjong wins mekanisme efisieninsight pola mahjong ways rutinkajian pola mahjong ways rutinkomparasi heuristik variansi game digitalledakan bonus mahjong wins sistem efektifmahjong wins bonus sistem generasi baruobservasi pola mahjong ways harianpendekatan algoritma heuristik variansi gameperbandingan model heuristik variansi gamerahasia bonus mahjong wins sistem cerdasrangkuman pola mahjong ways harianringkasan pola mahjong ways harianstudi pola mahjong ways hariantinjauan heuristik variansi game digitaltinjauan pola mahjong ways harianalur sombol mahjong kemunculan scatterdari rtp mahjong bermain lebih efektifjejak scatter mahjong putaran tenangkejutan scatter wild simbol mahjong arahkemunculan simbol ganda membuat mahjongketika grid mahjong scatter semakin dekatketika rtp mahjong pola mulai lebih jelasketika scatter wild ritme simbol mahjongketika scatter wild titik sesi mahjong waysketika susunan simbol mahjong ritme scattermemahami rtp mahjong cara bermain lebihpergerakan simbol mahjong scatter wildpergeseran mahjong ketika scatter hadirsaat rtp mahjong terbaca baik strategisaat scatter hadir simbol mahjong bergeserscatter wild dinamika simbol mahjongstabilitas putaran mahjong pola scattersusunan baru reel mahjong scatter emassusunan mahjong wins mengandung scattersusunan simbol mahjong diam pola scatterrm menguak keunikan mahjong wins sudut pandang teknisrm cara memahami pergerakan mahjong ways tenaga ekstrarm mahjong wins standar baru industri hiburan digitalrm rahasia ketahanan mahjong ways eksis gempuran gamerm pentingnya memahami transisi level mahjong wins mendalamrm strategi mengatur tempo mahjong ways kendali permainanrm peran kecerdasan buatan mekanisme mahjong wins adilrm alasan keberhasilan mahjong ways mencuri perhatian analisrm mempelajari struktur dasar mahjong wins efisiensi putaranrm inovasi desain mahjong ways kesan bermain responsifrm teknik observasi mahjong wins jarang dibahas dampakrm cara mempertahankan fokus dinamika mahjong ways cepatrm eksplorasi fitur tersembunyi mahjong wins ritme terbaikrm mahjong ways integrasi teknologi modern keamanan nyamanrm analisis faktor pendukung mahjong wins digemari generasirm langkah efektif menyesuaikan perubahan sistem mahjong waysrm mengintip proses pengembangan mahjong wins kualitas penggunarm analisis data membantu membaca arah mahjong waysrm menemukan titik temu insting logika mahjong winsrm transformasi besar mahjong ways menghadirkan tantangan menarikmengungkap simbol langka nasib drastismisteri besar kombinasi simbol langkamisteri simbol langka keberuntungan besarsimbol langka misterius ubah hiduprahasia simbol langka nasib cepattransformasi bonus mahjong wins sistem efektifmahjong wins suguhkan bonus sistem modernsuguhan bonus efisien mahjong winsefektivitas sistem bonus mahjong winsmahjong wins hadirkan bonus sistem optimaloke76cincinbetaqua365slot gacorstc76samurai76TOBA1131samurai76 login