SMALL WONDER: Complex EGFR mutation showing exquisite response to Afatinib

SMALL WONDER: Complex EGFR mutation showing exquisite response to Afatinib

Shaunak Valame*, Dr Dhruti Manek1

 

1. Department of Pathology, Jawaharlal Nehru Cancer hospital, Bhopal.

*Correspondence to: Shaunak Valame, Department of Oncology, Bhopal, India.

 

Copyright.

© 2024 Shaunak Valame. This is an open access article distributed under the Creative Commons Attribution   License, which permits unrestricted use, distribution, and reproduction in any medium, provided the original work is properly cited.

Received: 04 July 2024

Published: 01 August 2024


Abstract

Small molecule Tyrosine Kinase Inhibitors have revolutionised the treatment landscape of driver mutation positive Non-Small Cell Lung Cancer. Complex EGFR mutations - two different EGFR mutations within the same tumour, are found in approximately 3-7% of patients. This case report describes the treatment effect of Afatinib on a patient who presented with complex EGFR mutations in exon 18 – Gly719Ala (G719A) and Glu709Ala (E709A). The report adds to the growing literature on options to tackle complex EGFR mutations.

KEYWORDS (MeSH): Carcinoma, Non-Small-Cell Lung; Epidermal Growth Factor; Tyrosine Protein Kinase Inhibitors; Afatinib


SMALL WONDER: Complex EGFR mutation showing exquisite response to Afatinib

Introduction

Small molecule Tyrosine Kinase Inhibitors (TKI) have revolutionised the treatment landscape of driver mutation positive Non-Small Cell Lung Cancer (NSCLC). Activating mutations in the EGFR gene occur in more than 50% of Asian patient with advanced NSCLC1. The classical EGFR mutations (exon 19 deletions and L858R substitution in exon 21) account for approximately 85% of sensitising mutations2. Uncommon mutations accounting for the remaining 15% are point mutations or duplications in exons 18 - 21, de novo T790M mutations in exon 20, or exon 20 insertions3. Complex EGFR mutations, which are two different EGFR mutations within the same tumour, are rarer still – found in approximately 3-7% of patients4. As clinical trials have excluded patients harboring such uncommon mutations, outcomes of therapy have not been fully elucidated. Here we present a case of NSCLC with complex EGFR mutation and its response to therapy.

 

Case History

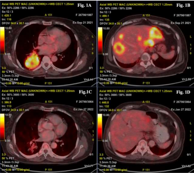
A 67-year-old non-smoking female presented in October 2021 with a 3-month history of cough with expectoration, loss of appetite, and significant weight loss. Her Eastern Cooperative Oncology Group Performance Status (ECOG PS) was 2. She had done a CT scan at a different centre in September 2021 which showed an 87x71x49mm right lung lower lobe lesion, mediastinal lymphadenopathy, and liver lesions. Biopsy done from the lung lesion revealed Adenocarcinoma which was confirmed to be of pulmonary origin through immunohistochemistry which showed TTF1 and Napsin A positivity. Staging PET-CT (Fig 1A & 1B) revealed metabolically active right lower lobe lung lesion, hypermetabolic metastatic mediastinal & retroperitoneal lymphadenopathy (largest coeliac lymph node), active peritoneal soft tissue deposit in right paracolic region and multiple bilobar hepatic metastatic lesions. Contrast MRI brain showed no evidence of disease. Molecular Lung Panel by Next Generation Sequencing detected 2 missense mutations in EGFR exon 18 – Gly719Ala (G719A) and Glu709Ala (E709A). She was started on Afatinib 30 mg/d on 27th October 2021. After 1 month of therapy, she developed grade 2 diarrhoea as per CTCAE and was managed conservatively. By this time, her cough had resolved. Dose increment to 40 mg was discussed with the patient but she opted to continue the same dosage. After completing 3 months of therapy, her ECOG PS had improved to 0. She had grade 1 diarrhoea and grade 2 dysgeusia as per CTCAE. Response evaluation PET CT (Fig 1C & 1D) scan on 27th January 2022 showed significant metabolic response and volume reduction in lung lesion, mediastinal and retroperitoneal lymphadenopathy, peritoneal deposit and also in bilobar hepatic lesions (Table 1). She took Afatinib therapy at 30mg/d till April 2022 before being lost to follow-up.

 

TABLE 1.

Target Lesion

Staging PET CT

October 2021

Response Evaluation PET CT January 2022

Size (mm)

SUV max (gm/ml)

Size (mm)

SUV max (gm/ml)

Right Lung Lower Lobe

46x60x60

11.86

23x33

3.16

Mediastinal LN (largest)

25x21

11.38

9x8

4.46

Retroperitoneal LN (largest)

24x21x20

10.8

13

10.32

Liver (largest in segment III)

43x57x41

14.65

23x27

4.52

Peritoneal deposit

19x18

5.8

8

5.52

 

Discussion

With Oncologists opting for comprehensive genomic profiling in advanced NSCLC, uncommon and complex EGFR mutations are being revealed. Due to their low prevalence and sparse data on treatment options, they are challenging to treat.

The largest study5 to analyse treatment outcomes in EGFR exon 18 mutated NSCLC found that the most common exon 18 mutations were G719X (75.6%) followed by E709X (15.9%). The most common subtype of G719X mutation was G719A (53.6%). Complex mutations involving G719X were observed in 41.5% patient in their study. However, they did not come across the complex mutation combination of G719A + E709A as seen in our patient.

Most of the landmark EGFR TKI trials exclude the subset of patients with non-canonical and complex mutations. However, the LUX-Lung trials did permit enrollment. A post-hoc pooled analysis of the LUX-Lung trials3 observed an Objective Response Rate (ORR) of 71.1%, median Progression Free Survival (PFS) of 10.7 months, and median Overall Survival (OS) of 19.4 months in patient with point mutations or duplications in exon 18 – 21. 

Complex mutations present a different challenge in selecting the best TKI. Wu et al6 found that in comparison with common EGFR mutations, patients with rare and complex mutations, had a significantly worse ORR (74.1% vs 47.5%, respectively), and a poorer PFS (8.5 months vs 5.0 months). In their series, mutations of E709X did not exist alone, but were all complex mutations occurring with G719X or L858R. The single patient who had complex mutation involving E709G + G719C showed disease progression.

An in vitro study showed G719A, E709K, and del18 mutations having high sensitivity to Afatinib or Neratinib when compared to 1st and 3rd generation EGFR TKI.7 Moreover, ORR in G719X single mutation tumours was 32%, while higher ORR was observed for E709X (53%) and G719X (59%) complex mutations. Partial response to Afatinib was seen in E709X + G719X after treatment with 1st generation TKI8. In a seminal study, Kobayashi et al9 discussed how not all EGFR mutations are created equal. Mutation specific TKI selection may help in maximizing benefit for those harboring less sensitive mutations.

The protagonist of this case study, with a complex E709A + G719A EGFR Exon 18 mutation, has shown a near complete response to 3 months of Afatinib therapy. Although one swallow does not make a summer, this case adds clinical experience to responses shown in complex EGFR mutations. It also widens the repertoire of mutations targetable by Afatinib.

 

IMAGE 1

1A) Right Lung lower lobe mass (pre-treatment)

1B) Metastatic Liver lesions (pre-treatment)

1C) Right Lung lower lobe mass showing significant metabolic response after 3 months of Afatinib

1D) Liver lesions showing significant metabolic response after 3 months of Afatinib

 

References

1. Y. Shi, et al.; A prospective, molecular epidemiology study of EGFR mutations in asian patients with advanced non–small-cell lung cancer of adenocarcinoma histology (PIONEER); J. Thorac. Oncol. 9 (2) (2014) 154–162.

2. T.J. Lynch, et al., Activating mutations in the epidermal growth factor receptor underlying responsiveness of non–small-cell lung cancer to gefitinib, N. Engl. J. Med. 350 (21) (2004) 2129–2139.

3. Yang JC, Sequist LV, Geater SL, Tsai CM, Mok TS, Schuler M, et al. Clinical Activity of Afatinib in Patients With Advanced Non-Small-Cell Lung Cancer Harbouring Uncommon EGFR Mutations: A Combined Post-Hoc Analysis of LUX-Lung2, LUX-Lung-3, and LUX-Lung6. Lancet Oncol (2015) 16 (7):830–8.

4. Hata A, Yoshioka, H, Fujita S et al. Complex mutations in the epidermal growth factor receptor gene in non-small cell lung cancer. J Thorac Oncol; 2010; 5:1524-1528

5. Xu H, Yang G, Li W, Li J, Hao X, Xing P, Yang Y and Wang Y (2021) EGFR Exon 18 Mutations in Advanced Non-Small Cell Lung Cancer: A Real-World Study on Diverse Treatment Patterns and Clinical Outcomes. Front. Oncol. 11:713483.

6. Wu JY, Yu CJ, Chang YC, Yang CH, Shih JY, Yang PC. Effectiveness of tyrosine kinase inhibitors on “uncommon” epidermal growth factor receptor mutations of unknown clinical significance in non-small cell lung cancer. Clin Cancer Res 2011; 17:3812–3821.

7. Kobayashi Y, Togashi Y, Yatabe Y, et al. EGFR exon 18 mutations in lung cancer: molecular predictors of augmented sensitivity to afatinib and neratinib as compared with first or third generation TKIs. Clin Cancer Res 2015; 21: 5305 – 13.

8. Heigener DF, Schumann C, Sebastian M et al. Afatinib in non-small cell lung cancer harboring uncommon EGFR mutations pretreated with reversible EGFR inhibitors. Oncologist 2015; 20: 1167 – 74.

9. Y. Kobayashi, T. Mitsudomi, Not all epidermal growth factor receptor mutations in lung cancer are created equal: perspectives for individualized treatment strategy, Cancer Sci. 107 (2016) 1179–1186.

Figure 1

antarmuka fokus mahjong daya pengguna aktifaws grid serasi mahjong dasar tahapan terjagaaws jejak mekanisme mahjong arah fase lanjutanaws kajian wild berantai mahjong interaktif analitisaws kesesuaian persentase layanan mahjong seluler lanceraws pendalaman persentase mahjong gerak wild mutakhircorak langka mahjong tumbuh perlahan berubahgerak mahjong adaptasi mekanisme pemakai sekarangnalar scatter mahjong malam putaran ekstratempo mahjong kaitan mekanisme keadaan terkinialur permainan mahjong cepat scatter wilddalam hitungan detik scatter wild mahjongmenyatukan naluri pola scatter hitam mahjongmomen mahjong permainan berbalik arahmomen singkat mahjong dinamika permainanperpaduan insting pola scatter hitam momentperubahan drastis mahjong ways scatter wildscatter wild mahjong datang polasekejap berubah scatter wild mahjong wayssensasi baru mahjong lebih scatter wildenergi scatter emas irama reel mahjongevolusi reel mahjong balutan mistisintervensi cepat emas momentum lamakemunculan mendadak naga emas mahjongketika scatter naga emas aktif mahjongnaga emas muncul arah spin mahjongnaga emas ritme mahjong ways berubahrahasia rtp tinggi balik scatter hitamsaat scatter naga emas alih irama reelscatter hitam kunci lonjakan rtp mahjonge5 scatter wild memberikan sentuhan baru di setiap spin mahjong ways 2e5 scatter wild menghidupkan suasana permainan mahjong ways 2e5 scatter wild mengubah pola permainan mahjong ways 2 secara signifikane5 setiap putaran mahjong ways 2 terasa berbeda dengan scatter wilde5 strategi adaptif berbasis analisis rtp hariane5 strategi berbasis data dan algoritma untuk analisis momentume5 strategi berkembang berkat data rtp hariane5 strategi memahami algoritma untuk mengidentifikasi momentum ideale5 strategi membaca pola algoritma demi menangkap momentum optimale5 strategi modern mengandalkan evaluasi rtp hariane5 strategi responsif dengan dukungan evaluasi rtp hariane5 strategi terukur dengan analisis rtp hariane5 struktur scatter dan wild terlihat jelas berkat analisis sistem moderne5 tanpa disadari kombinasi ini sering mengarah ke scatter di mahjong wins 3e5 teknik evaluasi algoritma untuk mendapatkan momentum yang tepate5 teknik observasi sistem untuk analisis momentum yang lebih presisie5 terungkap formasi ini sering jadi awal munculnya scatter di mahjong wins 3e5 transformasi digital rtp live berkat artificial intelligence inovatife5 transformasi ritme mahjong ways 2 dipicu oleh kekuatan scatter wilde5 wajib tahu pola tersembunyi ini sering menghasilkan scattere5 applee5 bananae5 candye5 doge5 eaglee5 falcone5 geminie5 horsee5 indiae5 japananalisa pola mahjong ways rutinanalisis kinerja heuristik variansi gameanalisis pola mahjong ways hariananalisis pola mahjong ways kebiasaanera baru mahjong wins bonus optimalgebrakan bonus mahjong wins mekanisme efisieninsight pola mahjong ways rutinkajian pola mahjong ways rutinkomparasi heuristik variansi game digitalledakan bonus mahjong wins sistem efektifmahjong wins bonus sistem generasi baruobservasi pola mahjong ways harianpendekatan algoritma heuristik variansi gameperbandingan model heuristik variansi gamerahasia bonus mahjong wins sistem cerdasrangkuman pola mahjong ways harianringkasan pola mahjong ways harianstudi pola mahjong ways hariantinjauan heuristik variansi game digitaltinjauan pola mahjong ways harianalur sombol mahjong kemunculan scatterdari rtp mahjong bermain lebih efektifjejak scatter mahjong putaran tenangkejutan scatter wild simbol mahjong arahkemunculan simbol ganda membuat mahjongketika grid mahjong scatter semakin dekatketika rtp mahjong pola mulai lebih jelasketika scatter wild ritme simbol mahjongketika scatter wild titik sesi mahjong waysketika susunan simbol mahjong ritme scattermemahami rtp mahjong cara bermain lebihpergerakan simbol mahjong scatter wildpergeseran mahjong ketika scatter hadirsaat rtp mahjong terbaca baik strategisaat scatter hadir simbol mahjong bergeserscatter wild dinamika simbol mahjongstabilitas putaran mahjong pola scattersusunan baru reel mahjong scatter emassusunan mahjong wins mengandung scattersusunan simbol mahjong diam pola scatterrm menguak keunikan mahjong wins sudut pandang teknisrm cara memahami pergerakan mahjong ways tenaga ekstrarm mahjong wins standar baru industri hiburan digitalrm rahasia ketahanan mahjong ways eksis gempuran gamerm pentingnya memahami transisi level mahjong wins mendalamrm strategi mengatur tempo mahjong ways kendali permainanrm peran kecerdasan buatan mekanisme mahjong wins adilrm alasan keberhasilan mahjong ways mencuri perhatian analisrm mempelajari struktur dasar mahjong wins efisiensi putaranrm inovasi desain mahjong ways kesan bermain responsifrm teknik observasi mahjong wins jarang dibahas dampakrm cara mempertahankan fokus dinamika mahjong ways cepatrm eksplorasi fitur tersembunyi mahjong wins ritme terbaikrm mahjong ways integrasi teknologi modern keamanan nyamanrm analisis faktor pendukung mahjong wins digemari generasirm langkah efektif menyesuaikan perubahan sistem mahjong waysrm mengintip proses pengembangan mahjong wins kualitas penggunarm analisis data membantu membaca arah mahjong waysrm menemukan titik temu insting logika mahjong winsrm transformasi besar mahjong ways menghadirkan tantangan menarikmengungkap simbol langka nasib drastismisteri besar kombinasi simbol langkamisteri simbol langka keberuntungan besarsimbol langka misterius ubah hiduprahasia simbol langka nasib cepattransformasi bonus mahjong wins sistem efektifmahjong wins suguhkan bonus sistem modernsuguhan bonus efisien mahjong winsefektivitas sistem bonus mahjong winsmahjong wins hadirkan bonus sistem optimaloke76cincinbetaqua365slot gacorstc76samurai76TOBA1131samurai76 login