A Case Report of A Double Malignancy: A Primary of Squamous Lung Cancer and Adenocarcinoma of Unknown Origin.

A Case Report of A Double Malignancy: A Primary of Squamous Lung Cancer and Adenocarcinoma of Unknown Origin.

Mohamad Siwar Ahmad, Karen Pinto, Jinan Abdullah*

*Correspondence to: Jinan Abdullah.

Copyright

© 2024 Jinan Abdullah. This is an open access article distributed under the Creative Commons Attribution License, which permits unrestricted use, distribution, and reproduction in any medium, provided the original work is properly cited.

Received: 14 August 2024

Published: 02 September 2024


A Case Report of A Double Malignancy: A Primary of Squamous Lung Cancer and Adenocarcinoma of Unknown Origin.

Introduction

This is a case report with an elaboration of a 67-year-old Middle Eastern, heavy-smoker male. He presented with two separate malignancies:

1.SQUAMOUS non-small cell lung cancer with a KRAS G12c mutation

2.ADENOCARCINOMA of unknown origin, biopsied from a lesion in the left perinephric fat.


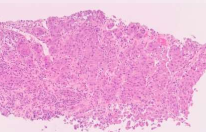
In February 2023, this patient presented with a painful right iliac bone mass, 6.0x5.5x5.0cm. A core biopsy showed metastatic carcinoma of epithelial origin.

 

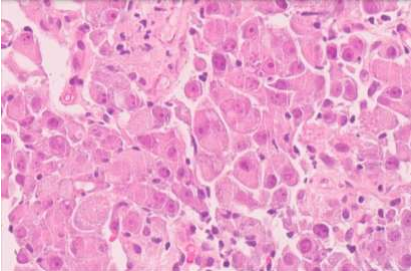
Fig.1: Iliac bone

Fig1:

- Biopsy from the right iliac bone showing metastatic carcinoma.

- The tumor cells had a single-cell pattern and were set in a stroma with a dense lymphocytic infiltrate (High TILS*). They had an epithelioid appearance, abundant eosinophilic cytoplasm, and pleomorphic nuclei with prominent nucleoli.

- They expressed epithelial markers (Pan CK, HMWCK, CK7, CK8/18, CEA) and HepPar1 (a marker of hepatocyte differentiation).

- However, Glypican 3 and AFP were negative (thus ruling out hepatocellular origin). The other negative markers were p63, SMA, Desmin, Myogenin, CD31, CD34, LCA, HMB45, S100 and CK20.

*(TILs: Tumor-infiltrating lymphocytes).

 

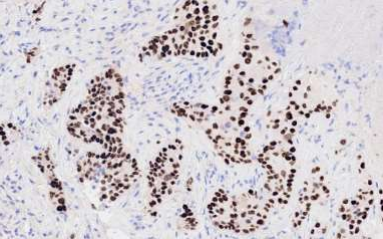
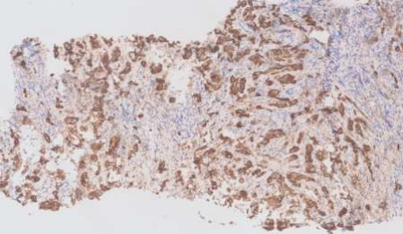
Fig.2: Iliac bone, IHC of pan-CK reflecting an epithelial origin.

 

As described in figure 1, the right iliac bone showed metastatic carcinoma positive for panCK, HMWCK, CK7, CK8/18, CEA and HEPAR1 (focal).  Possible primary sites included pancreaticobiliary, upper gastrointestinal tract and lung. See the details of figure 1.

We searched for the primary site of the tumour. Investigations included (not in order):

  • Tumour markers were:  CEA=7.4ng/mL, PSA=0.951ng/mL, AFP= 1.82IU/mL)
  • Prostatic US was normal, homogenous without focal masses and an intact capsule
  • Colonoscopy was also normal.
  • CT showed a left pleural-based mass, 4x3x2 cm with multiple hepatic lesions. There was a right adrenal lesion 3.4x2.0 cm.

 

Based on the CT findings, a lung primary was suspected. A lung core tissue biopsy was taken on the 28th of March. It revealed non-small cell lung cancer; most likely a poorly differentiated SQUAMOUS cell carcinoma (SCC). The background stroma was desmoplastic with a near absence of associated chronic inflammation, there was no tumour infiltrating lymphocytes (TILs).

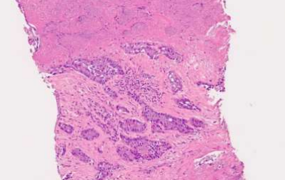
Fig. 3: lung biopsy
Fig.4: lung biopsy

Fig.5: lung biopsy with IHC of p40

It was positive for p40, p63, D2-40 (80%), Calretinin (40%), CK, CK7 and Synaptophysin.

It was negative for TTF1, S100, Melan A, WT1, INSM1, CD56, PSA, NKX3.1, AFP and CD30.  The diffuse strong positivity for p40 made it unlikely to be an adenocarcinoma, since p40 is present in <5% of lung adenocarcinomas and only show a focal expression, if present.

PD-L1 IHC 22C3 pharmDx result: Tumor Proportion Score (TPS) 0%.

Oncomine Comprehensive Assay (DNA) showed: KRAS: c.34G>T, p.(G12C).

Oncomine Comprehensive Assay (RNA): NO REARRANGEMENT DETECTED.

Microsatellite Instability Status: Stable (MS-S).

Fig.6: lung biopsy with IHC of calretinin 

 

It's important to mention that the result of the prior biopsy from the right iliac bone mass shows a different morphology (single scattered cells) and immunoprofile (CEA+, p63-) from the lung mass. 

However, the case was initially taken as a stage 4 KRAS G12c mutant squamous lung cancer G12c with adrenal and bony metastasis. 

1st line (from 23rd March to 14th July): He underwent 6 cycles of nab-paclitaxel and carboplatin and Atezolizumab was added once it was available on the May 4, 2023. He was also started on denosumab on April 13, 2023.

On May 14, 2023, a re-evaluation CT showed a stable disease. Thus, the treatment was continued for a total of 6 cycles.

On July 17,2023, a re-evaluation CT scan after 6 cycles of chemotherapy-immunotherapy showed stable lung mass (4.3x2.9x5.3 cm compared to 4.9x3.2x5.4 cm). There were no other suspicious metastatic pulmonary nodules.

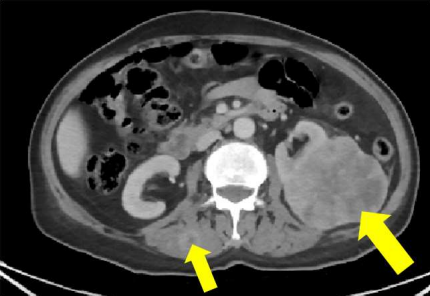
However, there was a progressive nodule in the left perinephric fat, inseparable from the perinephric fascia, 1.6x1.3 cm (compared to 0.5 cm previously). There was also a progression of the right iliac bone lesion, which was 5.7x4x7.6 cm but is now 6.4x5.1x8.7 cm. It was infiltrating the right iliac bone and the right psoas muscle.

 

So, despite the stability of the disease, there was a progression of the right iliac bone and a new lesion in the left perinephric fat. This was odd for lung cancer. So, we took a biopsy from the single progressive left perinephric lesion.

 

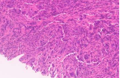
Fig.7: Left perinephric fat lesion.
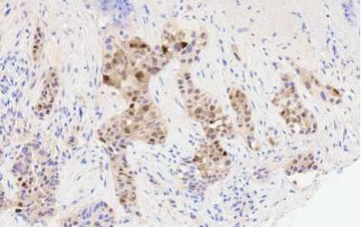
Fig.8: Core biopsy from the left perinephric fat lesion.

Fig: Pan-CK highlighting the tumor cells in the left perinephric fat lesion.

The biopsy from the left perinephric lesion revealed deposits of an adenocarcinoma with remarkably similar morphology (nested and sheet-like pattern) (pink) and immunophenotypical characteristics to the prior bone biopsy viz. it too expressed epithelial markers (CK7, CK19)and HepPar1 (while still being negative for Glypican 3, TTF1, Napsin A, p63, p40, RCC, CD10, PSA, Calretinin, Melan A, Synaptophysin, chromogranin and CK20).

- Based on the perinephric lesion and bone biopsies, in view of the positivity for CK7 and CK19, a primary from the upper aero digestive tract or pancreaticobiliary tract was suggested. HepPar1 may be expressed in non-hepatic carcinomas and should be interpreted with caution. The extensive IHC panel ruled out primaries from liver, lung, kidney, prostate, lower gastrointestinal tract, melanoma, PEComa, neuroendocrine tumors and squamous cell carcinoma (SCC).

So, the patient had a SQUAMOUS lung lesion and an ADENOCARCINOMA from the left perinephric region. Suspecting a second malignancy, namely a gastrointestinal malignancy, on July 3,2023 a second colonoscopy was performed. It revealed a 4 mm sessile polyp in the mid transverse colon, 10 mm pedunculated polyps in the sigmoid colon, and 2 – 4 mm sessile polyps in the rectum. All were histopathologically benign.

Meanwhile, the CEA increased from 7.44 ng/ml to 23.81 ng/ml between march to July (see graph 1).

As we were treating two different cancers, the following regimens were given:

- atezolizumab as maintenance for the squamous lung cancer (assumed stage 4 due to the adrenal metastasis)

- Carboplatin and Gemcitabine (we considered it 2nd line chemotherapy), 4 cycles from September 14, 2023 to November 23,2023. We could not use taxanes as it has already been used. Gemcitabine covers gastrointestinal malignancies.

 

As the colonoscopy was negative, still in search of the primary source of the adenocarcinoma, an 18 FDG PET/CT scan was performed on October 3, 2023: bulky thyroid lobes with SUVmax 2.7. There were two FDG-avid nodules in the left parotid gland (SUVmax 8.5). Same pleural based left lung mass with SUVmax 17. Hypodense hepatic focal lesions, most likely cysts. Bilateral adrenal nodules with SUV max 20.2 on the right side. The left peri-nephric nodule was 1.6x1.3 cm (SUVmax 34). There was prostatic enlargement. Right iliac bone lesion SUVmax 24.9.

An ultrasound of the parotid demonstrated a benign lesion that can only be locally aggressive. A surgery was not advised as the patient was on chemotherapy for a more aggressive pathology.

 

Hepatic and abdominal MRI: several lesions consistent with liver cysts. The largest cyst was in segment Iva, 2.6x1.8 cm. It had a haemorrhage. No other hepatic lesions. The pancreas and spleen were normal. Malignant left peri-nephric lesion.


Therefore, a primary source from the colon or biliary system could not be proven. A repeat colonoscopy (third time) did not reveal anything suspicious.

fig: PET scan

At that time, CEA=8.89, CA19-9=34.96.

Otherwise, the patient had no cutaneous lesions suggestive of melanoma.

Note that denosumab was discontinued on October 26, 2023, due to a dental infection.

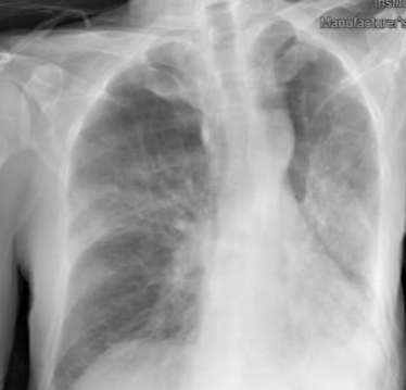
On December 6,2023, a CT after 4 cycles: stability of the left lung mass, 4.2x2x4.5 cm. No mediastinal, hilar, or axillary lymphadenopathy. Stable non-enhancing hepatic lesions. There was a significant progression of a right adrenal nodule, from 3.3x2.3cm in July 17th to 4.4x3.3 cm. Bowel loops were unremarkable. Stable mesenteric, para-aortic, pelvic and inguinal lymph nodes. Significant progression of the perinephric fat nodule from 1.6cmx1.3cm to 4.5x3.7cm. Another new nodule along the right peri-nephric fat measuring 8mm. There was a progression of right iliac bone lesion from 6.4x5x9.1cm to 7x5.2x9.6cm.

Between October and December, CEA increased from 8.89 ng/ml to 26.29 ng/ml. CA19-9 also increased from 34.96 u/ml to 431.17 u/ml.

3rd line from December 12th to January 23rd, 2024: FOLFOX was started to cover an adenocarcinoma of unknown origin with elevated CA19-9 and CEA. Atezolizumab was continued as the lung lesion was responding.

While on FOLFOX, the patient had significant weight loss and anemia requiring many transfusions and was eventually put on EPO injections.

Since the MUO was progressing despite three lines of chemotherapy and immunotherapy, a liquid biopsy was done using Oncomine Pan-Cancer Cell-Free Assay (DNA). It revealed the same KRAS G12c mutation which was found initially in the lung tissue biopsy. No other mutation was found.

On January 30,2024, a CT-scan: cerebral metastasis in the right parieto-occipital lobe, left occipital pole, and midline. Slight progression of the left lung lesion 5.4x2x6cm. Progression of the right adrenal gland 5x4 cm compared to 4.3x3x4cm. The nodule in the left renal space is progressing, from 5.2x5 cm to 4.9x3.5 cm.

4th line: Docetaxel. He underwent stereotaxic radiotherapy to the cerebral lesions in February 2024 and was started on docetaxel.

The patient continued to deteriorate and treatment was stopped. Regarding the KRAS G12c mutation, sotorasib was not available and could not be accessed from abroad.

The patient eventually passed away on the 8th July 2024.

 

Graph 1: CEA throughout treatment.

 

Discussion

This case is odd, and the histopathologies were revised several times. There are several points to look for:

Could it be that the histopathological diagnosis was inaccurate? And that the patient had one cancer: lung cancer?

- This is unlikely. The lung tumor had a nested morphology with a diffuse p40 and p63 (Supporting a squamous origin).

- The tumor deposits in the bone and the peripheral flat looked histology and immunophenotypically different from the lung they were epithelioid with a large nuclei and single cell and dyscohesive sheet like pattern. Additionally, they were negative or p40 and p63 like adenocarcinomas from the upper aerodigestive tract or pancreaticobillary tract, they expressed CK, CK7, CK19 and CK8/18.

- Lung cancer with perinephric fat lesion is uncommon, specially that the perinephric lesion and bone were similar in morphology and progressing on chemo-immunotherapy, while the lung cancer was stable.

- The high CEA is uncommon in lung cancer.

- CT scan, PET scan, MRI, three colonoscopies, US prostate, skin examination failed to show the digestive origin of the tumour.

- The fact that the KRAS G12c mutation was in a squamous and not adenocarcinoma is uncommon, yet, we have no evidence to say that the lung tumour was an adenocarcinoma and not a squamous carcinoma.

 

 - Is immunotherapy useful in MUO?      

-This is interesting because the use of immunotherapy in MUO is recent. The promising effect of immunotherapy to treat malignancies of unknown origin has been discussed in several studies by E. Rassy et al [1,2]. and in a case report by X. Huang et al [2]. The use of immunotherapy in gastrointestinal-like MUO as a first-line setting was suggested in an article by T. Fuereder [3].

- Despite this patient receiving immunotherapy in a first-line setting, he progressed.

- PDL-1 in the lung biopsy was zero per cent, this is uncommon for lung cancers with KRAS G12c mutation. PDL-1 was not measured in the MUO.


-IS MMR useful in MUO?

The MMR was stable in the lung. The TILs was high in the bone and retroperitoneum but low in the lung, which was expected given the mutation. This patient was also a heavy smoker, which usually resulted in a better response to immunotherapy. So, in this case, the stable MMR correctly predicted that the patient’s MUO did not respond to atezolizumab.

- Could it be that the KRAS G12c mutation played a role in the lack of efficacy of the immunotherapy? Should biomarkers like TILS and MMR be standardized in MUO?

- The KRAS G12c mutation was seen in the blood NGS and the lung tissue biopsy. The lack of response to immunotherapy could be due to the KRAS G12c mutation. The patient could not receive a KRAS G12c inhibitor because of the lack of resources and high cost.

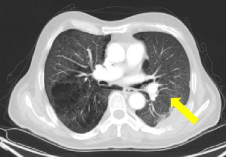
- Did the patient pass away from the lung cancer or from the MUO? He developed cerebral metastasis towards the end of the disease, which is more common in lung cancer compared to MUO. However, MUO generally has a worse prognosis and the CEA was rising. A picture of his X-ray, lung CT and perinephric lesion on CT before death are provided below. You can clearly see that the lung tumour was not locally progressing. It is more likely that he passed away from the MUO. Also, you can see that towards the end of the disease, he developed suspicious subcutaneous soft tissue nodules in the right gluteal region, uncommon to lung cancer .

 

Fig 9: Xray before death              

Fig 10: CT chest before death

Fig 11: CT abdomen

(Please view attached pdf to view all images)

Is it normal that so much funding goes to new drugs, yet only a fraction of society can assess it? Would the prognosis have been different if the patient had access to anti-KRASG12c inhibitors? In such an odd presentation, it is difficult to be sure.

 

References

1. E. Rassy, F. Andre, Can Precision Oncology Benefit Patients with Cancer of Unknown Origin, The Oncologist, volume 28, Issue 10, October 2023.

2. E. Rassy et a. Immune Checkpoint Inhibitors inpatients with Cancers of Unknown Origin, European Journal of Cancer, volume 195, 113377, December 2023.

3. X. Huang et al, Exceptional response to immunotherapy monotherapy in a patient with an unfavorable subset of carcinoma of unknown origin, Quantitative Imaging in Medicine and Surgery, 2023 Dec 1;13(12):8832-8838. 

4. T. Fuereder, Cancer of Unknown Origin-State of the Art, Springer Medizin, August 1, 2024

5. K. Beauchamp et al., Carcinoma of Unknown Origin: An Update on Histopathology, Springer Link, Volume 42, 03 July 2023.

Figure 1

Figure 2

Figure 3

Figure 4

Figure 5

Figure 6

Figure 7

Figure 8

Figure 9

Figure 10

Figure 11

antarmuka fokus mahjong daya pengguna aktifaws grid serasi mahjong dasar tahapan terjagaaws jejak mekanisme mahjong arah fase lanjutanaws kajian wild berantai mahjong interaktif analitisaws kesesuaian persentase layanan mahjong seluler lanceraws pendalaman persentase mahjong gerak wild mutakhircorak langka mahjong tumbuh perlahan berubahgerak mahjong adaptasi mekanisme pemakai sekarangnalar scatter mahjong malam putaran ekstratempo mahjong kaitan mekanisme keadaan terkinialur permainan mahjong cepat scatter wilddalam hitungan detik scatter wild mahjongmenyatukan naluri pola scatter hitam mahjongmomen mahjong permainan berbalik arahmomen singkat mahjong dinamika permainanperpaduan insting pola scatter hitam momentperubahan drastis mahjong ways scatter wildscatter wild mahjong datang polasekejap berubah scatter wild mahjong wayssensasi baru mahjong lebih scatter wildenergi scatter emas irama reel mahjongevolusi reel mahjong balutan mistisintervensi cepat emas momentum lamakemunculan mendadak naga emas mahjongketika scatter naga emas aktif mahjongnaga emas muncul arah spin mahjongnaga emas ritme mahjong ways berubahrahasia rtp tinggi balik scatter hitamsaat scatter naga emas alih irama reelscatter hitam kunci lonjakan rtp mahjonge5 scatter wild memberikan sentuhan baru di setiap spin mahjong ways 2e5 scatter wild menghidupkan suasana permainan mahjong ways 2e5 scatter wild mengubah pola permainan mahjong ways 2 secara signifikane5 setiap putaran mahjong ways 2 terasa berbeda dengan scatter wilde5 strategi adaptif berbasis analisis rtp hariane5 strategi berbasis data dan algoritma untuk analisis momentume5 strategi berkembang berkat data rtp hariane5 strategi memahami algoritma untuk mengidentifikasi momentum ideale5 strategi membaca pola algoritma demi menangkap momentum optimale5 strategi modern mengandalkan evaluasi rtp hariane5 strategi responsif dengan dukungan evaluasi rtp hariane5 strategi terukur dengan analisis rtp hariane5 struktur scatter dan wild terlihat jelas berkat analisis sistem moderne5 tanpa disadari kombinasi ini sering mengarah ke scatter di mahjong wins 3e5 teknik evaluasi algoritma untuk mendapatkan momentum yang tepate5 teknik observasi sistem untuk analisis momentum yang lebih presisie5 terungkap formasi ini sering jadi awal munculnya scatter di mahjong wins 3e5 transformasi digital rtp live berkat artificial intelligence inovatife5 transformasi ritme mahjong ways 2 dipicu oleh kekuatan scatter wilde5 wajib tahu pola tersembunyi ini sering menghasilkan scattere5 applee5 bananae5 candye5 doge5 eaglee5 falcone5 geminie5 horsee5 indiae5 japananalisa pola mahjong ways rutinanalisis kinerja heuristik variansi gameanalisis pola mahjong ways hariananalisis pola mahjong ways kebiasaanera baru mahjong wins bonus optimalgebrakan bonus mahjong wins mekanisme efisieninsight pola mahjong ways rutinkajian pola mahjong ways rutinkomparasi heuristik variansi game digitalledakan bonus mahjong wins sistem efektifmahjong wins bonus sistem generasi baruobservasi pola mahjong ways harianpendekatan algoritma heuristik variansi gameperbandingan model heuristik variansi gamerahasia bonus mahjong wins sistem cerdasrangkuman pola mahjong ways harianringkasan pola mahjong ways harianstudi pola mahjong ways hariantinjauan heuristik variansi game digitaltinjauan pola mahjong ways harianalur sombol mahjong kemunculan scatterdari rtp mahjong bermain lebih efektifjejak scatter mahjong putaran tenangkejutan scatter wild simbol mahjong arahkemunculan simbol ganda membuat mahjongketika grid mahjong scatter semakin dekatketika rtp mahjong pola mulai lebih jelasketika scatter wild ritme simbol mahjongketika scatter wild titik sesi mahjong waysketika susunan simbol mahjong ritme scattermemahami rtp mahjong cara bermain lebihpergerakan simbol mahjong scatter wildpergeseran mahjong ketika scatter hadirsaat rtp mahjong terbaca baik strategisaat scatter hadir simbol mahjong bergeserscatter wild dinamika simbol mahjongstabilitas putaran mahjong pola scattersusunan baru reel mahjong scatter emassusunan mahjong wins mengandung scattersusunan simbol mahjong diam pola scatterrm menguak keunikan mahjong wins sudut pandang teknisrm cara memahami pergerakan mahjong ways tenaga ekstrarm mahjong wins standar baru industri hiburan digitalrm rahasia ketahanan mahjong ways eksis gempuran gamerm pentingnya memahami transisi level mahjong wins mendalamrm strategi mengatur tempo mahjong ways kendali permainanrm peran kecerdasan buatan mekanisme mahjong wins adilrm alasan keberhasilan mahjong ways mencuri perhatian analisrm mempelajari struktur dasar mahjong wins efisiensi putaranrm inovasi desain mahjong ways kesan bermain responsifrm teknik observasi mahjong wins jarang dibahas dampakrm cara mempertahankan fokus dinamika mahjong ways cepatrm eksplorasi fitur tersembunyi mahjong wins ritme terbaikrm mahjong ways integrasi teknologi modern keamanan nyamanrm analisis faktor pendukung mahjong wins digemari generasirm langkah efektif menyesuaikan perubahan sistem mahjong waysrm mengintip proses pengembangan mahjong wins kualitas penggunarm analisis data membantu membaca arah mahjong waysrm menemukan titik temu insting logika mahjong winsrm transformasi besar mahjong ways menghadirkan tantangan menarikmengungkap simbol langka nasib drastismisteri besar kombinasi simbol langkamisteri simbol langka keberuntungan besarsimbol langka misterius ubah hiduprahasia simbol langka nasib cepattransformasi bonus mahjong wins sistem efektifmahjong wins suguhkan bonus sistem modernsuguhan bonus efisien mahjong winsefektivitas sistem bonus mahjong winsmahjong wins hadirkan bonus sistem optimaloke76cincinbetaqua365slot gacorstc76samurai76TOBA1131samurai76 login