Response to Steroids and Extended Surveillance in a Case with Cronkhite Canada Syndrome.

Response to Steroids and Extended Surveillance in a Case with Cronkhite Canada Syndrome.

Anil Grover *, Vinod Kumar Singhal 1, Faris Dawood Alaswad 2, Nufra Senopher 3, Adil Mohammed Suleman 4

1.  Vinod Kumar Singhal, Consultant surgeon, Department of General Surgery, Prime hospital, Dubai, UAE.

2. Faris Dawood Alaswad, Consultant General Surgeon, Department of Surgery, Gladstone Hospital, Perth, Australia.

3. Nufra Senopher, Department of General Surgery, Prime Hospital, Dubai, UAE.

4. Adil Mohammed Suleman, Specialist General Surgeon, Department of General Surgery, Prime Hospital, Dubai, UAE.

 

*Correspondence to: Anil Grover, Specialist Internal Medicine, Prime Hospital, Dubai.


Copyright.

© 2024 Anil Grover. This is an open access article distributed under the Creative Commons Attribution   License, which permits unrestricted use, distribution, and reproduction in any medium, provided the original work is properly cited.

Received: 16 Sep 2024

Published: 17 Sep 2024

 Abstract

We describe a 42-year-old woman who presented to us with diarrhea and edema last month. The features of protein deficient enteropathy (PLE), some ectodermal findings, and the presence of multiple gastroduodenal and ileocal polyps on endoscopy led us to investigate a rare gastrointestinal (GI) polyp syndrome called Clonket Canada syndrome (CCS). Histopathology of the gastrointestinal polyps further confirmed the diagnosis. She responded excellently to steroids and has been treated with azathioprine for the past 36 months without recurrence. To our knowledge, CCS is the only colonic polyposis that responds to steroids.


Response to Steroids and Extended Surveillance in a Case with Cronkhite Canada Syndrome.

Introduction

Clonket-Canada Syndrome (CCS) is a rare intestinal polyposis syndrome that can affect any part of the intestine except the esophagus. This site was first reported in 1955 by Leonard W. Cronkhite and Wilma J Canada in two female patients with colon disease, cutaneous hyperpigmentation, alopecia, and onychodystrophy [1]. Since then, numerous cases have been reported in the literature. The disease is highly prevalent and responds to steroids and immunosuppressants. We present a case of CCS that responded to steroids and azathioprine.

 

Case Report

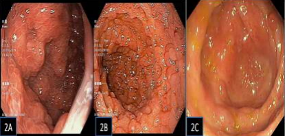
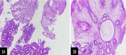
A 42-year-old woman has had abdominal pain, vomiting, and loose stools (10 to 12 times per day) for the past 6 months. She has also noticed hair loss, bad breath, changes in her nails, and dark skin all over her body. She has also had bloating, extreme fatigue, and loss of appetite for a month. She reports no bloody stools, fever, arthritis, weakness, or mouth sores. She has no family history of similar illnesses. On examination, he was unconscious but agitated. He has a low body weight (19.6 Kg/m2), pale, dark skin all over the body, frontal alopecia, diffuse skin pigmentation and dystrophic finger and toenails (Figure 1). Blood test showed red blood, hemoglobin 9.5g/dL (12 - 14 gm/dL; - 4.5 gm/dL), persistent hypokalemia, serum concentration 2.8-3.2 meq/dL). Small amount of pleural effusion and mild ascites. Disease markers including ESR and CRP are within normal limits. HIV serology and ANA were negative. Stool tests and immunoglobulin profile were within normal limits. Esophagogastroduodenoscopy (EGD) revealed multiple small masses throughout the stomach (Figure 2A) and duodenum (Figure 2B). Mucosal sections were obtained from the stomach and duodenal polyps. Ileocolonoscopy also revealed multiple intestinal polyps of varying sizes (Figure 2C) and a large polyp (approximately 1.5 cm) in the terminal ileum. Segmental biopsies were performed from polyps and normal mucosa. Colonic polyp section results revealed hamartomatous polyps and tubular adenomas with mild dysplasia (Figure 3A). Mucosal findings were remarkable, with marked edema, mild lymphoplasmacytic infiltration, and cystically dilated tumor with concentrated mucin. (Figure 3B) Gastric and duodenal biopsies also showed hamartomatous polyps, and immunohistochemistry showed a few plasma cells positive for IgG4. It is classified as gastrointestinal polyposis. The combination of the polyposis, ectodermal features, and histopathologic findings led to a definitive diagnosis of Clonket-Canada syndrome. We gave her oral prednisolone 40 mg/day for 1 month, then tapered by 5 mg every 2 weeks to reach a final treatment dose of 5 mg/day for 1 month. She has a severe reaction to steroids. Azathioprine was used with a steroid dose of 50 mg/day for 3 months and continued thereafter. After 3 months of treatment, stool frequency and consistency improved. Generalized edema decreased, appetite increased, and hyperpigmentation decreased. The patient is currently taking azathioprine 50 mg. There has been no recurrence in the last 36 months.

Figure 1: Onychodystrophy of finger nails.

Figure 2: Endoscopic images: Gastric body numerous polyps (2A), Duodenal / D2 polyps (2B), Colonic polyps (2C).

Figure 3: Colonic histopathology: Features of the hamartomatous polyp and tubular adenoma with mild dysplasia (3A), Intervening mucosal biopsy showing marked edema, mild lymphoplasmacytic infiltrates, and cystically dilated glands with inspissated mucin (3B). [Hematoxylin and Eosin stain]


Discussion

CCS is a nonmalignant intestinal polyposis characterized by hamartomatous polyposis, alopecia, onychodystrophy, hyperpigmentation, and diarrhea (1). All these features were present in our patients. It is associated with severe pain and is often caused by PLE. Delay in diagnosis is common, mainly due to physician unawareness of this rare condition, which leads to poor outcomes. Its pathogenesis remains unclear. However, the presence of IgG4 staining in polyps often predicts an autoimmune history, and this is confirmed by their clinical and endoscopic response to steroids and other anti-inflammatory drugs [2]. These polyps are usually benign hamartomatous polyps, but there is also a risk of adenomatous dysplasia. Diagnosis is based on clinical, endoscopic, and histopathological findings (3). The difference between the two is the histology of the affected mucosa, which shows edema, congestion, and inflammation of the lamina propria in CCS (as seen in our case), but is normal in pediatric polyps [4]. Various treatments have been tried in CCS patients with varying degrees of success. These treatments include corticosteroids, H2-receptor antagonists, cromolyn sodium, overfeeding, and surgery [5]. Corticosteroids are considered the mainstay of treatment. The official treatment is prednisone 40 mg per week, tapered by 5 mg per week until the patient is tapered. In one study, 10 of 11 patients treated with this technique showed improvement in symptoms within three months [3]. However, recurrence of symptoms is common, so patients are often treated with maintenance immunomodulators such as azathioprine [2,6]. Three patients responded to steroids and had no relapses on azathioprine.

Although there is no general consensus for colonoscopy with CCS, polyps > 10 mm in size should be removed because of the high risk of dysplasia and malignancy [7]. In this case, our goal is to perform annual EGD and colonoscopy to detect malignant growth and/or mucosal remission of adenomatous polyps in terms of size reduction or gastrointestinal polyp count.

 

References

1. Cronkhite LW Jr, Canada WJ. Generalized gastrointestinal poyposis; an unusual syndrome of polyposis, pigmentation, alopecia, and onychotrophia. N Engl J Med. 1955; 252(24):1011-1015. 10.1056/NEJM195506162522401

2. Sweetser S, Ahlquist DA, Osborn NK, et al. Clinicopathologic features and treatment outcomes in Cronkhite-Canada syndrome: support for autoimmunity. Dig Dis Sci. 2011 Sep 1. 10.1007/s10620-011-1874-9

3. Seshadri D, Karagiorgos N, Hyser MJ. A case of Cronkhite-Canada syndrome and a review of gastrointestinal polyposis syndromes. Gastroenterol Hepatol (NY) 2012;8:197–201.

4. Burke AP, Sobin LH. The pathology of Cronkhite-Canada polyps. A comparison to juvenile polyposis. Am  J Surg Pathol. 1989;13:940–946. 10.1097/00000478-198911000-00004

5. Ward EM, Wolfsen HC. Pharmacological management of Cronkhite-Canada syndrome. Expert Opin Pharmacother. 2003;4:385–389. 10.1517/14656566.4.3.385

6. Mao EJ, Hyder SM, DeNucci TD, Fine S. A Successful Steroid-Sparing Approach in Cronkhite-Canada Syndrome. ACG Case Reports J. 2019;6(3):e00055. 10.14309/crj.0000000000000055

7. Sweetser S, Alexander GL, Boardman LA. A case of Cronkhite-Canada syndrome presenting with adenomatous and inflammatory colon polyps. Nat Rev Gastroenterol Hepatol. 2010;7:460–464. 10.1038/nrgastro.2010.112

Figure 1

Figure 2

Figure 3

antarmuka fokus mahjong daya pengguna aktifaws grid serasi mahjong dasar tahapan terjagaaws jejak mekanisme mahjong arah fase lanjutanaws kajian wild berantai mahjong interaktif analitisaws kesesuaian persentase layanan mahjong seluler lanceraws pendalaman persentase mahjong gerak wild mutakhircorak langka mahjong tumbuh perlahan berubahgerak mahjong adaptasi mekanisme pemakai sekarangnalar scatter mahjong malam putaran ekstratempo mahjong kaitan mekanisme keadaan terkinialur permainan mahjong cepat scatter wilddalam hitungan detik scatter wild mahjongmenyatukan naluri pola scatter hitam mahjongmomen mahjong permainan berbalik arahmomen singkat mahjong dinamika permainanperpaduan insting pola scatter hitam momentperubahan drastis mahjong ways scatter wildscatter wild mahjong datang polasekejap berubah scatter wild mahjong wayssensasi baru mahjong lebih scatter wildenergi scatter emas irama reel mahjongevolusi reel mahjong balutan mistisintervensi cepat emas momentum lamakemunculan mendadak naga emas mahjongketika scatter naga emas aktif mahjongnaga emas muncul arah spin mahjongnaga emas ritme mahjong ways berubahrahasia rtp tinggi balik scatter hitamsaat scatter naga emas alih irama reelscatter hitam kunci lonjakan rtp mahjonge5 scatter wild memberikan sentuhan baru di setiap spin mahjong ways 2e5 scatter wild menghidupkan suasana permainan mahjong ways 2e5 scatter wild mengubah pola permainan mahjong ways 2 secara signifikane5 setiap putaran mahjong ways 2 terasa berbeda dengan scatter wilde5 strategi adaptif berbasis analisis rtp hariane5 strategi berbasis data dan algoritma untuk analisis momentume5 strategi berkembang berkat data rtp hariane5 strategi memahami algoritma untuk mengidentifikasi momentum ideale5 strategi membaca pola algoritma demi menangkap momentum optimale5 strategi modern mengandalkan evaluasi rtp hariane5 strategi responsif dengan dukungan evaluasi rtp hariane5 strategi terukur dengan analisis rtp hariane5 struktur scatter dan wild terlihat jelas berkat analisis sistem moderne5 tanpa disadari kombinasi ini sering mengarah ke scatter di mahjong wins 3e5 teknik evaluasi algoritma untuk mendapatkan momentum yang tepate5 teknik observasi sistem untuk analisis momentum yang lebih presisie5 terungkap formasi ini sering jadi awal munculnya scatter di mahjong wins 3e5 transformasi digital rtp live berkat artificial intelligence inovatife5 transformasi ritme mahjong ways 2 dipicu oleh kekuatan scatter wilde5 wajib tahu pola tersembunyi ini sering menghasilkan scattere5 applee5 bananae5 candye5 doge5 eaglee5 falcone5 geminie5 horsee5 indiae5 japananalisa pola mahjong ways rutinanalisis kinerja heuristik variansi gameanalisis pola mahjong ways hariananalisis pola mahjong ways kebiasaanera baru mahjong wins bonus optimalgebrakan bonus mahjong wins mekanisme efisieninsight pola mahjong ways rutinkajian pola mahjong ways rutinkomparasi heuristik variansi game digitalledakan bonus mahjong wins sistem efektifmahjong wins bonus sistem generasi baruobservasi pola mahjong ways harianpendekatan algoritma heuristik variansi gameperbandingan model heuristik variansi gamerahasia bonus mahjong wins sistem cerdasrangkuman pola mahjong ways harianringkasan pola mahjong ways harianstudi pola mahjong ways hariantinjauan heuristik variansi game digitaltinjauan pola mahjong ways harianalur sombol mahjong kemunculan scatterdari rtp mahjong bermain lebih efektifjejak scatter mahjong putaran tenangkejutan scatter wild simbol mahjong arahkemunculan simbol ganda membuat mahjongketika grid mahjong scatter semakin dekatketika rtp mahjong pola mulai lebih jelasketika scatter wild ritme simbol mahjongketika scatter wild titik sesi mahjong waysketika susunan simbol mahjong ritme scattermemahami rtp mahjong cara bermain lebihpergerakan simbol mahjong scatter wildpergeseran mahjong ketika scatter hadirsaat rtp mahjong terbaca baik strategisaat scatter hadir simbol mahjong bergeserscatter wild dinamika simbol mahjongstabilitas putaran mahjong pola scattersusunan baru reel mahjong scatter emassusunan mahjong wins mengandung scattersusunan simbol mahjong diam pola scatterrm menguak keunikan mahjong wins sudut pandang teknisrm cara memahami pergerakan mahjong ways tenaga ekstrarm mahjong wins standar baru industri hiburan digitalrm rahasia ketahanan mahjong ways eksis gempuran gamerm pentingnya memahami transisi level mahjong wins mendalamrm strategi mengatur tempo mahjong ways kendali permainanrm peran kecerdasan buatan mekanisme mahjong wins adilrm alasan keberhasilan mahjong ways mencuri perhatian analisrm mempelajari struktur dasar mahjong wins efisiensi putaranrm inovasi desain mahjong ways kesan bermain responsifrm teknik observasi mahjong wins jarang dibahas dampakrm cara mempertahankan fokus dinamika mahjong ways cepatrm eksplorasi fitur tersembunyi mahjong wins ritme terbaikrm mahjong ways integrasi teknologi modern keamanan nyamanrm analisis faktor pendukung mahjong wins digemari generasirm langkah efektif menyesuaikan perubahan sistem mahjong waysrm mengintip proses pengembangan mahjong wins kualitas penggunarm analisis data membantu membaca arah mahjong waysrm menemukan titik temu insting logika mahjong winsrm transformasi besar mahjong ways menghadirkan tantangan menarikmengungkap simbol langka nasib drastismisteri besar kombinasi simbol langkamisteri simbol langka keberuntungan besarsimbol langka misterius ubah hiduprahasia simbol langka nasib cepattransformasi bonus mahjong wins sistem efektifmahjong wins suguhkan bonus sistem modernsuguhan bonus efisien mahjong winsefektivitas sistem bonus mahjong winsmahjong wins hadirkan bonus sistem optimaloke76cincinbetaqua365slot gacorstc76samurai76TOBA1131samurai76 login