Case Report on Necrotizing Fasciitis following Cesarean Section

Case Report on Necrotizing Fasciitis following Cesarean Section

 Shamaila Mahboob*


*Correspondence to: Shamaila Mahboob, MRCOG UK.

Copyright     

© 2024 Shamaila Mahboob. This is an open access article distributed under the Creative Commons Attribution License, which permits unrestricted use, distribution, and reproduction in any medium, provided the original work is properly cited.

Received: 03 November 2024

Published: 07 November 2024

DOI: https://doi.org/10.5281/zenodo.14051135


Abstract

A 28-year-old female, six days post-cesarean section, presented with severe wound pain, fever, and night sweats. Clinical examination revealed necrotic tissue and signs of sepsis. Prompt surgical debridement and antibiotic therapy led to significant improvement and eventual discharge.


Case Report on Necrotizing Fasciitis following Cesarean Section

Introduction

Necrotizing fasciitis is a rare but life-threatening infection characterized by rapidly progressing necrosis of subcutaneous tissue and fascia. This condition is often referred to as a "flesh-eating disease" due to the aggressive nature of tissue destruction and can result in significant morbidity or mortality if not diagnosed and treated promptly. Early diagnosis and aggressive treatment, including surgical intervention and broad-spectrum antibiotics, are crucial for patient survival. This case report describes a postpartum patient who developed necrotizing fasciitis following a cesarean section and highlights the importance of timely intervention in managing this severe condition.

 

Case Presentation

Patient Description:

-Age: 28 years old

- Gravida/Para: P2 (2 pregnancies, 2 live births)- Postpartum: 6 days post-cesarean section performed at 37 weeks + 6 days due to cord presentation

- Estimated Blood Loss during surgery: 1.2 L- Baby: Well and healthy

- Allergies: Penicillin

 

Medical History:

-Psychiatric History:

The patient has a history of Obsessive-Compulsive Disorder (OCD) and previously used sertraline.

- Cardiology Review:

Reviewed by cardiology for tachycardia during pregnancy; investigations including bedside echocardiogram, CT pulmonary angiography (CTPA), and 24-hour Holter monitor were reassuring.

 

Current Medications:

- Regular Medications: None reported.

- Postoperative Medications: Lactulose, Dihydrocodeine 30 mg as needed, Dalteparin 5000 units once daily for 10 days postoperatively.

 

Presenting Complaints:

Pain: Patient reported severe, sharp wound pain rated 8/10 since the cesarean section, constant in nature, with no radiation.

Other Symptoms: The patient also experienced fever and night sweats. There were no complaints of shortness of breath, cough, chest pain, palpitations, calf pain, edema, or urinary/bowel symptoms.

 

Examination Findings:

- General Appearance: The patient appeared unwell and in distress.

- Airway: Patent; chest clear upon auscultation.- Breathing: Clear bilaterally with good air entry.

- Circulation: Notable findings included a bounding peripheral pulse, tachycardia (HR 142 bpm), warm peripheries, and capillary refill time <3 seconds. The patient was sweating and clammy.- Disability: Glasgow Coma Scale (GCS) scored 15, indicating full consciousness and alertness.

- Exposure: Examination of the abdomen revealed erythema and skin blistering across the lower abdomen, with crepitation noted. The wound site was clean; however, a 4x4 cm area in the right lower quadrant exhibited necrotic black tissue surrounded by green discoloration, with significant tenderness and foul odor.

 

Vital Signs:

- Heart Rate: 142 bpm

- Temperature: 38.2°C- Blood Pressure: 114/59 mmHg

-Oxygen Saturation: 97%- Modified Early Warning Score (MEWS): 2 (red).

 

Laboratory Results:

- Hemoglobin (Hb): 99 g/L- Lactate: 7 mmol/L (indicative of possible tissue hypoperfusion)

- C-reactive Protein (CRP): 348 mg/L (indicating inflammation)- Estimated Glomerular Filtration Rate (eGFR): >60 mL/min (normal renal function)

- Alkaline Phosphatase (ALP): 153 IU/L (mild elevation)- Platelets: 628 x 10^9/L (thrombocytosis)

- White Blood Cell Count (WBC): 16 x 10^9/L (leukocytosis)- Neutrophils: 14 x 10^9/L (indicating bacterial infection)

-Coagulation Profile: Normal.

 

Initial Management and Investigations

Based on the clinical presentation and examination findings, the impression of necrotizing fasciitis with associated sepsis was made. The Sepsis 6 protocol was initiated:

- **Blood

 

Cultures:** Obtained to identify any potential causative organisms.- Lactate Measurement: Elevated lactate level noted, suggesting sepsis.

- CRP Measurement: Conducted to evaluate inflammatory response.- Intravenous Access: Two large-bore cannulae were established in the antecubital fossa.

 -Intravenous Fluids: 0.9% NaCl 500 mL stat, followed by 1 liter over 1 hour.- NPO Status: Patient was made nil by mouth in preparation for potential surgical intervention.

- Microbiology Consultation: Engaged to guide antibiotic choice due to penicillin allergy.- Wound Swab: Obtained for culture.

- Antibiotic Regimen Initiated: Ceftriaxone, metronidazole, and clindamycin were administered intravenously, accounting for the patient's allergy history.

 

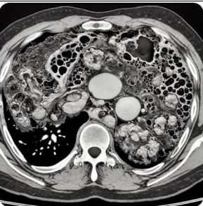
Radiological findings

Imaging Modality: CT Pelvis and Abdomen

1. Subcutaneous and Fascial Gas: Presence of gas within the subcutaneous tissues and fascial planes of the pelvic region, particularly around the lower abdomen, perineum, and pelvic floor. Air tracking along fascial planes is a hallmark of necrotizing fasciitis, strongly suggesting infection in postpartum cases.

2. Soft Tissue Edema and Thickening: Extensive thickening and increased density of subcutaneous tissues and fascial layers in the pelvic and perineal regions, with widespread edema beyond typical boundaries. This indicates rapid spread of infection, especially relevant in the postpartum period.

3. Loss of Fascial Plane Definition: Loss of normal fat plane definition between muscles and fascial layers in the pelvic region. This "fascial blurring" is characteristic of aggressive soft tissue infection.

 4. Fluid Collections or Abscesses: Irregular fluid collections may be present, potentially indicating abscess formation along the pelvic fascial planes or in perineal tissues. These collections often have heterogeneous densities and may contain gas bubbles or necrotic tissue.

 

Surgical Intervention

Following initial resuscitation and stabilization, the patient consented to undergo an exploratory laparotomy with the potential for necrotic tissue removal.

Day 1 Surgery: Primary debridement was performed, where all necrotic tissue was excised. The procedure was extensive due to the significant extent of tissue involvement.- Day 2 Surgery: Wound closure was performed after adequate hemostasis and ensuring clean margins.

 Postoperative Care: The patient was admitted to the Intensive Treatment Unit (ITU) for close monitoring and one-to-one nursing care. Patient-controlled analgesia was established for effective pain management.

 

Microbiology Findings- Organisms Identified:

Culture results revealed Enterococcus faecalis along with mixed anaerobes.

-           Antibiotic Adjustment: Based on culture results, the antibiotic regimen was adjusted to include vancomycin along with the continuation of metronidazole.

 

Follow-up and Progress

-Day 3:

Patient's CRP showed improvement, decreasing to 203 mg/L from 348 mg/L. Platelet counts increased to 726 x 10^9/L. The wound appeared clean and dry, indicating effective debridement and control of the infection. Vancomycin levels were checked.

- Day 4:

Laboratory results indicated further improvement: Hemoglobin dropped to 84 g/L (possibly due to blood loss during surgery), WBC count decreased to 10 x 10^9/L, and platelets rose to 755 x 10^9/L. CRP levels continued to decrease to 123 mg/L, and lactate normalized to 0.7 mmol/L. Routine laboratory tests for urea, electrolytes, and liver function returned normal. Vancomycin levels were recorded at 6.8 (subtherapeutic), prompting an increase in the dosage from 1500 mg BD to 2000 mg BD. Additionally, the patient was started on oral iron supplementation.


-Day 6:

The patient's condition had significantly improved. She appeared well, was able to eat and drink, and her pain was well-controlled. She had normal urinary and bowel movements, with no fever present. Lochia was within normal limits, and the MEWS score was recorded at 0, indicating stable clinical status.

 

Discussion

Necrotizing fasciitis, although rare, poses a serious threat, particularly in the postpartum setting where surgical interventions like cesarean sections can create a pathway for infection. This case illustrates the importance of recognizing early signs of infection, such as increased pain, fever, and changes in wound appearance. The rapid initiation of the Sepsis 6 protocol and aggressive surgical intervention were pivotal in the management of this patient.

 

Timely diagnosis and treatment are essential for a favorable outcome in cases of necrotizing fasciitis. The collaborative approach among surgical, medical, and microbiology teams ensures a comprehensive treatment strategy. This case underscores the need for awareness of the risk factors and clinical presentations of necrotizing fasciitis, particularly following surgical procedures, and the necessity for vigilance in monitoring postpartum patients for potential complications.

 

Conclusion

This case report emphasizes the critical importance of early identification and intervention in cases of necrotizing fasciitis, particularly in a postpartum context. It illustrates how a coordinated, multidisciplinary approach can effectively manage complex surgical infections, resulting in positive patient outcomes.

Regular follow-up and monitoring for complications are essential in the postoperative period, especially in cases with significant risk factors such as surgical history and underlying medical conditions.

Figure 1

Figure 2

antarmuka fokus mahjong daya pengguna aktifaws grid serasi mahjong dasar tahapan terjagaaws jejak mekanisme mahjong arah fase lanjutanaws kajian wild berantai mahjong interaktif analitisaws kesesuaian persentase layanan mahjong seluler lanceraws pendalaman persentase mahjong gerak wild mutakhircorak langka mahjong tumbuh perlahan berubahgerak mahjong adaptasi mekanisme pemakai sekarangnalar scatter mahjong malam putaran ekstratempo mahjong kaitan mekanisme keadaan terkinialur permainan mahjong cepat scatter wilddalam hitungan detik scatter wild mahjongmenyatukan naluri pola scatter hitam mahjongmomen mahjong permainan berbalik arahmomen singkat mahjong dinamika permainanperpaduan insting pola scatter hitam momentperubahan drastis mahjong ways scatter wildscatter wild mahjong datang polasekejap berubah scatter wild mahjong wayssensasi baru mahjong lebih scatter wildenergi scatter emas irama reel mahjongevolusi reel mahjong balutan mistisintervensi cepat emas momentum lamakemunculan mendadak naga emas mahjongketika scatter naga emas aktif mahjongnaga emas muncul arah spin mahjongnaga emas ritme mahjong ways berubahrahasia rtp tinggi balik scatter hitamsaat scatter naga emas alih irama reelscatter hitam kunci lonjakan rtp mahjonge5 scatter wild memberikan sentuhan baru di setiap spin mahjong ways 2e5 scatter wild menghidupkan suasana permainan mahjong ways 2e5 scatter wild mengubah pola permainan mahjong ways 2 secara signifikane5 setiap putaran mahjong ways 2 terasa berbeda dengan scatter wilde5 strategi adaptif berbasis analisis rtp hariane5 strategi berbasis data dan algoritma untuk analisis momentume5 strategi berkembang berkat data rtp hariane5 strategi memahami algoritma untuk mengidentifikasi momentum ideale5 strategi membaca pola algoritma demi menangkap momentum optimale5 strategi modern mengandalkan evaluasi rtp hariane5 strategi responsif dengan dukungan evaluasi rtp hariane5 strategi terukur dengan analisis rtp hariane5 struktur scatter dan wild terlihat jelas berkat analisis sistem moderne5 tanpa disadari kombinasi ini sering mengarah ke scatter di mahjong wins 3e5 teknik evaluasi algoritma untuk mendapatkan momentum yang tepate5 teknik observasi sistem untuk analisis momentum yang lebih presisie5 terungkap formasi ini sering jadi awal munculnya scatter di mahjong wins 3e5 transformasi digital rtp live berkat artificial intelligence inovatife5 transformasi ritme mahjong ways 2 dipicu oleh kekuatan scatter wilde5 wajib tahu pola tersembunyi ini sering menghasilkan scattere5 applee5 bananae5 candye5 doge5 eaglee5 falcone5 geminie5 horsee5 indiae5 japananalisa pola mahjong ways rutinanalisis kinerja heuristik variansi gameanalisis pola mahjong ways hariananalisis pola mahjong ways kebiasaanera baru mahjong wins bonus optimalgebrakan bonus mahjong wins mekanisme efisieninsight pola mahjong ways rutinkajian pola mahjong ways rutinkomparasi heuristik variansi game digitalledakan bonus mahjong wins sistem efektifmahjong wins bonus sistem generasi baruobservasi pola mahjong ways harianpendekatan algoritma heuristik variansi gameperbandingan model heuristik variansi gamerahasia bonus mahjong wins sistem cerdasrangkuman pola mahjong ways harianringkasan pola mahjong ways harianstudi pola mahjong ways hariantinjauan heuristik variansi game digitaltinjauan pola mahjong ways harianalur sombol mahjong kemunculan scatterdari rtp mahjong bermain lebih efektifjejak scatter mahjong putaran tenangkejutan scatter wild simbol mahjong arahkemunculan simbol ganda membuat mahjongketika grid mahjong scatter semakin dekatketika rtp mahjong pola mulai lebih jelasketika scatter wild ritme simbol mahjongketika scatter wild titik sesi mahjong waysketika susunan simbol mahjong ritme scattermemahami rtp mahjong cara bermain lebihpergerakan simbol mahjong scatter wildpergeseran mahjong ketika scatter hadirsaat rtp mahjong terbaca baik strategisaat scatter hadir simbol mahjong bergeserscatter wild dinamika simbol mahjongstabilitas putaran mahjong pola scattersusunan baru reel mahjong scatter emassusunan mahjong wins mengandung scattersusunan simbol mahjong diam pola scatterrm menguak keunikan mahjong wins sudut pandang teknisrm cara memahami pergerakan mahjong ways tenaga ekstrarm mahjong wins standar baru industri hiburan digitalrm rahasia ketahanan mahjong ways eksis gempuran gamerm pentingnya memahami transisi level mahjong wins mendalamrm strategi mengatur tempo mahjong ways kendali permainanrm peran kecerdasan buatan mekanisme mahjong wins adilrm alasan keberhasilan mahjong ways mencuri perhatian analisrm mempelajari struktur dasar mahjong wins efisiensi putaranrm inovasi desain mahjong ways kesan bermain responsifrm teknik observasi mahjong wins jarang dibahas dampakrm cara mempertahankan fokus dinamika mahjong ways cepatrm eksplorasi fitur tersembunyi mahjong wins ritme terbaikrm mahjong ways integrasi teknologi modern keamanan nyamanrm analisis faktor pendukung mahjong wins digemari generasirm langkah efektif menyesuaikan perubahan sistem mahjong waysrm mengintip proses pengembangan mahjong wins kualitas penggunarm analisis data membantu membaca arah mahjong waysrm menemukan titik temu insting logika mahjong winsrm transformasi besar mahjong ways menghadirkan tantangan menarikmengungkap simbol langka nasib drastismisteri besar kombinasi simbol langkamisteri simbol langka keberuntungan besarsimbol langka misterius ubah hiduprahasia simbol langka nasib cepattransformasi bonus mahjong wins sistem efektifmahjong wins suguhkan bonus sistem modernsuguhan bonus efisien mahjong winsefektivitas sistem bonus mahjong winsmahjong wins hadirkan bonus sistem optimaloke76cincinbetaqua365slot gacorstc76samurai76TOBA1131samurai76 login