A Close Endoscopic view of an Aorto-Enteric Fistula

A Close Endoscopic view of an Aorto-Enteric Fistula
Dhanai Di Paolo, MD*1, Alberto Martegani, MD2,  Franco Radaelli, MD 1,  Emanuele Rondonotti, MD, PhD1

 

1. Gastroenterology Unit, Ospedale Valduce, Como, Italy.

2 Radiology Department, Ospedale Valduce, Como, Italy.


*Correspondence to: Dhanai Di Paolo, MD, Gastroenterology Unit, Ospedale Valduce, via Dante 10, 22100, Como, Italy.


Copyright

© 2025 Dhanai Di Paolo, This is an open access article distributed under the Creative Commons Attribution License, which permits unrestricted use, distribution, and reproduction in any medium, provided the original work is properly cited.

Received: 02 January 2025

Published: 16 January 2025

DOI: https://doi.org/10.5281/zenodo.15139909


Abstract:

Aorto-enteric fistula (AEF) is a rare but potentially life-threatening condition, defined as an abnormal connection between the aorta and the gastrointestinal tract. It is most often caused by the compression of an abdominal aortic aneurysm (AAA) against gastrointestinal walls or the erosion of an aortic prosthetic graft into the surrounding enteric structures. Patients generally present with massive bleeding leading to hemodynamic instability and, therefore, this condition is usually diagnosed by means of radiological imaging techniques (namely angio-CT). Conversely, we present a case of a 69-year-old man admitted for severe iron deficiency anemia (IDA) and recurrent episodes of self-limited rectal bleeding, in which we diagnosed an aorta-enteric fistula during enteroscopy. Fortunately, no signs of ongoing bleeding were seen during the endoscopi examination. An urgent angio-CT was performed to confirm the diagnosis and the patient was then handled by Vascular Surgery Department for further management.

Key words: aorto-enteric fistula, small bowel bleeding, iron deficiency anemia, small bowel enteroscopy, video capsule endoscopy.


A Close Endoscopic view of an Aorto-Enteric Fistula

Abbreviations: Aorto-enteric fistula (AEF), abdominal aortic aneurysm (AAA), angio-computed tomography (angio-CT), iron deficiency anemia (IDA), video capsule endoscopy (VCE), device assisted enteroscopy (DAE).

 

Introduction

A 69-year-old man with a 18 months history of suspected small bowel bleeding was admitted for asthenia and recent episodes of self-limiting rectal bleeding. The patient had a past history of complicated aorto-uni-iliac prosthesis placement for abdominal aortic aneurysm, but a recent angio-computed tomography (angio-CT) excluded endoleak. A bidirectional endoscopy was performed in previous months, not identifying any source of bleeding.

 

Case Report

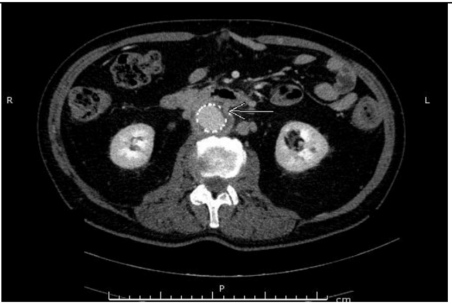
The patient was admitted with a severe IDA, confirmed by laboratory tests (Hb 4.3 g/dL, MCV 76 fl, ferritine 3 ng/ml), with no blood traces at rectal examination. Hemodynamical stability was maintained during all hospitalization; six blood transfusions was overall infused. Taking into account the previous investigations, a video capsule endoscopy (VCE) was performed showing minimal traces of red blood in the proximal small bowel lumen, without obvious mucosal lesions (Figure A). We decided to further investigate the small bowel with a per-oral device assisted enteroscopy (DAE), with identified a bulging with an adherent clot (Figure B) in the distal duodenum. The clot was gently washed with no signs of ongoing bleeding; its removal exposed a deep ulceration containing a yellowish structure behind (Figure C). An urgent angio-CT confirming the aorto-duodenal fistula (Fig. D) was performed and the patient was transferred to Vascular Surgery Department for surgical treatment.

 

A. Video capsule endoscopy: traces of red blood (green arrows) in the duodenal lumen without obvious mucosal lesions.

B. Per-oral device assisted enteroscopy: mucosal bulging with adherent clot.

C. Per-oral device assisted enteroscopy: deep ulceration with a yellowish mesh tubular structure (endovascular prosthesis wall) at the bottom.

D. Angio-CT: aorto-duodenal fistula (white arrow).


Discussion

Aorto-enteric fistula (AEF) is a rare but potentially life-threatening condition. Massive bleeding with hemodynamic instability is the most common presentation and therefore it is usually diagnosed by means of radiological imaging techniques (namely angio-CT). Conversely, in the present case, the patient presented with iron deficiency anemia and enteroscopy allowed to obtain the final diagnosis.

Taking into account the negative bidirectional endoscopies at time of admission, a VCE was performed, showing minimal traces of red blood in the proximal small bowel lumen. This finding, without evidence of obvious mucosal lesion, might be regarded as a minor non-relevant finding. However, bleeding from AEF typically occurs in two steps: a minor initial “herald” bleeding followed by a major bleeding event. Furthermore, in the proximal small bowel, VCE can depict bleeding signs but might miss even large lesions, because of its fast progression. Therefore, when even minor stigmata of recent bleeding (i.e. fresh blood in the lumen) are observed, further investigations, like per-oral enteroscopy, are mandatory. In addition, in such a case, all the efforts to minimize mucosal trauma (to prevent false positive findings) and to maximize small bowel surface inspection (to avoid false negative examinations) should be done. Therefore, this patient underwent per-oral DAE with CO2 insufflation and with a soft hood at the tip of the endoscope. These technical tricks allowed to carefully evaluate the small bowel mucosa and to safely inspect the ulcer base and to gently mobilize the clot, identifying the prosthesis wall (the yellowish mesh tubular structure showed in Figure B).

Although the direct visualization of an aortic prosthesis through ulcerated small bowel wall is something that no endoscopist would ever want to see in his own practice, in our opinion it is fundamental to know how an aorto-enteric fistula endoscopically looks like, to quickly recognize it when performing GI endoscopy in patients with aortic prosthesis.

After endoscopy, since no signs of ongoing bleeding were seen and the patient remained hemodinamically stable, an urgent angio-CT confirming the aorta-duodenal fistula was performed.

The management of aorto-enteric fistula is extremely tricky; the aortic repair could occur by open surgery or end-vascular approach depending on AEF clinical presentation, patient comorbidities and aorta anatomy. Therefore the patient was transferred to Vascular Surgery Department, where he underwent a complete graft excision followed by a bilateral axillo-femoral bypass.

Figure 1

Figure 2

Figure 3

Figure 4

antarmuka fokus mahjong daya pengguna aktifaws grid serasi mahjong dasar tahapan terjagaaws jejak mekanisme mahjong arah fase lanjutanaws kajian wild berantai mahjong interaktif analitisaws kesesuaian persentase layanan mahjong seluler lanceraws pendalaman persentase mahjong gerak wild mutakhircorak langka mahjong tumbuh perlahan berubahgerak mahjong adaptasi mekanisme pemakai sekarangnalar scatter mahjong malam putaran ekstratempo mahjong kaitan mekanisme keadaan terkinialur permainan mahjong cepat scatter wilddalam hitungan detik scatter wild mahjongmenyatukan naluri pola scatter hitam mahjongmomen mahjong permainan berbalik arahmomen singkat mahjong dinamika permainanperpaduan insting pola scatter hitam momentperubahan drastis mahjong ways scatter wildscatter wild mahjong datang polasekejap berubah scatter wild mahjong wayssensasi baru mahjong lebih scatter wildenergi scatter emas irama reel mahjongevolusi reel mahjong balutan mistisintervensi cepat emas momentum lamakemunculan mendadak naga emas mahjongketika scatter naga emas aktif mahjongnaga emas muncul arah spin mahjongnaga emas ritme mahjong ways berubahrahasia rtp tinggi balik scatter hitamsaat scatter naga emas alih irama reelscatter hitam kunci lonjakan rtp mahjonge5 scatter wild memberikan sentuhan baru di setiap spin mahjong ways 2e5 scatter wild menghidupkan suasana permainan mahjong ways 2e5 scatter wild mengubah pola permainan mahjong ways 2 secara signifikane5 setiap putaran mahjong ways 2 terasa berbeda dengan scatter wilde5 strategi adaptif berbasis analisis rtp hariane5 strategi berbasis data dan algoritma untuk analisis momentume5 strategi berkembang berkat data rtp hariane5 strategi memahami algoritma untuk mengidentifikasi momentum ideale5 strategi membaca pola algoritma demi menangkap momentum optimale5 strategi modern mengandalkan evaluasi rtp hariane5 strategi responsif dengan dukungan evaluasi rtp hariane5 strategi terukur dengan analisis rtp hariane5 struktur scatter dan wild terlihat jelas berkat analisis sistem moderne5 tanpa disadari kombinasi ini sering mengarah ke scatter di mahjong wins 3e5 teknik evaluasi algoritma untuk mendapatkan momentum yang tepate5 teknik observasi sistem untuk analisis momentum yang lebih presisie5 terungkap formasi ini sering jadi awal munculnya scatter di mahjong wins 3e5 transformasi digital rtp live berkat artificial intelligence inovatife5 transformasi ritme mahjong ways 2 dipicu oleh kekuatan scatter wilde5 wajib tahu pola tersembunyi ini sering menghasilkan scattere5 applee5 bananae5 candye5 doge5 eaglee5 falcone5 geminie5 horsee5 indiae5 japananalisa pola mahjong ways rutinanalisis kinerja heuristik variansi gameanalisis pola mahjong ways hariananalisis pola mahjong ways kebiasaanera baru mahjong wins bonus optimalgebrakan bonus mahjong wins mekanisme efisieninsight pola mahjong ways rutinkajian pola mahjong ways rutinkomparasi heuristik variansi game digitalledakan bonus mahjong wins sistem efektifmahjong wins bonus sistem generasi baruobservasi pola mahjong ways harianpendekatan algoritma heuristik variansi gameperbandingan model heuristik variansi gamerahasia bonus mahjong wins sistem cerdasrangkuman pola mahjong ways harianringkasan pola mahjong ways harianstudi pola mahjong ways hariantinjauan heuristik variansi game digitaltinjauan pola mahjong ways harianalur sombol mahjong kemunculan scatterdari rtp mahjong bermain lebih efektifjejak scatter mahjong putaran tenangkejutan scatter wild simbol mahjong arahkemunculan simbol ganda membuat mahjongketika grid mahjong scatter semakin dekatketika rtp mahjong pola mulai lebih jelasketika scatter wild ritme simbol mahjongketika scatter wild titik sesi mahjong waysketika susunan simbol mahjong ritme scattermemahami rtp mahjong cara bermain lebihpergerakan simbol mahjong scatter wildpergeseran mahjong ketika scatter hadirsaat rtp mahjong terbaca baik strategisaat scatter hadir simbol mahjong bergeserscatter wild dinamika simbol mahjongstabilitas putaran mahjong pola scattersusunan baru reel mahjong scatter emassusunan mahjong wins mengandung scattersusunan simbol mahjong diam pola scatterrm menguak keunikan mahjong wins sudut pandang teknisrm cara memahami pergerakan mahjong ways tenaga ekstrarm mahjong wins standar baru industri hiburan digitalrm rahasia ketahanan mahjong ways eksis gempuran gamerm pentingnya memahami transisi level mahjong wins mendalamrm strategi mengatur tempo mahjong ways kendali permainanrm peran kecerdasan buatan mekanisme mahjong wins adilrm alasan keberhasilan mahjong ways mencuri perhatian analisrm mempelajari struktur dasar mahjong wins efisiensi putaranrm inovasi desain mahjong ways kesan bermain responsifrm teknik observasi mahjong wins jarang dibahas dampakrm cara mempertahankan fokus dinamika mahjong ways cepatrm eksplorasi fitur tersembunyi mahjong wins ritme terbaikrm mahjong ways integrasi teknologi modern keamanan nyamanrm analisis faktor pendukung mahjong wins digemari generasirm langkah efektif menyesuaikan perubahan sistem mahjong waysrm mengintip proses pengembangan mahjong wins kualitas penggunarm analisis data membantu membaca arah mahjong waysrm menemukan titik temu insting logika mahjong winsrm transformasi besar mahjong ways menghadirkan tantangan menarikmengungkap simbol langka nasib drastismisteri besar kombinasi simbol langkamisteri simbol langka keberuntungan besarsimbol langka misterius ubah hiduprahasia simbol langka nasib cepattransformasi bonus mahjong wins sistem efektifmahjong wins suguhkan bonus sistem modernsuguhan bonus efisien mahjong winsefektivitas sistem bonus mahjong winsmahjong wins hadirkan bonus sistem optimaloke76cincinbetaqua365slot gacorstc76samurai76TOBA1131samurai76 login