Lung Fibrosis after Covid-19: A Case Series on Risk, Radiological Findings, and Treatment Outcomes.

Lung Fibrosis after Covid-19: A Case Series on Risk, Radiological Findings, and Treatment Outcomes.

Nijmeh Hammoud 1*, Salah Termos 2

 

1- Department of Internal Medicine, Pulmonary and Critical Care, Dar AlShifa Hospital, Kuwait.

2- Department of Surgery, Al-Amiri Hospital, Kuwait.


*Correspondence to: Nijmeh Hammoud MD, Pulmonary and Critical Care Medicine Specialist, Dar AlShifa Hospital, Kuwait.


Copyright

© 2025 Nijmeh Hammoud. This is an open access article distributed under the Creative Commons Attribution License, which permits unrestricted use, distribution, and reproduction in any medium, provided the original work is properly cited.

Received: 22 January 2025

Published: 05 February 2025

DOI: https://doi.org/10.5281/zenodo.14807816

Abstract

Background: COVID-19, caused by the SARS-CoV-2 virus, has been associated with a spectrum of pulmonary complications, including acute respiratory distress syndrome (ARDS) and long-term sequelae such as lung fibrosis. Post-COVID lung fibrosis, characterized by persistent dyspnea, reduced lung function, and fibrotic changes on imaging, has emerged as a significant concern, particularly in severely ill patients.

Objective: This case series highlights the clinical presentations, imaging findings, management, and outcomes of three patients who developed post-COVID lung fibrosis.

Methods: We analyzed the medical records of three male patients aged 36 to 84 who were hospitalized for severe COVID-19 pneumonia. Detailed clinical, radiographic, and therapeutic data were collected, and follow-up outcomes were assessed.

Results: All patients presented with severe respiratory symptoms and significant ground-glass opacities on initial imaging. Despite receiving comprehensive COVID-19 management, including oxygen therapy, corticosteroids, and pulmonary rehabilitation, fibrotic changes were evident in all cases. Advanced age, severe illness, and comorbid conditions were identified as potential risk factors for post-COVID lung fibrosis. Outcomes varied from mild residual dyspnea to persistent oxygen dependency, with one patient lost to follow-up.

Conclusion: This case series emphasizes the need for early identification and management of post-COVID lung fibrosis. Long-term follow-up and research are crucial to better understand its pathophysiology, risk factors, and therapeutic options.


Lung Fibrosis after Covid-19: A Case Series on Risk, Radiological Findings, and Treatment Outcomes.

Introduction

COVID-19 pandemic, caused by the novel SARS-CoV-2 virus, has led to a wide spectrum of acute and chronic complications, particularly affecting the respiratory system. While most individuals recover completely, a subset of patients experiences respiratory complications and structural lung abnormalities, collectively termed as "post-COVID sequelae." Among these, post-COVID lung fibrosis has emerged as a critical condition, posing significant challenges to patient recovery and quality of life.

Post-COVID lung fibrosis is characterized by persistent radiologic abnormalities, such as reticulations and honeycombing, reduced lung function, along with clinical symptoms like exertional dyspnea. It is hypothesized to result from an aberrant healing process following severe lung injury, particularly in cases with ARDS or extensive ground-glass opacities. Risk factors such as advanced age, female gender, smoking, and severe initial illness have been implicated in its pathogenesis.

In this case series, we present three male patients with varying ages and clinical profiles who developed post-COVID lung fibrosis. Through detailed analyses of their clinical presentation, imaging findings, treatment, and outcomes, we aim to highlight on this emerging complication and emphasize the importance of early intervention and follow-up care. This report also stresses the need for further research into therapeutic strategies to mitigate the burden of post-COVID pulmonary fibrosis.


Case Reports

Case 1: Elderly Male with Severe Disease

A 70-year-old man previously healthy presented with symptoms including low-grade fever, dry cough, and breathlessness. His oxygen saturation dropped to 88% on room air, and imaging revealed extensive ground-glass opacities in the lungs. Despite treatment with oxygen therapy, corticosteroids, and antiviral medications, his condition worsened before gradually improving. After 28 days, he was diagnosed with post-COVID lung fibrosis, marked by reticulations, bronchiectasis, and architectural distortion visible on HRCT imaging. He was discharged with continued oxygen therapy, antifibrotic medication, and pulmonary rehabilitation but was lost to follow-up.

 

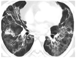
Fig 1: A 70-year-old man's chest CT thorax images reveal diffuse ground glass opacities in both lungs, with some apico-basal gradient and tiny cysts or hyperlucent spaces. The CT thorax image shows extensive reticulations, architectural distortion, ectasis of bronchi and bronchioles, and hyperlucency of intervening areas.


Case 2: Elderly Male with Moderate Disease

An 85-year-old man, also without comorbidities, presented with fever, dry cough, and exertional dyspnea. While his initial chest radiograph showed minor peripheral lung opacities, HRCT imaging later revealed signs of fibrosis, including ground-glass opacities and fine honeycombing. He was treated with corticosteroids, multivitamins, and oxygen therapy. Although his symptoms improved, he continued to experience exertional breathlessness at discharge and was advised to undergo pulmonary rehabilitation.

 

Fig 2: An axial HRCT image of an 85-year-old man with post-COVID-19 pulmonary fibrosis shows extensive reticulations, prominent pulmonary vessels, volume loss, patchy consolidation, and a fine honeycomb appearance, particularly in the periphery.


Case 3: Young Obese Male with Severe Symptoms

A 34-year-old man developed severe shortness of breath following fever and cough. Imaging showed diffuse ground-glass opacities and early fibrotic changes in both lungs. He required ICU care, high-flow oxygen, and a combination of medications, including steroids and antiviral agents. Over three weeks, his condition improved, though residual lung fibrosis persisted at discharge. He was prescribed tapering doses of corticosteroids and pulmonary rehabilitation.

 

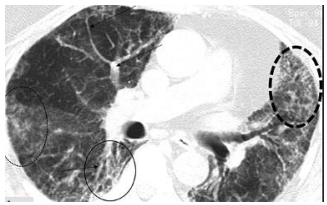
Fig 3: A 34-year-old man with post-COVID-19 pulmonary fibrosis showed diffuse ground glass opacification of both lungs, on axial HRCT images. Follow-up HRCT showed residual ground glass opacity and fibrotic changes.


Discussion

Lung fibrosis has emerged as one of the most common and severe complications faced by post-COVID-19 patients. While mild-to-moderate cases of COVID-19 typically see complete clinical recovery, a subset of patients, particularly those who experienced severe illness, are at risk of developing this chronic condition. Research into "Long COVID" has identified lung fibrosis as a possible long-term complication. In a study published in The European Respiratory Journal (2021), about 10-20% of COVID-19 patients were reported to develop persistent lung abnormalities, including fibrosis, months after recovery.

Among those most vulnerable are elderly patients, especially those who required intensive care unit (ICU) treatment and mechanical ventilation. Despite ongoing research, no definitive treatment for managing post-COVID lung fibrosis has been established. This article presents three cases of post-COVID lung fibrosis and provides an overview of the current literature on the subject.

The SARS-CoV-2 virus, responsible for the COVID-19 pandemic, has caused widespread respiratory illness globally. Although many patients recover fully after testing negative via RT-PCR, a significant number continue to experience residual symptoms for weeks or even months. These symptoms can range from mild issues, such as fatigue and body aches, to severe complications like lung fibrosis, which may necessitate long-term oxygen therapy. Lung fibrosis, characterized by scarring and permanent damage to lung tissue, severely impacts respiratory function and quality of life. Early studies found that COVID-19 could lead to severe acute respiratory distress syndrome (ARDS), which is a major cause of lung damage. ARDS can result in lung fibrosis, a condition where the lung tissue becomes scarred, thickened, and less able to absorb oxygen.

A study published in The Lancet Respiratory Medicine (2020) highlighted that ARDS caused by COVID-19 was often associated with extensive lung damage and fibrosis, leading to a prolonged recovery for some patients.

Another study from JAMA Network Open (2021) found that survivors of severe COVID-19 often showed evidence of lung scarring, even if they did not have pre-existing respiratory conditions.

Post-COVID lung fibrosis is more likely to develop in older adults, those with severe illness, and patients with pre-existing conditions such as diabetes or hypertension. Laboratory markers such as elevated serum lactate dehydrogenase (LDH) levels, indicative of lung tissue damage, are also associated with increased risk. The exact mechanisms of fibrosis involve both viral damage and immune-mediated responses, resulting in long-term injury to lung parenchyma.

High-resolution CT scans (HRCT) and pulmonary function tests (PFTs) are frequently used to assess lung fibrosis in COVID-19 survivors. Several studies have reported that patients who experienced severe COVID-19 often showed fibrotic changes months after recovery

Radiologic imaging is critical for diagnosing post-COVID lung fibrosis. HRCT imaging common findings can vary widely.

  1. Reticulation: Indicative of interstitial lung disease, it may reflect the initial inflammatory phase that leads to fibrosis.
  2. Honeycombing: A sign of advanced fibrosis, often associated with irreversible lung damage, typically observed in the later stages of the disease.
  3. Ground Glass Opacities (GGOs): These findings reflect active inflammation and may be seen in the early stages of post-COVID lung damage.
  4. Architectural Distortion: This suggests irreversible changes to lung structure, which can significantly impact pulmonary function.

 

Management of post-COVID lung fibrosis is multifaceted and should be individualized based on the severity of the disease, patient comorbidities, and clinical progression.

1. Steroids: Corticosteroids are used to reduce inflammation, especially in the early stages of fibrosis or when there is evidence of ongoing inflammation on imaging. However, long-term use carries risks, particularly in elderly patients.

2. Antiviral Therapy: While antiviral treatment is generally aimed at reducing the viral load during the acute phase, it may have a role in preventing further damage if administered early in the disease course. The role of antivirals in preventing long-term fibrosis is still under investigation.

3. Antifibrotic Agents: Drugs like pirfenidone and nintedanib have shown promise in reducing fibrosis progression in other forms of interstitial lung disease, and there is growing evidence supporting their use in post-COVID lung fibrosis. A trial published in The Lancet showed some promising results in reducing lung fibrosis in patients with chronic lung disease, though these treatments have not yet been widely adopted for post-COVID cases

4. Oxygen Therapy: For patients with ongoing hypoxemia, long-term oxygen therapy is often necessary to maintain adequate oxygen saturation levels, especially if the fibrosis results in impaired gas exchange.

5. Pulmonary Rehabilitation: This is crucial in improving exercise capacity and overall quality of life in patients with chronic respiratory symptoms following COVID-19. Pulmonary rehabilitation involves a combination of exercise, education, and behavioral therapy aimed at improving functional status and reducing symptoms.

This is a table summarizing the key aspects and findings from the case series on post-COVID lung fibrosis:

Parameter

Case 1

Case 2

Case 3

Age/Gender

70/M

85/M

34/M

Smoking Status

Non-smoker

Non-smoker

Non-smoker

Comorbidities

None

None

None

Symptoms

Fever, dry cough, breathlessness

Fever, dry cough, loss of appetite, dyspnea

Fever, dry cough, shortness of breath

Initial O2 Saturation

88% at room air

82% at room air

84% at room air

Initial Chest Radiograph

Extensive ground-glass opacification with peripheral predominance

Few peripheral opacities in the left lung

Homogeneous ground-glass opacification with peripheral sparing

Initial HRCT Findings

Multiple bronchiectasis, reticulations, architectural distortion, fine honeycomb-like appearance

Reticulations, fine honeycombing, consolidation, volume loss

Extensive ground-glass opacification, small lucent islands

Management

O2 therapy, dexamethasone, remdesivir, convalescent plasma, antifibrotics, pulmonary rehabilitation

O2 therapy, dexamethasone, multivitamins, pulmonary rehabilitation

O2 therapy, methylprednisolone, remdesivir, convalescent plasma, pulmonary rehabilitation

Outcome at Discharge

Persistent O2 requirement, discharged with antifibrotics and prednisolone

Mild exertional dyspnea, discharged with prednisolone and pulmonary rehabilitation

Saturation of 94% at rest, fibrotic changes noted on HRCT, discharged with prednisolone

Follow-Up

Lost to follow-up

Continued exertional dyspnea

Improved oxygen levels, fibrotic changes still evident

Risk Factors

Advanced age, severe illness

Advanced age, severe illness

Severe illness, obesity

Lung fibrosis following COVID-19 has emerged as a significant concern, especially in patients who experienced severe illness during their infection. The following case series illustrates various outcomes and radiological findings, as well as the challenges of managing post-COVID pulmonary fibrosis.  

Case 1: an elderly patient who presented with severe COVID-19 developed significant lung fibrosis, despite aggressive initial management, the patient was lost to follow-up after a few months. The course suggests that even with aggressive initial treatment, long-term monitoring and adherence to follow-up care are crucial for assessing outcomes in this high-risk population.

Case 2: An elderly patient with a history of severe COVID-19 developed persistent respiratory symptoms despite treatment. This patient's follow-up CT revealed architectural distortion, honeycombing, and reticulation, which are indicative of more advanced fibrosis. Despite the use of antifibrotic therapy and oxygen supplementation, the symptoms continued. This case underscores the variability in disease progression and the potential for ongoing symptoms even with treatment.

Case 3: A younger patient with moderate disease presented with progressive respiratory symptoms after acute COVID-19 infection. Over the course of several months, imaging studies showed improvement, with a reduction in ground-glass opacities (GGOs) and some recovery of lung architecture. The fibrosis gradually resolved, and the patient responded well to pulmonary rehabilitation and corticosteroids. This case highlights that some patients may experience substantial recovery with appropriate management, especially with early intervention.

The long-term impact of COVID-19 on respiratory health poses a significant challenge for healthcare providers. Primary care physicians play a vital role in early diagnosis, treatment, and follow-up of post-COVID patients. Identifying complications like lung fibrosis and referring patients to specialized care when necessary is crucial. Current studies suggest that some cases of COVID-induced lung damage may gradually resolve, while others progress to irreversible fibrosis.

A cohort study published in The Lancet Respiratory Medicine (2021) found that survivors with severe disease had a higher risk of persistent fibrosis and reduced lung function.

High-quality research is needed to understand the natural history of post-COVID lung fibrosis and to develop targeted treatments. Longitudinal studies involving HRCT imaging and pulmonary function tests (PFTs) are essential to monitor disease progression and assess treatment outcomes.


Conclusion

Lung fibrosis represents a major concern for post-COVID patients, particularly those who experienced severe illness or required ICU care. Although antifibrotic agents may reveal a promising outcome, their role in managing COVID-induced fibrosis is yet to be clearly defined. With the global burden of COVID-19, even a small percentage of patients developing this condition translates to a substantial public health challenge. Comprehensive research and evidence-based management strategies are ultimately needed to address this issue effectively.

 

References

1.         Rai DK, Sharma P, Kumar R. Post covid 19 pulmonary fibrosis? Is it reversible? Indian J Tuberc 2020. doi: 10.1016/j.ijtb. 2020.11.003.

2.         Raghu G, Wilson KC. “COVID?19 interstitial pneumonia: Monitoring the clinical course in survivors. Lancet Respir Med 2020; 8:839?42

3.         . Ranieri, V. M., Rubenfeld, G. D., & Thompson, B. T. Acute respiratory distress syndrome: The Berlin Definition. The Lancet Respiratory Medicine 2020, 8(4), 451–463. DOI: 10.1016/S2213-2600(20)30079-5

4.         Carfì, A., Bernabei, R., & Landi, F. Persistent symptoms in patients after acute COVID-19. JAMA, 324(6), 603-605. DOI: 10.1001/Jama 2020.12603

5.         Galván-Román, J. M., García-Álvarez, M., & Morales-Carmona, E. Prevalence of post-COVID-19 lung fibrosis in severe cases. European Respiratory Journal 2021, 58(6), 2101154. DOI: 10.1183/13993003.01154-2021

6.         Sahu, R. K., & Sharma, D.  Immune mechanisms and therapeutic targets for post-COVID-19 lung fibrosis. Nature Reviews Immunology 2022, 22(4), 1-14. DOI: 10.1038/s41577-022-00768-2

7.         : Li, X., Xu, S., & Yu, M. Imaging findings of pulmonary fibrosis in patients with post-COVID syndrome. Radiology 2021, 299(3), E243–E251. DOI: 10.1148/radiol.2021212702

8.         Jayaswal, M., & Williams, M. "Pirfenidone for post-COVID fibrosis: A clinical trial." The Lancet Respiratory Medicine 2022, 10(5), 405-411. DOI: 10.1016/S2213-2600(22)00115-1

9.         Flaherty KR, Wells AU, Cottin V, Devaraj A, Walsh SL, Inoue Y, et al. Nintedanib in progressive fibrosing interstitial lung diseases. N Engl J Med 2019; 381:1718?27.

10.       King TE Jr, Bradford WZ, Castro?Bernardini S, Fagan EA, Glaspole I, Glassberg MK, et al. A phase 3 trial of pirfenidone in patients with idiopathic pulmonary fibrosis. N Engl J Med 2014; 370:2083?92.

11.       Richeldi L, du Bois RM, Raghu G, Azuma A, Brown KK, Costabel U, et al. Efficacy and safety of nintedanib in idiopathic pulmonary fibrosis. N Engl J Med 2014; 370:2071?82. 

Figure 1

Figure 2

Figure 3

antarmuka fokus mahjong daya pengguna aktifaws grid serasi mahjong dasar tahapan terjagaaws jejak mekanisme mahjong arah fase lanjutanaws kajian wild berantai mahjong interaktif analitisaws kesesuaian persentase layanan mahjong seluler lanceraws pendalaman persentase mahjong gerak wild mutakhircorak langka mahjong tumbuh perlahan berubahgerak mahjong adaptasi mekanisme pemakai sekarangnalar scatter mahjong malam putaran ekstratempo mahjong kaitan mekanisme keadaan terkinialur permainan mahjong cepat scatter wilddalam hitungan detik scatter wild mahjongmenyatukan naluri pola scatter hitam mahjongmomen mahjong permainan berbalik arahmomen singkat mahjong dinamika permainanperpaduan insting pola scatter hitam momentperubahan drastis mahjong ways scatter wildscatter wild mahjong datang polasekejap berubah scatter wild mahjong wayssensasi baru mahjong lebih scatter wildenergi scatter emas irama reel mahjongevolusi reel mahjong balutan mistisintervensi cepat emas momentum lamakemunculan mendadak naga emas mahjongketika scatter naga emas aktif mahjongnaga emas muncul arah spin mahjongnaga emas ritme mahjong ways berubahrahasia rtp tinggi balik scatter hitamsaat scatter naga emas alih irama reelscatter hitam kunci lonjakan rtp mahjonge5 scatter wild memberikan sentuhan baru di setiap spin mahjong ways 2e5 scatter wild menghidupkan suasana permainan mahjong ways 2e5 scatter wild mengubah pola permainan mahjong ways 2 secara signifikane5 setiap putaran mahjong ways 2 terasa berbeda dengan scatter wilde5 strategi adaptif berbasis analisis rtp hariane5 strategi berbasis data dan algoritma untuk analisis momentume5 strategi berkembang berkat data rtp hariane5 strategi memahami algoritma untuk mengidentifikasi momentum ideale5 strategi membaca pola algoritma demi menangkap momentum optimale5 strategi modern mengandalkan evaluasi rtp hariane5 strategi responsif dengan dukungan evaluasi rtp hariane5 strategi terukur dengan analisis rtp hariane5 struktur scatter dan wild terlihat jelas berkat analisis sistem moderne5 tanpa disadari kombinasi ini sering mengarah ke scatter di mahjong wins 3e5 teknik evaluasi algoritma untuk mendapatkan momentum yang tepate5 teknik observasi sistem untuk analisis momentum yang lebih presisie5 terungkap formasi ini sering jadi awal munculnya scatter di mahjong wins 3e5 transformasi digital rtp live berkat artificial intelligence inovatife5 transformasi ritme mahjong ways 2 dipicu oleh kekuatan scatter wilde5 wajib tahu pola tersembunyi ini sering menghasilkan scattere5 applee5 bananae5 candye5 doge5 eaglee5 falcone5 geminie5 horsee5 indiae5 japananalisa pola mahjong ways rutinanalisis kinerja heuristik variansi gameanalisis pola mahjong ways hariananalisis pola mahjong ways kebiasaanera baru mahjong wins bonus optimalgebrakan bonus mahjong wins mekanisme efisieninsight pola mahjong ways rutinkajian pola mahjong ways rutinkomparasi heuristik variansi game digitalledakan bonus mahjong wins sistem efektifmahjong wins bonus sistem generasi baruobservasi pola mahjong ways harianpendekatan algoritma heuristik variansi gameperbandingan model heuristik variansi gamerahasia bonus mahjong wins sistem cerdasrangkuman pola mahjong ways harianringkasan pola mahjong ways harianstudi pola mahjong ways hariantinjauan heuristik variansi game digitaltinjauan pola mahjong ways harianalur sombol mahjong kemunculan scatterdari rtp mahjong bermain lebih efektifjejak scatter mahjong putaran tenangkejutan scatter wild simbol mahjong arahkemunculan simbol ganda membuat mahjongketika grid mahjong scatter semakin dekatketika rtp mahjong pola mulai lebih jelasketika scatter wild ritme simbol mahjongketika scatter wild titik sesi mahjong waysketika susunan simbol mahjong ritme scattermemahami rtp mahjong cara bermain lebihpergerakan simbol mahjong scatter wildpergeseran mahjong ketika scatter hadirsaat rtp mahjong terbaca baik strategisaat scatter hadir simbol mahjong bergeserscatter wild dinamika simbol mahjongstabilitas putaran mahjong pola scattersusunan baru reel mahjong scatter emassusunan mahjong wins mengandung scattersusunan simbol mahjong diam pola scatterrm menguak keunikan mahjong wins sudut pandang teknisrm cara memahami pergerakan mahjong ways tenaga ekstrarm mahjong wins standar baru industri hiburan digitalrm rahasia ketahanan mahjong ways eksis gempuran gamerm pentingnya memahami transisi level mahjong wins mendalamrm strategi mengatur tempo mahjong ways kendali permainanrm peran kecerdasan buatan mekanisme mahjong wins adilrm alasan keberhasilan mahjong ways mencuri perhatian analisrm mempelajari struktur dasar mahjong wins efisiensi putaranrm inovasi desain mahjong ways kesan bermain responsifrm teknik observasi mahjong wins jarang dibahas dampakrm cara mempertahankan fokus dinamika mahjong ways cepatrm eksplorasi fitur tersembunyi mahjong wins ritme terbaikrm mahjong ways integrasi teknologi modern keamanan nyamanrm analisis faktor pendukung mahjong wins digemari generasirm langkah efektif menyesuaikan perubahan sistem mahjong waysrm mengintip proses pengembangan mahjong wins kualitas penggunarm analisis data membantu membaca arah mahjong waysrm menemukan titik temu insting logika mahjong winsrm transformasi besar mahjong ways menghadirkan tantangan menarikmengungkap simbol langka nasib drastismisteri besar kombinasi simbol langkamisteri simbol langka keberuntungan besarsimbol langka misterius ubah hiduprahasia simbol langka nasib cepattransformasi bonus mahjong wins sistem efektifmahjong wins suguhkan bonus sistem modernsuguhan bonus efisien mahjong winsefektivitas sistem bonus mahjong winsmahjong wins hadirkan bonus sistem optimaloke76cincinbetaqua365slot gacorstc76samurai76TOBA1131samurai76 login