Endoscopic Ultrasound-Guided Gastroenterostomy for Malignant Distal Duodenal Obstruction from Pancreatic Adenocarcinoma

Endoscopic Ultrasound-Guided Gastroenterostomy for Malignant Distal Duodenal Obstruction from Pancreatic Adenocarcinoma
Manjakkollai Veerabagu, MD 1, Marissa Jansen, BS 2*

 

1.  Affiliated Associate Professor at Medical University of South Carolina

2. Medical Student at Medical University of South Carolina.


*Correspondence to: Marissa Jansen, BS, Medical Student at Medical University of South Carolina.


Copyright

© 2025 Marissa Jansen, BS, This is an open access article distributed under the Creative Commons Attribution License, which permits unrestricted use, distribution, and reproduction in any medium, provided the original work is properly cited.

Received: 25 January 2025

Published: 05 February 2025

DOI: https://doi.org/10.5281/zenodo.15140016


Abstract:

Endoscopic ultrasound-guided gastroenterostomy (EUS-GE) has emerged recently as the minimally invasive procedure for gastric outlet obstruction due to malignancies. It has been preferred to surgical gastrojejunostomy (SGJ). We present a patient with distal duodenal obstruction due to pancreatic cancer who was palliated by this procedure. The reduced length of stay, time to oral intake, adverse events and least disruption to chemotherapy have helped to bring this procedure to the forefront in place of surgical alternative. 

Keywords: endoscopic ultrasound, gastroenterostomy, surgical gastrojejunostomy.


Endoscopic Ultrasound-Guided Gastroenterostomy for Malignant Distal Duodenal Obstruction from Pancreatic Adenocarcinoma

Case History 

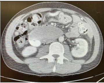
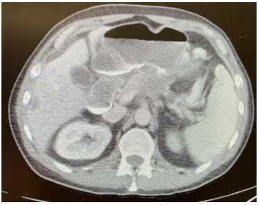
The patient is a 48-year-old male who was diagnosed with metastatic pancreatic cancer in November 2023. The primary cancer was from the body of the pancreas with metastatic disease to the liver and lymph nodes. He developed severe duodenal obstruction and was unable to eat or drink. The CT scan showed obstruction at the duodenojejunal junction. The computed tomography showed upstream dilation of the stomach and duodenum (Figures 1 and 2). He was evaluated for EUS-GE.  

The procedure involved passing a guide wire beyond the obstruction using a gastroscope using contrast dye under fluoroscopy. Then the 8.5 Fr nasobiliary cannula (Boston Scientific, Marlborough, MA) was passed over the guide wire beyond the luminal obstruction and to achieve that a balloon extraction catheter (Boston Scientific, Marlborough, MA), was used since the length of the cannula was not adequate (Figure 3). Then using a linear array echoendoscope (Olympus, Center Valley, PA) from the stomach a suitable jejunal segment beyond the obstruction was selected by passing the diluted contrast agent through the cannula. Using both the images from the echoendoscope and fluoroscope 20 mm x 10 mm lumen apposing metal stent (LAMS) Axios (Boston Scientific, Marlborough, MA) was successfully deployed (Figures 4, 5, and 6). 

The patient tolerated the procedure well and there was no immediate complication. He started on a clear liquid diet the next day. His nausea and vomiting completely resolved and he was able to go home in two days.   

 

Figure 1. Showing duodenal obstruction from pancreatic body cancer

Figure 2. Distended duodenum and stomach due to obstruction

Figure 3. Nasobiliary catheter in jejunum

Figure 4. Successful deployment of LAMS

Figure 5. Successful deployment of stent

Figure 6. Successful deployment of stent

 

Discussion

Gastric outlet obstruction is a common complication of both pancreatic and gastric cancers. EUS-GE is a relatively new technique and has emerged as a minimally invasive non-surgical treatment option for gastric outlet obstruction.(3) This is largely due to the development of the lumen-apposing self-expandable fully covered metal stent.(2)  

Up until the introduction of this endoscopic procedure, the traditional approach was done by surgical gastrojejunostomy (SGJ) or endoscopic duodenal stents. Duodenal stents occlude much more commonly, and it happens much sooner compared to LAMS gastroenteric stents.  Although SGJ provides long-lasting palliation and symptomatic relief, it is associated with a high morbidity and some mortality, especially in nutritionally deficient patients. Additionally, prolonged recovery is often associated with a delay in chemotherapy and treatment of the underlying cancer, which can generate further anxiety for patients.(1) However, recent comprehensive reviews have found that EUS-GE have comparable success rate to surgical GJ but shorter procedure time, lower adverse events, and post-procedure length of stay, less disruption of chemotherapy have made it much more desirable option.(4)  

Patients experiencing malignant gastric outlet obstruction experience significant decline in their quality of life, with symptoms such as nausea, vomiting, early satiety, and abdominal pain. Additionally, obstructions can cause nutritional deficiencies and dehydration, which results in disruption of chemotherapy.(1) The primary goal for palliation of gastric outlet obstruction is to relieve the obstruction as quickly as possible, allowing the patient to resume oral intake and cancer treatment. Most of the pancreatic adenocarcinomas involve the head of the pancreas, causing gastric outlet obstruction, in our patient the obstruction was at the duodenojejunal junction, making EUS-GE slightly more complex, but modifying the technique made it possible.  

In this case report, we highlight how EUS-GE is valuable even in patients with distal duodenal obstruction from pancreatic cancers in the body and tail. Additionally, we corroborate that utilizing this endoscopic approach patients can resume oral intake immediately, spend the least amount of time in the hospital and able to continue the chemotherapy in few days without much interruption. 


 

References 

1. Canakis, A., Bomman, S., Lee, D. U., Ross, A., Larsen, M., Krishnamoorthi, R., Alseidi, A. A., Adam, M. A., Kouanda, A., Sharaiha, R. Z., Mahadev, S., Dawod, S., Sampath, K., Arain, M. A., Farooq, A., Hasan, M. K., Kadkhodayan, K., de la Fuente, S. G., Benias, P. C., Trindade, A. J., … Irani, S. S. (2023). Benefits of EUS-guided gastroenterostomy over surgical gastrojejunostomy in the palliation of malignant gastric outlet obstruction: a large multicenter experience. Gastrointestinal endoscopy, 98(3), 348–359.e30. https://doi.org/10.1016/j.gie.2023.03.022  

2. Dawod, E., & Nieto, J. M. (2018). Endoscopic ultrasound guided gastrojejunostomy. Translational gastroenterology and hepatology, 3, 93. https://doi.org/10.21037/tgh.2018.11.03 

3. Khashab, M. A., Bukhari, M., Baron, T. H., Nieto, J., El Zein, M., Chen, Y. I., Chavez, Y. H., Ngamruengphong, S., Alawad, A. S., Kumbhari, V., & Itoi, T. (2017). International multicenter comparative trial of endoscopic ultrasonography-guided gastroenterostomy versus surgical gastrojejunostomy for the treatment of malignant gastric outlet obstruction. Endoscopy international open, 5(4), E275–E281. https://doi.org/10.1055/s-0043-101695  

4. Kumar, A., Chandan, S., Mohan, B. P., Atla, P. R., McCabe, E. J., Robbins, D. H., Trindade, A. J., & Benias, P. C. (2022). EUS-guided gastroenterostomy versus surgical gastroenterostomy for the management of gastric outlet obstruction: a systematic review and meta-analysis. Endoscopy international open, 10(4), E448–E458. https://doi.org/10.1055/a-1765-4035  

5. Singh, S. M. , Longmire, W. P. & Reber, H. A. (1990). Surgical Palliation for Pancreatic Cancer. Annals of Surgery, 212 (2), 132-139.  

Figure 1

Figure 2

Figure 3

Figure 4

Figure 5

Figure 6

antarmuka fokus mahjong daya pengguna aktifaws grid serasi mahjong dasar tahapan terjagaaws jejak mekanisme mahjong arah fase lanjutanaws kajian wild berantai mahjong interaktif analitisaws kesesuaian persentase layanan mahjong seluler lanceraws pendalaman persentase mahjong gerak wild mutakhircorak langka mahjong tumbuh perlahan berubahgerak mahjong adaptasi mekanisme pemakai sekarangnalar scatter mahjong malam putaran ekstratempo mahjong kaitan mekanisme keadaan terkinialur permainan mahjong cepat scatter wilddalam hitungan detik scatter wild mahjongmenyatukan naluri pola scatter hitam mahjongmomen mahjong permainan berbalik arahmomen singkat mahjong dinamika permainanperpaduan insting pola scatter hitam momentperubahan drastis mahjong ways scatter wildscatter wild mahjong datang polasekejap berubah scatter wild mahjong wayssensasi baru mahjong lebih scatter wildenergi scatter emas irama reel mahjongevolusi reel mahjong balutan mistisintervensi cepat emas momentum lamakemunculan mendadak naga emas mahjongketika scatter naga emas aktif mahjongnaga emas muncul arah spin mahjongnaga emas ritme mahjong ways berubahrahasia rtp tinggi balik scatter hitamsaat scatter naga emas alih irama reelscatter hitam kunci lonjakan rtp mahjonge5 scatter wild memberikan sentuhan baru di setiap spin mahjong ways 2e5 scatter wild menghidupkan suasana permainan mahjong ways 2e5 scatter wild mengubah pola permainan mahjong ways 2 secara signifikane5 setiap putaran mahjong ways 2 terasa berbeda dengan scatter wilde5 strategi adaptif berbasis analisis rtp hariane5 strategi berbasis data dan algoritma untuk analisis momentume5 strategi berkembang berkat data rtp hariane5 strategi memahami algoritma untuk mengidentifikasi momentum ideale5 strategi membaca pola algoritma demi menangkap momentum optimale5 strategi modern mengandalkan evaluasi rtp hariane5 strategi responsif dengan dukungan evaluasi rtp hariane5 strategi terukur dengan analisis rtp hariane5 struktur scatter dan wild terlihat jelas berkat analisis sistem moderne5 tanpa disadari kombinasi ini sering mengarah ke scatter di mahjong wins 3e5 teknik evaluasi algoritma untuk mendapatkan momentum yang tepate5 teknik observasi sistem untuk analisis momentum yang lebih presisie5 terungkap formasi ini sering jadi awal munculnya scatter di mahjong wins 3e5 transformasi digital rtp live berkat artificial intelligence inovatife5 transformasi ritme mahjong ways 2 dipicu oleh kekuatan scatter wilde5 wajib tahu pola tersembunyi ini sering menghasilkan scattere5 applee5 bananae5 candye5 doge5 eaglee5 falcone5 geminie5 horsee5 indiae5 japananalisa pola mahjong ways rutinanalisis kinerja heuristik variansi gameanalisis pola mahjong ways hariananalisis pola mahjong ways kebiasaanera baru mahjong wins bonus optimalgebrakan bonus mahjong wins mekanisme efisieninsight pola mahjong ways rutinkajian pola mahjong ways rutinkomparasi heuristik variansi game digitalledakan bonus mahjong wins sistem efektifmahjong wins bonus sistem generasi baruobservasi pola mahjong ways harianpendekatan algoritma heuristik variansi gameperbandingan model heuristik variansi gamerahasia bonus mahjong wins sistem cerdasrangkuman pola mahjong ways harianringkasan pola mahjong ways harianstudi pola mahjong ways hariantinjauan heuristik variansi game digitaltinjauan pola mahjong ways harianalur sombol mahjong kemunculan scatterdari rtp mahjong bermain lebih efektifjejak scatter mahjong putaran tenangkejutan scatter wild simbol mahjong arahkemunculan simbol ganda membuat mahjongketika grid mahjong scatter semakin dekatketika rtp mahjong pola mulai lebih jelasketika scatter wild ritme simbol mahjongketika scatter wild titik sesi mahjong waysketika susunan simbol mahjong ritme scattermemahami rtp mahjong cara bermain lebihpergerakan simbol mahjong scatter wildpergeseran mahjong ketika scatter hadirsaat rtp mahjong terbaca baik strategisaat scatter hadir simbol mahjong bergeserscatter wild dinamika simbol mahjongstabilitas putaran mahjong pola scattersusunan baru reel mahjong scatter emassusunan mahjong wins mengandung scattersusunan simbol mahjong diam pola scatterrm menguak keunikan mahjong wins sudut pandang teknisrm cara memahami pergerakan mahjong ways tenaga ekstrarm mahjong wins standar baru industri hiburan digitalrm rahasia ketahanan mahjong ways eksis gempuran gamerm pentingnya memahami transisi level mahjong wins mendalamrm strategi mengatur tempo mahjong ways kendali permainanrm peran kecerdasan buatan mekanisme mahjong wins adilrm alasan keberhasilan mahjong ways mencuri perhatian analisrm mempelajari struktur dasar mahjong wins efisiensi putaranrm inovasi desain mahjong ways kesan bermain responsifrm teknik observasi mahjong wins jarang dibahas dampakrm cara mempertahankan fokus dinamika mahjong ways cepatrm eksplorasi fitur tersembunyi mahjong wins ritme terbaikrm mahjong ways integrasi teknologi modern keamanan nyamanrm analisis faktor pendukung mahjong wins digemari generasirm langkah efektif menyesuaikan perubahan sistem mahjong waysrm mengintip proses pengembangan mahjong wins kualitas penggunarm analisis data membantu membaca arah mahjong waysrm menemukan titik temu insting logika mahjong winsrm transformasi besar mahjong ways menghadirkan tantangan menarikmengungkap simbol langka nasib drastismisteri besar kombinasi simbol langkamisteri simbol langka keberuntungan besarsimbol langka misterius ubah hiduprahasia simbol langka nasib cepattransformasi bonus mahjong wins sistem efektifmahjong wins suguhkan bonus sistem modernsuguhan bonus efisien mahjong winsefektivitas sistem bonus mahjong winsmahjong wins hadirkan bonus sistem optimaloke76cincinbetaqua365slot gacorstc76samurai76TOBA1131samurai76 login