Uncovering a unique case of Odontogenic Maxillary Rhinosinusitis- A Case Report

Uncovering a unique case of Odontogenic Maxillary Rhinosinusitis- A Case Report

Dr. Shruthilaya.G*1, Dr. Pradeep Devadoss2


2. Professor, Department of Oral and Maxillofacial Surgery, Meenakshi Ammal Dental College and Hospital, Chennai, Tamil Nadu, India.


*Correspondence to: Dr. Shruthilaya G, Postgraduate trainee, Department of Oral and Maxillofacial Surgery, Meenakshi Ammal Dental College and Hospital, Chennai, Tamil Nadu, India.


Copyright.

© 2025 Dr. Shruthilaya.G This is an open access article distributed under the Creative Commons Attribution License, which permits unrestricted use, distribution, and reproduction in any medium, provided the original work is properly cited.

Received: 15 Feb 2025

Published: 21 Feb 2025                    


ABSTRACT

Objectives: To report a unique case of odontogenic maxillary sinusitis (OMS) in a 43-year-old male seeking implant-based rehabilitation and to highlight the multidisciplinary approach required to manage OMS in the context of sinus pathology, dental implant placement, assess the outcomes of sinus lift surgery, management of sinus infection, and patient recovery.

Results: Cone beam computed tomography (CBCT) revealed a 2.5 mm residual bone height and bilateral maxillary sinus pathology, despite the patient's lack of symptoms. During sinus lift surgery with lateral wall osteotomy, 10 ml of frank pus was aspirated from the sinus cavity. Sinus membrane specimens and pus were collected for biopsy and culture. The sinus was irrigated with saline and betadine before the surgical site was sutured. Post-operative healing was uneventful, with the patient completing a five-day regimen of analgesics and antibiotics. Functional endoscopic sinus surgery (FESS) was recommended for managing the inflamed sinus mucosa.

Discussion: This case demonstrates the necessity of a multidisciplinary approach in managing odontogenic maxillary sinusitis, particularly when combining sinus pathology with dental implant rehabilitation. The integration of appropriate surgical techniques, infection control, and follow-up care resulted in successful healing without complications. It highlights the importance of comprehensive diagnostic evaluation and timely intervention for optimal patient outcomes.

MeSH Terms: Rhinosinusitis, Maxillary sinusitis, Odontogenic infection, Functional endoscopy 

Key Words: Rhinosinusitis, Maxillary sinus, odontogenic maxillary sinusitis, Functional endoscopic sinus surgery, Sinus lift.


Uncovering a unique case of Odontogenic Maxillary Rhinosinusitis- A Case Report

Introduction

Dental implants are indispensable for the rehabilitation of the dental arch following tooth loss attributable to caries, extraction, or other aetiologies, which over time result in the attenuation of residual alveolar bone height and a concomitant reduction in bone density. This complexity is especially pronounced in the posterior maxillary alveolar region due to the presence of the maxillary sinus, which exhibits a propensity to expand inferiorly into the edentulous area as age advances - a phenomenon termed maxillary sinus pneumatization. To facilitate the placement of dental implants within the pneumatized maxillary sinus region, a surgical intervention is necessitated to elevate the sinus membrane and augment it with a bone graft, thereby achieving adequate bone height for either immediate or delayed implant placement.

Rhinosinusitis arises when the Schneiderian membrane (SM) is ruptured or perforated, resulting in the obstruction of the osteo-meatal unit (OMU) due to infections originating from dental or dentoalveolar structures [1], maxillary trauma, osseous pathologies, foreign bodies within the sinus, cystic formations, supernumerary teeth, implant placements, dental extractions, orthognathic surgeries, sinus membrane elevations, among other causes. The Schneiderian membrane secretes mucus that drains into the nasal cavity against gravity via the ostium, facilitated by ciliary action that operates in a coordinated pattern throughout the maxillary sinus [2]. This mucus transitions from the nasal cavity to the nasopharynx, where it is subsequently ingested and passes into the oesophagus and stomach. Disruption of this essential osteo-meatal complex unit can precipitate sinus disease and associated symptoms. Consequently, any inflammation or blockage of the OMU induces sinusitis, which may affect multiple sinuses, a condition known as pansinusitis. 

The epithelial cells of the Schneiderian membrane play a pivotal role in muco-ciliary clearance (MCC) by maintaining the cleanliness of the upper airway and promoting continuous ciliary activity to transport inhaled foreign particles, viruses, fungi, and bacteria upwards through the oropharyngeal airway [3]. Given the critical functions of the Schneiderian membrane and the osteo-meatal unit, their integrity is paramount in preventing pathological conditions such as rhinosinusitis. The surgical elevation of the sinus membrane and subsequent bone grafting for implant placement must be meticulously managed to avert compromising these structures, thereby ensuring the successful rehabilitation of the dental arch and the maintenance of sinus health. 


Case Report

A 43-year-old male patient presented to our Oral and Maxillofacial Surgery unit with the chief complaint of missing upper posterior teeth bilaterally, expressing a desire for implant-based rehabilitation on both sides. On thorough examination, the patient disclosed that the teeth were lost approximately one year ago due to extensive carious lesions. To assess the residual bone height in the regions of teeth 2, 3, 4, and 13, 14, 15, a comprehensive radiographic investigation was conducted. Cone beam computed tomography (CBCT) revealed that the sinus floor was in close proximity to the alveolar crest, with the height of 2.5mm at the deepest point of pneumatisation.

After thorough Clinical/ Radiological/ Haematological investigations. A sinus lift procedure was planned for both sides. The scan revealed bilateral maxillary pathology, prompting us to further investigate the patient's history of sinus infections. The patient reported no symptoms associated with sinus issues, such as nasal blockage, stuffy nose, headaches, or other related symptoms. A lateral wall osteotomy was performed, direct sinus lift augmentation was performed in the 2, 3, 4 region raising the maxillary sinus by 4mm using Nova Bone Putty bone substitutes. During surgical exploration, the overlying lateral wall of the sinus appeared normal.  The flaps were then repositioned and sutured using 3-0 Vicryl without any intraoperative or postoperative complications. The patient was prescribed a regimen of analgesics and antibiotics for five days. Postoperatively healing was assessed, no swelling, no nasal congestion, no pain, or other complications, the patient was followed up during the first and third weeks.

Given the minimal pathology observed and the healthy appearance of the sinus membrane, we proceeded with the direct sinus lift on the other side based on the initial CBCT, a direct sinus lift augmentation was planned for the second quadrant, to augment the 13, 14, 15 region (Fig.1). An intraoral vestibular approach was planned, a crevicular incision was placed and the mucoperiosteal flap elevated to expose the lateral wall of maxilla. A lateral window osteotomy preparation was performed via the lateral antrostomy approach using a round bur/ straight fissure carbide bur. During the osteotome cut, the bone quality in the second quadrant was poor and thinned revealing the sinus membrane hue on the residual bone. The window was mobilized and walled off, exposing the sinus membrane which appeared erythematous and was accompanied by the exudation of thick yellow fluid (Fig.2). 

On suspicion an aspirate was made which revealed frank pus around 10 ml. Sinus membrane specimens were collected for biopsy, and pus for culture were taken for culture and sensitivity analysis. The fluid was drained, and the sinus cavity was douched with saline repeatedly until clear saline was obtained. The procedure was abandoned, toileting of the sinus cavity done with betadine solution. The flaps were then repositioned and sutured using 3-0 Vicryl. There were no preoperative or postoperative complications, and the patient continued the prescribed regimen of analgesics and antibiotics for five days.

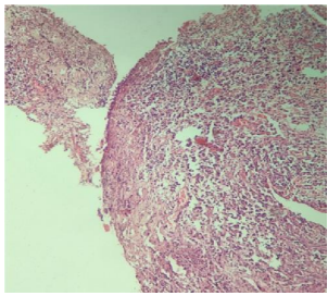
On histopathological examination pseudostratified ciliated columnar epithelium with underlying fibro collagenous connective tissue, infiltrated with dense chronic inflammatory cells predominantly comprising lymphocytes and plasma cells were seen. Numerous dilated and engorged capillaries lined with extravasated red blood cells were observed, which were suggestive of chronic inflammation (Fig.3).

Pus and sensitivity analysis, along with routine bacterial aerobic culture, revealed few pus cells and an absence of microorganisms. No organism growth was observed after a two-day incubation period at 37 degrees Celsius. Probably because of the preoperative antibiotic regimen. Based on the opinion of the otolaryngology team, functional endoscopic sinus surgery (FESS) was recommended to address and clear the inflamed antral mucosa. 

 

Figure 1: Coronal imaging delineates the pathology most consistent with odontogenic maxillary rhinosinusitis.

Figure 2: Clinical examination revealed the presence of mucopurulent exudate within the maxillary sinus.

Figure 3: Histopathological examination at 10x magnification revealed fibro collagenous tissue interspersed with a dense infiltrate of chronic inflammatory cells

 

Discussion

The Rhinosinusitis Task Force delineated the inaugural criteria and guidelines for the diagnosis of rhinosinusitis in 1997, which were published in otolaryngological by the American Academy of Otolaryngology-Head and Neck Surgery (AAO-HNS)[4]. These guidelines classify rhinosinusitis into four distinct types based on the clinical manifestations and progression of the disease: (i) acute, (ii) subacute, (iii) recurrent, and (iv) chronic. Odontogenic aetiology has been implicated in 10–12% of cases of maxillary sinusitis. Recent studies suggest that 30–40% of chronic maxillary rhinosinusitis (CMRS) is of dental origin [5]. 

Despite this, odontogenic causes are frequently overlooked by clinicians when diagnosing rhinosinusitis. Historical data from Maloney and Doku in 1968 report the incidence rate of "Maxillary sinusitis of odontogenic origin" to be between 10% and 12% for the years 1954 to 1958 [6,7]. A comprehensive evaluation of the patient's dental history, coupled with meticulous radiographic assessment and microbiological analysis, is imperative for accurate diagnosis and effective treatment. This necessitates close collaboration between dental professionals and otolaryngologists. 

Advanced imaging modalities such as sinus computed tomography (CT) and cone beam volumetric CT (CBVCT) have proven to be superior in detecting dental pathologies that precipitate sinusitis [8]. A presurgical CT/CBVCT scan is essential for identifying dental issues before undertaking any surgical interventions. Additionally, patients presenting with nasal pathology that causes obstruction can be evaluated using a Sinonasogram to determine the extent of obstruction in the osteomeatal complex (OMC) [9]. 

Odontogenic maxillary sinusitis (OMS) is prevalent, and its timely and precise diagnosis is crucial for effective management. Typically, chronic rhinosinusitis (CRS) does not initially present with facial pain, which can lead dental practitioners to overlook CRS in patients with orofacial pain. Confirming nasal obstruction or the presence of polyps through endoscopic examination or CT scans is essential. The management of odontogenic maxillary sinusitis (OMS) differs from that of non-odontogenic sinusitis and necessitates a thorough dental evaluation and treatment prior to considering sinus surgery. If preoperative dental intervention fails to resolve OMS, endoscopic sinus surgery (ESS) may be indicated, particularly in cases where maxillary sinus debris or occlusion of the ostiomeatal complex is present. Initial treatment should include nasal irrigation and nasal decongestants. If polyps are identified, topical or systemic steroids should be the first line of treatment, with minimal reliance on nasal decongestants. Restoring normal mucociliary clearance (MCC) and ensuring the patency of the osteomeatal unit (OMU) are critical before considering surgical options for chronic sinus disease (CSD) and recurrent sinusitis [10].

OMU enlargement is a surgical intervention aimed at enhancing paranasal sinus (PNS) ventilation into the nasal cavity. This procedure preserves sinus physiology and the integrity of the middle nasal meatus, avoiding postoperative complications such as maxillary cysts or sinus scarring associated with the Caldwell-Luc procedure. Surgical approaches to the maxillary sinus, including the Caldwell-Luc procedure (CLP) and endoscopic sinus surgeries (ESS), remain in use despite their associated complications. The Caldwell-Luc operation is particularly favoured for its straightforward access and prompt symptom relief.

In summary, the management of odontogenic maxillary sinusitis necessitates a multidisciplinary approach involving dental and otolaryngological expertise. Advanced diagnostic imaging and a thorough understanding of the sinonasal anatomy and pathology are crucial for effective treatment and management of this condition [11].

Dental surgeons must recognize the challenges that medical practitioners encounter when diagnosing potential odontogenic maxillary sinusitis (OMS). It is imperative for both medical and dental professionals to collaborate and employ comprehensive diagnostic methodologies to accurately identify and manage odontogenic sinusitis, a prevalent yet frequently underdiagnosed condition. In cases of chronic recalcitrant rhinosinusitis (CRS), otorhinolaryngologists should initiate diagnostic evaluations through endoscopic and radiographic examinations. Following this, dental practitioners should conduct standard intraoral radiographic assessments to provide a thorough evaluation.

To achieve this, practitioners must possess an in-depth understanding of the pathology associated with odontogenic sinusitis (OS). This encompasses familiarity with the intricate anatomical and pathological relationships between dental structures and the maxillary sinus, as well as the common etiological factors contributing to OS, such as dental infections, extractions, and implant procedures.

Enhanced awareness and knowledge of OS pathology will enable practitioners to identify subtle clinical signs and symptoms that may otherwise be overlooked. This multidisciplinary approach ensures that patients receive accurate diagnoses and effective treatment plans, thereby improving patient outcomes. Consequently, a synergistic relationship between dental surgeons and otorhinolaryngologists is essential for the successful management of odontogenic sinusitis, necessitating continuous education and collaboration in this field.


Funding: No author received any material or financial gain or personal advancement in the production of this manuscript.

Completing Interests: Authors have no competing interests.

Ethical Approval: The Ethics Board of University Hospital has decided that special ethical approval is not needed because all individuals involved in this study signed written patient consent.

Patient Consent: Written patient consent has been obtained.

 

References

[1] Mehra P, Jeong D. Maxillary sinusitis of odontogenic origin. Curr Allergy Asthma Rep. 2009;9:238-43. doi: 10.1007/s11882-009-0035-0.

[2] Whyte A, Boeddinghaus R. The maxillary sinus: physiology, development and imaging anatomy [published correction appears in Dentomaxillofac Radiol. 2019;:20190205c]. Dentomaxillofac Radiol. 2019;48:20190205. doi:10.1259/dmfr.20190205. 

[3] Cohen NA. Sinonasal mucociliary clearance in health and disease. Ann Otol Rhinol Laryngol Suppl. 2006;196:20-26. doi:10.1177/00034894061150s904. 

[4] Lanza DC, Kennedy DW. Adult rhinosinusitis defined. Otolaryngol Head Neck Surg. 1997;117:S1-S7. doi:10.1016/S0194-59989770001-9

[5] Meltzer EO, Hamilos DL. Rhinosinusitis diagnosis and management for the clinician: a synopsis of recent consensus guidelines. Mayo Clin Proc. 2011;86:427-443. doi:10.4065/mcp.2010.0392.  

[6] Fleming WE. Effects of chronic pyogenic infection on maxillary sinus. Qld Dent J. 1954;6.  [7] Silcox LE. Diseases of the ear, nose and throat of interest to the dentist. Dent Clin North Am. 1958:381– 396. 

[8] Patel NA, Ferguson BJ. Odontogenic sinusitis: an ancient but under-appreciated cause of maxillary sinusitis. Curr Opin Otolaryngol Head Neck Surg. 2012;20:24-28.

doi:10.1097/MOO.0b013e32834e62ed. 

[9] Longhini AB, Ferguson BJ. Clinical aspects of odontogenic maxillary sinusitis: a case series. Int Forum Allergy Rhinol. 2011;1:409-415. doi:10.1002/alr.20058. 

[10] Manarey CR, Anand VK, Huang C. Incidence of methicillin-resistant Staphylococcus aureus causing chronic rhinosinusitis. Laryngoscope. 2004;114:939-941. doi:10.1097/00005537-200405000-00029. 

[11] Kim SM. Definition and management of odontogenic maxillary sinusitis. Maxillofacial Plastic and Reconstructive Surgery. 2019;41:13.

Figure 1

Figure 2

Figure 3

antarmuka fokus mahjong daya pengguna aktifaws grid serasi mahjong dasar tahapan terjagaaws jejak mekanisme mahjong arah fase lanjutanaws kajian wild berantai mahjong interaktif analitisaws kesesuaian persentase layanan mahjong seluler lanceraws pendalaman persentase mahjong gerak wild mutakhircorak langka mahjong tumbuh perlahan berubahgerak mahjong adaptasi mekanisme pemakai sekarangnalar scatter mahjong malam putaran ekstratempo mahjong kaitan mekanisme keadaan terkinialur permainan mahjong cepat scatter wilddalam hitungan detik scatter wild mahjongmenyatukan naluri pola scatter hitam mahjongmomen mahjong permainan berbalik arahmomen singkat mahjong dinamika permainanperpaduan insting pola scatter hitam momentperubahan drastis mahjong ways scatter wildscatter wild mahjong datang polasekejap berubah scatter wild mahjong wayssensasi baru mahjong lebih scatter wildenergi scatter emas irama reel mahjongevolusi reel mahjong balutan mistisintervensi cepat emas momentum lamakemunculan mendadak naga emas mahjongketika scatter naga emas aktif mahjongnaga emas muncul arah spin mahjongnaga emas ritme mahjong ways berubahrahasia rtp tinggi balik scatter hitamsaat scatter naga emas alih irama reelscatter hitam kunci lonjakan rtp mahjonge5 scatter wild memberikan sentuhan baru di setiap spin mahjong ways 2e5 scatter wild menghidupkan suasana permainan mahjong ways 2e5 scatter wild mengubah pola permainan mahjong ways 2 secara signifikane5 setiap putaran mahjong ways 2 terasa berbeda dengan scatter wilde5 strategi adaptif berbasis analisis rtp hariane5 strategi berbasis data dan algoritma untuk analisis momentume5 strategi berkembang berkat data rtp hariane5 strategi memahami algoritma untuk mengidentifikasi momentum ideale5 strategi membaca pola algoritma demi menangkap momentum optimale5 strategi modern mengandalkan evaluasi rtp hariane5 strategi responsif dengan dukungan evaluasi rtp hariane5 strategi terukur dengan analisis rtp hariane5 struktur scatter dan wild terlihat jelas berkat analisis sistem moderne5 tanpa disadari kombinasi ini sering mengarah ke scatter di mahjong wins 3e5 teknik evaluasi algoritma untuk mendapatkan momentum yang tepate5 teknik observasi sistem untuk analisis momentum yang lebih presisie5 terungkap formasi ini sering jadi awal munculnya scatter di mahjong wins 3e5 transformasi digital rtp live berkat artificial intelligence inovatife5 transformasi ritme mahjong ways 2 dipicu oleh kekuatan scatter wilde5 wajib tahu pola tersembunyi ini sering menghasilkan scattere5 applee5 bananae5 candye5 doge5 eaglee5 falcone5 geminie5 horsee5 indiae5 japananalisa pola mahjong ways rutinanalisis kinerja heuristik variansi gameanalisis pola mahjong ways hariananalisis pola mahjong ways kebiasaanera baru mahjong wins bonus optimalgebrakan bonus mahjong wins mekanisme efisieninsight pola mahjong ways rutinkajian pola mahjong ways rutinkomparasi heuristik variansi game digitalledakan bonus mahjong wins sistem efektifmahjong wins bonus sistem generasi baruobservasi pola mahjong ways harianpendekatan algoritma heuristik variansi gameperbandingan model heuristik variansi gamerahasia bonus mahjong wins sistem cerdasrangkuman pola mahjong ways harianringkasan pola mahjong ways harianstudi pola mahjong ways hariantinjauan heuristik variansi game digitaltinjauan pola mahjong ways harianalur sombol mahjong kemunculan scatterdari rtp mahjong bermain lebih efektifjejak scatter mahjong putaran tenangkejutan scatter wild simbol mahjong arahkemunculan simbol ganda membuat mahjongketika grid mahjong scatter semakin dekatketika rtp mahjong pola mulai lebih jelasketika scatter wild ritme simbol mahjongketika scatter wild titik sesi mahjong waysketika susunan simbol mahjong ritme scattermemahami rtp mahjong cara bermain lebihpergerakan simbol mahjong scatter wildpergeseran mahjong ketika scatter hadirsaat rtp mahjong terbaca baik strategisaat scatter hadir simbol mahjong bergeserscatter wild dinamika simbol mahjongstabilitas putaran mahjong pola scattersusunan baru reel mahjong scatter emassusunan mahjong wins mengandung scattersusunan simbol mahjong diam pola scatterrm menguak keunikan mahjong wins sudut pandang teknisrm cara memahami pergerakan mahjong ways tenaga ekstrarm mahjong wins standar baru industri hiburan digitalrm rahasia ketahanan mahjong ways eksis gempuran gamerm pentingnya memahami transisi level mahjong wins mendalamrm strategi mengatur tempo mahjong ways kendali permainanrm peran kecerdasan buatan mekanisme mahjong wins adilrm alasan keberhasilan mahjong ways mencuri perhatian analisrm mempelajari struktur dasar mahjong wins efisiensi putaranrm inovasi desain mahjong ways kesan bermain responsifrm teknik observasi mahjong wins jarang dibahas dampakrm cara mempertahankan fokus dinamika mahjong ways cepatrm eksplorasi fitur tersembunyi mahjong wins ritme terbaikrm mahjong ways integrasi teknologi modern keamanan nyamanrm analisis faktor pendukung mahjong wins digemari generasirm langkah efektif menyesuaikan perubahan sistem mahjong waysrm mengintip proses pengembangan mahjong wins kualitas penggunarm analisis data membantu membaca arah mahjong waysrm menemukan titik temu insting logika mahjong winsrm transformasi besar mahjong ways menghadirkan tantangan menarikmengungkap simbol langka nasib drastismisteri besar kombinasi simbol langkamisteri simbol langka keberuntungan besarsimbol langka misterius ubah hiduprahasia simbol langka nasib cepattransformasi bonus mahjong wins sistem efektifmahjong wins suguhkan bonus sistem modernsuguhan bonus efisien mahjong winsefektivitas sistem bonus mahjong winsmahjong wins hadirkan bonus sistem optimaloke76cincinbetaqua365slot gacorstc76samurai76TOBA1131samurai76 login